One-Step Activation, Purification, and Immobilization of Bovine Chymosin via Adsorption on Magnetic Particles
Abstract
1. Introduction
2. Materials and Methods
2.1. Samples and Reagents
2.2. Methods
2.2.1. Construction of the Synthetic Bovine Chymosin a Gene for Expression in Escherichia coli and Competent E. coli Strains
2.2.2. Culture Media and Conditions
2.2.3. Method of Extraction, Folding, Activation (First and Second), Purification, and Conservation
Harvesting of Crops
Recombinant Chymosin Extraction
Recombinant Chymosin Folding
First, Second Activation and Purification
2.3. Coagulation Assay
2.4. Immobilization
2.4.1. Immobilization on Ag-IDA-Ni and Ag-IDA-Cu Metal Chelate Supports
2.4.2. Immobilization on Diethylaminoethyl (DEAE) and Sulfopropyl Supports
2.4.3. Synthesis of Magnetic Nanoparticles
2.5. Biochemical Characterization
2.5.1. Determination of the Effect of pH and Temperature on the Derivative Immobilized on Magnetic Nanoparticles of the Commercial and Recombinant Enzyme
2.5.2. Determination of the pH and Temperature Stability of the Derivative Immobilized on Magnetic Nanoparticles of the Commercial and Recombinant Enzyme
3. Results and Discussion
3.1. Heterologous Expression System for the Enzyme Bovine Chymosin
3.2. Production of Recombinant Chymosin
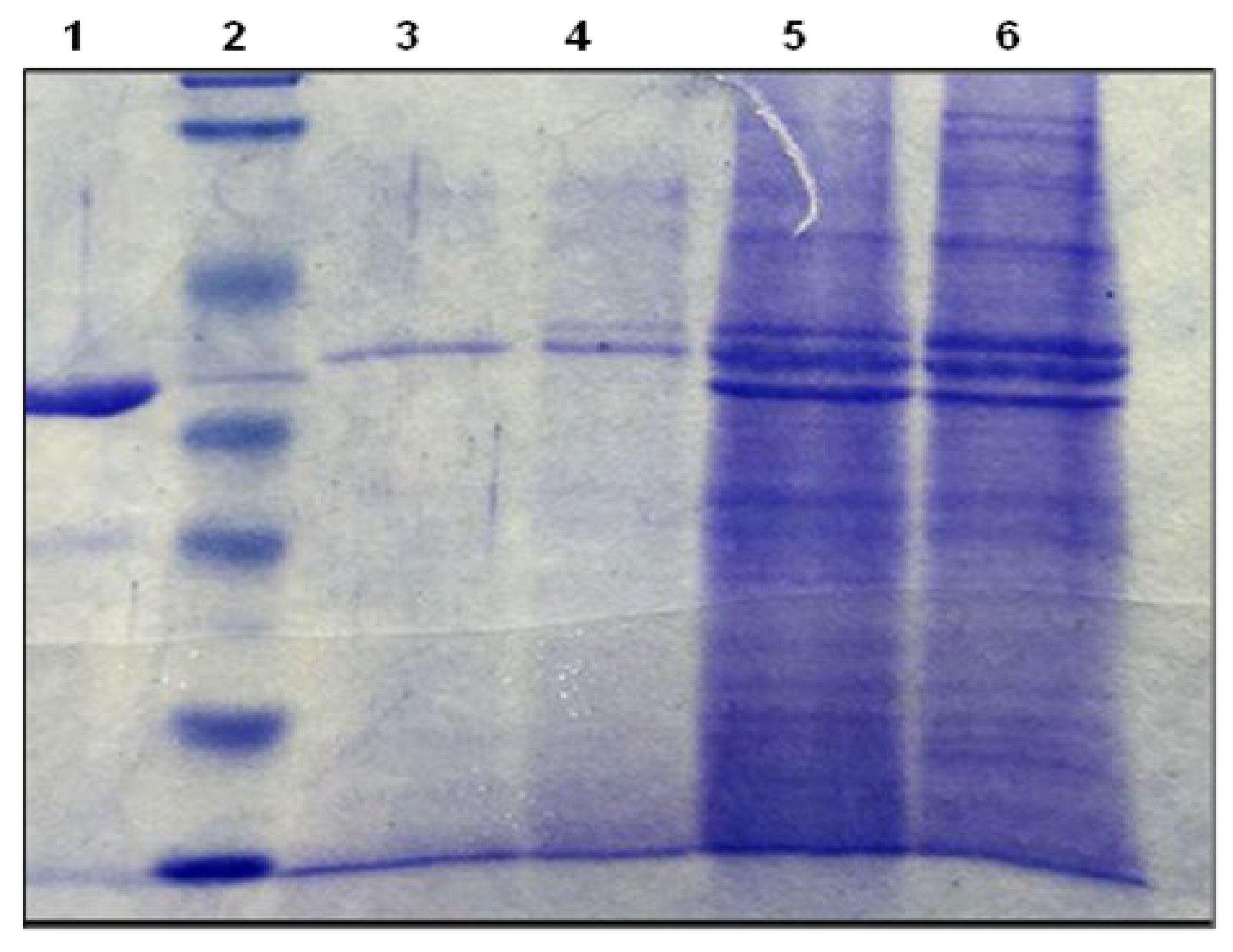
3.2.1. Extraction, Activation, Purification, and Concentration of the Recombinant Enzyme
3.2.2. Optimization of the Extraction and Folding Procedure
3.2.3. Activation pH Analysis
3.2.4. Study of the Final Volume After the Activation Process
3.2.5. Purification of the Recombinant Enzyme
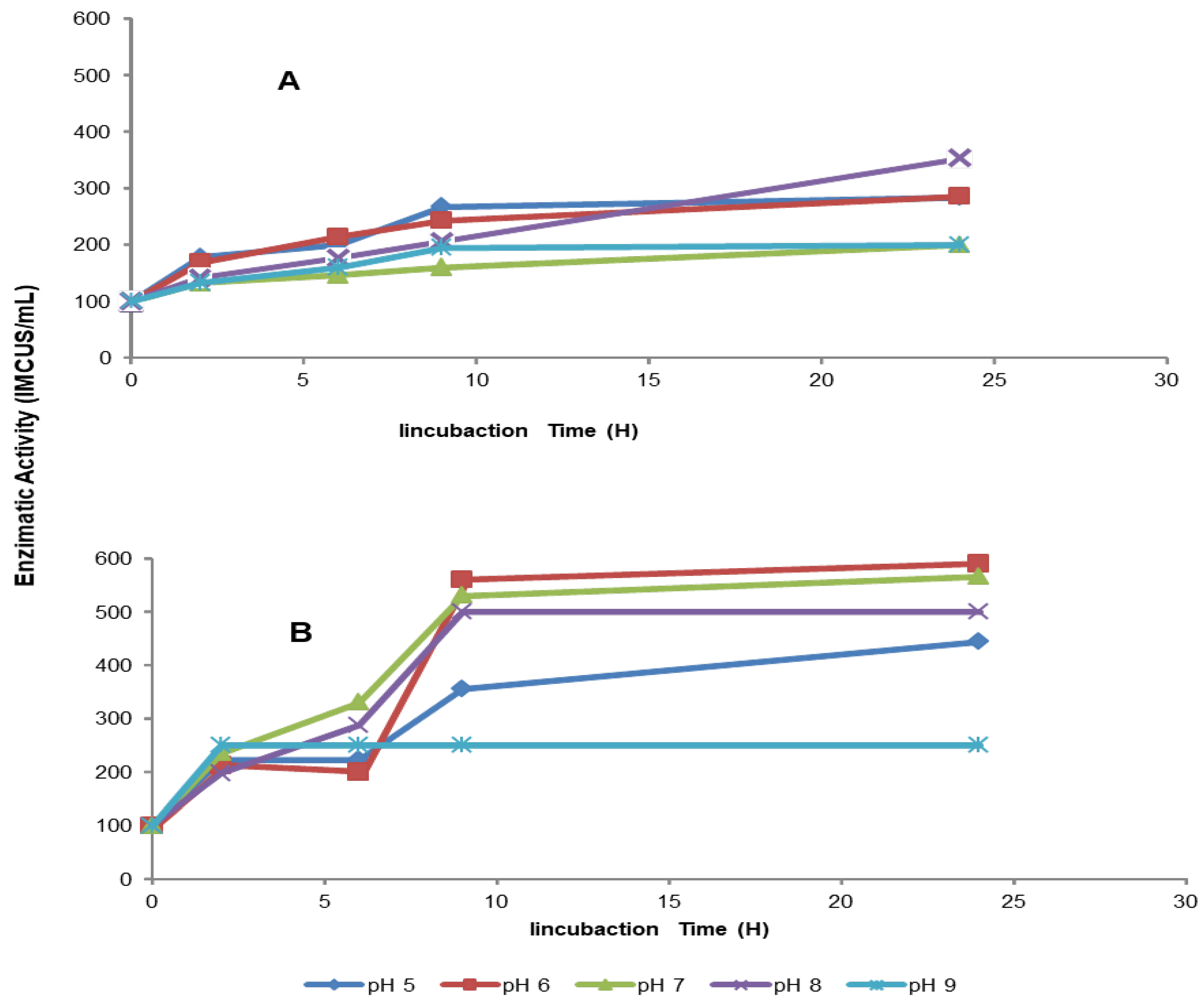
3.2.6. Enzyme Activation at pH 2
3.2.7. Enzyme Activation at pH 4–5
3.2.8. Immobilization of Enzymes on Exchange Supports
3.3. Immobilization of Commercial and Recombinant Enzyme Preparations on Magnetic Nanoparticles
3.3.1. Enzymatic Characterization
Effect of pH and Temperature on the Derivative Immobilized on Magnetic Nanoparticles (Commercial and Recombinant Enzyme)
pH Stability of the Magnetic Nanoparticle Derivative of the Commercial and Recombinant Preparations
Thermal Stability of the Derivatives of the Commercial Enzyme Preparations and Recombinant Enzyme
4. Conclusions
Author Contributions
Funding
Institutional Review Board Statement
Informed Consent Statement
Data Availability Statement
Acknowledgments
Conflicts of Interest
References
- Beaumont, M.; Blachier, F. Amino Acids in Intestinal Physiology and Health. In Amino Acids in Nutrition and Health; Springer: Cham, Switzerland, 2020. [Google Scholar] [CrossRef]
- Justesen, S.F.; Lamberth, K.; Nielsen, L.B.; Schafer-Nielsen, C.; Buus, S. Recombinant chymosin used for exact and complete removal of a prochymosin derived fusion tag releasing intact native target protein. Protein Sci. 2009, 18, 1023–1032. [Google Scholar] [CrossRef]
- Kumar, A.; Grover, S.; Sharma, J.; Batish, V. Chymosin and other milk coagulants: Sources and biotechnological interventions. Crit. Rev. Biotechnol. 2010, 30, 243–258.7. [Google Scholar] [CrossRef]
- Campbell, R.; Drake, M. In vited review: The effect of native and normative enzymes on the flavor of dried dairy ingredient. J. Dairy Sci. 2013, 96, 4773–4783. [Google Scholar] [CrossRef]
- Horimoto, Y.; Dee, D.; Yada, R. Multifuncional aspartic peptidase prosegments. New Biotechnol. 2009, 25, 318–324. [Google Scholar] [CrossRef] [PubMed]
- McMahon, D.J.; Brown, R.J.; Ernstrom, C.A. Enzymic coagulation of milk casein micelles. J. Dairy Sci. 1984, 67, 745–748. [Google Scholar] [CrossRef]
- Foltmann, B. Prochymosin and chymosin. Meth. Ensym. 1970, 19, 221–436. [Google Scholar]
- Mohanty, A.K.; Mukhapathyay, U.K.; Grover, S.; Batish, V.K. Bovine Chymosin: Production by rDNA technology an application in cheese manufacture. Biotechnol. Adv. 1999, 17, 205–217. [Google Scholar] [CrossRef]
- Langholm Jensen, J.; Molgaard, A.; Navarro Poulsen, J.C.; Harboe, M.K.; Simonsen, J.B.; Lorentzen, A.M.; Hjerno, K.; Van Den Brink, J.M.; Qvist, K.B.; Larsen, S. Camel and bovine chymosin: The relationship between their Structures and cheese-making properties. Acta Crystallogr. D Biol. Crystallogr. 2013, 69, 901–913. [Google Scholar] [CrossRef] [PubMed]
- Morales, J.V.; Muzio, I.C.; Torrens, V.; Jimenez, A.; Silva, A.S.; Quiñones, Y.; Narciandi, R.E.; Herreira, L.S. Expresión del Gene de la Quimosina en Escherichiacoli. Interferon Y Biotecnol. 1989, 6, 242–250. [Google Scholar]
- Pedersen, V.; Christensen, K.; Foltmann, B. Investigations on the activation of bovine prochymosin. Eur. J. Biochem. 1978, 94, 573–580. [Google Scholar] [CrossRef]
- Richter, C.; Tanaca, T.; Yada, R.Y. Mechanism of activation of the gastric aspartic proteinases: Pepsinogen, progastricsin and prochymosin. Biochem. J. 1998, 335, 481–490. [Google Scholar] [CrossRef]
- Noseda, D.G.; Recúpero, M.; Blasco, M.; Bozzo, J.; Galvagno, M.A. Production in stirred-tank bioreactor of recombinant bovine chymosin B by a high-level expression transformant clone of Pichia pastoris. Protein Expr. Purif. 2016, 123, 112–121. [Google Scholar] [CrossRef]
- Foltmann, B.; Szecsi, P.B. Chymosin. In Handbook of Proteolytic Enzymes; Barrett, A.J., Rawlings, N.D., Woessner, J.F., Eds.; Academic Press: London, UK, 1998; pp. 815–819. [Google Scholar]
- Merops: The Peptidase Database. Available online: https://www.ebi.ac.uk/merops/ (accessed on 7 January 2026).
- Beppv, T. The cloning and expression of chymosin (Rennin). Genes. Microorg. Trends Biotech. 1983, 1, 85–89. [Google Scholar] [CrossRef]
- Sardinas, J.L. Rennin enzyme of Endothia parasitica. Appl. Microbiol. 1967, 16, 248–255. [Google Scholar] [CrossRef]
- Beldarrain, A.; Acosta, N.; Montesinos, R.; Mata, M.; Cremata, J. Characterization of Mucor pusillus rennin expressed in Pichia pastoris: Enzymic, spectroscopic and calorimetric studies. Biotechnol. Appl. Biochem. 2000, 31, 77–84. [Google Scholar] [CrossRef]
- Lambertz, C.; Garvey, M.; Klinger, J.; Heesel, D.; Klose, H.; Fischer, R.; Commandeur, U. Challenges and advances in the heterologous expression of cellulolytic enzymes: A review. Biotechnol. Biofuels 2014, 7, 135. [Google Scholar] [CrossRef]
- Choi, J.H.; Keum, K.C.; Lee, S.Y. Production of recombinant proteins by high cell density culture of Escherichia coli. Chem. Eng. Sci. 2006, 61, 876–885. [Google Scholar] [CrossRef]
- Adrio, J.L.; Demain, A.L. Recombinant organisms for production of industrial products. Bioeng. Bugs 2010, 1, 116–131. [Google Scholar] [CrossRef] [PubMed]
- Voet, D.; Voet, J.G. Biochemistry, 4th ed.; Artmed: Porto Alegre, Brazil; 1520p, ISBN 978-0-470-57095-1.
- Arroyo, M. Immobilization of Enzymes. Fundamentals, Methods and Applications; Department of Biochemistry and Molecular Biology I, Biological Sciences Faculty, Complutense University of Madrid: Madrid, Spain, 1990; Available online: https://revistaseug.ugr.es/index.php/ars/article/view/6008 (accessed on 7 January 2026).
- Fernandez, F.M. Immobilization of Laccase: Methods and Potential Industrial Applications. International Doctoral Thesis, University of Vigo, Vigo, Spain, 2013. Available online: http://www.investigo.biblioteca.uvigo.es/xmlui/handle/11093/75 (accessed on 7 January 2026).
- Sahu, A.; Badhr, P.S.; Adivarekar, R.; Aniruddha, M.R.L.; Pandit, A.B. Synthesis of glycinamides using protease immobilized magnetic nanoparticles. Biotechnol. Rep. 2016, 12, 13–15. [Google Scholar] [CrossRef] [PubMed]
- Yazid, N.A.; Barreira, R.; Sanchez, A. The immobilization of protease produced by SSF onto functionalized magnetic nanoparticles: Application in the hydrolysis of different protein sources. J. Mol. Catal. B Enzym. 2016, 133, S230–S242. [Google Scholar] [CrossRef]
- TIchy, P.J.; Kapralek, F.; Jecmen, P. Improved procedure for a high-yield recovery of enzymatically active recombinant calf chymosin from Escherichia coli inclusion bodies. Protein Expr. Purif. 1993, 4, 59–63. [Google Scholar] [CrossRef]
- Mati–Baouche, N.; Elchinger, P.H.; DE-Baynast, H.; Pierre, G.; Delattre, C.; Michaud, P. Chitosan as an adhesive. Eur. Polm. J. 2014, 60, 198–213. [Google Scholar] [CrossRef]
- Elchinger, P.H.; Delattre, C.; Faure, S.; Roy, O.; Badel, S.; Bernardi, T.; Taillefumier, C.; Michaud, P. Immobilization of proteases on chitosan for the development of films with anti-biofilm properties. Int. J. Biol. Macromol. 2015, 72, 1058–1063. [Google Scholar] [CrossRef]
- Delattre, C.; Pierre, G.; Gardian, C.; Adivarekar, R.; Traikia, M.; Elboutachfait, R.; Isogai, A.; Michaud, P. Antioxidant activities of a polyglucuronic acid sodium salt obtained from Tempo—Mediated oxidation of Xantha. Carborhydr. Polym. 2015, 116, 34–41. [Google Scholar] [CrossRef]
- Thakrar, F.J.; Singh, S.R. Catalytic, thermodynamic and structural properties of an immobilized and highly thermostable alkaline protease from a haloalkaliphilic actinobacteria, Nocardiopsis alba TATA-5. Bioresour. Technol. 2019, 278, 150–158. [Google Scholar] [CrossRef] [PubMed]
- Salazar-Leyva, J.A.; Lizardi-Mendoza, J.; Ramirez-Suarez, J.C.; Garcia-Sanchez, G.; Ezquerra-Brauer, J.M.; Valenzuela-Soto, E.M.; Carvallo-Ruiz, M.G.; Lugo-Sanchez, M.E.; y Pacheco-Aguilar, R. Utilization of Chitin and Chitosan-Based Materials for Protease Immobilization: Stabilization Effects and Applications. Rev. Mex. Ing. Química 2014, 13, 129–150. [Google Scholar]
- Pessela, B.C.C.; Fernández-Lafuente, R.; Fuentes, M.; Vian, A.; García, J.L.; Carrascosa, A.V.; Mateo, C.; Guisán, J.M. Reversible immobilization of a thermophilic β-galactosidase via ionic adsorption on PEI-coated Sepabeads. Enzym. Microb. Technol. 2003, 32, 369–374. [Google Scholar] [CrossRef]
- Sánchez-Ramírez, J.; Martínez-Hernández, J.L.; Segura-Cenice, E.P.; Contreras-Esquivel, J.C.; Medina-Morales, M.A.; Aguilar, C.N.; Iliná, A. Immobilization of Lignocellulolytic Enzymes on Magnetic Nanoparticles; Faculty of Chemical Sciences, Autonomous University of Coahuila: Coahuila, Mexico, 2014. [Google Scholar]
- Montejo, M.G. Nanostructured Gold Transducers for Use in the Development of Enzymatic Biosensors. Ph.D. Thesis, Department of Applied Physical Chemistry, Faculty of Sciences, Autonomous University of Madrid, Madrid, Spain, 2013. Available online: http://hdl.handle.net/10486/674408 (accessed on 7 January 2026).
- Shamaila, S.; Zafar, N.; Riaz, S.; Sharif, R.; Nazir, J. Gold Nanoparticles. An Efficient Antimicrobial Agent Against Enteric Bacterial Human Pathogen. Nanomaterials 2016, 60, 71. [Google Scholar] [CrossRef]
- Jin, X.; Frang-Li, J.; Huang, Y.; Dong, X.-Y.; Guo, L.-L.; Yang, L.; Cao, Y.-C.H.; Wei, F.; Zhao, Y.D.; Chen, H. Immobilized protease on the magnetic nanoparticles used for the hydrolysis of rapeseed meals. J. Magn. Magn. Mater. 2010, 322, 2031–2037. [Google Scholar] [CrossRef]
- Rojas, H.A.; Martínez, J.J.; Vargas, H.Y. Magnetic supports selection for Urease immobilization. Eng. Compet. 2014, 16, 289–296. [Google Scholar]
- Menzella, H.G. Comparison of two codon optimization strategies to enhance recombinant protein production in Escherichia coli. Microb. Cell Fact. 2011, 10, 1. [Google Scholar] [CrossRef]
- Froger, A.; Hall, J.E. Transformation of plasmid DNA into E. coli using the heat shock method. J. Vis. Exp. 2007, 6, 253. [Google Scholar]
- Swank, R.T.; MunKres, K.D. Molecular weight analysis of oligopeptides by electrophoresis in polyacrylamide gel with sodium dodecyl sulfate. Anal. Biochem. 1971, 39, 462–477. [Google Scholar] [CrossRef] [PubMed]
- Mateo, C.; Abian, O.; Bernedo, M.; Cuenca, E.; Fuentes, M.; Fernandez-Lorente, G.; Palomo, J.M.; Grazu, V.; Pessela, B.C.C.; Giacomini, C.; et al. Some special features of glyoxyl supports to immobilize proteins. Enzym. Microb. Technol. 2005, 37, 456–462. [Google Scholar] [CrossRef]
- Lee, D.G.; Ponvel, K.M.; Kwang, S.; Ahn, L.S.; Lee, G.H. Immobilization of lipase on hydrophobic nano-sized magnetite particles. J. Mpl. Catal. B Enzyn. 2009, 57, 62–66. [Google Scholar] [CrossRef]
- Uren, J.R.; Robinson, D.E.; Scandella, C.L. Recovery and Activation Process for Microbially Produced Calf Prochymosin. U.S. Patent No. 4,721,673, 26 January 1988. [Google Scholar]
- Tang, B.; Zhang, S.; Yang, K. Assisted refolding of recombinant prochymosin with the aid of protein disulphide isomerase. Biochem. J. 1994, 301, 17–20. [Google Scholar] [CrossRef] [PubMed]
- Tischer, W.; Wedekind, F. Immobilized enzymes: Methods and applications. In Biocatalysis-from Discovery to Application; Springer: Berlin, Germany, 1999; pp. 95–126. [Google Scholar]
- Menzella, H.G.; Gramajo, H.C.; Ceccarelli, E.A. High recovery of prochymosin from inclusion bodies using controlled air oxidation. Protein Expr. Purif. 2002, 252, 248–255. [Google Scholar] [CrossRef]










| Sample | Initial pH | Time of Folding (Hours) | Final pH | Final Volume (mL) | Time of Coagulation (Seg) | Enzymatic Activity (IMCUS/mL) |
|---|---|---|---|---|---|---|
| 1 | 9.1 | 72 | 4.7 | 9 | 501 | 385.7 |
| 2 | 9.1 | 72 | 5.5 | 4 | 362 | 212.7 |
Disclaimer/Publisher’s Note: The statements, opinions and data contained in all publications are solely those of the individual author(s) and contributor(s) and not of MDPI and/or the editor(s). MDPI and/or the editor(s) disclaim responsibility for any injury to people or property resulting from any ideas, methods, instructions or products referred to in the content. |
© 2026 by the authors. Licensee MDPI, Basel, Switzerland. This article is an open access article distributed under the terms and conditions of the Creative Commons Attribution (CC BY) license.
Share and Cite
Gonçalves, P.G.; García-García, P.; Chipaca-Domingos, H.S.; Fernandez-Lorente, G.; Ladero, M.; Pessela, B.C. One-Step Activation, Purification, and Immobilization of Bovine Chymosin via Adsorption on Magnetic Particles. Fermentation 2026, 12, 66. https://doi.org/10.3390/fermentation12010066
Gonçalves PG, García-García P, Chipaca-Domingos HS, Fernandez-Lorente G, Ladero M, Pessela BC. One-Step Activation, Purification, and Immobilization of Bovine Chymosin via Adsorption on Magnetic Particles. Fermentation. 2026; 12(1):66. https://doi.org/10.3390/fermentation12010066
Chicago/Turabian StyleGonçalves, Paulina G., Paz García-García, Honoria S. Chipaca-Domingos, Gloria Fernandez-Lorente, Miguel Ladero, and Benevides C. Pessela. 2026. "One-Step Activation, Purification, and Immobilization of Bovine Chymosin via Adsorption on Magnetic Particles" Fermentation 12, no. 1: 66. https://doi.org/10.3390/fermentation12010066
APA StyleGonçalves, P. G., García-García, P., Chipaca-Domingos, H. S., Fernandez-Lorente, G., Ladero, M., & Pessela, B. C. (2026). One-Step Activation, Purification, and Immobilization of Bovine Chymosin via Adsorption on Magnetic Particles. Fermentation, 12(1), 66. https://doi.org/10.3390/fermentation12010066

