Effects of Trichoderma harzianum on the Morphological and Physiological Characteristics of Three Turfgrass Species Grown on Eco-Concrete
Abstract
1. Introduction
2. Materials and Methods
2.1. Test Materials
2.2. Experimental Design
2.3. Preparation of Freehand Sections for Leaf Subepidermal Structure Observations
2.4. Measurement of Physiological and Biochemical Indicators
2.5. Data Analysis
3. Results
3.1. Effects of Different Treatments on the Growth of Three Turfgrass Species
3.2. Effects on the Root Development and Root Viability of Three Turfgrass Species
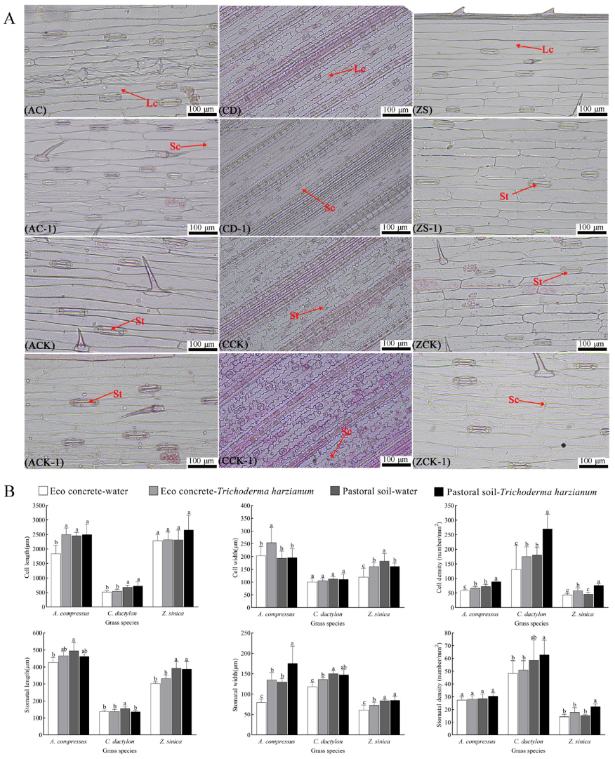
3.3. Effects of Different Treatments on Lower Epidermal Characteristics of Three Turfgrass Species
3.4. Effects of Different Treatments on Cell Membrane Permeability and Osmoregulatory Substances of Three Turfgrass Species
3.5. Effects of Different Treatments on Antioxidant Enzyme Activities of Three Turfgrass Species
3.6. Effects of Different Treatments on AN, AP, and AK of Three Turfgrass Species Grown in Soil
4. Discussion
5. Conclusions
Author Contributions
Funding
Data Availability Statement
Conflicts of Interest
References
- Wang, X.; Dong, F.; Pan, Y.; Liu, Y. Transport infrastructure, high-quality development and industrial pollution: Fresh evidence from china. Int. J. Environ. Res. Public Health 2022, 19, 9494. [Google Scholar] [CrossRef] [PubMed]
- Zhang, N.; Duan, H.; Sun, P.; Li, J.; Zuo, J.; Mao, R.; Liu, G.; Niu, Y. Characterizing the generation and environmental impacts of subway-related excavated soil and rock in china. J. Clean. Prod. 2020, 248, 119242. [Google Scholar] [CrossRef]
- Hamza, B.; Ilyass, O.; Amor-Ben, F.; Francis, L.; Jean-Michel, T. Reuse potential of dredged river sediments in concrete: Effect of sediment variability. J. Clean. Prod. 2020, 265, 121665. [Google Scholar] [CrossRef]
- Lei, J.; Shi, J.; Gong, C.; Dai, J.; Huo, L.; Lu, L.; Cheng, X. Study on green restoration of exposed mountain: Effect of isobutylidene diurea on slow-release of total nitrogen and physiological characteristics of euonymus fortune in planted eco-concrete. Constr. Build. Mater. 2022, 359, 129460. [Google Scholar] [CrossRef]
- Juhart, J.; Autischer, M.; Sakoparnig, M.; Krüger, M. The Realization of Clinker-Reduced, Performance-Based Sustainable Concrete by the Micro-Filler, Eco-Filler Concept. Materials 2021, 14, 4958. [Google Scholar] [CrossRef]
- Sundin, M.; Hedlund, H.; Cwirzen, A. Eco-Concrete in High Temperatures. Materials 2023, 16, 4212. [Google Scholar] [CrossRef] [PubMed]
- Li, Y.; Rong, S.; Zhang, C.; Chu, H.; Wei, P.; Tao, S. Mesocosm experimental study on sustainable riparian restoration using sediment-modified planting eco-concrete. Sci. Total Environ. 2023, 898, 165452. [Google Scholar] [CrossRef]
- Nawaz, M.; Li, L.; Azeem, F.; Shabbir, S.; Zohaib, A.; Ashraf, U.; Yang, H.; Wang, Z. Insight of transcriptional regulators reveals the tolerance mechanism of carpet-grass (Axonopus compressus) against drought. BMC Plant Biol. 2021, 21, 71. [Google Scholar] [CrossRef]
- Sun, X.; Fu, Q.; Song, Y.; Deng, X.; Li, Y.; Wu, K.; Li, S.; Fu, J. Research progress and prospects of molecular breeding in bermudagrass (Cynodon dactylon). Int. J. Mol. Sci. 2024, 25, 13254. [Google Scholar] [CrossRef]
- Wang, W.; Shao, A.; Xu, X.; Fan, S.; Fu, J. Comparative genomics reveals the molecular mechanism of salt adaptation for zoysiagrasses. BMC Plant Biol. 2022, 22, 355. [Google Scholar] [CrossRef]
- Zhao, M.; Jia, Y.; Yuan, L.; Qiu, J.; Xie, C. Experimental study on the vegetation characteristics of biochar-modified vegetation concrete. Constr. Build. Mater. 2019, 206, 321–328. [Google Scholar] [CrossRef]
- Liu, R.; Yang, L.; Zou, Y.; Wu, Q. Root-associated endophytic fungi modulate endogenous auxin and cytokinin levels to improve plant biomass and root morphology of trifoliate orange. Hortic. Plant J. 2023, 9, 463–472. [Google Scholar] [CrossRef]
- Song, Q.; Deng, X.; Song, R.; Song, X. Plant growth-promoting rhizobacteria promote growth of seedlings, regulate soil microbial community, and alleviate damping-off disease caused by rhizoctonia solani on Pinus sylvestris var. Mongolica. Plant Dis. 2022, 106, PDIS11212562RE. [Google Scholar] [CrossRef] [PubMed]
- Xiao, Z.; Zhao, Q.; Li, W.; Gao, L.; Liu, G. Strain improvement of Trichoderma harzianum for enhanced biocontrol capacity: Strategies and prospects. Front. Microbiol. 2023, 14, 1146210. [Google Scholar] [CrossRef]
- Tang, W.; Lü, Y.; Zhang, R.; Wang, X.; Wang, H.; Wang, M.; Chen, X.; Shen, X.; Yin, C.; Mao, Z. Mixed application of raw amino acid powder and Trichoderma harzianum fertilizer for the prevention and management of apple replant disease. J. Integr. Agric. 2025, 24, 1126–1139. [Google Scholar] [CrossRef]
- Abdelaziz, A.; Mohamed, A.; Attia, M. Protective role of Claroideoglomus etunicatum and Trichoderma harzianum to improve growth and physiological immune responses of Olea europaea tolerance against fusarium solani. Physiol. Mol. Plant Pathol. 2025, 136, 102593. [Google Scholar] [CrossRef]
- Hu, Y.; Tao, W.; Bai, J.; Shi, L.; Que, P.; Jia, D.; Han, H. Different Microorganisms on Growth Regulation Characteristics of Festuca arundinacea. J. Shandong Agric. Univ. (Nat. Sci. Ed.) 2025, 56, 38–48. [Google Scholar] [CrossRef]
- Chen, J.; Cao, Y.; Qu, J.; Chen, C.; Wu, C. Effects of Trichoderma harzianum on Gas Exchange and Growth of Lolium perenne L. North. Hortic. 2023, 53–59. [Google Scholar] [CrossRef]
- Lv, L.; Shi, J.; Cai, Z.; Gao, P.; Li, F. Effect of Bacterial Manure Combined with Organic Fertilize on Oat Growth and Soil Characteristics in High Altitude Areas. Acta Agrestia Sin. 2025, 1–16. Available online: http://kns.cnki.net/kcms/detail/11.3362.S.20250509.1033.002.html (accessed on 9 May 2025).
- Wang, J.; Mu, H.; Liu, S.; Qi, S.; Mou, S. Effects of Trichoderma harzianum on Growth and Rhizosphere Microbial Community of Continuous Cropping Lagenaria siceraria. Microorganisms 2024, 12, 1987. [Google Scholar] [CrossRef]
- Cheng, L.; Qiu, Y.; Ye, D.; Tian, Z. Leaf structure analysis of Lolium perenne. J. Yangtze Univ. (Nat. Sci. Ed.) Agric. Sci. Vol. 2010, 7, 23–26+95+111. [Google Scholar]
- Qian, W.; Guo, P.; Zhu, H.; Zhang, S.; Li, D. Responses of leaf epidermis, anatomical structure and photosynthetic characteristics of Poa pratensis to different nitrogen application level. Acta Prataculturae Sin. 2023, 32, 131–143. [Google Scholar] [CrossRef]
- Zhu, X.; Liang, M.; Ma, Y. A review report on the experiments for the determination of root activity by TTC method. Guangdong Chem. Ind. 2020, 47, 211–212. [Google Scholar]
- Wu, Y.; Liu, C.; Kuang, J.; Ge, Q.; Zhang, Y.; Wang, Z. Overexpression of SmLEA enhances salt and drought tolerance in Escherichia coli and Salvia miltiorrhiza. Protoplasma 2014, 251, 1191–1199. [Google Scholar] [CrossRef]
- Gao, J. Plant Physiology Experiment Instruction; Higher Education Press: Beijing, China, 2006. [Google Scholar]
- Barranco, D.; Ruiz, N.; Gomes, M. Frost tolerance of eight olive cultivars. HortScience 2005, 40, 558–560. [Google Scholar] [CrossRef]
- Wang, C.; Zheng, M.; Song, W.; Wen, S.; Wang, B.; Zhu, C.; Shen, R. Impact of 25 years of inorganic fertilization on diazotrophic abundance and community structure in an acidic soil in southern china. Soil Biol. Biochem. 2017, 113, 240–249. [Google Scholar] [CrossRef]
- Smrutirekha, M.; Kirtikanta, S.; Kundan, S. Progress in sustainable vegetation eco-concrete technology: A review on materials, applications and challenges. J. Build. Eng. 2025, 104, 112354. [Google Scholar] [CrossRef]
- Liu, C.; Xia, Y.; Chen, J.; Huang, K.; Wang, J.; Wang, C.; Huang, Z.; Wang, X.; Cong, R.; Shi, M. Research and application progress of vegetation porous concrete. Materials 2023, 16, 7039. [Google Scholar] [CrossRef]
- Du, W.; Chen, C.; Pang, X.; Liu, Q.; Chen, Z.; Yin, C. Research progress on vegetation restoration of road slopes in china. J. Appl. Ecol. 2023, 34, 3437–3446. [Google Scholar] [CrossRef]
- Zhou, J.; Ji, L.; Gong, C.; Lu, L.; Cheng, X. Ceramsite vegetated concrete with water and fertilizer conservation and light weight: Effect of w/c and fertilizer on basic physical performances of concrete and physiological characteristics of Festuca arundinacea. Constr. Build. Mater. 2020, 236, 117785. [Google Scholar] [CrossRef]
- Marina, E.; Sergio, I.; Fernanda, C.; Verónica, F. Trichoderma harzianum enhances root biomass production and promotes lateral root growth of soybean and common bean under drought stress. Ann. Appl. Biol. 2024, 185, 36–48. [Google Scholar] [CrossRef]
- Caine, R.; Harrison, E.; Sloan, J.; Flis, P.; Fischer, S.; Khan, M.; Nguyen, P.; Nguyen, L.; Gray, J.; Croft, H. The influences of stomatal size and density on rice abiotic stress resilience. New Phytologist. 2023, 237, 2180–2195. [Google Scholar] [CrossRef]
- Hamani, A.; Li, S.; Chen, J.; Amin, A.S.; Wang, G.; Xiaojun, S.; Zain, M.; Gao, Y. Linking exogenous foliar application of glycine betaine and stomatal characteristics with salinity stress tolerance in cotton (Gossypium hirsutum L.) seedlings. BMC Plant Biol. 2021, 21, 146. [Google Scholar] [CrossRef] [PubMed]
- Haworth, M.; Marino, G.; Materassi, A.; Raschi, A.; Scutt, C.P.; Centritto, M. The functional significance of the stomatal size to density relationship: Interaction with atmospheric [co2] and role in plant physiological behaviour. Sci. Total Environ. 2023, 863, 160908. [Google Scholar] [CrossRef]
- Bertolino, L.; Caine, S.; Gray, J. Impact of Stomatal Density and Morphology on Water-Use Efficiency in a Changing World. Front. Plant Sci. 2019, 10, 225. [Google Scholar] [CrossRef]
- Baxter, A.; Mittler, R.; Suzuki, N. ROS as key players in plant stress signalling. J. Exp. Bot. 2014, 65, 1229–1240. [Google Scholar] [CrossRef] [PubMed]
- Mittler, R.; Zandalinas, S.; Fichman, Y.; Van Breusegem, F. Reactive oxygen species signalling in plant stress responses. Nature reviews. Mol. Cell Biol. 2022, 23, 663–679. [Google Scholar] [CrossRef]
- Juliane, M.; Antônio, N.; Josefa, B.; Rodrigo, R.; Djair, A.; Tancredo, S.; Diego, S. Lipidomics in Plants Under Abiotic Stress Conditions: An Overview. Agronomy 2024, 14, 1670. [Google Scholar] [CrossRef]
- Apel, K.; Hirt, H. Reactive oxygen species: Metabolism, oxidative stress, and signal transduction. Annu. Rev. Plant Biol. 2004, 55, 373–399. [Google Scholar] [CrossRef]
- Hu, Y.; Wang, H.; Jia, H.; Peng, M.; Zhu, T.; Liu, Y.; Wei, J. Effects of Cd treatment on morphology, chlorophyll content and antioxidant enzyme activity of Elymus nutans Griseb., a native plant in Qinghai-Tibet Plateau. Plant Signal. Behav. 2023, 18, 2187561. [Google Scholar] [CrossRef]
- Sabzi-Nojadeh, M.; Pouresmaeil, M.; Amani, M.; Younessi-Hamzekhanlu, M.; Maggi, F. Colonization of Satureja hortensis L. (Summer savory) with Trichoderma harzianum alleviates salinity stress via improving physio-biochemical traits and biosynthesis of secondary metabolites. Ind. Crops Prod. 2024, 208, 117831. [Google Scholar] [CrossRef]
- Ozturk, M.; Turkyilmaz Unal, B.; García-Caparrós, P.; Khursheed, A.; Gul, A.; Hasanuzzaman, M. Osmoregulation and its actions during the drought stress in plants. Physiol. Plant. 2021, 172, 1321–1335. [Google Scholar] [CrossRef] [PubMed]
- Shakeel, A.; Muhammad, F.; Xie, X.; Liu, X.; Muhammad, F. Antioxidant defense system and proline accumulation enables hot pepper to perform better under drought. Sci. Hortic. 2012, 140, 66–73. [Google Scholar] [CrossRef]
- Gou, C.; Huang, Q.; Rady, M.; Wang, L.; Ihtisham, M.; El-Awady, H.; Seif, M.; Alazizi, E.; Eid, R.; Yan, K.; et al. Integrative application of silicon and/or proline improves Sweet corn (Zea mays L. saccharata) production and antioxidant defense system under salt stress condition. Sci. Rep. 2023, 13, 18315. [Google Scholar] [CrossRef]
- Lin, C.; Hu, W.; Qin, X.; Fei, Y.; Hu, D. Effects of serendipita indica on the morphological and physiological characteristics of Agrostis stolonifera L. Under drought stress. Agronomy 2025, 15, 234. [Google Scholar] [CrossRef]
- Munns, R.; Passioura, J.B.; Colmer, T.D.; Byrt, C.S. Osmotic adjustment and energy limitations to plant growth in saline soil. New Phytol. 2020, 225, 1091–1096. [Google Scholar] [CrossRef]
- Mona, S.; Hashem, A.; Abd, A.; Alqarawi, A.; Soliman, D.; Wirth, S.; Egamberdieva, D. Increased resistance of drought by Trichoderma harzianum fungal treatment correlates with increased secondary metabolites and proline content. J. Integr. Agric. 2016, 16, 1751–1757. [Google Scholar] [CrossRef]
- Li, S. Novel insight into functions of ascorbate peroxidase in higher plants: More than a simple antioxidant enzyme. Redox Biol. 2023, 64, 102789. [Google Scholar] [CrossRef]
- Wang, P.; Liu, W.; Han, C.; Wang, S.; Bai, M.; Song, C. Reactive oxygen species: Multidimensional regulators of plant adaptation to abiotic stress and development. J. Integr. Plant Biol. 2024, 66, 330–367. [Google Scholar] [CrossRef]
- Pandey, S.; Fartyal, D.; Agarwal, A.; Shukla, T.; James, D.; Kaul, T.; Negi, Y.; Arora, S.; Reddy, M. Abiotic Stress Tolerance in Plants: Myriad Roles of Ascorbate Peroxidase. Front. Plant Sci. 2017, 20, 581. [Google Scholar] [CrossRef]
- Wang, W.; Shi, S.; Kang, W.; He, L. Enriched endogenous free Spd and Spm in alfalfa (Medicago sativa L.) under drought stress enhance drought tolerance by inhibiting H2O2 production to increase antioxidant enzyme activity. J. Plant Physiol. 2023, 291, 154139. [Google Scholar] [CrossRef] [PubMed]
- Ma, Y.; Wang, P.; Chen, Z.; Gu, Z.; Yang, R. NaCl stress on physio-biochemical metabolism and antioxidant capacity in germinated hulless barley (Hordeum vulgare L.). J. Sci. Food Agric. 2019, 99, 1755–1764. [Google Scholar] [CrossRef]
- Li, W.; Meng, R.; Liu, Y.; Chen, S.; Jiang, J.; Wang, L.; Zhao, S.; Wang, Z.; Fang, W.; Chen, F.; et al. Heterografted chrysanthemums enhance salt stress tolerance by integrating reactive oxygen species, soluble sugar, and proline. Hortic. Res. 2022, 9, uhac073. [Google Scholar] [CrossRef]
- Quan, Y.; Zhao, F.; Zhi, C.; Ao, L.; Amit, J.; Meng, Q. Rhizosphere growth-promoting fungi of healthy Nicotiana tabacum L.: A systematic approach to boosting plant growth and drought resistance. Microorganisms 2025, 13, 543. [Google Scholar] [CrossRef]
- Baloch, A.; Miao, R.; Sui, D.; Baloch, A.; Chang, Y.; Deng, J.; Zhang, R. Changes in antioxidant enzyme activities, hormone levels and growth traits of rose induced by three native strains of Trichoderma harzianum. Pak. J. Bot. 2020, 52, 1223–1228. [Google Scholar] [CrossRef] [PubMed]
- Xin, J. Enhancing soil health to minimize cadmium accumulation in agro-products: The role of microorganisms, organic matter, and nutrients. Environ. Pollut. 2024, 348, 123890. [Google Scholar] [CrossRef]
- Takahashi, Y.; Katoh, M. Root response and phosphorus acquisition under partial distribution of phosphorus and water-soluble organic matter. Soil Use Manag. 2024, 40, e13038. [Google Scholar] [CrossRef]
- Bingham, A.; Cotrufo, M. Organic nitrogen storage in mineral soil: Implications for policy and management. Sci. Total Environ. 2016, 551–552, 116–126. [Google Scholar] [CrossRef] [PubMed]
- Fu, J.; Xiao, Y.; Wang, Y.; Liu, Z.; Yang, K. Saline-alkaline stress in growing maize seedlings is alleviated by Trichoderma asperellum through regulation of the soil environment. Sci Rep. 2021, 11, 11152. [Google Scholar] [CrossRef]
- Qian, C.; Rui, Y.; Wang, C.; Wang, X.; Xue, B.; Yi, H. Bio-mineralization induced by Bacillus mucilaginosus in crack mouth and pore solution of cement-based materials. Mater. Sci. Eng. C Mater. Biol. Appl. 2021, 126, 112120. [Google Scholar] [CrossRef]
- Xu, Y.; Luo, T.; Wu, B.; Xia, Z.; Xu, W.; Gao, J. Soil carbon emissions and influential factors across various stages of vegetation succession in vegetated concrete. Sci. Rep. 2024, 14, 5963. [Google Scholar] [CrossRef] [PubMed]






| Treatment | Water | T. harzianum | ||||
|---|---|---|---|---|---|---|
| A. compressus | C. dactylon | Z. sinica | A. compressus | C. dactylon | Z. sinica | |
| Eco-concrete | A + EW | C + EW | Z + EW | A + ET | C + ET | Z + ET |
| Pastoral soil | A + PW | C + PW | Z + PW | A + PT | C + PT | Z + PT |
Disclaimer/Publisher’s Note: The statements, opinions and data contained in all publications are solely those of the individual author(s) and contributor(s) and not of MDPI and/or the editor(s). MDPI and/or the editor(s) disclaim responsibility for any injury to people or property resulting from any ideas, methods, instructions or products referred to in the content. |
© 2025 by the authors. Licensee MDPI, Basel, Switzerland. This article is an open access article distributed under the terms and conditions of the Creative Commons Attribution (CC BY) license (https://creativecommons.org/licenses/by/4.0/).
Share and Cite
Chen, X.; Zeng, X.; Fei, Y.; Hu, D. Effects of Trichoderma harzianum on the Morphological and Physiological Characteristics of Three Turfgrass Species Grown on Eco-Concrete. Horticulturae 2025, 11, 746. https://doi.org/10.3390/horticulturae11070746
Chen X, Zeng X, Fei Y, Hu D. Effects of Trichoderma harzianum on the Morphological and Physiological Characteristics of Three Turfgrass Species Grown on Eco-Concrete. Horticulturae. 2025; 11(7):746. https://doi.org/10.3390/horticulturae11070746
Chicago/Turabian StyleChen, Xiaohu, Xiaoyan Zeng, Yongjun Fei, and Die Hu. 2025. "Effects of Trichoderma harzianum on the Morphological and Physiological Characteristics of Three Turfgrass Species Grown on Eco-Concrete" Horticulturae 11, no. 7: 746. https://doi.org/10.3390/horticulturae11070746
APA StyleChen, X., Zeng, X., Fei, Y., & Hu, D. (2025). Effects of Trichoderma harzianum on the Morphological and Physiological Characteristics of Three Turfgrass Species Grown on Eco-Concrete. Horticulturae, 11(7), 746. https://doi.org/10.3390/horticulturae11070746

