Accessible Morphological and Genetic Markers for Identification of Taioba and Taro, Two Forgotten Human Foods
Abstract
1. Introduction
2. Materials and Methods
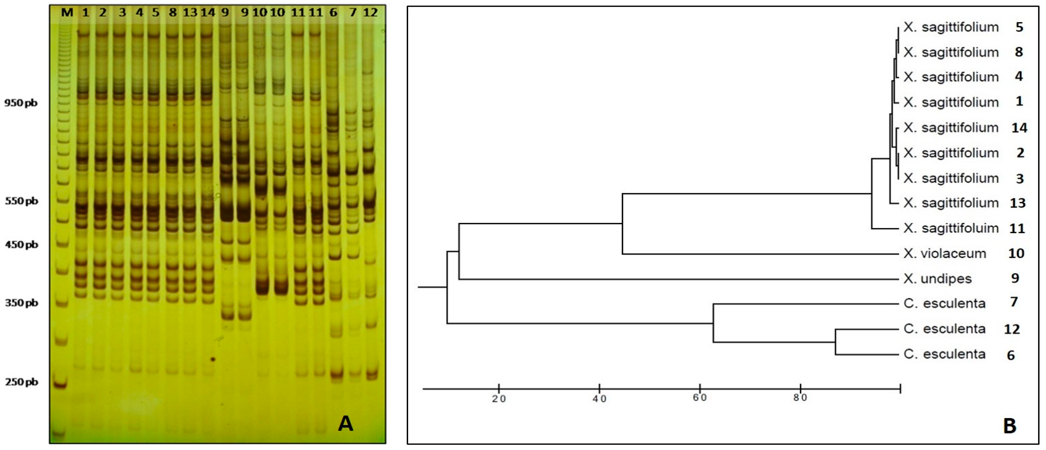
3. Results and Discussion
Acknowledgments
Author Contributions
Conflicts of Interest
References
- Judd, W.S.; Campbell, C.S.; Kellog, E.A.; Stevens, P.F.; Donoghue, M.J. Plant Systematics: A Phylogenetic Approach, 3rd ed.; Sinauer Associates: Sunderland, MA, USA, 2007; pp. 249–251. [Google Scholar]
- Grayun, M.H. Evolution and phylogeny of the Araceae. Ann. Mo. Bot. Gard. 1990, 77, 628–697. [Google Scholar] [CrossRef]
- Giacometti, D.C.; Leon, J. Tannia, Yautia. In Neglected Crops: 1492 from a Different Perspective; Hernando Bermejo, J.E., León, J., Eds.; Plant Production and Protection Series No. 26; Food and Agricultural Organization of the United Nations: Rome, Italy, 1994; pp. 253–258. [Google Scholar]
- Onokpise, O.U.; Wutoh, J.G.; Ndzana, X.; Tambong, J.T.; Meboka, M.M.; Sama, A.E.; Nyochemberg, L.; Guecia, A.; Nzietchueng, S.; Wilson, J.G.; et al. Evaluation of Macabo cocoyam germplasm in Cameroon. In Perspectives on New Crops and New Uses; Janick, J., Ed.; ASHS Press: Alexandria, VA, USA, 1999; pp. 394–396. [Google Scholar]
- Onwueme, I. Taro Cultivation in Asia and the Pacific; FAO: Bangkok, Thailand, 1999. [Google Scholar]
- MAPA—Ministério da Agricultura, Pecuária e Abastecimento. Manual de Hortaliças Não-Convencionais; Secretaria de Desenvolvimento Agropecuário e Cooperativismo: Brasília, Brasil, 2010.
- Onyeka, J. Status of Cocoyam (Colocasia esculenta and Xanthosoma spp) in West and Central Africa: Production, Household Importance and the Threat from Leaf Blight. Lima (Peru); CGIAR Research Program on Roots, Tubers and Bananas (RTB): Lima, Peru, 2014. [Google Scholar]
- Obidiegwu, J.E.; Kendabie, P.; Obidiegwu, O.; Amadi, C. Towards an Enhanced Breeding in Cocoyam: A Review of Past and Future Research Perspectives. Res. Rev. J. Bot. Sci. 2016, 5, 22–33. [Google Scholar]
- O’Hair, S.K. Tropical Root and Tuber Crops. In Advances in New Crops; Janick, J., Simon, J.E., Eds.; Timber Press: Portland, OR, USA, 1990; pp. 424–428. [Google Scholar]
- Gonçalves, E.G. The Commonly Cultivated Species of Xanthosoma Schott (Araceae), including Four New Species. Aroideana 2011, 34, 3–23. [Google Scholar]
- Zietkiewicz, E.; Rafalski, A.; Labuda, D. Genome fingerprinting by simple sequence repeat (SSR)-anchored polymerase chain reaction amplification. Genomics 1994, 20, 176–183. [Google Scholar] [CrossRef] [PubMed]
- Alzate-Marin, A.L.; Guidugli, M.C.; Soriani, H.H.; Martinez, C.A.H.; Mestriner, M.A.A. DNA minipreparation procedure suitable for PCR/SSR and RAPD analyses in tropical forest tree species. Braz. Arch. Biol. Technol. 2009, 52, 1217–1224. [Google Scholar] [CrossRef]
- Acevedo-Rodriguez, P.; Strong, T.M. Monocotiledons and Gymnosperm of Puerto Rico and the Virgin Island; National Museum of Natural History: Washington, DC, USA, 2005; pp. 30–51. [Google Scholar]
- Sanguinetti, C.J.; Dias, E.N.; Simpson, A.J.G. Rapid silver staining and recovery of PCR products separated on polyacrylamide gels. Biotechniques 1994, 17, 914–921. [Google Scholar] [PubMed]
- Peakall, R.; Smouse, P.E. GenAlEx 6.5: Genetic analysis in Excel. Population genetic software for teaching and research-an update. Bioinformatics 2012, 28, 2537–2539. [Google Scholar] [CrossRef] [PubMed]
- Nei, M. Genetic distance between populations. Am. Nat. 1972, 106, 283–292. [Google Scholar] [CrossRef]
- Tamura, K.; Peterson, D.; Peterson, N.; Stecher, G.; Nei, M.; Kumar, S.; Nei, M.; Anil, S. MEGA5: Molecular evolutionary genetics analysis using maximum likelihood, evolutionary distance, and maximum parsimony methods. Mol. Biol. Evol. 2011, 28, 2731–2739. [Google Scholar] [CrossRef] [PubMed]
- Lebot, V. Tropical Root and Tuber Crops: Cassava, Sweet Potato, Yams, Aroids; Crop Production Science in Horticulture, 17; CABI: Oxfordshire, UK, 2009; p. 432. [Google Scholar]
- Wada, E.; Asfaw, Z.; Feyissa, T.; Tesfaye, K. Farmers’ perception of agromorphological traits and uses of cocoyam (Xanthosoma sagittifolium (L.) Schott) grown in Ethiopia. Afr. J. Agric. Res. 2017, 12, 2681–2691. [Google Scholar] [CrossRef]
- Ochiai, T.; Nguyen, V.X.; Tahara, M.; Yoshino, H. Geographical differentiation of Asian taro, Colacasia esculenta (L.) Schott, detected by RAPD and isozyme analyses. Euphytica 2001, 122, 219–234. [Google Scholar] [CrossRef]
- Matthews, P.J. Genetic Diversity in Taro, and the Preservation of Culinary Knowledge. Ethnobot. Res. Appl. 2004, 2, 55–71. [Google Scholar] [CrossRef]
- Singh, S.; Singh, D.R.; Faseela, F.; Kumar, N.; Damodaran, V.; Srivastava, R.C. Diversity of 21 taro (Colocasia esculenta (L.) Schott) accessions of Andaman Islands. Genet. Resour. Crop Evol. 2012, 59, 821–829. [Google Scholar] [CrossRef]
- Chaïr, H.; Traore, R.E.; Duval, M.F.; Rivallan, R.; Mukherjee, A.; Aboagye, L.M.; van Rensburg, W.J.; Andrianavalona, V.; de Carvalho, M.A.A.P.; Saborio, F.; et al. Genetic Diversification and Dispersal of Taro (Colocasia esculenta (L.) Schott). PLoS ONE 2016, 11, e0157712. [Google Scholar] [CrossRef] [PubMed]
- Offei, S.K.; Asante, I.K.; Danquah, E.Y. Genetic structure of seventy cocoyam (Xanthosoma sagittifolium, Linn, Schott) accessions in Ghana based on RAPD. Hereditas 2004, 140, 123–128. [Google Scholar] [CrossRef] [PubMed]
- Osawaru, M.E.; Ogwu, M.C. Molecular Characterization of 36 Accessions of Two Genera of Cocoyam (Colocasia [Schott] and Xanthosoma [Schott], Araceae). Sci. Technol. Arts Res. J. 2015, 4, 27–33. [Google Scholar] [CrossRef]
- Cathebras, C.; Traore, R.; Malapa, R.; Risterucci, A.M.; Chaïr, H. Characterization of microsatellites in Xanthosoma sagittifolium (Araceae) and cross-amplification in related species. Appl. Plant Sci. 2014, 2, 1400027. [Google Scholar] [CrossRef] [PubMed]
- Doungous, O.; Kalendar, R.; Adiobo, A.; Schulman, A.H. Retrotransposon molecular markers resolve cocoyam (Xanthosoma sagittifolium) and taro (Colocasia esculenta) by type and variety. Euphytica 2015, 206, 541–554. [Google Scholar] [CrossRef]
- Coates, D.J.; Yen, D.E.; Gaffey, P.M. Chromosome variation in taro, Colocasia esculenta: Implications for origin in the Pacific. Cytologia 1988, 53, 551–560. [Google Scholar] [CrossRef]




| No. | Description | Herbarium Sample | GPS | Local/Brazil | Collection Date |
|---|---|---|---|---|---|
| 1 | X. sagittifolium | C. Faleiros 307 | 20°33′21.38″ S 47°23′56.08″ O | Franca/SP | 28/05/2013 |
| 2 | X. sagittifolium | C. Faleiros 308 | 20°34′13.91″ S 47° 20′29.29″ O | Abaeté-Franca/SP | 03/06/2013 |
| 3 | X. sagittifolium | - | 20°34′13.91″ S 47° 20′29.29″ O | Abaeté-Franca/SP | 03/06/2013 |
| 4 | X. sagittifolium | C. Faleiros 309 | 20°37′29.86″ S 47°10′54.44″ O | Itirapua/SP | 04/06/2013 |
| 5 | X. sagittifolium | - | 20°37′29.86″ S 47° 10′54.44″ O | Itirapua/SP | 04/06/2013 |
| 6 | C. esculenta | - | 20°37′16.58″ S 47°04′27.15″ O | Capetinga/MG | 04/06/2013 |
| 7 | C. esculenta | C. Faleiros 310 | 20°37′16.58″ S 47°04′27.15″ O | Capetinga/MG | 04/06/2013 |
| 8 | X. sagittifolium | Sepúlveda P. 752 | 21°15′03.13″ S 47°15′58.28″ O | Ribeirão Preto/SP | 16/06/2013 |
| 9 | X. undipes | - | 21°09′54.85″ S 47°51′40.54″ O | USP-Ribeirão Preto/SP | 17/06/2013 |
| 10 | X. violaceum | Sepúlveda P. 749 | 21°09′54.85″ S 47°51′40.54″ O | USP-Ribeirão Preto/SP | 17/06/2013 |
| 11 | X. sagittifolium | F. Bonifacio 110 | 20°53′39.78″ S 47°00′41.97″ O | São Sebastião do Paraíso/ MG | 16/06/2013 |
| 12 | C. esculenta | - | 20°53′42.14″ S 47°00′28.10″ O | São Sebastião do Paraíso /MG | 16/06/2013 |
| 13 | X. sagittifolium | - | 20°53′50.14″S 47°00′26.73″ O | São Sebastião do Paraíso/ MG | 16/06/2013 |
| 14 | X. sagittifolium | F. Bonifacio 111 | 20°53′51.83″ S 47°00′16.09″ O | São Sebastião do Paraíso/MG | 16/06/2013 |
| Primer | Sequence 5′–3′ | N° of Loci | PL | ML | Ĥe |
|---|---|---|---|---|---|
| UBC#2 | GAGAGAGAGAGAGAGAT | 73 | 68 | 5 | 0.305 |
| UBC#834 | AGAAGAAGAGAGAGAGYT | 47 | 47 | 0 | 0.270 |
| UBC#845 | CTCTCTCTCTCTCTCTRG | 36 | 36 | 0 | 0.237 |
| UBC#851 | GTGTGTGTGTGTGTGTYG | 37 | 36 | 1 | 0.301 |
| UBC#858 | TGTGTGTGTGTGTGTGRT | 37 | 36 | 1 | 0.244 |
| UBC#860 | TGTGTGTGTGTGTGTGRA | 49 | 45 | 4 | 0.240 |
| UBC#864 | ATGATGATGATGATGATG | 34 | 33 | 1 | 0.266 |
| UBC#866 | CTCCTCCTCCTCCTCCTC | 22 | 21 | 1 | 0.259 |
| Total | 334 | 321 (96,11%) | 13 (3.89%) | - | |
| Average | 0.2652 |
| Species | N | PL | PPL (%) | Ĥe |
|---|---|---|---|---|
| X. sagittifolium | 9 | 14 | 4.19 | 0.014 |
| C. esculenta | 3 | 86 | 25.74 | 0.109 |
© 2017 by the authors. Licensee MDPI, Basel, Switzerland. This article is an open access article distributed under the terms and conditions of the Creative Commons Attribution (CC BY) license (http://creativecommons.org/licenses/by/4.0/).
Share and Cite
Sepúlveda-Nieto, M.D.P.; Bonifacio-Anacleto, F.; Faleiros de Figueiredo, C.; De Moraes-Filho, R.M.; Alzate-Marin, A.L. Accessible Morphological and Genetic Markers for Identification of Taioba and Taro, Two Forgotten Human Foods. Horticulturae 2017, 3, 49. https://doi.org/10.3390/horticulturae3040049
Sepúlveda-Nieto MDP, Bonifacio-Anacleto F, Faleiros de Figueiredo C, De Moraes-Filho RM, Alzate-Marin AL. Accessible Morphological and Genetic Markers for Identification of Taioba and Taro, Two Forgotten Human Foods. Horticulturae. 2017; 3(4):49. https://doi.org/10.3390/horticulturae3040049
Chicago/Turabian StyleSepúlveda-Nieto, María Del Pilar, Fernando Bonifacio-Anacleto, Cairo Faleiros de Figueiredo, Rômulo M. De Moraes-Filho, and Ana Lilia Alzate-Marin. 2017. "Accessible Morphological and Genetic Markers for Identification of Taioba and Taro, Two Forgotten Human Foods" Horticulturae 3, no. 4: 49. https://doi.org/10.3390/horticulturae3040049
APA StyleSepúlveda-Nieto, M. D. P., Bonifacio-Anacleto, F., Faleiros de Figueiredo, C., De Moraes-Filho, R. M., & Alzate-Marin, A. L. (2017). Accessible Morphological and Genetic Markers for Identification of Taioba and Taro, Two Forgotten Human Foods. Horticulturae, 3(4), 49. https://doi.org/10.3390/horticulturae3040049
