Glomerulus Classification and Detection Based on Convolutional Neural Networks †
Abstract
:1. Introduction
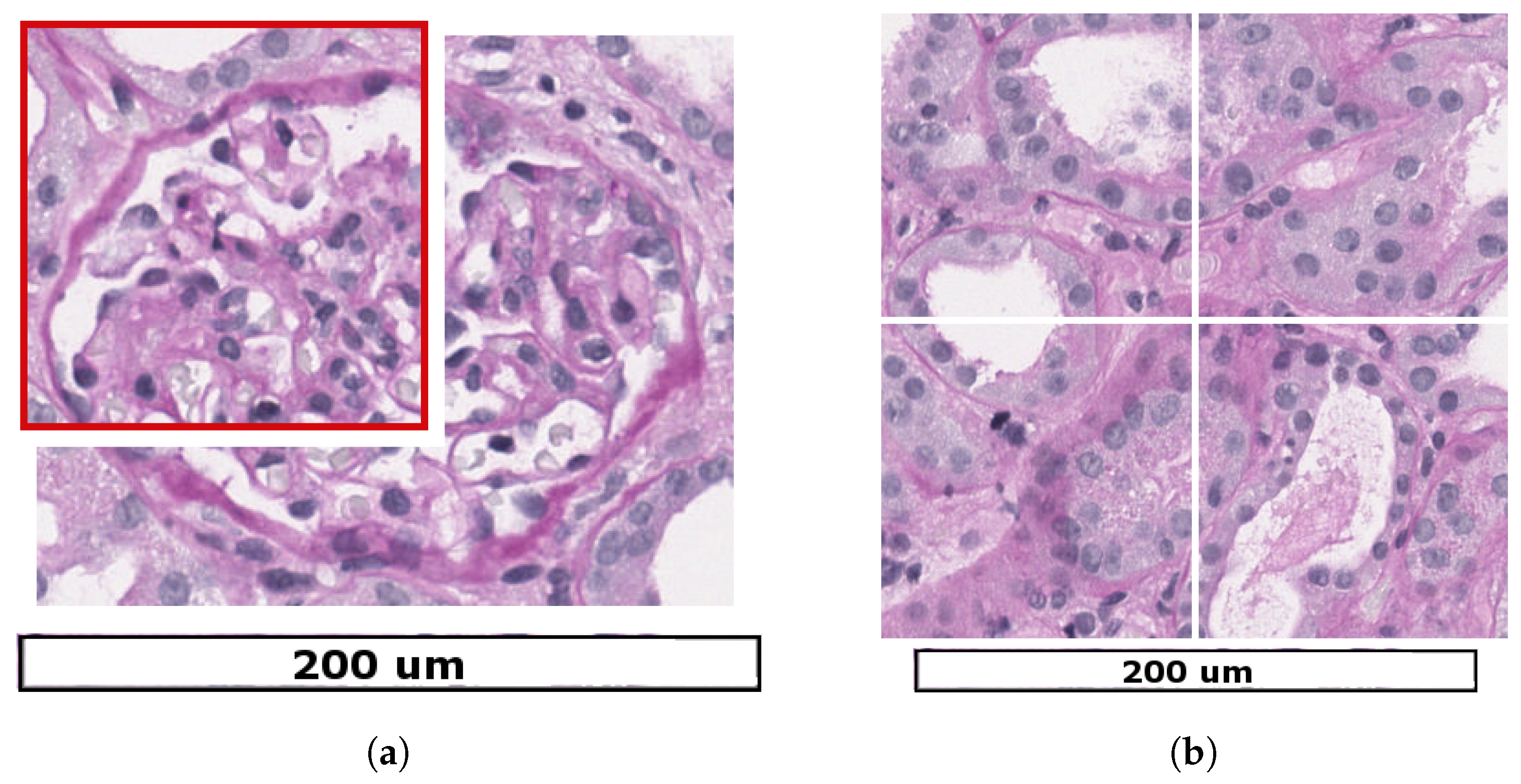
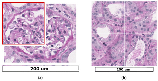
- Size and shape: In a healthy kidney before sectioning, Glomeruli present a spherical shape with fixed size (diameter ranges between 350 and 100 m), but its aspect can change due to the presence of medical diseases. For instance: Glomeruli can present a swell aspect under hypertension [4] or diabetes [5] conditions. After sectioning, the presence of pathologies affect the appearance inside the VS. Besides, the different Glomeruli sizes observed could vary depending on where the cross-section was taken with respect to each Glomerulus sphere.
- Color: In our configuration, we use PAS (Periodic Acid Schiff) stain in tissue sections, which gives a purple-magenta color to the slides. The amount of stain present in each slide will determine the color intensity of the segments under analysis. Since this process is not perfect, each slide can present different intensities. Moreover, the presence of medical diseases can vary the amount of stain present in the Glomeruli under study.
Previous Work
2. Materials and Methods
- Classify patches in two classes: Glomerulus and non-Glomerulus.
- Detect Glomerulus in WSI.
2.1. Dataset
2.1.1. Slide Digitation
2.1.2. Ground Truth Annotation
2.2. Method I: Glomerulus/Non-Glomerulus Classification
2.2.1. Materials
2.2.2. CNN Training
2.2.3. Validation
2.3. Method II: Glomerulus Detection in WSI
2.3.1. Materials
2.3.2. CNN Training
2.3.3. Test Validation
3. Results
3.1. Method I, Glomerulus Classification Results
3.2. Method II, Glomerulus Detection Results
- -
- Glomerulus regions (nine or ten out of ten positive detections)
- -
- Non-Glomerulus regions (eight or less out of ten positive detections).
4. Discussion
Acknowledgments
Author Contributions
Conflicts of Interest
Abbreviations
| WSI | Whole Slide Image |
| CNN | Convolutional Neural Network |
| PAS | Periodic Acid Schiff |
References
- Bueno, G.; Fernandez-Carrobles, M.M.; Deniz, O.; Garcia-Rojo, M. New trends of emerging technologies in digital pathology. Pathobiology 2016, 83, 61–69. [Google Scholar] [CrossRef] [PubMed]
- Janowczyk, A.; Madabhushi, A. Deep learning for digital pathology image analysis: A comprehensive tutorial with selected use cases. J. Pathol. Inform. 2016, 7. [Google Scholar] [CrossRef] [PubMed]
- Madabhushi, A.; Lee, G. Image analysis and machine learning in digital pathology: Challenges and opportunities. Med. Image Anal. 2016, 33, 170–175. [Google Scholar] [CrossRef] [PubMed]
- Hughson, M.D.; Puelles, V.G.; Hoy, W.E.; Douglas-Denton, R.N.; Mott, S.A.; Bertran, J.F. Hypertension, glomerular hypertrophy and nephrosclerosis: The effect of race. Nephrol. Dial. Transplant. 2014, 29, 1399–1409. [Google Scholar] [CrossRef] [PubMed]
- Rasch, R.; Lauszus, F.; Thomsen, J.S.; Flyvbjerg, A. Glomerular structural changes in pregnant, diabetic, and pregnant—Diabetic rats. Apmis 2005, 113, 465–472. [Google Scholar] [CrossRef] [PubMed]
- Ma, J.; Jun, Z.; Jinglu, H. Glomerulus extraction by using genetic algorithm for edge patching. In Proceedings of the 2009 IEEE Congress on Evolutionary Computation, Trondheim, Norway, 18–21 May 2009. [Google Scholar]
- Hirohashi, Y.; Relator, R.; Kakimoto, T.; Saito, R.; Horai, Y.; Fukunari, A.; Kato, T. Automated quantitative image analysis of glomerular desmin immunostaining as a sensitive injury marker in spontaneously diabetic torii rats. J. Biomed. Image Process. 2014, 1, 20–28. [Google Scholar]
- Kakimoto, T.; Okada, K.; Fujitaka, K.; Nishio, M.; Kato, T.; Fukunari, A.; Utsumi, H. Quantitative analysis of markers of podocyte injury in the rat puromycin aminonucleoside nephropathy model. Exp. Toxicol. Pathol. 2015, 67, 171–177. [Google Scholar] [CrossRef] [PubMed]
- Dalal, N.; Triggs, B. Histograms of oriented gradients for human detection. In Proceedings of the 2005 IEEE Computer Society Conference on Computer Vision and Pattern Recognition, San Diego, CA, USA, 20–25 June 2005; Volume 1. [Google Scholar]
- Kato, T.; Relator, R.; Ngouv, H.; Hirohashi, Y.; Takaki, O.; Kakimoto, T.; Okada, K. Segmental HOG: New descriptor for glomerulus detection in kidney microscopy image. BMC Bioinform. 2015, 16, 316. [Google Scholar] [CrossRef] [PubMed]
- Boser, B.E.; Guyon, I.M.; Vapnik, V.N. A training algorithm for optimal margin classifiers. In Proceedings of the Fifth Annual Workshop on Computational Learning Theory, Pittsburgh, PA, USA, 27–29 July 1992. [Google Scholar]
- Kotyk, T.; Dey, N.; Ashour, A.S.; Balas-Timar, D.; Chakraborty, S.; Ashour, A.S.; Tavares, J.M.R. Measurement of glomerulus diameter and Bowman’s space width of renal albino rats. Comput. Methods Programs Biomed. 2016, 126, 143–153. [Google Scholar] [CrossRef] [PubMed]
- Graham, R.L. An efficient algorithm for determining the convex hull of a finite planar set. Inf. Process. Lett. 1972, 1, 132–133. [Google Scholar] [CrossRef]
- Marée, R.; Dallongeville, S.; Olivo-Marin, J.C.; Meas-Yedid, V. An approach for detection of glomeruli in multisite digital pathology. In Proceedings of the 2016 IEEE 13th International Symposium on Biomedical Imaging (ISBI), Prague, Czech Republic, 13–16 April 2016; pp. 1033–1036. [Google Scholar]
- Ginley, B.; Tomaszewski, J.E.; Yacoub, R.; Chen, F.; Sarder, P. Unsupervised labeling of glomerular boundaries using Gabor filters and statistical testing in renal histology. J. Med. Imaging 2017, 4, 021102. [Google Scholar] [CrossRef] [PubMed]
- Sicard, A.; Meas-Yedid, V.; Rabeyrin, M.; Koenig, A.; Ducreux, S.; Dijoud, F.; Hervieu, V.; Badet, L.; Morelon, E.; Olivo-Marin, J.C. Computer-assisted topological analysis of renal allograft inflammation adds to risk evaluation at diagnosis of humoral rejection. Kidney Int. 2017, 92, 214–226. [Google Scholar] [CrossRef] [PubMed]
- Simon, O.; Yacoub, R.; Jain, S.; Sarder, P. Multi-radial LBP Features as a Tool for Rapid Glomerular Detection and Assessment in Whole Slide Histopathology Images. arXiv, 2017; arXiv:1709.01998. [Google Scholar]
- Zhang, M.; Wu, T.; Bennett, K.M. A novel Hessian based algorithm for rat kidney glomerulus detection in 3D MRI. In Proceedings of the SPIE Medical Imaging. International Society for Optics and Photonics, Orlando, FL, USA, 21–26 February 2015. [Google Scholar]
- Kothari, S.; Phan, J.H.; Stokes, T.H.; Wang, M.D. Pathology imaging informatics for quantitative analysis of whole-slide images. J. Am. Med. Inform. Assoc. 2013, 20, 1099–1108. [Google Scholar] [CrossRef] [PubMed]
- Wang, H.; Cruz-Roa, A.; Basavanhally, A.; Gilmore, H.; Shih, N.; Feldman, M.; Madabhushi, A. Mitosis detection in breast cancer pathology images by combining handcrafted and convolutional neural network features. J. Med. Imaging 2014, 1, 034003. [Google Scholar] [CrossRef] [PubMed]
- Malon, C.D.; Cosatto, E. Classification of mitotic figures with convolutional neural networks and seeded blob features. J. Pathol. Inform. 2013, 4, 9. [Google Scholar] [CrossRef] [PubMed]
- Xu, K.; Zhu, L.; Wang, R.; Liu, C.; Zhao, Y. Automated Detection of Diabetic Retinopathy Using Deep Convolutional Neural Networks. Med. Phys. 2016, 3, 633–641. [Google Scholar] [CrossRef]
- Havaei, M.; Davy, A.; Warde-Farley, D.; Biard, A.; Courville, A.; Bengio, Y.; Larochelle, H. Brain tumour segmentation with deep neural networks. Med. Image Anal. 2017, 35, 18–31. [Google Scholar] [CrossRef] [PubMed]
- Temerinac-Ott, M.; Forestier, G.; Schmitz, J.; Hermsen, M.; Bräsen, J.H.; Feuerhake, F.; Wemmert, C. Detection of glomeruli in renal pathology by mutual comparison of multiple staining modalities. In Proceedings of the 2017 10th International Symposium on Image and Signal Processing and Analysis (ISPA), Ljubljana, Slovenia, 18–20 September 2017; pp. 19–24. [Google Scholar]
- Gadermayra, M.; Dombrowskia, A.K.; Klinkhammerb, B.M.; Boorb, P.; Merhofa, D. CNN Cascades for Segmenting Whole Slide Images of the Kidney. arXiv, 2016; arXiv:1708.00251. [Google Scholar]
- Agarwal, S.K.; Sethi, S.; Dinda, A.K. Basics of kidney biopsy: A nephrologist’s perspective. Indian J. Nephrol. 2013, 23, 243. [Google Scholar] [CrossRef] [PubMed]
- AIDPATH (Academia and Industry for Digital Pathology). European Project FP7 612471. Kidney database. Available online: http://aidpath.eu/ (accessed on 16 January 2018).
- Smith, N.R.; Womack, C. A matrix approach to guide IHC-based tissue biomarker development in oncology drug discovery. J. Pathol. 2014, 232, 190–198. [Google Scholar] [CrossRef] [PubMed]
- Krizhevsky, A.; Sutskever, I.; Hinton, G. Imagenet classification with deep convolutional neural networks. In Proceedings of the Advances in Neural Information Processing Systems, Stateline, NV, USA, 3–8 December 2012; pp. 1097–1105. [Google Scholar]
- Szegedy, C.; Liu, W.; Jia, Y.; Sermanet, P.; Reed, S.; Anguelov, D.; Rabinovich, A. Going deeper with convolutions. In Proceedings of the IEEE Conference on Computer Vision and Pattern Recognition, Boston, MA, USA, 7–12 June 2015; pp. 1–9. [Google Scholar]
- Fawcett, T. An introduction to ROC analysis. Pattern Recognit. Lett. 2006, 27, 861–874. [Google Scholar] [CrossRef]
- Reinhard, E.; Adhikhmin, M.; Gooch, B.; Shirley, P. Color transfer between images. IEEE Comput. Graph. Appl. 2001, 21, 34–41. [Google Scholar] [CrossRef]
- Gallego, J.; Swiderska-Chadaj, Z.; Deniz, O.; Bueno, G. Ki67 hot-spots detection on histopathological images of breast carcinoma using convolutional neural networks. In Proceedings of the Anual Congress of the Biomedical Engineering Spanish Society, Lejona, Spain, 29 November–1 December 2017. [Google Scholar]
- Swiderska, Z.; Korzynska, A.; Markiewicz, T.; Lorent, M.; Zak, J.; Wesolowska, A.; Roszkowiak, L.; Slodkowska, J.; Grala, B. Comparison of the manual, semiautomatic, and automatic selection and leveling of hot spots in whole slide images for ki-67 quantification in meningiomas. Anal. Cell. Pathol. 2015, 2015, 498746. [Google Scholar] [CrossRef] [PubMed]













| Year [Reference] | Application | Dataset | Features | Classification | Performance |
|---|---|---|---|---|---|
| 5 WSIs | Handcrafted | ||||
| 2013 [21] | Mitotic figures | with 35 ROIs | (Colour, texture, shape) | SVM | 0.659 (F-score) |
| and 226 samples | + CNN (LeNet based) | ||||
| Handcrafted | |||||
| 2014 [20] | Mitotic figures | 35 HPFs | (Morphology, Intensity, Texture) | Ensemble | 0.735 (F-score) |
| + Custom CNN (2CV + FC) | |||||
| 2016 [2] | Nuclei segmentation | 141 ROIs with 12,000 samples | AlexNet based CNN | Softmax | 0.83 (F-score) |
| Epithelium segmentation | 42 ROIs with 1,735 samples | AlexNet based CNN | Softmax | 0.83 (F-score) | |
| Tubule segmentation | 85 ROIs with 795 samples | AlexNet based CNN | Softmax | 0.84 (F-score) | |
| Lymphocyte detection | 100 ROIs with 3064 samples | AlexNet based CNN | Softmax | 0.9 (F-score) | |
| Mitosis detection | 311 ROIs with 550 samples | AlexNet based CNN | Softmax | 0.53 (F-score) | |
| Invasive ductal carcinoma | 162 WSIs | AlexNet based CNN | Softmax | 0.765 (F-score) | |
| Lymphoma classification | 374 samples | AlexNet based CNN | Softmax | 97.0% (Acc) | |
| 2017 [23] | Brain tumour segmentation | BRATS2013 | Custom CNN (4CV) | Softmax | 0.84 (Dice) |
| Proposed | Glomeruli classification | 10,600 ROIs from 40 WSIs | CNN-AlexNet (pre-trained) | Softmax | 0.999 (F-score) |
| Proposed | Glomeruli classification | 10,600 ROIs from 40 WSIs | CNN-AlexNet (from-scratch) | Softmax | 0.992 (F-score) |
| Proposed | Glomeruli classification | 10,600 ROIs from 40 WSIs | CNN-GoogleNet (pre-trained) | Softmax | 0.999 (F-score) |
| Proposed | Glomeruli classification | 10,600 ROIs from 40 WSIs | CNN-GoogleNet (from-scratch) | Softmax | 0.994 (F-score) |
| Redundancy Value | Precision | Recall |
|---|---|---|
| 10 | 0.881 | 0.989 |
| 9 | 0.881 | 1 |
| 8 | 0.804 | 1 |
| 7 | 0.781 | 1 |
| 6 | 0.759 | 1 |
| 5 | 0.739 | 1 |
| Architecture | Technique | F-Score |
|---|---|---|
| AlexNet | pre-trained | 0.999 |
| AlexNet | from-scratch | 0.992 |
| GoogleNet | pre-trained | 0.999 |
| GoogleNet | from-scratch | 0.994 |
| Glomerulus | Non-Glomerulus | |
|---|---|---|
| Glomerulus | 5295 | 5 |
| Non Glomerulus | 0 | 5300 |
| Metric | Value |
|---|---|
| Precision | 0.881 |
| Recall | 1 |
| 0.937 |
© 2018 by the authors. Licensee MDPI, Basel, Switzerland. This article is an open access article distributed under the terms and conditions of the Creative Commons Attribution (CC BY) license (http://creativecommons.org/licenses/by/4.0/).
Share and Cite
Gallego, J.; Pedraza, A.; Lopez, S.; Steiner, G.; Gonzalez, L.; Laurinavicius, A.; Bueno, G. Glomerulus Classification and Detection Based on Convolutional Neural Networks. J. Imaging 2018, 4, 20. https://doi.org/10.3390/jimaging4010020
Gallego J, Pedraza A, Lopez S, Steiner G, Gonzalez L, Laurinavicius A, Bueno G. Glomerulus Classification and Detection Based on Convolutional Neural Networks. Journal of Imaging. 2018; 4(1):20. https://doi.org/10.3390/jimaging4010020
Chicago/Turabian StyleGallego, Jaime, Anibal Pedraza, Samuel Lopez, Georg Steiner, Lucia Gonzalez, Arvydas Laurinavicius, and Gloria Bueno. 2018. "Glomerulus Classification and Detection Based on Convolutional Neural Networks" Journal of Imaging 4, no. 1: 20. https://doi.org/10.3390/jimaging4010020
APA StyleGallego, J., Pedraza, A., Lopez, S., Steiner, G., Gonzalez, L., Laurinavicius, A., & Bueno, G. (2018). Glomerulus Classification and Detection Based on Convolutional Neural Networks. Journal of Imaging, 4(1), 20. https://doi.org/10.3390/jimaging4010020

