Quantitative Ultrasound Texture Analysis of Breast Tumors: A Comparison of a Cart-Based and a Wireless Ultrasound Scanner
Abstract
1. Introduction
2. Materials and Methods
2.1. Ultrasound Systems and Scanning Protocol
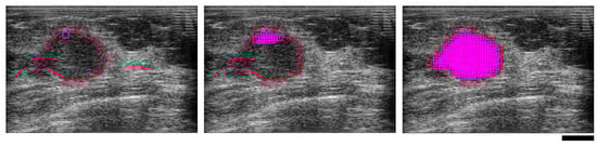
2.2. Ultrasound Data Analysis
2.3. Consistency Analysis
2.4. Statistical Analysis
3. Results
4. Discussion
5. Conclusions
Author Contributions
Funding
Institutional Review Board Statement
Informed Consent Statement
Data Availability Statement
Acknowledgments
Conflicts of Interest
References
- Osapoetra, L.O.; Sannachi, L.; DiCenzo, D.; Quiaoit, K.; Fatima, K.; Czarnota, G.J. Breast lesion characterization using Quantitative Ultrasound (QUS) and derivative texture methods. Transl. Oncol. 2020, 13, 100827. [Google Scholar] [CrossRef] [PubMed]
- Oh, K.E.; Vasandani, N.; Anwar, A. Radiomics to Differentiate Malignant and Benign Breast Lesions: A Systematic Review and Diagnostic Test Accuracy Meta-Analysis. Cureus 2023, 15, e49015. [Google Scholar] [CrossRef] [PubMed]
- Sadeghi-Naini, A.; Falou, O.; Tadayyon, H.; Al-Mahrouki, A.; Tran, W.; Papanicolau, N.; Kolios, M.C.; Czarnota, G.J. Conventional Frequency Ultrasonic Biomarkers of Cancer Treatment Response In Vivo. Transl. Oncol. 2013, 6, 234-IN2. [Google Scholar] [CrossRef]
- Sadeghi-Naini, A.; Sannachi, L.; Pritchard, K.; Trudeau, M.; Gandhi, S.; Wright, F.C.; Zubovits, J.; Yaffe, M.J.; Kolios, M.C.; Czarnota, G.J. Early prediction of therapy responses and outcomes in breast cancer patients using quantitative ultrasound spectral texture. Oncotarget 2014, 5, 3497–3511. [Google Scholar] [CrossRef] [PubMed]
- Sadeghi-Naini, A.; Suraweera, H.; Tran, W.T.; Hadizad, F.; Bruni, G.; Rastegar, R.F.; Curpen, B.; Czarnota, G.J. Breast-Lesion Characterization using Textural Features of Quantitative Ultrasound Parametric Maps. Sci. Rep. 2017, 7, 13638. [Google Scholar] [CrossRef]
- DiCenzo, D.; Quiaoit, K.; Fatima, K.; Bhardwaj, D.; Sannachi, L.; Gangeh, M.; Sadeghi-Naini, A.; Dasgupta, A.; Kolios, M.C.; Trudeau, M.; et al. Quantitative ultrasound radiomics in predicting response to neoadjuvant chemotherapy in patients with locally advanced breast cancer: Results from multi-institutional study. Cancer Med. 2020, 9, 5798–5806. [Google Scholar] [CrossRef]
- Nam, K.; Rosado-Mendez, I.M.; Wirtzfeld, L.A.; Kumar, V.; Madsen, E.L.; Ghoshal, G.; Pawlicki, A.D.; Oelze, M.L.; Lavarello, R.J.; Bigelow, T.A.; et al. Cross-imaging system comparison of backscatter coefficient estimates from a tissue-mimicking material. J. Acoust. Soc. Am. 2012, 132, 1319–1324. [Google Scholar] [CrossRef]
- Anderson, J.J.; Herd, M.-T.; King, M.R.; Haak, A.; Hafez, Z.T.; Song, J.; Oelze, M.L.; Madsen, E.L.; Zagzebski, J.A.; O’Brien, W.D.; et al. Interlaboratory Comparison of Backscatter Coefficient Estimates for Tissue-Mimicking Phantoms. Ultrason. Imaging 2010, 32, 48–64. [Google Scholar] [CrossRef]
- Nam, K.; Rosado-Mendez, I.M.; Wirtzfeld, L.A.; Pawlicki, A.D.; Kumar, V.; Madsen, E.L.; Ghoshal, G.; Lavarello, R.J.; Oelze, M.L.; Bigelow, T.A.; et al. Ultrasonic Attenuation and Backscatter Coefficient Estimates of Rodent-Tumor-Mimicking Structures: Comparison of Results among Clinical Scanners. Ultrason. Imaging 2011, 33, 233–250. [Google Scholar] [CrossRef]
- Wirtzfeld, L.A.; Ghoshal, G.; Hafez, Z.T.; Nam, K.; Labyed, Y.; Anderson, J.J.; Herd, M.-T.; Haak, A.; He, Z.; Miller, R.J.; et al. Cross-Imaging Platform Comparison of Ultrasonic Backscatter Coefficient Measurements of Live Rat Tumors. J. Ultrasound Med. 2010, 29, 1117–1123. [Google Scholar] [CrossRef]
- Wirtzfeld, L.A.; Ghoshal, G.; Rosado-Mendez, I.M.; Nam, K.; Park, Y.; Pawlicki, A.D.; Miller, R.J.; Simpson, D.G.; Zagzebski, J.A.; Oelze, M.L.; et al. Quantitative Ultrasound Comparison of MAT and 4T1 Mammary Tumors in Mice and Rats Across Multiple Imaging Systems. J. Ultrasound Med. 2015, 34, 1373–1383. [Google Scholar] [CrossRef] [PubMed]
- Sannachi, L.; Gangeh, M.; Naini, A.-S.; Bhargava, P.; Jain, A.; Tran, W.T.; Czarnota, G.J. Quantitative Ultrasound Monitoring of Breast Tumour Response to Neoadjuvant Chemotherapy: Comparison of Results Among Clinical Scanners. Ultrasound Med. Biol. 2020, 46, 1142–1157. [Google Scholar] [CrossRef] [PubMed]
- Nelson, B.P.; Topol, E.; Bhagra, A.; Mulvagh, S.L.; Narula, J. (Eds.) Atlas of Handheld Ultrasound; Springer International Publishing: Cham, Switzerland, 2018. [Google Scholar] [CrossRef]
- Le, M.-P.T.; Voigt, L.; Nathanson, R.; Maw, A.M.; Johnson, G.; Dancel, R.; Mathews, B.; Moreira, A.; Sauthoff, H.; Gelabert, C.; et al. Comparison of four handheld point-of-care ultrasound devices by expert users. Ultrasound J. 2022, 14, 27. [Google Scholar] [CrossRef]
- Moussaoui, G.; Zakaria, A.S.; Negrean, C.; Nguyen, D.-D.; Couture, F.; Tholomier, C.; Sadri, I.; Arezki, A.; Schwartz, R.N.; Elterman, D.S.; et al. Accuracy of Clarius, Handheld Wireless Point-of-Care Ultrasound, in Evaluating Prostate Morphology and Volume Compared to Radical Prostatectomy Specimen Weight: Is There a Difference between Transabdominal vs Transrectal Approach? J. Endourol. 2021, 35, 1300–1306. [Google Scholar] [CrossRef]
- Insana, M.F.; Hall, T.J. Parametric ultrasound imaging from backscatter coefficient measurements: Image formation and interpretation. Ultrasonic Imaging. 1990, 12, 245–267. [Google Scholar] [CrossRef] [PubMed]
- Insana, M.F.; Wagner, R.F.; Brown, D.G.; Hall, T.J. Describing small-scale structure in random media using pulse-echo ultrasound. J. Acoust. Soc. Am. 1990, 87, 179–192. [Google Scholar] [CrossRef]
- Yao, L.X.; Zagzebski, J.A.; Madsen, E.L. Backscatter Coefficient Measurements Using a Reference Phantom to Extract Depth-Dependent Instrumentation Factors. Ultrason Imaging 1990, 12, 58–70. [Google Scholar] [CrossRef]
- Madsen, E.L.; Zagzebski, J.A.; Frank, G.R. Oil-in-gelatin dispersions for use as ultrasonically tissue-mimicking materials. Ultrasound Med. Biol. 1982, 8, 277–287. [Google Scholar] [CrossRef]
- Kremkau, F.W.; Barnes, R.W.; McGraw, C.P. Ultrasonic attenuation and propagation speed in normal human brain. J. Acoust. Soc. Am. 1981, 70, 29–38. [Google Scholar] [CrossRef]
- Duric, N.; Littrup, P.; Babkin, A.; Chambers, D.; Azevedo, S.; Kalinin, A.; Pevzner, R.; Tokarev, M.; Holsapple, E.; Rama, O.; et al. Development of ultrasound tomography for breast imaging: Technical assessment. Med. Phys. 2005, 32, 1375–1386. [Google Scholar] [CrossRef]
- Labyed, Y.; Bigelow, T.A. A theoretical comparison of attenuation measurement techniques from backscattered ultrasound echoes. J. Acoust. Soc. Am. 2011, 129, 2316–2324. [Google Scholar] [CrossRef] [PubMed]
- Oelze, M.L.; O’Brien, W.D. Method of improved scatterer size estimation and application to parametric imaging using ultrasound. J. Acoust. Soc. Am. 2002, 112, 3053–3063. [Google Scholar] [CrossRef]
- Gerig, A.; Zagzebski, J.; Varghese, T. Statistics of ultrasonic scatterer size estimation with a reference phantom. J. Acoust. Soc. Am. 2003, 113, 3430–3437. [Google Scholar] [CrossRef] [PubMed]
- Li, C.; Duric, N.; Littrup, P.; Huang, L. In vivo Breast Sound-Speed Imaging with Ultrasound Tomography. Ultrasound Med. Biol. 2009, 35, 1615–1628. [Google Scholar] [CrossRef] [PubMed]
- Haralick, R.M.; Shanmugam, K.; Dinstein, I. Textural Features for Image Classification. IEEE Trans. Syst. Man Cybern. SMC- 1973, 3, 610–621. [Google Scholar] [CrossRef]
- Bland, J.M.; Altman, D.G. Statistical methods for assessing agreement between two methods of clinical measurement. Lancet 1986, 1, 307–310. [Google Scholar] [CrossRef]





| Parameters | ST (L14-5/60) | CL15 |
|---|---|---|
| Transducer Parameters | ||
| Number of Elements | 128 | 192 |
| Center Frequency [MHz] | 6.3 | 6.7 |
| Frequency Bandwidth range [MHz] | 3–8 | 5.1–8.3 |
| Imaging Parameters | ||
| Sampling Rate [MHz] | 40 | 30 |
| Focal Position [mm] | 17.5 | 20.03 |
| Image Pixel Width (Lateral) [mm] | 0.1174 | 0.2604 |
| Image Pixel Width (Axial) [mm] | 0.0193 | 0.0256 |
| Image Size (Lateral) [pixels] | 510 | 192 |
| Image Size (Axial) [pixels] | 2064 | 1586 |
| ID | Benign/Malignant | Mass Size (cm) | Age | Side | Grade | Histology | ER | PR | HER2 |
|---|---|---|---|---|---|---|---|---|---|
| 1 | M | 4.4 | 52 | L | 2 | Invasive Lobular Carcinoma (ILC) | + | + | - |
| 2 | M | 2.1 | 49 | L | 1 | Invasive Ductal Carcinoma (IDC) | + | + | - |
| 3 | M | 1.0 | 65 | R | 1 | IDC | + | + | - |
| 4 | M | 2.6 | 41 | L | 2 | IDC | + | + | - |
| 5 | M | 4.1 | 97 | L | 2 | Metaplastic Breast Carcinoma | - | - | - |
| 6 | B | 2.4 | 39 | L | N/A | Fibroadenoma (Benign) | N/A | N/A | N/A |
| 7 | M | 2.2 | 78 | R | 1 | IDC | + | + | - |
| 8 | B | 3.4 | 34 | L | N/A | Fibroadenoma (Benign) | N/A | N/A | N/A |
| 9 | B | 1.5 | 44 | R | N/A | Fibroadenoma (Benign) | N/A | N/A | N/A |
| 10 | M | 5.9 | 84 | L | 1 | ILC | + | - | - |
| 11 | B | 1.2 | 46 | L | N/A | Fibroepithelial Lesion (Benign) | N/A | N/A | N/A |
| 12 | M | 2.0 | 54 | R | 2 | Mixed IDC/ILC | + | + | - |
| 13 | M | 4.4 | 60 | R | 2 | ILC | + | + | - |
| 14 | M | 3.4 | 44 | L | 3 | IDC | - | - | + |
| 15 | M | 2.5 | 56 | R | 3 | IDC | - | - | - |
| 16 | M | 2.6 | 46 | L | 3 | IDC | - | - | - |
| 17 | M | 1.7 | 53 | R | 2 | IDC | + | + | - |
| 18 | M | 3.8 | 52 | L | 2 | IDC | + | - | + |
| 19 | M | 1.9 | 52 | L | 2 | IDC | - | - | - |
| 20 | M | 3.4 | 53 | L | 2 | IDC | + | + | + |
| 21 | M | 2.2 | 39 | L | 2 | IDC | + | + | + |
| 22 | M | 1.1 | 35 | L | 1 | IDC | + | + | - |
| 23 | B | 2.9 | 38 | R | N/A | Fibroadenoma (Benign) | N/A | N/A | N/A |
| 24 | M | 0.5 | 50 | L | 2 | IDC | + | + | - |
| 25 | B | 0.7 | 55 | L | N/A | Microcysts with Calcifications (Benign) | N/A | N/A | N/A |
| 26 | M | 3.6 | 62 | R | 2 | Mixed IDC/ILC | + | + | - |
| 27 | M | 1.2 | 43 | R | 2 | IDC, Micropapillary Features | + | + | - |
| 28 | M | 1.4 | 48 | R | 2 | IDC | + | + | - |
| QUS Feature | RMSD (ST) (3–8 MHz) | RMSD (L15) (5–8 MHz) | RMSD USS ST (3–8 MHz) and L15 (5–8 MHz) | RMSD USS (5–8 MHz) |
|---|---|---|---|---|
| ASD | 16.34 | 8.951 | 34.82 | 13.658 |
| AAC | 17.71 | 12.084 | 35.95 | 16.072 |
| MBF | 3.237 | 2.706 | 3.48 | 3.048 |
| SS | 0.509 | 0.3975 | 1.31 | 0.531 |
| SI | 1.815 | 2.206 | 7.62 | 2.574 |
| ASD-CON | 0.323 | 0.264 | 0.381 | 0.542 |
| ASD-COR | 0.0230 | 0.0147 | 0.0237 | 0.028 |
| ASD-ENE | 0.0380 | 0.0420 | 0.0864 | 0.041 |
| ASD-HOM | 0.0336 | 0.0257 | 0.0650 | 0.083 |
| AAC-CON | 0.539 | 0.374 | 0.756 | 0.969 |
| AAC-COR | 0.0302 | 0.0146 | 0.0342 | 0.035 |
| AAC-ENE | 0.0557 | 0.0188 | 0.0879 | 0.022 |
| AAC-HOM | 0.0515 | 0.0267 | 0.0630 | 0.088 |
| MBF-CON | 0.178 | 0.141 | 0.302 | 0.492 |
| MBF-COR | 0.0138 | 0.0104 | 0.0239 | 0.028 |
| MBF-ENE | 0.0109 | 0.00970 | 0.0125 | 0.014 |
| MBF-HOM | 0.0236 | 0.0209 | 0.0585 | 0.052 |
| SS-CON | 0.148 | 0.155 | 0.182 | 0.229 |
| SS-COR | 0.0206 | 0.0127 | 0.0162 | 0.025 |
| SS-ENE | 0.00977 | 0.0136 | 0.0141 | 0.008 |
| SS-HOM | 0.0189 | 0.0175 | 0.0363 | 0.036 |
| SI-CON | 0.156 | 0.122 | 0.228 | 0.274 |
| SI-COR | 0.0159 | 0.0125 | 0.0152 | 0.026 |
| SI-ENE | 0.0104 | 0.0104 | 0.0152 | 0.009 |
| SI-HOM | 0.0188 | 0.0147 | 0.0402 | 0.036 |
| QUS Feature | RMSD (ST) (3–8 MHz) | RMSD (L15) (5–8 MHz) | RMSD USS ST (3–8 MHz) and L15 (5–8 MHz) | RMSD USS (5–8 MHz) |
|---|---|---|---|---|
| ASD | 21.25 | 12.02 | 21.53 | 8.514 |
| AAC | 21.44 | 13.61 | 15.69 | 7.074 |
| MBF | 3.052 | 2.35 | 7.132 | 4.262 |
| SS | 0.622 | 0.409 | 0.816 | 0.296 |
| SI | 2.152 | 2.383 | 10.34 | 4.253 |
| ASD-CON | 0.269 | 0.204 | 0.205 | 0.487 |
| ASD-COR | 0.0150 | 0.0153 | 0.0183 | 0.025 |
| ASD-ENE | 0.0281 | 0.0125 | 0.0327 | 0.019 |
| ASD-HOM | 0.0293 | 0.0181 | 0.0343 | 0.075 |
| AAC-CON | 0.474 | 0.282 | 0.484 | 0.792 |
| AAC-COR | 0.0224 | 0.0152 | 0.0284 | 0.030 |
| AAC-ENE | 0.0539 | 0.0180 | 0.0621 | 0.021 |
| AAC-HOM | 0.0529 | 0.0241 | 0.0322 | 0.082 |
| MBF-CON | 0.145 | 0.138 | 0.136 | 0.172 |
| MBF-COR | 0.129 | 0.00964 | 0.0186 | 0.017 |
| MBF-ENE | 0.0158 | 0.0111 | 0.0117 | 0.006 |
| MBF-HOM | 0.0284 | 0.0195 | 0.0456 | 0.049 |
| SS-CON | 0.0978 | 0.147 | 0.125 | 0.186 |
| SS-COR | 0.0169 | 0.0139 | 0.0179 | 0.026 |
| SS-ENE | 0.00867 | 0.00840 | 0.0129 | 0.011 |
| SS-HOM | 0.0159 | 0.0193 | 0.0239 | 0.048 |
| SI-CON | 0.150 | 0.189 | 0.119 | 0.125 |
| SI-COR | 0.0129 | 0.0134 | 0.0158 | 0.016 |
| SI-ENE | 0.00947 | 0.0111 | 0.0149 | 0.013 |
| QUS Feature | p-Value, Benign Group | p-Value, Malig. Group |
|---|---|---|
| MBF | 0.827 | 0.958 |
| SS | 0.182 | 0.165 |
| SI | 0.543 | 0.254 |
| ASD | 0.228 | 0.171 |
| AAC | 0.661 | 0.211 |
| MBF-con | 0.0995 | 0.385 |
| MBF-cor | 0.0430 | 0.940 |
| MBF-ene | 0.372 | 0.0140 |
| MBF-hom | 0.00389 | 0.159 |
| SS-con | 0.209 | 0.0609 |
| SS-cor | 0.0518 | 0.00664 |
| SS-ene | 0.0361 | 0.142 |
| SS-hom | 0.00451 | 0.00249 |
| SI-con | 0.273 | 0.0738 |
| SI-cor | 0.203 | 0.0455 |
| SI-ene | 0.0164 | 0.0656 |
| SI-hom | 0.00230 | 0.00344 |
| ASD-con | 0.0167 | 0.00127 |
| ASD-cor | 0.0436 | 0.00619 |
| ASD-ene | 0.278 | 0.0216 |
| ASD-hom | 6.58 × 10−4 | 1.02 × 10−9 |
| AAC-con | 0.0102 | 7.87 × 10−4 |
| AAC-cor | 0.0388 | 0.00393 |
| AAC-ene | 0.192 | 0.0135 |
| AAC-hom | 1.03 × 10−4 | 3.03 × 10−10 |
Disclaimer/Publisher’s Note: The statements, opinions and data contained in all publications are solely those of the individual author(s) and contributor(s) and not of MDPI and/or the editor(s). MDPI and/or the editor(s) disclaim responsibility for any injury to people or property resulting from any ideas, methods, instructions or products referred to in the content. |
© 2025 by the authors. Licensee MDPI, Basel, Switzerland. This article is an open access article distributed under the terms and conditions of the Creative Commons Attribution (CC BY) license (https://creativecommons.org/licenses/by/4.0/).
Share and Cite
Alberico, D.; Sannachi, L.; Anzola Pena, M.L.; Yip, J.; Osapoetra, L.O.; Halstead, S.; DiCenzo, D.; Gandhi, S.; Wright, F.; Oelze, M.; et al. Quantitative Ultrasound Texture Analysis of Breast Tumors: A Comparison of a Cart-Based and a Wireless Ultrasound Scanner. J. Imaging 2025, 11, 146. https://doi.org/10.3390/jimaging11050146
Alberico D, Sannachi L, Anzola Pena ML, Yip J, Osapoetra LO, Halstead S, DiCenzo D, Gandhi S, Wright F, Oelze M, et al. Quantitative Ultrasound Texture Analysis of Breast Tumors: A Comparison of a Cart-Based and a Wireless Ultrasound Scanner. Journal of Imaging. 2025; 11(5):146. https://doi.org/10.3390/jimaging11050146
Chicago/Turabian StyleAlberico, David, Lakshmanan Sannachi, Maria Lourdes Anzola Pena, Joyce Yip, Laurentius O. Osapoetra, Schontal Halstead, Daniel DiCenzo, Sonal Gandhi, Frances Wright, Michael Oelze, and et al. 2025. "Quantitative Ultrasound Texture Analysis of Breast Tumors: A Comparison of a Cart-Based and a Wireless Ultrasound Scanner" Journal of Imaging 11, no. 5: 146. https://doi.org/10.3390/jimaging11050146
APA StyleAlberico, D., Sannachi, L., Anzola Pena, M. L., Yip, J., Osapoetra, L. O., Halstead, S., DiCenzo, D., Gandhi, S., Wright, F., Oelze, M., & Czarnota, G. J. (2025). Quantitative Ultrasound Texture Analysis of Breast Tumors: A Comparison of a Cart-Based and a Wireless Ultrasound Scanner. Journal of Imaging, 11(5), 146. https://doi.org/10.3390/jimaging11050146

