Transcriptome Analysis Reveals Genes Involved in Responses of Eucalyptus to Gall Wasp Infestation
Abstract
1. Introduction
2. Materials and Methods
2.1. Plant and Insect Materials
2.2. Gall Wasp Infestation Trial and Sample Collection
2.3. RNA Samples Preparation
2.4. RNA Sequencing, Mapping, and Assembly
2.5. Analysis of Differentially Expressed Genes
2.6. Gene Functional Annotation
2.7. Expression Analysis
3. Results
3.1. Sequencing Analysis
3.2. Analysis of DEGs Responses to Gall Wasp Infestation
3.3. Functional Annotation and Enrichment Analysis
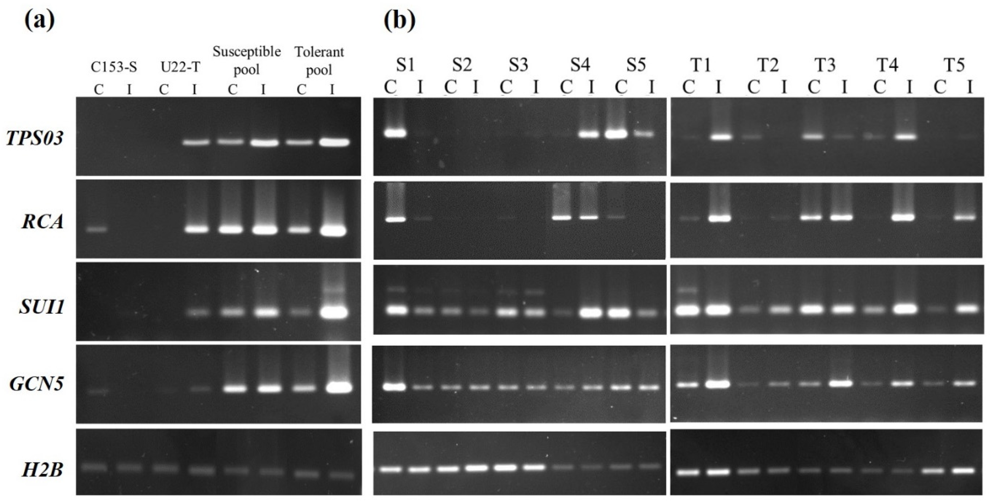
3.4. Expression Analysis
4. Discussion
4.1. Several Genes Associated with Plant Hormones and Volatile Organic Compounds Involved in Response to Gall Wasp Infestation
4.2. Changes in Interesting Genes in the Tolerant and Susceptible Groups
5. Conclusions
Supplementary Materials
Author Contributions
Funding
Data Availability Statement
Acknowledgments
Conflicts of Interest
References
- Grattapaglia, D.; Kirst, M. Eucalyptus applied genomics: From gene sequences to breeding tools. New Phytol. 2008, 179, 911–929. [Google Scholar] [CrossRef] [PubMed]
- Grattapaglia, D.; Vaillancourt, R.E.; Shepherd, M.; Thumma, B.R.; Foley, W.; Külheim, C.; Potts, B.M.; Myburg, A.A. Progress in Myrtaceae genetics and genomics: Eucalyptus as the pivotal genus. Tree Genet. Genomes 2012, 8, 463–508. [Google Scholar] [CrossRef]
- Jantapanon, K.T.; Apisitwanich, S.; Peyachoknagul, S. DNA fingerprinting of eucalyptus clones using microsatellite markers. Thai J. Genet. 2009, 3, 31–40. [Google Scholar]
- Kellison, R.C.; Lea, R.; Marsh, P. Introduction of Eucalyptus spp. into the United States with Special Emphasis on the Southern United States. Int. J. For. Res. 2013, 2013, 189393. [Google Scholar]
- Mendel, Z.; Protasov, A.; Fisher, N.; La Salle, J. Taxonomy and biology of Leptocybe invasa gen. & sp. n. (Hymenoptera: Eulophidae), an invasive gall inducer on Eucalyptus. Aust. J. Èntomol. 2004, 43, 101–113. [Google Scholar]
- Thu, P.Q.; Dell, B.; Burgess, T.I. Susceptibility of 18 eucalypt species to the gall wasp Leptocybe invasa Fisher & La Salle in the nursery and young plantations in Vietnam. ScienceAsia 2009, 35, 113–117. [Google Scholar]
- Petro, R.; Iddi, S. Leptocybe invasa and its effects on young plantations of commercial Eucalyptus species in Tanzania. Int. J. Agric. For. 2017, 7, 23–27. [Google Scholar]
- Jacop, P.J.; Kumar, A.R. Incidence of galls induced by Leptocybe invasa on seedlings of Eucalyptus camaldulensis and E. tereticornis from different seed sources in Southern India. Int. J. Ecol. Environ. Sci. 2009, 35, 187–198. [Google Scholar]
- ABD EL-Raheem, A.M.; Heikal, H.M. First record of the genus Leptocybe spp. as Eucalyptus gall wasp, (Hymenoptera: Eulophidae) in Egypt. Int. J. Zool. Res. 2014, 4, 23–28. [Google Scholar]
- Tong, Y.-G.; Ding, X.-X.; Zhang, K.-C.; Yang, X.; Huang, W. Effect of the gall wasp Leptocybe invasa on hydraulic architecture in Eucalyptus camaldulensis plants. Front. Plant Sci. 2016, 7, 130. [Google Scholar] [CrossRef]
- Jacob, J.P.; Senthil, K.; Sivakumar, V.; Seenivasan, R.; Chezhian, P.; Kumar, K.N. Gall wasp Leptocybe invasa (Hymenoptera: Eulophidae) management in Eucalypts. J. Biol. Control. 2015, 29, 20–24. [Google Scholar] [CrossRef]
- Huang, Z.-Y.; Li, J.; Lu, W.; Zheng, X.-L.; Yang, Z.-D. Parasitoids of the eucalyptus gall wasp Leptocybe spp.: A global review. Environ. Sci. Pollut. Res. Int. 2018, 25, 29983–29995. [Google Scholar] [CrossRef] [PubMed]
- Sangtongpraow, B.; Charernsom, K.; Siripatanadilok, S. Longevity, fecundity and development time of eucalyptus gall wasp, Leptocybe invasa Fisher&La Salle (Hymenoptera Eulophidae) in Kanchanaburi province, Thailand. Thai J. Agric. Sci. 2011, 44, 155–163. [Google Scholar]
- Sangtongpraow, B.; Charernsom, K. Biological traits of Quadrastichus mendeli (Hymenoptera, Eulophidae), parasitoid of the eucalyptus gall wasp Leptocybe invasa (Hymenoptera, Eulophidae) in Thailand. Parasite 2019, 26, 8. [Google Scholar] [CrossRef]
- Egan, S.P.; Hood, G.R.; Martinson, E.O.; Ott, J.R. Cynipid gall wasps. Curr Biol. 2018, 28, 1370–1374. [Google Scholar] [CrossRef]
- Tooker, J.F.; Rohr, J.R.; Abrahamson, W.G.; De Moraes, C.M. Gall insects can avoid and alter indirect plant defenses. New Phytol. 2008, 178, 657–671. [Google Scholar] [CrossRef]
- Roychoudhury, N.; Vaishy, N.; Mishra, R.K. Morphometric analysis of Eucalyptus gall insect, Leptocybe invasa. Van Sangyan 2020, 7, 19–23. [Google Scholar]
- Rosa, D.D.; Furtado, E.L.; Boava, L.P.; Marino, C.L.; Mori, E.S.; Guerrini, I.A.; Veline, E.D.; Wilcken, C.F. Eucalyptus ESTs involved in mechanisms against plant pathogens and environmental stresses. Summa Phytopathol. 2010, 36, 282–290. [Google Scholar] [CrossRef]
- Erb, M.; Meldau, S.; Howe, G.A. Role of phytohormones in insect-specific plant reactions. Trends Plant Sci. 2012, 17, 250–259. [Google Scholar] [CrossRef]
- Alba, J.M.; Glas, J.J.; Schimmel, B.C.J.; Kant, M.R.; Cano, J.M.A. Avoidance and suppression of plant defenses by herbivores and pathogens. J. Plant Interact. 2011, 6, 221–227. [Google Scholar] [CrossRef]
- Mazid, M.; Khan, T.A.; Mohammad, F. Role of secondary metabolites in defense mechanisms of plants. Biol. Med. 2011, 3, 232–249. [Google Scholar]
- War, A.R.; Paulraj, M.G.; Ahmad, T.; Buhroo, A.A.; Hussain, B.; Ignacimuthu, S.; Sharma, H.C. Mechanisms of plant defense against insect herbivores. Plant Signal. Behav. 2012, 7, 1306–1320. [Google Scholar] [CrossRef]
- Oates, C.N.; Kulheim, C.; Myburg, A.A.; Slippers, B.; Naidoo, S. The transcriptome and terpene profile of Eucalyptus grandis reveals mechanisms of defense against the insect pest, Leptocybe invasa. Plant Cell Physiol. 2015, 56, 1418–1428. [Google Scholar] [CrossRef] [PubMed]
- Naidoo, S.; Kulheim, C.; Zwart, L.; Mangwanda, R.; Oates, C.N.; Visser, E.A.; Wilken, F.E.; Mamni, T.B.; Myburg, A.A. Uncovering the defence responses of Eucalyptus to pests and pathogens in the genomics age. Tree Physiol. 2014, 34, 931–943. [Google Scholar] [CrossRef]
- Nabity, P.D. Insect-induced plant phenotypes: Revealing mechanisms through comparative genomics of galling insects and their hosts. Am. J. Bot. 2016, 103, 979–981. [Google Scholar] [CrossRef]
- Sarmento, M.I.; Pinto, G.; Araujo, W.L.; Silva, R.C.; Lima, C.H.O.; Soares, A.M.; Sarmento, R.A. Differential development times of galls induced by Leptocybe invasa (Hymenoptera: Eulophidae) reveal differences in susceptibility between two Eucalyptus clones. Pest Manag. Sci. 2021, 77, 1042–1051. [Google Scholar] [CrossRef]
- Pareek, C.S.; Smoczynski, R.; Tretyn, A. Sequencing technologies and genome sequencing. J. Appl. Genet. 2011, 52, 413–435. [Google Scholar] [CrossRef] [PubMed]
- Kukurba, K.R.; Montgomery, S.B. RNA sequencing and analysis. Cold Spring Harb Protoc. 2015, 11, 951–969. [Google Scholar] [CrossRef]
- Barrera-Redondo, J.; Pinero, D.; Eguiarte, L.E. Genomic, Transcriptomic and Epigenomic tools to study the domestication of plants and animals: A field guide for beginners. Front. Genet. 2020, 11, 742. [Google Scholar] [CrossRef]
- Li, J.; Zhu, L.; Hull, J.J.; Liang, S.; Daniell, H.; Jin, S.; Zhang, X. Transcriptome analysis reveals a comprehensive insect resistance response mechanism in cotton to infestation by the phloem feeding insect Bemisia tabaci (whitefly). Plant Biotechnol. J. 2016, 14, 1956–1975. [Google Scholar] [CrossRef]
- Duarte, J.; Riviere, N.; Baranger, A.; Aubert, G.; Burstin, J.; Cornet, L.; Lavaud, C.; Lejeune-Henaut, I.; Martinant, J.-P.; Pichon, J.-P.; et al. Transcriptome sequencing for high throughput SNP development and genetic mapping in Pea. BMC Genom. 2014, 15, 126. [Google Scholar] [CrossRef] [PubMed]
- Naqvi, R.Z.; Zaidi, S.S.-E.; Akhtar, K.P.; Strickler, S.; Woldemariam, M.; Mishra, B.; Mukhtar, M.S.; Scheffler, B.E.; Scheffler, J.A.; Jander, G.; et al. Transcriptomics reveals multiple resistance mechanisms against cotton leaf curl disease in a naturally immune cotton species, Gossypium arboreum. Sci. Rep. 2017, 7, 15880. [Google Scholar] [CrossRef] [PubMed]
- Long, J.A. The ‘omics’ revolution: Use of genomic, transcriptomic, proteomic and metabolomic tools to predict male reproductive traits that impact fertility in livestock and poultry. Anim. Reprod. Sci. 2020, 220, 106354. [Google Scholar] [CrossRef] [PubMed]
- Meyer, F.E.; Shuey, L.S.; Naidoo, S.; Mamni, T.; Berger, D.K.; Myburg, A.A.; Bergelson, N.; Naidoo, S. Dual RNA-sequencing of Eucalyptus nitens during Phytophthora cinnamomi challenge reveals pathogen and host factors influencing compatibility. Front. Plant Sci. 2016, 7, 191. [Google Scholar] [CrossRef] [PubMed]
- Santos, S.A.; Vidigal, P.M.P.; Guimarães, L.M.S.; Mafia, R.G.; Templeton, M.D.; Alfenas, A.C. Transcriptome analysis of Eucalyptus grandis genotypes reveals constitutive overexpression of genes related to rust (Austropuccinia psidii) resistance. Plant Mol. Biol. 2020, 104, 339–357. [Google Scholar] [CrossRef]
- Thavamanikumar, S.; Southerton, S.; Thumma, B. RNA-Seq using two populations reveals genes and alleles controlling wood traits and growth in Eucalyptus nitens. PLoS ONE 2014, 9, e101104. [Google Scholar] [CrossRef]
- Thumma, B.R.; Sharma, N.; Southerton, S.G. Transcriptome sequencing of Eucalyptus camaldulensis seedlings subjected to water stress reveals functional single nucleotide polymorphisms and genes under selection. BMC Genom. 2012, 13, 364. [Google Scholar] [CrossRef]
- Goud, K.B.; Kumari, N.K.; Vastrad, A.S.; Bhadragoudar, M.; Kulkarni, H. Screening of eucalyptus genotypes against gall wasp, Leptocybe invasa Fisher and La Salle (Hymenoptera: Eulophidae). Karnataka J. Agric. Sci. 2010, 23, 213–214. [Google Scholar]
- Zhang, M.; Zhou, C.; Song, Z.; Weng, Q.; Li, M.; Ji, H.; Mo, X.; Huang, H.; Lu, W.; Luo, J.; et al. The first identification of genomic loci in plants associated with resistance to galling insects: A case study in Eucalyptus L’Hér. (Myrtaceae). Sci. Rep. 2018, 8, 2319. [Google Scholar] [CrossRef]
- Bolger, A.M.; Lohse, M.; Usadel, B. Trimmomatic: A flexible trimmer for Illumina sequence data. Bioinformatics 2014, 30, 2114–2120. [Google Scholar] [CrossRef]
- Kim, D.; Langmead, B.; Salzberg, S.L. HISAT: A fast spliced aligner with low memory requirements. Nat. Methods 2015, 12, 357–360. [Google Scholar] [CrossRef]
- Pertea, M.; Kim, D.; Pertea, G.M.; Leek, J.T.; Salzberg, S.L. Transcript-level expression analysis of RNA-seq experiments with HISAT, StringTie and Ballgown. Nat. Protoc. 2016, 11, 1650–1667. [Google Scholar] [CrossRef]
- Robinson, M.D.; McCarthy, D.J.; Smyth, G.K. edgeR: A Bioconductor package for differential expression analysis of digital gene expression data. Bioinformatics 2010, 26, 139–140. [Google Scholar] [CrossRef]
- De Cremer, K.; Mathys, J.; Vos, C.; Froenicke, L.; Michelmore, R.W.; Cammue, B.P.; De Coninck, B. RNAseq-based transcriptome analysis of Lactuca sativa infected by the fungal necrotroph Botrytis cinerea. Plant Cell Environ. 2013, 36, 1992–2007. [Google Scholar] [PubMed]
- Benjamini, Y.; Yosef, H. Controlling the False Discovery Rate: A practical and powerful approach to multiple testing. J. R. Stat. Soc. Ser. B (Methodol.) 1995, 57, 289–300. [Google Scholar] [CrossRef]
- Rathod, V.; Hamid, R.; Tomar, R.S.; Patel, R.; Padhiyar, S.; Kheni, J.; Thirumalaisamy, P.P.; Munshi, N.S. Comparative RNA-Seq profiling of a resistant and susceptible peanut (Arachis hypogaea) genotypes in response to leaf rust infection caused by Puccinia arachidis. 3 Biotech 2020, 10, 284. [Google Scholar] [CrossRef] [PubMed]
- Ye, J.; Fang, L.; Zheng, H.; Zhang, Y.; Chen, J.; Zhang, Z.; Wang, J.; Li, S.; Li, R.; Bolund, L.; et al. WEGO: A web tool for plotting GO annotations. Nucleic Acids Res. 2006, 34, 293–297. [Google Scholar] [CrossRef] [PubMed]
- Livak, K.J.; Schmittgen, T.D. Analysis of relative gene expression data using real-time quantitative PCR and the 2(-Delta Delta C(T)) method. Methods 2001, 25, 402–408. [Google Scholar] [CrossRef]
- de Almeida, M.R.; Ruedell, C.M.; Ricachenevsky, F.K.; Sperotto, R.A.; Pasquali, G.; Fett-Neto, A.G. Reference gene selection for quantitative reverse transcription-polymerase chain reaction normalization during in vitro adventitious rooting in Eucalyptus globulus Labill. BMC Mol. Biol. 2010, 11, 73. [Google Scholar] [CrossRef]
- Chunthong, K.; Pitnjam, K.; Chakhonkaen, S.; Sangarwut, N.; Panyawut, N.; Wasinanon, T.; Ukoskit, K.; Muangprom, A. Differential drought responses in F-box gene expression and grain yield between two rice groups with contrasting drought tolerance. J. Plant Growth Regul. 2017, 36, 970–982. [Google Scholar] [CrossRef]
- Khlaimongkhon, S.; Chakhonkaen, S.; Tongmark, K.; Sangarwut, N.; Panyawut, N.; Wasinanon, T.; Sikaewtung, K.; Wanchana, S.; Mongkolsiriwatana, C.; Chunwonges, J.; et al. RNA sequencing reveals rice genes involved in male reproductive development under temperature alteration. Plants 2021, 10, 663. [Google Scholar] [CrossRef] [PubMed]
- Meng, H.; Sun, M.; Jiang, Z.; Liu, Y.; Sun, Y.; Liu, D.; Jiang, C.; Ren, M.; Yuan, G.; Yu, W.; et al. Comparative transcriptome analysis reveals resistant and susceptible genes in tobacco cultivars in response to infection by Phytophthora nicotianae. Sci. Rep. 2021, 11, 809. [Google Scholar] [CrossRef] [PubMed]
- Li, Y.; Guo, G.; Zhou, L.; Chen, Y.; Zong, Y.; Huang, J.; Lu, R.; Liu, C. Transcriptome analysis identifies candidate genes and functional pathways controlling the response of two contrasting barley varieties to powdery mildew infection. Int. J. Mol. Sci. 2019, 21, 151. [Google Scholar] [CrossRef] [PubMed]
- Zhu, C.; Shi, F.; Chen, Y.; Wang, M.; Zhao, Y.; Geng, G. Transcriptome analysis of chinese chestnut (Castanea mollissima Blume) in response to Dryocosmus kuriphilus Yasumatsu Infestation. Int. J. Mol. Sci. 2019, 20, 855. [Google Scholar] [CrossRef]
- Odilbekov, F.; He, X.; Armoniené, R.; Saripella, G.V.; Henriksson, T.; Singh, P.K.; Chawade, A. QTL mapping and transcriptome analysis to identify differentially expressed genes induced by septoria tritici blotch disease of wheat. Agronomy 2019, 9, 510. [Google Scholar] [CrossRef]
- Kigathi, R.N.; Weisser, W.W.; Reichelt, M.; Gershenzon, J.; Unsicker, S.B. Plant volatile emission depends on the species composition of the neighboring plant community. BMC Plant Biol. 2019, 19, 58. [Google Scholar] [CrossRef]
- Bouwmeester, H.; Schuurink, R.C.; Bleeker, P.M.; Schiestl, F. The role of volatiles in plant communication. Plant J. 2019, 100, 892–907. [Google Scholar] [CrossRef]
- Mumm, R.; Posthumus, M.A.; Dicke, M. Significance of terpenoids in induced indirect plant defence against herbivorous arthropods. Plant Cell Environ. 2008, 31, 575–585. [Google Scholar] [CrossRef]
- Zeng, X.; Liu, C.; Zheng, R.; Cai, X.; Luo, J.; Zou, J.; Wang, C. Emission and accumulation of monoterpene and the key terpene synthase (TPS) associated with monoterpene biosynthesis in Osmanthus fragrans Lour. Front. Plant Sci. 2016, 6, 1232. [Google Scholar] [CrossRef]
- Zapata, F.; Fine, P.V. Diversification of the monoterpene synthase gene family (TPSb) in Protium, a highly diverse genus of tropical trees. Mol. Phylogenetics Evol. 2013, 68, 432–442. [Google Scholar] [CrossRef]
- Huang, M.; Abel, C.; Sohrabi, R.; Petri, J.; Haupt, I.; Cosimano, J.; Gershenzon, J.; Tholl, D. Variation of herbivore-induced volatile terpenes among Arabidopsis ecotypes depends on allelic differences and subcellular targeting of two terpene synthases, TPS02 and TPS03. Plant Physiol. 2010, 153, 1293–1310. [Google Scholar] [CrossRef]
- Chen, F.; Tholl, D.; Bohlmann, J.; Pichersky, E. The family of terpene synthases in plants: A mid-size family of genes for specialized metabolism that is highly diversified throughout the kingdom. Plant J. 2011, 66, 212–229. [Google Scholar] [CrossRef] [PubMed]
- Wang, C.; Liu, Y.; Li, S.-S.; Han, G.-Z. Insights into the origin and evolution of the plant hormone signaling machinery. Plant Physiol. 2015, 167, 872–886. [Google Scholar] [CrossRef]
- Savatin, D.V.; Gramegna, G.; Modesti, V.; Cervone, F. Wounding in the plant tissue: The defense of a dangerous passage. Front Plant Sci. 2014, 5, 470. [Google Scholar] [CrossRef] [PubMed]
- Ikeuchi, M.; Iwase, A.; Rymen, B.; Lambolez, A.; Kojima, M.; Takebayashi, Y.; Heyman, J.; Watanabe, S.; Seo, M.; Veylder, L.; et al. Wounding Triggers Callus Formation via Dynamic Hormonal and Transcriptional Changes. Plant Physiol. 2017, 175, 1158–1174. [Google Scholar] [CrossRef]
- Markakis, M.N.; Boron, A.K.; Van Loock, B.; Saini, K.; Cirera, S.; Verbelen, J.-P.; Vissenberg, K. Characterization of a small auxin-up RNA (SAUR)-like gene involved in Arabidopsis thaliana development. PLoS ONE 2013, 8, e82596. [Google Scholar] [CrossRef] [PubMed]
- Zhang, H.; Yu, Z.; Yao, X.; Chen, J.; Chen, X.; Zhou, H.; Lou, Y.; Ming, F.; Jin, Y. Genome-wide identification and characterization of small auxin-up RNA (SAUR) gene family in plants: Evolution and expression profiles during normal growth and stress response. BMC Plant Biol. 2021, 21, 4. [Google Scholar] [CrossRef]
- Xie, R.; Dong, C.; Ma, Y.; Deng, L.; He, S.; Yi, S.; Lv, Q.; Zheng, Y. Comprehensive analysis of SAUR gene family in citrus and its transcriptional correlation with fruitlet drop from abscission zone A. Funct. Integr. Genom. 2015, 15, 729–740. [Google Scholar] [CrossRef]
- Jain, M.; Tyagi, A.K.; Khurana, J.P. Genome-wide analysis, evolutionary expansion, and expression of early auxin-responsive SAUR gene family in rice (Oryza sativa). Genomics 2006, 88, 360–371. [Google Scholar] [CrossRef]
- He, Y.; Liu, Y.; Li, M.; Lamin-Samu, A.T.; Yang, D.; Yu, X.; Izhar, M.; Jan, I.; Ali, M.; Lu, G. The Arabidopsis SMALL AUXIN UP RNA32 protein regulates ABA-mediated responses to drought stress. Front. Plant Sci. 2021, 12, 625493. [Google Scholar] [CrossRef]
- Nejat, N.; Mantri, N. Plant immune system: Crosstalk between responses to biotic and abiotic stresses the missing link in understanding plant defence. Curr Issues Mol Biol. 2017, 23, 1–16. [Google Scholar] [CrossRef] [PubMed]
- Umezawa, T.; Okamoto, M.; Kushiro, T.; Nambara, E.; Oono, Y.; Seki, M.; Kobayashi, M.; Koshiba, T.; Kamiya, Y.; Shinozaki, K. CYP707A3, a major ABA 8’-hydroxylase involved in dehydration and rehydration response in Arabidopsis thaliana. Plant J. 2006, 46, 171–182. [Google Scholar] [CrossRef]
- Krochko, J.E.; Abrams, G.D.; Loewen, M.K.; Abrams, S.R.; Cutler, A.J. (+)-Abscisic acid 8′-hydroxylase is a cytochrome P450 monooxygenase. Plant Physiol. 1998, 118, 849–860. [Google Scholar] [CrossRef] [PubMed]
- Bhat, J.Y.; Thieulin-Pardo, G.; Hartl, F.U.; Hayer-Hartl, M. Rubisco activases: AAA+ chaperones adapted to enzyme repair. Front. Mol. Biosci. 2017, 4, 20. [Google Scholar] [CrossRef]
- Perdomo, J.A.; Capo-Bauca, S.; Carmo-Silva, E.; Galmes, J. Rubisco and rubisco activase play an important role in the biochemical limitations of photosynthesis in rice, wheat, and maize under high temperature and water deficit. Front. Plant Sci. 2017, 8, 490. [Google Scholar] [CrossRef]
- Kerchev, P.I.; Fenton, B.; Foyer, C.; Hancock, R.D. Plant responses to insect herbivory: Interactions between photosynthesis, reactive oxygen species and hormonal signaling pathways. Plant Cell Environ. 2012, 35, 441–453. [Google Scholar] [CrossRef]
- Chavez-Arias, C.C.; Ligarreto-Moreno, G.A.; Ramirez-Godoy, A.; Restrepo-Diaz, H. Maize responses challenged by drought, elevated daytime temperature and arthropod herbivory stresses: A physiological, biochemical and molecular view. Front. Plant Sci. 2021, 12, 702841. [Google Scholar] [CrossRef]
- Kumar, R.R.; Goswami, S.; Singh, K.; Dubey, K.; Singh, S.; Sharma, R.; Verma, N.; Kala, Y.K.; Rai, G.K.; Grover, M.; et al. Identification of putative rubisco activase (TaRca1) the catalytic chaperone regulating carbon assimilatory pathway in Wheat (Triticum aestivum) under the heat stress. Front. Plant Sci. 2016, 7, 986. [Google Scholar] [CrossRef]
- Wijewardene, I.; Mishra, N.; Sun, L.; Smith, J.; Zhu, X.; Payton, P.; Shen, G.; Zhang, H. Improving drought-, salinity-, and heat-tolerance in transgenic plants by co-overexpressing Arabidopsis vacuolar pyrophosphatase gene AVP1 and Larrea Rubisco activase gene RCA. Plant Sci. 2020, 296, 110499. [Google Scholar] [CrossRef]
- Mitra, S.; Baldwin, I.T. RuBPCase activase (RCA) mediates growth-defense trade-offs: Silencing RCA redirects jasmonic acid (JA) flux from JA-isoleucine to methyl jasmonate (MeJA) to attenuate induced defense responses in Nicotiana attenuata. New Phytol. 2014, 201, 1385–1395. [Google Scholar] [CrossRef] [PubMed]
- Kang, J.; Park, J.; Choi, H.; Burla, B.; Kretzschmar, T.; Lee, Y.; Martinoia, E. Plant ABC Transporters. Arab. Book 2011, 9, e0153. [Google Scholar] [CrossRef]
- Banasiak, J.; Jasinski, M. ATP-binding cassette transporters in nonmodel plants. New Phytol. 2021, 233, 1597–1612. [Google Scholar] [CrossRef]
- Dong, Q.; Magwanga, R.O.; Cai, X.; Lu, P.; Kirungu, J.N.; Zhou, Z.; Wang, X.; Wang, X.; Xu, Y.; Hou, Y.; et al. RNA-Sequencing, physiological and rnai analyses provide insights into the response mechanism of the abc-mediated resistance to Verticillium dahlia Infection in Cotton. Genes 2019, 10, 110. [Google Scholar] [CrossRef]
- Kooliyottil, R.; Gadhachanda, K.R.; Solo, N.; Dandurand, L.-M. ATP-binding cassette (ABC) transporter genes in plant-parasitic nematodes: An opinion for development of novel control strategy. Front. Plant Sci. 2020, 11, 582424. [Google Scholar] [CrossRef] [PubMed]
- Borghi, L.; Kang, J.; Ko, D.; Lee, Y.; Martinoia, E. The role of ABCG-type ABC transporters in phytohormone transport. Biochem. Soc. Trans. 2015, 43, 924–930. [Google Scholar] [CrossRef]
- Yazaki, K. ABC transporters involved in the transport of plant secondary metabolites. FEBS Lett. 2006, 580, 1183–1191. [Google Scholar] [CrossRef]
- Ivanov, I.P.; Loughran, G.; Sachs, M.S.; Atkins, J.F. Initiation context modulates autoregulation of eukaryotic translation initiation factor 1 (eIF1). Proc. Natl. Acad. Sci. USA 2010, 107, 18056–18060. [Google Scholar] [CrossRef]
- Pestova, T.V.; Borukhov, S.I.; Hellen, C.U.T. Eukaryotic ribosomes require initiation factors 1 and 1A to locate initiation codons. Nature 1998, 394, 854–859. [Google Scholar] [CrossRef] [PubMed]
- Dutt, S.; Parkash, J.; Mehra, R.; Sharma, N.; Singh, B.; Raigond, P.; Joshi, A.; Chopra, S.; Singh, B.P. Translation initiation in plants: Roles and implications beyond protein synthesis. Biol. Plant. 2015, 59, 401–412. [Google Scholar] [CrossRef]
- Echevarria-Zomeno, S.; Yanguez, E.; Fernandez-Bautista, N.; Castro-Sanz, A.B.; Ferrando, A.; Castellano, M.M. Regulation of translation initiation under biotic and abiotic stresses. Int. J. Mol. Sci. 2013, 14, 4670–4683. [Google Scholar] [CrossRef] [PubMed]
- Rausell, A.; Kanhonou, R.; Yenush, L.; Serrano, R.; Ros, R. The translation initiation factor eIF1A is an important determinant in the tolerance to NaCl stress in yeast and plants. Plant J. 2003, 34, 257–267. [Google Scholar] [CrossRef]
- Diedhiou, C.J.; Popova, O.V.; Golldack, D. Comparison of salt-responsive gene regulation in rice and in the salt-tolerant Festuca rubra ssp. litoralis. Plant Signal Behav. 2009, 4, 533–535. [Google Scholar] [PubMed]
- Yang, G.; Yu, L.; Wang, Y.; Wang, C.; Gao, C. The translation initiation factor 1A (TheIF1A) from Tamarix hispida is regulated by a dof transcription factor and increased abiotic stress tolerance. Front. Plant Sci. 2017, 8, 513. [Google Scholar] [CrossRef] [PubMed]
- Li-shu, L.; Cong, L.; Zhen-yu, A.; Zhao-liang, L.; Long, D.; Hai-xia, Y.; Xin-hua, H. Molecular characterization, expression and function analysis of eukaryotic translation initiation factor (eIF1A) in Mangifera indica. J. Integr. Agric. 2019, 18, 2505–2513. [Google Scholar]
- Ganji, Z.; Fatehi, F.; Mehraban, F.H.; Haynes, P.A.; Naveh, V.H.; Farrokhi, N. Comparative Pistacia vera leaf proteomics in response to herbivory of the common pistachio psylla (Agonoscena pistaciae). Arthropod-Plant Interact. 2022, 16, 215–226. [Google Scholar] [CrossRef]
- Ishikawa, A.; Tanaka, H.; Kato, C.; Iwasaki, Y.; Asahi, T. Molecular characterization of the ZKT gene encoding a protein with PDZ, K-Box, and TPR motifs in Arabidopsis. Biosci Biotechnol Biochem. 2005, 69, 972–978. [Google Scholar] [CrossRef] [PubMed]
- Ginglinger, J.F.; Boachon, B.; Hofer, R.; Paetz, C.; Kollner, T.G.; Miesch, L.; Lugan, R.; Baltenweck, R.; Mutterer, J.; Ullmann, P.; et al. Gene coexpression analysis reveals complex metabolism of the monoterpene alcohol linalool in Arabidopsis flowers. Plant Cell. 2013, 25, 4640–4657. [Google Scholar] [CrossRef] [PubMed]
- Lee, S.; Badieyan, S.; Bevan, D.R.; Herde, M.; Gatz, C.; Tholl, D. Herbivore-induced and floral homoterpene volatiles are biosynthesized by a single P450 enzyme (CYP82G1) in Arabidopsis. Proc. Natl. Acad. Sci. USA 2010, 107, 21205–21210. [Google Scholar] [CrossRef]
- Kang, J.N.; Lee, W.H.; Won, S.Y.; Chang, S.; Hong, J.P.; Oh, T.J.; Lee, S.M.; Kang, S.H. Systemic Expression of Genes Involved in the Plant Defense Response Induced by Wounding in Senna tora. Int. J. Mol. Sci. 2021, 22, 10073. [Google Scholar] [CrossRef]
- Bate, N.; Sivasankar, S.; Moxon, C.; Riley, J.; Thompson, J.; Rothstein, S. Molecular Characterization of an Arabidopsis Gene Encoding Hydroperoxide Lyase, a Cytochrome P-450 That Is Wound Inducible. Plant Physiol. 1998, 117, 1393–1400. [Google Scholar] [CrossRef]
- Duan, H.; Huang, M.Y.; Palacio, K.; Schuler, M.A. Variations in CYP74B2 (Hydroperoxide lyase) gene expression differentially affect hexenal signaling in the Columbia and Landsberg erecta ecotypes of Arabidopsis. Plant Physiol. 2005, 139, 1529–1544. [Google Scholar] [CrossRef]
- Scala, A.; Mirabella, R.; Mugo, C.; Matsui, K.; Haring, M.A.; Schuurink, R.C. E-2-hexenal promotes susceptibility to Pseudomonas syringae by activating jasmonic acid pathways in Arabidopsis. Front. Plant Sci. 2013, 4, 74. [Google Scholar] [CrossRef] [PubMed]
- Tong, X.; Qi, J.; Zhu, X.; Mao, B.; Zeng, L.; Wang, B.; Li, Q.; Zhou, G.; Xu, X.; Lou, Y.; et al. The rice hydroperoxide lyase OsHPL3 functions in defense responses by modulating the oxylipin pathway. Plant J. 2012, 71, 763–775. [Google Scholar] [CrossRef] [PubMed]
- Han, Y.; Watanabe, S.; Shimada, H.; Sakamoto, A. Dynamics of the leaf endoplasmic reticulum modulate beta-glucosidase-mediated stress-activated ABA production from its glucosyl ester. J. Exp. Bot. 2020, 71, 2058–2071. [Google Scholar] [CrossRef] [PubMed]








| Sample | Raw Reads | Clean Reads | Mapped (%) | Error (%) | Q20 | GC (%) |
|---|---|---|---|---|---|---|
| C153-SC | 43,014,148 | 41,261,404 | 83.1 | 0.01 | 97.5 | 51.3 |
| U22-TC | 56,087,178 | 54,007,418 | 81.2 | 0.01 | 97.3 | 51.3 |
| GC | 59,730,664 | 56,347,488 | 82.7 | 0.01 | 97.5 | 51.6 |
| NGC | 59,156,756 | 55,977,608 | 81.4 | 0.01 | 97.6 | 51.0 |
| C153-SI | 49,390,892 | 47,423,820 | 81.9 | 0.01 | 97.6 | 51.1 |
| U22-TI | 56,073,578 | 53,098,228 | 81.4 | 0.01 | 97.4 | 50.8 |
| GI | 63,264,924 | 59,410,378 | 83.3 | 0.01 | 97.7 | 51.2 |
| NGI | 43,097,800 | 41,502,122 | 82.4 | 0.01 | 97.4 | 51.2 |
| Sum | 429,815,940 | 409,028,466 | ||||
| Mean | 53,726,993 | 51,128,558 | 82.2 | 0.01 | 97.5 | 51.2 |
Disclaimer/Publisher’s Note: The statements, opinions and data contained in all publications are solely those of the individual author(s) and contributor(s) and not of MDPI and/or the editor(s). MDPI and/or the editor(s) disclaim responsibility for any injury to people or property resulting from any ideas, methods, instructions or products referred to in the content. |
© 2023 by the authors. Licensee MDPI, Basel, Switzerland. This article is an open access article distributed under the terms and conditions of the Creative Commons Attribution (CC BY) license (https://creativecommons.org/licenses/by/4.0/).
Share and Cite
Pinsupa, S.; Tongmark, K.; Aesomnuk, W.; Srikaewtung, K.; Chakhonkaen, S.; Summart, P.; Sangarwut, N.; Pathaichindachote, W.; Wanchana, S.; Ukokit, K.; et al. Transcriptome Analysis Reveals Genes Involved in Responses of Eucalyptus to Gall Wasp Infestation. Horticulturae 2023, 9, 127. https://doi.org/10.3390/horticulturae9020127
Pinsupa S, Tongmark K, Aesomnuk W, Srikaewtung K, Chakhonkaen S, Summart P, Sangarwut N, Pathaichindachote W, Wanchana S, Ukokit K, et al. Transcriptome Analysis Reveals Genes Involved in Responses of Eucalyptus to Gall Wasp Infestation. Horticulturae. 2023; 9(2):127. https://doi.org/10.3390/horticulturae9020127
Chicago/Turabian StylePinsupa, Suparat, Keasinee Tongmark, Wanchana Aesomnuk, Kannika Srikaewtung, Sriprapai Chakhonkaen, Patcharaporn Summart, Numphet Sangarwut, Wanwarang Pathaichindachote, Samart Wanchana, Kittipat Ukokit, and et al. 2023. "Transcriptome Analysis Reveals Genes Involved in Responses of Eucalyptus to Gall Wasp Infestation" Horticulturae 9, no. 2: 127. https://doi.org/10.3390/horticulturae9020127
APA StylePinsupa, S., Tongmark, K., Aesomnuk, W., Srikaewtung, K., Chakhonkaen, S., Summart, P., Sangarwut, N., Pathaichindachote, W., Wanchana, S., Ukokit, K., & Muangprom, A. (2023). Transcriptome Analysis Reveals Genes Involved in Responses of Eucalyptus to Gall Wasp Infestation. Horticulturae, 9(2), 127. https://doi.org/10.3390/horticulturae9020127

