Next-Generation Advances in Prostate Cancer Imaging and Artificial Intelligence Applications
Abstract
1. Introduction
2. Overview of AI Technologies in Prostate Cancer Imaging
2.1. Machine Learning and Radiomics
| Study | Imaging Modality | AI Technologies | Results |
|---|---|---|---|
| Gong et al., 2020 [21] | MRI | Deep radiomics model | Detecting high grade PCa preoperatively with AUCs up to 0.801 using DWI models |
| Nketiah et al., 2024 [22] | MRI | Deep radiomics model | Diagnosing clinically significant prostate cancer with an area under the ROC of 0.91 |
| Schelb et al., 2021 [23] | MRI | U-Net model | Improving positive predictive value up to 68% for the coincidence of PI-RADs greater than or equal to 4 |
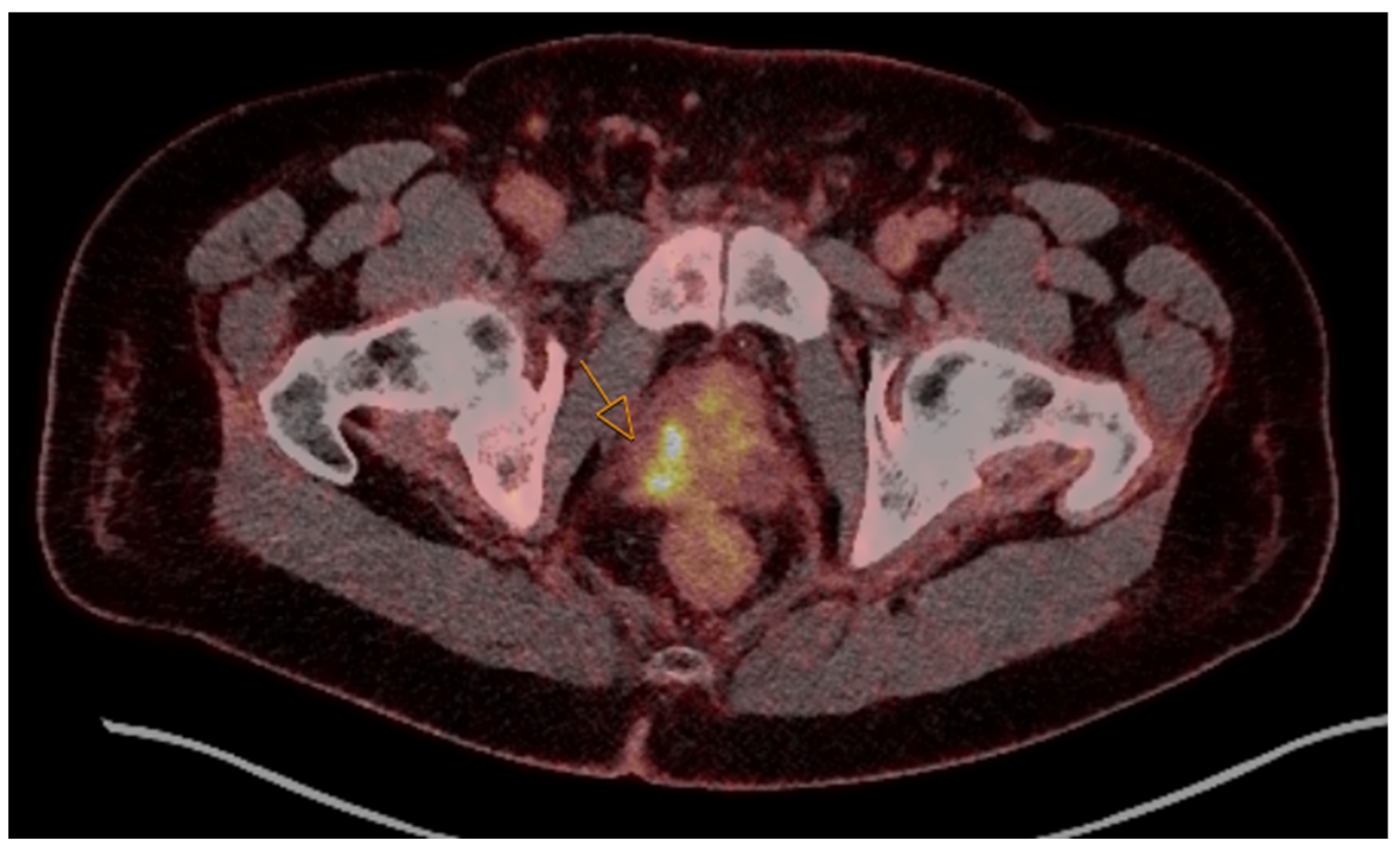
| Lindgren Belal et al., 2023 [24] | PSMA PET/CT | CNN model | Detecting prostatic lesions in patients with newly diagnosed prostate cancer or suspected recurrence after treatment with average sensitivity of 79% |
| Zhao et al., 2020 [25] | MRI | U-Net model | Detecting metastatic bone lesions and pelvic lymph node lesions with sensitivity up to 99% and 90% respectively |
| Sun et al., 2023 [26] | TRUS | 2-D and 3-D CNN P-Net models | Detecting lesions on TRUS video with diagnostic performance of 0.85–0.89 |
2.2. Deep Learning and Neural Networks
2.3. Multi-Modal Integration Models
3. MRI, PSMA PET/CT, and Ultrasound in Prostate Cancer Imaging and Specific AI Applications
4. AI in Prostate Cancer Detection and Classification
| Study | Imaging Modalities and Study Purpose | AI Technology | Results |
|---|---|---|---|
| Nketiah et al., 2024 [22] | MRI, Prostate Cancer Detection and Classification | Deep radiomics model | achieved an AUROC of 0.91 for detecting clinically significant prostate cancer |
| Twilt et al., 2025 [35] | MRI, Prostate Cancer Detection and Classification | Deep learning | improved performance with AUROC increasing from 0.882 to 0.916; professionals reading while using the AI model enhanced sensitivity to 96.8% and specificity to 50.1%, compared to unassisted readings at PI-RADS threshold of 3 |
| Shu et al., 2023 [38] | MRI, Prostate Cancer Detection and Classification | Radiomics, random forest machine learning | developed the random forest machine learning approach with superior overall performance with AUC of 0.87 and predicted prostate cancer in the high risk group with AUC of 0.89 |
| Litjens et al., 2014 [39] | MRI, Lesion Segmentation | CNN model | achieved median Dice scores of 0.93 for the prostate and 0.88 for the TZ of prostate MRI segmentation |
| Adleman et al., 2025 [40] | MRI, Tumor Volume Assessment | U-Net model | found gross tumor volume was associated with biochemical failure (hazard ratio of 1.28) and metastasis (hazard ratio of 1.34) |
| Bhardwaj et al., 2021 [41] | TRUS-MR fusion, biopsy target and guidance | End-to-end deep learning network | achieved a rendering rate of 14 frames per second making it compatible for live prostatic biopsy procedures |
| Azizi et al., 2018 [42] | Ultrasound and TeUS, biopsy target and guidance | Deep learning | achieved accuracy, sensitivity, specificity, and area under the curves results of 0.92, 0.77, 0.94, and 0.94 respectively |
| Kandalan et al., 2020 [43] | Dose prediction models for patients treated with VMAT, treatment planning and monitoring | Deep learning dose prediction models, Transfer learning | improved the mean Dice similarity coefficient to 0.88–0.95 and 0.92–0.96 for internal and external target institutional planning styles |
| Zhong et al., 2020 [44] | mpMRI, treatment planning and monitoring | AdaBoost machine learning model, radiomics | classified those with recurrence with the highest classification accuracy of 77.8% and AUC of ROC of 0.99 and 0.73 for the training and testing datasets respectively |
5. AI in Lesion Segmentation and Volume Assessment
6. AI for Biopsy Targeting and Guidance
7. AI in Treatment Planning and Monitoring
8. Challenges, Disadvantages, and Limitations
9. Future Directions and Opportunities
10. Conclusions
Author Contributions
Funding
Institutional Review Board Statement
Informed Consent Statement
Data Availability Statement
Conflicts of Interest
References
- Sung, H.; Ferlay, J.; Siegel, R.L.; Laversanne, M.; Soerjomataram, I.; Jemal, A.; Bray, F. Global Cancer Statistics 2020: GLOBOCAN Estimates of Incidence and Mortality Worldwide for 36 Cancers in 185 Countries. CA Cancer J. Clin. 2021, 71, 209–249. [Google Scholar] [CrossRef] [PubMed]
- Turkbey, B.; Rosenkrantz, A.B.; Haider, M.A.; Padhani, A.R.; Villeirs, G.; Macura, K.J.; Tempany, C.M.; Choyke, P.L.; Cornud, F.; Margolis, D.J.; et al. Prostate Imaging Reporting and Data System Version 2.1: 2019 Update of Prostate Imaging Reporting and Data System Version 2. Eur. Urol. 2019, 76, 340–351. [Google Scholar] [CrossRef]
- Westphalen, A.C.; McCulloch, C.E.; Anaokar, J.M.; Arora, S.; Barashi, N.S.; Barentsz, J.O.; Bathala, T.K.; Bittencourt, L.K.; Booker, M.T.; Braxton, V.G.; et al. Variability of the Positive Predictive Value of PI-RADS for Prostate MRI across 26 Centers: Experience of the Society of Abdominal Radiology Prostate Cancer Disease-focused Panel. Radiology 2020, 296, 76–84. [Google Scholar] [CrossRef] [PubMed] [PubMed Central]
- Huang, W.; Randhawa, R.; Jain, P.; Iczkowski, K.A.; Hu, R.; Hubbard, S.; Eickhoff, J.; Basu, H.; Roy, R. Development and Validation of an Artificial Intelligence-Powered Platform for Prostate Cancer Grading and Quantification. JAMA Netw. Open 2021, 4, e2132554. [Google Scholar] [CrossRef] [PubMed] [PubMed Central]
- Algohary, A.; Viswanath, S.; Shiradkar, R.; Ghose, S.; Pahwa, S.; Moses, D.; Jambor, I.; Shnier, R.; Böhm, M.; Haynes, A.M.; et al. Radiomic features on MRI enable risk categorization of prostate cancer patients on active surveillance: Preliminary findings. J. Magn. Reson. Imaging 2018, 48, 818–828. [Google Scholar] [CrossRef] [PubMed] [PubMed Central]
- Hosseinzadeh, M.; Saha, A.; Brand, P.; Slootweg, I.R.; de Rooij, M.; Huisman, H. Deep learning-assisted prostate cancer detection on bi-parametric MRI: Minimum training data size requirements and effect of prior knowledge. Eur. Radiol. 2022, 32, 2224–2234. [Google Scholar] [CrossRef] [PubMed] [PubMed Central]
- Chaddad, A.; Tan, G.; Liang, X.; Hassan, L.; Rathore, S.; Desrosiers, C.; Katib, Y.; Niazi, T. Advancements in MRI-Based Radiomics and Artificial Intelligence for Prostate Cancer: A Comprehensive Review and Future Prospects. Cancers 2023, 15, 3839. [Google Scholar] [CrossRef]
- Xu, Y.; Klyuzhin, I.; Harsini, S.; Ortiz, A.; Zhang, S.; Bénard, F.; Dodhia, R.; Uribe, C.F.; Rahmim, A.; Lavista Ferres, J. Automatic segmentation of prostate cancer metastases in PSMA PET/CT images using deep neural networks with weighted batch-wise dice loss. Comput. Biol. Med. 2023, 158, 106882. [Google Scholar] [CrossRef] [PubMed]
- Yazdani, E.; Karamzadeh-Ziarati, N.; Cheshmi, S.S.; Sadeghi, M.; Geramifar, P.; Vosoughi, H.; Jahromi, M.K.; Kheradpisheh, S.R. Automated segmentation of lesions and organs at risk on [68Ga]Ga-PSMA-11 PET/CT images using self-supervised learning with Swin UNETR. Cancer Imaging 2024, 24, 30. [Google Scholar] [CrossRef] [PubMed] [PubMed Central]
- Belge Bilgin, G.; Bilgin, C.; Burkett, B.J.; Orme, J.J.; Childs, D.S.; Thorpe, M.P.; Halfdanarson, T.R.; Johnson, G.B.; Kendi, A.T.; Sartor, O. Theranostics and artificial intelligence: New frontiers in personalized medicine. Theranostics 2024, 14, 2367–2378. [Google Scholar] [CrossRef] [PubMed] [PubMed Central]
- Corradini, D.; Brizi, L.; Gaudiano, C.; Bianchi, L.; Marcelli, E.; Golfieri, R.; Schiavina, R.; Testa, C.; Remondini, D. Challenges in the Use of Artificial Intelligence for Prostate Cancer Diagnosis from Multiparametric Imaging Data. Cancers 2021, 13, 3944. [Google Scholar] [CrossRef] [PubMed] [PubMed Central]
- Sunoqrot, M.R.S.; Saha, A.; Hosseinzadeh, M.; Elschot, M.; Huisman, H. Artificial intelligence for prostate MRI: Open datasets, available applications, and grand challenges. Eur. Radiol. Exp. 2022, 6, 35. [Google Scholar] [CrossRef] [PubMed] [PubMed Central]
- Gillies, R.J.; Kinahan, P.E.; Hricak, H. Radiomics: Images Are More than Pictures, They Are Data. Radiology 2016, 278, 563–577. [Google Scholar] [CrossRef]
- Li, C.; Deng, M.; Zhong, X.; Ren, J.; Chen, X.; Chen, J.; Xiao, F.; Xu, H. Multi-view radiomics and deep learning modeling for prostate cancer detection based on multi-parametric MRI. Front. Oncol. 2023, 13, 1198899. [Google Scholar] [CrossRef] [PubMed] [PubMed Central]
- Litjens, G.; Kooi, T.; Bejnordi, B.E.; Setio, A.A.; Ciompi, F.; Ghafoorian, M.; Van Der Laak, J.A.; Van Ginneken, B.; Sánchez, C.I. A survey on deep learning in medical image analysis. Med. Image Anal. 2017, 42, 60–88. [Google Scholar] [CrossRef]
- Aldoj, N.; Biavati, F.; Michallek, F.; Stober, S.; Dewey, M. Automatic prostate and prostate zones segmentation of magnetic resonance images using DenseNet-like U-net. Sci. Rep. 2020, 10, 14315. [Google Scholar] [CrossRef]
- Hassanpour, S.; Langlotz, C.P. Information extraction from multi-institutional radiology reports. Artif. Intell. Med. 2016, 66, 29–39. [Google Scholar] [CrossRef] [PubMed]
- Collado-Montañez, J.; López-Úbeda, P.; Chizhikova, M.; Díaz-Galiano, M.C.; Ureña-López, L.A.; Martín-Noguerol, T.; Luna, A.; Martín-Valdivia, M.T. Automatic text classification of prostate cancer malignancy scores in radiology reports using NLP models. Med. Biol. Eng. Comput. 2024, 62, 3373–3383. [Google Scholar] [CrossRef] [PubMed] [PubMed Central]
- Shah, V.; Turkbey, B.; Mani, H.; Pang, Y.; Pohida, T.; Merino, M.J.; Pinto, P.A.; Choyke, P.L.; Bernardo, M. Decision support system for localizing prostate cancer based on multiparametric magnetic resonance imaging. Med. Phys. 2012, 39, 4093–4103. [Google Scholar] [CrossRef] [PubMed] [PubMed Central]
- Ferro, M.; de Cobelli, O.; Musi, G.; Del Giudice, F.; Carrieri, G.; Busetto, G.M.; Falagario, U.G.; Sciarra, A.; Maggi, M.; Crocetto, F.; et al. Radiomics in prostate cancer: An up-to-date review. Ther. Adv. Urol. 2022, 14, 17562872221109020. [Google Scholar] [CrossRef] [PubMed] [PubMed Central]
- Gong, L.; Xu, M.; Fang, M.; Zou, J.; Yang, S.; Yu, X.; Xu, D.; Zhou, L.; Li, H.; He, B.; et al. Noninvasive Prediction of High-Grade Prostate Cancer via Biparametric MRI Radiomics. J. Magn. Reson. Imaging 2020, 52, 1102–1109. [Google Scholar] [CrossRef] [PubMed]
- Nketiah, G.A.; Sunoqrot, M.R.; Sandsmark, E.; Langørgen, S.; Selnæs, K.M.; Bertilsson, H.; Elschot, M.; Bathen, T.F.; PCa-MAP Consortium. Deep radiomics detection of clinically significant prostate cancer on multicenter MRI: Initial comparison to PI-RADS assessment. arXiv 2024, arXiv:2410.16238. [Google Scholar] [CrossRef]
- Schelb, P.; Kohl, S.; Radtke, J.P.; Wiesenfarth, M.; Kickingereder, P.; Bickelhaupt, S.; Kuder, T.A.; Stenzinger, A.; Hohenfellner, M.; Schlemmer, H.P.; et al. Classification of cancer at prostate MRI: Deep learning versus clinical PI-RADS assessment. Radiology 2021, 299, 379–387. [Google Scholar] [CrossRef]
- Lindgren Belal, S.; Frantz, S.; Minarik, D.; Enqvist, O.; Wikström, E.; Edenbrandt, L.; Trägårdh, E. Applications of Artificial Intelligence in PSMA PET/CT for Prostate Cancer Imaging. Semin. Nucl. Med. 2024, 54, 141–149. [Google Scholar] [CrossRef] [PubMed]
- Zhao, Y.; Gafita, A.; Vollnberg, B.; Tetteh, G.; Haupt, F.; Afshar-Oromieh, A.; Menze, B.; Eiber, M.; Rominger, A.; Shi, K. Deep neural network for automatic characterization of lesions on 68Ga-PSMA-11 PET/CT. Eur. J. Nucl. Med. Mol. Imaging 2020, 47, 603–613. [Google Scholar] [CrossRef] [PubMed]
- Sun, Y.K.; Zhou, B.Y.; Miao, Y.; Shi, Y.L.; Xu, S.H.; Wu, D.M.; Zhang, L.; Xu, G.; Wu, T.F.; Wang, L.F.; et al. Three-dimensional convolutional neural network model to identify clinically significant prostate cancer in transrectal ultrasound videos: A prospective, multi-institutional, diagnostic study. eClinicalMedicine 2023, 60, 102027. [Google Scholar] [CrossRef] [PubMed] [PubMed Central]
- Bhattacharya, I.; Khandwala, Y.S.; Vesal, S.; Shao, W.; Yang, Q.; Soerensen, S.J.C.; Fan, R.E.; Ghanouni, P.; Kunder, C.A.; Brooks, J.D.; et al. A review of artificial intelligence in prostate cancer detection on imaging. Ther. Adv. Urol. 2022, 14, 17562872221128791. [Google Scholar] [CrossRef] [PubMed] [PubMed Central]
- Milletari, F.; Navab, N.; Ahmadi, S.A. V-Net: Fully convolutional neural networks for volumetric medical image segmentation. In Proceedings of the 2016 Fourth International Conference on 3D Vision (3DV), Stanford, CA, USA, 25–28 October 2016; pp. 565–571. [Google Scholar] [CrossRef]
- Cao, R.; Mohammadian Bajgiran, A.; Afshari Mirak, S.; Shakeri, S.; Zhong, X.; Enzmann, D.; Raman, S.; Sung, K. Joint Prostate Cancer Detection and Gleason Score Prediction in mp-MRI via FocalNet. IEEE Trans. Med. Imaging 2019, 38, 2496–2506. [Google Scholar] [CrossRef] [PubMed]
- Yazdani, E.; Geramifar, P.; Karamzade-Ziarati, N.; Sadeghi, M.; Amini, P.; Rahmim, A. Radiomics and Artificial Intelligence in Radiotheranostics: A Review of Applications for Radioligands Targeting Somatostatin Receptors and Prostate-Specific Membrane Antigens. Diagnostics 2024, 14, 181. [Google Scholar] [CrossRef] [PubMed] [PubMed Central]
- Li, X.; Sun, Y.; Lin, J.; Li, L.; Feng, T.; Yin, S. The synergy of seeing and saying: Revolutionary advances in multi-modality medical vision-language large models. IEEE Artif. Intell. Sci. Eng. 2025, 1, 79–97. [Google Scholar] [CrossRef]
- Li, X.; Li, L.; Jiang, Y.; Wang, H.; Qiao, X.; Feng, T.; Luo, H.; Zhao, Y. Vision-language models in medical image analysis: From simple fusion to general large models. Inf. Fusion. 2025, 118, 102995. [Google Scholar] [CrossRef]
- Eiber, M.; Herrmann, K.; Calais, J.; Hadaschik, B.; Giesel, F.L.; Hartenbach, M.; Hope, T.; Reiter, R.; Maurer, T.; Weber, W.A.; et al. Prostate Cancer Molecular Imaging Standardized Evaluation (PROMISE): Proposed miTNM Classification for the Interpretation of PSMA-Ligand PET/CT. J. Nucl. Med. 2018, 59, 469–478, Erratum in J. Nucl. Med. 2018, 59, 992. [Google Scholar] [CrossRef] [PubMed]
- van Sloun, R.J.G.; Wildeboer, R.R.; Mannaerts, C.K.; Postema, A.W.; Gayet, M.; Beerlage, H.P.; Salomon, G.; Wijkstra, H.; Mischi, M. Deep Learning for Real-time, Automatic, and Scanner-adapted Prostate (Zone) Segmentation of Transrectal Ultrasound, for Example, Magnetic Resonance Imaging-transrectal Ultrasound Fusion Prostate Biopsy. Eur. Urol. Focus 2021, 7, 78–85. [Google Scholar] [CrossRef] [PubMed]
- Twilt, J.J.; Saha, A.; Bosma, J.S.; Padhani, A.R.; Bonekamp, D.; Giannarini, G.; van den Bergh, R.; Kasivisvanathan, V.; Obuchowski, N.; Yakar, D.; et al. AI-Assisted vs. Unassisted Identification of Prostate Cancer in Magnetic Resonance Images. JAMA Netw. Open 2025, 8, e2515672. [Google Scholar] [CrossRef]
- Oerther, B.; Engel, H.; Wilpert, C.; Nedelcu, A.; Sigle, A.; Grimm, R.; von Busch, H.; Schlett, C.L.; Bamberg, F.; Benndorf, M.; et al. Multi-Center Benchmarking of a Commercially Available Artificial Intelligence Algorithm for Prostate Imaging Reporting and Data System (PI-RADS) Score Assignment and Lesion Detection in Prostate MRI. Cancers 2025, 17, 815. [Google Scholar] [CrossRef] [PubMed] [PubMed Central]
- Jin, W.; Li, X.; Fatehi, M.; Hamarneh, G. Guidelines and evaluation of clinical explainable AI in medical image analysis. Med. Image Anal. 2023, 84, 102684. [Google Scholar] [CrossRef] [PubMed]
- Shu, X.; Liu, Y.; Qiao, X.; Ai, G.; Liu, L.; Liao, J.; Deng, Z.; He, X. Radiomic-based machine learning model for the accurate prediction of prostate cancer risk stratification. Br. J. Radiol. 2023, 96, 20220238. [Google Scholar] [CrossRef] [PubMed] [PubMed Central]
- Litjens, G.; Debats, O.; Barentsz, J.; Karssemeijer, N.; Huisman, H. Computer-aided detection of prostate cancer in MRI. IEEE Trans. Med. Imaging 2014, 33, 1083–1092. [Google Scholar] [CrossRef] [PubMed]
- Adleman, J.; McLaughlin, P.Y.; Tsui, J.M.G.; Buzurovic, I.; Harris, T.; Hudson, J.; Urribarri, J.; Cail, D.W.; Nguyen, P.L.; Orio, P.F.; et al. Evaluating the prognostic significance of artificial intelligence-delineated gross tumor volume and prostate volume measurements for prostate radiotherapy. Radiother. Oncol. 2025, 207, 110866. [Google Scholar] [CrossRef] [PubMed]
- Bhardwaj, A.; Mathur, P.; Singh, T.; Suryanarayana, V.; Son, Y.; Kudavelly, S.R.; Song, S.; Kang, H. An Approach for Live Motion Correction for TRUS-MR Prostate Fusion Biopsy using Deep Learning. Annu. Int. Conf. IEEE Eng. Med. Biol. Soc. 2021, 2021, 2993–2996. [Google Scholar] [CrossRef] [PubMed]
- Azizi, S.; Van Woudenberg, N.; Sojoudi, S.; Li, M.; Xu, S.; Abu Anas, E.M.; Yan, P.; Tahmasebi, A.; Kwak, J.T.; Turkbey, B.; et al. Toward a real-time system for temporal enhanced ultrasound-guided prostate biopsy. Int. J. Comput. Assist. Radiol. Surg. 2018, 13, 1201–1209. [Google Scholar] [CrossRef] [PubMed] [PubMed Central]
- Kandalan, R.N.; Nguyen, D.; Rezaeian, N.H.; Barragán-Montero, A.M.; Breedveld, S.; Namuduri, K.; Jiang, S.; Lin, M.H. Dose prediction with deep learning for prostate cancer radiation therapy: Model adaptation to different treatment planning practices. Radiother. Oncol. 2020, 153, 228–235. [Google Scholar] [CrossRef] [PubMed] [PubMed Central]
- Zhong, Q.Z.; Long, L.H.; Liu, A.; Li, C.M.; Xiu, X.; Hou, X.Y.; Wu, Q.H.; Gao, H.; Xu, Y.G.; Zhao, T.; et al. Radiomics of Multiparametric MRI to Predict Biochemical Recurrence of Localized Prostate Cancer After Radiation Therapy. Front. Oncol. 2020, 10, 731. [Google Scholar] [CrossRef] [PubMed] [PubMed Central]
- Clark, T.; Zhang, J.; Baig, S.; Wong, A.; Haider, M.A.; Khalvati, F. Fully automated segmentation of prostate whole gland and transition zone in diffusion-weighted MRI using convolutional neural networks. J. Med. Imaging 2017, 4, 041307. [Google Scholar] [CrossRef] [PubMed] [PubMed Central]
- Sood, R.R.; Shao, W.; Kunder, C.; Teslovich, N.C.; Wang, J.B.; Soerensen, S.J.C.; Madhuripan, N.; Jawahar, A.; Brooks, J.D.; Ghanouni, P.; et al. 3D Registration of pre-surgical prostate MRI and histopathology images via super-resolution volume reconstruction. Med. Image Anal. 2021, 69, 101957. [Google Scholar] [CrossRef] [PubMed] [PubMed Central]
- Wildeboer, R.R.; van Sloun, R.J.G.; Wijkstra, H.; Mischi, M. Artificial intelligence in multiparametric prostate cancer imaging with focus on deep-learning methods. Comput. Methods Programs Biomed. 2020, 189, 105316. [Google Scholar] [CrossRef] [PubMed]
- Cuocolo, R.; Cipullo, M.B.; Stanzione, A.; Ugga, L.; Romeo, V.; Radice, L.; Brunetti, A.; Imbriaco, M. Machine learning applications in prostate cancer magnetic resonance imaging. Eur. Radiol. Exp. 2019, 3, 35. [Google Scholar] [CrossRef] [PubMed] [PubMed Central]
- Zhang, J.; Venkataraman, R.; Staib, L.H.; Onofrey, J.A. Atlas-based Semantic Segmentation of Prostate Zones. Med. Image Comput. Comput. Assist. Interv. 2022, 13435, 570–579. [Google Scholar] [CrossRef] [PubMed] [PubMed Central]
- Gillies, D.J.; Gardi, L.; De Silva, T.; Zhao, S.R.; Fenster, A. Real-time registration of 3D to 2D ultrasound images for image-guided prostate biopsy. Med. Phys. 2017, 44, 4708–4723. [Google Scholar] [CrossRef] [PubMed]
- Zheng, H.; Miao, Q.; Liu, Y.; Raman, S.S.; Scalzo, F.; Sung, K. Integrative Machine Learning Prediction of Prostate Biopsy Results from Negative Multiparametric MRI. J. Magn. Reson. Imaging 2022, 55, 100–110. [Google Scholar] [CrossRef] [PubMed] [PubMed Central]
- Khosravi, P.; Lysandrou, M.; Eljalby, M.; Li, Q.; Kazemi, E.; Zisimopoulos, P.; Sigaras, A.; Brendel, M.; Barnes, J.; Ricketts, C.; et al. A Deep Learning Approach to Diagnostic Classification of Prostate Cancer Using Pathology–Radiology Fusion. J. Magn. Reson. Imaging 2021, 54, 462–471. [Google Scholar] [CrossRef] [PubMed]
- Cardenas, C.E.; Yang, J.; Anderson, B.M.; Court, L.E.; Brock, K.B. Advances in Auto-Segmentation. Semin. Radiat. Oncol. 2019, 29, 185–197. [Google Scholar] [CrossRef] [PubMed]
- Barragán-Montero, A.; Bibal, A.; Dastarac, M.H.; Draguet, C.; Valdés, G.; Nguyen, D.; Willems, S.; Vandewinckele, L.; Holmström, M.; Löfman, F.; et al. Towards a safe and efficient clinical implementation of machine learning in radiation oncology by exploring model interpretability, explainability and data-model dependency. Phys. Med. Biol. 2022, 67, 11TR01. [Google Scholar] [CrossRef] [PubMed] [PubMed Central]
- Cuocolo, R.; Cipullo, M.B.; Stanzione, A.; Romeo, V.; Green, R.; Cantoni, V.; Ponsiglione, A.; Ugga, L.; Imbriaco, M. Machine learning for the identification of clinically significant prostate cancer on MRI: A meta-analysis. Eur. Radiol. 2020, 30, 6877–6887. [Google Scholar] [CrossRef] [PubMed]
- Chaddad, A.; Kucharczyk, M.J.; Niazi, T. Multimodal Radiomic Features for the Predicting Gleason Score of Prostate Cancer. Cancers 2018, 10, 249. [Google Scholar] [CrossRef] [PubMed] [PubMed Central]
- Mongan, J.; Moy, L.; Kahn, C.E., Jr. Checklist for Artificial Intelligence in Medical Imaging (CLAIM): A Guide for Authors and Reviewers. Radiol. Artif. Intell. 2020, 2, e200029. [Google Scholar] [CrossRef] [PubMed] [PubMed Central]
- Lambin, P.; Leijenaar, R.T.H.; Deist, T.M.; Peerlings, J.; de Jong, E.E.C.; van Timmeren, J.; Sanduleanu, S.; Larue, R.T.H.M.; Even, A.J.G.; Jochems, A.; et al. Radiomics: The bridge between medical imaging and personalized medicine. Nat. Rev. Clin. Oncol. 2017, 14, 749–762. [Google Scholar] [CrossRef] [PubMed]
- Park, S.H.; Han, K. Methodologic Guide for Evaluating Clinical Performance and Effect of Artificial Intelligence Technology for Medical Diagnosis and Prediction. Radiology 2018, 286, 800–809. [Google Scholar] [CrossRef] [PubMed]
- Parikh, R.B.; Teeple, S.; Navathe, A.S. Addressing Bias in Artificial Intelligence in Health Care. JAMA 2019, 322, 2377–2378. [Google Scholar] [CrossRef] [PubMed]
- Gerke, S.; Minssen, T.; Cohen, G. Ethical and Legal Challenges of Artificial Intelligence-Driven Healthcare. In Artificial Intelligence in Healthcare; Elsevier: Amsterdam, The Netherlands, 2020; pp. 295–336. [Google Scholar] [CrossRef]
- Pesapane, F.; Volonté, C.; Codari, M.; Sardanelli, F. Artificial intelligence as a medical device in radiology: Ethical and regulatory issues in Europe and the United States. Insights Imaging 2018, 9, 745–753. [Google Scholar] [CrossRef] [PubMed] [PubMed Central]
- Monti, S. Precision Medicine in Radiomics and Radiogenomics. J. Pers. Med. 2022, 12, 1806. [Google Scholar] [CrossRef] [PubMed] [PubMed Central]
- Stoyanova, R.; Takhar, M.; Tschudi, Y.; Ford, J.C.; Solórzano, G.; Erho, N.; Balagurunathan, Y.; Punnen, S.; Davicioni, E.; Gillies, R.J.; et al. Prostate cancer radiomics and the promise of radiogenomics. Transl. Cancer Res. 2016, 5, 432–447. [Google Scholar] [CrossRef] [PubMed] [PubMed Central]
- Sheller, M.J.; Reina, G.A.; Edwards, B.; Martin, J.; Bakas, S. Multi-Institutional Deep Learning Modeling Without Sharing Patient Data: A Feasibility Study on Brain Tumor Segmentation. In Brainlesion: Glioma, Multiple Sclerosis, Stroke and Traumatic Brain Injuries, Proceedings of the 4th International Workshop, BrainLes 2018, Held in Conjunction with MICCAI 2018, Granada, Spain, 16 September 2018; Lecture Notes in Computer Science; Springer: Cham, Switzerland, 2019; Volume 11383, pp. 92–104. [Google Scholar] [CrossRef] [PubMed] [PubMed Central]
- Esteva, A.; Robicquet, A.; Ramsundar, B.; Kuleshov, V.; DePristo, M.; Chou, K.; Cui, C.; Corrado, G.S.; Thrun, S.; Dean, J. A guide to deep learning in healthcare. Nat. Med. 2019, 25, 24–29. [Google Scholar] [CrossRef] [PubMed]
- Arita, Y.; Roest, C.; Kwee, T.C.; Paudyal, R.; Lema-Dopico, A.; Fransen, S.; Hirahara, D.; Takaya, E.; Ueda, R.; Ruby, L.; et al. Advancements in artificial intelligence for prostate cancer: Optimizing diagnosis, treatment, and prognostic assessment. Asian J. Urol. 2025. [CrossRef]
- John, A.; Alhajj, R.; Rokne, J. A systematic review of AI as a digital twin for prostate cancer care. Comput. Methods Programs Biomed. 2025, 268, 108804. [Google Scholar] [CrossRef] [PubMed]
- Filippi, L.; Urso, L.; Bianconi, F.; Palumbo, B.; Marzola, M.C.; Evangelista, L.; Schillaci, O. Radiomics and theranostics with molecular and metabolic probes in prostate cancer: Toward a personalized approach. Expert Rev. Mol. Diagn. 2023, 23, 243–255. [Google Scholar] [CrossRef] [PubMed]
- Emmett, L.; Buteau, J.; Papa, N.; Moon, D.; Thompson, J.; Roberts, M.J.; Rasiah, K.; Pattison, D.A.; Yaxley, J.; Thomas, P.; et al. The Additive Diagnostic Value of Prostate-specific Membrane Antigen Positron Emission Tomography Computed Tomography to Multiparametric Magnetic Resonance Imaging Triage in the Diagnosis of Prostate Cancer (PRIMARY): A Prospective Multicentre Study. Eur. Urol. 2021, 80, 682–689. [Google Scholar] [CrossRef] [PubMed]
- Chen, M.; Zhang, Q.; Zhang, C.; Zhao, X.; Marra, G.; Gao, J.; Lv, X.; Zhang, B.; Fu, Y.; Wang, F.; et al. Combination of 68Ga-PSMA PET/CT and Multiparametric MRI Improves the Detection of Clinically Significant Prostate Cancer: A Lesion-by-Lesion Analysis. J. Nucl. Med. 2019, 60, 944–949. [Google Scholar] [CrossRef] [PubMed] [PubMed Central]


| Domain | Imaging Modalities | AI Technologies | Applications |
|---|---|---|---|
| Detection & Classification | mpMRI, PSMA PET/CT, PET/MRI, TRUS | Machine learning, deep learning (CNNs), radiomics | AI-assisted PI-RADS scoring, lesion detection, risk prediction |
| Lesion Segmentation & Volume Assessment | mpMRI, PET, Ultrasound | Deep learning (U-Net, CNN-based segmentation), radiomics | Automated gland and lesion segmentation, tumor volume estimation, 3D visualization |
| Biopsy Targeting & Guidance | TRUS, MRI-TRUS fusion | Deep learning, reinforcement learning, real-time AI-assisted navigation | AI-assisted fusion, real-time biopsy guidance, target selection |
| Treatment Planning & Monitoring | mpMRI, PSMA PET, Ultrasound | Deep learning, ML-based outcome prediction models | Radiation therapy contouring and dose optimization, treatment response monitoring, prognostication |
| Focus Area | Key Advancements | Expected Impact |
|---|---|---|
| Multimodal Data Integration | Combines imaging (mpMRI, PET, ultrasound) with genomic, proteomic, and clinical data for personalized medicine. | Enhances diagnostic accuracy, risk stratification, and individualized treatment recommendations. |
| Federated Learning | Decentralized AI training across institutions without sharing raw data. | Improves model robustness and generalizability while maintaining patient privacy; collaboration across academia, industry, and regulators. |
| AI-Driven Decision Support Systems | Integrates multimodal data into actionable insights for clinicians. | Streamlines diagnostics, optimizes treatment planning, and predicts outcomes for precision oncology. |
| Natural Language Processing (NLP) | Extracts structured data from unstructured radiology reports (e.g., PI-RADS classification, biopsy recommendations). | Enables rapid dataset creation, standardizes reporting, improves workflow efficiency, and enhances communication. |
| Digital Twin Technology | Creates a patient-specific virtual model integrating MRI, ultrasound, histopathology, and AI models. | Reduces inter-observer variability, standardizes Gleason grading, predicts progression and treatment response, and personalizes care. |
| Large AI and Vision–Language Models (VLMs) | Foundation models integrating imaging and text; support report generation, question answering, and image–text alignment. | Enables generalization across modalities, and advances context-aware prostate imaging analysis. |
| Precision Oncology with VLMs | Combines VLMs with genomics, pathology, and clinical notes for holistic prostate cancer analysis. | Enables interactive diagnostic assistants that can guide biopsy targeting, detect extra-prostatic extension, and draft structured reports. |
Disclaimer/Publisher’s Note: The statements, opinions and data contained in all publications are solely those of the individual author(s) and contributor(s) and not of MDPI and/or the editor(s). MDPI and/or the editor(s) disclaim responsibility for any injury to people or property resulting from any ideas, methods, instructions or products referred to in the content. |
© 2025 by the authors. Licensee MDPI, Basel, Switzerland. This article is an open access article distributed under the terms and conditions of the Creative Commons Attribution (CC BY) license (https://creativecommons.org/licenses/by/4.0/).
Share and Cite
Miao, K.H.; Miao, J.H.; Finkelstein, M.; Chatterjee, A.; Oto, A. Next-Generation Advances in Prostate Cancer Imaging and Artificial Intelligence Applications. J. Imaging 2025, 11, 390. https://doi.org/10.3390/jimaging11110390
Miao KH, Miao JH, Finkelstein M, Chatterjee A, Oto A. Next-Generation Advances in Prostate Cancer Imaging and Artificial Intelligence Applications. Journal of Imaging. 2025; 11(11):390. https://doi.org/10.3390/jimaging11110390
Chicago/Turabian StyleMiao, Kathleen H., Julia H. Miao, Mark Finkelstein, Aritrick Chatterjee, and Aytekin Oto. 2025. "Next-Generation Advances in Prostate Cancer Imaging and Artificial Intelligence Applications" Journal of Imaging 11, no. 11: 390. https://doi.org/10.3390/jimaging11110390
APA StyleMiao, K. H., Miao, J. H., Finkelstein, M., Chatterjee, A., & Oto, A. (2025). Next-Generation Advances in Prostate Cancer Imaging and Artificial Intelligence Applications. Journal of Imaging, 11(11), 390. https://doi.org/10.3390/jimaging11110390

