Design and Evaluation of Solid Lipid Nanoparticles Loaded Topical Gels: Repurpose of Fluoxetine in Diabetic Wound Healing
Abstract
1. Introduction
2. Results and Discussion
2.1. Particle Size, PDI, and ZP Analysis
2.2. Entrapment Efficiency and Drug Loading Calculations
2.3. FTIR Spectroscopy
2.4. Differential Scanning Calorimetry
2.5. In Vitro Drug Release and Kinetic Mechanism
2.6. Transmission Electron Microscopy (TEM)
2.7. Characterization of Fluoxetine-Loaded SLNs-Based Topical Gel
2.7.1. pH Test
2.7.2. Spreadability Examination
2.7.3. Extrudability Property
2.8. Drug Diffusion Study
2.9. Stability Study
2.10. In-Vivo Wound Healing Activity
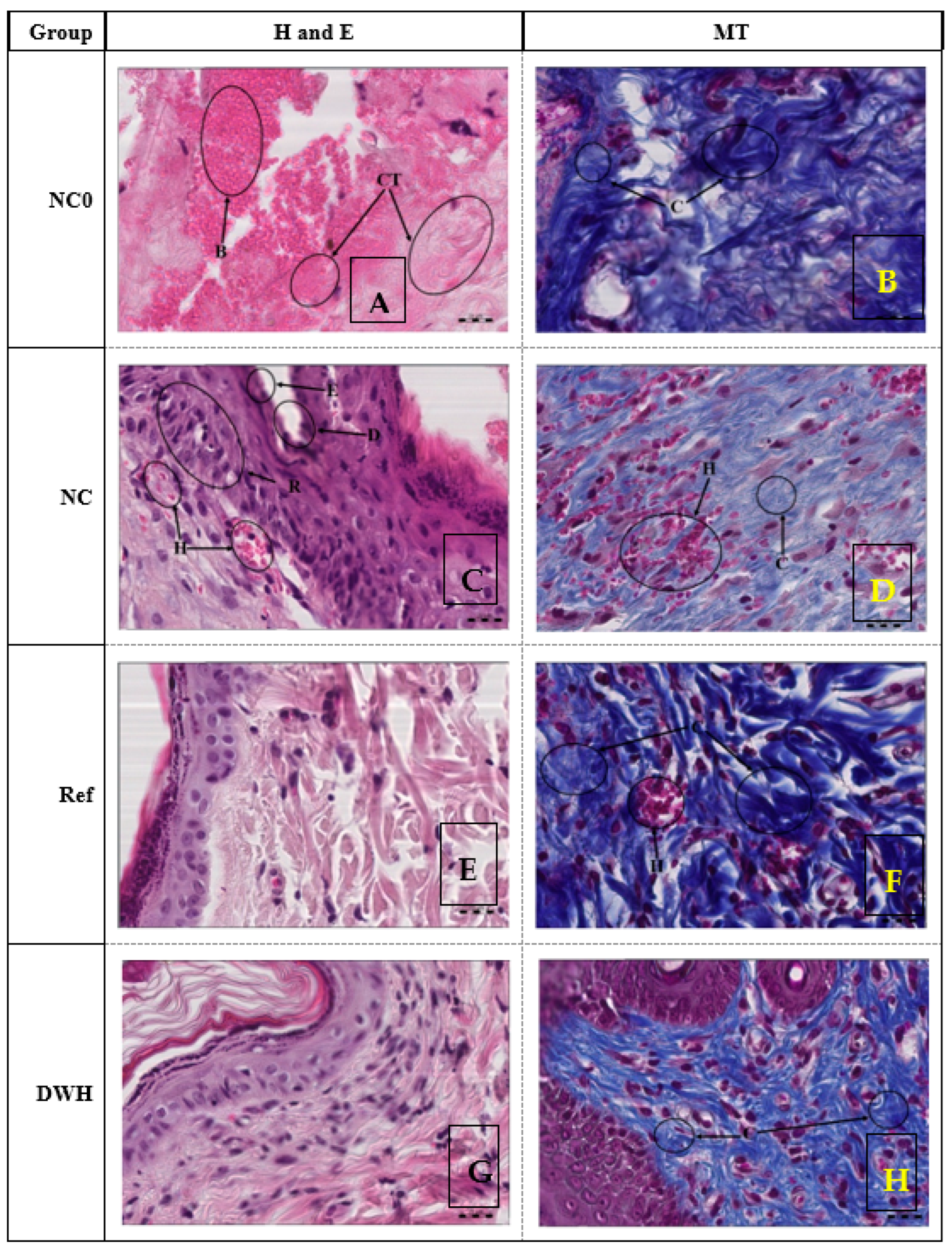
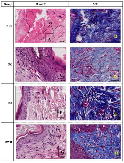
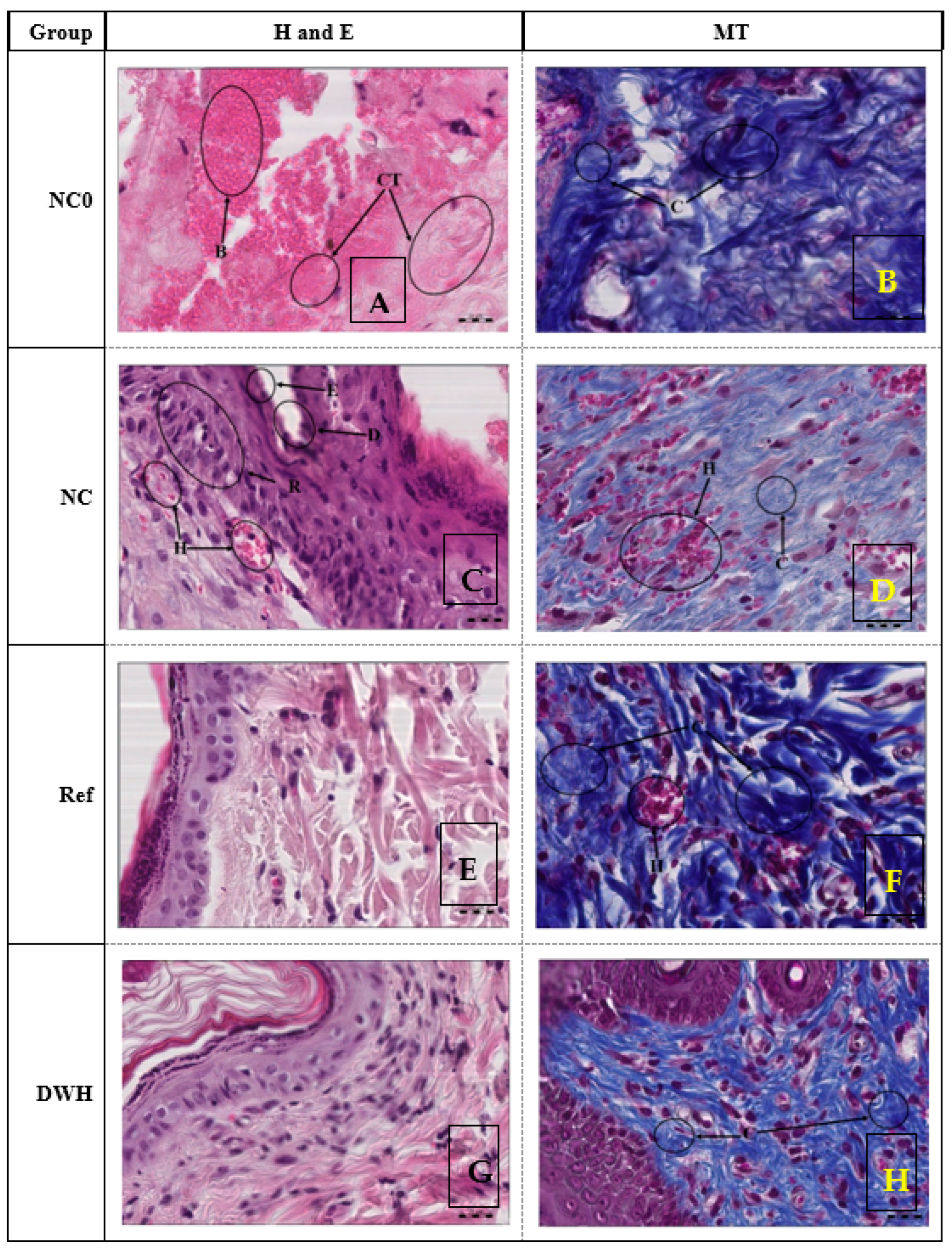
2.11. Histopathological Study of Wound
3. Conclusions
4. Materials and Methods
4.1. Materials
4.2. Development of Fluoxetine-Loaded Solid Lipid Nanoparticles
4.3. Particle Size, Polydispersity Index, and ZP Analysis
4.4. Entrapment Efficiency and Drug Loading
4.5. FTIR Spectroscopy
4.6. Differential Scanning Calorimetry
4.7. In Vitro Drug Release and Kinetic Mechanism
4.8. Transmission Electron Microscopy (TEM)
4.9. Preparation of the Fluoxetine-Loaded SLNs-Based Topical Gel
4.10. Characterization of Fluoxetine-Loaded SLNs-Based Topical Gel
4.10.1. pH Test
4.10.2. Spreadability Examination
4.10.3. Extrudability Property
4.11. Drug Diffusion Study
4.12. Stability Study
4.13. In-Vivo Wound Healing Activity
4.13.1. Experimental Animals
4.13.2. Induction of Diabetes
4.13.3. Experimental Design
- (1)
- Normal non-diabetic control group (NC); treated topically with blank gel.
- (2)
- Diabetic control group (DC); treated topically with blank gel.
- (3)
- Diabetic reference group (REF); treated topically with 2% Fucidin cream.
- (4)
- Diabetic group; treated topically with 2% FX-loaded SLNs-based DWH gel.
4.14. Histological Study of Wound
4.15. Statistical Analysis
Author Contributions
Funding
Institutional Review Board Statement
Informed Consent Statement
Data Availability Statement
Acknowledgments
Conflicts of Interest
References
- Deng, P.; Shi, H.; Pan, X.; Liang, H.; Wang, S.; Wu, J.; Zhang, W.; Huang, F.; Sun, X.; Zhu, H.; et al. Worldwide Research Trends on Diabetic Foot Ulcers (2004–2020): Suggestions for Researchers. J. Diabetes Res. 2022, 2022, 7991031. [Google Scholar] [CrossRef]
- Ormazabal, V.; Nair, S.; Elfeky, O.; Aguayo, C.; Salomon, C.; Zuñiga, F.A. Association between insulin resistance and the development of cardiovascular disease. Cardiovasc. Diabetol. 2018, 17, 122. [Google Scholar] [CrossRef]
- Saeedi, P.; Petersohn, I.; Salpea, P.; Malanda, B.; Karuranga, S.; Unwin, N.; Colagiuri, S.; Guariguata, L.; Motala, A.A.; Ogurtsova, K.; et al. Global and regional diabetes prevalence estimates for 2019 and projections for 2030 and 2045: Results from the International Diabetes Federation Diabetes Atlas, 9th edition. Diabetes Res. Clin. Pract. 2019, 157, 107843. [Google Scholar] [CrossRef]
- Zghebi, S.S.; Steinke, D.T.; Rutter, M.K.; Ashcroft, D.M. Eleven-year multimorbidity burden among 637 255 people with and without type 2 diabetes: A population-based study using primary care and linked hospitalisation data. BMJ Open 2020, 10, e033866. [Google Scholar] [CrossRef]
- Itumalla, R.; Kumar, R.; Elabbasy, M.T.; Perera, B.; Torabi, M.R. Structural Factors and Quality of Diabetes Health Services in Hail, Saudi Arabia: A Cross-Sectional Study. Healthcare 2021, 9, 1691. [Google Scholar] [CrossRef]
- Marucci, A.; Rutigliano, I.; Fini, G.; Pezzilli, S.; Menzaghi, C.; Di Paola, R.; Trischitta, V. Role of Actionable Genes in Pursuing a True Approach of Precision Medicine in Monogenic Diabetes. Genes 2022, 13, 117. [Google Scholar] [CrossRef]
- Spampinato, S.F.; Caruso, G.I.; De Pasquale, R.; Sortino, M.A.; Merlo, S. The Treatment of Impaired Wound Healing in Diabetes: Looking among Old Drugs. Pharmaceuticals 2020, 13, 60. [Google Scholar] [CrossRef]
- Everett, E.; Mathioudakis, N. Update on management of diabetic foot ulcers. Ann. N. Y. Acad. Sci. 2018, 1411, 153–165. [Google Scholar] [CrossRef]
- Walicka, M.; Raczyńska, M.; Marcinkowska, K.; Lisicka, I.; Czaicki, A.; Wierzba, W.; Franek, E. Amputations of Lower Limb in Subjects with Diabetes Mellitus: Reasons and 30-Day Mortality. J. Diabetes Res. 2021, 2021, 6637584. [Google Scholar] [CrossRef]
- Gonzalez, A.C.D.O.; Costa, T.F.; de Araújo Andrade, Z.; Medrado, A.R.A.P. Wound Healing—A Literature Review. An. Bras. Dermatol. 2016, 91, 614–620. [Google Scholar] [CrossRef]
- Low, Z.; Farouk, I.; Lal, S. Drug Repositioning: New Approaches and Future Prospects for Life-Debilitating Diseases and the COVID-19 Pandemic Outbreak. Viruses 2020, 12, 1058. [Google Scholar] [CrossRef]
- Nguyen, C.M.; Tartar, D.M.; Bagood, M.D.; So, M.; Nguyen, A.V.; Gallegos, A.; Fregoso, D.; Serrano, J.; Nguyen, D.; Degovics, D.; et al. Topical Fluoxetine as a Novel Therapeutic That Improves Wound Healing in Diabetic Mice. Diabetes 2019, 68, 1499–1507. [Google Scholar] [CrossRef] [PubMed]
- Alhakamy, N.A.; Caruso, G.; Privitera, A.; Ahmed, O.A.A.; Fahmy, U.A.; Mohamed, G.A.; Ibrahim, S.R.M.; Eid, B.G.; Abdel-Naim, A.B.; Caraci, F. Fluoxetine Ecofriendly Nanoemulsion Enhances Wound Healing in Diabetic Rats: In Vivo Efficacy Assessment. Pharmaceutics 2022, 14, 1133. [Google Scholar] [CrossRef] [PubMed]
- Moglad, E.H.; Fatima, F.; Ahmed, M.M.; Seshadri, V.D.; Anw, K.; Aldawsa, M.F. Development of Topical Antibacterial Gel Loaded with Cefadroxil Solid Lipid Nanoparticles: In vivo Wound Healing Activity and Epithelialization Study. Int. J. Pharmacol. 2020, 16, 298–309. [Google Scholar] [CrossRef]
- Lin, W.; Kluzek, M.; Iuster, N.; Shimoni, E.; Kampf, N.; Goldberg, R.; Klein, J. Cartilage-inspired, lipid-based boundary-lubricated hydrogels. Science 2020, 370, 335–338. [Google Scholar] [CrossRef]
- Borges, A.; De Freitas, V.; Mateus, N.; Fernandes, I.; Oliveira, J. Solid Lipid Nanoparticles as Carriers of Natural Phenolic Compounds. Antioxidants 2020, 9, 998. [Google Scholar] [CrossRef]
- Ahmed, M.M.; Fatima, F.; Anwer, K.; Aldawsari, M.F.; Alsaidan, Y.S.M.; Alfaiz, S.A.; Haque, A.; Az, A.; Alhazzani, K. Development and characterization of Brigatinib loaded solid lipid nanoparticles: In-vitro cytotoxicity against human carcinoma A549 lung cell lines. Chem. Phys. Lipids 2020, 233, 105003. [Google Scholar] [CrossRef] [PubMed]
- Khan, M.F.A.; Ur Rehman, A.; Howari, H.; Alhodaib, A.; Ullah, F.; Mustafa, Z.U.; Elaissari, A.; Ahmed, N. Hydrogel Containing Solid Lipid Nanoparticles Loaded with Argan Oil and Simvastatin: Preparation, In Vitro and Ex Vivo Assessment. Gels 2022, 8, 277. [Google Scholar] [CrossRef]
- Anwer, M.K.; Ahmed, M.M.; Aldawsari, M.F.; Alshahrani, S.; Fatima, F.; Ansari, M.N.; Rehman, N.U.; Al-Shdefat, R.I. Eluxadoline Loaded Solid Lipid Nanoparticles for Improved Colon Targeting in Rat Model of Ulcerative Colitis. Pharmaceuticals 2020, 13, 255. [Google Scholar] [CrossRef]
- Subroto, E.; Andoyo, R.; Indiarto, R.; Wulandari, E.; Wadhiah, E.F.N. Preparation of Solid Lipid Nanoparticle-Ferrous Sulfate by Double Emulsion Method Based on Fat Rich in Monolaurin and Stearic Acid. Nanomaterials 2022, 12, 3054. [Google Scholar] [CrossRef] [PubMed]
- Anwer, M.K.; Ali, E.A.; Iqbal, M.; Ahmed, M.M.; Aldawsari, M.F.; Al Saqr, A.A.; Ansari, M.N.; Aboudzadeh, M.A. Development of Sustained Release Baricitinib Loaded Lipid-Polymer Hybrid Nanoparticles with Improved Oral Bioavailability. Molecules 2021, 27, 168. [Google Scholar] [CrossRef] [PubMed]
- Abdel-Bar, H.M.; Khater, S.E.; Ghorab, D.M.; Al-Mahallawi, A.M. Hexosomes as Efficient Platforms for Possible Fluoxetine Hydrochloride Repurposing with Improved Cytotoxicity against HepG2 Cells. ACS Omega 2020, 5, 26697–26709. [Google Scholar] [CrossRef] [PubMed]
- Ibrahim, M.M.; Ayoub, A.M.; Mahdy, M.A.E.; Abdallah, M.H. Solid Lipid Nanoparticles of Sulpiride: Improvement of Pharmacokinetic Properties. Int. J. Pharm. Investig. 2019, 9, 122–127. [Google Scholar] [CrossRef]
- Alsulays, B.B.; Anwer, K.; Soliman, G.A.; Alshehri, S.M.; Khafagy, E.-S. Impact of Penetratin Stereochemistry on The Oral Bioavailability of Insulin-Loaded Solid Lipid Nanoparticles. Int. J. Nanomed. 2019, 14, 9127–9138. [Google Scholar] [CrossRef] [PubMed]
- Zafar, A.; Alruwaili, N.K.; Imam, S.S.; Alsaidan, O.A.; Ahmed, M.M.; Yasir, M.; Warsi, M.H.; Alquraini, A.; Ghoneim, M.M.; Alshehri, S. Development and Optimization of Hybrid Polymeric Nanoparticles of Apigenin: Physicochemical Characterization, Antioxidant Activity and Cytotoxicity Evaluation. Sensors 2022, 22, 1364. [Google Scholar] [CrossRef] [PubMed]
- Mohammed, M.; Alnafisah, M.S.; Anwer, M.K.; Fatima, F.; Almutairy, B.K.; Alshahrani, S.M.; Alshetaili, A.S.; Alalaiwe, A.; Fayed, M.H.; Alanazi, A.Z.; et al. Chitosan surface modified PLGA nanoparticles loaded with brigatinib for the treatment of non-small cell lung cancer. J. Polym. Eng. 2019, 39, 909–916. [Google Scholar] [CrossRef]
- Ansari, M.N.; Soliman, G.A.; Rehman, N.U.; Anwer, M.K. Crisaborole Loaded Nanoemulsion Based Chitosan Gel: Formulation, Physicochemical Characterization and Wound Healing Studies. Gels 2022, 8, 318. [Google Scholar] [CrossRef]
- zur Mühlen, A.; Schwarz, C.; Mehnert, W. Solid lipid nanoparticles (SLN) for controlled drug delivery–Drug release and release mechanism. Eur. J. Pharm. Biopharm. 1998, 45, 149–155. [Google Scholar] [CrossRef]
- Committee for the Update of the Guide for the Care and Use of Laboratory Animalsc. Guide for the Care and Use of Laboratory Animals, 8th ed.; Committee for the Update of the Guide for the Care and Use of Laboratory Animals, Institute for Laboratory Animal Research: Washington, DC, USA, 2011. [Google Scholar]
- Seedevi, P.; Ganesan, A.R.; Moovendhan, M.; Mohan, K.; Sivasankar, P.; Loganathan, S.; Vairamani, S.; Shanmugam, A. Anti-diabetic activity of crude polysaccharide and rhamnose-enriched polysaccharide from G. lithophila on Streptozotocin (STZ)-induced in Wistar rats. Sci. Rep. 2020, 10, 556. [Google Scholar] [CrossRef]
- Al-Bayaty, F.; Abdulla, M.A. A Comparison of Wound Healing Rate Following Treatment with Aftamed and Chlorine Dioxide Gels in Streptozotocin-Induced Diabetic Rats. Evid. Based Complement. Altern. Med. 2012, 2012, 468764. [Google Scholar] [CrossRef]
- Mukherjee, P.; Verpoorte, R.; Suresh, B. Evaluation of in-vivo wound healing activity of Hypericum patu-lum (Family: Hypericaceae) leaf extract on different wound model in rats. J. Ethnopharmacol. 2000, 70, 315–321. [Google Scholar] [CrossRef] [PubMed]
- Nayak, B.; Pinto Pereira, L. Catharanthus roseus flower extract has wound-healing activity in Sprague Dawley rats. BMC Complement. Altern. Med. 2006, 6, 41. [Google Scholar] [CrossRef] [PubMed]
- Ponrasu, T.; Suguna, L. Efficacy of Annona squamosa on wound healing in streptozotocin-induced diabetic rats. Int. Wound J. 2012, 9, 613–623. [Google Scholar] [CrossRef] [PubMed]
- Lin, T.S.; Latiff, A.A.; Hamid, N.A.A.; Ngah, W.Z.B.W.; Mazlan, M. Evaluation of Topical Tocopherol Cream on Cutaneous Wound Healing in Streptozotocin-Induced Diabetic Rats. Evidence-Based Complement. Altern. Med. 2012, 2012, 491027. [Google Scholar] [CrossRef]
- Manjunatha, B.K.; Vidya, S.M.; Rashmi, K.; Mankani, K.L.; Shilpa, H.J.; Singh, S.D.J. Evaluation of wound-healing potency of Vernonia arborea Hk. Indian J. Pharmacol. 2005, 37, 223–226. [Google Scholar] [CrossRef]
- Hamad, A.M.; Ahmed, H.G. Association of some carbohydrates with estrogen expression in breast lesions among Sudanese females. J. Histotechnol. 2017, 41, 2–9. [Google Scholar] [CrossRef]
- Hamad, A.M. Association of Connective Tissue Fibers with Estrogen Expression in Breast Lesions among Sudanese Females. Int. Clin. Pathol. J. 2016, 2, 00051. [Google Scholar] [CrossRef]
- Bancroft, J.D.; Layton, C.; Suvarna, S.K. The Hematoxylins and Eosin. In Bancroft’s Theory and Practice of Histological Techniques, 8th ed.; Elsevier: Amsterdam, The Netherlands, 2018; 131p. [Google Scholar]
- Nunan, R.; Harding, K.; Martin, P. Clinical challenges of chronic wounds: Searching for an optimal animal model to recapitulate their complexity. Dis. Model. Mech. 2014, 7, 1205–1213. [Google Scholar] [CrossRef]
- Rafehi, H.; El-Osta, A.; Karagiannis, T.C. Genetic and epigenetic events in diabetic wound healing. Int. Wound J. 2010, 8, 12–21. [Google Scholar] [CrossRef]
- Al-Watban, F.; Zhang, X.; Andres, B. Low level laser therapy enhances wound healing in diabetic rats: A comparison of different lasers. Photomed. Laser Surg. 2007, 25, 72–77. [Google Scholar] [CrossRef]
- Boulton, A.J.; Vileikyte, L.; Ragnarson-Tennvall, G.; Apelqvist, J. The global burden of diabetic foot disease. Lancet 2005, 366, 1719–1724. [Google Scholar] [CrossRef] [PubMed]
- Patel, S.; Srivastava, S.; Singh, M.R.; Singh, D. Mechanistic insight into diabetic wounds: Pathogenesis, molecular targets and treatment strategies to pace wound healing. Biomed. Pharmacother. 2019, 112, 108615. [Google Scholar] [CrossRef] [PubMed]
- Bhartiya, D.; Sklarsh, J.; Maheshwari, R. Enhanced wound healing in animal models by interferon and an interferon in-ducer. J. Cell. Physiol. 1992, 150, 312–319. [Google Scholar] [CrossRef] [PubMed]
- Shukla, A.; Rasik, A.; Dhawan, B. Asiaticoside-induced elevation of antioxidant levels in healing wounds. Phytother. Res. 1999, 13, 50–54. [Google Scholar] [CrossRef]
- Ahmed, M.M.; Anwer, K.; Fatima, F.; Aldawsari, M.F.; Alalaiwe, A.; Alali, A.S.; Alharthi, A.I.; Kalam, M.A. Boosting the Anticancer Activity of Sunitinib Malate in Breast Cancer through Lipid Polymer Hybrid Nanoparticles Approach. Polymers 2022, 14, 2459. [Google Scholar] [CrossRef]
- Ahmed, M.M.; Anwer, K.; Fatima, F.; Alali, A.S.; Kalam, M.A.; Zafar, A.; Alshehri, S.; Ghoneim, M.M. Development of Apremilast Nanoemulsion-Loaded Chitosan Gels: In Vitro Evaluations and Anti-Inflammatory and Wound Healing Studies on a Rat Model. Gels 2022, 8, 253. [Google Scholar] [CrossRef]
- Ahmed, M.M.; Anwer, K.; Soliman, G.A.; Aldawsari, M.F.; Mohammed, A.A.; Alshehri, S.; Ghoneim, M.M.; Alali, A.S.; Alshetaili, A.; Alalaiwe, A.; et al. Application of hydrophilic polymers for the preparation of tadalafil solid dispersions: Micromeritics properties, release and erectile dysfunction studies in male rats. PeerJ 2022, 10, e13482. [Google Scholar] [CrossRef]
- Ansari, M.J.; Anwer, K.; Jamil, S.; Al-Shdefat, R.; Ali, B.E.; Ahmad, M.M. Enhanced oral bioavailability of insulin-loaded solid lipid nanoparticles: Pharmacokinetic bioavailability of insulin-loaded solid lipid nanoparticles in diabetic rats. Drug Deliv. 2015, 23, 1972–1979. [Google Scholar] [CrossRef]
- Ahmed, M.M.; Fatima, F.; Anwer, K.; Ansari, M.J.; Das, S.S.; Alshahrani, S.M. Development and characterization of ethyl cellulose nanosponges for sustained release of brigatinib for the treatment of non-small cell lung cancer. J. Polym. Eng. 2020, 40, 823–832. [Google Scholar] [CrossRef]
- Fatima, F.; Aldawsari, M.F.; Ahmed, M.M.; Anwer, K.; Naz, M.; Ansari, M.J.; Hamad, A.M.; Zafar, A.; Jafar, M. Green Synthesized Silver Nanoparticles Using Tridax Procumbens for Topical Application: Excision Wound Model and Histopathological Studies. Pharmaceutics 2021, 13, 1754. [Google Scholar] [CrossRef]
- Dantas, M.G.B.; Reis, S.A.G.B.; Damasceno, C.M.D.; Rolim, L.; Rolim-Neto, P.J.; Carvalho, F.O.; Quintans-Junior, L.; da Silva Almeida, J.R.G. Development and Evaluation of Stability of a Gel Formulation Containing the Monoterpene Borneol. Sci. World J. 2016, 2016, 7394685. [Google Scholar] [CrossRef] [PubMed]
- Aiyalu, R.; Govindarjan, A.; Ramasamy, A. Formulation and evaluation of topical herbal gel for the treatment of arthritis in animal model. Braz. J. Pharm. Sci. 2016, 52, 493–507. [Google Scholar] [CrossRef]
- Xu, W.; Deng, Z.; Xiang, Y.; Zhu, D.; Yi, D.; Mo, Y.; Liu, Y.; Qin, L.; Huang, L.; Wan, B.; et al. Preparation, Charac-terization and Pharmacokinetics of Tolfenamic Acid-Loaded Solid Lipid Nanoparticles. Pharmaceutics 2022, 14, 1929. [Google Scholar] [CrossRef]
- Ahmed, M.M.; Fatima, F.; Anwer, K.; Ibnouf, E.O.; Kalam, M.A.; Alshamsan, A.; Aldawsari, M.F.; Alalaiwe, A.; Ansari, M.J. Formulation and in vitro evaluation of topical nanosponge-based gel containing butenafine for the treatment of fungal skin infection. Saudi Pharm. J. 2021, 29, 467–477. [Google Scholar] [CrossRef] [PubMed]













| SLNs Code | FX (mg) | SA (mg) | SL (mg) | PS ± SD (nm) | PDI + SD | ZP+SD (mV) | EE + SD (%) | DL+ SD (%) |
|---|---|---|---|---|---|---|---|---|
| FS1 | 100 | 50 | 100 | 380.2 ± 8.1 | 0.665 ± 0.02 | −28.6 ± 4.23 | 90.0 ± 2.65 | 10.2 ± 0.2 |
| FS2 | 100 | 100 | 100 | 412.7 ± 6.1 | 0.532 ± 0.04 | −21.4 ± 5.29 | 93.6 ± 4.47 | 12.3 ± 1.3 |
| FS3 | 100 | 150 | 100 | 467.3 ± 2.2 | 0.435 ± 0.02 | −32.2 ± 4.47 | 95.8 ± 3.38 | 16.4 ± 2.4 |
| FS4 | 100 | 200 | 100 | 520.6 ± 3.4 | 0.445 ± 0.01 | −28.6 ± 3.82 | 97.3 ± 4.28 | 17.6 ± 1.1 |
| FS5 | 100 | 250 | 100 | 680.5 ± 5.2 | 0.623 ± 0.03 | −15.7 ± 6.54 | 98.6 ± 5.15 | 18.8 ± 2.8 |
| SLN Code | Zero-Order | First Order | Higuchi Model | Korsmeyer PEPPAS | Release Exponents |
|---|---|---|---|---|---|
| R2 | R2 | R2 | R2 | n | |
| FS1 | 0.3714 | 0.9973 | 0.6669 | 0.7874 | 0.1 |
| FS2 | 0.4032 | 0.9489 | 0.6964 | 0.7948 | 0.21 |
| FS3 | 0.4281 | 0.7857 | 0.7172 | 0.8003 | 0.23 |
| FS4 | 0.4604 | 0.8355 | 0.7472 | 0.8263 | 0.26 |
| FS5 | 0.4759 | 0.7247 | 0.7593 | 0.8135 | 0.3 |
Disclaimer/Publisher’s Note: The statements, opinions and data contained in all publications are solely those of the individual author(s) and contributor(s) and not of MDPI and/or the editor(s). MDPI and/or the editor(s) disclaim responsibility for any injury to people or property resulting from any ideas, methods, instructions or products referred to in the content. |
© 2022 by the authors. Licensee MDPI, Basel, Switzerland. This article is an open access article distributed under the terms and conditions of the Creative Commons Attribution (CC BY) license (https://creativecommons.org/licenses/by/4.0/).
Share and Cite
Fatima, F.; Aleemuddin, M.; Ahmed, M.M.; Anwer, M.K.; Aldawsari, M.F.; Soliman, G.A.; Mahdi, W.A.; Jafar, M.; Hamad, A.M.; Alshehri, S. Design and Evaluation of Solid Lipid Nanoparticles Loaded Topical Gels: Repurpose of Fluoxetine in Diabetic Wound Healing. Gels 2023, 9, 21. https://doi.org/10.3390/gels9010021
Fatima F, Aleemuddin M, Ahmed MM, Anwer MK, Aldawsari MF, Soliman GA, Mahdi WA, Jafar M, Hamad AM, Alshehri S. Design and Evaluation of Solid Lipid Nanoparticles Loaded Topical Gels: Repurpose of Fluoxetine in Diabetic Wound Healing. Gels. 2023; 9(1):21. https://doi.org/10.3390/gels9010021
Chicago/Turabian StyleFatima, Farhat, Mohammad Aleemuddin, Mohammed Muqtader Ahmed, Md. Khalid Anwer, Mohammed F. Aldawsari, Gamal A. Soliman, Wael A. Mahdi, Mohammed Jafar, Abubaker M. Hamad, and Sultan Alshehri. 2023. "Design and Evaluation of Solid Lipid Nanoparticles Loaded Topical Gels: Repurpose of Fluoxetine in Diabetic Wound Healing" Gels 9, no. 1: 21. https://doi.org/10.3390/gels9010021
APA StyleFatima, F., Aleemuddin, M., Ahmed, M. M., Anwer, M. K., Aldawsari, M. F., Soliman, G. A., Mahdi, W. A., Jafar, M., Hamad, A. M., & Alshehri, S. (2023). Design and Evaluation of Solid Lipid Nanoparticles Loaded Topical Gels: Repurpose of Fluoxetine in Diabetic Wound Healing. Gels, 9(1), 21. https://doi.org/10.3390/gels9010021

