Multi-Modality Microscopy Image Style Augmentation for Nuclei Segmentation
Abstract
:1. Introduction
2. Materials and Methods
2.1. Dataset
2.2. Data Augmentation Step I: Clustering Training Images into Different Modalities
2.3. Data Augmentation Step II: Multi-Modality Style Transfer
2.4. Mask R-CNN for Instance Segmentation
2.5. Test Time Augmentation
2.6. Implementation Details
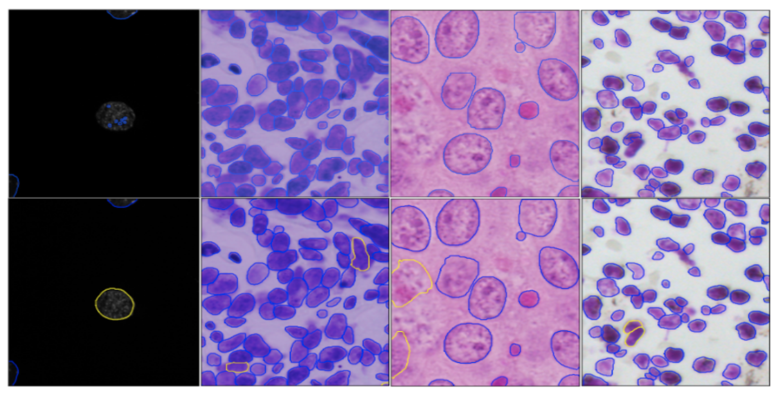
3. Results
3.1. Clustering into Modalities
3.2. Improved Segmentation Performance by Style Transfer Augmentation
4. Discussion
5. Conclusions
Author Contributions
Funding
Institutional Review Board Statement
Informed Consent Statement
Data Availability Statement
Conflicts of Interest
References
- Gurcan, M.N.; Boucheron, L.E.; Can, A.; Madabhushi, A.; Rajpoot, N.M.; Yener, B. Histopathological image analysis: A review. IEEE Rev. Biomed. Eng. 2009, 2, 147–171. [Google Scholar] [CrossRef] [PubMed] [Green Version]
- Moen, E.; Bannon, D.; Kudo, T.; Graf, W.; Covert, M.; Valen, D.V. Deep Learning for Cellular Image Analysis; Springer Science and Business Media LLC: New York, NY, USA, 2019; Volume 16, pp. 1233–1246. [Google Scholar] [CrossRef]
- He, K.; Gkioxari, G.; Dollar, P.; Girshick, R. Mask R-CNN. In Proceedings of the 2017 IEEE International Conference on Computer Vision (ICCV), Venice, Italy, 22–29 October 2017; IEEE: Venice, Italy, 2017. [Google Scholar] [CrossRef] [Green Version]
- Ronneberger, O.; Fischer, P.; Brox, T. U-Net: Convolutional Networks for Biomedical Image Segmentation. In Lecture Notes in Computer Science; Springer International Publishing: New York, NY, USA, 2015; pp. 234–241. [Google Scholar] [CrossRef] [Green Version]
- Caicedo, J.C.; Goodman, A.; Karhohs, K.W.; Cimini, B.A.; Ackerman, J.; Haghighi, M.; Heng, C.; Becker, T.; Doan, M.; McQuin, C.; et al. Nucleus segmentation across imaging experiments: The 2018 Data Science Bowl. Nat. Methods 2019, 16, 1247–1253. [Google Scholar] [CrossRef]
- Jiang, J.; Hu, Y.C.; Tyagi, N.; Zhang, P.; Rimner, A.; Mageras, G.S.; Deasy, J.O.; Veeraraghavan, H. Tumor-Aware, Adversarial Domain Adaptation from CT to MRI for Lung Cancer Segmentation. In Medical Image Computing and Computer Assisted Intervention—MICCAI 2018; Springer International Publishing: New York, NY, USA, 2018; pp. 777–785. [Google Scholar] [CrossRef]
- Emami, H.; Dong, M.; Nejad-Davarani, S.P.; Glide-Hurst, C.K. SA-GAN: Structure-Aware GAN for Organ-Preserving Synthetic CT Generation. In Medical Image Computing and Computer Assisted Intervention—MICCAI 2021; Springer International Publishing: New York, NY, USA, 2021; pp. 471–481. [Google Scholar] [CrossRef]
- Sikka, A.; Virk, J.S.; Bathula, D.R. MRI to PET Cross-Modality Translation Using Globally and Locally Aware GAN (GLA-GAN) for Multi-Modal Diagnosis of Alzheimer’s Disease. arXiv 2021, arXiv:2108.02160. [Google Scholar]
- Wagner, S.J.; Khalili, N.; Sharma, R.; Boxberg, M.; Marr, C.; Back, W.d.; Peng, T. Structure-Preserving Multi-domain Stain Color Augmentation Using Style-Transfer with Disentangled Representations. In Proceedings of the International Conference on Medical Image Computing and Computer-Assisted Intervention, Strasbourg, France, 27 September–1 October 2021; Springer: New York, NY, USA, 2021; pp. 257–266. [Google Scholar]
- Mirza, M.; Osindero, S. Conditional Generative Adversarial Nets. arXiv 2014, arXiv:cs.LG/1411.1784. [Google Scholar]
- Isola, P.; Zhu, J.Y.; Zhou, T.; Efros, A.A. Image-to-Image Translation with Conditional Adversarial Networks. arXiv 2017, arXiv:1611.07004. [Google Scholar]
- Zhu, J.Y.; Park, T.; Isola, P.; Efros, A.A. Unpaired Image-to-Image Translation Using Cycle-Consistent Adversarial Networks. In Proceedings of the IEEE International Conference on Computer Vision, Venice, Italy, 22–29 October 2017; IEEE: Venice, Italy, 2017. [Google Scholar] [CrossRef] [Green Version]
- Lee, H.Y.; Tseng, H.Y.; Huang, J.B.; Singh, M.K.; Yang, M.H. Diverse Image-to-Image Translation via Disentangled Representations. In Proceedings of the European Conference on Computer Vision, Munich, Germany, 8–14 September 2018. [Google Scholar]
- Karras, T.; Laine, S.; Aila, T. A Style-Based Generator Architecture for Generative Adversarial Networks. arXiv 2018, arXiv:1812.04948v3. [Google Scholar]
- Hollandi, R.; Szkalisity, A.; Toth, T.; Tasnadi, E.; Molnar, C.; Mathe, B.; Grexa, I.; Molnar, J.; Balind, A.; Gorbe, M.; et al. nucleAIzer: A Parameter-free Deep Learning Framework for Nucleus Segmentation Using Image Style Transfer. Cell Syst. 2020, 10, 453–458.e6. [Google Scholar] [CrossRef] [PubMed]
- Lin, T.; Dollár, P.; Girshick, R.B.; He, K.; Hariharan, B.; Belongie, S.J. Feature Pyramid Networks for Object Detection. arXiv 2016, arXiv:1612.03144. [Google Scholar]
- Moshkov, N.; Mathe, B.; Kertesz-Farkas, A.; Hollandi, R.; Horvath, P. Test-time augmentation for deep learning-based cell segmentation on microscopy images. Sci. Rep. 2020, 10, 5068. [Google Scholar] [CrossRef] [PubMed] [Green Version]
- Kim, S.B.; Bae, H.; Koo, K.I.; Dokmeci, M.R.; Ozcan, A.; Khademhosseini, A. Lens-Free Imaging for Biological Applications. J. Lab. Autom. 2012, 17, 43–49. [Google Scholar] [CrossRef] [PubMed] [Green Version]





| Method | Score |
|---|---|
| BIOMAGic | 0.570 |
| Deep Retina w/o our augmentation | 0.532 |
| Deep Retina w/ our augmentation | 0.609 |
| Inom Mirzaev w/o our augmentation | 0.599 |
| Inom Mirzaev w/our augmentation | 0.613 |
Publisher’s Note: MDPI stays neutral with regard to jurisdictional claims in published maps and institutional affiliations. |
© 2022 by the authors. Licensee MDPI, Basel, Switzerland. This article is an open access article distributed under the terms and conditions of the Creative Commons Attribution (CC BY) license (https://creativecommons.org/licenses/by/4.0/).
Share and Cite
Liu, Y.; Wagner, S.J.; Peng, T. Multi-Modality Microscopy Image Style Augmentation for Nuclei Segmentation. J. Imaging 2022, 8, 71. https://doi.org/10.3390/jimaging8030071
Liu Y, Wagner SJ, Peng T. Multi-Modality Microscopy Image Style Augmentation for Nuclei Segmentation. Journal of Imaging. 2022; 8(3):71. https://doi.org/10.3390/jimaging8030071
Chicago/Turabian StyleLiu, Ye, Sophia J. Wagner, and Tingying Peng. 2022. "Multi-Modality Microscopy Image Style Augmentation for Nuclei Segmentation" Journal of Imaging 8, no. 3: 71. https://doi.org/10.3390/jimaging8030071
APA StyleLiu, Y., Wagner, S. J., & Peng, T. (2022). Multi-Modality Microscopy Image Style Augmentation for Nuclei Segmentation. Journal of Imaging, 8(3), 71. https://doi.org/10.3390/jimaging8030071

