Chinese Traditional Fermented Soy Sauce Exerts Protective Effects against High-Fat and High-Salt Diet-Induced Hypertension in Sprague-Dawley Rats by Improving Adipogenesis and Renin-Angiotensin-Aldosterone System Activity
Abstract
1. Introduction
2. Results
2.1. Metabolic Characterization, Na+ and K+ Ion Concentration, and Serum Chemistry
2.2. Systolic Blood Pressure
2.3. Renin, Ang II, ACE, and Aldosterone Levels in Serum
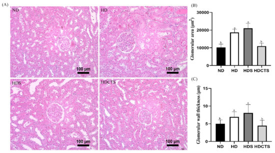
2.4. Histopathology of Kidney
2.5. Expression of Adipogenesis-Regulating and RAAS-Related Genes in Liver Tissues
2.6. Expression of RAAS-Related Genes in Kidney Tissues
3. Discussion
4. Materials and Methods
4.1. Preparation of Soy Sauce
4.2. Animal Experiment
4.3. Measurement of Body Weight and Blood Pressure
4.4. Metabolic Cages Experiment and Urine and Feces Analysis
4.5. Sacrifice and Administration
4.6. Analysis of Serum Biochemical Parameters
4.7. Kidney Histology
4.8. Gene Expression Analysis by Real-Time Polymerase Chain Reaction (RT-PCR)
5. Conclusions
Supplementary Materials
Author Contributions
Funding
Institutional Review Board Statement
Informed Consent Statement
Data Availability Statement
Conflicts of Interest
References
- Garfinkle, M.A. Salt and essential hypertension: Pathophysiology and implications for treatment. J. Am. Soc. Hypertens. 2017, 11, 385–391. [Google Scholar] [CrossRef] [PubMed]
- Shi, H.; Yang, D.; Qiao, J.; Sun, R.; Li, R.; Zhu, C.; Jing, R.; Liu, L.; Huang, L.; Li, L. Effects of sang-qi granules on blood pressure and endothelial dysfunction in stage I or II hypertension: Study protocol for a randomized double-blind double-simulation controlled trial. Trials 2020, 21, 12. [Google Scholar] [CrossRef] [PubMed]
- Ketonen, J.; Mervaala, E. Effects of dietary sodium on reactive oxygen species formation and endothelial dysfunction in low-density lipoprotein receptor-deficient mice on high-fat diet. Heart Vessel. 2008, 23, 420–429. [Google Scholar] [CrossRef] [PubMed]
- Whitworth, J.A.; World Health Organization, International Society of Hypertension Writing Group. 2003 World Health Organization (WHO)/International Society of Hypertension (ISH) statement on management of hypertension. J. Hypertens. 2003, 21, 1983–1992. [Google Scholar] [CrossRef] [PubMed]
- Chung, S.; Park, C.W.; Shin, S.J.; Lim, J.H.; Chung, H.W.; Youn, D.Y.; Kim, H.W.; Kim, B.S.; Lee, J.H.; Kim, G.H.; et al. Tempol or candesartan prevents high-fat diet-induced hypertension and renal damage in spontaneously hypertensive rats. Nephrol. Dial. Transplant. 2010, 25, 389–399. [Google Scholar] [CrossRef] [PubMed]
- Sapouckey, S.A.; Deng, G.; Sigmund, C.D.; Grobe, J.L. Potential mechanisms of hypothalamic renin-angiotensin system activation by leptin and DOCA-salt for the control of resting metabolism. Physiol. Genom. 2017, 49, 722–732. [Google Scholar] [CrossRef] [PubMed]
- Engeli, S.; Schling, P.; Gorzelniak, K.; Boschmann, M.; Janke, J.; Ailhaud, G.; Teboul, M.; Massiera, F.; Sharma, A.M. The adipose-tissue renin-angiotensin-aldosterone system: Role in the metabolic syndrome? Int. J. Biochem. Cell Biol. 2003, 35, 807–825. [Google Scholar] [CrossRef]
- Li, C.; Culver, S.A.; Quadri, S.; Ledford, K.L.; Al-Share, Q.Y.; Ghadieh, H.E.; Najjar, S.M.; Siragy, H.M. High-fat diet amplifies renal renin angiotensin system expression, blood pressure elevation, and renal dysfunction caused by Ceacam1 null deletion. Am. J. Physiol. Endocrinol. Metab. 2015, 309, E802–E810. [Google Scholar] [CrossRef]
- Spradling-Reeves, K.D.; Shade, R.E.; Haywood, J.R.; Cox, L.A. Primate response to angiotensin infusion and high sodium intake differ by sodium lithium countertransport phenotype. J. Am. Soc. Hypertens. 2017, 11, 178–184. [Google Scholar] [CrossRef]
- Shibata, S.; Mu, S.; Kawarazaki, H.; Muraoka, K.; Ishizawa, K.; Yoshida, S.; Kawarazaki, W.; Takeuchi, M.; Ayuzawa, N.; Miyoshi, J.; et al. Rac1 GTPase in rodent kidneys is essential for salt-sensitive hypertension via a mineralocorticoid receptor-dependent pathway. J. Clin. Investig. 2011, 121, 3233–3243. [Google Scholar] [CrossRef]
- Lee, M.; Sorn, S.R.; Lee, Y.; Kang, I. Salt Induces Adipogenesis/Lipogenesis and Inflammatory Adipocytokines Secretion in Adipocytes. Int. J. Mol. Sci. 2019, 20, 160. [Google Scholar] [CrossRef]
- El-Atat, F.A.; Stas, S.N.; McFarlane, S.I.; Sowers, J.R. The relationship between hyperinsulinemia, hypertension and progressive renal disease. J. Am. Soc. Nephrol. 2004, 15, 2816–2827. [Google Scholar] [CrossRef]
- Fernandes, R.; Garver, H.; Harkema, J.R.; Galligan, J.J.; Fink, G.D.; Xu, H. Sex Differences in Renal Inflammation and Injury in High-Fat Diet-Fed Dahl Salt-Sensitive Rats. Hypertension 2018, 72, e43–e52. [Google Scholar] [CrossRef]
- Li, J.; Zhou, L.; Feng, W.; Cheng, H.; Muhammad, A.I.; Ye, X.; Zhi, Z. Comparison of Biogenic Amines in Chinese Commercial Soy Sauces. Molecules 2019, 24, 1522. [Google Scholar] [CrossRef]
- Donkor, O.N.; Shah, N.P. Production of beta-glucosidase and hydrolysis of isoflavone phytoestrogens by Lactobacillus acidophilus, Bifidobacterium lactis, and Lactobacillus casei in soymilk. J. Food Sci. 2008, 73, M15–M20. [Google Scholar] [CrossRef]
- Chen, Z.Y.; Feng, Y.Z.; Cui, C.; Zhao, H.F.; Zhao, M.M. Effects of koji-making with mixed strains on physicochemical and sensory properties of Chinese-type soy sauce. J. Sci. Food Agric. 2015, 95, 2145–2154. [Google Scholar] [CrossRef] [PubMed]
- Kushiro, T.; Hashida, J.; Kawamura, H.; Mitsubayashi, H.; Saito, T.; Suzuki, Y.; Takahashi, N.; Ishii, T.; Kimura, T.; Tsuji, K.; et al. Clinical effects of beni-koji in mild essential hypertension--a multi-center double-blind comparison with placebo. Nihon Jinzo Gakkai Shi 1996, 38, 625–633. [Google Scholar] [PubMed]
- Sugawara, T.; Saraprug, D.; Sakamoto, K. Soy sauce increased the oxidative stress tolerance of nematode via p38 MAPK pathway. Biosci. Biotechnol. Biochem. 2019, 83, 709–716. [Google Scholar] [CrossRef]
- Mun, E.G.; Sohn, H.S.; Kim, M.S.; Cha, Y.S. Antihypertensive effect of Ganjang (traditional Korean soy sauce) on Sprague-Dawley Rats. Nutr. Res. Pract. 2017, 11, 388–395. [Google Scholar] [CrossRef] [PubMed]
- Atlas, S.A. The renin-angiotensin aldosterone system: Pathophysiological role and pharmacologic inhibition. J Manag. Care Pharm. 2007, 13, 9–20. [Google Scholar] [CrossRef] [PubMed]
- Nakahara, T.; Sugimoto, K.; Sano, A.; Yamaguchi, H.; Katayama, H.; Uchida, R. Antihypertensive mechanism of a peptide-enriched soy sauce-like seasoning: The active constituents and its suppressive effect on renin-angiotensin-aldosterone system. J. Food Sci. 2011, 76, H201–H206. [Google Scholar] [CrossRef]
- Sulaiman, J.; Gan, H.M.; Yin, W.F.; Chan, K.G. Microbial succession and the functional potential during the fermentation of Chinese soy sauce brine. Front. Microbiol. 2014, 5, 556. [Google Scholar] [CrossRef]
- Kim, Y.S.; Kim, M.C.; Kwon, S.W.; Kim, S.J.; Park, I.C.; Ka, J.O.; Weon, H.Y. Analyses of bacterial communities in meju, a Korean traditional fermented soybean bricks, by cultivation-based and pyrosequencing methods. J. Microbiol. 2011, 49, 340–348. [Google Scholar] [CrossRef] [PubMed]
- Cao, Z.H.; Green-Johnson, J.M.; Buckley, N.D.; Lin, Q.Y. Bioactivity of soy-based fermented foods: A review. Biotechnol. Adv. 2019, 37, 223–238. [Google Scholar] [CrossRef]
- Okada, E.; Saito, A.; Takimoto, H. Association between the Portion Sizes of Traditional Japanese Seasonings-Soy Sauce and Miso-and Blood Pressure: Cross-Sectional Study Using National Health and Nutrition Survey, 2012–2016 Data. Nutrients 2018, 10, 1865. [Google Scholar] [CrossRef] [PubMed]
- Appel, L.J. The Effects of Dietary Factors on Blood Pressure. Cardiol. Clin. 2017, 35, 197–212. [Google Scholar] [CrossRef] [PubMed]
- Oishi, J.C.; Castro, C.A.; Silva, K.A.; Fabricio, V.; Carnio, E.C.; Phillips, S.A.; Duarte, A.; Rodrigues, G.J. Endothelial Dysfunction and Inflammation Precedes Elevations in Blood Pressure Induced by a High-Fat Diet. Arq. Bras. Cardiol. 2018, 110, 558–567. [Google Scholar] [CrossRef]
- Emamian, M.H. Salt intake and blood pressure. J. Hypertens. 2019, 37, 1530–1531. [Google Scholar] [CrossRef] [PubMed]
- Mun, E.G.; Park, J.E.; Cha, Y.S. Effects of Doenjang, a Traditional Korean Soybean Paste, with High-Salt Diet on Blood Pressure in Sprague-Dawley Rats. Nutrients 2019, 11, 2745. [Google Scholar] [CrossRef] [PubMed]
- Ito, K.; Miyata, K.; Mohri, M.; Origuchi, H.; Yamamoto, H. The Effects of the Habitual Consumption of Miso Soup on the Blood Pressure and Heart Rate of Japanese Adults: A Cross-sectional Study of a Health Examination. Intern. Med. 2017, 56, 23–29. [Google Scholar] [CrossRef]
- Kwak, C.S.; Park, S.C.; Song, K.Y. Doenjang, a fermented soybean paste, decreased visceral fat accumulation and adipocyte size in rats fed with high fat diet more effectively than nonfermented soybeans. J. Med. Food 2012, 15, 1–9. [Google Scholar] [CrossRef]
- Cha, Y.S.; Kim, S.R.; Yang, J.A.; Back, H.I.; Kim, M.G.; Jung, S.J.; Song, W.O.; Chae, S.W. Kochujang, fermented soybean-based red pepper paste, decreases visceral fat and improves blood lipid profiles in overweight adults. Nutr. Metab. 2013, 10, 24. [Google Scholar] [CrossRef]
- Peach, M.J. Renin-angiotensin system: Biochemistry and mechanisms of action. Physiol. Rev. 1977, 57, 313–370. [Google Scholar] [CrossRef] [PubMed]
- Vasan, R.S.; Evans, J.C.; Larson, M.G.; Wilson, P.W.; Meigs, J.B.; Rifai, N.; Benjamin, E.J.; Levy, D. Serum aldosterone and the incidence of hypertension in nonhypertensive persons. N. Engl. J. Med. 2004, 351, 33–41. [Google Scholar] [CrossRef] [PubMed]
- Almeida, L.F.; Tofteng, S.S.; Madsen, K.; Jensen, B.L. Role of the renin-angiotensin system in kidney development and programming of adult blood pressure. Clin. Sci. 2020, 134, 641–656. [Google Scholar] [CrossRef] [PubMed]
- Mota de Sa, P.; Richard, A.J.; Hang, H.; Stephens, J.M. Transcriptional Regulation of Adipogenesis. Compr. Physiol. 2017, 7, 635–674. [Google Scholar] [CrossRef] [PubMed]
- Mirabito Colafella, K.M.; Bovee, D.M.; Danser, A.H.J. The renin-angiotensin-aldosterone system and its therapeutic targets. Exp. Eye Res. 2019, 186, 107680. [Google Scholar] [CrossRef]
- Kim, S.; Urs, S.; Massiera, F.; Wortmann, P.; Joshi, R.; Heo, Y.R.; Andersen, B.; Kobayashi, H.; Teboul, M.; Ailhaud, G.; et al. Effects of high-fat diet, angiotensinogen (agt) gene inactivation, and targeted expression to adipose tissue on lipid metabolism and renal gene expression. Horm. Metab. Res. 2002, 34, 721–725. [Google Scholar] [CrossRef] [PubMed]
- Nakagami, H.; Morishita, R. Obesity and gastrointestinal hormones-dual effect of angiotensin II receptor blockade and a partial agonist of PPAR-gamma. Curr. Vasc. Pharmacol. 2011, 9, 162–166. [Google Scholar] [CrossRef] [PubMed]
- DeClercq, V.; Taylor, C.G.; Zahradka, P. Isomer-specific effects of conjugated linoleic acid on blood pressure, adipocyte size and function. Br. J. Nutr. 2012, 107, 1413–1421. [Google Scholar] [CrossRef]
- Kobori, H.; Nishiyama, A.; Abe, Y.; Navar, L.G. Enhancement of intrarenal angiotensinogen in Dahl salt-sensitive rats on high salt diet. Hypertension 2003, 41, 592–597. [Google Scholar] [CrossRef]
- Volpe, M.; Unger, T. Plasma renin and cardiovascular risk: What is the evidence for an association? Cardiology 2013, 125, 50–59. [Google Scholar] [CrossRef]
- Corvol, P.; Williams, T.A.; Soubrier, F. Peptidyl dipeptidase A: Angiotensin I-converting enzyme. Methods Enzymol. 1995, 248, 283–305. [Google Scholar] [CrossRef]
- Engeli, S.; Sharma, A.M. The renin-angiotensin system and natriuretic peptides in obesity-associated hypertension. J. Mol. Med. 2001, 79, 21–29. [Google Scholar] [CrossRef] [PubMed]
- Quadri, S.S.; Culver, S.; Ramkumar, N.; Kohan, D.E.; Siragy, H.M. (Pro)Renin receptor mediates obesity-induced antinatriuresis and elevated blood pressure via upregulation of the renal epithelial sodium channel. PLoS ONE 2018, 13, e0202419. [Google Scholar] [CrossRef]
- Shimoura, C.G.; Lincevicius, G.S.; Nishi, E.E.; Girardi, A.C.; Simon, K.A.; Bergamaschi, C.T.; Campos, R.R. Increased Dietary Salt Changes Baroreceptor Sensitivity and Intrarenal Renin-Angiotensin System in Goldblatt Hypertension. Am. J. Hypertens. 2017, 30, 28–36. [Google Scholar] [CrossRef] [PubMed]
- Kondo, H.; Sakuyama Tomari, H.; Yamakawa, S.; Kitagawa, M.; Yamada, M.; Itou, S.; Yamamoto, T.; Uehara, Y. Long-term intake of miso soup decreases nighttime blood pressure in subjects with high-normal blood pressure or stage I hypertension. Hypertens. Res. 2019, 42, 1757–1767. [Google Scholar] [CrossRef] [PubMed]
- Banday, A.A.; Lokhandwala, M.F. Oxidative stress-induced renal angiotensin AT1 receptor upregulation causes increased stimulation of sodium transporters and hypertension. Am. J. Physiol. Renal. Physiol. 2008, 295, F698–F706. [Google Scholar] [CrossRef]
- Takeda, Y.; Demura, M.; Wang, F.; Karashima, S.; Yoneda, T.; Kometani, M.; Hashimoto, A.; Aono, D.; Horike, S.I.; Meguro-Horike, M.; et al. Epigenetic Regulation of Aldosterone Synthase Gene by Sodium and Angiotensin II. J. Am. Heart Assoc. 2018, 7. [Google Scholar] [CrossRef] [PubMed]
- Zhang, W.W.; Zheng, R.H.; Bai, F.; Sturdivant, K.; Wang, N.P.; James, E.A.; Bose, H.S.; Zhao, Z.Q. Steroidogenic acute regulatory protein/aldosterone synthase mediates angiotensin II-induced cardiac fibrosis and hypertrophy. Mol. Biol. Rep. 2020, 47, 1207–1222. [Google Scholar] [CrossRef]
- Schiffer, L.; Brixius-Anderko, S.; Hannemann, F.; Zapp, J.; Neunzig, J.; Thevis, M.; Bernhardt, R. Metabolism of Oral Turinabol by Human Steroid Hormone-Synthesizing Cytochrome P450 Enzymes. Drug Metab. Dispos. 2016, 44, 227–237. [Google Scholar] [CrossRef] [PubMed]
- Tripodi, G.; Citterio, L.; Kouznetsova, T.; Lanzani, C.; Florio, M.; Modica, R.; Messaggio, E.; Hamlyn, J.M.; Zagato, L.; Bianchi, G.; et al. Steroid biosynthesis and renal excretion in human essential hypertension: Association with blood pressure and endogenous ouabain. Am. J. Hypertens. 2009, 22, 357–363. [Google Scholar] [CrossRef]
- Pezzi, V.; Mathis, J.M.; Rainey, W.E.; Carr, B.R. Profiling transcript levels for steroidogenic enzymes in fetal tissues. J. Steroid. Biochem. Mol. Biol. 2003, 87, 181–189. [Google Scholar] [CrossRef]
- Sztechman, D.; Czarzasta, K.; Cudnoch-Jedrzejewska, A.; Szczepanska-Sadowska, E.; Zera, T. Aldosterone and mineralocorticoid receptors in regulation of the cardiovascular system and pathological remodelling of the heart and arteries. J. Physiol. Pharmacol. 2018, 69. [Google Scholar] [CrossRef]
- Yang, T.; Richards, E.M.; Pepine, C.J.; Raizada, M.K. The gut microbiota and the brain-gut-kidney axis in hypertension and chronic kidney disease. Nat. Rev. Nephrol. 2018, 14, 442–456. [Google Scholar] [CrossRef]
- Wang, Y.; Xie, B.Q.; Gao, W.H.; Yan, D.Y.; Zheng, W.L.; Lv, Y.B.; Cao, Y.M.; Hu, J.W.; Yuan, Z.Y.; Mu, J.J. Effects of Renin-Angiotensin System Inhibitors on Renal Expression of Renalase in Sprague-Dawley Rats Fed with High Salt Diet. Kidney Blood Press. Res. 2015, 40, 605–613. [Google Scholar] [CrossRef]
- Zhang, J.G.; Wang, Z.H.; Du, W.W.; Su, C.; Jiang, H.R.; Huang, F.F.; Jia, X.F.; Ouyang, Y.F.; Li, L.; Wang, Y.; et al. Dietary sodium intake of adult residents in 15 provinces of China in 2015. Zhonghua Yu Fang Yi Xue Za Zhi [Chin. J. Prev. Med.] 2019, 53, 455–458. [Google Scholar] [CrossRef] [PubMed]
- Yu, L.; Li, S.; Zhao, J.; Zhang, J.; Wang, L.; Wang, K. Secular trends in salt and soy sauce intake among Chinese adults, 1997–2011. Int. J. Food Sci. Nutr. 2018, 69, 215–222. [Google Scholar] [CrossRef] [PubMed]
- Phang, S.C.W.; Palanisamy, U.D.; Kadir, K.A. Effects of geraniin (rambutan rind extract) on blood pressure and metabolic parameters in rats fed high-fat diet. J. Integr. Med. 2019, 17, 100–106. [Google Scholar] [CrossRef]
- Meija, J.; Michalowska-Kaczmarczyk, A.M.; Michalowski, T. Mohr’s method challenge. Anal. Bioanal. Chem. 2016, 408, 1721–1722. [Google Scholar] [CrossRef][Green Version]







| Group | ND | HD | HDS | HDCTS | |
|---|---|---|---|---|---|
| Metabolic characterization | |||||
| Initial body weight (g) | 116.23 ± 3.18 | 116.98 ± 8.33 | 117.22 ± 7.06 | 116.12 ± 5.63 | |
| Final body weight (g) | 454.52 ± 6.94 c | 556.69 ± 28.14 a | 547.65 ± 33.82 ab | 534.98 ± 35.78 b | |
| Epididymal fat weight (g)/BW (g)% | 1.84 ± 0.25 c | 3.64 ± 0.48 a | 3.46 ± 0.26 a | 2.82 ± 0.38 b | |
| Food intake (g/day) | 17.22 ± 0.19 a | 17.05 ± 0.10 a | 16.51 ± 0.39 b | 17.14 ± 0.07 a | |
| Water intake (mL/day) | 16.33 ± 1.18 c | 17.71 ± 1.48 c | 25.08 ± 2.16 a | 21.65 ± 2.50 b | |
| Urinary volume (mL/day) | 9.58 ± 1.88 c | 9.63 ± 0.77 c | 13.50 ± 1.22 b | 15.08 ± 0.66 a | |
| Fecal excretion (g/day) | 3.31 ± 0.14 | 3.24 ± 0.15 | 3.16 ± 0.19 | 3.32 ± 0.14 | |
| Na+ and K+ ion concentration in urine and feces (ppm) | |||||
| Urine | Na+ | 2130.33 ± 698.16 b | 1844.92 ± 620.88 b | 9314.08 ± 978.00 a | 8778.68 ± 354.74 a |
| K+ | 9292.65 ± 2594.60 ab | 10,084.34 ± 1359.43 a | 6837.20 ± 459.40 b | 7046.87 ± 1079.26 ab | |
| Feces | Na+ | 722.82 ± 317.74 | 796.94 ± 339.65 | 1116.71 ± 200.52 | 603.91 ± 283.51 |
| K+ | 6387.93 ± 1357.67 | 6232.49 ± 756.63 | 4734.04 ± 246.97 | 4795.09 ± 708.70 | |
| Serum chemistry | |||||
| TC (mg/dL) | 66.44 ± 6.09 c | 95.33 ± 4.35 a | 91.16 ± 8.97 a | 78.28 ± 5.83 b | |
| TG (mg/dL) | 51.52 ± 4.19 d | 116.91 ± 4.66 a | 97.83 ± 5.90 b | 60.44 ± 7.03 c | |
| AST (IU/L) | 39.41 ± 2.43 d | 56.42 ± 2.93 a | 52.59 ± 1.70 b | 42.68 ± 1.29 c | |
| ALT(IU/L) | 11.10 ± 1.28 b | 18.66 ± 1.65 a | 17.70 ± 0.74 a | 11.34 ± 1.67 b | |
Publisher’s Note: MDPI stays neutral with regard to jurisdictional claims in published maps and institutional affiliations. |
© 2021 by the authors. Licensee MDPI, Basel, Switzerland. This article is an open access article distributed under the terms and conditions of the Creative Commons Attribution (CC BY) license (https://creativecommons.org/licenses/by/4.0/).
Share and Cite
Zhong, B.; Mun, E.-G.; Wang, J.-X.; Cha, Y.-S. Chinese Traditional Fermented Soy Sauce Exerts Protective Effects against High-Fat and High-Salt Diet-Induced Hypertension in Sprague-Dawley Rats by Improving Adipogenesis and Renin-Angiotensin-Aldosterone System Activity. Fermentation 2021, 7, 52. https://doi.org/10.3390/fermentation7020052
Zhong B, Mun E-G, Wang J-X, Cha Y-S. Chinese Traditional Fermented Soy Sauce Exerts Protective Effects against High-Fat and High-Salt Diet-Induced Hypertension in Sprague-Dawley Rats by Improving Adipogenesis and Renin-Angiotensin-Aldosterone System Activity. Fermentation. 2021; 7(2):52. https://doi.org/10.3390/fermentation7020052
Chicago/Turabian StyleZhong, Bao, Eun-Gyung Mun, Jin-Xi Wang, and Youn-Soo Cha. 2021. "Chinese Traditional Fermented Soy Sauce Exerts Protective Effects against High-Fat and High-Salt Diet-Induced Hypertension in Sprague-Dawley Rats by Improving Adipogenesis and Renin-Angiotensin-Aldosterone System Activity" Fermentation 7, no. 2: 52. https://doi.org/10.3390/fermentation7020052
APA StyleZhong, B., Mun, E.-G., Wang, J.-X., & Cha, Y.-S. (2021). Chinese Traditional Fermented Soy Sauce Exerts Protective Effects against High-Fat and High-Salt Diet-Induced Hypertension in Sprague-Dawley Rats by Improving Adipogenesis and Renin-Angiotensin-Aldosterone System Activity. Fermentation, 7(2), 52. https://doi.org/10.3390/fermentation7020052

