Efficient and Robust Method to Detect the Location of Macular Center Based on Optimal Temporal Determination
Abstract
1. Introduction
- The macular center can be detected based only on its geometrical location in relation to the optic disc. This often leads to robust variations when detecting the intensity.
- The method uses the inherent features in the optic disc to determine the temporal direction in which the macula is located, thereby making the process run faster.
- Macular ROI with the right direction, location, and size reduces the detection area, facilitating a simpler detection process.
2. Materials and Methods
2.1. Materials
2.1.1. Dataset
2.1.2. Environment
2.2. Methods
2.2.1. Optic Disc Localization
2.2.2. Temporal Area Determination
2.2.3. Macular ROI Determination
- The determination of macular ROI was based on the temporal direction. Furthermore, the macula located in the temporal area was obtained geometrically with reference to the OD center point [23].
| Algorithm 1: Macular ROI determination |
| Input: , OD center coordinates (, OD diameter (DD) |
| Parameter: abscissa factor (p), ordinate factor (q), ROI box factor (r) |
| 1: if then |
| 2: |
| 3: else |
| 4: |
| 6: |
| 7: determine the macular ROI with the center ( |
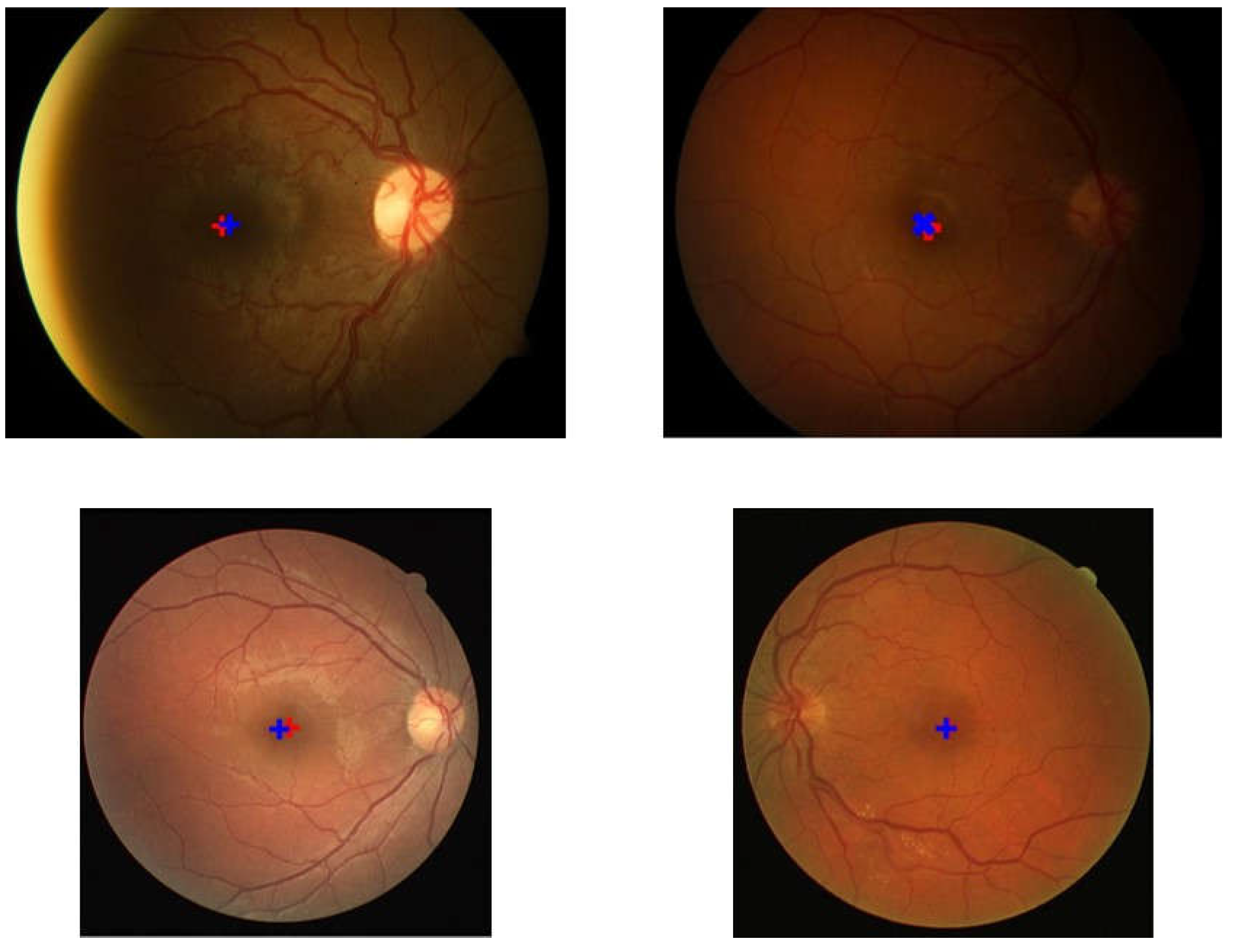
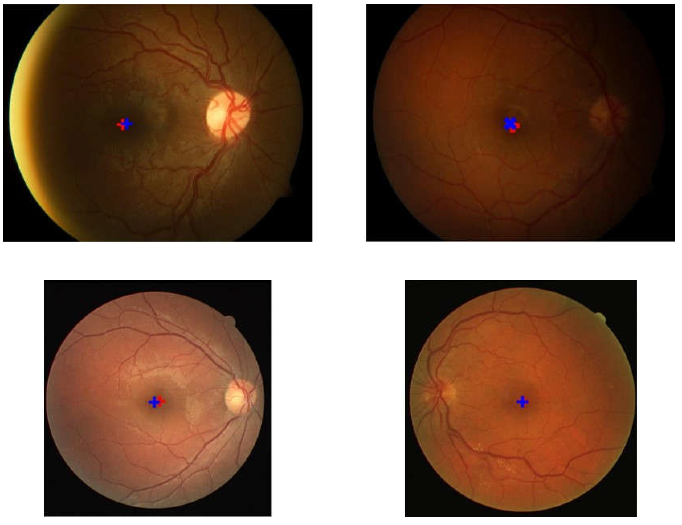
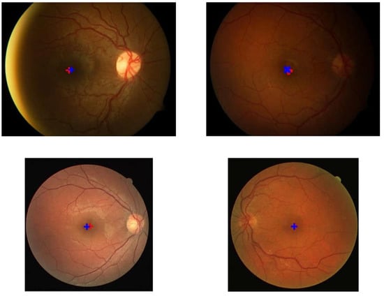
2.2.4. Macular Center Extraction
3. Results
4. Discussion
5. Conclusions
Author Contributions
Funding
Institutional Review Board Statement
Informed Consent Statement
Data Availability Statement
Acknowledgments
Conflicts of Interest
References
- Ciulla, T.A.; Amador, A.G.; Zinman, B. Diabetic retinopathy and diabetic macular edema: Pathophysiology, screening, and novel therapies. Diabetes Care 2003, 26, 2653–2664. [Google Scholar] [CrossRef]
- Deepak, K.S.; Sivaswamy, J. Automatic assessment of macular edema from color retinal images. IEEE Trans. Med. Imaging 2012, 31, 6–76. [Google Scholar] [CrossRef]
- Syed, A.M.; Akram, M.U.; Akram, T.; Muzammal, M. Fundus images-based detection and grading of macular edema using robust macula localization. IEEE Access 2018, 6, 58784–58793. [Google Scholar] [CrossRef]
- Abràmoff, M.D.; Garvin, M.K.; Sonka, M. Retinal imaging and image analysis. IEEE Rev. Biomed. Eng. 2010, 3, 169–208. [Google Scholar] [CrossRef] [PubMed]
- Welfer, D.; Scharcanski, J.; Marinho, D.R. Fovea center detection based on the retina anatomy and mathematical morphology. Comput. Methods Programs Biomed. 2011, 104, 397–409. [Google Scholar] [CrossRef]
- Early Treatment Diabetic Retinopathy Study Research Group. Grading diabetic retinopathy from stereoscopic color fundus photographs—An Extension of the Modified Airlie House Classification: ETDRS report number 10. Ophthalmology 2020, 127, S99–S119. [Google Scholar] [CrossRef] [PubMed]
- Niemeijer, M.; Abràmoff, M.D.; van Ginneken, B. Fast detection of the optic disc and fovea in color fundus photographs. Med. Image Anal. 2009, 13, 859–870. [Google Scholar] [CrossRef]
- Guo, X.; Li, Q.; Sun, C.; Lu, Y. Automatic localization of macular area based on structure label transfer. Int. J. Ophthalmol. 2018, 11, 422–428. [Google Scholar]
- Al-Bander, B.; Al-Nuaimy, W.; Williams, B.M.; Zheng, Y. Multiscale sequential convolutional neural networks for simultaneous detection of fovea and optic disc. Biomed. Signal Process. Control 2018, 40, 91–101. [Google Scholar] [CrossRef]
- Sedai, S.; Tennakoon, R.; Roy, P.; Cao, K.; Garnavi, R. Multi-stage segmentation of the fovea in retinal fundus images using fully Convolutional Neural Networks. In Proceedings of the 2017 IEEE 14th International Symposium on Biomedical Imaging (ISBI 2017), Melbourne, VIC, Australia, 18–21 April 2017. [Google Scholar]
- Mamoshina, P.; Vieira, A.; Putin, E.; Zhavoronkov, A. Applications of deep learning in biomedicine. Mol. Pharm. 2016, 13, 1445–1454. [Google Scholar] [CrossRef]
- Camara, J.; Neto, A.; Pires, I.M.; Villasana, M.V.; Zdravevski, E.; Cunha, A. Literature review on artificial intelligence methods for glaucoma screening, segmentation, and classification. J. Imaging 2022, 8, 19. [Google Scholar] [CrossRef] [PubMed]
- Royer, C.; Sublime, J.; Rossant, F.; Paques, M. Unsupervised approaches for the segmentation of dry armd lesions in eye fundus cslo images. J. Imaging 2021, 7, 143. [Google Scholar] [CrossRef]
- Lakshminarayanan, V.; Kheradfallah, H.; Sarkar, A.; Balaji, J.J. Automated detection and diagnosis of diabetic retinopathy: A comprehensive survey. J. Imaging 2021, 7, 165. [Google Scholar] [CrossRef]
- Medhi, J.P.; Nath, M.K.; Dandapat, S. Automatic Grading of Macular Degeneration from Color Fundus Images. In Proceedings of the 2012 World Congress on Information and Communication Technologies, Trivandrum, India, 30 October–2 November 2012. [Google Scholar]
- Sinthanayothin, C.; Boyce, J.F.; Cook, H.L.; Williamson, T.H. Automated localisation of the optic disc, fovea and retinal blood vessels from digital color fundus images. Br. J. Ophthalmol. 1999, 4, 902–910. [Google Scholar] [CrossRef]
- Chalakkal, R.J.; Abdulla, W.H.; Thulaseedharan, S.S. Automatic detection and segmentation of optic disc and fovea in retinal images. IET Image Process. 2018, 12, 2100–2110. [Google Scholar] [CrossRef]
- Fleming, A.D.; Goatman, K.A.; Philip, S.; Olson, J.A.; Sharp, P.F. Automatic detection of retinal anatomy to assist diabetic retinopathy screening. Phys. Med. Biol. 2007, 52, 331–345. [Google Scholar] [CrossRef]
- Kao, E.; Lin, P.; Chou, M.; Jaw, T.S.; Liu, G.C. Automated detection of fovea in fundus images based on vessel-free zone and adaptive Gaussian. Comput. Methods Programs Biomed. 2014, 117, 92–103. [Google Scholar] [CrossRef]
- Aquino, A. Establishing the macular grading grid by means of fovea centre detection using anatomical-based and visual-based features. Comput. Biol. Med. 2014, 55, 61–73. [Google Scholar] [CrossRef]
- Qureshi, R.J.; Kovacs, L.; Harangi, B.; Nagy, B.; Peto, T.; Hajdu, A. Combining algorithms for automatic detection of optic disc and macula in fundus images. Comput. Vis. Image Underst. 2012, 116, 138–145. [Google Scholar] [CrossRef]
- Nugroho, H.A.; Listyalina, L.; Wibirama, S.; Oktoeberza, W.K. Automated determination of macula centre point based on geometrical and pixel value approaches to support detection of foveal avascular zone. Int. J. Innov. Comput. Inf. Control 2018, 14, 1453–1463. [Google Scholar]
- Zheng, S.; Pan, L.; Chen, J.; Yu, L. Automatic and Efficient Detection of The Fovea Center in Retinal Images. In Proceedings of the 2014 7th International Conference on BioMedical Engineering and Informatics, Dalian, China, 14–16 October 2014. [Google Scholar]
- Romero-Oraá, R.; García, M.; Oraá-Pérez, J.; López, M.I.; Hornero, R. A robust method for the automatic location of the optic disc and the fovea in fundus images. Comput. Methods Programs Biomed. 2020, 196, 1–12. [Google Scholar] [CrossRef] [PubMed]
- Staal, J.; Abràmoff, M.D.; Niemeijer, M.; Viergever, M.A.; Ginneken, B.V. Ridge-based vessel segmentation in color images of the retina. IEEE Trans. Med. Imaging 2004, 23, 501–509. [Google Scholar] [CrossRef] [PubMed]
- Kauppi, T.; Kalesnykiene, V.; Kamarainen, J.K.; Lensu, L.; Sorri, I.; Raninen, A.; Voutilainen, R.; Pietilä, J.; Kälviäinen, H.; Uusitalo, H. The DIARETDB1 Diabetic Retinopathy Database and Evaluation Protocol. In Proceedings of the British Machine Vision Conference 2007, University of Warwick, Warwick, UK, 10–13 September 2007. [Google Scholar]
- Decenciere, E.; Zhang, X.; Cazuguel, G.; La¨y, B.; Cochener, B.; Trone, C.; Charton, B. Feedback on a publicly distributed image database: The Messidor database. Image Anal. Stereol. 2014, 33, 231–234. [Google Scholar] [CrossRef]
- Sasongko, M.B.; Agni, A.N.; Wardhana, F.S.; Kotha, S.P.; Gupta, P.; Widayanti, T.W.; Supanji; Widyaputri, F.; Widyaningrum, R.; Wong, T.Y.; et al. Rationale and methodology for a community-based study of diabetic retinopathy in an indonesian population with type 2 diabetes mellitus: The Jogjakarta eye diabetic study in the community. Ophthalmic Epidemiol. 2017, 24, 48–56. [Google Scholar] [CrossRef]
- Septiarini, A.; Harjoko, A.; Pulungan, R.; Ekantini, R. Optic disc and cup segmentation by automatic thresholding with morphological operation for glaucoma evaluation. Signal. Image Video Process. 2017, 11, 945–952. [Google Scholar] [CrossRef]
- Abdullah, M.; Fraz, M.M.; Barman, S.A. Localization and segmentation of optic disc in retinal images using circular Hough transform and grow-cut algorithm. PeerJ 2016, 4, 1–22. [Google Scholar] [CrossRef]
- Mookiah, M.R.K.; Acharya, U.R.; Chua, C.K.; Lim, C.M.; Ng, E.Y.K.; Laude, A. Computer-Aided Diagnosis of Diabetic Retinopathy: A Review. Comput. Biol. Med. 2013, 43, 2136–2155. [Google Scholar] [CrossRef]
- Calvo-Maroto, A.M.; Esteve-Taboada, J.J.; Pérez-Cambrodí, R.J.; Madrid-Costa, D.; Cerviño, A. Pilot study on visual function and fundus autofluorescence assessment in diabetic patients. J. Ophthalmol. 2016, 2016, 1–10. [Google Scholar] [CrossRef]
- Siddalingaswamy, P.C.; Prabhu, K.G. Automatic Grading of Diabetic Maculopathy Severity Levels. In Proceedings of the International Conference on Systems in Medicine and Biology, ICSMB 2010, Kharagpur, India, 16–18 December 2010. [Google Scholar]
- Chin, K.S.; Trucco, E.; Tan, L.; Wilson, P.J. Automatic fovea location in retinal images using anatomical priors and vessel density. Pattern Recognit. Lett. 2013, 34, 1152–1158. [Google Scholar] [CrossRef]
- Medhi, J.P.; Dandapat, S. An effective fovea detection and automatic assessment of diabetic maculopathy in color fundus images. Comput. Biol. Med. 2016, 74, 30–44. [Google Scholar] [CrossRef] [PubMed]
- Gegundez-Arias, M.E.; Marin, D.; Bravo, J.M.; Suero, A. Locating the fovea center position in digital fundus images using thresholding and feature extraction techniques. Comput. Med. Imaging Graph. 2013, 37, 386–393. [Google Scholar] [CrossRef] [PubMed]










| Method | DRIVE | DiaretDB1 | Messidor | JOGED.com | ||||
|---|---|---|---|---|---|---|---|---|
| Accuracy | Time (s) | Accuracy | Time (s) | Accuracy | Time (s) | Accuracy | Time (s) | |
| Zheng [23] | 100% | 12 | 93.3% | 12 | - | - | - | - |
| Medhi [35] | 100% | - | 95.51% | - | 97.98% | - | - | - |
| Chalakkal [17] | 100% | 25 | 95,5% | 25 | 98.5% | 25 | - | - |
| Sedai [10] | 100% | 0.4 | - | - | - | - | - | - |
| Romero-oraá [24] | 100% | 0.54 | 100% | 14.55 | 99.67% | 27.04 | - | - |
| Proposed method | 100% | 0.34 | 98.78% | 0.57 | 94.67% | 0.64 | 93% | 0.78 |
Publisher’s Note: MDPI stays neutral with regard to jurisdictional claims in published maps and institutional affiliations. |
© 2022 by the authors. Licensee MDPI, Basel, Switzerland. This article is an open access article distributed under the terms and conditions of the Creative Commons Attribution (CC BY) license (https://creativecommons.org/licenses/by/4.0/).
Share and Cite
Wibawa, H.A.; Harjoko, A.; Sumiharto, R.; Sasongko, M.B. Efficient and Robust Method to Detect the Location of Macular Center Based on Optimal Temporal Determination. J. Imaging 2022, 8, 313. https://doi.org/10.3390/jimaging8120313
Wibawa HA, Harjoko A, Sumiharto R, Sasongko MB. Efficient and Robust Method to Detect the Location of Macular Center Based on Optimal Temporal Determination. Journal of Imaging. 2022; 8(12):313. https://doi.org/10.3390/jimaging8120313
Chicago/Turabian StyleWibawa, Helmie Arif, Agus Harjoko, Raden Sumiharto, and Muhammad Bayu Sasongko. 2022. "Efficient and Robust Method to Detect the Location of Macular Center Based on Optimal Temporal Determination" Journal of Imaging 8, no. 12: 313. https://doi.org/10.3390/jimaging8120313
APA StyleWibawa, H. A., Harjoko, A., Sumiharto, R., & Sasongko, M. B. (2022). Efficient and Robust Method to Detect the Location of Macular Center Based on Optimal Temporal Determination. Journal of Imaging, 8(12), 313. https://doi.org/10.3390/jimaging8120313

