10-Year Evaluation of the First Root Analogue Implant on Humans, Made Using a CT Scan, CAD/CAM and DMLS
Abstract
1. Introduction
2. Materials and Methods
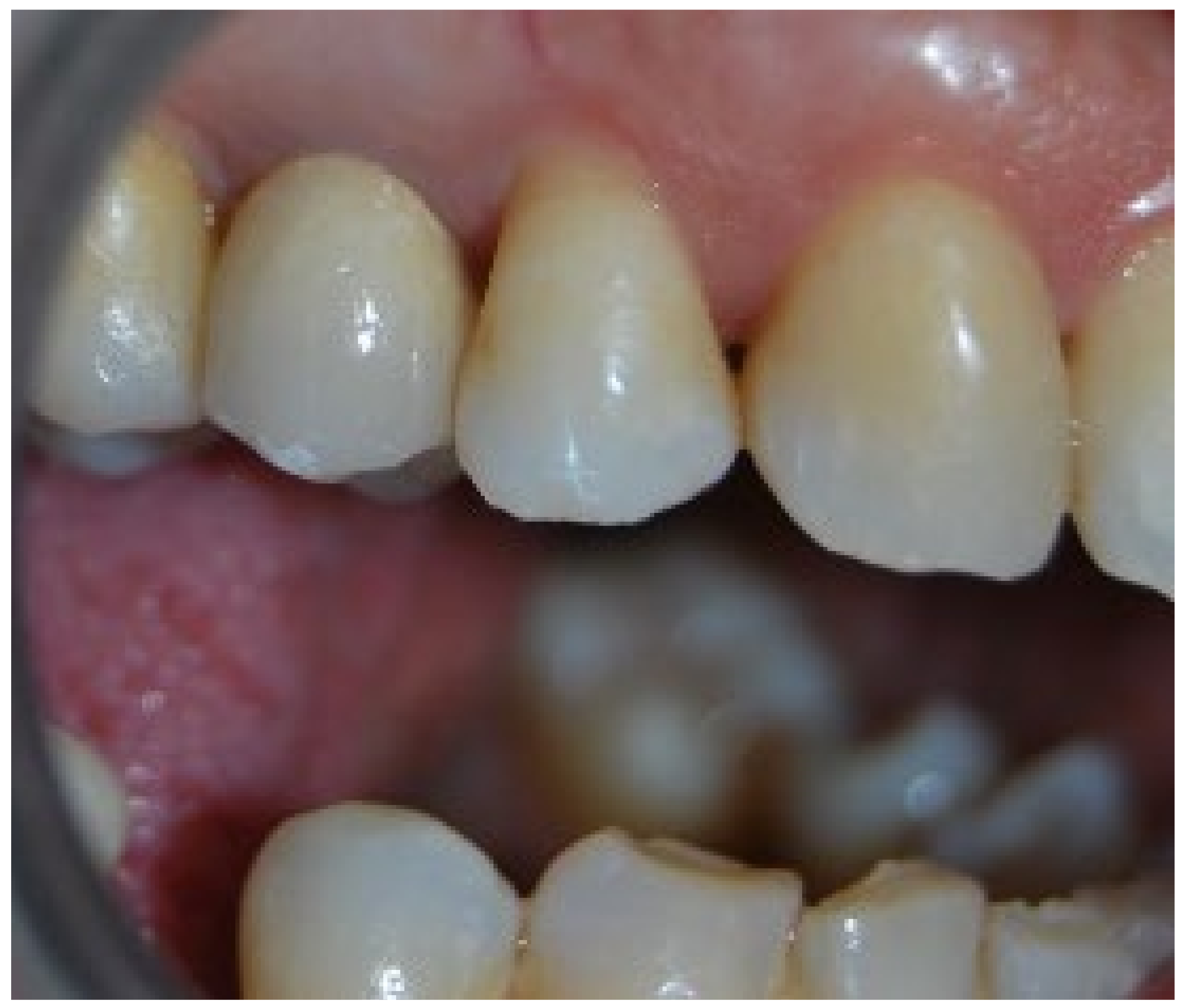
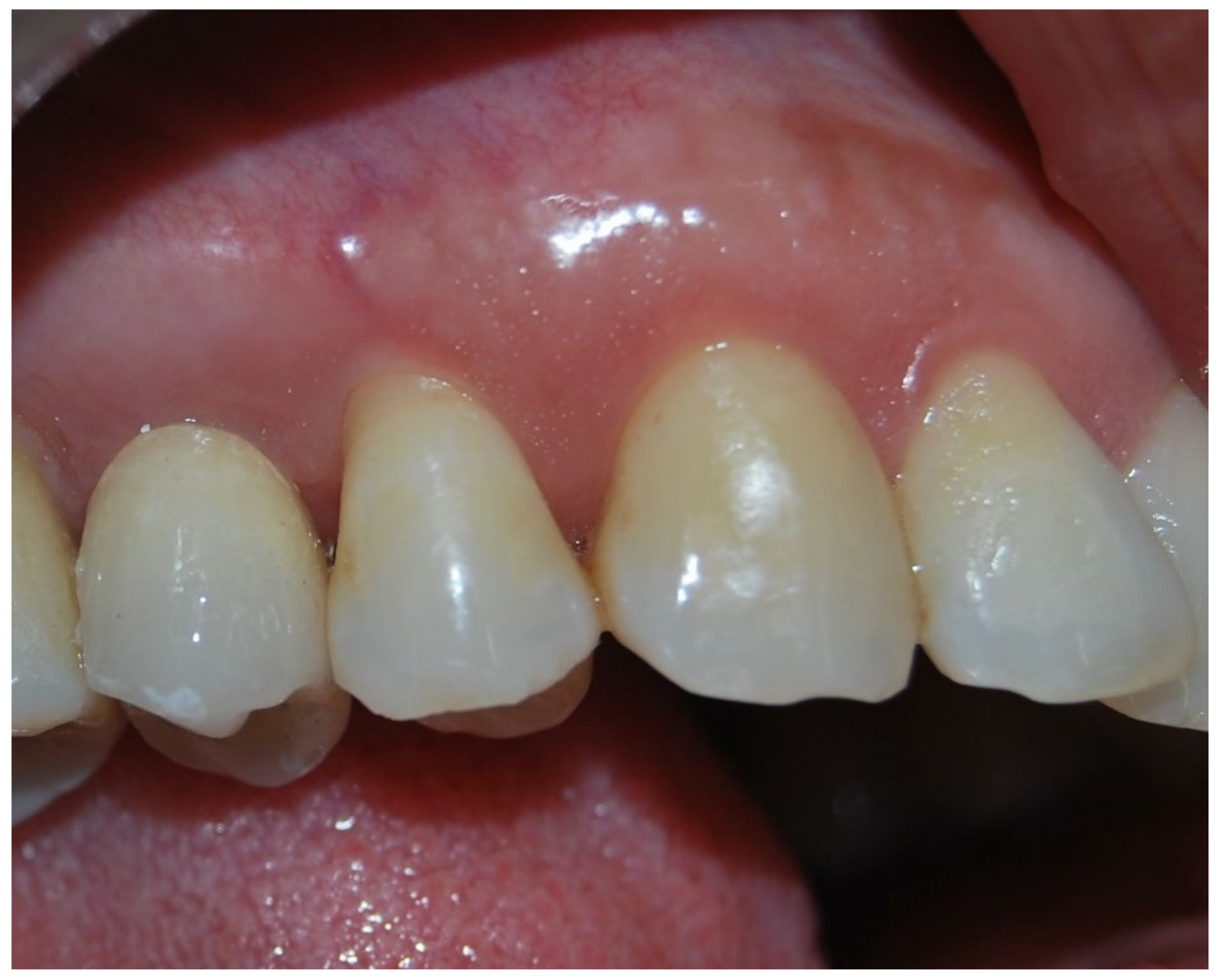
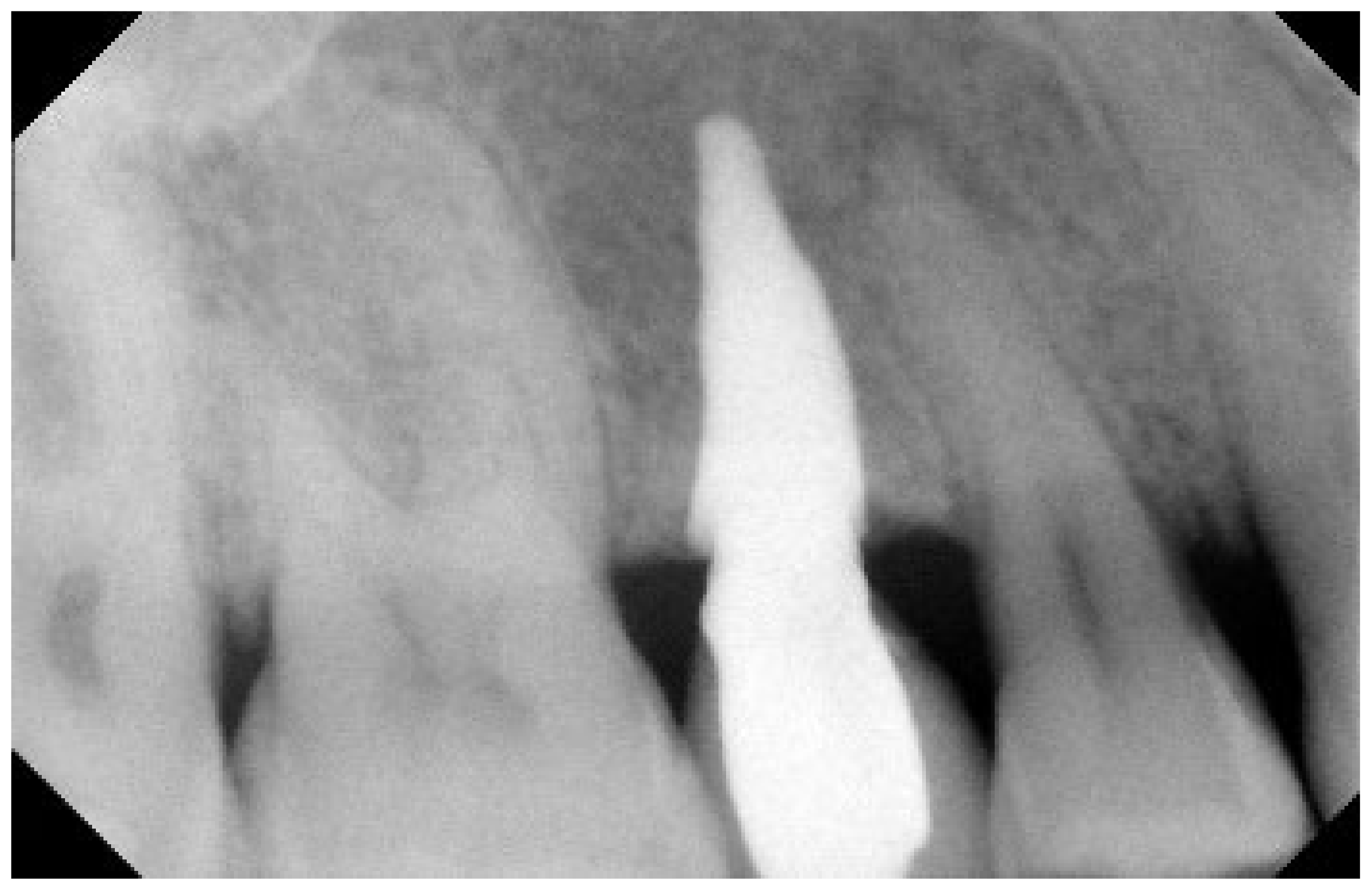
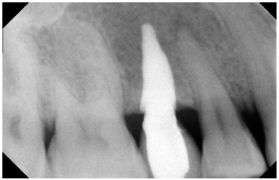
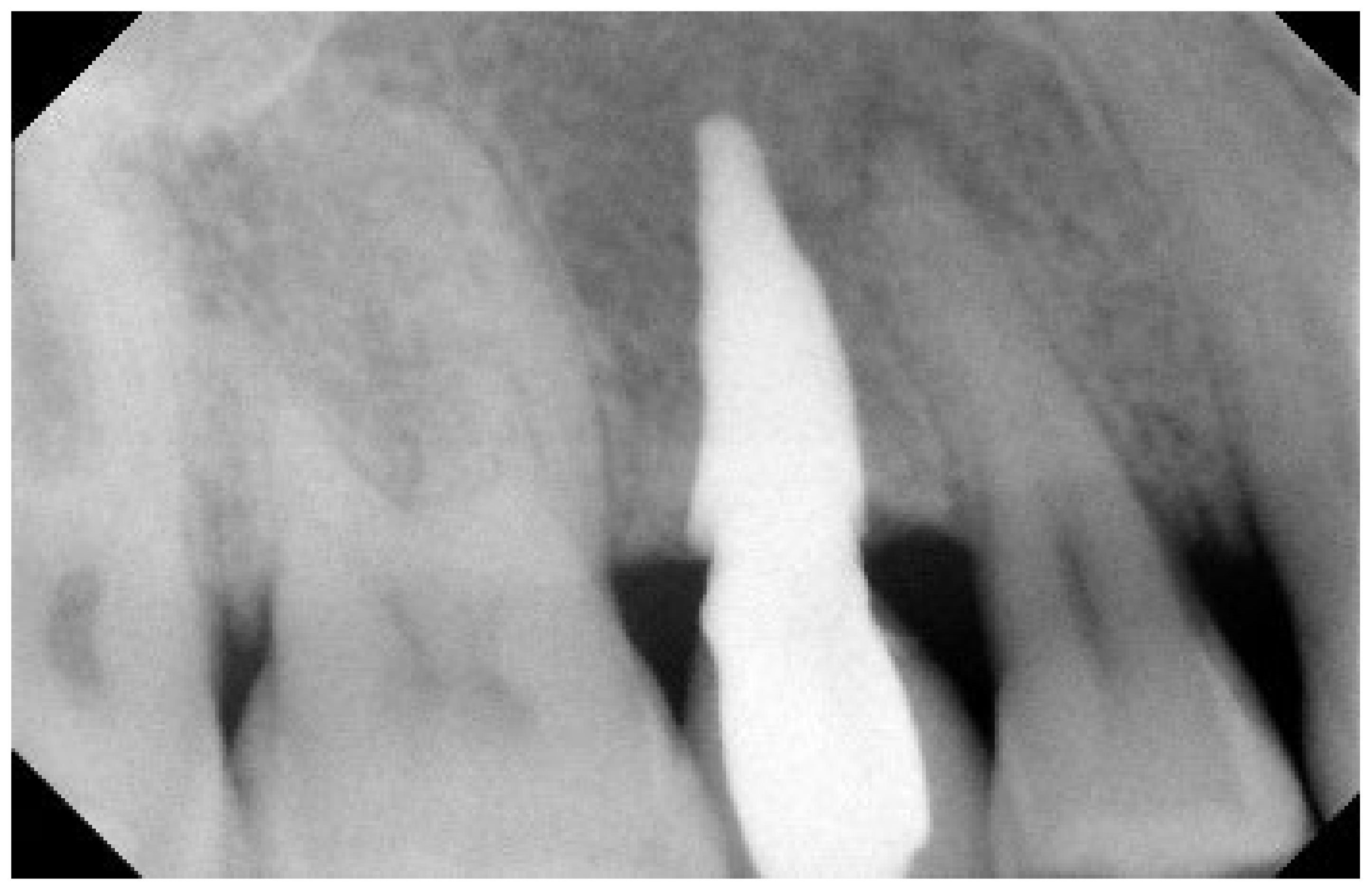
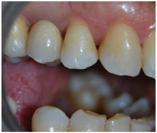
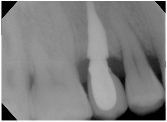
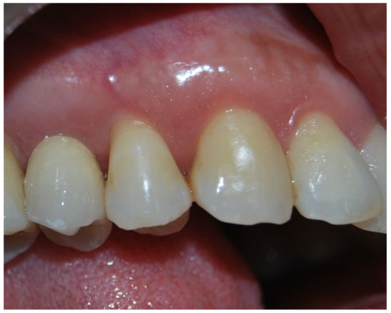
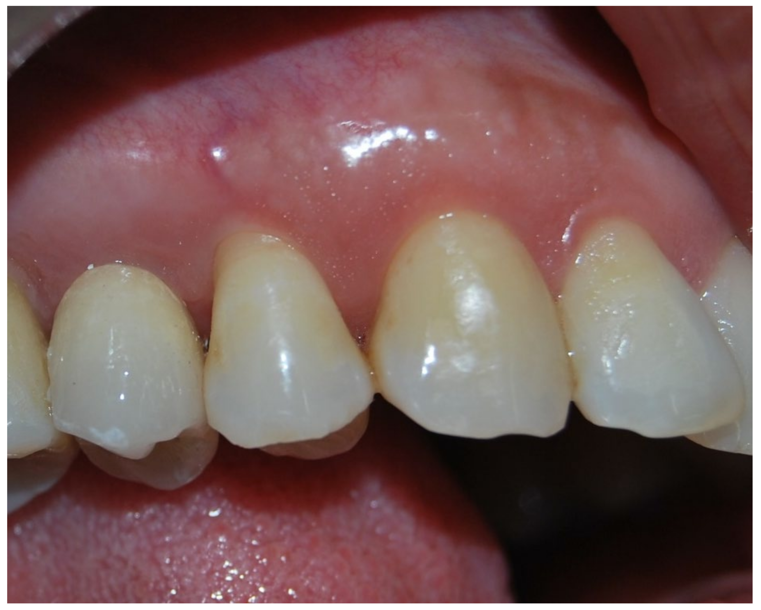
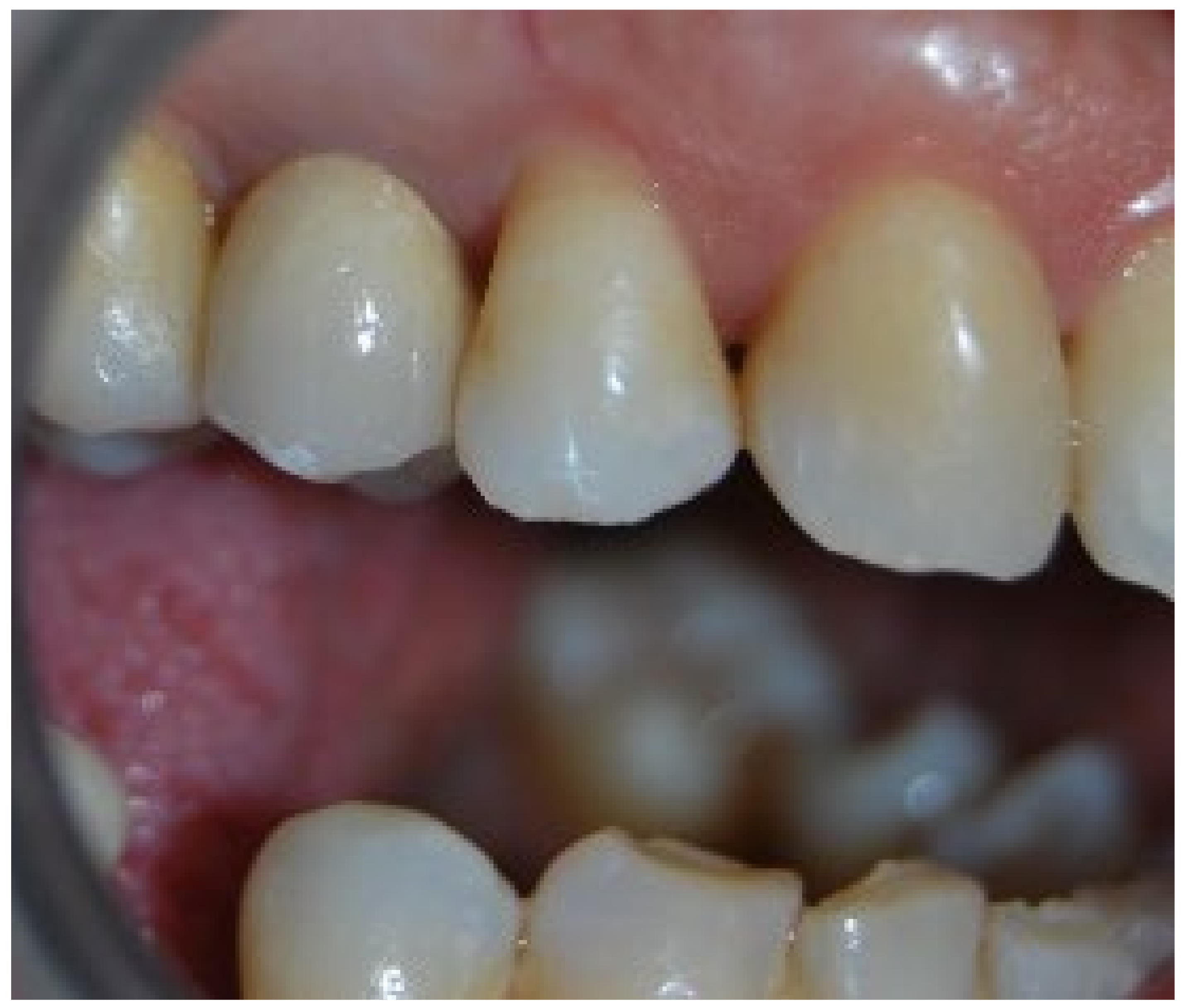
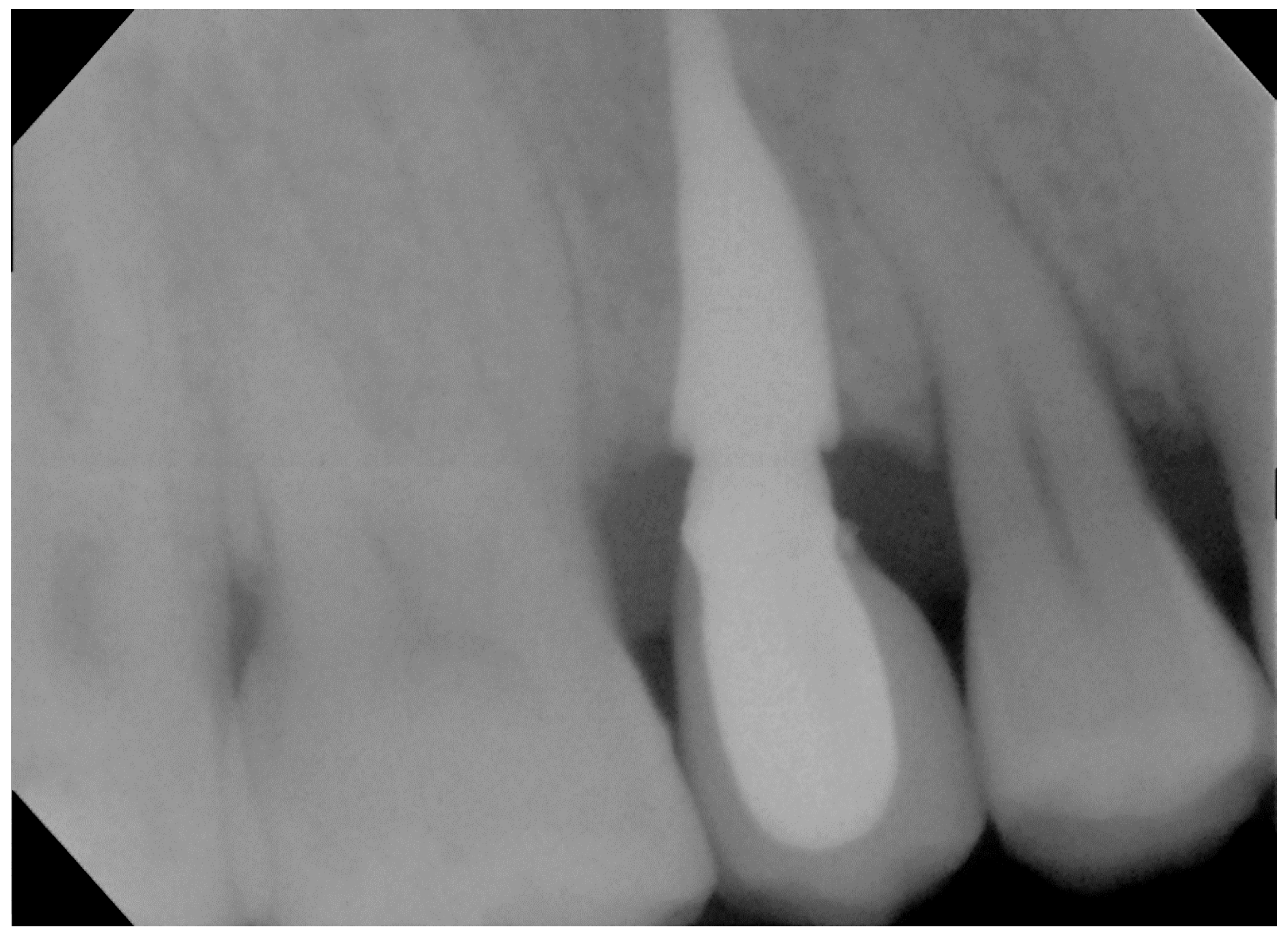
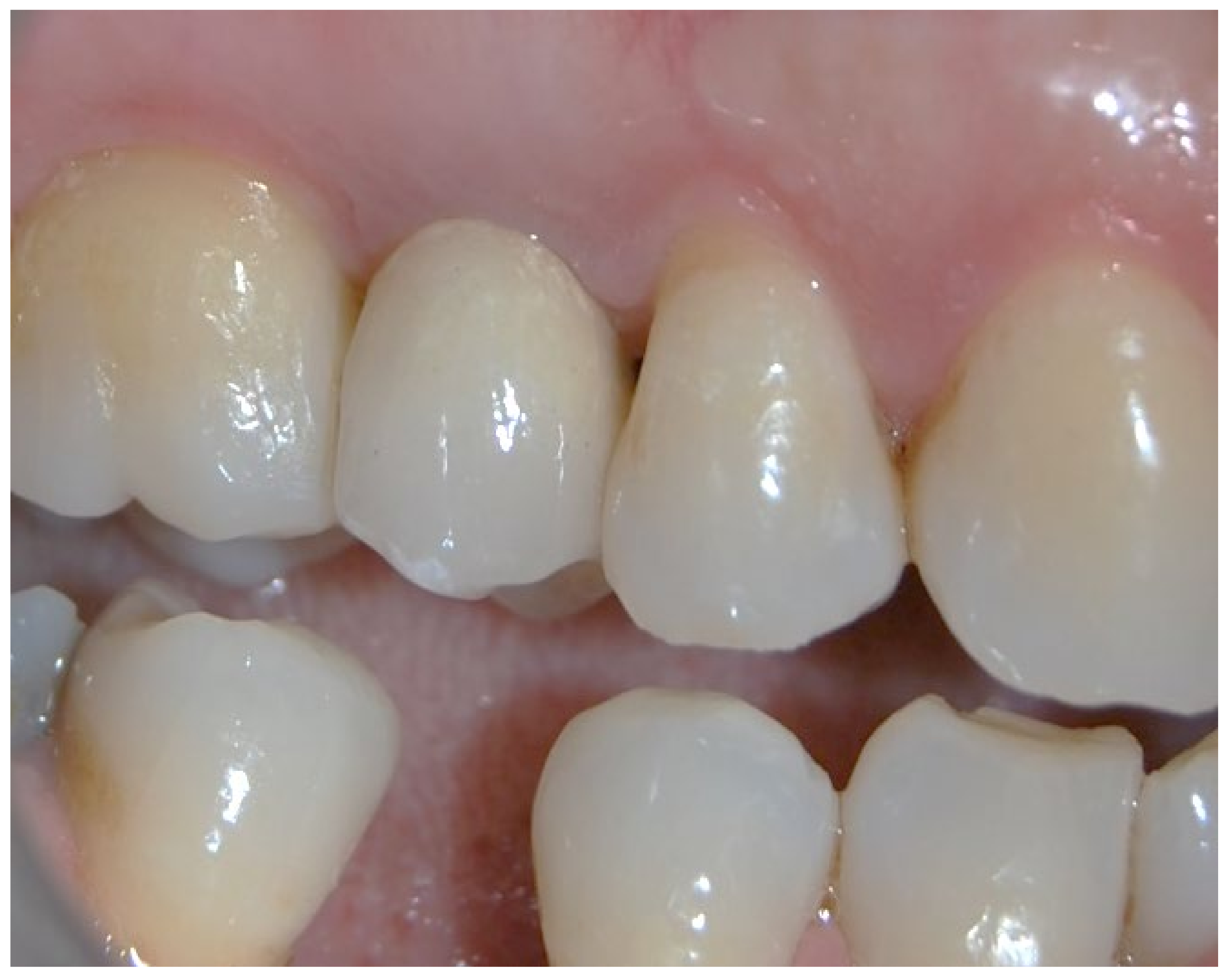
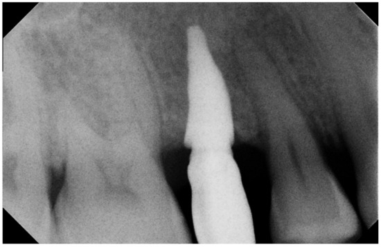
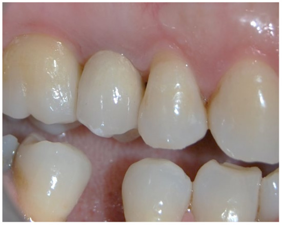
3. Results
4. Discussion
Author Contributions
Funding
Institutional Review Board Statement
Informed Consent Statement
Data Availability Statement
Conflicts of Interest
References
- Koh, R.U.; Rudek, I.; Wang, H.-L. Immediate Implant Placement: Positives and Negatives. Implant Dent. 2010, 19, 98–108. [Google Scholar] [CrossRef] [PubMed]
- Mello, C.; Lemos, C.; Verri, F.; dos Santos, D.; Goiato, M.; Pellizzer, E. Immediate implant placement into fresh extraction sockets versus delayed implants into healed sockets: A systematic review and meta-analysis. Int. J. Oral Maxillofac. Surg. 2017, 46, 1162–1177. [Google Scholar] [CrossRef] [PubMed]
- Pour, R.S.; Rafael, C.F.; Engler, M.; Edelhoff, D.; Klaus, G.; Prandtner, O.; Berthold, M.; Liebermann, A. Historical development of root analogue implants: A review of published papers. Br. J. Oral Maxillofac. Surg. 2019, 57, 496–504. [Google Scholar] [CrossRef] [PubMed]
- Hollander, D.A.; Von Walter, M.; Wirtz, T.; Sellei, R.; Schmidt-Rohlfing, B.; Paar, O.; Erli, H.-J. Structural, mechanical and in vitro characterization of individually structured Ti–6Al–4V produced by direct laser forming. Biomaterials 2006, 27, 955–963. [Google Scholar] [CrossRef] [PubMed]
- Mangano, F.; Chambrone, L.; Van Noort, R.; Miller, C.; Hatton, P.; Mangano, C. Direct Metal Laser Sintering Titanium Dental Implants: A Review of the Current Literature. Int. J. Biomater. 2014, 2014, 461534. [Google Scholar] [CrossRef] [PubMed]
- Mullen, L.; Stamp, R.C.; Brooks, W.K.; Jones, E.; Sutcliffe, C.J. Selective Laser Melting: A regular unit cell approach for the manufacture of porous, titanium, bone in-growth constructs, suitable for orthopedic applications. J. Biomed. Mater. Res. Part B Appl. Biomater. 2009, 89, 325–334. [Google Scholar] [CrossRef] [PubMed]
- Stamp, R.; Fox, P.; O’Neill, W.; Jones, E.; Sutcliffe, C. The development of a scanning strategy for the manufacture of porous biomaterials by selective laser melting. J. Mater. Sci. Mater. Med. 2009, 20, 1839–1848. [Google Scholar] [CrossRef] [PubMed]
- Mangano, C.; Raspanti, M.; Traini, T.; Piattelli, A.; Sammons, R. Stereo imaging and cytocompatibility of a model dental implant surface formed by direct laser fabrication. J. Biomed. Mater. Res. Part. A 2008, 88, 823–831. [Google Scholar] [CrossRef] [PubMed]
- Dabrowski, B.; Swieszkowski, W.; Godlinski, D.; Kurzydlowski, K.J. Highly porous titanium scaffolds for orthopaedic applications. J. Biomed. Mater. Res. Part B Appl. Biomater. 2010, 95, 53–61. [Google Scholar] [CrossRef] [PubMed]
- Kadkhodazadeh, M.; Safi, Y.; Moeintaghavi, A.; Amid, R.; Baghani, M.T.; Shidfar, S. Marginal Bone Loss Around One-Piece Implants: A 10-Year Radiological and Clinical Follow-up Evaluation. Implant Dent. 2019, 28, 237–243. [Google Scholar] [CrossRef] [PubMed]
- Gomez-Roman, G.; Launer, S. Peri-implant bone changes in immediate and non-immediate root-analog stepped implants-a matched comparative prospective study up to 10 years. Int. J. Implant Dent. 2016, 2, 15. [Google Scholar] [CrossRef] [PubMed]
- Albrektsson, T.; Chrcanovic, B.; Östman, P.-O.; Sennerby, L. Initial and long-term crestal bone responses to modern dental implants. Periodontol. 2000 2016, 73, 41–50. [Google Scholar] [CrossRef] [PubMed]
- Seyssens, L.; Eghbali, A.; Cosyn, J. A 10-year prospective study on single immediate implants. J. Clin. Periodontol. 2020, 47. [Google Scholar] [CrossRef] [PubMed]
- Mierzejewska, Ż.A.; Hudák, R.; Sidun, J. Mechanical Properties and Microstructure of DMLS Ti6Al4V Alloy Dedicated to Biomedical Applications. Materials 2019, 12, 176. [Google Scholar] [CrossRef] [PubMed]
- Figliuzzi, M.; Mangano, F. A novel root analogue dental implant using CT scan and CAD/CAM: Selective laser melting technology. Int. J. Oral Maxillofac. Surg. 2012, 41, 858–862. [Google Scholar] [CrossRef] [PubMed]
- Figliuzzi, M.; Giudice, A.; Rengo, C.; Fortunato, L. A direct metal laser sintering (DMLS) root analogue implant placed in the an-terior maxilla. Case report. Ann. Ital. Chir. 2016, 2. [Google Scholar] [CrossRef][Green Version]






Publisher’s Note: MDPI stays neutral with regard to jurisdictional claims in published maps and institutional affiliations. |
© 2022 by the authors. Licensee MDPI, Basel, Switzerland. This article is an open access article distributed under the terms and conditions of the Creative Commons Attribution (CC BY) license (https://creativecommons.org/licenses/by/4.0/).
Share and Cite
Figliuzzi, M.M.; Aiello, D.; Rengo, C.; Parentela, L.; Mangano, C. 10-Year Evaluation of the First Root Analogue Implant on Humans, Made Using a CT Scan, CAD/CAM and DMLS. Biomimetics 2022, 7, 32. https://doi.org/10.3390/biomimetics7010032
Figliuzzi MM, Aiello D, Rengo C, Parentela L, Mangano C. 10-Year Evaluation of the First Root Analogue Implant on Humans, Made Using a CT Scan, CAD/CAM and DMLS. Biomimetics. 2022; 7(1):32. https://doi.org/10.3390/biomimetics7010032
Chicago/Turabian StyleFigliuzzi, Michele Mario, Domenico Aiello, Carlo Rengo, Luca Parentela, and Carlo Mangano. 2022. "10-Year Evaluation of the First Root Analogue Implant on Humans, Made Using a CT Scan, CAD/CAM and DMLS" Biomimetics 7, no. 1: 32. https://doi.org/10.3390/biomimetics7010032
APA StyleFigliuzzi, M. M., Aiello, D., Rengo, C., Parentela, L., & Mangano, C. (2022). 10-Year Evaluation of the First Root Analogue Implant on Humans, Made Using a CT Scan, CAD/CAM and DMLS. Biomimetics, 7(1), 32. https://doi.org/10.3390/biomimetics7010032

