Remedial Action of Yoghurt Enriched with Watermelon Seed Milk on Renal Injured Hyperuricemic Rats
Abstract
1. Introduction
2. Materials and Methods
2.1. Materials and Reagents
2.2. Preparation of Watermelon Seed Milk (WMS-Milk)
2.3. Determination of Xanthine Oxidase Inhibitory Activity
2.4. Determination of Total Phenolic Compounds (TPC)
2.5. Determination of Radical Scavenging Activity (RSA)
2.6. HPLC Identification of Phenolic Acids
2.7. Yoghurt Manufacture
2.8. Methods of Analysis
2.9. Sensory Evaluation
2.10. The Biological Assay
2.11. Blood Sampling and Biochemical Analyses
2.12. Biochemical Analysis
2.13. Histopathological Examination
2.14. Statistical Analysis
3. Results and Discussion
3.1. Proximate Composition of Cow’s Milk and Watermelon Seed Milk
3.2. Identification of Phenolic Acids
3.3. Chemical Composition of Yoghurt Made from Cow’s Milk and Watermelon Seed Milk
3.4. Physicochemical Properties of WMS Milk Yoghurt
3.5. Sensory Properties of Watermelon Seed Milk Yoghurt
3.6. Effects of WMS Milk Yoghurt on Renal Function and Serum Proteins
3.7. Effect of WMS Milk Yoghurt on Antioxidant Enzymatic Activities in Kidney of Hyperuricemia Rats
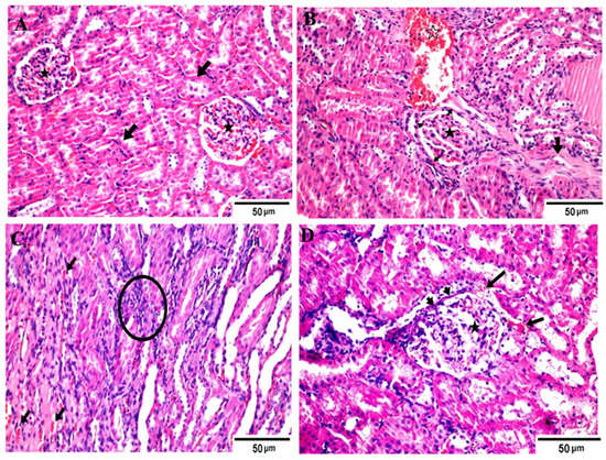
3.8. Kidney Histopathological Examination
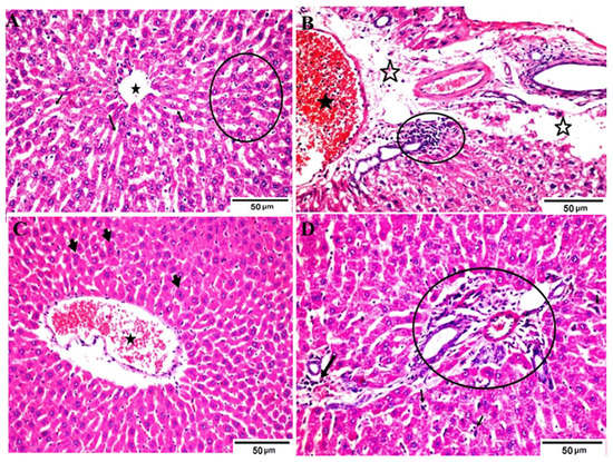
3.9. Liver Histopathological Examination
4. Conclusions
Supplementary Materials
Author Contributions
Funding
Institutional Review Board Statement
Informed Consent Statement
Data Availability Statement
Acknowledgments
Conflicts of Interest
References
- Chen, J.-H.; Chuang, S.-Y.; Chen, H.-J.; Yeh, W.-T.; Pan, W.-H. Serum uric acid level as an independent risk factor for all-cause, cardiovascular, and ischemic stroke mortality: A chinese cohort study. Arthritis Care Res. 2009, 61, 225–232. [Google Scholar] [CrossRef] [PubMed]
- Wang, H.; Zhang, H.; Sun, L.; Guo, W. Roles of hyperuricemia in metabolic syndrome and cardiac-kidney-vascular system diseases. Am. J. Transl. Res. 2018, 10, 2749–2763. [Google Scholar]
- Kaneko, K.; Aoyagi, Y.; Fukuuchi, T.; Inazawa, K.; Yamaoka, N. Total Purine and Purine Base Content of Common Foodstuffs for Facilitating Nutritional Therapy for Gout and Hyperuricemia. Biol. Pharm. Bull. 2014, 37, 709–721. [Google Scholar] [CrossRef] [PubMed]
- Corrado, A.; D’Onofrio, F.; Santoro, N.; Melillo, N.; Cantatore, F.P. Pathogenesis, clinical findings and management of acute and chronic gout. Minerva Med. 2006, 97, 495–509. [Google Scholar] [PubMed]
- El Ridi, R.; Tallima, H. Physiological functions and pathogenic potential of uric acid: A review. J. Adv. Res. 2017, 8, 487–493. [Google Scholar] [CrossRef]
- Hameed, B.J.; Shari, F.H.; Ramadhan, U.H. Anti-hyperuricemic, Uricosuric and Xanthine-oxidase Inhibitory Activities of Watermelon Powder in a Rat Gout Model. J. Biol. Sci. 2018, 18, 468–474. [Google Scholar] [CrossRef][Green Version]
- Balasundram, N.; Sundram, K.; Samman, S. Phenolic compounds in plants and agri-industrial by-products: Antioxidant activity, occurrence, and potential uses. Food Chem. 2006, 99, 191–203. [Google Scholar] [CrossRef]
- Sánchez, M.; González-Burgos, E.; Iglesias, I.; Lozano, R.; Gómez-Serranillos, M.P. Current uses and knowledge of medicinal plants in the Autonomous Community of Madrid (Spain): A descriptive cross-sectional study. BMC Complement. Med. Ther. 2020, 20, 1–13. [Google Scholar] [CrossRef]
- Ramalingum, N.; Mahomoodally, M.F. The Therapeutic Potential of Medicinal Foods. Adv. Pharmacol. Sci. 2014, 2014, 1–18. [Google Scholar] [CrossRef]
- Chaouch, M.A.; Benvenuti, S. The Role of Fruit by-Products as Bioactive Compounds for Intestinal Health. Foods 2020, 9, 1716. [Google Scholar] [CrossRef]
- Lourenço, S.C.; Moldão-Martins, M.; Alves, V.D. Antioxidants of Natural Plant Origins: From Sources to Food Industry Applications. Molecules 2019, 24, 4132. [Google Scholar] [CrossRef]
- Swelam, S.; Zommara, M.A.; El-Aziz, A.E.-A.M.A.; Elgammal, N.A.; Baty, R.S.; Elmahallawy, E.K. Insights into Chufa Milk Frozen Yoghurt as Cheap Functional Frozen Yoghurt with High Nutritional Value. Fermentation 2021, 7, 255. [Google Scholar] [CrossRef]
- Badawi, A.M.; Motawee, M.M. Potential Protective Effect of Fortified Camel Milk Products with Chromium on Alloxan Induced Hyperglycemia in Rats. Int. J. Sci. Res. 2016, 5, 2319–7064. [Google Scholar]
- Sitohy, M.; Osman, A. Antimicrobial activity of native and esterified legume proteins against Gram-negative and Gram-positive bacteria. Food Chem. 2010, 120, 66–73. [Google Scholar] [CrossRef]
- Sitohy, M.Z.; Osman, A.O. Enhancing Milk Preservation with Esterified Legume Proteins. Probiotics Antimicrob. Proteins 2011, 3, 48–56. [Google Scholar] [CrossRef]
- Osman, A.; Abbas, E.; Mahgoub, S.; Sitohy, M. Inhibition of Penicillium digitatum in vitro and in postharvest orange fruit by a soy protein fraction containing mainly β-conglycinin. J. Gen. Plant Pathol. 2016, 82, 293–301. [Google Scholar] [CrossRef]
- Abbas, E.; Osman, A.; Sitohy, M. Biochemical control of Alternaria tenuissima infecting post-harvest fig fruit by chickpea vicilin. J. Sci. Food Agric. 2020, 100, 2889–2897. [Google Scholar] [CrossRef]
- Sitohy, M.; Taha, S.; Abdel-Hamid, M.; Abdelbacki, A.; Hamed, A.; Osman, A. Protecting potato plants against PVX and PVY viral infections by the application of native and chemically modified legume proteins. J. Plant Dis. Prot. 2021, 128, 1101–1114. [Google Scholar] [CrossRef]
- Oseni, O.; Okoye, V. Studies of Phytochemical and Antioxidant properties of the fruit of watermelon (Citrullus lanatus). (Thunb.). J. Pharm. Biomed. Sci. 2013, 27, 508–514. [Google Scholar]
- Otutu, O.; Seidu, K.; Muibi, B.; Oladokun, F.; Oyalowo, M. Potential food value of watermelon (Citrullus lanatus) seed constituents. Int. J. Sci. Technol. 2015, 3, 222. [Google Scholar]
- Tabiri, B.; Agbenorhevi, J.K.; Wireko-Manu, F.D.; Ompouma, E.I. Watermelon Seeds as Food: Nutrient Composition, Phytochemicals and Antioxidant Activity. Int. J. Nutr. Food Sci. 2016, 5, 139. [Google Scholar] [CrossRef]
- Vinhas, A.S.; Silva, C.S.; Matos, C.; Moutinho, C.; Ferreira da Vinha, A. Valorization of watermelon fruit (Citrullus lanatus) byproducts: Phytochemical and biofunctional properties with emphasis on recent trends and advances. World J. Adv. Healthc. Res. 2021, 5, 302–309. [Google Scholar]
- Finbarrs-Bello, E.; Nto, N.J.; Ikele, I.T.; Sani, M.I.; Atuadu, V. Haematopoietic Enhancing Effect of Ethanolic Seed Extract of Citrullus lanatus (Watermelon) on Bone Marrow of Wistar Rats. Eur. J. Med. Plants 2016, 17, 1–7. [Google Scholar] [CrossRef]
- Oluba, O.; Ogunlowo, Y.; Ojieh, G.; Adebisi, K.; Eidangbe, G.; Isiosio, I. Physicochemical Properties and Fatty Acid Composition of Citrullus lanatus (Egusi Melon) Seed Oil. J. Biol. Sci. 2008, 8, 814–817. [Google Scholar] [CrossRef]
- Berger, S.; Raman, G.; Vishwanathan, R.; Jacques, P.F.; Johnson, E.J. Dietary cholesterol and cardiovascular disease: A systematic review and meta-analysis. Am. J. Clin. Nutr. 2015, 102, 276–294. [Google Scholar] [CrossRef] [PubMed]
- Savaiano, D.A.; Hutkins, R.W. Yogurt, cultured fermented milk, and health: A systematic review. Nutr. Rev. 2021, 79, 599–614. [Google Scholar] [CrossRef] [PubMed]
- Fernández, M.; Hudson, J.; Korpela, R.; Reyes-Gavilán, C.G.D.L. Impact on Human Health of Microorganisms Present in Fermented Dairy Products: An Overview. BioMed Res. Int. 2015, 2015, 1–13. [Google Scholar] [CrossRef] [PubMed]
- Williams, S. Official Methods of Analysis; Association of Official Analytical Chemists: Rockville, MD, USA, 1984. [Google Scholar]
- Chakrabarti, S.; Gangopadhyay, S. Innovation of technology for preparation of Rasogolla analogue from soy milk. J. Food Sci. Technol. (Mysore) 1990, 27, 242–243. [Google Scholar]
- Yumita, A.; Suganda, A.G.; Sukandar, E.Y. Xanthine oxidase inhibitory activity of some Indonesian medicinal plants and active fraction of selected plants. Int. J. Pharm. Pharm. Sci. 2013, 5, 293–296. [Google Scholar]
- Sunarni, T.; Fidrianny, I.; Iwo, M.I.; Wirasutisna, K.R. Constituent and Antihyperuricemic Activity of Stelechocarpus Burahol Leaves Subfractions. Asian J. Pharm. Clin. Res. 2017, 10, 435. [Google Scholar] [CrossRef][Green Version]
- Kaur, C.; Kapoor, H.C. Anti-oxidant activity and total phenolic content of some Asian vegetables. Int. J. Food Sci. Technol. 2002, 37, 153–161. [Google Scholar] [CrossRef]
- Brand-Williams, W.; Cuvelier, M.E.; Berset, C. Use of a free radical method to evaluate antioxidant activity. LWT Food Sci. Technol. 1995, 28, 25–30. [Google Scholar] [CrossRef]
- Mariod, A.A.; Ibrahim, R.M.; Ismail, M.; Ismail, N. Antioxidant activities of phenolic rich fractions (PRFs) obtained from black mahlab (Monechma ciliatum) and white mahlab (Prunus mahaleb) seedcakes. Food Chem. 2010, 118, 120–127. [Google Scholar] [CrossRef]
- Tamime, A.Y.; Robinson, R.K. Yoghurt: Science and Technology; CRC Press: Boca Raton, FL, USA, 1999. [Google Scholar]
- Bodyfelt, F.; Tobias, J.; Trout, G. Sensory evaluation of cultured milk products. In The Sensory Evaluation of Dairy Products; Van Nostrand Reinhold: New York, NY, USA, 1988. [Google Scholar]
- Mazzali, M.; Hughes, J.; Kim, Y.-G.; Jefferson, J.A.; Kang, D.-H.; Gordon, K.L.; Lan, H.Y.; Kivlighn, S.; Johnson, R. Elevated Uric Acid Increases Blood Pressure in the Rat by a Novel Crystal-Independent Mechanism. Hypertension 2001, 38, 1101–1106. [Google Scholar] [CrossRef] [PubMed]
- Bonsens, K.; Taussky, D. Determination of serum creatinine. J. Chem. Inv. 1984, 27, 648–660. [Google Scholar]
- Patton, C.; Crouch, S. Enzymatic colorimetric method to determine urea in serum. Anal. Chem. 1977, 49, 464–469. [Google Scholar] [CrossRef]
- Fossati, P.; Prencipe, L.; Berti, G. Use of 3,5-dichloro-2-hydroxybenzenesulfonic acid/4-aminophenazone chromogenic system in direct enzymic assay of uric acid in serum and urine. Clin. Chem. 1980, 26, 227–231. [Google Scholar] [CrossRef] [PubMed]
- Young, D. Effects of Disease on Clinical Lab. Tests, 4th ed.; AACC: Washington, DC, USA, 2001. [Google Scholar]
- Schumann, G.; Klauke, R. New IFCC reference procedures for the determination of catalytic activity concentrations of five enzymes in serum: Preliminary upper reference limits obtained in hospitalized subjects. Clin. Chim. Acta 2003, 327, 69–79. [Google Scholar] [CrossRef]
- Suvarna, K.S.; Layton, C.; Bancroft, J.D. Bancroft’s Theory and Practice of Histological Techniques, 7th ed.; Elsevier: Amsterdam, The Netherlands, 2008. [Google Scholar]
- Boyd, C.; Petersen, S.; Gilbert, W.; Rodgers, R.; Fuhlendorf, S.; Larsen, R.; Wolfe, D.; Jensen, K.; Gonzales, P.; Nenneman, M. Analytical Software. 2009. Statistix 9. Tallahassee, Florida, USA. Evaluation of Methods Used to Improve Grasslands as Ring-Necked Pheasant (Phasianus colchicus) Brood Habitat. Ph.D. Thesis, South Dakota State University, Brookings, SD, USA, 2018. [Google Scholar]
- Bisla, G.; Archana, P.V.; Sharma, S. Development of ice creams from Soybean milk & Watermelon seeds milk and Evaluation of their acceptability and Nourishing potential. Adv. Appl. Sci. Res. 2012, 3, 371–376. [Google Scholar]
- Vázquez, C.V.; Rojas, M.G.V.; Ramírez, C.A.; Chávez-Servín, J.L.; García-Gasca, T.; Ferriz Martínez, R.A.; García, O.P.; Rosado, J.L.; López-Sabater, C.M.; Castellote, A.I.; et al. Total phenolic compounds in milk from different species. Design of an extraction technique for quantification using the Folin–Ciocalteu method. Food Chem. 2015, 176, 480–486. [Google Scholar] [CrossRef]
- Fadimu, G.J.; Ghafoor, K.; Babiker, E.E.; Al-Juhaimi, F.; Abdulraheem, R.A.; Adenekan, M.K. Ultrasound-assisted process for optimal recovery of phenolic compounds from watermelon (Citrullus lanatus) seed and peel. J. Food Meas. Charact. 2020, 14, 1784–1793. [Google Scholar] [CrossRef]
- Ismail, M.M.; Tabekha, M.M.; Ghoniem, G.A.; Boraey, N.A.E.; Elashrey, H.F.A. Chemical Composition, Microbial Properties and Sensory Evaluation of Yoghurt Made from Admixture of Buffalo, Cow and Soy Milk. J. Food Dairy Sci. 2016, 7, 299–306. [Google Scholar] [CrossRef]
- Sitohy, M.; Mahgoub, S.; Osman, A. Controlling psychrotrophic bacteria in raw buffalo milk preserved at 4 °C with esterified legume proteins. LWT 2011, 44, 1697–1702. [Google Scholar] [CrossRef]
- Osman, A.; Mahgoub, S.; El-Masry, R.; Al-Gaby, A.; Sitohy, M. Extending the technological validity of R aw Buffalo M ilk at room temperature by esterified legume proteins. J. Food Processing Preserv. 2014, 38, 223–231. [Google Scholar] [CrossRef]
- Braide, W.; Odiong, I.; Oranusi, S. Phytochemical and Antibacterial properties of the seed of watermelon (Citrullus lanatus). Prime J. Microbiol. Res. (PJMR) 2012, 2, 99–104. [Google Scholar]
- Adelani-Akande, T.A.; Ajiba, L.C.; Dahunsi, S.O.; Oluyori, A.P.; Chidimma, A.L.; Olatunde, D.S.; Peter, O.A.; Adunola, A.-A.T. Antibacterial activity of watermelon (Citrullus lanatus) seed against selected microorganisms. Afr. J. Biotechnol. 2015, 14, 1224–1229. [Google Scholar] [CrossRef]
- Uzuner, A.E.; Kınık, Ö.; Korel, F.; Yıldız, G.; Yerlikaya, O. Usage of rice milk in probiotic yoghurt production. Carpath. J. Food Sci. Technol. 2016, 8, 5–25. [Google Scholar]
- Seidu, K.T.; Otutu, O.L. Phytochemical composition and radical scavenging activities of watermelon (Citrullus lanatus) seed constituents. Croat. J. Food Sci. Technol. 2016, 8, 83–89. [Google Scholar] [CrossRef]
- Atwaa, E.; Sayed-Ahmed, A.; Eman, T.; Hassan, M. Physicochemical, Microbiological and Sensory Properties of Low Fat Probiotic Yoghurt Fortified with Mango Pulp Fiber Waste as Source of Dietary Fiber. J. Food Dairy Sci. 2020, 11, 271–276. [Google Scholar] [CrossRef]
- Lin, S.; Zhang, G.; Liao, Y.; Pan, J.; Gong, D. Dietary Flavonoids as Xanthine Oxidase Inhibitors: Structure–Affinity and Structure–Activity Relationships. J. Agric. Food Chem. 2015, 63, 7784–7794. [Google Scholar] [CrossRef] [PubMed]
- Yu, Z.; Fong, W.P.; Cheng, C.H.K. The Dual Actions of Morin (3,5,7,2′,4′-Pentahydroxyflavone) as a Hypouricemic Agent: Uricosuric Effect and Xanthine Oxidase Inhibitory Activity. J. Pharmacol. Exp. Ther. 2005, 316, 169–175. [Google Scholar] [CrossRef] [PubMed]
- Kensarah, O.A.; Azzeh, F.S. Implementing high vitamin C treatments to decrease blood uric acid levels in hyperuricemic Saudi patients. J. Am. Sci. 2012, 8, 462–467. [Google Scholar]
- Siddiqui, W.A.; Shahzad, M.; Shabbir, A.; Ahmad, A. Evaluation of anti-urolithiatic and diuretic activities of watermelon (Citrullus lanatus) using in vivo and in vitro experiments. Biomed. Pharmacother. 2018, 97, 1212–1221. [Google Scholar] [CrossRef]
- Alvirdizadeh, S.; Yuzbashian, E.; Mirmiran, P.; Eghtesadi, S.; Azizi, F. A prospective study on total protein, plant protein and animal protein in relation to the risk of incident chronic kidney disease. BMC Nephrol. 2020, 21, 1–7. [Google Scholar] [CrossRef] [PubMed]
- Chiu, T.H.T.; Liu, C.-H.; Chang, C.-C.; Lin, M.-N.; Lin, C.-L. Vegetarian diet and risk of gout in two separate prospective cohort studies. Clin. Nutr. 2020, 39, 837–844. [Google Scholar] [CrossRef] [PubMed]
- Yuzbashian, E.; Asghari, G.; Mirmiran, P.; Hosseini, F.-S.; Azizi, F. Associations of dietary macronutrients with glomerular filtration rate and kidney dysfunction: Tehran lipid and glucose study. J. Nephrol. 2014, 28, 173–180. [Google Scholar] [CrossRef]
- Villegas, R.; Xiang, Y.-B.; Elasy, T.; Xu, W.; Cai, H.; Cai, Q.; Linton, M.; Fazio, S.; Zheng, W.; Shu, X.-O. Purine-rich foods, protein intake, and the prevalence of hyperuricemia: The Shanghai Men’s Health Study. Nutr. Metab. Cardiovasc. Dis. 2012, 22, 409–416. [Google Scholar] [CrossRef] [PubMed]
- Aihemaitijiang, S.; Zhang, Y.; Zhang, L.; Yang, J.; Ye, C.; Halimulati, M.; Zhang, W.; Zhang, Z. The Association between Purine-Rich Food Intake and Hyperuricemia: A Cross-Sectional Study in Chinese Adult Residents. Nutrients 2020, 12, 3835. [Google Scholar] [CrossRef] [PubMed]
- Chan, K.Y.; Yap, D.Y.; Li, C.W.; Cheng, H.W.B.; Au, H.Y. Excessive watermelon consumption causing hyperkalaemia and increased symptom burden of an end stage renal disease patient. Nephrology 2016, 21, 721. [Google Scholar] [CrossRef] [PubMed]
- Owheruo, J.O.; Oluwajuyitan, T.D.; Ifesan, B.O.; Bolade, M.K. Extruded breakfast meal from malted finger millet (Eleusine coracana) and watermelon (Citrullus lanatus) seed flour: In-Vivo nutritional qualities study. Bull. Natl. Res. Cent. 2021, 45, 1–9. [Google Scholar] [CrossRef]
- Mogotlane, E.A.; Mokwala, P.W.; Mangena, P. Comparative analysis of the chemical compositions of indigenous watermelon (Citrullus lanatus) seeds from two districts in Limpopo Province, South Africa. Afr. J. Biotechnol. 2018, 17, 1001–1006. [Google Scholar]
- Ikpeme, E.; Udensi, O.; Ekerette, E.; Okon, U. Potential of Ginger (Zingiber officinale) Rhizome and Watermelon (Citrullus lanatus) Seeds in Mitigating Aspartame-Induced Oxidative Stress in Rat Model. Res. J. Med. Plant 2016, 10, 55–66. [Google Scholar] [CrossRef]
- Pinheiro, D.T.; Silva, A.L.d.; Silva, L.J.d.; Sekita, M.C.; Dias, D.C.F.d.S. Germination and antioxidant action in melon seeds exposed to salt stress. Pesqui. Agropecu. Trop. 2016, 46, 336–342. [Google Scholar] [CrossRef]
- Ghalehkandi, J.G.; Ebrahimnezhad, Y.; Nobar, R.S. Effect of garlic (Allium sativum) aqueous extract on serum values of urea, uric-acid and creatinine compared with chromium chloride in male rats. Ann. Biol. Res. 2012, 3, 4485–4490. [Google Scholar]
- Singh Gill, N.; Sood, S.; Muthuraman, A.; Bali, M.; Dev Sharma, P. Evaluation of antioxidant and anti-ulcerative potential of Citrullus lanatus seed extract in rats. Lat. Am. J. Pharm. 2011, 30, 429–434. [Google Scholar]
- Artana, I.W. Watermelon, Kalium, and Kidney Health: A Review Literature. Syst. Rev. Pharm. 2020, 11, 1001–1007. [Google Scholar]
- Monday, N.; Bazabang, S.A.; Adebisi, S.S.; Makena, W.; Iliya, I.A. Hepatoprotective Effects of Aqueous Extract of Watermelon (Citrullus lanatus) Seeds on Ethanol-Induced Oxidative Damage in Wister Rats. Sub-Saharan Afr. J. Med. 2018, 5, 129. [Google Scholar] [CrossRef]


| Components (%) | Cow’s Milk | WMS Milk |
|---|---|---|
| Moisture | 88.22 ± 0.2 | 80.40 ± 0.5 |
| Protein | 3.68 ± 0.04 | 2.96 ± 0. 03 |
| Fat | 3.12 ± 0.16 | 8.80 ± 0.22 |
| Ash | 0.80 ± 0.01 | 0.92 ± 0.03 |
| Fiber | ---- | 4.20 ± 0.18 |
| Total Phenol (mg GAE/100 g) | 3.90 ± 0.1 | 1240 ± 8.24 |
| % DPPH Inhibition | 4.80 ± 0.48 | 52.60 ± 4.2 |
| Xanthine oxidase inhibitory activity% | 1.40 ± 0.06 | 53.0 ± 2.22 |
| Phenolic Compounds | Amount (μg/100 g) |
|---|---|
| Gallic acid | 3.765 ± 0.46 |
| 4-hydroxy benzoic | 52.84 ± 3.22 |
| Sinapic acid | 138.41 ± 9.82 |
| Caffeic acid | 26.33 ± 1.36 |
| Syringic acid | 15.11 ± 0.94 |
| Vanilic acid | 28.42 ± 1.02 |
| p-coumaric acid | 28.52 ± 1.14 |
| Ferrulic acid | 74.12 ± 4.18 |
| Constituent (%) | Milk Type | LSD | |||
|---|---|---|---|---|---|
| C | T1 | T2 | T3 | ||
| Total solids | 13.54 ± 0.14 D | 15.30 ± 0.12 C | 17.13 ± 0.08 B | 19.08 ± 0.10 A | 0.0440 |
| Protein | 4.20 ± 0.48 A | 4.06 ± 0.40 A | 3.74 ± 0.52 A | 3.38 ± 0.50 A | 1.2786 |
| Fat | 3.31 ± 0.60 D | 4.53 ± 0.55 C | 5.72 ± 0.46 B | 6.90 ± 0.34 A | 0.1070 |
| Ash | 0.90 ± 0.04 C | 0.94 ± 0.06 B,C | 1.00 ± 0.10 A,B | 1.05 ± 0.05 A | 0.0718 |
| Fiber | --- | 1.02 ± 0.01 C | 2.05 ± 0.12 B | 3.11 ± 0.08 A | 0.0915 |
| Constituent | Milk Type * | LSD | |||
|---|---|---|---|---|---|
| C | T1 | T2 | T3 | ||
| Acidity % | 0.77 ± 0.05 A | 0.71 ± 0.04 A,B | 0.67 ± 0.06 B,C | 0.62 ± 0.02 C | 0.0648 |
| pH value | 4.72 ± 0.02 C | 4.78 ± 0.01 B,C | 4.82 ± 0.02 A,B | 4.87 ± 0.03 A | 0.0691 |
| TPC (mg/100 g) | 30.38 ± 1.66 D | 212.31 ± 8.1 C | 410.21 ± 14.20 B | 604.49 ± 15.0 A | 0.6925 |
| RSA % | 8.56 ± 0.32 D | 43.90 ± 1.04 C | 54.20 ± 1.72 B | 58.76 ± 1.18 A | 0.9318 |
| Items | Milk Type * | LSD | |||
|---|---|---|---|---|---|
| C | T1 | T2 | T3 | ||
| Appearance | 6.54 ± 0.58 A | 6.04 ± 0.55 A,B | 5.82 ± 0.71 B | 4.40 ± 0.77 C | 0.5664 |
| Color | 6.02 ± 0.74 B | 6.25 ± 0.48 A,B | 6.48 ± 0.46 A | 5.14 ± 0.62 B | 0.3364 |
| Texture | 6.82 ± 0.46 A | 6.24 ± 0.72 B | 6.02 ± 0.50 C | 5.12 ± 0.68 D | 0.2013 |
| Flavor | 6.74 ± 0.50 A | 6.32 ± 0.44 B | 6.08 ± 0.54 C | 4.48 ± 0.70 D | 0.1925 |
| Mouth feel | 6.22 ± 0.44 A | 5.94 ± 0.58 A,B | 5.52 ± 0.72 B | 4.30 ± 0.76 C | 0.4486 |
| Sourness | 5.92 ± 0.60 A | 5.40 ± 0.52 A,B | 4.88 ± 0.74 B | 3.32 ± 0.82 C | 0.6143 |
| After taste | 6.18 ± 0.72 A | 5.64 ± 0.48 B | 4.76 ± 0.68 C | 3.20 ± 0.78 D | 0.2309 |
| Total preference | 6.34 ± 0.33 A | 5.97 ± 0.42 B | 5.65 ± 0.66 C | 4.28 ± 0.82 D | 0.1186 |
| Parameters mg/dL | Groups * | LSD | |||
|---|---|---|---|---|---|
| Normal Control | Hyperuricemic Control | Cow’s Milk Yoghurt | WMS Milk Yoghurt | ||
| Urea | 34.72 ± 2.54 D | 70.30 ± 5.32 A | 49.64 ± 4.12 B | 39.28 ± 2.02 C | 0.0566 |
| Uric acid | 3.44 ± 0.42 B | 8.96 ± 1.04 A | 6.80 ± 0.58 A | 3.62 ± 0.22 B | 2.4330 |
| Creatinine | 0.72 ± 0.02 D | 1.84 ± 0.04 A | 0.90 ± 0.02 B | 0.78 ± 0.03 C | 0.0566 |
| Total protein | 8.68 ± 0.38 A | 5.14 ± 0.14 D | 7.74 ± 0.52 C | 8.05 ± 0.40 B | 0.0653 |
| Albumin | 3.96 ± 0.18 B | 2.88 ± 0.08 D | 3.68 ± 0.22 C | 4.1 ± 0.16 A | 0.0566 |
| Globulin | 4.35 ± 0.15 A | 2.40 ± 0.18 D | 3.96 ± 0.14 C | 4.15 ± 0.12 B | 0.0618 |
| Enzyme Activity (u/mg) | Groups * | LSD | |||
|---|---|---|---|---|---|
| Normal Control | Hyperuricemic Control | Cow’s Milk Yoghurt | WMS Milk Yoghurt | ||
| SOD | 95.18 ± 4.84 A | 42.66 ± 3.04 D | 68.32 ± 6.44 C | 90.45 ± 5.22 B | 0.0566 |
| CAT | 5.50 ± 0.18 A | 1.10 ± 0.03 D | 2.26 ± 0.12 C | 5.17 ± 0.18 B | 0.1131 |
| GPX | 96.22 ± 4.12 A | 32.55 ± 1.64 D | 86.51 ± 3.42 C | 92.69 ± 3.20 B | 0.0231 |
| GST | 4.98 ± 0.22 A | 2.36 ± 0.28 D | 3.62 ± 0.19 C | 4.02 ± 0.14 B | 0.0566 |
Publisher’s Note: MDPI stays neutral with regard to jurisdictional claims in published maps and institutional affiliations. |
© 2022 by the authors. Licensee MDPI, Basel, Switzerland. This article is an open access article distributed under the terms and conditions of the Creative Commons Attribution (CC BY) license (https://creativecommons.org/licenses/by/4.0/).
Share and Cite
Shahein, M.R.; Atwaa, E.S.H.; El-Zahar, K.M.; Elmaadawy, A.A.; Hijazy, H.H.A.; Sitohy, M.Z.; Albrakati, A.; Elmahallawy, E.K. Remedial Action of Yoghurt Enriched with Watermelon Seed Milk on Renal Injured Hyperuricemic Rats. Fermentation 2022, 8, 41. https://doi.org/10.3390/fermentation8020041
Shahein MR, Atwaa ESH, El-Zahar KM, Elmaadawy AA, Hijazy HHA, Sitohy MZ, Albrakati A, Elmahallawy EK. Remedial Action of Yoghurt Enriched with Watermelon Seed Milk on Renal Injured Hyperuricemic Rats. Fermentation. 2022; 8(2):41. https://doi.org/10.3390/fermentation8020041
Chicago/Turabian StyleShahein, Magdy Ramadan, El Sayed Hassan Atwaa, Khaled Magawry El-Zahar, Ahdab Abdo Elmaadawy, Hayfa Hussin Ali Hijazy, Mahmoud Zaky Sitohy, Ashraf Albrakati, and Ehab Kotb Elmahallawy. 2022. "Remedial Action of Yoghurt Enriched with Watermelon Seed Milk on Renal Injured Hyperuricemic Rats" Fermentation 8, no. 2: 41. https://doi.org/10.3390/fermentation8020041
APA StyleShahein, M. R., Atwaa, E. S. H., El-Zahar, K. M., Elmaadawy, A. A., Hijazy, H. H. A., Sitohy, M. Z., Albrakati, A., & Elmahallawy, E. K. (2022). Remedial Action of Yoghurt Enriched with Watermelon Seed Milk on Renal Injured Hyperuricemic Rats. Fermentation, 8(2), 41. https://doi.org/10.3390/fermentation8020041

