Non-Conventional Sucrose-Based Substrates: Development of Non-Dairy Kefir Beverages with Probiotic Potential
Abstract
1. Introduction
2. Materials and Methods
2.1. Raw Materials
2.2. Substrate Preparation and Fermentation
2.3. Fermentation Kinetics Analysis
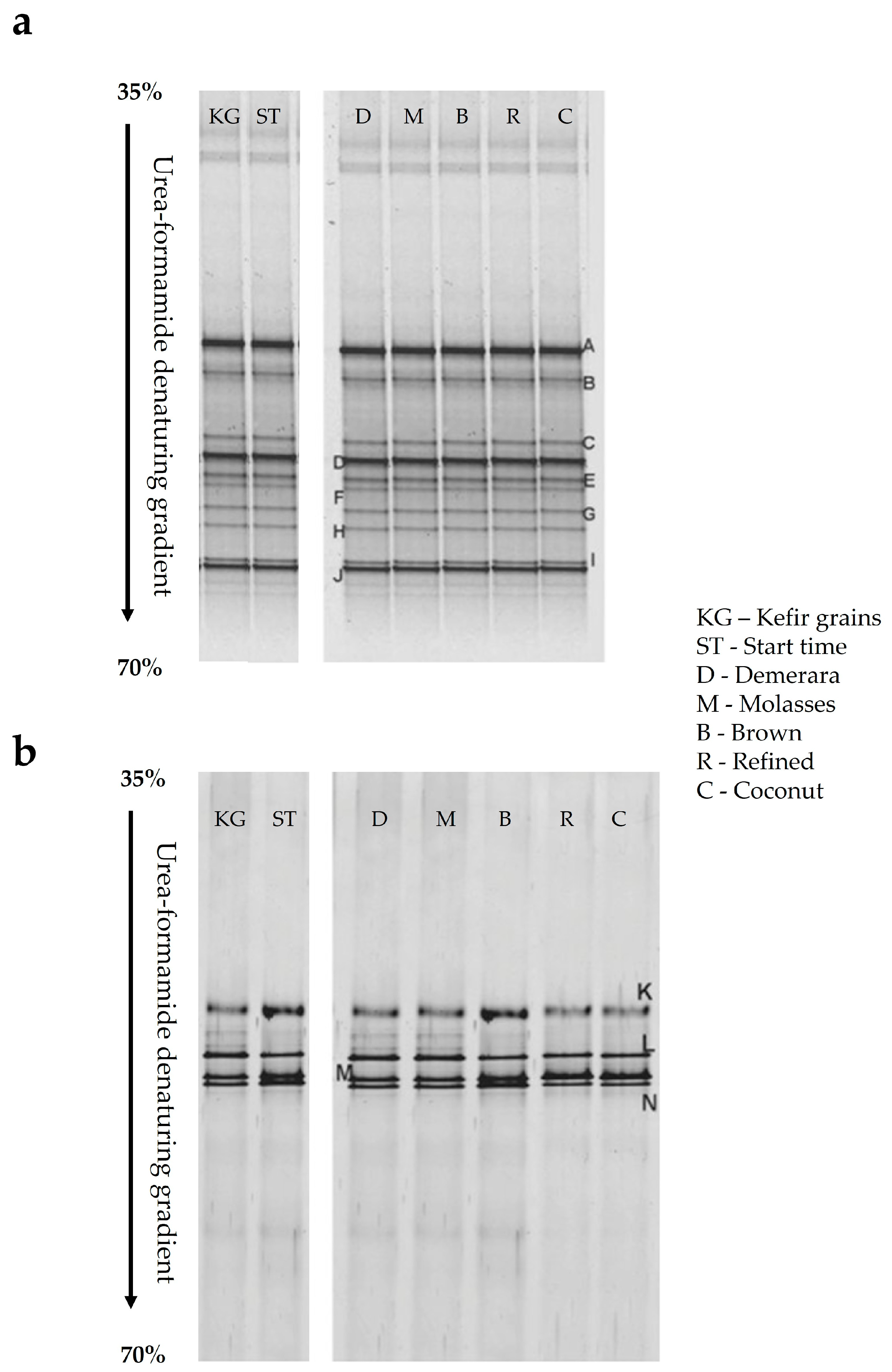
2.4. Microbiological Identification Using PCR-DGGE—PCR-Based Denaturing Gradient Gel Electrophoresis
2.5. Sensory Analysis
2.6. Statistics
3. Results and Discussion
3.1. Fermentation Kinetics
3.1.1. Physicochemical Parameters
3.1.2. Microbiological Growth and Identification
3.1.3. Organic Acids Production
3.1.4. Kefir Grains Growth
3.2. Multivariate Clustering Analysis
3.3. Sensory Analysis
4. Conclusions
Supplementary Materials
Author Contributions
Funding
Institutional Review Board Statement
Informed Consent Statement
Data Availability Statement
Acknowledgments
Conflicts of Interest
References
- Yerlikaya, O.; Akan, E.; Kinik, O. The metagenomic composition of water kefir microbiota. Int. J. Gastron. Food Sci. 2022, 30, 100621. [Google Scholar] [CrossRef]
- Tavares, P.P.L.G.; dos Anjos, E.A.; Nascimento, R.Q.; da Silva Cruz, L.F.; Lemos, P.V.F.; Druzian, J.I.; de Oliveira, T.T.B.; de Andrade, R.B.; da Costa Souza, A.L.; Magalhães-Guedes, K.T.; et al. Chemical, microbiological and sensory viability of low-calorie, dairy-free kefir beverages from tropical mixed fruit juices. CYTA J. Food 2021, 19, 457–464. [Google Scholar] [CrossRef]
- Patel, S.H.; Tan, J.P.; Boner, R.A.; Zhang, S.J.; Priour, S.; Lima, A.; Ngom-Bru, C.; Cotter, P.D.; Duboux, S. A temporal view of the water kefir microbiota and flavour attributes. Innov. Food Sci. Emerg. Technol. 2022, 80, 103084. [Google Scholar] [CrossRef]
- Miguel, M.G.d.C.P.; Cardoso, P.G.; Magalhães, K.T.; Schwan, R.F. Profile of microbial communities present in tibico (sugary kefir) grains from different Brazilian States. World J. Microbiol. Biotechnol. 2011, 27, 1875–1884. [Google Scholar] [CrossRef]
- Randazzo, W.; Corona, O.; Guarcello, R.; Francesca, N.; Germanà, M.A.; Erten, H.; Moschetti, G.; Settanni, L. Development of new non-dairy beverages from mediterranean fruit juices fermented with water kefir microorganisms. Food Microbiol. 2016, 54, 40–51. [Google Scholar] [CrossRef]
- Moretti, A.F.; Moure, M.C.; Quiñoy, F.; Esposito, F.; Simonelli, N.; Medrano, M.; León-Peláez, Á. Water kefir, a fermented beverage containing probiotic microorganisms: From ancient and artisanal manufacture to industrialized and regulated commercialization. Future Foods 2022, 5, 100123. [Google Scholar] [CrossRef]
- Pogačić, T.; Šinko, S.; Zamberlin, Š.; Samaržija, D. Microbiota of kefir grains. Mljekarstvo 2013, 63, 3–14. [Google Scholar]
- Kumar, M.R.; Yeap, S.K.; Mohamad, N.E.; Abdullah, J.O.; Masarudin, M.J.; Khalid, M.; Leow, A.T.C.; Alitheen, N.B. Metagenomic and phytochemical analyses of kefir water and its subchronic toxicity study in BALB/c mice. BMC Complement. Med. Ther. 2021, 21, 1–15. [Google Scholar] [CrossRef]
- Weschenfelder, S.; Pereira, G.M.; Carvalho, H.H.C.; Wiest, J.M. Caracterização físico- química e sensorial de kefir tradicional e derivados. Arq. Bras. Med. Vet. Zootec. 2011, 63, 473–480. [Google Scholar] [CrossRef]
- Gulitz, A.; Stadie, J.; Wenning, M.; Ehrmann, M.A.; Vogel, R.F. The Microbial Diversity of Water Kefir. Int. J. Food Microbiol. 2011, 151, 284–288. [Google Scholar] [CrossRef]
- Prijono, S.N.; Rachmatika, R. Potency of brown sugar as a nectar substitute for Trichoglossus haematodus in captivity. Biosaintifika 2019, 11, 186–193. [Google Scholar] [CrossRef]
- Fels, L.; Jakob, F.; Vogel, R.F.; Wefers, D. Structural Characterization of the Exopolysaccharides from Water Kefir. Carbohydr. Polym. 2018, 189, 296–303. [Google Scholar] [CrossRef] [PubMed]
- Laureys, D.; Aerts, M.; Vandamme, P.; De Vuyst, L. The Buffer Capacity and Calcium Concentration of Water Influence the Microbial Species Diversity, Grain Growth, and Metabolite Production During Water Kefir Fermentation. Front. Microbiol. 2019, 10, 2876. [Google Scholar] [CrossRef]
- Tavares, P.P.L.G.; Silva, M.R.; Santos, L.F.P.; Nunes, I.L.; Magalhães-Guedes, K.T. Produção de bebida fermentada kefir de quinoa (Chenopodium quinoa) saborizada com cacau (Theobroma cacao) em pó. Rev. Bras. Ciências Agrárias 2018, 13, 1–7. [Google Scholar] [CrossRef]
- Borguini, R.G.; Ferraz, E.A.; Torres, S. Alimentos orgânicos: Qualidade nutritiva e segurança do alimento. Segurança Aliment. Nutr. 2006, 13, 64–75. [Google Scholar] [CrossRef]
- Bettani, S.R.; Lago, C.E.; Faria, D.A.M.; Borges, M.T.M.R.; Verruma-Bernardi, M.R. Avaliação físico-química e sensorial de açúcares orgânicos e convencionais. Rev. Bras. Prod. Agroind. 2014, 16, 155–162. [Google Scholar] [CrossRef]
- Silva, K.R.; Rodrigues, S.A.; Filho, L.X.; Lima, Á.S. Antimicrobial activity of broth fermented with kefir grains. Appl. Biochem. Biotechnol. 2009, 152, 316–325. [Google Scholar] [CrossRef]
- APHA. Compendium of Methods for the Microbiological Examination of Foods, 5th ed.; Salfinger, Y., Tortorello, M.L., Eds.; APHA: Washington, DC, USA, 2015. [Google Scholar]
- National Library of Medicine BLAST: Basic Local Alignment Search Tool. Available online: https://blast.ncbi.nlm.nih.gov/Blast.cgi (accessed on 12 January 2023).
- Alves, V.; Scapini, T.; Camargo, A.F.; Bonatto, C.; Stefanski, F.S.; Pompeu de Jesus, E.; Techi Diniz, L.G.; Bertan, L.C.; Maldonado, R.R.; Treichel, H. Development of fermented beverage with water kefir in water-soluble coconut extract (Cocos nucifera L.) with inulin addition. LWT 2021, 145, 111364. [Google Scholar] [CrossRef]
- Chotineeranat, S.; Wansuksri, R.; Piyachomkwan, K.; Chatakanonda, P.; Weerathaworn, P.; Sriroth, K. Effect of calcium ions on ethanol production from molasses by Saccharomyces cerevisiae. Sugar Tech. 2010, 12, 120–124. [Google Scholar] [CrossRef]
- Seguí, L.; Calabuig-Jiménez, L.; Betoret, N.; Fito, P. Physicochemical and antioxidant properties of non-refined sugarcane alternatives to white sugar. Int. J. Food. Sci. Technol. 2015, 50, 2579–2588. [Google Scholar] [CrossRef]
- Laureys, D.; de Vuyst, L. The water kefir grain inoculum determines the characteristics of the resulting water kefir fermentation process. J. Appl. Microbiol. 2017, 122, 719–732. [Google Scholar] [CrossRef] [PubMed]
- Tu, C.; Azi, F.; Huang, J.; Xu, X.; Xing, G.; Dong, M. Quality and metagenomic evaluation of a novel functional beverage produced from soy whey using water kefir grains. LWT 2019, 113, 108258. [Google Scholar] [CrossRef]
- Lynch, K.M.; Wilkinson, S.; Daenen, L.; Arendt, E.K. An update on water kefir: Microbiology, composition and production. Int. J. Food. Microbiol. 2021, 345, 109128. [Google Scholar] [CrossRef]
- Minelli, E.B.; Benini, A. Relationship between number of bacteria and their probiotic effects. Microb. Ecol. Health Dis. 2008, 20, 180–183. [Google Scholar] [CrossRef]
- Magalhães-Guedes, K.T. Psychobiotic therapy: Method to reinforce the immune system. Clin. Psychopharmacol. Neurosci. 2022, 20, 17–25. [Google Scholar] [CrossRef] [PubMed]
- Nascimento, R.Q.; Deamici, K.M.; Tavares, P.P.L.G.; de Andrade, R.B.; Guimarães, L.C.; Costa, J.A.V.; Magalhães-Guedes, K.T.; Druzian, J.I.; de Souza, C.O. Improving water kefir nutritional quality via addition of viable Spirulina biomass. Bioresour. Technol. Rep. 2022, 17, 100914. [Google Scholar] [CrossRef]
- Magalhães-Guedes, K.T.; Barreto, I.T.; Tavares, P.P.L.G.; Bezerra, P.Q.M.; Silva, M.R.; Nunes, I.L.; Mamede, M.E.O.; Miguel, M.G.C.P.; Schwan, R.F. Effect of kefir biomass on nutritional, microbiological, and sensory properties of mango-based popsicles. Int. Food. Res. J. 2020, 27, 536–545. [Google Scholar]
- Corthésy, B.; Gaskins, H.R.; Mercenier, A. Cross-talk between probiotic bacteria and the host immune system. J. Nutr. 2007, 137, 781S–790S. [Google Scholar] [CrossRef]
- Fakruddin, M.; Hossain, M.N.; Ahmed, M.M. Antimicrobial and antioxidant activities of Saccharomyces cerevisiae IFST062013, a potential probiotic. BMC Complement. Altern. Med. 2017, 17, 1–11. [Google Scholar] [CrossRef]
- Tavares, P.P.L.G.; dos Santos Lima, M.; Pessôa, L.C.; de Andrade Bulos, R.B.; de Oliveira, T.T.B.; da Silva Cruz, L.F.; de Jesus Assis, D.; da Boa Morte, E.S.; di Mambro Ribeiro, C.V.; de Souza, C.O. Innovation in alternative food sources: A review of a technological state-of-the-art of insects in food products. Foods 2022, 11, 3792. [Google Scholar] [CrossRef]
- Viana, R.O.; Magalhães-Guedes, K.T.; Braga, R.A.; Dias, D.R.; Schwan, R.F. Fermentation process for production of apple-based kefir vinegar: Microbiological, chemical and sensory analysis. Braz. J. Microbiol. 2017, 48, 592–601. [Google Scholar] [CrossRef]
- Destro, T.M.; da Fontoura Prates, D.; Watanabe, L.S.; Garcia, S.; Biz, G.; Spinosa, W.A. Organic brown sugar and jaboticaba pulp influence on water kefir fermentation. Ciência Agrotecnologia 2019, 43, e005619. [Google Scholar] [CrossRef]
- Magalhães, K.T.; de Melo Pereira, G.V.; Campos, C.R.; Dragone, G.; Schwan, R.F. Brazilian kefir: Structure, microbial communities and chemical composition. Braz. J. Microbiol. 2011, 42, 693–702. [Google Scholar] [CrossRef]
- Puerari, C.; Magalhães, K.T.; Schwan, R.F. New cocoa pulp-based kefir beverages: Microbiological, chemical composition and sensory analysis. Food Res. Int. 2012, 48, 634–640. [Google Scholar] [CrossRef]
- Çevik, T.; Aydoğdu, N.S.; Özdemir, N.; Kök Taş, T. The effect of different sugars on water kefir grains. Turk. J. Agric. Food Sci. Technol. 2019, 7, 40–45. [Google Scholar] [CrossRef]
- Tzavaras, D.; Papadelli, M.; Ntaikou, I. From milk kefir to water kefir: Assessment of fermentation processes, microbial changes and evaluation of the produced beverages. Fermentation 2022, 8, 135. [Google Scholar] [CrossRef]
- Agarbati, A.; Ciani, M.; Canonico, L.; Galli, E.; Comitini, F. Exploitation of yeasts with probiotic traits for kefir production: Effectiveness of the microbial consortium. Fermentation 2022, 8, 9. [Google Scholar] [CrossRef]
- Ganatsios, V.; Nigam, P.; Plessas, S.; Terpou, A. Kefir as a functional beverage gaining momentum towards its health promoting attributes. Beverages 2021, 7, 48. [Google Scholar] [CrossRef]
- Ferreira, I.; de Sousa Melo, D.; Santos, M.S.; Dias, D.R.; de Souza, C.O.; Favaro-Trindade, C.S.; Pinho, L.S.; de Castro Almeida, R.C.; Magalhães-Guedes, K.T.; Schwan, R.F. Non-lactic probiotic beverage enriched with microencapsulated red propolis: Microorganism viability, physicochemical characteristics, and sensory perception. Fermentation 2023, 9, 234. [Google Scholar] [CrossRef]
- Chan, M.Z.A.; Tan, L.T.; Heng, S.W.Q.; Liu, S.Q. Effect of co-fermentation of Saccharomyces boulardii CNCM-I745 with four different probiotic lactobacilli in coffee brews on cell viabilities and metabolic activities. Fermentation 2023, 9, 219. [Google Scholar] [CrossRef]
- Petrova, P.; Ivanov, I.; Tsigoriyna, L.; Valcheva, N.; Vasileva, E.; Parvanova-Mancheva, T.; Arsov, A.; Petrov, K. Traditional bulgarian dairy products: Ethnic foods with health benefits. Microorganisms 2021, 9, 480. [Google Scholar] [CrossRef] [PubMed]
- Zannini, E.; Lynch, K.M.; Nyhan, L.; Sahin, A.W.; O’ Riordan, P.; Luk, D.; Arendt, E.K. Influence of substrate on the fermentation characteristics and culture-dependent microbial composition of water kefir. Fermentation 2023, 9, 28. [Google Scholar] [CrossRef]
- El-Sohaimy, S.A.; Hussain, M.A. Functional probiotic foods development: Trends, concepts, and products. Fermentation 2023, 9, 249. [Google Scholar] [CrossRef]








| pH | Acidity (% m/v) | |||||
|---|---|---|---|---|---|---|
| 0 h | 24 h | 48 h | 0 h | 24 h | 48 h | |
| Demerara | 4.68 cC ± 0.03 | 4.05 aB ± 0.02 | 3.71 bA ± 0.02 | 0.29 cC ± 0.05 | 1.22 cB ± 0.02 | 1.95 dA ± 0.02 |
| Molasses | 5.05 bC ± 0.02 | 3.52 cB ± 0.03 | 3.38 dA ± 0.01 | 1.01 aC ± 0.01 | 2.87 aB ± 0.11 | 6.48 aA ± 0.02 |
| Brown | 5.26 aC ± 0.01 | 3.67 bB ± 0.03 | 3.41 dA ± 0.03 | 0.47 bC ± 0.05 | 2.56 bB ± 0.03 | 4.61 cA ± 0.02 |
| Refined | 4.75 cC ± 0.02 | 4.07 aB ± 0.01 | 3.88 aA ± 0.01 | 0.20 cC ± 0.05 | 1.21 cB ± 0.01 | 1.61 eA ± 0.01 |
| Coconut | 4.76 cC ± 0.01 | 3.59 bcB ± 0.01 | 3.58 cA ± 0.01 | 0.43 bC ± 0.05 | 2.75 aB ± 0.08 | 4.90 bA ± 0.08 |
| °Brix | Sucrose (g/L) | |||||
| 0 h | 24 h | 48 h | 0 h | 24 h | 48 h | |
| Demerara | 10.47 bA ± 0.11 | 10.37 bA ± 0.05 | 10.33 aA ± 0.05 | 0.54 bA ± 0.01 | 0.44 bA ± 0.01 | 0.41 bA ± 0.01 |
| Molasses | 8.17 eA ± 0.05 | 7.80 dB ± 0.10 | 7.38 dC ± 0.02 | 0.35 eA ± 0.05 | 0.18 eA ± 0.05 | 0.05 eA ± 0.01 |
| Brown | 10.03 dA ± 0.05 | 9.68 cB ± 0.02 | 9.47 cB ± 0.05 | 0.45 dA ± 0.05 | 0.19 dA ± 0.05 | 0.09 dA ± 0.01 |
| Refined | 10.80 aA ± 0.05 | 10.73 aA ± 0.05 | 11.10 aA ± 0.30 | 0.51 aA ± 0.05 | 0.50 aA ± 0.05 | 0.49 aA ± 0.05 |
| Coconut | 10.27 cA ± 0.05 | 9.77 cB ± 0.05 | 8.60 cB ± 0.10 | 0.47 cA ± 0.05 | 0.25 cA ± 0.05 | 0.12 cA ± 0.05 |
| Microbial Species (New Name) | Microbial Species (Current Name) | NCBI-BLAST Accession Number Access date: 12 October 2022 | Identity (%) | e-Value |
|---|---|---|---|---|
| Lacticaseibacillus paracasei | Lactobacillus paracasei | AB368902.1 | 99 | <10 × 10−100 |
| Lacticaseibacillus casei | Lactobacillus casei | EU626005.1 | 98 | <10 × 10−50 |
| Lacticaseibacillus paracasei subsp. paracasei | Lactobacillus paracasei subsp. paracasei | NR025880.1 | 98 | <10 × 10−50 |
| Lacticaseibacillus paracasei subsp. tolerans | Lactobacillus paracasei subsp. tolerans | AB181950.1 | 99 | <10 × 10−100 |
| Lactobacillus delbrueckii subsp. lactis | Lactobacillus lactis | EU194346.1 | 98 | <10 × 10−50 |
| Lentilactobacillus parabuchneri | Lactobacillus parabuchneri | AB368914.1 | 99 | <10 × 10−100 |
| Lentilactobacillus kefiri | Lactobacillus kefiri | AB3626680.1 | 99 | <10 × 10−100 |
| Lactococcus lactis | Lactococcus lactis | EU194346.1 | 99 | <10 × 10−100 |
| Leuconostoc citreum | Leuconostoc citreum | FJ378896.1 | 99 | <10 × 10−100 |
| Lentilactobacillus buchneri | Lactobacillus buchneri | FJ867641.1 | 99 | <10 × 10−100 |
| Acetobacter lovaniensis | Acetobacter lovaniensis | AB308060.1 | 99 | <10 × 10−100 |
| Saccharomyces cerevisiae | Saccharomyces cerevisiae | EU649673.1 | 99 | <10 × 10−100 |
| Kluyveromyces lactis | Kluyveromyces lactis | AJ229069.1 | 99 | <10 × 10−100 |
| Lachancea meyersii | Lachancea meyersii | AY645661.1 | 99 | <10 × 10−100 |
| Kazachstania aerobia | Kazachstania aerobia | AY582126.1 | 99 | <10 × 10−100 |
Disclaimer/Publisher’s Note: The statements, opinions and data contained in all publications are solely those of the individual author(s) and contributor(s) and not of MDPI and/or the editor(s). MDPI and/or the editor(s) disclaim responsibility for any injury to people or property resulting from any ideas, methods, instructions or products referred to in the content. |
© 2023 by the authors. Licensee MDPI, Basel, Switzerland. This article is an open access article distributed under the terms and conditions of the Creative Commons Attribution (CC BY) license (https://creativecommons.org/licenses/by/4.0/).
Share and Cite
Tavares, P.P.L.G.; Mamona, C.T.P.; Nascimento, R.Q.; dos Anjos, E.A.; de Souza, C.O.; Almeida, R.C.d.C.; Mamede, M.E.d.O.; Magalhães-Guedes, K.T. Non-Conventional Sucrose-Based Substrates: Development of Non-Dairy Kefir Beverages with Probiotic Potential. Fermentation 2023, 9, 384. https://doi.org/10.3390/fermentation9040384
Tavares PPLG, Mamona CTP, Nascimento RQ, dos Anjos EA, de Souza CO, Almeida RCdC, Mamede MEdO, Magalhães-Guedes KT. Non-Conventional Sucrose-Based Substrates: Development of Non-Dairy Kefir Beverages with Probiotic Potential. Fermentation. 2023; 9(4):384. https://doi.org/10.3390/fermentation9040384
Chicago/Turabian StyleTavares, Pedro Paulo Lordelo Guimarães, Clariane Teixeira Pessoa Mamona, Renata Quartieri Nascimento, Emanuele Araújo dos Anjos, Carolina Oliveira de Souza, Rogéria Comastri de Castro Almeida, Maria Eugênia de Oliveira Mamede, and Karina Teixeira Magalhães-Guedes. 2023. "Non-Conventional Sucrose-Based Substrates: Development of Non-Dairy Kefir Beverages with Probiotic Potential" Fermentation 9, no. 4: 384. https://doi.org/10.3390/fermentation9040384
APA StyleTavares, P. P. L. G., Mamona, C. T. P., Nascimento, R. Q., dos Anjos, E. A., de Souza, C. O., Almeida, R. C. d. C., Mamede, M. E. d. O., & Magalhães-Guedes, K. T. (2023). Non-Conventional Sucrose-Based Substrates: Development of Non-Dairy Kefir Beverages with Probiotic Potential. Fermentation, 9(4), 384. https://doi.org/10.3390/fermentation9040384

