Comprehensive Optimization of Western Blotting
Abstract
1. Introduction
2. Results
2.1. Pre-Mixed Reagents Simplify and Accelerate Gel Preparation
2.2. Modification of the Formula of the Running Buffer to Accelerate Electrophoresis
2.3. Replacement of Methanol with Ethanol in the Electrotransfer Buffer to Reduce Toxicity
2.4. Proteins of Different Molecular Weights Have the Most Suitable Electrotransfer Time
2.5. The 0.45 μm NC Membrane Intercepts Protein Marker Dyes Better Than the 0.45 μm PVDF Membrane
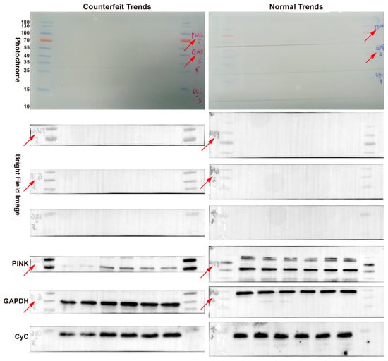
2.6. Cutting the Gel Also Avoids Band Counterfeiting
2.7. Protein-Free Rapid Blocking Buffer Outperforms Skim Milk
3. Discussion
4. Conclusions
5. Materials and Methods
5.1. Reagents
5.2. Tissue Lysates
5.3. Standard Experimental Procedure
5.4. Analysis of Signal Intensities
Author Contributions
Funding
Institutional Review Board Statement
Informed Consent Statement
Data Availability Statement
Conflicts of Interest
References
- Laemmli, U.K. Cleavage of structural proteins during the assembly of the head of bacteriophage T4. Nature 1970, 227, 680–685. [Google Scholar] [CrossRef] [PubMed]
- Towbin, H.; Staehelin, T.; Gordon, J. Electrophoretic transfer of proteins from polyacrylamide gels to nitrocellulose sheets: Procedure and some applications. Proc. Natl. Acad. Sci. USA 1979, 76, 4350–4354. [Google Scholar] [CrossRef] [PubMed]
- Gilda, J.E.; Ghosh, R.; Cheah, J.X.; West, T.M.; Bodine, S.C.; Gomes, A.V. Western Blotting Inaccuracies with Unverified Antibodies: Need for a Western Blotting Minimal Reporting Standard (WBMRS). PLoS ONE 2015, 10, e0135392. [Google Scholar] [CrossRef]
- Zhang, K.; Zhang, J.; Ding, N.; Zellmer, L.; Zhao, Y.; Liu, S.; Liao, D.J. ACTB and GAPDH appear at multiple SDS-PAGE positions, thus not suitable as reference genes for determining protein loading in techniques like Western blotting. Open Life Sci. 2021, 16, 1278–1292. [Google Scholar] [CrossRef] [PubMed]
- Sule, R.; Rivera, G.; Gomes, A.V. Western blotting (immunoblotting): History, theory, uses, protocol and problems. BioTechniques 2023. [CrossRef]
- Penna, A.; Cahalan, M. Western Blotting using the Invitrogen NuPage Novex Bis Tris minigels. J. Vis. Exp. 2007, 7, 264. [Google Scholar] [CrossRef]
- Desai, S.; Dworecki, B.; Cichon, E. Direct immunodetection of antigens within the precast polyacrylamide gel. Anal. Biochem. 2001, 297, 94–98. [Google Scholar] [CrossRef]
- Mahmood, T.; Yang, P.C. Western blot: Technique, theory, and trouble shooting. N. Am. J. Med. Sci. 2012, 4, 429–434. [Google Scholar] [CrossRef]
- Scheller, C.; Krebs, F.; Wiesner, R.; Wätzig, H.; Oltmann-Norden, I. A comparative study of CE-SDS, SDS-PAGE, and Simple Western-Precision, repeatability, and apparent molecular mass shifts by glycosylation. Electrophoresis 2021, 42, 1521–1531. [Google Scholar] [CrossRef]
- Harris, V.M. Protein detection by Simple Western™ analysis. Methods Mol. Biol. 2015, 1312, 465–468. [Google Scholar] [CrossRef]
- Beekman, C.; Janson, A.A.; Baghat, A.; van Deutekom, J.C.; Datson, N.A. Use of capillary Western immunoassay (Wes) for quantification of dystrophin levels in skeletal muscle of healthy controls and individuals with Becker and Duchenne muscular dystrophy. PLoS ONE 2018, 13, e0195850. [Google Scholar] [CrossRef] [PubMed]
- Signore, M.; Manganelli, V.; Hodge, A. Antibody Validation by Western Blotting. Methods Mol. Biol. 2017, 1606, 51–70. [Google Scholar] [PubMed]
- Hagiwara, M. Sodium dodecyl sulfate-polyacrylamide gel electrophoresis and western blotting analyses via colored stacking gels. Anal. Biochem. 2022, 652, 114751. [Google Scholar] [CrossRef] [PubMed]
- Burgess, K.A.; Miller, A.F.; Oceandy, D.; Saiani, A. Western blot analysis of cells encapsulated in self-assembling peptide hydrogels. BioTechniques 2017, 63, 253–260. [Google Scholar] [CrossRef]
- Chaiyarit, S.; Thongboonkerd, V. Comparative analyses of cell disruption methods for mitochondrial isolation in high-throughput proteomics study. Anal. Biochem. 2009, 394, 249–258. [Google Scholar] [CrossRef]
- Jin, S.; Furtaw, M.D.; Chen, H.; Lamb, D.T.; Ferguson, S.A.; Arvin, N.E.; Kennedy, R.T. Multiplexed Western Blotting Using Microchip Electrophoresis. Anal. Chem. 2016, 88, 6703–6710. [Google Scholar] [CrossRef]
- Jin, S.; Anderson, G.J.; Kennedy, R.T. Western blotting using microchip electrophoresis interfaced to a protein capture membrane. Anal. Chem. 2013, 85, 6073–6079. [Google Scholar] [CrossRef][Green Version]
- Dumut, D.C.; Garić, D.; Centorame, A.; Radzioch, D. The gradient-like separation and reduced running time with Tris-Tricine-HEPES buffer for SDS-PAGE. Anal. Biochem. 2022, 653, 114789. [Google Scholar] [CrossRef]
- Villanueva, M.A. Electrotransfer of proteins in an environmentally friendly methanol-free transfer buffer. Anal. Biochem. 2008, 373, 377–379. [Google Scholar] [CrossRef]
- Heda, G.D.; Shrestha, L.; Thapa, S.; Ghimire, S.; Raut, D. Optimization of western blotting for the detection of proteins of different molecular weight. BioTechniques 2020, 68, 318–324. [Google Scholar] [CrossRef]
- Kinoshita-Kikuta, E.; Kinoshita, E.; Matsuda, A.; Koike, T. Tips on improving the efficiency of electrotransfer of target proteins from Phos-tag SDS-PAGE gel. Proteomics 2014, 14, 2437–2442. [Google Scholar] [CrossRef] [PubMed]
- Garić, D.; Humbert, L.; Fils-Aimé, N.; Korah, J.; Zarfabian, Y.; Lebrun, J.J.; Ali, S. Development of buffers for fast semidry transfer of proteins. Anal. Biochem. 2013, 441, 182–184. [Google Scholar] [CrossRef] [PubMed]
- Karey, K.P.; Sirbasku, D.A. Glutaraldehyde fixation increases retention of low molecular weight proteins (growth factors) transferred to nylon membranes for western blot analysis. Anal. Biochem. 1989, 178, 255–259. [Google Scholar] [CrossRef]
- Xu, J.; Sun, H.; Huang, G.; Liu, G.; Li, Z.; Yang, H.; Dong, W. A fixation method for the optimisation of western blotting. Sci. Rep. 2019, 9, 6649. [Google Scholar] [CrossRef]
- Ferguson, R.E.; Carroll, H.P.; Harris, A.; Maher, E.R.; Selby, P.J.; Banks, R.E. Housekeeping proteins: A preliminary study illustrating some limitations as useful references in protein expression studies. Proteomics 2005, 5, 566–571. [Google Scholar] [CrossRef]
- Shi, J.; Huang, T.; Chai, S.; Guo, Y.; Wei, J.; Dou, S.; Liu, G. Identification of Reference and Biomarker Proteins in Chlamydomonas reinhardtii Cultured under Different Stress Conditions. Int. J. Mol. Sci. 2017, 18, 1822. [Google Scholar] [CrossRef] [PubMed]
- Kothari, V.; Mathews, S.T. Detection of Blotted Proteins: Not All Blockers Are Created Equal. Methods Mol. Biol. 2015, 1314, 27–32. [Google Scholar] [CrossRef]
- Galva, C.; Gatto, C.; Milanick, M. Soymilk: An effective and inexpensive blocking agent for immunoblotting. Anal. Biochem. 2012, 426, 22–23. [Google Scholar] [CrossRef]
- Haycock, J.W. Polyvinylpyrrolidone as a blocking agent in immunochemical studies. Anal. Biochem. 1993, 208, 397–399. [Google Scholar] [CrossRef]
- Cui, Y. Optimization of blocking conditions for fluorescent Western blot. Anal. Biochem. 2020, 593, 113598. [Google Scholar] [CrossRef]





| Voltage | Time (RT/LT min) | RT pH (Internal Buffer/External Buffer) | LT pH (Internal Buffer/External Buffer) |
|---|---|---|---|
| 150 V | 45/55 | 8.52/8.31 | 8.47/8.31 |
| 200 V | 35/40 | 8.59/8.30 | 8.48/8.33 |
| 250 V | 23/29 | 8.53/8.39 | 8.59/8.31 |
| 300 V | 22/27 | 8.64/8.32 | 8.57/8.29 |
Disclaimer/Publisher’s Note: The statements, opinions and data contained in all publications are solely those of the individual author(s) and contributor(s) and not of MDPI and/or the editor(s). MDPI and/or the editor(s) disclaim responsibility for any injury to people or property resulting from any ideas, methods, instructions or products referred to in the content. |
© 2023 by the authors. Licensee MDPI, Basel, Switzerland. This article is an open access article distributed under the terms and conditions of the Creative Commons Attribution (CC BY) license (https://creativecommons.org/licenses/by/4.0/).
Share and Cite
Liu, D.; Wu, H.; Cui, S.; Zhao, Q. Comprehensive Optimization of Western Blotting. Gels 2023, 9, 652. https://doi.org/10.3390/gels9080652
Liu D, Wu H, Cui S, Zhao Q. Comprehensive Optimization of Western Blotting. Gels. 2023; 9(8):652. https://doi.org/10.3390/gels9080652
Chicago/Turabian StyleLiu, Dishiwen, Haoliang Wu, Shengyu Cui, and Qingyan Zhao. 2023. "Comprehensive Optimization of Western Blotting" Gels 9, no. 8: 652. https://doi.org/10.3390/gels9080652
APA StyleLiu, D., Wu, H., Cui, S., & Zhao, Q. (2023). Comprehensive Optimization of Western Blotting. Gels, 9(8), 652. https://doi.org/10.3390/gels9080652

