Beyond Sol-Gel: Molecular Gels with Different Transitions
Abstract
1. Introduction
2. Gel–Gel Transitions
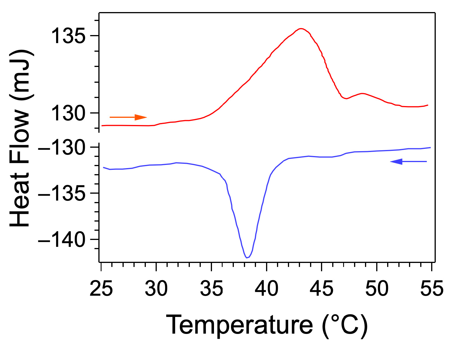
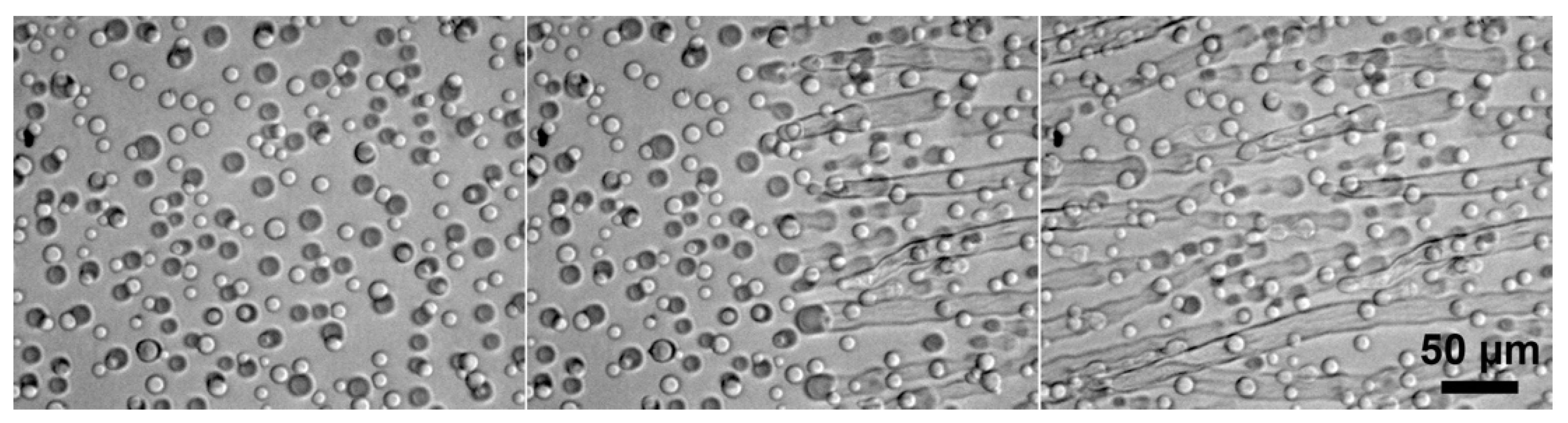
2.1. Thermoreversible Transitions


2.2. Irreversible Transitions
3. Gel-to-Crystal Transitions
4. Liquid–Liquid Phase Separation

5. Eutectic Transitions
6. Syneresis
7. Conclusions
Author Contributions
Funding
Institutional Review Board Statement
Informed Consent Statement
Data Availability Statement
Acknowledgments
Conflicts of Interest
References
- Low Molecular Mass Gelators—Design, Self-Assembly, Function; Fages, F., Ed.; Topics in Current Chemistry; Springer: Berlin/Heidelberg, Germany, 2005; Volume 256, ISBN 978-3-540-25321-1. [Google Scholar]
- Molecular Gels: Materials with Self-Assembled Fibrillar Networks; Weiss, R.G., Terech, P., Eds.; Springer: Dordrecht, The Netherlands, 2006; ISBN 978-1-4020-3352-0. [Google Scholar]
- Guenet, J.-M. Organogels: Thermodynamics, Structure, Solvent Role, and Properties; Springer Briefs in Materials; Springer International Publishing: Berlin/Heidelberg, Germany, 2016; ISBN 978-3-319-33176-8. [Google Scholar]
- Weiss, R.G. Molecular Gels; Monographs in Supramolecular Chemistry; The Royal Society of Chemistry: London, UK, 2018; p. 376. ISBN 978-1-78801-111-2. [Google Scholar]
- Terech, P.; Weiss, R.G. Low Molecular Mass Gelators of Organic Liquids and the Properties of Their Gels. Chem. Rev. 1997, 97, 3133–3160. [Google Scholar] [CrossRef] [PubMed]
- van Esch, J.H.; Feringa, B.L. New Functional Materials Based on Self-Assembling Organogels: From Serendipity towards Design. Angew. Chem. Int. Ed. 2000, 39, 2263–2266. [Google Scholar] [CrossRef]
- Estroff, L.A.; Hamilton, A.D. Water Gelation by Small Organic Molecules. Chem. Rev. 2004, 104, 1201–1218. [Google Scholar] [CrossRef]
- Sangeetha, N.M.; Maitra, U. Supramolecular Gels: Functions and Uses. Chem. Soc. Rev. 2005, 34, 821–836. [Google Scholar] [CrossRef] [PubMed]
- Dastidar, P. Supramolecular Gelling Agents: Can They Be Designed? Chem. Soc. Rev. 2008, 37, 2699–2715. [Google Scholar] [CrossRef] [PubMed]
- Escuder, B.; Miravet, J.F. Functional Molecular Gels; Soft Matter Series; The Royal Society of Chemistry: London, UK, 2013; p. 319. ISBN 978-1-84973-665-7. [Google Scholar]
- Piepenbrock, M.-O.M.; Lloyd, G.O.; Clarke, N.; Steed, J.W. Metal- and Anion-Binding Supramolecular Gels. Chem. Rev. 2010, 110, 1960–2004. [Google Scholar] [CrossRef]
- Dawn, A.; Shiraki, T.; Haraguchi, S.; Tamaru, S.; Shinkai, S. What Kind of “Soft Materials” Can We Design from Molecular Gels? Chem.—Asian J. 2011, 6, 266–282. [Google Scholar] [CrossRef]
- Yu, G.; Yan, X.; Han, C.; Huang, F. Characterization of Supramolecular Gels. Chem. Soc. Rev. 2013, 42, 6697–6722. [Google Scholar] [CrossRef]
- Babu, S.S.; Praveen, V.K.; Ajayaghosh, A. Functional π-Gelators and Their Applications. Chem. Rev. 2014, 114, 1973–2129. [Google Scholar] [CrossRef]
- Abdallah, D.J.; Weiss, R.G. N-Alkanes Gel n-Alkanes (and Many Other Organic Liquids). Langmuir 2000, 16, 352–355. [Google Scholar] [CrossRef]
- Du, X.; Zhou, J.; Shi, J.; Xu, B. Supramolecular Hydrogelators and Hydrogels: From Soft Matter to Molecular Biomaterials. Chem. Rev. 2015, 115, 13165–13307. [Google Scholar] [CrossRef]
- Hirst, A.R.; Escuder, B.; Miravet, J.F.; Smith, D.K. High-Tech Applications of Self-Assembling Supramolecular Nanostructured Gel-Phase Materials: From Regenerative Medicine to Electronic Devices. Angew. Chem. Int. Ed. 2008, 47, 8002–8018. [Google Scholar] [CrossRef]
- Sagiri, S.S.; Behera, B.; Rafanan, R.R.; Bhattacharya, C.; Pal, K.; Banerjee, I.; Rousseau, D. Organogels as Matrices for Controlled Drug Delivery: A Review on the Current State. Soft Mater. 2014, 12, 47–72. [Google Scholar] [CrossRef]
- Kumar, R.; Katare, O.P. Lecithin Organogels as a Potential Phospholipid-Structured System for Topical Drug Delivery: A Review. AAPS PharmSciTech 2005, 6, E298–E310. [Google Scholar] [CrossRef]
- Motulsky, A.; Lafleur, M.; Couffin-Hoarau, A.-C.; Hoarau, D.; Boury, F.; Benoit, J.-P.; Leroux, J.-C. Characterization and Biocompatibility of Organogels Based on L-Alanine for Parenteral Drug Delivery Implants. Biomaterials 2005, 26, 6242–6253. [Google Scholar] [CrossRef]
- Vintiloiu, A.; Leroux, J.-C. Organogels and Their Use in Drug Delivery—A Review. J. Control. Release 2008, 125, 179–192. [Google Scholar] [CrossRef]
- Chaves, K.F.; Barrera-Arellano, D.; Ribeiro, A.P.B. Potential Application of Lipid Organogels for Food Industry. Food Res. Int. 2018, 105, 863–872. [Google Scholar] [CrossRef]
- Gaudino, N.; Ghazani, S.M.; Clark, S.; Marangoni, A.G.; Acevedo, N.C. Development of Lecithin and Stearic Acid Based Oleogels and Oleogel Emulsions for Edible Semisolid Applications. Food Res. Int. 2019, 116, 79–89. [Google Scholar] [CrossRef]
- Rogers, M.A.; Wright, A.J.; Marangoni, A.G. Oil Organogels: The Fat of the Future? Soft Matter 2009, 5, 1594–1596. [Google Scholar] [CrossRef]
- Marangoni, A.G.; Garti, N. 1—An Overview of the Past, Present, and Future of Organogels. In Edible Oleogels; Marangoni, A.G., Garti, N., Eds.; AOCS Press: Urbana, IL, USA, 2011; pp. 1–17. ISBN 978-0-9830791-1-8. [Google Scholar]
- Marangoni, A.G.; Garti, N. Edible Oleogels: Structure and Health Implications; Elsevier: Amsterdam, The Netherlands, 2018; ISBN 0-12-814271-5. [Google Scholar]
- Martinez, R.M.; Rosado, C.; Velasco, M.V.R.; Lannes, S.C.S.; Baby, A.R. Main Features and Applications of Organogels in Cosmetics. Int. J. Cosmet. Sci. 2019, 41, 109–117. [Google Scholar] [CrossRef]
- Esposito, C.L.; Kirilov, P. Preparation, Characterization and Evaluation of Organogel-Based Lipstick Formulations: Application in Cosmetics. Gels 2021, 7, 97. [Google Scholar] [CrossRef] [PubMed]
- Basak, S.; Nanda, J.; Banerjee, A. A New Aromatic Amino Acid Based Organogel for Oil Spill Recovery. J. Mater. Chem. 2012, 22, 11658–11664. [Google Scholar] [CrossRef]
- Mondal, S.; Bairi, P.; Das, S.; Nandi, A.K. Phase Selective Organogel from an Imine Based Gelator for Use in Oil Spill Recovery. J. Mater. Chem. A 2019, 7, 381–392. [Google Scholar] [CrossRef]
- Babu, S.S.; Prasanthkumar, S.; Ajayaghosh, A. Self-Assembled Gelators for Organic Electronics. Angew. Chem. Int. Ed. 2012, 51, 1766–1776. [Google Scholar] [CrossRef] [PubMed]
- Koningsveld, R.; Koningsveld, R.; Stockmayer, W.H.; Nies, E. Polymer Phase Diagrams: A Textbook; Oxford University Press: Oxford, UK, 2001; ISBN 978-0-19-855634-3. [Google Scholar]
- Hillert, M. Phase Equilibria, Phase Diagrams and Phase Transformations, 2nd ed.; Cambridge University Press: Cambridge, UK; New York, NY, USA, 2007; ISBN 978-0-521-85351-4. [Google Scholar]
- Phase Diagrams and Thermodynamic Modeling of Solutions; Pelton, A.D., Ed.; Elsevier: Amsterdam, The Netherlands, 2019; ISBN 978-0-12-801494-3. [Google Scholar]
- Binary Alloy Phase Diagrams. In Alloy Phase Diagrams; Okamoto, H., Schlesinger, M.E., Mueller, E.M., Eds.; ASM International: Almere, The Netherlands, 2016; Volume 3, ISBN 978-1-62708-163-4. [Google Scholar]
- Ract, J.N.R.; da Cruz, R.G.; Pereira, C.G. Chapter 14—Phase Equilibrium of Organogels. In Thermodynamics of Phase Equilibria in Food Engineering; Pereira, C.G., Ed.; Academic Press: Cambridge, MA, USA, 2019; pp. 563–591. ISBN 978-0-12-811556-5. [Google Scholar]
- Toro-Vazquez, J.F.; Pérez-Martínez, J.D. Chapter 3:Thermodynamic Aspects of Molecular Gels. In Molecular Gels; Weiss Richard, G., Ed.; RSC Publishing: Cambridge, UK, 2018; pp. 57–87. [Google Scholar]
- Ishi-i, T.; Shinkai, S. Dye-Based Organogels: Stimuli-Responsive Soft Materials Based on One-Dimensional Self-Assembling Aromatic Dyes. In Supermolecular Dye Chemistry; Würthner, F., Ed.; Topics in Current Chemistry; Springer: Berlin/Heidelberg, Germany, 2005; pp. 119–160. ISBN 978-3-540-31458-5. [Google Scholar]
- Panja, S.; Adams, D.J. Stimuli Responsive Dynamic Transformations in Supramolecular Gels. Chem. Soc. Rev. 2021, 50, 5165–5200. [Google Scholar] [CrossRef]
- Mishra, R.K.; Das, S.; Vedhanarayanan, B.; Das, G.; Praveen, V.K.; Ajayaghosh, A. Chapter 7: Stimuli-Responsive Supramolecular Gels. In Molecular Gels; RSC Publishing: Cambridge, UK, 2018; pp. 190–226. [Google Scholar]
- Guerzo, A.D.; Pozzo, J.-L. Photoresponsive Gels. In Molecular Gels; Weiss, R.G., Terech, P., Eds.; Springer: Dordrecht, The Netherlands, 2006; pp. 817–855. [Google Scholar]
- Guan, W.-L.; Adam, K.M.; Qiu, M.; Zhang, Y.-M.; Yao, H.; Wei, T.-B.; Lin, Q. Research Progress of Redox-Responsive Supramolecular Gel. Supramol. Chem. 2020, 32, 578–596. [Google Scholar] [CrossRef]
- Maeda, H. Anion-Responsive Supramolecular Gels. Chem.—Eur. J. 2008, 14, 11274–11282. [Google Scholar] [CrossRef]
- Lloyd, G.O.; Steed, J.W. Anion-Tuning of Supramolecular Gel Properties. Nat. Chem. 2009, 1, 437–442. [Google Scholar] [CrossRef]
- Li, L.; Sun, R.; Zheng, R.; Huang, Y. Anions-Responsive Supramolecular Gels: A Review. Mater. Des. 2021, 205, 109759. [Google Scholar] [CrossRef]
- Panja, S.; Panja, A.; Ghosh, K. Supramolecular Gels in Cyanide Sensing: A Review. Mater. Chem. Front. 2021, 5, 584–602. [Google Scholar] [CrossRef]
- Singh, W.P.; Singh, R.S. Gelation-Based Visual Detection of Analytes. Soft Mater. 2019, 17, 93–118. [Google Scholar] [CrossRef]
- Yang, Z.; Liang, G.; Xu, B. Enzymatic Hydrogelation of Small Molecules. Acc. Chem. Res. 2008, 41, 315–326. [Google Scholar] [CrossRef]
- Mallia, V.A.; Butler, P.D.; Sarkar, B.; Holman, K.T.; Weiss, R.G. Reversible Phase Transitions within Self-Assembled Fibrillar Networks of (R)-18-(n-Alkylamino)Octadecan-7-Ols in Their Carbon Tetrachloride Gels. J. Am. Chem. Soc. 2011, 133, 15045–15054. [Google Scholar] [CrossRef]
- Kotlewski, A.; Norder, B.; Jager, W.F.; Picken, S.J.; Mendes, E. Can Morphological Transitions in Fibrils Drive Stiffness of Gels Formed by Discotic Liquid Crystal Organogelators? Soft Matter 2009, 5, 4905–4913. [Google Scholar] [CrossRef]
- Xie, H.; Asad Ayoubi, M.; Lu, W.; Wang, J.; Huang, J.; Wang, W. A Unique Thermo-Induced Gel-to-Gel Transition in a PH-Sensitive Small-Molecule Hydrogel. Sci. Rep. 2017, 7, 8459–8464. [Google Scholar] [CrossRef]
- Köhler, K.; Meister, A.; Förster, G.; Dobner, B.; Drescher, S.; Ziethe, F.; Richter, W.; Steiniger, F.; Drechsler, M.; Hause, G.; et al. Conformational and Thermal Behavior of a PH-Sensitive Bolaform Hydrogelator. Soft Matter 2006, 2, 77–86. [Google Scholar] [CrossRef]
- Meister, A.; Bastrop, M.; Koschoreck, S.; Garamus, V.M.; Sinemus, T.; Hempel, G.; Drescher, S.; Dobner, B.; Richtering, W.; Huber, K.; et al. Structure−Property Relationship in Stimulus-Responsive Bolaamphiphile Hydrogels. Langmuir 2007, 23, 7715–7723. [Google Scholar] [CrossRef]
- Meister, A.; Drescher, S.; Garamus, V.M.; Karlsson, G.; Graf, G.; Dobner, B.; Blume, A. Temperature-Dependent Self-Assembly and Mixing Behavior of Symmetrical Single-Chain Bolaamphiphiles. Langmuir 2008, 24, 6238–6246. [Google Scholar] [CrossRef]
- Chen, C.H.; Van Damme, I.; Terentjev, E.M. Phase Behavior of C18 Monoglyceride in Hydrophobic Solutions. Soft Matter 2009, 5, 432–439. [Google Scholar] [CrossRef]
- Bhattacharjee, S.; Maiti, B.; Bhattacharya, S. First Report of Charge-Transfer Induced Heat-Set Hydrogel. Structural Insights and Remarkable Properties. Nanoscale 2016, 8, 11224–11233. [Google Scholar] [CrossRef]
- Brizard, A.; Aimé, C.; Labrot, T.; Huc, I.; Berthier, D.; Artzner, F.; Desbat, B.; Oda, R. Counterion, Temperature, and Time Modulation of Nanometric Chiral Ribbons from Gemini-Tartrate Amphiphiles. J. Am. Chem. Soc. 2007, 129, 3754–3762. [Google Scholar] [CrossRef] [PubMed]
- Schwaller, D.; Zapién-Castillo, S.; Carvalho, A.; Combet, J.; Collin, D.; Jacomine, L.; Kékicheff, P.; Heinrich, B.; Lamps, J.-P.; Díaz-Zavala, N.P.; et al. Gel-to-Gel Non-Variant Transition of an Organogel Caused by Polymorphism from Nanotubes to Crystallites. Soft Matter 2021, 17, 4386–4394. [Google Scholar] [CrossRef] [PubMed]
- Christ, E.; Collin, D.; Lamps, J.-P.; Mésini, P.J. Variable Temperature NMR of Organogelators: The Intensities of a Single Sample Describe the Full Phase Diagram. Phys. Chem. Chem. Phys. 2018, 20, 9644–9650. [Google Scholar] [CrossRef] [PubMed]
- Zapién-Castillo, S.; Díaz-Zavala, N.P.; Melo-Banda, J.A.; Schwaller, D.; Lamps, J.-P.; Schmutz, M.; Combet, J.; Mésini, P.J. Structure of Nanotubes Self-Assembled from a Monoamide Organogelator. Int. J. Mol. Sci. 2020, 21, 4960. [Google Scholar] [CrossRef]
- Baral, A.; Basak, S.; Basu, K.; Dehsorkhi, A.; Hamley, I.W.; Banerjee, A. Time-Dependent Gel to Gel Transformation of a Peptide Based Supramolecular Gelator. Soft Matter 2015, 11, 4944–4951. [Google Scholar] [CrossRef]
- Lescanne, M.; Colin, A.; Mondain-Monval, O.; Fages, F.; Pozzo, J.L. Structural Aspects of the Gelation Process Observed with Low Molecular Mass Organogelators. Langmuir 2003, 19, 2013–2020. [Google Scholar] [CrossRef]
- Wang, R.; Liu, X.-Y.; Xiong, J.; Li, J. Real-Time Observation of Fiber Network Formation in Molecular Organogel: Supersaturation-Dependent Microstructure and Its Related Rheological Property. J. Phys. Chem. B 2006, 110, 7275–7280. [Google Scholar] [CrossRef]
- Huang, X.; Terech, P.; Raghavan, S.R.; Weiss, R.G. Kinetics of 5α-Cholestan-3β-Yl N-(2-Naphthyl)Carbamate/n-Alkane Organogel Formation and Its Influence on the Fibrillar Networks. J. Am. Chem. Soc. 2005, 127, 4336–4344. [Google Scholar] [CrossRef]
- Huang, X.; Raghavan, S.R.; Terech, P.; Weiss, R.G. Distinct Kinetic Pathways Generate Organogel Networks with Contrasting Fractality and Thixotropic Properties. J. Am. Chem. Soc. 2006, 128, 15341–15352. [Google Scholar] [CrossRef]
- Xu, Y.; Kang, C.; Chen, Y.; Bian, Z.; Qiu, X.; Gao, L.; Meng, Q. In Situ Gel-to-Crystal Transition and Synthesis of Metal Nanoparticles Obtained by Fluorination of a Cyclic β-Aminoalcohol Gelator. Chem.—Eur. J. 2012, 18, 16955–16961. [Google Scholar] [CrossRef]
- Wang, Y.; Tang, L.; Yu, J. Investigation of Spontaneous Transition from Low-Molecular-Weight Hydrogel into Macroscopic Crystals. Cryst. Growth Des. 2008, 8, 884–889. [Google Scholar] [CrossRef]
- Byrne, P.; Lloyd, G.O.; Applegarth, L.; Anderson, K.M.; Clarke, N.; Steed, J.W. Metal-Induced Gelation in Dipyridyl Ureas. New J. Chem. 2010, 34, 2261–2274. [Google Scholar] [CrossRef]
- Braga, D.; d’Agostino, S.; D’Amen, E.; Grepioni, F. Polymorphs from Supramolecular Gels: Four Crystal Forms of the Same Silver(i) Supergelator Crystallized Directly from Its Gels. Chem. Commun. 2011, 47, 5154–5156. [Google Scholar] [CrossRef]
- Andrews, J.L.; Pearson, E.; Yufit, D.S.; Steed, J.W.; Edkins, K. Supramolecular Gelation as the First Stage in Ostwald’s Rule. Cryst. Growth Des. 2018, 18, 7690–7700. [Google Scholar] [CrossRef]
- Kitchen, T.; Melvin, C.; Mohd Najib, M.N.; Batsanov, A.S.; Edkins, K. Influence of Bio-Isosteric Replacement on the Formation of Templating Methanol and Acetonitrile Solvates in Lophines. Cryst. Growth Des. 2016, 16, 4531–4538. [Google Scholar] [CrossRef]
- Kumar, D.K.; Jose, D.A.; Das, A.; Dastidar, P. First Snapshot of a Nonpolymeric Hydrogelator Interacting with Its Gelling Solvents. Chem. Commun. 2005, 32, 4059–4061. [Google Scholar] [CrossRef]
- Zhu, P.; Yan, X.; Su, Y.; Yang, Y.; Li, J. Solvent-Induced Structural Transition of Self-Assembled Dipeptide: From Organogels to Microcrystals. Chem.—Eur. J. 2010, 16, 3176–3183. [Google Scholar] [CrossRef]
- Terech, P.; Sangeetha, N.M.; Maitra, U. Molecular Hydrogels from Bile Acid Analogues with Neutral Side Chains: Network Architectures and Viscoelastic Properties. Junction Zones, Spherulites, and Crystallites: Phenomenological Aspects of the Gel Metastability. J. Phys. Chem. B 2006, 110, 15224–15233. [Google Scholar] [CrossRef]
- Liu, J.; Xu, F.; Sun, Z.; Pan, Y.; Tian, J.; Lin, H.-C.; Li, X. A Supramolecular Gel Based on a Glycosylated Amino Acid Derivative with the Properties of Gel to Crystal Transition. Soft Matter 2016, 12, 141–148. [Google Scholar] [CrossRef]
- Guterman, T.; Levin, M.; Kolusheva, S.; Levy, D.; Noor, N.; Roichman, Y.; Gazit, E. Real-Time In-Situ Monitoring of a Tunable Pentapeptide Gel–Crystal Transition. Angew. Chem. 2019, 131, 16016–16022. [Google Scholar] [CrossRef]
- Aizawa, T.; Aratsu, K.; Datta, S.; Mashimo, T.; Seki, T.; Kajitani, T.; Silly, F.; Yagai, S. Hydrogen Bond-Directed Supramolecular Polymorphism Leading to Soft and Hard Molecular Ordering. Chem. Commun. 2020, 56, 4280–4283. [Google Scholar] [CrossRef] [PubMed]
- Giuri, D.; Marshall, L.J.; Wilson, C.; Seddon, A.; Adams, D.J. Understanding Gel-to-Crystal Transitions in Supramolecular Gels. Soft Matter 2021, 17, 7221–7226. [Google Scholar] [CrossRef] [PubMed]
- Liyanage, W.; Brennessel, W.W.; Nilsson, B.L. Spontaneous Transition of Self-Assembled Hydrogel Fibrils into Crystalline Microtubes Enables a Rational Strategy To Stabilize the Hydrogel State. Langmuir 2015, 31, 9933–9942. [Google Scholar] [CrossRef] [PubMed]
- Ryan, D.M.; Anderson, S.B.; Senguen, F.T.; Youngman, R.E.; Nilsson, B.L. Self-Assembly and Hydrogelation Promoted by F5-Phenylalanine. Soft Matter 2010, 6, 475–479. [Google Scholar] [CrossRef]
- Ryan, D.M.; Doran, T.M.; Nilsson, B.L. Stabilizing Self-Assembled Fmoc–F 5 –Phe Hydrogels by Co-Assembly with PEG-Functionalized Monomers. Chem. Commun. 2011, 47, 475–477. [Google Scholar] [CrossRef]
- Yu, Y.; Nakamura, D.; De Boyace, K.; Neisius, A.W.; McGown, L.B. Tunable Thermoassociation of Binary Guanosine Gels. J. Phys. Chem. B 2008, 112, 1130–1134. [Google Scholar] [CrossRef]
- Buerkle, L.E.; Li, Z.; Jamieson, A.M.; Rowan, S.J. Tailoring the Properties of Guanosine-Based Supramolecular Hydrogels. Langmuir 2009, 25, 8833–8840. [Google Scholar] [CrossRef]
- Gubitosi, M.; Travaglini, L.; D’Annibale, A.; Pavel, N.V.; Vázquez Tato, J.; Obiols-Rabasa, M.; Sennato, S.; Olsson, U.; Schillén, K.; Galantini, L. Sugar–Bile Acid-Based Bolaamphiphiles: From Scrolls to Monodisperse Single-Walled Tubules. Langmuir 2014, 30, 6358–6366. [Google Scholar] [CrossRef]
- Gubitosi, M.; D’Annibale, A.; Schillén, K.; Olsson, U.; Pavel, N.V.; Galantini, L. On the Stability of Lithocholate Derivative Supramolecular Tubules. RSC Adv. 2017, 7, 512–517. [Google Scholar] [CrossRef]
- Malik, S.; Maji, S.K.; Banerjee, A.; Nandi, A.K. A Synthetic Tripeptide as Organogelator: Elucidation of Gelation Mechanism. J. Chem. Soc. Perkin Trans. 2002, 2, 1177–1186. [Google Scholar] [CrossRef]
- Christ, E.; Blanc, C.; Al Ouahabi, A.; Maurin, D.; Le Parc, R.; Bantignies, J.-L.; Guenet, J.-M.; Collin, D.; Mésini, P.J. Origin of Invariant Gel Melting Temperatures in the c–T Phase Diagram of an Organogel. Langmuir 2016, 32, 4975–4982. [Google Scholar] [CrossRef]
- van Esch, J.H.; Schoonbeek, F.; de Loos, M.; Kooijman, H.; Spek, A.L.; Kellogg, R.M.; Feringa, B.L. Cyclic Bis-Urea Compounds as Gelators for Organic Solvents. Chem.—Eur. J. 1999, 5, 937–950. [Google Scholar] [CrossRef]
- McWatt, M.; Boons, G.-J. Parallel Combinatorial Synthesis of Glycodendrimers and Their Hydrogelation Properties. Eur. J. Org. Chem. 2001, 2001, 2535–2545. [Google Scholar] [CrossRef]
- Cicchi, S.; Ghini, G.; Lascialfari, L.; Brandi, A.; Betti, F.; Berti, D.; Ferrati, S.; Baglioni, P. A New Organogelator Based on an Enantiopure C 2 Symmetric Pyrrolidine. Chem. Commun. 2007, 14, 1424–1426. [Google Scholar] [CrossRef]
- Hirst, A.R.; Smith, D.K.; Feiters, M.C.; Geurts, H.P.M.; Wright, A.C. Two-Component Dendritic Gels: Easily Tunable Materials. J. Am. Chem. Soc. 2003, 125, 9010–9011. [Google Scholar] [CrossRef]
- Hirst, A.R.; Coates, I.A.; Boucheteau, T.R.; Miravet, J.F.; Escuder, B.; Castelletto, V.; Hamley, I.W.; Smith, D.K. Low-Molecular-Weight Gelators: Elucidating the Principles of Gelation Based on Gelator Solubility and a Cooperative Self-Assembly Model. J. Am. Chem. Soc. 2008, 130, 9113–9121. [Google Scholar] [CrossRef]
- Kristiansen, M.; Werner, M.; Tervoort, T.; Smith, P.; Blomenhofer, M.; Schmidt, H.-W. The Binary System Isotactic Polypropylene/Bis(3,4-Dimethylbenzylidene)Sorbitol: Phase Behavior, Nucleation, and Optical Properties. Macromolecules 2003, 36, 5150–5156. [Google Scholar] [CrossRef]
- Kristiansen, P.M.; Gress, A.; Smith, P.; Hanft, D.; Schmidt, H.-W. Phase Behavior, Nucleation and Optical Properties of the Binary System Isotactic Polypropylene/N,N′,N″-Tris-Isopentyl-1,3,5-Benzene-Tricarboxamide. Polymer 2006, 47, 249–253. [Google Scholar] [CrossRef]
- Thierry, A.; Straupe, C.; Lotz, B.; Wittmann, J.C. Physical Gelation: A Path towards “ideal” Dispersion of Additives in Polymers. Polym. Commun. 1990, 31, 299–301. [Google Scholar]
- Terech, P.; Ramasseul, R.; Volino, F. Electron Spin Resonance Study of the Gel Formed by a Spin-Labeled Steroid in Cyclohexane and Determination of the Phase Diagram. J. Colloid Interface Sci. 1983, 91, 280–282. [Google Scholar] [CrossRef]
- Marangoni, A.G. Edmund Daniel Co Organogels: An Alternative Edible Oil-Structuring Method. J. Am. Oil Chem. Soc. 2012, 89, 749–780. [Google Scholar] [CrossRef]
- Wesdorp, L.H.; Melnikov, S.M.; Gaudier, E.A. Trans Fats Replacement Solutions in Europe. In Trans Fats Replacement Solutions; Kodali, D.R., Ed.; AOCS Press: Urbana, IL, USA, 2014; pp. 287–312. ISBN 978-0-9830791-5-6. [Google Scholar]
- Singh, A.; Auzanneau, F.-I.; Rogers, M.A. Advances in Edible Oleogel Technologies—A Decade in Review. Food Res. Int. 2017, 97, 307–317. [Google Scholar] [CrossRef] [PubMed]
- Scharfe, M.; Flöter, E. Oleogelation: From Scientific Feasibility to Applicability in Food Products. Eur. J. Lipid Sci. Technol. 2020, 122, 2000213. [Google Scholar] [CrossRef]
- Gandolfo, F.G.; Bot, A.; Flöter, E. Structuring of Edible Oils by Long-Chain FA, Fatty Alcohols, and Their Mixtures. J. Am. Oil Chem. Soc. 2004, 81, 1–6. [Google Scholar] [CrossRef]
- Costa, M.C.; Boros, L.A.D.; Rolemberg, M.P.; Krähenbühl, M.A.; Meirelles, A.J.A. Solid−Liquid Equilibrium of Saturated Fatty Acids + Triacylglycerols. J. Chem. Eng. Data 2010, 55, 974–977. [Google Scholar] [CrossRef]
- Maximo, G.J.; Carareto, N.D.D.; Costa, M.C.; dos Santos, A.O.; Cardoso, L.P.; Krähenbühl, M.A.; Meirelles, A.J.A. On the Solid–Liquid Equilibrium of Binary Mixtures of Fatty Alcohols and Fatty Acids. Fluid Phase Equilib. 2014, 366, 88–98. [Google Scholar] [CrossRef]
- Hwang, H.-S.; Kim, S.; Singh, M.; Winkler-Moser, J.K.; Liu, S.X. Organogel Formation of Soybean Oil with Waxes. J. Am. Oil Chem. Soc. 2012, 89, 639–647. [Google Scholar] [CrossRef]
- Toro-Vazquez, J.F.; Morales-Rueda, J.A.; Dibildox-Alvarado, E.; Charó-Alonso, M.; Alonzo-Macias, M.; González-Chávez, M.M. Thermal and Textural Properties of Organogels Developed by Candelilla Wax in Safflower Oil. J. Am. Oil Chem. Soc. 2007, 84, 989–1000. [Google Scholar] [CrossRef]
- Morales-Rueda, J.A.; Dibildox-Alvarado, E.; Charó-Alonso, M.A.; Toro-Vazquez, J.F. Rheological Properties of Candelilla Wax and Dotriacontane Organogels Measured with a True-Gap System. J. Am. Oil Chem. Soc. 2009, 86, 765–772. [Google Scholar] [CrossRef]
- Dassanayake, L.S.K.; Kodali, D.R.; Ueno, S.; Sato, K. Physical Properties of Rice Bran Wax in Bulk and Organogels. J. Am. Oil Chem. Soc. 2009, 86, 1163–1172. [Google Scholar] [CrossRef]
- Benziane, M.; Khimeche, K.; Dahmani, A.; Nezar, S.; Trache, D. Experimental Determination and Prediction of (Solid + Liquid) Phase Equilibria for Binary Mixtures of Heavy Alkanes and Fatty Acids Methyl Esters. J. Therm. Anal. Calorim. 2013, 112, 229–235. [Google Scholar] [CrossRef]
- Ritter, H.; van de Sande, R.L.; Muller, V. Liquid Fatty Component Containing Composition. US patent US6846507B1, 1997. [Google Scholar]
- Bot, A.; Agterof, W.G.M. Structuring of Edible Oils by Mixtures of γ-Oryzanol with β-Sitosterol or Related Phytosterols. J. Am. Oil Chem. Soc. 2006, 83, 513–521. [Google Scholar] [CrossRef]
- AlHasawi, F.M.; Rogers, M.A. Ternary Phase Diagram of β-Sitosterol–γ-Oryzanol–Canola Oil. J. Am. Oil Chem. Soc. 2013, 90, 1533–1540. [Google Scholar] [CrossRef]
- Sawalha, H.; Venema, P.; Bot, A.; Flöter, E.; den Adel, R.; van der Linden, E. The Phase Behavior of γ-Oryzanol and β-Sitosterol in Edible Oil. J. Am. Oil Chem. Soc. 2015, 92, 1651–1659. [Google Scholar] [CrossRef]
- Scherer, G.W. Aging and Drying of Gels. J. Non-Cryst. Solids 1988, 100, 77–92. [Google Scholar] [CrossRef]
- Pearse, M.J.; Mackinlay, A.G. Biochemical Aspects of Syneresis: A Review. J. Dairy Sci. 1989, 72, 1401–1407. [Google Scholar] [CrossRef]
- Mizrahi, S. 11—Syneresis in Food Gels and Its Implications for Food Quality. In Chemical Deterioration and Physical Instability of Food and Beverages; Skibsted, L.H., Risbo, J., Andersen, M.L., Eds.; Woodhead Publishing Series in Food Science, Technology and Nutrition; Woodhead Publishing: Sawston, UK, 2010; pp. 324–348. ISBN 978-1-84569-495-1. [Google Scholar]
- Basak, S.; Nandi, N.; Paul, S.; Hamley, I.W.; Banerjee, A. A Tripeptide-Based Self-Shrinking Hydrogel for Waste-Water Treatment: Removal of Toxic Organic Dyes and Lead (Pb2+) Ions. Chem. Commun. 2017, 53, 5910–5913. [Google Scholar] [CrossRef]
- Farahani, A.D.; Martin, A.D.; Iranmanesh, H.; Bhadbhade, M.M.; Beves, J.E.; Thordarson, P. Gel- and Solid-State-Structure of Dialanine and Diphenylalanine Amphiphiles: Importance of C⋅⋅⋅H Interactions in Gelation. ChemPhysChem 2019, 20, 972–983. [Google Scholar] [CrossRef]
- Adams, D.J.; Mullen, L.M.; Berta, M.; Chen, L.; Frith, W.J. Relationship between Molecular Structure, Gelation Behaviour and Gel Properties of Fmoc-Dipeptides. Soft Matter 2010, 6, 1971–1980. [Google Scholar] [CrossRef]
- Castilla, A.M.; Wallace, M.; Mears, L.L.E.; Draper, E.R.; Doutch, J.; Rogers, S.; Adams, D.J. On the Syneresis of an OPV Functionalised Dipeptide Hydrogel. Soft Matter 2016, 12, 7848–7854. [Google Scholar] [CrossRef]
- Panja, S.; Dietrich, B.; Adams, D.J. Controlling Syneresis of Hydrogels Using Organic Salts. Angew. Chem. Int. Ed. 2022, 61, e202115021. [Google Scholar] [CrossRef] [PubMed]
- Duraisamy, D.K.; Sureshbhai, P.D.; Saveri, P.; Deshpande, A.P.; Shanmugam, G. A “Self-Shrinking” Supramolecular Hydrogel with a 3D Shape Memory Performance from an Unnatural Amino Acid Derivative. Chem. Commun. 2022, 58, 13377–13380. [Google Scholar] [CrossRef] [PubMed]
- Xie, F.; Qin, L.; Liu, M. A Dual Thermal and Photo-Switchable Shrinking–Swelling Supramolecular Peptide Dendron Gel. Chem. Commun. 2016, 52, 930–933. [Google Scholar] [CrossRef] [PubMed]
- Ma, Y.; Li, B.; Zhang, K.; Wan, Q.; Džolić, Z.; Wang, Z.; Tang, B.Z. Facile Fabrication of Self-Shrinkable AIE Supramolecular Gels Based on Benzophenone Salicylaldehyde Hydrazine Derivatives. J. Mater. Chem. C 2020, 8, 13705–13711. [Google Scholar] [CrossRef]
- Wu, J.; Yi, T.; Zou, Y.; Xia, Q.; Shu, T.; Liu, F.; Yang, Y.; Li, F.; Chen, Z.; Zhou, Z.; et al. Gelation Induced Reversible Syneresis via Structural Evolution. J. Mater. Chem. 2009, 19, 3971–3978. [Google Scholar] [CrossRef]
- Kiyonaka, S.; Sugiyasu, K.; Shinkai, S.; Hamachi, I. First Thermally Responsive Supramolecular Polymer Based on Glycosylated Amino Acid. J. Am. Chem. Soc. 2002, 124, 10954–10955. [Google Scholar] [CrossRef]
- Gumtya, M.; Mondal, S.; Kumar, S.; Ibukun, O.J.; Haldar, D. A Peptidomimetic-Based Thixotropic Organogel Showing Syneresis-Induced Anti-Adhesion against Water and Ice. New J. Chem. 2022, 46, 1105–1110. [Google Scholar] [CrossRef]
- Conte, M.P.; Singh, N.; Sasselli, I.R.; Escuder, B.; Ulijn, R.V. Metastable Hydrogels from Aromatic Dipeptides. Chem. Commun. 2016, 52, 13889–13892. [Google Scholar] [CrossRef]



















































Disclaimer/Publisher’s Note: The statements, opinions and data contained in all publications are solely those of the individual author(s) and contributor(s) and not of MDPI and/or the editor(s). MDPI and/or the editor(s) disclaim responsibility for any injury to people or property resulting from any ideas, methods, instructions or products referred to in the content. |
© 2023 by the authors. Licensee MDPI, Basel, Switzerland. This article is an open access article distributed under the terms and conditions of the Creative Commons Attribution (CC BY) license (https://creativecommons.org/licenses/by/4.0/).
Share and Cite
Yilmazer, S.; Schwaller, D.; Mésini, P.J. Beyond Sol-Gel: Molecular Gels with Different Transitions. Gels 2023, 9, 273. https://doi.org/10.3390/gels9040273
Yilmazer S, Schwaller D, Mésini PJ. Beyond Sol-Gel: Molecular Gels with Different Transitions. Gels. 2023; 9(4):273. https://doi.org/10.3390/gels9040273
Chicago/Turabian StyleYilmazer, Senem, Duncan Schwaller, and Philippe J. Mésini. 2023. "Beyond Sol-Gel: Molecular Gels with Different Transitions" Gels 9, no. 4: 273. https://doi.org/10.3390/gels9040273
APA StyleYilmazer, S., Schwaller, D., & Mésini, P. J. (2023). Beyond Sol-Gel: Molecular Gels with Different Transitions. Gels, 9(4), 273. https://doi.org/10.3390/gels9040273

