Alleviating Effect of a Magnetite (Fe3O4) Nanogel against Waterborne-Lead-Induced Physiological Disturbances, Histopathological Changes, and Lead Bioaccumulation in African Catfish
Abstract
1. Introduction
2. Results
2.1. MNG Characterization
2.2. Absorption of Pb Ions by MNG
2.3. Mortality and Clinical Observations
2.4. Hepato-Renal Function Biomarkers
2.5. Protein Profile and Immune Status
2.6. Hepatic Oxidant/Antioxidant Status
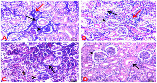
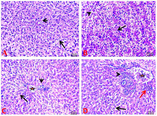
2.7. Histopathological Findings
2.8. Bioaccumulation of Pb2+ in Fish Muscles
3. Discussion
4. Conclusions
5. Materials and Methods
5.1. Synthesis and Characterization of MNG
5.2. Preparation of Pb Ion Solution
5.3. Adsorption Capacity of MNG
5.4. Ethical Agreement and Fish Acclimation
5.5. Assessing the Initial Concentration of MNG
5.6. Experimental Design
5.7. Sampling
5.8. Evaluation of Hepato-Renal Function Biomarkers
5.9. Immune Assays
5.10. Hepatic Oxidant/Antioxidant Assays
5.11. Histopathological Investigation
5.12. Determination of Pb Residues in Fish Muscles
5.13. Data Analysis
Author Contributions
Funding
Institutional Review Board Statement
Informed Consent Statement
Data Availability Statement
Acknowledgments
Conflicts of Interest
References
- Yap, C.K.; Al-Mutairi, K.A. Ecological-health risk assessments of heavy metals (Cu, Pb, and Zn) in aquatic sediments from the ASEAN-5 emerging developing countries: A review and synthesis. Biology 2022, 11, 7. [Google Scholar] [CrossRef] [PubMed]
- Feng, W.; Wang, Z.; Xu, H. Species-specific bioaccumulation of trace metals among fish species from Xincun Lagoon, South China Sea. Sci. Rep. 2020, 10, 21800. [Google Scholar] [CrossRef] [PubMed]
- Bella, C.D.; Calagna, A.; Cammilleri, G.; Chembri, P.; Monaco, D.L.; Ciprì, V.; Battaglia, L.; Barbera, G.; Ferrantelli, V.; Sadok, S.; et al. Risk assessment of cadmium, lead, and mercury on human health in relation to the consumption of farmed sea bass in Italy: A meta-analytical approach. Front. Mar. Sci. 2021, 8, 616488. [Google Scholar] [CrossRef]
- El-Bouhy, Z.M.; Reda, R.M.; Mahboub, H.H.; Gomaa, F.N. Bioremediation effect of pomegranate peel on subchronic mercury immunotoxicity on African catfish, Clarias gariepinus. Environ. Sci. Pollut. Res. 2021, 28, 2219–2235. [Google Scholar] [CrossRef]
- El-Bouhy, Z.M.; Reda, R.M.; Mahboub, H.H.; Gomaa, F.N. Chelation of mercury intoxication and testing different protective aspects of Lactococcus lactis probiotic in African catfish. Aquaculture Res. 2021, 52, 3815–3828. [Google Scholar] [CrossRef]
- Apiamu, A.; Osawaru, S.U.; Asagba, S.O.; Evuen, U.F.; Achuba, F.I. Exposure of African catfish (Clarias gariepinus) to lead and zinc modulates membrane-bound transport protein: A plausible effect on Na+/K+-ATPase activity. Biol. Trace Elem. Res. 2022, 200, 4160–4170. [Google Scholar] [CrossRef]
- Garai, P.; Banerjee, P.; Mondal, P.; Saha, N.C. Effect of heavy metals on fishes: Toxicity and bioaccumulation. J. Clin. Toxicol. 2021, 18, S18:001. [Google Scholar] [CrossRef]
- Lee, J.W.; Choi, H.; Hwang, U.K.; Kang, J.C.; Kang, Y.J.; Kim, K.I. Toxic effects of lead exposure on bioaccumulation, oxidative stress, neurotoxicity, and immune responses in fish: A review. Environ. Toxicol. Pharmacol. 2019, 68, 101–108. [Google Scholar] [CrossRef]
- Abdel-Warith, A.A.; Younis, E.M.I.; Al-Asgah, N.A.; Rady, A.M.; Allam, H.Y. Bioaccumulation of lead nitrate in tissues and its effects on hematological and biochemical parameters of Clarias gariepinus. Saudi J. Biol. Sci. 2020, 27, 840–845. [Google Scholar] [CrossRef]
- Abdel Rahman, A.N.; ElHady, M.; Hassanin, M.E.; Mohamed, A.A.R. Alleviative effects of dietary Indian lotus leaves on heavy metals-induced hepato-renal toxicity, oxidative stress, and histopathological alterations in Nile tilapia, Oreochromis niloticus (L.). Aquaculture 2019, 509, 198–208. [Google Scholar] [CrossRef]
- Mahboub, H.H.; Shahin, K.; Mahmoud, S.M.; Altohamy, D.E.; Husseiny, W.A.; Mansour, D.A.; Shalaby, S.I.; Gaballa, M.M.S.; Shaalan, M.; Alkafafy, M.; et al. Silica nanoparticles are novel aqueous additive mitigating heavy metals toxicity and improving the health of African catfish, Clarias gariepinus. Aquat. Toxicol. 2022, 249, 106238. [Google Scholar] [CrossRef]
- Alandiyjany, M.N.; Kishawy, A.T.Y.; Hassan, A.A.; Eldoumani, H.; Elazab, S.T.; El-Mandrawy, S.A.M.; Saleh, A.A.; El Sawy, N.A.; Attia, Y.A.; Arisha, A.H.; et al. Nano-silica and magnetized-silica mitigated lead toxicity: Their efficacy on bioaccumulation risk, performance, and apoptotic targeted genes in Nile tilapia (Oreochromis niloticus). Aquat. Toxicol. 2022, 242, 106054. [Google Scholar] [CrossRef]
- Abdel Rahman, A.N.; Ismail, S.H.; Fouda, M.M.S.; Abdelwarith, A.A.; Younis, E.M.; Khalil, S.S.; El-Saber, M.M.; Abdelhamid, A.E.; Davies, S.J.; Ibrahim, R.E. Impact of Streptococcus agalactiae challenge on immune response, antioxidant status and hepatorenal indices of Nile tilapia: The palliative role of chitosan white poplar nanocapsule. Fishes 2023, 8, 199. [Google Scholar] [CrossRef]
- Mahboub, H.H.; Beheiry, R.R.; Shahin, S.E.; Behairy, A.; Khedr, M.H.E.; Ibrahim, S.M.; Elshopakey, G.E.; Daoush, W.M.; Altohamy, D.E.; Ismail, T.A.; et al. Adsorptivity of mercury on magnetite nano-particles and their influences on growth, economical, hemato-biochemical, histological parameters and bioaccumulation in Nile tilapia (Oreochromis niloticus). Aquat. Toxicol. 2021, 235, 105828. [Google Scholar] [CrossRef]
- Kavas, H.; Günay, M.; Baykal, A.; Toprak, M.S.; Sozeri, H.; Aktaş, B. Negative Permittivity of Polyaniline-Fe3O4 Nanocomposite. J. Inorg. Organomet. Polym. Mater. 2013, 23, 306–314. [Google Scholar] [CrossRef]
- Shaker, S.; Zafarian, S.; Chakra, C.S.; Rao, K.V. Preparation and characterization of magnetite nanoparticles by sol-gel method for water treatment. Int. J. Innov. Res. Technol. Sci. Eng. 2013, 2, 2969–2973. [Google Scholar]
- Lemine, O.M.; Omri, K.; Zhang, B.; El Mir, L.; Sajieddine, M.; Alyamani, A.; Bououdina, M. Sol–gel synthesis of 8nm magnetite (Fe3O4) nanoparticles and their magnetic properties. Superlattices Microstruct. 2012, 52, 793–799. [Google Scholar] [CrossRef]
- Cui, H.; Liu, Y.; Ren, W. Structure switch between α-Fe2O3, γ-Fe2O3 and Fe3O4 during the large scale and low temperature sol—Gel synthesis of nearly monodispersed iron oxide nanoparticles. Adv. Powder Technol. 2013, 2, 93–97. [Google Scholar] [CrossRef]
- Neyaz, N.; Zarger, M.S.; Siddiq, W.A. Synthesis and characterisation of modified magnetite super paramagnetic nano composite for removal of toxic metals from ground water. Int. J. Environ. Sci. 2014, 5, 260–269. Available online: https://www.cabdirect.org/cabdirect/abstract/20153136507 (accessed on 6 July 2023).
- Zhang, H.; Zhai, Y.; Wang, J. New progress and prospects: The application of nanogel in drug delivery. Mater. Sci. Eng. C 2016, 60, 560–568. [Google Scholar] [CrossRef]
- Kaoud, R.M.; Heikal, E.J.; Jaafar, L.M. Novel nanogel applications: A review. WJAHR 2022, 6, 11–15. [Google Scholar]
- Pinellia, F.; Saadatia, M.; Zareb, E.N.; Makvandic, P.; Masia, M.; Filippo, A.S. A perspective on the applications of functionalized nanogels: Promises and challenges. Int. Mater. Rev. 2023, 68, 1–25. [Google Scholar] [CrossRef]
- Anandharamakrishnan, C. Trends and impact of Nanotechnology in agro-Food sector. In Innovative Food Processing Technologies; Knoerzer, K., Muthukumarappan, K., Eds.; Elsevier: Oxford, UK, 2021; pp. 523–531. [Google Scholar] [CrossRef]
- Yiamsawas, D.; Kangwansupamonkon, W.; Kiatkamjornwong, S. Lignin-based nanogels for therelease of payloads in alkaline conditions. Eur. Polym. J. 2021, 145, 110241. [Google Scholar] [CrossRef]
- Shoueir, K.R.; Sarhan, A.A.; Atta, A.M. Macrogel andnanogel networks based on crosslinked poly (vinylalcohol) for adsorption of methylene blue from aquasystem. Environ. Nanotechnol. Monit. Manag. 2016, 5, 62–73. [Google Scholar] [CrossRef]
- Shah, M.T.; Alveroglu, E. Facile synthesis of nanogelsmodified Fe3O4@Ag NPs for the efficient adsorption of bovine & human serum albumin. Mater. Sci. Eng. C 2021, 118, 111390. [Google Scholar] [CrossRef]
- Abdulhady, Y.A.; El-Shazly, M.M. Removal of some heavy metals and polluted antibacterial activities via synthesized magnetic nano-composite of iron oxide and derivatives: Chemical and microbial treatment case study: Al tard-bilraha drain Ismailia, EGYPT. Egypt J. Desert Res. 2018, 68, 15–36. [Google Scholar] [CrossRef]
- Raj, L.; Das, A.P. Lead pollution: Impact on environment and human health and approach for a sustainable solution. J. Environ. Chem. Ecotoxicol. 2023, 5, 79–85. [Google Scholar] [CrossRef]
- Sarma, G.K.; Sen Gupta, S.; Bhattacharyya, K.G. Nanomaterials as versatile adsorbents for heavy metal ions in water: A review. Environ. Sci. Poll. Res. 2019, 26, 6245–6278. [Google Scholar] [CrossRef]
- Emenike, E.C.; Iwuozor, K.O.; Anidiobi, S.U. Heavy metal pollution in aquaculture: Sources, impacts and mitigation techniques. Biol. Trace Elem. Res. 2022, 200, 4476–4492. [Google Scholar] [CrossRef]
- Daoush, W.M. Co-precipitation and magnetic properties of magnetite nanoparticles for potential biomedical applications. J. Nanomed. Res. 2017, 5, 118–123. [Google Scholar] [CrossRef]
- Rajput, S.; Pittman, C.U.; Mohan, D. Magnetic magnetite (Fe3O4) nanoparticle synthesis and applications for lead (Pb2+) and chromium (Cr6+) removal from water. J. Colloid Interface Sci. 2016, 468, 334–346. [Google Scholar] [CrossRef]
- Hong, J.; Xie, J.; Mirshahghassemi, S.; Lead, J. Metal (Cd, Cr, Ni, Pb) removal from environmentally relevant waters using polyvinylpyrrolidone-coated magnetite nanoparticles. RSC Adv. 2020, 10, 3266–3276. [Google Scholar] [CrossRef]
- Alfakheri, M.; Elarabany, N.; Bahnasawy, M. Effects of lead on some oxidative stress of the African catfish, Clarias gariepinus. J. Egypt. Acad. Soc. Environ. Dev. 2018, 19, 171–175. [Google Scholar] [CrossRef][Green Version]
- Ibrahim, R.E.; Elshopakey, G.E.; Abd El-Rahman, G.I.; Ahmed, A.I.; Altohamy, D.E.; Zaglool, A.W.; Younis, E.M.; Abdelwarith, A.A.; Davies, S.J.; Al-Harthi, H.F. Palliative role of colloidal silver nanoparticles synthetized by moringa against Saprolegnia spp. infection in Nile Tilapia: Biochemical, immuno-antioxidant response, gene expression, and histopathological investigation. Aquac. Rep. 2022, 26, 101318. [Google Scholar] [CrossRef]
- Abdel Rahman, A.N.; Elshopakey, G.E.; Behairy, A.; Altohamy, D.E.; Ahmed, A.I.; Farroh, K.Y.; Alkafafy, M.; Shahin, S.A.; Ibrahim, R.E. Chitosan-Ocimum basilicum nanocomposite as a dietary additive in Oreochromis niloticus: Effects on immune-antioxidant response, head kidney gene expression, intestinal architecture, and growth. Fish Shellfish Immunol. 2022, 128, 425–435. [Google Scholar] [CrossRef]
- Alexander, C.; Sahu, N.; Pal, A.; Akhtar, M. Haemato-immunological and stress responses of Labeo rohita (Hamilton) fingerlings: Effect of rearing temperature and dietary gelatinized carbohydrate. J. Anim. Physiol. Anim. Nutr. 2011, 95, 653–663. [Google Scholar] [CrossRef]
- Shah, S.L. Alterations in the immunological parameters of tench (Tinca tinca L. 1758) after acute and chronic exposure to lethal and sublethal treatments with mercury, cadmium and lead. Turkish. J. Vet. Anim. Sci. 2005, 29, 1163–1168. [Google Scholar]
- Huang, L.; Liu, Z.; Wu, C.; Lin, J.; Liu, N. Magnetic nanoparticles enhance the cellular immune response of dendritic cell tumor vaccines by realizing the cytoplasmic delivery of tumor antigens. Bioeng. Transl. Med. 2023, 8, e10400. [Google Scholar] [CrossRef]
- Soto, M.; Marigomez, I.; Cancio, I. Biological Aspects of Metal Accumulation and Storage; University of the Basque Country: Leioa, Spain, 2003. [Google Scholar]
- Akturk, O.; Demirin, H.; Sutcu, R.; Yilmaz, N.; Koylu, H.; Altuntas, I. The effects of diazinon on lipid peroxidation and antioxidant enzymes in rat heart and ameliorating role of vitamin E and vitamin C. Cell Biol. Toxicol. 2006, 22, 455–461. [Google Scholar] [CrossRef]
- Abdel-Tawwab, M.; El-Sayed, G.O.; Monier, M.N.; Shady, S.H. Dietary EDTA supplementation improved growth performance, biochemical variables, antioxidant response, and resistance of Nile tilapia, Oreochromis niloticus (L.) to environmental heavy metals exposure. Aquaculture 2017, 473, 478–486. [Google Scholar] [CrossRef]
- Olojo, E.A.A.; Olurin, K.B.; Mbaka, G.; Oluwemimo, A.D. Histopathology of the gill and liver tissues of the African catfish Clarias gariepinus exposed to lead. African J. Biotechnol. 2005, 4, 117–122. [Google Scholar]
- Mondal, P.; Garai, P.; Chatterjee, A.; Saha, N.C. Toxicological and therapeutic effects of neem (Azadirachta indica) leaf powder in hole-in-the-head (HITH) disease of fish Anabas testudineus. Aquac Res. 2020, 52, 715–723. [Google Scholar] [CrossRef]
- Răcuciu, M.; Tecucianu, A.; Oancea, S. Impact of magnetite nanoparticles coated with aspartic acid on the growth, antioxidant enzymes activity and chlorophyll content of maize. Antioxidants 2022, 11, 1193. [Google Scholar] [CrossRef]
- Behera, T.; Swain, P.; Rangacharulu, P.V.; Samanta, M. Nano-Fe as feed additive improves the hematological and immunological parameters of fish, Labeo rohita H. Appl. Nanosci. 2014, 4, 687–694. [Google Scholar] [CrossRef]
- Ates, M.; Demir, V.; Arslan, Z.; Kaya, H.; Yılmaz, S.; Camas, M. Chronic exposure of tilapia (Oreochromis niloticus) to iron oxide nanoparticles: Effects of particle morphology on accumulation, elimination, hematology and immune responses. Aquat. Toxicol. 2016, 177, 22–32. [Google Scholar] [CrossRef]
- Yin, Y.; Hu, B.; Yuan, X. Nanogel: A versatile nano-delivery system for biomedical applications. Pharmaceutics 2018, 12, 290. [Google Scholar] [CrossRef]
- El-Naggar, M.E.; Radwan, E.K.; El-Wakeel, S.T.; Kafafy, H.; Gad-Allah, T.A.; El-Kalliny, A.S.; Shaheen, T.I. Synthesis, characterization and adsorption properties of microcrystalline cellulose based nanogel for dyes and heavy metals removal. Int. J. Biol. Macromol. 2018, 113, 248–258. [Google Scholar] [CrossRef]
- Neamtu, I.; Rusu, A.G.; Diaconu, A.; Nita, L.E.; Chiriac, A.P. Basic concepts and recent advances in nanogels as carriers for medical applications. Drug Deliv. 2017, 24, 539–557. [Google Scholar] [CrossRef]
- Hamdy, A.; Ismail, S.H.; Ebnalwaled, A.A.; Mohamed, G.G. Characterization of superparamagnetic/monodisperse PEG-coated magnetite nanoparticles sonochemically prepared from the hematite ore for Cd (II) removal from aqueous solutions. J. Inorg. Organomet. Polym. Mater. 2021, 31, 397–414. [Google Scholar] [CrossRef]
- Hassan, G.K.; Abdel-Karim, A.; Al-Shemy, M.T.; Rojas, P.; Sanz, J.L.; Ismail, S.H.; Mohamed, G.G.; El-gohary, F.A.; Al-Sayed, A. Harnessing Cu@Fe3O4 core shell nanostructure for biogas production from sewage sludge: Experimental study and microbial community shift. Renew. Energy 2022, 188, 1059–1071. [Google Scholar] [CrossRef]
- Košak, A.; Lobnik, A.; Bauman, M. Adsorption of mercury (II), lead (II), cadmium (II) and zinc (II) from aqueous solutions using mercapto-modified silica particles. Int. J. Appl. Ceram. 2015, 12, 461–472. [Google Scholar] [CrossRef]
- Phippen, B.; Horvath, C.; Nordin, R.; Nagpal, N. Ambient Water Quality Guidelines for Iron, Prepared for Science and Information Branch, Water Stewardship Division; Ministry of Environment: Madrid, Spain, 2008; p. 45.
- Kasozi, N.; Tandlich, R.; Fick, M.; Kaiser, H.; Wilhelmi, B. Iron supplementation and management in aquaponic systems: A review. Aquac. Rep. 2019, 15, 100221. [Google Scholar] [CrossRef]
- Neiffer, D.L.; Stamper, M.A. Fish sedation, anesthesia, analgesia, and euthanasia: Considerations, methods, and types of drugs. ILAR J. 2009, 50, 343–360. [Google Scholar] [CrossRef]
- Lee, Y.C.; Yang, D. Determination of lysozyme activities in a microplate format. Anal. Biochem. 2002, 310, 223. [Google Scholar] [CrossRef]
- Abdollahi, R.; Heidari, B.; Aghamaali, M. Evaluation of lysozyme, complement C3, and total protein in different developmental stages of Caspian kutum (Rutilus frisii kutum K.). Arch. Pol. Fish. 2016, 24, 15–22. [Google Scholar] [CrossRef]
- Bai, F.; Ni, B.; Liu, M.; Feng, Z.; Xiong, Q.; Xiao, S.; Shao, G. Mycoplasma hyopneumoniae-derived lipid-associated membrane proteins induce apoptosis in porcine alveolar macrophage via increasing nitric oxide production, oxidative stress, and caspase-3 activation. Vet. Immunol. Immunopathol. 2013, 155, 155–161. [Google Scholar] [CrossRef]
- Schultz, L. Methods in Clinical Chemistry; CV Mosby Company: St. Louis, MO, USA, 1987; pp. 742–746. [Google Scholar]
- Siroka, Z.; Krijt, J.; Randak, T.; Svobodova, Z.; Peskova, G.; Fuksa, J.; Hajslova, J.; Jarkovsky, J.; Janska, M. Organic pollutant contamination of river Elbe assessed by biochemical markers. Acta Vet. 2005, 74, 293–303. [Google Scholar] [CrossRef]
- Ohkawa, H.; Ohishi, N.; Yagi, K. Assay for lipid peroxides in animal tissues by thiobarbituric acid reaction. Anal. Biochem. 1979, 95, 351–358. [Google Scholar] [CrossRef]
- Beutler, E.; Duron, O.; Kelly, B.M. Improved method for the determination of blood glutathione. J. Lab. Clin. Med. 1963, 61, 882–888. Available online: https://pubmed.ncbi.nlm.nih.gov/13967893/ (accessed on 6 July 2023).
- Velkova-Jordanoska, L.; Kostoski, G.; Jordanoska, B. Antioxidative enzymes in fish as biochemical indicators of aquatic pollution. Bulg. J. Agric. Sci. 2008, 14, 235–237. [Google Scholar]
- Aksnes, A.; Njaa, L.R. Catalase, glutathione peroxidase and superoxide dismutase in different fish species. Camp. Biochem. Physiol. 1981, 69B, 893–896. [Google Scholar] [CrossRef]
- Suvarna, K.S.; Layton, C.; Bancroft, J.D. Bancroft’s Theory and Practice of Histological Techniques E-Book; Elsevier Health Sciences: Amsterdam, The Netherlands, 2018; p. 672. [Google Scholar]
- Goldberg, E.D.; Koide, M.; Hodge, V.; Flegel, A.R.; Martin, J. US mussel watch: 1977–1978 results on trace metals and radionuclides. Estuar. Coast. Shelf Sci. 1993, 16, 69–93. [Google Scholar] [CrossRef]
- Yacoub, A.M.; Gad, N.S. Accumulation of some heavy metals and biochemical alterations in muscles of Oreochromis niloticus from the River Nile in Upper Egypt. Int. J. Environ. Sci. Eng. 2012, 3, 1–10. [Google Scholar]
- Kaplan, E.L.; Meier, P. Nonparametric-estimation from incomplete observations. J. Am. Stat. Assoc. 1958, 53, 457–481. [Google Scholar] [CrossRef]









| Parameters | Control | MNG | Pb | MNG + Pb |
|---|---|---|---|---|
| ALT (U L−1) | 16.33 ± 0.93 c | 17.75 ± 1.91 c | 25.08 ± 1.17 a | 20.25 ± 1.23 b |
| AST (U L−1) | 44.95 ± 1.22 c | 46.70 ± 0.85 c | 94.33 ± 2.20 a | 82.58 ± 1.68 b |
| ALP (U L−1) | 34.24 ± 1.08 c | 34.88 ± 1.35 c | 50.20 ± 1.53 a | 41.12 ± 0.62 b |
| Urea (mg dL−1) | 1.44 ± 0.05 c | 1.56 ± 0.04 c | 2.75 ± 0.10 a | 2.21 ± 0.05 b |
| Creatinine (mg dL−1) | 0.27 ± 0.02 b | 0.30 ± 0.03 b | 0.49 ± 0.50 a | 0.34 ± 0.01 b |
| Parameters | Control | MNG | Pb | MNG + Pb |
|---|---|---|---|---|
| MDA (nmol mg−1) | 0.64 ± 0.15 c | 0.99 ± 0.05 c | 11.55 ± 0.58 a | 3.06 ± 0.32 b |
| GSH (ng mg−1) | 113.57 ± 1.84 b | 143.76 ± 2.42 a | 41.21 ± 0.43 d | 71.69 ± 1.19 c |
| SOD (U mg−1) | 88.23 ± 1.79 b | 157.67 ± 3.55 a | 12.73 ± 0.49 d | 62.82 ± 1.31 c |
| CAT (ng mg−1) | 22.20 ± 0.57 b | 47.30 ± 1.65 a | 4.91 ± 0.19 d | 8.79 ± 0.15 c |
| Conc. (mg L−1) | Mortality (n = 10) | Clinical Observations | ||
|---|---|---|---|---|
| Erratic Swimming | Loss of Escape Reflex | External Symptoms (Hemorrhages, Darkness, Fin Rot, and Ulcerations) | ||
| 0.0 | 0/10 | - | - | - |
| 0.2 | 0/10 | - | - | - |
| 0.4 | 0/10 | - | - | - |
| 0.6 | 0/10 | - | - | - |
| 0.8 | 0/10 | - | - | - |
| 1 | 0/10 | - | - | - |
| 1.2 | 0/10 | - | - | - |
| 1.4 | 0/10 | - | - | - |
Disclaimer/Publisher’s Note: The statements, opinions and data contained in all publications are solely those of the individual author(s) and contributor(s) and not of MDPI and/or the editor(s). MDPI and/or the editor(s) disclaim responsibility for any injury to people or property resulting from any ideas, methods, instructions or products referred to in the content. |
© 2023 by the authors. Licensee MDPI, Basel, Switzerland. This article is an open access article distributed under the terms and conditions of the Creative Commons Attribution (CC BY) license (https://creativecommons.org/licenses/by/4.0/).
Share and Cite
Rahman, A.N.A.; Elkhadrawy, B.A.; Mansour, A.T.; Abdel-Ghany, H.M.; Yassin, E.M.M.; Elsayyad, A.; Alwutayd, K.M.; Ismail, S.H.; Mahboub, H.H. Alleviating Effect of a Magnetite (Fe3O4) Nanogel against Waterborne-Lead-Induced Physiological Disturbances, Histopathological Changes, and Lead Bioaccumulation in African Catfish. Gels 2023, 9, 641. https://doi.org/10.3390/gels9080641
Rahman ANA, Elkhadrawy BA, Mansour AT, Abdel-Ghany HM, Yassin EMM, Elsayyad A, Alwutayd KM, Ismail SH, Mahboub HH. Alleviating Effect of a Magnetite (Fe3O4) Nanogel against Waterborne-Lead-Induced Physiological Disturbances, Histopathological Changes, and Lead Bioaccumulation in African Catfish. Gels. 2023; 9(8):641. https://doi.org/10.3390/gels9080641
Chicago/Turabian StyleRahman, Afaf N. Abdel, Basma Ahmed Elkhadrawy, Abdallah Tageldein Mansour, Heba M. Abdel-Ghany, Engy Mohamed Mohamed Yassin, Asmaa Elsayyad, Khairiah Mubarak Alwutayd, Sameh H. Ismail, and Heba H. Mahboub. 2023. "Alleviating Effect of a Magnetite (Fe3O4) Nanogel against Waterborne-Lead-Induced Physiological Disturbances, Histopathological Changes, and Lead Bioaccumulation in African Catfish" Gels 9, no. 8: 641. https://doi.org/10.3390/gels9080641
APA StyleRahman, A. N. A., Elkhadrawy, B. A., Mansour, A. T., Abdel-Ghany, H. M., Yassin, E. M. M., Elsayyad, A., Alwutayd, K. M., Ismail, S. H., & Mahboub, H. H. (2023). Alleviating Effect of a Magnetite (Fe3O4) Nanogel against Waterborne-Lead-Induced Physiological Disturbances, Histopathological Changes, and Lead Bioaccumulation in African Catfish. Gels, 9(8), 641. https://doi.org/10.3390/gels9080641

