Shaping the Optimal Timing for Treatment of Isolated Asymptomatic Severe Aortic Stenosis with Preserved Left Ventricular Ejection Fraction: The Role of Non-Invasive Diagnostics Focused on Strain Echocardiography and Future Perspectives
Abstract
1. Introduction
2. Isolated Aortic Stenosis Etiology, Pathophysiological Considerations, and Clinical Impact
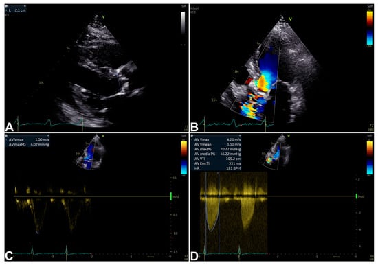
3. Echocardiography for Isolated Severe Aortic Stenosis Assessment and Characterization
3.1. Left Ventricular Global Longitudinal Strain
3.2. Left Atrium Strain
3.3. Left Ventricular Myocardial Work
4. Allied Non-Invasive Diagnostics for Characterizing Patients with Isolated Asymptomatic Severe Aortic Stenosis and Preserved Left Ventricular Ejection Fraction
4.1. Cardiac Magnetic Resonance
4.2. Other Non-Invasive Cardiac Imaging Modalities and Basic Biomarkers Miscellaneous
5. Current Indications for Treatment of Isolated Asymptomatic Severe Aortic Stenosis with Preserved Left Ventricular Ejection Fraction
6. Prognosis, Gaps in the Evidence, and Future Perspectives on Isolated Asymptomatic Severe Aortic Stenosis with Preserved Left Ventricular Ejection Fraction
7. Conclusions
Author Contributions
Funding
Institutional Review Board Statement
Informed Consent Statement
Data Availability Statement
Conflicts of Interest
References
- Dweck, M.R.; Loganath, K.; Bing, R.; Treibel, T.A.; McCann, G.P.; Newby, D.E.; Leipsic, J.; Fraccaro, C.; Paolisso, P.; Cosyns, B.; et al. Multi-modality imaging in aortic stenosis: An EACVI clinical consensus document. Eur. Heart J. Cardiovasc. Imaging 2023, 24, 1430–1443. [Google Scholar] [CrossRef] [PubMed]
- Gaznabi, S.; Miranda, J.; Lorenzatti, D.; Piña, P.; Balasubramanian, S.S.; Desai, D.; Desai, A.; Ho, E.C.; Scotti, A.; Gongora, C.A.; et al. Multimodality imaging in aortic stenosis: Beyond the valve—Focusing on the myocardium. Interv. Cardiol. Clin. 2024, 13, 101–114. [Google Scholar]
- Vahanian, A.; Beyersdorf, F.; Praz, F.; Milojevic, M.; Baldus, S.; Bauersachs, J.; Capodanno, D.; Conradi, L.; De Bonis, M.; De Paulis, R.; et al. 2021 ESC/EACTS guidelines for the management of valvular heart disease. Eur. Heart J. 2022, 43, 561–632. [Google Scholar] [CrossRef] [PubMed]
- Otto, C.M.; Nishimura, R.A.; Bonow, R.O.; Carabello, B.A.; Erwin, J.P., 3rd; Gentile, F.; Jneid, H.; Krieger, E.V.; Mack, M.; McLeod, C.; et al. 2020 ACC/AHA guideline for the management of patients with valvular heart disease: A report of the American College of Cardiology/American Heart Association Joint Committee on clinical practice guidelines. J. Am. Coll. Cardiol. 2021, 77, e25–e197. [Google Scholar] [PubMed]
- Lamm, G. New strategies in the management of valvular heart disease: A critical appraisal on the top 10 messages of the 2020 ACC/AHA guidelines for the management of patients with valvular heart disease. Wien. Klin. Wochenschr. 2021, 133, 786–789. [Google Scholar] [CrossRef]
- Lee, G.; Chikwe, J.; Milojevic, M.; Wijeysundera, H.C.; Biondi-Zoccai, G.; Flather, M.; Gaudino, M.F.L.; Fremes, S.E.; Tam, D.Y. ESC/EACTS vs. ACC/AHA guidelines for the management of severe aortic stenosis. Eur. Heart, J. 2023, 44, 796–812. [Google Scholar] [CrossRef] [PubMed]
- Laskar, N.; Badiani, S.; Treibel, T.; Bhattacharyya, S.; Lloyd, G. Comparison of the recent updates to the ACC/AHA and ESC guidelines for the management of valvular heart disease: Similarities and differences. Curr. Cardiol. Rep. 2023, 25, 147–156. [Google Scholar] [CrossRef]
- Doherty, J.U.; Kort, S.; Mehran, R.; Schoenhagen, P.; Soman, P.; Dehmer, G.J.; Doherty, J.U.; Schoenhagen, P.; Amin, Z.; Bashore, T.M.; et al. ACC/AATS/AHA/ASE/ASNC/HRS/SCAI/SCCT/SCMR/STS 2017 appropriate use criteria for multimodality imaging in valvular heart disease: A report of the American College of Cardiology Appropriate Use Criteria Task Force, American Association for Thoracic Surgery, American Heart Association, American Society of Echocardiography, American Society of Nuclear Cardiology, Heart Rhythm Society, Society for Cardiovascular Angiography and Interventions, Society of Cardiovascular Computed Tomography, Society for Cardiovascular Magnetic Resonance, and Society of Thoracic Surgeons. J. Am. Soc. Echocardiogr. 2018, 31, 381–404. [Google Scholar] [PubMed]
- Baumgartner, H.; Hung, J.; Bermejo, J.; Chambers, J.B.; Edvardsen, T.; Goldstein, S.; Lancellotti, P.; LeFevre, M.; Miller, F., Jr.; Otto, C.M. Recommendations on the echocardiographic assessment of aortic valve stenosis: A focused update from the European Association of Cardiovascular Imaging and the American Society of Echocardiography. J. Am. Soc. Echocardiogr. 2017, 30, 372–392. [Google Scholar] [CrossRef] [PubMed]
- Baumgartner, H.; Hung, J.; Bermejo, J.; Chambers, J.B.; Evangelista, A.; Griffin, B.P.; Iung, B.; Otto, C.M.; Pellikka, P.A.; Quiñones, M. Echocardiographic assessment of valve stenosis: EAE/ASE recommendations for clinical practice. J. Am. Soc. Echocardiogr. 2009, 22, 1–23. [Google Scholar] [CrossRef] [PubMed]
- Banovic, M.; Putnik, S.; Da Costa, B.R.; Penicka, M.; Deja, M.A.; Kotrc, M.; Kockova, R.; Glaveckaite, S.; Gasparovic, H.; Pavlovic, N.; et al. Aortic valve replacement versus conservative treatment in asymptomatic severe aortic stenosis: Long-term follow-up of the AVATAR trial. Eur. Heart J. 2024, 45, 4526–4535. [Google Scholar] [CrossRef]
- Banovic, M.; Mileva, N.; Moya, A.; Paolisso, P.; Beles, M.; Boskovic, N.; Jovanovic, M.; Nedeljkovic, I.; Radunovic, A.; Radjenovic, M.; et al. Myocardial work predicts outcome in asymptomatic severe aortic stenosis: Subanalysis of the randomized AVATAR trial. JACC Cardiovasc. Imaging 2023, 16, 708–710. [Google Scholar] [CrossRef] [PubMed]
- Ye, Z.; Enriquez-Sarano, M.; Medina-Inojosa, J.R.; Scott, C.G.; Malouf, J.; Jaffe, A.; Clavel, M.A.; Michelena, H.I. Incremental prognostic value of semiautomated left ventricular strain to BNP in asymptomatic aortic stenosis. JACC Cardiovasc. Imaging 2022, 15, 947–950. [Google Scholar] [CrossRef] [PubMed]
- Drăgan, A.; Mateescu, A.D. Novel biomarkers and advanced cardiac imaging in aortic stenosis: Old and new. Biomolecules 2023, 13, 1661. [Google Scholar] [CrossRef] [PubMed]
- Tan, E.S.J.; Choi, H.; DeFilippi, C.R.; Oon, Y.Y.; Chan, S.P.; Gong, L.; Lunaria, J.B.; Liew, O.W.; Chong, J.P.; Tay, E.L.; et al. Circulating plasma proteins in aortic stenosis: Associations with severity, myocardial response, and clinical outcomes. J. Am. Heart Assoc. 2024, 13, e035486. [Google Scholar] [CrossRef] [PubMed]
- Kwak, S.; Everett, R.J.; Treibel, T.A.; Yang, S.; Hwang, D.; Ko, T.; Williams, M.C.; Bing, R.; Singh, T.; Joshi, S.; et al. Markers of myocardial damage predict mortality in patients with aortic stenosis. J. Am. Coll. Cardiol. 2021, 78, 545–558. [Google Scholar] [CrossRef] [PubMed]
- Spilias, N.; Martyn, T.; Denby, K.J.; Harb, S.C.; Popovic, Z.B.; Kapadia, S.R. Left ventricular systolic dysfunction in aortic stenosis: Pathophysiology, diagnosis, management, and future directions. Struct. Heart 2022, 6, 100089. [Google Scholar] [CrossRef] [PubMed]
- Quere, J.P.; Monin, J.L.; Levy, F.; Petit, H.; Baleynaud, S.; Chauvel, C.; Pop, C.; Ohlmann, P.; Lelguen, C.; Dehant, P.; et al. Influence of preoperative left ventricular contractile reserve on postoperative ejection fraction in low-gradient aortic stenosis. Circulation 2006, 113, 1738–1744. [Google Scholar] [CrossRef] [PubMed]
- Ribeiro, H.B.; Lerakis, S.; Gilard, M.; Cavalcante, J.L.; Makkar, R.; Herrmann, H.C.; Windecker, S.; Enriquez-Sarano, M.; Cheema, A.N.; Nombela-Franco, L.; et al. Transcatheter aortic valve replacement in patients with low-flow, low-gradient aortic stenosis: The TOPAS-TAVI registry. J. Am. Coll. Cardiol. 2018, 71, 1297–1308. [Google Scholar] [CrossRef]
- Sato, K.; Sankaramangalam, K.; Kandregula, K.; Bullen, J.A.; Kapadia, S.R.; Krishnaswamy, A.; Mick, S.; Rodriguez, L.L.; Grimm, R.A.; Menon, V.; et al. Contemporary outcomes in low-gradient aortic stenosis patients who underwent dobutamine stress echocardiography. J. Am. Heart Assoc. 2019, 8, e011168. [Google Scholar] [CrossRef] [PubMed]
- Banovic, M.; Iung, B.; Putnik, S.; Mahendiran, T.; Vanderheyden, M.; Barbato, E.; Bartunek, J. Asymptomatic aortic stenosis: From risk stratification to treatment. Am. J. Cardiol. 2024, 218, 51–62. [Google Scholar] [CrossRef]
- Kammoun, I.; Sghaier, A.; Bennour, E.; Laroussi, L.; Miled, M.; Neji, H.; Ben Halima, A.; Addad, F.; Marrakchi, S.; Kachboura, S. Current and new imaging techniques in risk stratification of asymptomatic severe aortic stenosis. Acta Cardiol. 2022, 77, 288–296. [Google Scholar] [CrossRef]
- Tan, J.T.A.; He, G.S.; Chia, J.L.L.; Tan, G.Q.X.; Teo, Y.N.; Teo, Y.H.; Syn, N.L.; Chai, P.; Wong, R.C.C.; Yeo, T.C.; et al. Natural history of initially asymptomatic severe aortic stenosis: A one-stage meta-analysis. Clin. Res. Cardiol. 2024, Online-ahead-of-print. [Google Scholar] [CrossRef]
- Bottaro, G.; Zappulla, P.; Deste, W.; Famà, F.; Agnello, F.; Trovato, D.; Indelicato, A.; Barbanti, M.; Sgroi, C.; Monte, I.P.; et al. Severe aortic valve stenosis: Symptoms, biochemical markers, and global longitudinal strain. J. Cardiovasc. Echogr. 2020, 30, 154–161. [Google Scholar] [PubMed]
- Dell’Angela, L.; Nicolosi, G.L. Artificial intelligence applied to cardiovascular imaging, a critical focus on echocardiography: The point-of-view from “the other side of the coin”. J. Clin. Ultrasound 2022, 50, 772–780. [Google Scholar] [CrossRef]
- Treibel, T.A.; Badiani, S.; Lloyd, G.; Moon, J.C. Multimodality imaging markers of adverse myocardial remodeling in aortic stenosis. JACC Cardiovasc. Imaging 2019, 12, 1532–1548. [Google Scholar] [CrossRef] [PubMed]
- Kempny, A.; Diller, G.P.; Kaleschke, G.; Orwat, S.; Funke, A.; Radke, R.; Schmidt, R.; Kerckhoff, G.; Ghezelbash, F.; Rukosujew, A.; et al. Longitudinal left ventricular 2D strain is superior to ejection fraction in predicting myocardial recovery and symptomatic improvement after aortic valve implantation. Int. J. Cardiol. 2013, 167, 2239–2243. [Google Scholar] [CrossRef]
- Dell’Angela, L.; Nicolosi, G.L. From ejection fraction, to myocardial strain, and myocardial work in echocardiography: Clinical impact and controversies. Echocardiography 2024, 41, e15758. [Google Scholar] [CrossRef] [PubMed]
- Kusunose, K.; Goodman, A.; Parikh, R.; Barr, T.; Agarwal, S.; Popovic, Z.B.; Grimm, R.A.; Griffin, B.P.; Desai, M.Y. Incremental prognostic value of left ventricular global longitudinal strain in patients with aortic stenosis and preserved ejection fraction. Circ. Cardiovasc. Imaging 2014, 7, 938–945. [Google Scholar] [CrossRef]
- Wani, A.; Harland, D.R.; Bajwa, T.K.; Kroboth, S.; Ammar, K.A.; Allaqaband, S.Q.; Duval, S.; Khandheria, B.K.; Tajik, A.J.; Jain, R. Left ventricular mechanics differ in subtypes of aortic stenosis following transcatheter aortic valve replacement. Front. Cardiovasc. Med. 2022, 8, 777206. [Google Scholar] [CrossRef]
- Kang, D.H.; Park, S.J.; Lee, S.A.; Lee, S.; Kim, D.H.; Kim, H.K.; Yun, S.C.; Hong, G.R.; Song, J.M.; Chung, C.H.; et al. Early surgery or conservative care for asymptomatic aortic stenosis. N. Engl. J. Med. 2020, 382, 111–119. [Google Scholar] [CrossRef]
- Banovic, M.; Putnik, S.; Penicka, M.; Doros, G.; Deja, M.A.; Kockova, R.; Kotrc, M.; Glaveckaite, S.; Gasparovic, H.; Pavlovic, N.; et al. Aortic valve replacement versus conservative treatment in asymptomatic severe aortic stenosis: The AVATAR trial. Circulation 2022, 145, 648–658. [Google Scholar] [CrossRef]
- Lancellotti, P.; Donal, E.; Magne, J.; O’Connor, K.; Moonen, M.L.; Cosyns, B.; Pierard, L.A. Impact of global left ventricular afterload on left ventricular function in asymptomatic severe aortic stenosis: A two-dimensional speckle-tracking study. Eur. J. Echocardiogr. 2010, 11, 537–543. [Google Scholar] [CrossRef]
- Magne, J.; Cosyns, B.; Popescu, B.A.; Carstensen, H.G.; Dahl, J.; Desai, M.Y.; Kearney, L.; Lancellotti, P.; Marwick, T.H.; Sato, K.; et al. Distribution and prognostic significance of left ventricular global longitudinal strain in asymptomatic significant aortic stenosis: An individual participant data meta-analysis. JACC Cardiovasc. Imaging 2019, 12, 84–92. [Google Scholar] [CrossRef]
- Dahl, J.S.; Magne, J.; Pellikka, P.A.; Donal, E.; Marwick, T.H. Assessment of subclinical left ventricular dysfunction in aortic stenosis. JACC Cardiovasc. Imaging 2019, 12, 163–171. [Google Scholar] [CrossRef]
- Springhetti, P.; Tomaselli, M.; Benfari, G.; Milazzo, S.; Ciceri, L.; Penso, M.; Pilan, M.; Clement, A.; Rota, A.; Del Sole, P.A.; et al. Peak atrial longitudinal strain and risk stratification in moderate and severe aortic stenosis. Eur. Heart J. Cardiovasc. Imaging 2024, 25, 947–957. [Google Scholar] [CrossRef]
- Mateescu, A.D.; Călin, A.; Beladan, C.C.; Roşca, M.; Enache, R.; Băicuş, C.; Botezatu, S.; Ginghină, C.; Popescu, B.A. Left atrial dysfunction as an independent correlate of heart failure symptoms in patients with severe aortic stenosis and preserved left ventricular ejection fraction. J. Am. Soc. Echocardiogr. 2019, 32, 257–266. [Google Scholar] [CrossRef]
- Ilardi, F.; Postolache, A.; Dulgheru, R.; Trung, M.N.; de Marneffe, N.; Sugimoto, T.; Go, Y.Y.; Oury, C.; Esposito, G.; Lancellotti, P. Prognostic value of non-invasive global myocardial work in asymptomatic aortic stenosis. J. Clin. Med. 2022, 11, 1555. [Google Scholar] [CrossRef] [PubMed]
- Gastl, M.; Behm, P.; Haberkorn, S.; Holzbach, L.; Veulemans, V.; Jacoby, C.; Schnackenburg, B.; Zeus, T.; Kelm, M.; Bönner, F. Role of T2 mapping in left ventricular reverse remodeling after TAVR. Int. J. Cardiol. 2018, 266, 262–268. [Google Scholar] [CrossRef]
- Zhang, C.; Liu, J.; Qin, S. Prognostic value of cardiac magnetic resonance in patients with aortic stenosis: A systematic review and meta-analysis. PLoS ONE 2022, 17, e0263378. [Google Scholar] [CrossRef] [PubMed]
- Scalia, I.G.; Farina, J.M.; Padang, R.; Jokerst, C.E.; Pereyra, M.; Mahmoud, A.K.; Naqvi, T.Z.; Chao, C.J.; Oh, J.K.; Arsanjani, R.; et al. Aortic valve calcium score by computed tomography as an adjunct to echocardiographic assessment-a review of clinical utility and applications. J. Imaging 2023, 9, 250. [Google Scholar] [CrossRef] [PubMed]
- Yang, Y.; Richter, R.; Halfmann, M.C.; Graafen, D.; Hell, M.; Vecsey-Nagy, M.; Laux, G.; Kavermann, L.; Jorg, T.; Geyer, M.; et al. Prospective ECG-gated high-pitch photon-counting CT angiography: Evaluation of measurement accuracy for aortic annulus sizing in TAVR planning. Eur. J. Radiol. 2024, 178, 111604. [Google Scholar] [CrossRef]
- Sharma, S.P.; Verhemel, S.; Hirsch, A.; van der Bie, J.; Dijkshoorn, M.L.; Daemen, J.; van Mieghem, N.; Budde, R.P.J. Diagnostic performance of high and ultra-high-resolution photon counting CT for detection of coronary artery disease in patients evaluated for transcatheter aortic valve implantation. Int. J. Cardiovasc. Imaging 2024, Online ahead-of-print. [Google Scholar] [CrossRef]
- Dirrichs, T.; Schröder, J.; Frick, M.; Huppertz, M.; Iwa, R.; Allmendinger, T.; Mecking, I.; Kuhl, C.K. Photon-counting versus dual-source CT for transcatheter aortic valve implantation planning. Acad. Radiol. 2024, 31, 4780–4789. [Google Scholar] [CrossRef] [PubMed]
- Changal, K.; Devarasetty, P.P.; Royfman, R.; Veria, S.; Yassen, M.; Vyas, R.; Gössl, M. Early surgery or conservative management for asymptomatic severe aortic stenosis: Meta-analysis of RECOVERY and AVATAR. J. Card. Surg. 2022, 37, 5336–5340. [Google Scholar] [CrossRef] [PubMed]





| Parameter | Aortic Sclerosis | Mild AS | Moderate AS | Severe AS | Advantages | Limitations |
|---|---|---|---|---|---|---|
| Peak velocity (m/s) | ≤2.5 | 2.6–2.9 | 3.0–4.0 | ≥4 | - Direct measurement. - Strong predictor of clinical outcome. | - Flow-related. - US beam parallel alignment-related. |
| Mean gradient (mmHg) | None | <20 | 20–40 | ≥40 | - Units comparable to invasive measurements. | - Flow-related. - US beam parallel alignment-related. |
| AVA (cm2) | None | >1.5 | 1.0–1.5 | <1.0 | - Effective orifice area measurement. - Frequently feasible. - Relatively flow-related. | Measurement error more likely. |
| iAVA (cm2/m2) | None | >0.85 | 0.60–0.85 | <0.60 | - Effective orifice area measurement. - Frequently feasible. - Relatively flow-related. - More accurate than AVA. | Measurement error more likely. |
| Velocity ratio | None | >0.50 | 0.25–0.50 | <0.25 | - Less variability than AVA (Doppler-only required). | - Limited longitudinal data. - Ignores LVOT size variability. |
| Parameter | Views/MWi | Technique/MWi Definition | Advantages | Limitations |
|---|---|---|---|---|
| LV GLS | 2D apical 4C, 3C, and 2C views | Probe in apical zone with 4C, 3C, and 2C views | - Prognostic/predictive value. | - Age and load dependency; - Chest shape dependency; - Image quality-related; - Intervendor and intersoftware variability. |
| LA strain | 2D apical 4C and 2C views | Probe in apical zone with 4C and 2C views | - Prognostic/predictive value. | - Age and load dependency; - Chest shape dependency; - Image quality-related; - Intervendor and intersoftware variability. |
| LV MW | GCW | Positive work evaluated from AVO to AVC and negative work from AVC to MVO | - Relatively low intra and inter-observer variability (if good US window). | - GLS-related limits (including image quality); - AP measurement-related limits; - Single available software. |
| GWI | Total work evaluated from MVC to MVO | |||
| GWE | GCW/(GCW + GWW) | |||
| GWW | Positive work evaluated from AVO to AVC and negative work from AVC to MVO |
Disclaimer/Publisher’s Note: The statements, opinions and data contained in all publications are solely those of the individual author(s) and contributor(s) and not of MDPI and/or the editor(s). MDPI and/or the editor(s) disclaim responsibility for any injury to people or property resulting from any ideas, methods, instructions or products referred to in the content. |
© 2025 by the authors. Licensee MDPI, Basel, Switzerland. This article is an open access article distributed under the terms and conditions of the Creative Commons Attribution (CC BY) license (https://creativecommons.org/licenses/by/4.0/).
Share and Cite
Dell’Angela, L.; Nicolosi, G.L. Shaping the Optimal Timing for Treatment of Isolated Asymptomatic Severe Aortic Stenosis with Preserved Left Ventricular Ejection Fraction: The Role of Non-Invasive Diagnostics Focused on Strain Echocardiography and Future Perspectives. J. Imaging 2025, 11, 48. https://doi.org/10.3390/jimaging11020048
Dell’Angela L, Nicolosi GL. Shaping the Optimal Timing for Treatment of Isolated Asymptomatic Severe Aortic Stenosis with Preserved Left Ventricular Ejection Fraction: The Role of Non-Invasive Diagnostics Focused on Strain Echocardiography and Future Perspectives. Journal of Imaging. 2025; 11(2):48. https://doi.org/10.3390/jimaging11020048
Chicago/Turabian StyleDell’Angela, Luca, and Gian Luigi Nicolosi. 2025. "Shaping the Optimal Timing for Treatment of Isolated Asymptomatic Severe Aortic Stenosis with Preserved Left Ventricular Ejection Fraction: The Role of Non-Invasive Diagnostics Focused on Strain Echocardiography and Future Perspectives" Journal of Imaging 11, no. 2: 48. https://doi.org/10.3390/jimaging11020048
APA StyleDell’Angela, L., & Nicolosi, G. L. (2025). Shaping the Optimal Timing for Treatment of Isolated Asymptomatic Severe Aortic Stenosis with Preserved Left Ventricular Ejection Fraction: The Role of Non-Invasive Diagnostics Focused on Strain Echocardiography and Future Perspectives. Journal of Imaging, 11(2), 48. https://doi.org/10.3390/jimaging11020048
