Salinity–Chloride Interaction Effects on Novel Citrus Combinations Under Various Field Conditions
Abstract
1. Introduction
2. Materials and Methods
2.1. Experimental Sites
2.2. Plant Material
2.3. Soil Measurements
2.4. Water Measurements
2.5. Estimation of Total Water Inputs and Leaching Potential
2.6. Symptomatology and Plant Mortality
2.7. Tree Growth Analyses
2.8. Leaf Mineral Analyses
2.9. Leaf Chlorophyll Pigment Content and Nitrogen Status
2.10. Stomatal Density and Size Measurements
2.11. Statistical Analyses
3. Results
3.1. Total Water Supply and Potential Leaching Across Sites
3.2. Irrigation Effects of Soil Salinization Across Sites
3.3. Effects of Soil Salinity on Toxicity Symptoms and Plant Mortality
3.4. Effects of Soil Salinity on Tree Growth
3.4.1. Scion and Rootstock Circumference
3.4.2. Canopy Volume
3.5. Effects of Soil Salinity on Plant Nutrition
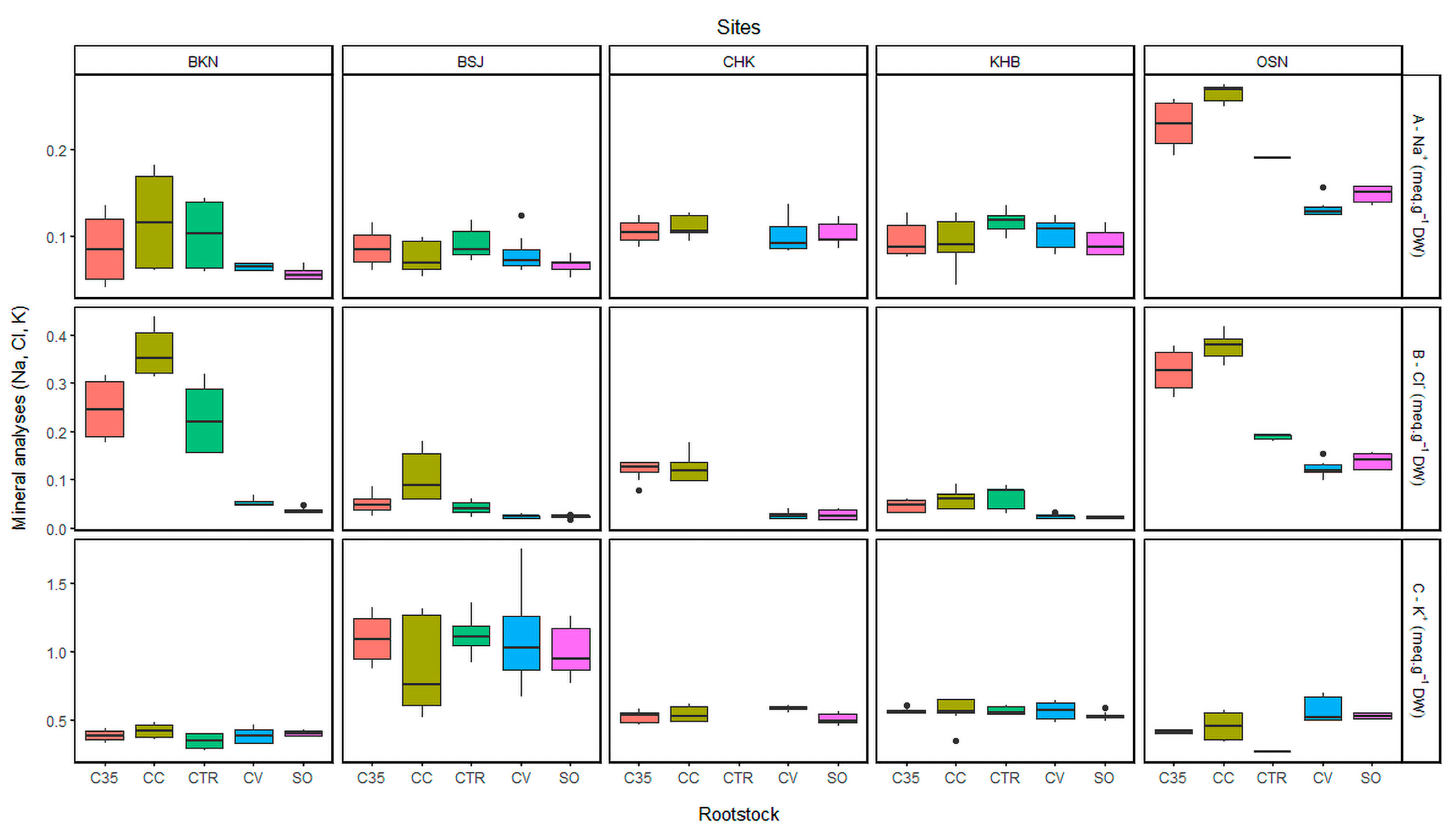
3.5.1. Leaf Na, Cl, and K Contents
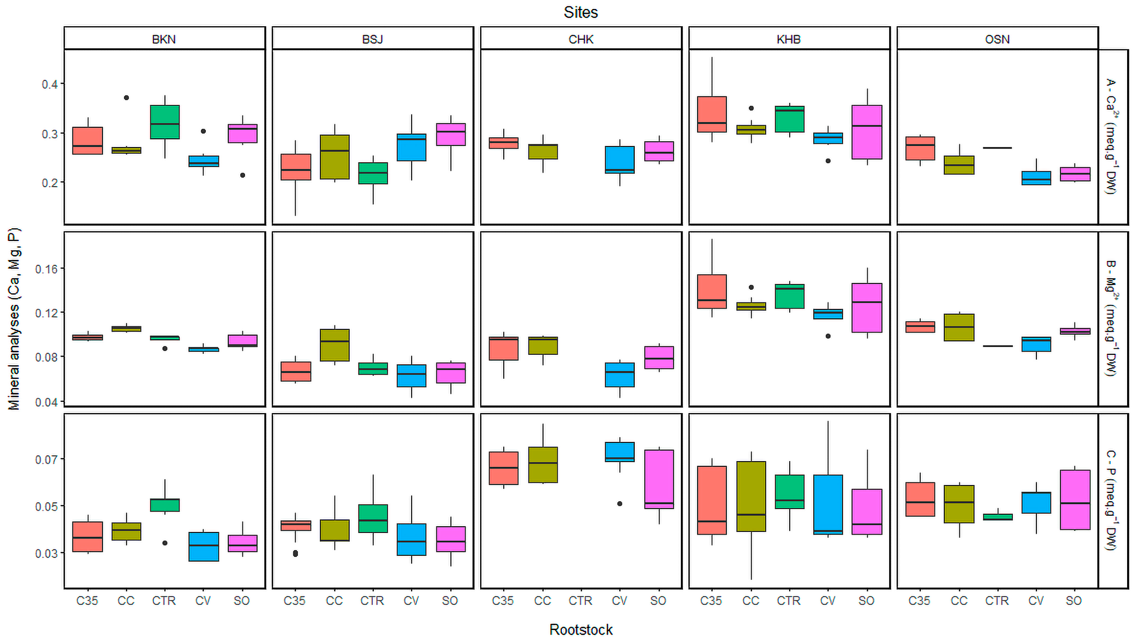
3.5.2. Leaf Ca, Mg, and P Contents
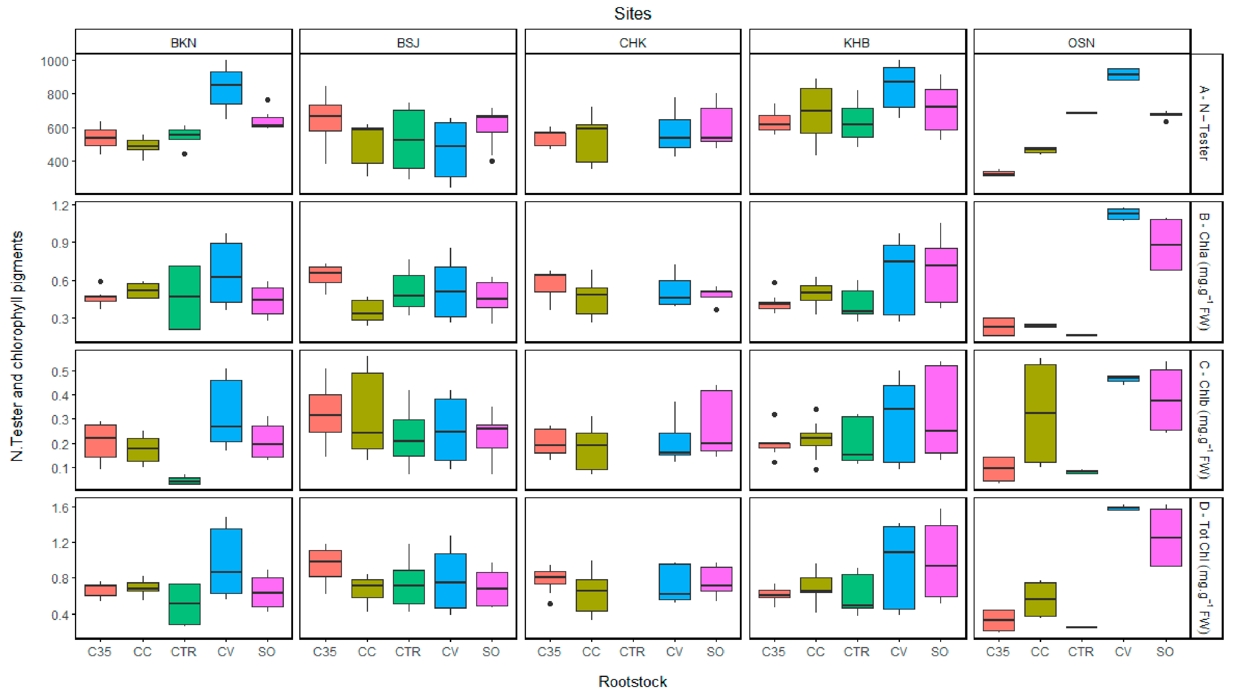
3.6. Effects of Soil Salinity on Nitrogen Status and Leaf Chlorophyll Contents
3.7. Effects of Soil Salinity on Leaf Stomatal Density, Length, and Width
3.8. Effect Correlation Between the Studied Variables and Cluster Analysis
4. Discussion
4.1. Soil Salinization
4.2. Plant Toxicity Symptoms and Growth Responses
4.3. Mechanisms of Salt Tolerance Across Rootstock, Scion, and Substrate
5. Conclusions
Supplementary Materials
Author Contributions
Funding
Data Availability Statement
Acknowledgments
Conflicts of Interest
References
- Simpson, C.R.; Nelson, S.D.; Melgar, J.C.; Jifon, J.; King, S.; Schuster, G.; Volder, A. Effects of salinity on physiological parameters of grafted and ungrafted citrus trees. Sci. Hortic. 2015, 197, 483–489. [Google Scholar] [CrossRef]
- Azevedo Neto, A.D.; Prisco, J.T.; Eneas-Filho, J.; Abreu, C.E.B.; Filho, E.G. Effect of salt stress on antioxidative enzymes and lipid peroxidation in leaves and roots of salt-tolerant and salt-sensitive maize genotypes. Environ. Exp. Bot. 2006, 56, 87–94. [Google Scholar] [CrossRef]
- Gimeno, V.; Syvertsen, J.P.; Nieves, M.; Simón, I.; Martínez, V.; García-Sánchez, F. Orange varieties as interstocks increase the salt tolerance of lemon trees. J. Hortic. Sci. Biotechnol. 2009, 84, 625–631. [Google Scholar] [CrossRef]
- Anane, M. GIS-based AHP-multicriteria decision analysis to rank suitable sites for irrigation with reclaimed water in the Nabeul–Hammamet region (Tunisia). In Proceedings of the 5th International Conference on Water Resources and the Arid Environments (ICWRAE 5), Riyadh, Saudi Arabia, 7–9 January 2013; pp. 171–181. [Google Scholar]
- Ben Alaya, M.; Taupin, J.-D.; Msaddek, M.H.; Ayari, I.; Patris, N.; Chaabene, N.; Toumi, B.; Melki, F. Application of geochemical and isotopic tools to investigate water recharge and salinization in a coastal phreatic aquifer suffering severe natural and anthropogenic constraints: Case of the Mornag Aquifer, NE Tunisia. Proc. Int. Assoc. Hydrol. Sci. 2024, 385, 327–332. [Google Scholar] [CrossRef]
- Touati, R.; Nsiri, I.; Laajili-Ghezal, L. Effects of magnetically treated irrigation water on soil properties and citrus leaves in the Cap Bon region, Tunisia. Int. J. Agric. Innov. Res. 2024, 12, 426–433. [Google Scholar]
- Arbona, V.; Flors, V.; Jacas, J.; García Agustín, P.; Gómez Cadenas, A. Enzymatic and non-enzymatic antioxidant responses of Carrizo citrange, a salt-sensitive citrus rootstock, to different levels of salinity. Plant Cell Physiol. 2003, 44, 388–394. [Google Scholar] [CrossRef]
- Naorem, A.; Jayaraman, S.; Dang, Y.P.; Dalal, R.C.; Sinha, N.K.; Rao, C.S.; Patra, A.K. Soil constraints in an arid environment-challenges, prospects and implications. Agronomy 2023, 13, 220. [Google Scholar] [CrossRef]
- Levy, Y.; Syvertsen, J.P. Irrigation water quality and salinity effects in citrus trees. Hort. Rev. 2004, 30, 37–82. [Google Scholar] [CrossRef]
- Anjum, M.A. Effect of NaCl concentrations in irrigation water on growth and polyamine metabolism in two citrus rootstocks with different levels of salinity tolerance. Acta Physiol. Plant. 2008, 30, 43–52. [Google Scholar] [CrossRef]
- López-Climent, M.F.; Arbona, V.; Pérez-Clemente, R.M.; Gómez Cadenas, A. Relationship between salt tolerance and photosynthetic machinery performance in citrus. Environ. Exp. Bot. 2008, 62, 176–184. [Google Scholar] [CrossRef]
- Saleh, B.; Allario, T.; Dambier, D.; Ollitrault, P.; Morillon, R. Tetraploid citrus rootstocks are more tolerant to salt stress than diploid. C. R. Biol. 2008, 331, 703–710. [Google Scholar] [CrossRef]
- García-Sánchez, F.; Syvertsen, J.P.; Gimeno, V.; Botia, P.; Perez-Perez, J.G. Substrate type and salinity affect growth allocation, tissue ion concentrations, and physiological responses of Carrizo citrange seedlings. HortScience 2009, 44, 1432–1437. [Google Scholar] [CrossRef]
- Hussain, S.; Luro, F.; Costantino, G.; Ollitrault, P.; Morillon, R. Physiological analysis of salt stress behaviour of citrus species and genera: Low chloride accumulation as an indicator of salt tolerance. S. Afr. J. Bot. 2012, 81, 103–112. [Google Scholar] [CrossRef]
- Garcia-Sanchez, F.; Syvertsen, J.P. Salinity tolerance of Cleopatra mandarin and Carrizo citrange rootstock seedlings is affected by CO2 enrichment during growth. J. Am. Soc. Hortic. Sci. 2006, 131, 24–31. [Google Scholar] [CrossRef]
- Khoshbakht, D.; Asghari, M.R.; Haghighi, M. Effects of foliar applications of nitric oxide and spermidine on chlorophyll fluorescence, photosynthesis, and antioxidant enzyme activities of citrus seedlings under salinity stress. Photosynthetica 2018, 56, 1313–1325. [Google Scholar] [CrossRef]
- Moreno-Lora, A.; Calero-Velázquez, R.; Arenas-Arenas, F.J. Physiological responses of new citrus rootstocks to salinity stress induced by increasing sodium and chloride concentrations in the irrigation solution. J. Soil Sci. Plant Nutr. 2025, 25, 7868–7877. [Google Scholar] [CrossRef]
- Brumós, J.; Talón, M.; Bouhlal, R.Y.M.; Colmenero-Flores, J.M. Cl− homeostasis in includer and excluder citrus rootstocks: Transport mechanisms and identification of candidate genes. Plant Cell Environ. 2010, 33, 2012–2027. [Google Scholar] [CrossRef]
- Roussos, P.A.; Tsichli, K.; Kyriakou, C.; Gasparatos, D. Citrus volkameriana grown under salinity: Impacts on soil properties, plant growth, leaf physiological and biochemical indices and nutrient content. J. Plant Growth Regul. 2025, 44, 4504–4525. [Google Scholar] [CrossRef]
- Romero-Aranda, R.; Moya, J.; Tadeo, F.; Legaz, F.; Primo-Millo, E.; Talón, M. Physiological and anatomical disturbances induced by chloride salts in sensitive and tolerant citrus: Beneficial and detrimental effects of cations. Plant Cell Environ. 1998, 21, 1243–1253. [Google Scholar] [CrossRef]
- Etehadpour, M.; Fatahi, R.; Zamani, Z.; Golein, B.; Naghavi, M.R.; Gmitter, F. Evaluation of the salinity tolerance of Iranian citrus rootstocks using morphophysiological and molecular methods. Sci. Hortic. 2020, 261, 109012. [Google Scholar] [CrossRef]
- Machado, R.M.A.; Serralheiro, R.P.; Madureira, H.; Soares, C.; Rodrigues, M.L.; Correia, C.M. Salt stress in plants and mitigation approaches. Plants 2022, 11, 717. [Google Scholar] [CrossRef] [PubMed]
- Syvertsen, J.P.; García-Sánchez, F. Multiple abiotic stresses occurring with salinity stress in citrus. Environ. Exp. Bot. 2014, 103, 128–137. [Google Scholar] [CrossRef]
- Grosser, J.W.; Omar, A.A.; Gmitter, J.A.; Syvertsen, J.P. Salinity tolerance of ‘Valencia’ orange trees on allotetraploid rootstocks. In Proceedings of the Florida State Horticultural Society, Orlando, FL, USA, 24–28 June 2012. [Google Scholar]
- Najar, A.; Homri, N.; Bouhlel, R.; Ben Mimoun, M.; Durán-Vila, N. Performance of the Tunisian ‘Maltaise demi-sanguine’ sweet orange inoculated with Citrus exocortis viroid (CEVd) and cachexia viroid (CVIIb) on eight rootstocks. Acta Hortic. 2015, 1065, 861–868. [Google Scholar] [CrossRef]
- Askri, H.; Najar, A.; Haddad, S.; Snoussi, S.; Rejeb, S. Influence of tristeza-tolerant rootstocks on the performance of the Hernandina clementine variety (Citrus clementina L.) under salt stress. J. New Sci. Agric. Biotechnol. 2017, 48, 2912–2919. [Google Scholar]
- Snoussi, H.; Askri, H.; Nacouzi, D.; Ouerghui, I.; Ananga, A.; Najar, A.; El Kayal, W. Comparative transcriptome profiling of salinity induced genes in citrus rootstocks with contrasted salt tolerance. Agriculture 2022, 12, 350. [Google Scholar] [CrossRef]
- Zekri, M.; Parsons, L.R. Growth and root hydraulic conductivity of several citrus rootstocks under salt and polyethylene glycol stresses. Physiol. Plant. 1989, 77, 99–106. [Google Scholar] [CrossRef]
- Banuls, J.; Primo-Millo, E. Effects of chloride and sodium on gas exchange parameters and water relations of citrus plants. Physiol. Plant. 1992, 86, 115–123. [Google Scholar] [CrossRef]
- Levy, Y.; Lifshitz, J.; De Malach, Y.; David, Y. The response of several Citrus genotypes to high salinity irrigation water. HortScience 1999, 34, 878–881. [Google Scholar] [CrossRef]
- Alcón-Bou, N.; Conesa, P.J.; Navarro, J.M.; Intrigliolo, D.S. Citrus salinity tolerance: A systematic review of cultivar selection trials, grafted versus nongrafted trees, and scion contributions. HortScience 2025, 60, 994–1002. [Google Scholar] [CrossRef]
- García-Lidón, Á.; García-Sánchez, A.; Carvajal, M.; Martínez, A. Role of rootstock and scion on root and leaf ion accumulation in lemon trees grown under saline conditions. Plant Soil 1998, 201, 245–253. [Google Scholar]
- Simpson, C.; Nelson, S.; Melgar, J.; Jifon, J.; King, S.; Schuster, G.; Volder, A. Growth response of grafted and ungrafted citrus trees to saline irrigation. Sci. Hortic. 2014, 169, 199–205. [Google Scholar] [CrossRef]
- Bañuls, J.; Primo-Millo, E. Effects of salinity on some citrus scion–rootstock combinations. Ann. Bot. 1995, 76, 97–102. [Google Scholar] [CrossRef]
- Gómez-Cadenas, A.; Iglesias, D.; Arbona, V.; Colmenero-Flores, J.M.; Primo-Millo, E.; Talón, M. Physiological and molecular responses of citrus to salinity. Recent Res. Dev. Plant Mol. Biol. 2003, 1, 281–298. [Google Scholar]
- Moya, J.L.; Gómez Cadenas, A.; Primo-Millo, E.; Talón, M. Chloride absorption in salt-sensitive Carrizo citrange and salt-tolerant Cleopatra mandarin citrus rootstocks is linked to water use. J. Exp. Bot. 2003, 54, 825–833. [Google Scholar] [CrossRef]
- Brumós, J.; Colmenero-Flores, J.M.; Conesa, A.; Izquierdo, P.; Sánchez, G.; Iglesias, D.J.; López-Climent, M.F.; Gómez Cadenas, A.; Talón, M. Membrane transporters and carbon metabolism implicated in chloride homeostasis differentiate salt stress responses in tolerant and sensitive citrus rootstocks. Funct. Integr. Genom. 2009, 9, 293–309. [Google Scholar] [CrossRef] [PubMed]
- Walker, R.R. Sodium exclusion and potassium–sodium selectivity in salt-treated trifoliate orange (Poncirus trifoliata) and Cleopatra mandarin (Citrus reticulata) plants. Funct. Plant Biol. 1986, 13, 293–303. [Google Scholar] [CrossRef]
- Chapman, H.D. The mineral nutrition of citrus. In The Citrus Industry, Volume II; Reuther, W., Batchelor, L.D., Weber, H.J., Eds.; University of California Press: Berkeley, CA, USA, 1968; pp. 127–289. [Google Scholar]
- Bañuls, J.; Legaz, F.; Primo-Millo, E. Effects of salinity on uptake and distribution of chloride and sodium in some citrus scion–rootstock combinations. J. Hortic. Sci. 1990, 65, 715–724. [Google Scholar] [CrossRef]
- Lloyd, J.; Kriedemann, P.E.; Aspinall, D. Contrast between Citrus species in response to salinisation: An analysis of photosynthesis and water relations for different rootstock-scion combinations. Physiol. Plant. 1990, 78, 236–246. [Google Scholar] [CrossRef]
- Tsabarducas, V.; Chatzistathis, T.; Therios, I.; Koukourikou-Petridou, M.; Tananaki, C. Differential tolerance of three self-rooted Citrus limon cultivars to NaCl stress. Plant Physiol. Biochem. 2015, 97, 196–206. [Google Scholar] [CrossRef]
- Shalata, A.; Mittova, V.; Volokita, M.; Guy, M.; Tal, M. Response of the cultivated tomato and its wild salt-tolerant relative Lycopersicon pennellii to salt-dependent oxidative stress: The root antioxidative system. Physiol. Plant. 2001, 112, 487–494. [Google Scholar] [CrossRef]
- Parida, A.K.; Das, A.B. Salt tolerance and salinity effects on plants: A review. Ecotoxicol. Environ. Saf. 2005, 60, 324–349. [Google Scholar] [CrossRef]
- Perez-Perez, J.G.; Syvertsen, J.P.; Botía, P.; García-Sánchez, F. Leaf water relations and net gas exchange responses of salinized Carrizo citrange seedlings during drought stress and recovery. Ann. Bot. 2007, 100, 335–345. [Google Scholar] [CrossRef]
- Gimeno, V.; Syvertsen, J.P.; Rubio, F.; Martínez, V.; García-Sánchez, F. Growth and mineral nutrition are affected by substrate type and salt stress in seedlings of two contrasting Citrus rootstocks. J. Plant Nutr. 2010, 33, 1435–1447. [Google Scholar] [CrossRef]
- Villagra, P.E.; Cavagnaro, J.B. Effects of salinity on the establishment and early growth of Prosopis argentina and Prosopis alpataco seedlings in two contrasting soils: Implications for their ecological success. Austral Ecol. 2005, 30, 325–335. [Google Scholar] [CrossRef]
- Parsons, L.R.; Wheaton, T.A. Effects of irrigation rate and frequency on young citrus tree performance and root distribution. HortScience 1996, 31, 577. [Google Scholar] [CrossRef]
- Allen, R.G.; Pereira, L.S.; Raes, D.; Smith, M. Crop Evapotranspiration—Guidelines for Computing Crop Water Requirements; FAO Irrigation and Drainage Paper No. 56; Food and Agriculture Organization of the United Nations: Rome, Italy, 1998; Available online: http://www.fao.org/3/x0490e/x0490e00.htm (accessed on 29 January 2026).
- Richards, L.A. Diagnosis and Improvement of Saline and Alkali Soils, 3rd ed.; Agricultural Handbook No. 60; United States Department of Agriculture: Washington, DC, USA, 1954.
- Ayers, R.S.; Westcot, D.W. Water Quality for Agriculture; FAO Irrigation and Drainage Paper No. 29 Rev. 1; Food and Agriculture Organization of the United Nations: Rome, Italy, 1994; Available online: http://www.fao.org/3/T0234e/T0234e00.htm (accessed on 1 January 2025).
- Ghraibeh, M.A.; Albalasmeh, A.A.; Pratt, C.; El Hanandeh, A. Estimation of exchangeable sodium percentage from sodium adsorption ratio of salt-affected soils using traditional and dilution extracts, saturation percentage, electrical conductivity, and generalized regression neural networks. Catena 2021, 205, 105466. [Google Scholar] [CrossRef]
- Goell, A. Salinity effects on citrus trees. In Proceedings of the First International Citrus Symposium; University of California, Riverside: Riverside, CA, USA, 1969; Volume 3, pp. 1819–1824. [Google Scholar]
- Naik, H.S.; Zhang, J.; Ganapathysubramanian, B.; Sarkar, S.; Singh, A.K.; Lorenz, A.J. High-throughput phenotyping of iron deficiency chlorosis using a 1–5 visual severity scale in soybean. Plant Methods 2019, 15, 97. [Google Scholar] [CrossRef]
- Colaço, A.F.; Trevisan, R.G.; Molin, J.P.; Rosell Polo, J.R.; Escolà, A. Orange tree canopy volume estimation by manual and LiDAR based methods. Adv. Anim. Biosci. 2017, 8, 477–480. [Google Scholar] [CrossRef]
- Torrecillas, A.; León, A.; Del Amor, F.; Martínez-Mompeán, M.C. A rapid determination of chlorophyll in foliar disks on lemon tree. Fruits 1984, 39, 617–622. [Google Scholar]
- Arnon, D.I. Copper enzymes in isolated chloroplasts. Polyphenoloxidase in Beta vulgaris. Plant Physiol. 1949, 24, 1–15. [Google Scholar] [CrossRef] [PubMed]
- Sharma, R.R.; Sharma, A.; Kumar, S. Use of N-tester and SPAD meters for rapid nitrogen assessment in fruit crops. J. Plant Nutr. 2010, 33, 109–118. [Google Scholar] [CrossRef]
- Minotti, P.; Oliveira, J.A.; de Souza, L. Evaluation of leaf chlorophyll meters (SPAD and N-tester) as indicators of nitrogen status in citrus. Sci. Hortic. 2018, 234, 123–131. [Google Scholar] [CrossRef]
- McGeorge, K.G. Irrigation and Soil Salinity in Semi-Arid Regions; FAO: Rome, Italy, 1954. [Google Scholar]
- Dabuxilatu, T.; Ikeda, M. Distribution of K, Na and Cl in root and leaf cells of soybean and cucumber plants grown under salinity conditions. Soil Sci. Plant Nutr. 2005, 51, 1053–1057. [Google Scholar] [CrossRef]
- Rochdi, A.; Lemsellek, J.; Bousarhal, A.; Rachidai, A. Évaluation sous serre de la tolérance à la salinité de quelques porte-greffes d’agrumes: Citrus aurantium et deux hybrides de Poncirus trifoliata (Poncirus × Citrus sinensis et Poncirus × Mandarinier sunki). Biotechnol. Agron. Soc. Environ. 2005, 9, 65–73. [Google Scholar]
- Bañuls, J.; Serna, M.D.; Legaz, F.; Talón, M.; Primo-Millo, E. Growth and gas exchange parameters of citrus plants stressed with different salts. J. Plant Physiol. 1997, 150, 194–199. [Google Scholar] [CrossRef]
- Al Yassin, A. Influence of salinity on citrus: A review paper. J. Cent. Eur. Agric. 2005, 5, 263–272. [Google Scholar] [CrossRef]
- Ferguson, L.; Grattan, S.R. How salinity damages citrus: Osmotic effects and specific ion toxicities. HortTechnology 2005, 15, 95–99. [Google Scholar] [CrossRef]
- White, P.J.; Broadley, M.R. Chloride in soils and its uptake and movement within the plant: A review. Ann. Bot. 2001, 88, 967–988. [Google Scholar] [CrossRef]
- Fernandez Ballester, G.; Martinez, V.; Ruiz, D.; Cerdá, A. Changes in inorganic and organic solutes in citrus growing under saline stresses. J. Plant Nutr. 1998, 21, 2497–2512. [Google Scholar] [CrossRef]
- Obreza, T.; Alva, A.; Hanlon, E.; Rouse, R. Citrus Grove Leaf Tissue and Soil Testing: Sampling, Analysis, and Interpretation; Florida Cooperative Extension Service, IFAS, University of Florida: Gainesville, FL, USA, 1992. [Google Scholar]
- Grattan, S.R. Irrigation Water Salinity and Crop Production; University of California Agriculture and Natural Resources (UCANR) Publications: Oakland, CA, USA, 2002. [Google Scholar]
- Sauls, J.W. Rootstock and Scion Varieties; Texas A&M AgriLife Extension Service: College Station, TX, USA, 2008. [Google Scholar]
- Kamululdeen, R.; Yunusa, I.A.M.; Bruhl, J.J.; Prychid, C.; Zerihun, A. Plasticity in stomatal density and morphology in okra and tomatoes in response to soil and water salinity. Acta Hortic. 2016, 1112, 45–53. [Google Scholar] [CrossRef]
- Hasanuzzaman, M.; Fujita, M. Plant responses and tolerance to salt stress: Physiological and molecular interventions. Int. J. Mol. Sci. 2023, 23, 4810. [Google Scholar] [CrossRef]
- Munns, R. Comparative physiology of salt and water stress. Plant Cell Environ. 2002, 25, 239–250. [Google Scholar] [CrossRef]
- Vardi, A.; Spiegel-Roy, P.; Ben-Hayyim, G.; Neumann, H.; Shalhevet, J. Response of Shamouti orange and Minneola tangelo on six rootstocks to salt stress. Citriculture 1988, 11, 75–82. [Google Scholar]
- Balal, R.M.; Khan, M.M.; Shahid, M.A.; Mattson, N.S.; Tahira, A.; Muhammad, A.; Garcia-Sanchez, F.; Usman, G.; Gimeno, V.; Zafar, I. Comparative studies on the physiobiochemical, enzymatic, and ionic modifications in salt-tolerant and salt-sensitive citrus rootstocks under NaCl stress. J. Am. Soc. Hortic. Sci. 2012, 137, 86–95. [Google Scholar] [CrossRef]
- Behboudian, M.H.; Törökfalvy, E.; Walker, R.R. Effects of salinity on ionic content, water relations and gas exchange parameters in some Citrus scion–rootstock combinations. Sci. Hortic. 1986, 28, 105–116. [Google Scholar] [CrossRef]
- Peynado, A. Relation of salt tolerance to cold hardiness of ‘Redblush grapefruit’ and ‘Valencia orange’ trees on various rootstocks. In Proceedings of the First International Citrus Symposium; University of California: Riverside, CA, USA, 1969; pp. 1793–1802. [Google Scholar]
- Incesu, M.; Yesiloglu, T.; Tuzcu, O.; Cimen, B.; Yilmaz, B. Response of citrus rootstocks to iron deficiency under high pH conditions. Citrus Res. Technol. 2016, 2, 12–25. [Google Scholar] [CrossRef]
- Incesu, M.; Cimen, B.; Yilmaz, B.; Yesiloglu, T.; Ilhan, M. Physiological investigation of drought stress tolerance of ‘W. Murcott’ mandarin grafted onto Carrizo, Sour Orange, and Volkameriana rootstocks. Horticulturae 2025, 11, 365. [Google Scholar] [CrossRef]












| Experimental Site | Location/Governorate | Soil Type | Climate | Area (ha), Plant Density |
|---|---|---|---|---|
| APC-Mabrouka | Khelidia, Ben Arous, northeastern Tunisia | Clay soil | Upper semi-arid | 1 ha, 4 m × 5 m |
| AEU-INRGREF | Oued Souhil, Cap Bon Peninsula, Nabeul | Sandy soil | Upper semi-arid | 0.5 ha, 4 m × 6 m |
| OSL-Intilaka | Beni Khalled, Cap Bon Peninsula, Nabeul | Sandy-loam soil | Upper semi-arid | 1 ha, 4 m × 6 m |
| ADVC-Sedan | Bou Salem, northwest Tunisia, Jendouba | Loamy-sandy-clay soil | Sub humid to upper semi-arid | 1 ha, 4 m × 6 m |
| Farmer-Chebika | Chebika, central Tunisia, Kairouan | Loamy-clay-sandy soil | Lower semi-arid | 1 ha, 5 m × 5 m |
| Site | Scion | Rootstock | No. of Combinations | No. of Trees/Trial | |||
|---|---|---|---|---|---|---|---|
| WN | NH | HER | MAR | ||||
| KHB | ✓ | ✓ | ✓ | All | 15 | 210 | |
| OSN | ✓ | ✓ | All | 10 | 72 | ||
| BKN | ✓ | ✓ | All | 10 | 360 | ||
| BSJ | ✓ | ✓ | ✓ | ✓ | All * | 19 | 417 |
| CHK | ✓ | ✓ | ✓ | All | 15 | 400 | |
| Parameters/Units | Experimental Sites | |||||
|---|---|---|---|---|---|---|
| KHB | OSN | BKN | BSJ | CHK | ||
| pH | 7.9 ± 0.2 | 7.6 ± 0.2 | 7.1 ± 0.1 | 7.6 ± 0.1 | 7.9 ± 0.2 | |
| ECe | mS cm−1 | 1.4 ± 0.1 | 1.6 ± 0.5 | 1.7 ± 0.2 | 2.1 ± 0.4 | 2.2 ± 0.3 |
| C | % | 0.6 ± 0.2 | 0.24 ± 0.2 | 1.1 ± 0.4 | 1.8 ± 0.4 | 0.6 ± 0.1 |
| OM | % | 1 ± 0.3 | 0.42 ± 0.3 | 2 ± 0.7 | 3.1 ± 0.7 | 1.1 ± 0.2 |
| TL | % | 26 ± 2.2 | 1.3 ± 0.5 | 3.3 ± 0.5 | 37 ± 0.3 | 36 ± 3.1 |
| AL | % | 11 ± 1.1 | 0 ± 0.0 | 0 ± 0.0 | 17 ± 3.7 | 17 ± 1.4 |
| P2O5 | ppm | 39 ± 15 | 2.8 ± 0.9 | 37 ± 11 | 161 ± 56 | 38 ± 6.9 |
| K2O | ppm | 732 ± 79 | 96 ± 16 | 448 ± 70 | 717 ± 101 | 524 ± 79 |
| Mg2+ | meq L−1 | 0.1 ± 0.02 | 0.1 ± 0.03 | 0.1 ± 0.04 | 0.23 ± 0.07 | 0.15 ± 0.05 |
| Ca2+ | meq L−1 | 4.9 ± 1.2 | 3 ± 0.9 | 6.2 ± 1.4 | 6.6 ± 2.3 | 9 ± 3.7 |
| Cl− | meq L−1 | 8.2 ± 1.1 | 7.6 ± 1.9 | 10.8 ± 2.7 | 7.9 ± 2 | 10 ± 2.7 |
| meq L−1 | 3.2 ± 0.4 | 2.8 ± 0.5 | 4.9 ± 0.4 | 2.7 ± 0.4 | 3.1 ± 0.4 | |
| Na+ | meq L−1 | 8.7 ± 0.8 | 8.5 ± 1.4 | 11.4 ± 1.8 | 13 ± 2.8 | 12 ± 3.2 |
| K+ | meq L−1 | 0.5 ± 0.2 | 0.53 ± 0.2 | 0.03 ± 0.01 | 0.04 ± 0.01 | 0.03 ± 0.01 |
| meq L−1 | 4.6 ± 1.2 | 4.1 ± 0.9 | 8.9 ± 2.4 | 14 ± 3.4 | 11 ± 2.4 | |
| SAR | 5.6 ± 0.7 | 7 ± 1.4 | 6.5 ± 1.0 | 7.4 ± 1.8 | 5.9 ± 2.0 | |
| ESP | % | 6.5 ± 1.0 | 8.3 ± 1.7 | 7.7 ± 1.2 | 8.7 ± 2.2 | 6.9 ± 2.6 |
| Experimental Sites | ||||||
|---|---|---|---|---|---|---|
| Parameter/Unit | KHB | OSN | BKN | BSJ | CHK | |
| pH | 7.9 ± 0.07 | 7.1 ± 0.5 | 7.1 ± 0.23 | 7.2 ± 0.5 | 7.6 ± 0.3 | |
| ECw | mS cm−1 | 2.2 ± 0.14 | 4.1 ± 0.4 | 3.2 ± 0.55 | 1.1 ± 0.2 | 2.7 ± 0.2 |
| TDS | g L−1 | 1.48 ± 0.07 | 2.7 ± 0.2 | 2.25 ± 0.14 | 0.58 ± 0.13 | 1.5 ± 0.2 |
| Mg2+ | meq L−1 | 0.16 ± 0.07 | 0.3 ± 0.2 | 0.4 ± 0.11 | 0.12 ± 0.1 | 0.38 ± 0.07 |
| Ca2+ | meq L−1 | 4.5 ± 0.94 | 6.7 ± 1.8 | 5.0 ± 2.8 | 3.3 ± 0.5 | 6.7 ± 1.8 |
| Cl− | meq L−1 | 12.46 ± 0.7 | 19.5 ± 3.1 | 16.3 ± 1.6 | 4.1 ± 0.4 | 9.9 ± 0.3 |
| meq L−1 | 2.9 ± 0.6 | 5.9 ± 0.5 | 6.00 ± 1.1 | 2.4 ± 0.4 | 2.8 ± 0.3 | |
| Na+ | meq L−1 | 10.79 ± 0.4 | 19.1 ± 2.9 | 15.7 ± 2.6 | 7.2 ± 2.3 | 11.3 ± 1.2 |
| K+ | meq L−1 | 0.22 ± 0.03 | 0.8 ± 0.07 | 0.13 ± 0.02 | 0.1 ± 0.02 | 0.23 ± 0.03 |
| meq L−1 | 4.5 ± 0.2 | 7.4 ± 4.4 | 6.3 ± 0.6 | 3.4 ± 0.4 | 10.8 ± 0.6 | |
| SARw | 7.2 ± 0.94 | 10.2 ± 1.4 | 10.05 ± 1.1 | 5.5 ± 2.6 | 6.1 ± 0.8 | |
| Site | Dripper Type | Emitter Flow Rate | Water Flow Rate | Irrigation Frequency | Irrigation Management |
|---|---|---|---|---|---|
| KHN | Integrated drippers | 3.5 L/h | 6.6 m3/h | February–April: every 3 days May–September: every 2 days October: one irrigation | Seasonal irrigation scheduling |
| OSN | Integrated drippers | 2.3 L/h | 10 m3/h | Every 2 or 3 days | Based on water requirements estimated following Allen et al. [49] |
| BKN | Integrated drippers | 8 L/h | 7.2 m3/h | Every 2 or 3 days | Local orchard management practices |
| BSJ | Button drippers | 8 L/h | 6.7 m3/h | March–August: every 2 days September–February: every 3–4 days | Seasonal adjustment |
| CHK | Button drippers | 8 L/h | 6.4 m3/h | March–August: every 3–4 days September–February: every 1–2 weeks | Reduced winter irrigation |
| WN | NH | HER | MAR | ||||||||||||||||||
|---|---|---|---|---|---|---|---|---|---|---|---|---|---|---|---|---|---|---|---|---|---|
| C | SO | CV | C35 | CC | CTR | SO | CV | C35 | CC | CTR | SO | CV | C35 | CC | CTR | SO | CV | C35 | CC | CTR | |
| OSN | 0 | 0 | 0 | 0 | 0 | 0 | - | - | - | - | - | 0 | 0 | 0 | 0 | 0 | - | - | - | - | - |
| 1 | 58 | 67 | 0 | 0 | 0 | - | - | - | - | - | 0 | 33 | 0 | 0 | 0 | - | - | - | - | - | |
| 2 | 25 | 33 | 75 | 83 | 25 | - | - | - | - | - | 92 | 67 | 83 | 92 | 25 | - | - | - | - | - | |
| 3 | 8 | 0 | 8 | 8 | 25 | - | - | - | - | - | 8 | 0 | 17 | 0 | 8 | - | - | - | - | - | |
| 4 | 0 | 0 | 0 | 0 | 0 | - | - | - | - | - | 0 | 0 | 0 | 0 | 0 | - | - | - | - | - | |
| KHB | 0 | 29 | 0 | 0 | 0 | 0 | 64 | 0 | 0 | 0 | 0 | 0 | 0 | 0 | 0 | 0 | - | - | - | - | - |
| 1 | 71 | 43 | 14 | 0 | 0 | 36 | 71 | 14 | 0 | 29 | 21 | 21 | 0 | 0 | 0 | - | - | - | - | - | |
| 2 | 0 | 57 | 57 | 71 | 36 | 0 | 29 | 57 | 50 | 57 | 79 | 79 | 21 | 21 | 29 | - | - | - | - | - | |
| 3 | 0 | 0 | 21 | 29 | 64 | 0 | 0 | 21 | 21 | 14 | 0 | 0 | 79 | 71 | 64 | - | - | - | - | - | |
| 4 | 0 | 0 | 0 | 0 | 0 | 0 | 0 | 0 | 0 | 0 | 0 | 0 | 0 | 0 | 0 | - | - | - | - | - | |
| BKN | 0 | - | - | - | - | - | 0 | 6 | 0 | 0 | 0 | - | - | - | - | - | 0 | 0 | 0 | 0 | 0 |
| 1 | - | - | - | - | - | 53 | 19 | 6 | 0 | 0 | - | - | - | - | - | 0 | 0 | 0 | 0 | 0 | |
| 2 | - | - | - | - | - | 33 | 44 | 33 | 33 | 14 | - | - | - | - | - | 53 | 58 | 3 | 3 | 0 | |
| 3 | - | - | - | - | - | 6 | 22 | 33 | 44 | 33 | - | - | - | - | - | 31 | 19 | 69 | 53 | 31 | |
| 4 | - | - | - | - | - | 3 | 0 | 3 | 3 | 17 | - | - | - | - | - | 0 | 0 | 8 | 0 | 14 | |
| BSJ | 0 | 0 | 0 | 0 | 0 | 0 | 0 | 0 | 0 | 0 | 0 | 0 | 0 | 0 | 0 | 0 | 0 | 0 | 0 | - | 0 |
| 1 | 19 | 10 | 33 | 0 | 0 | 76 | 38 | 24 | 15 | 5 | 43 | 0 | 0 | 0 | 0 | 0 | 12 | 0 | - | 4 | |
| 2 | 71 | 71 | 48 | 62 | 43 | 24 | 52 | 38 | 30 | 14 | 38 | 76 | 57 | 20 | 38 | 50 | 73 | 38 | - | 19 | |
| 3 | 10 | 19 | 10 | 29 | 57 | 0 | 5 | 24 | 20 | 52 | 19 | 24 | 43 | 70 | 52 | 50 | 15 | 58 | - | 58 | |
| 4 | 0 | 0 | 0 | 0 | 0 | 0 | 0 | 0 | 5 | 5 | 0 | 0 | 0 | 0 | 5 | 0 | 0 | 0 | - | 15 | |
| CHK | 0 | 0 | 0 | 0 | 0 | 0 | 0 | 0 | 0 | 0 | 0 | - | - | - | - | - | 0 | 0 | 0 | 0 | 0 |
| 1 | 0 | 0 | 0 | 0 | 0 | 0 | 0 | 0 | 0 | 0 | - | - | - | - | - | 0 | 0 | 0 | 0 | 0 | |
| 2 | 0 | 0 | 0 | 0 | 0 | 20 | 0 | 0 | 0 | 0 | - | - | - | - | - | 0 | 0 | 0 | 0 | 0 | |
| 3 | 85 | 65 | 60 | 25 | 0 | 65 | 50 | 30 | 15 | 0 | - | - | - | - | - | 78 | 58 | 53 | 15 | 0 | |
| 4 | 5 | 30 | 10 | 10 | 0 | 5 | 25 | 20 | 5 | 0 | - | - | - | - | - | 13 | 35 | 45 | 25 | 0 | |
Disclaimer/Publisher’s Note: The statements, opinions and data contained in all publications are solely those of the individual author(s) and contributor(s) and not of MDPI and/or the editor(s). MDPI and/or the editor(s) disclaim responsibility for any injury to people or property resulting from any ideas, methods, instructions or products referred to in the content. |
© 2026 by the authors. Licensee MDPI, Basel, Switzerland. This article is an open access article distributed under the terms and conditions of the Creative Commons Attribution (CC BY) license.
Share and Cite
Askri, H.; Haffani, S.; Snoussi, H.; Zitouna-Chebbi, R.; Fezzani, T.; Najar, A.; Berndtsson, R. Salinity–Chloride Interaction Effects on Novel Citrus Combinations Under Various Field Conditions. Horticulturae 2026, 12, 482. https://doi.org/10.3390/horticulturae12040482
Askri H, Haffani S, Snoussi H, Zitouna-Chebbi R, Fezzani T, Najar A, Berndtsson R. Salinity–Chloride Interaction Effects on Novel Citrus Combinations Under Various Field Conditions. Horticulturae. 2026; 12(4):482. https://doi.org/10.3390/horticulturae12040482
Chicago/Turabian StyleAskri, Hend, Sywar Haffani, Hager Snoussi, Rim Zitouna-Chebbi, Tarek Fezzani, Asma Najar, and Ronny Berndtsson. 2026. "Salinity–Chloride Interaction Effects on Novel Citrus Combinations Under Various Field Conditions" Horticulturae 12, no. 4: 482. https://doi.org/10.3390/horticulturae12040482
APA StyleAskri, H., Haffani, S., Snoussi, H., Zitouna-Chebbi, R., Fezzani, T., Najar, A., & Berndtsson, R. (2026). Salinity–Chloride Interaction Effects on Novel Citrus Combinations Under Various Field Conditions. Horticulturae, 12(4), 482. https://doi.org/10.3390/horticulturae12040482

