Size-Controlling Cherry Rootstock Selection Based on Root Anatomical Characteristics
Abstract
:1. Introduction
2. Materials and Methods
2.1. Plant Material
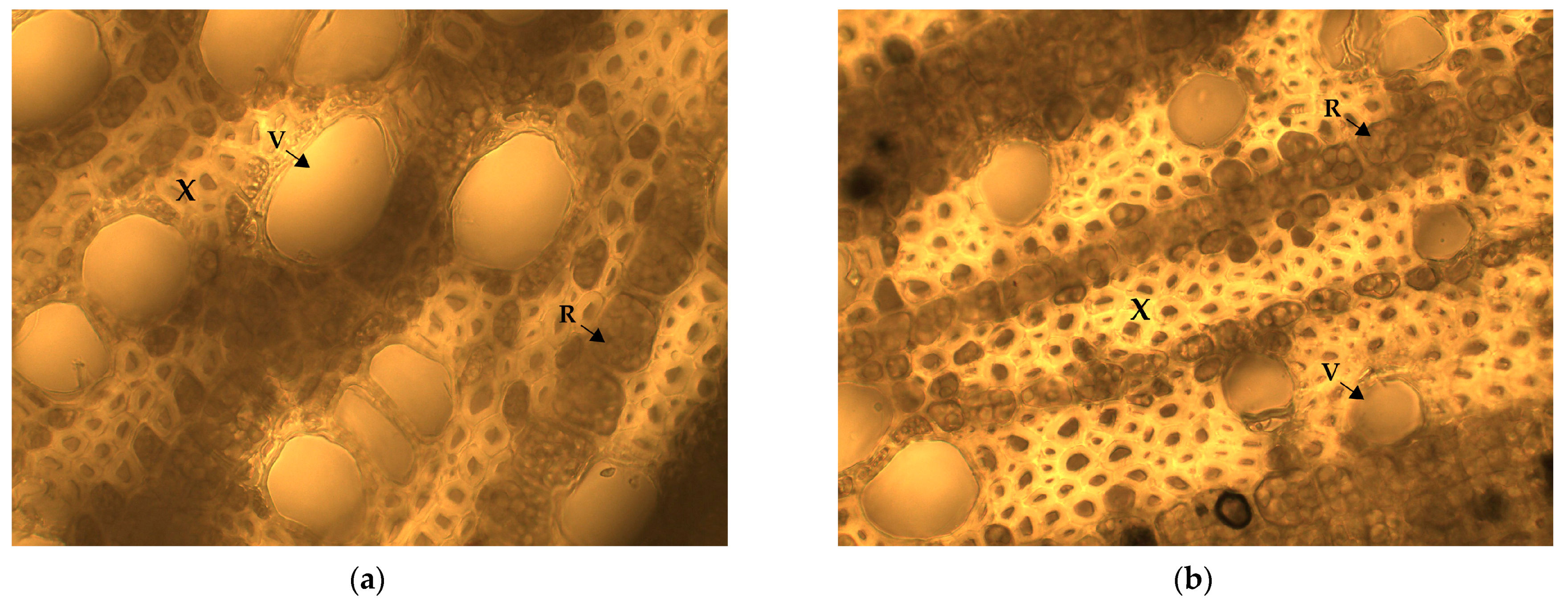
2.2. Anatomical Analysis
2.3. Effective Crown Volume and Growth Rate Calculation
2.4. Statistical Methods
3. Results
3.1. Root Anatomical Characteristics of Investigated Cherry Rootstocks
3.2. Effective Crown Volume Reduction
3.3. Correlation Analysis between Investigated Root Anatomical Characteristics and Crown Parameters
4. Discussion
5. Conclusions
Author Contributions
Funding
Institutional Review Board Statement
Informed Consent Statement
Data Availability Statement
Acknowledgments
Conflicts of Interest
References
- Atkinson, C.; Else, M. Understanding how rootstocks dwarf fruit trees. Compact Fruit Tree 2001, 34, 46–49. [Google Scholar]
- Webster, A.D. Vigour mechanisms in dwarfing rootstocks for temperate fruit trees. Acta Hortic. 2002, 658, 29–41. [Google Scholar] [CrossRef]
- Gjamovski, V.; Kiprijanovski, M. Influence of nine dwarfing apple rootstocks on vigour and productivity of apple cultivar ‘Granny Smith’. Sci. Hortic. 2011, 129, 742–746. [Google Scholar] [CrossRef]
- Marra, F.P.; Bianco, R.L.; La Mantia, M.; Caruso, T. Growth, yield and fruit quality of ‘Tropic Snow’ peach on size-controlling rootstocks under dry Mediterranean climates. Sci. Hortic. 2013, 160, 274–282. [Google Scholar] [CrossRef]
- Tworkoski, T.; Fazio, G. Hormone and growth interactions of scions and size-controlling rootstocks of young apple trees. Plant Growth Regul. 2016, 78, 105–119. [Google Scholar] [CrossRef]
- Yahmed, J.B.; Ghrab, M.; Mimoun, M.B. Eco-physiological evaluation of different scion-rootstock combinations of almond grown in Mediterranean conditions. Fruits 2016, 71, 185–193. [Google Scholar] [CrossRef] [Green Version]
- Bujdosó, G.; Magyar, L.; Hrotkó, K. Long term evaluation of growth and cropping of sweet cherry (Prunus avium L.) varieties on different rootstocks under Hungarian soil and climatic conditions. Sci. Hortic. 2019, 256, 108613. [Google Scholar] [CrossRef]
- Hrotkó, K. Progress in cherry rootstock research. Acta Hortic. 2008, 795, 171–178. [Google Scholar] [CrossRef]
- Tombesi, S.; Johnson, R.S.; Day, K.R.; DeJong, T.M. Relationships between xylem vessel characteristics, calculated axial hydraulic conductance and size-controlling capacity of peach rootstocks. Ann. Bot. 2010, 105, 327–331. [Google Scholar] [CrossRef] [Green Version]
- Tombesi, S.; Almehdi, A.; DeJong, T.M. Phenotyping vigour control capacity of new peach rootstocks by xylem vessel analysis. Sci. Hortic. 2011, 127, 353–357. [Google Scholar] [CrossRef]
- Zorić, L.; Ljubojević, M.; Merkulov, L.; Luković, J.; Ognjanov, V. Anatomical characteristics of cherry rootstocks as possible preselecting tools for prediction of tree vigor. J. Plant Growth Regul. 2012, 31, 320–331. [Google Scholar] [CrossRef]
- Hajagos, A.; Végvári, G. Investigation of tissue structure and xylem anatomy of eight rootstocks of sweet cherry (Prunus avium L.). Trees 2013, 27, 53–60. [Google Scholar] [CrossRef]
- Ljubojević, M.; Ognjanov, V.; Zorić, L.; Maksimović, I.; Merkulov, L.; Bošnjaković, D.; Barać, G. Modeling of water movement trough cherry plant as preselecting tool for prediction of tree vigor. Sci. Hortic. 2013, 160, 189–197. [Google Scholar] [CrossRef]
- Martínez-Alcántara, B.; Rodriguez-Gamir, J.; Martínez-Cuenca, M.R.; Iglesias, D.J.; Primo-Millo, E.; Forner-Giner, M.A. Relationship between hydraulic conductance and citrus dwarfing by the flying dragon rootstock (Poncirus trifoliata L. Raft var monstruosa). Trees 2013, 27, 629–638. [Google Scholar] [CrossRef]
- Bruckner, C.H.; DeJong, T.M. Proposed pre-selection method for identification of dwarfing peach rootstocks based on rapid shoot xylem vessel analysis. Sci. Hortic. 2014, 165, 404–440. [Google Scholar] [CrossRef]
- Chen, B.; Wang, C.; Tian, Y.; Chu, Q.; Hu, C. Anatomical characteristics of young stems and mature leaves of dwarf pear. Sci. Hortic. 2015, 186, 172–179. [Google Scholar] [CrossRef]
- Solari, L.I.; Johnson, S.; DeJong, T.M. Hydraulic conductance characteristics of peach (Prunus persica) trees on different rootstocks are related to biomass production and distribution. Tree Physiol. 2006, 26, 1343–1350. [Google Scholar] [CrossRef] [Green Version]
- Ljubojević, M.; Zorić, L.; Maksimović, I.; Dulić, J.; Miodragović, M.; Barać, G.; Ognjanov, V. Anatomically assisted cherry rootstock selection. Sci. Hortic. 2017, 217, 197–208. [Google Scholar] [CrossRef]
- Solari, L.I.; Johnson, S.; DeJong, T.M. Relationship of water status to vegetative growth and leaf gas exchange of peach (Prunus persica) trees on different rootstocks. Tree Physiol. 2006, 26, 1333–1341. [Google Scholar] [CrossRef] [Green Version]
- Olmstead, M.A.; Lang, N.S.; Ewers, F.W.; Owens, S.A. Xylem vessel anatomy of sweet cherries grafted onto dwarfing and nondwarfing rootstocks. J. Am. Soc. Hortic. Sci. 2006, 131, 577–585. [Google Scholar] [CrossRef] [Green Version]
- Gonçalves, B.; Correia, C.M.; Silva, A.P.; Bacelar, E.A.; Santos, A.; Ferreira, H.; Moutinho-Pereira, J.M. Variation in xylem structure and function in roots and stems of scion–rootstock combinations of sweet cherry tree (Prunus avium L.). Trees 2007, 21, 121–130. [Google Scholar] [CrossRef]
- Jupa, R.; Mészáros, M.; Plavcová, L. Linking wood anatomy with growth vigour and susceptibility to alternate bearing in composite apple and pear trees. Plant Biol. 2021, 23, 172–183. [Google Scholar] [CrossRef] [PubMed]
- Cohen, S.; Naor, A. The effect of three rootstocks on water use, canopy conductance and hydraulic parameters of apple trees and predicting canopy from hydraulic conductance. Plant Cell Environ. 2002, 25, 17–28. [Google Scholar] [CrossRef]
- Hayat, F.; Asghar, S.; Yanmin, Z.; Xue, T.; Nawaz, M.A.; Xu, X.; Wang, Y.; Wu, T.; Zhang, X.; Qiu, C.; et al. Rootstock induced vigour is associated with physiological, biochemical and molecular changes in ‘Red Fuji’ apple. Int. J. Agric. Biol. 2020, 24, 1823–1834. [Google Scholar]
- Santos, A.; Santos-Ribeiro, R.; Cavalheiro, J.; Cordeiro, V.; Lousada, J.L. Initial growth and fruiting of ‘Summit’ sweet cherry (Prunus avium) on five rootstocks. N. Z. J. Crop Hortic. 2006, 34, 269–277. [Google Scholar] [CrossRef]
- Wociór, S. The effect of rootstock on the growth and yielding of ‘Regina’ cherry trees. Folia Hortic. 2008, 20, 15–22. [Google Scholar] [CrossRef] [Green Version]
- López-Ortega, G.; García-Montiel, F.; Bayo-Canha, A.; Frutos-Ruiz, C.; Frutos-Tomás, D. Rootstock effects on the growth, yield and fruit quality of sweet cherry cv. ‘Newstar’ in the growing conditions of the Region of Murcia. Sci. Hortic. 2016, 198, 326–335. [Google Scholar] [CrossRef]
- Dziedzic, E.; Błaszczyk, J.; Kaczmarczyk, E. Postharvest properties of sweet cherry fruit depending on rootstock and storage conditions. Folia Hortic. 2017, 29, 113–121. [Google Scholar] [CrossRef] [Green Version]
- Pal, M.D.; Mitre, I.; Asănică, A.C.; Sestraș, A.F.; Peticilă, A.G.; Mitre, V. The influence of rootstock on the growth and fructification of cherry cultivars in a high density cultivation system. Not. Bot. Horti Agrobot. 2017, 45, 451–457. [Google Scholar] [CrossRef] [Green Version]
- Balducci, F.; Capriotti, L.; Mazzoni, L.; Medori, I.; Albanesi, A.; Giovanni, B.; Giampieri, F.; Mezzetti, B.; Capocasa, F. The rootstock effects on vigor, production and fruit quality in sweet cherry (Prunus avium L.). J. Berry Res. 2019, 9, 249–265. [Google Scholar] [CrossRef]
- Morandi, B.; Manfrini, L.; Lugli, S.; Tugnoli, A.; Boini, A.; Perulli, G.D.; Bresilla, K.; Venturi, M.; Grappadelli, L.C. Sweet cherry water relations and fruit production efficiency are affected by rootstock vigor. J. Plant Physiol. 2019, 237, 43–50. [Google Scholar] [CrossRef] [PubMed]
- Webster, T. Dwarfing rootstocks: Past, present and future. Compact Fruit Tree 2002, 35, 67–72. [Google Scholar]
- Beckman, T.G.; Lang, G.A. Rootstock breeding for stone fruits. Acta Hortic. 2002, 622, 531–551. [Google Scholar] [CrossRef]
- Tomaszewska, Z.; Nychnerewicz, B. The effect of rootstock on growth and fruitage of sweet cherry. Sodininkystė Ir Daržininkystė 2006, 25, 224–229. [Google Scholar]
- Sotirov, D. Growth and yield characteristics of ‘Summit’ sweet cherry on different rootstocks. Acta Hortic. 2021, 132, 137–142. [Google Scholar] [CrossRef]
- Tyree, M.T.; Ewers, F.W. The hydraulic architecture of trees and other woody plants. New Phytol. 1991, 119, 345–360. [Google Scholar] [CrossRef]
- Changok, L. Estimation of Urban Tree Crown Volume Based on Object-Oriented Approach and Lidar Data. Master’s Thesis, International Institute for Geoinformation Science and Earth Observation, Enschede, The Netherlands, 2007. [Google Scholar]
- Callesen, O. Recent developments in cherry rootstock research. Acta Hortic. 1998, 468, 219–228. [Google Scholar] [CrossRef]
- Wertheim, S.J. Rootstock Guide: Apple, Pear, Cherry, European Plum; Fruit Research Station: Wilhelminadorp, The Netherlands, 1998; pp. 85–114. [Google Scholar]
- Milošević, T.; Milošević, N.; Mladenović, J. Combining fruit quality and main antioxidant attributes in the sour cherry: The role of new clonal rootstock. Sci. Hortic. 2020, 265, 109236. [Google Scholar] [CrossRef]
- Solonkin, A.; Nikolskaya, O.; Seminchenko, E. The Effect of Low-Growing Rootstocks on the Adaptability and Productivity of Sour Cherry Varieties (Prunus cerasus L.) in Arid Conditions. Horticulturae 2022, 8, 400. [Google Scholar] [CrossRef]
- Cline, J.A. Planting density and size-controlling rootstocks influence the performance of Montmorency tart cherry (Prunus cerasus L.). Can. J. Plant Sci. 2019, 100, 16–28. [Google Scholar] [CrossRef]
- Barać, G.; Ognjanov, V.; Vidaković, D.O.; Dorić, D.; Ljubojević, M.; Dulić, J.; Miodragović, M.; Gašić, K. Genetic diversity and population structure of European ground cherry (Prunus fruticosa Pall.) using SSR markers. Sci. Hortic. 2017, 224, 374–383. [Google Scholar] [CrossRef]
- Ljubojević, M.; Sebolt, A.; Ognjanov, V.; Iezzoni, A. Heritability of Anatomical Characteristics in Cherry Interspecific Hybrids. J. Plant Growth Regul. 2022, 41, 965–982. [Google Scholar] [CrossRef]
- Hrotkó, K. Potentials in Prunus mahaleb L. for cherry rootstock breeding. Sci. Hortic. 2016, 205, 70–78. [Google Scholar] [CrossRef]
- Toscano, S.; Ferrante, A.; Romano, D. Response of Mediterranean Ornamental Plants to Drought Stress. Horticulturae 2019, 5, 6. [Google Scholar] [CrossRef] [Green Version]
- Strock, C.F.; Lynch, J.P. Root secondary growth: An unexplored component of soil resource acquisition. Ann. Bot. 2020, 126, 205–218. [Google Scholar] [CrossRef]
- Narandžić, T.; Ljubojević, M.; Ostojić, J.; Barać, G.; Ognjanov, V. Investigation of stem anatomy in relation to hydraulic conductance, vegetative growth and yielding potential of ‘Summit’ cherry trees grafted on different rootstock candidates. Folia Hortic. 2021, 33, 248–264. [Google Scholar] [CrossRef]
- Lynch, J.P.; Strock, C.F.; Schneider, H.M.; Sidhu, J.S.; Ajmera, I.; Galindo-Castañeda, T.; Klein, S.P.; Hanlon, M.T. Root anatomy and soil resource capture. Plant Soil 2021, 466, 21–63. [Google Scholar] [CrossRef]


| Rootstock Candidate | Root Diameter (mm) | Secondary Wood Portion (%) | Secondary Cortex Portion (%) | Periderm Portion (%) |
|---|---|---|---|---|
| PC_02_03/2 | 5.69 a* | 44.62 bc | 50.51 bcd | 4.87 c |
| PC_04_01 | 4.46 c | 36.55 d | 55.07 b | 8.37 b |
| PC_06_12 | 3.98 cd | 27.85 e | 64.74 a | 7.41 b |
| Average | 4.71 | 36.34 | 56.77 | 6.88 |
| PF_02_16 | 2.76 e | 45.27 bc | 42.19 ef | 12.54 a |
| PF_04_09 | 4.27 c | 43.77 bc | 46.80 de | 9.44 b |
| PF_07_08 | 5.11 b | 39.38 cd | 52.95 bc | 7.67 b |
| Average | 4.05 | 42.81 | 47.31 | 9.88 |
| PM_09_01 | 4.39 c | 43.03 bc | 49.25 cd | 7.72 b |
| PM_09_02 | 3.51 d | 48.69 ab | 41.58 ef | 9.73 b |
| Average | 3.95 | 45.86 | 45.42 | 8.73 |
| ‘Gisela 5′ | 4.07 cd | 52.24 a | 38.11 f | 9.65 b |
| Rootstock Candidate | Vessel Area Relative to the Total Secondary Wood Area (%) | Ray Area Relative to the Total Secondary Wood Area (%) | Xylem Area Relative to the Total Secondary Wood Area (%) |
|---|---|---|---|
| PC_02_03/2 | 23.99 b* | 36.29 a | 39.72 f |
| PC_04_01 | 28.51 a | 27.09 bcd | 44.41 ef |
| PC_06_12 | 20.77 b | 31.90 ab | 47.33 de |
| Average | 24.42 | 31.76 | 43.82 |
| PF_02_16 | 10.26 d | 27.56 bcd | 62.18 a |
| PF_04_09 | 10.79 d | 31.92 ab | 57.29 ab |
| PF_07_08 | 23.73 b | 25.21 cd | 51.06 cd |
| Average | 14.93 | 28.23 | 56.84 |
| PM_09_01 | 10.21 d | 29.03 bc | 60.76 a |
| PM_09_02 | 15.95 c | 22.94 d | 61.12 a |
| Average | 13.08 | 25.99 | 60.94 |
| ‘Gisela 5′ | 16.17 c | 29.74 bc | 54.09 bc |
| Rootstock Candidate | Percentage of Vessels ˂ 700 µm2 (%) | Percentage of Vessels 700–2000 µm2 (%) | Percentage of Vessels ˃ 2000 µm2 (%) |
|---|---|---|---|
| PC_02_03/2 | 28.91 c * | 41.80 b | 29.29 a |
| PC_04_01 | 27.76 c | 45.69 ab | 26.55 a |
| PC_06_12 | 38.84 bc | 49.67 ab | 11.49 b |
| Average | 31.84 | 45.72 | 22.44 |
| PF_02_16 | 46.49 b | 42.56 b | 10.95 b |
| PF_04_09 | 44.27 b | 50.80 ab | 4.93 bc |
| PF_07_08 | 34.61 bc | 57.69 a | 7.70 bc |
| Average | 41.79 | 50.35 | 7.86 |
| PM_09_01 | 37.95 bc | 52.84 ab | 9.21 bc |
| PM_09_02 | 13.61 d | 53.03 ab | 33.36 a |
| Average | 25.78 | 52.93 | 21.28 |
| ‘Gisela 5’ | 88.34 a | 11.66 c | 0.00 c |
| Rootstock Candidate | Root Secondary Wood Porosity (%) | kh per mm2 of Root Secondary Wood (×10−5 kg m/MPa s) | kh per Total Root Secondary Wood (×10−5 kg m/MPa s) |
|---|---|---|---|
| PC_02_03/2 | 24.0 b* | 1.804 b | 20.51 a |
| PC_04_01 | 28.5 a | 2.640 a | 15.21 b |
| PC_06_12 | 20.8 b | 1.213 c | 4.279 e |
| Average | 24.4 | 1.886 | 13.33 |
| PF_02_16 | 10.3 d | 0.588 d | 1.628 g |
| PF_04_09 | 10.8 d | 0.530 d | 3.348 f |
| PF_07_08 | 23.7 b | 1.408 bc | 11.45 c |
| Average | 14.9 | 0.842 | 5.475 |
| PM_09_01 | 10.2 d | 0.588 d | 3.880 ef |
| PM_09_02 | 15.9 c | 1.602 bc | 7.620 d |
| Average | 13.1 | 1.095 | 5.750 |
| ‘Gisela 5′ | 16.2 c | 0.327 d | 2.228 g |
| Ve in 2021 | Growth Rate 2018/17 | Growth Rate 2019/18 | Growth Rate 2020/19 | Growth Rate 2021/20 | Growth Rate 2021/17 | Average Annual Growth Rate | |
|---|---|---|---|---|---|---|---|
| 1 | −0.02 | −0.32 | −0.35 | −0.40 | −0.61 | −0.44 | −0.40 |
| 2 | 0.33 | 0.40 | −0.27 | 0.31 | 0.01 | 0.30 | 0.36 |
| 3 | −0.27 | −0.49 | 0.22 | −0.41 | −0.19 | −0.41 | −0.47 |
| 4 | −0.06 | 0.55 | 0.04 | 0.52 | 0.52 | 0.57 | 0.57 |
| 5 | 0.39 | 0.39 | −0.23 | 0.26 | 0.12 | 0.27 | 0.36 |
| 6 | 0.17 | −0.77 | −0.35 | −0.73 | 0.01 | −0.86 | −0.85 |
| 7 | −0.51 | 0.06 | −0.28 | 0.26 | −0.34 | 0.04 | 0.04 |
| 8 | 0.11 | 0.69 | 0.44 | 0.49 | 0.16 | 0.71 | 0.69 |
| 9 | 0.17 | −0.77 | −0.35 | −0.73 | 0.01 | −0.86 | −0.85 |
| 10 | 0.30 | −0.80 | −0.05 | −0.60 | 0.10 | −0.76 | −0.82 |
| 11 | 0.19 | −0.69 | −0.25 | −0.47 | −0.16 | −0.68 | −0.73 |
| 12 | −0.37 | 0.57 | −0.53 | 0.31 | 0.04 | 0.34 | 0.48 |
| 13 | 0.08 | −0.21 | 0.59 | −0.12 | −0.10 | 0.01 | −0.12 |
| 14 | 0.55 | −0.75 | 0.24 | −0.41 | 0.04 | −0.66 | −0.70 |
Publisher’s Note: MDPI stays neutral with regard to jurisdictional claims in published maps and institutional affiliations. |
© 2022 by the authors. Licensee MDPI, Basel, Switzerland. This article is an open access article distributed under the terms and conditions of the Creative Commons Attribution (CC BY) license (https://creativecommons.org/licenses/by/4.0/).
Share and Cite
Narandžić, T.; Ljubojević, M. Size-Controlling Cherry Rootstock Selection Based on Root Anatomical Characteristics. Horticulturae 2022, 8, 615. https://doi.org/10.3390/horticulturae8070615
Narandžić T, Ljubojević M. Size-Controlling Cherry Rootstock Selection Based on Root Anatomical Characteristics. Horticulturae. 2022; 8(7):615. https://doi.org/10.3390/horticulturae8070615
Chicago/Turabian StyleNarandžić, Tijana, and Mirjana Ljubojević. 2022. "Size-Controlling Cherry Rootstock Selection Based on Root Anatomical Characteristics" Horticulturae 8, no. 7: 615. https://doi.org/10.3390/horticulturae8070615
APA StyleNarandžić, T., & Ljubojević, M. (2022). Size-Controlling Cherry Rootstock Selection Based on Root Anatomical Characteristics. Horticulturae, 8(7), 615. https://doi.org/10.3390/horticulturae8070615
