Chiral Supramolecular Hydrogel Loaded with Dimethyloxalyglycine to Accelerate Chronic Diabetic Wound Healing by Promoting Cell Proliferation and Angiogenesis
Abstract
:1. Introduction
2. Results
2.1. Fabrication and Analysis of Chiral Supramolecular Hydrogel
2.2. The Release of DMOG from Hydrogel
2.3. Effects of DMOG, Hydrogel, and Combination of DMOG and Hydrogel on Cell Proliferation, Migration, and Tube Formation
2.4. Skin Wound General Observation and Wound Closure Calculation
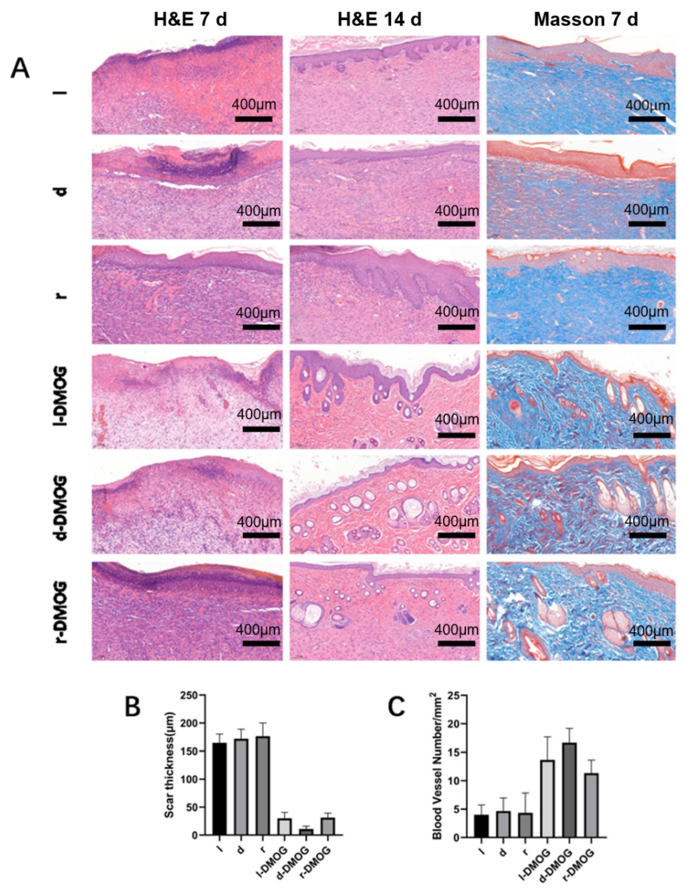
2.5. Histology Analysis
3. Discussion
4. Conclusions
5. Materials and Methods
5.1. Materials
5.2. Preparation of Supramolecular Chiral Hydrogels
5.3. Characterizations of Supramolecular Chiral Hydrogels
5.4. Controlled Release of DMOG
5.5. Study on the Effect of Supramolecular Chiral Hydrogel Loaded with DMOG on the Behavior of HUVEC
5.6. Tube-Formation Assessment
5.7. In Vivo Wound Healing Test
5.8. Statistical Assessment
Author Contributions
Funding
Institutional Review Board Statement
Informed Consent Statement
Data Availability Statement
Conflicts of Interest
References
- Morton, L.M.; Phillips, T.J. Wound Healing and Treating Wounds. J. Am. Acad. Dermatol. 2016, 74, 589–605. [Google Scholar] [CrossRef] [PubMed]
- Gao, Z.; Wang, Q.; Yao, Q.; Zhang, P. Application of Electrospun Nanofiber Membrane in the Treatment of Diabetic Wounds. Pharmaceutics 2021, 14, 6. [Google Scholar] [CrossRef] [PubMed]
- Li, Y.; Su, L.; Zhang, Y.; Liu, Y.; Huang, F.; Ren, Y.; An, Y.; Shi, L.; Mei, H.C.; Busscher, H.J. A Guanosine-Quadruplex Hydrogel as Cascade Reaction Container Consuming Endogenous Glucose for Infected Wound Treatment—A Study in Diabetic Mice. Adv. Sci. 2022, 9, 2103485. [Google Scholar] [CrossRef] [PubMed]
- Brazil, J.C.; Quiros, M.; Nusrat, A.; Parkos, C.A. Innate Immune Cell–Epithelial Crosstalk during Wound Repair. J. Clin. Investig. 2019, 129, 2983–2993. [Google Scholar] [CrossRef] [PubMed] [Green Version]
- Dam, D.H.M.; Paller, A.S. Gangliosides in Diabetic Wound Healing. In Progress in Molecular Biology and Translational Science; Elsevier: Amsterdam, The Netherlands, 2018; Volume 156, pp. 229–239. ISBN 978-0-12-812341-6. [Google Scholar]
- Fowler, E.M.; Vesely, N.; Johnson, V.; Harwood, J.; Tran, J.; Amberry, T. Wound Care for Patients with Diabetes. Adv. Ski. Wound Care 2003, 16, 342–346. [Google Scholar] [CrossRef] [PubMed]
- Kaymakcalan, O.E.; Abadeer, A.; Goldufsky, J.W.; Galili, U.; Karinja, S.J.; Dong, X.; Jin, J.L.; Samadi, A.; Spector, J.A. Topical A-gal Nanoparticles Accelerate Diabetic Wound Healing. Exp. Dermatol. 2020, 29, 404–413. [Google Scholar] [CrossRef]
- Wang, J.; Feng, L.; Yu, Q.; Chen, Y.; Liu, Y. Polysaccharide-Based Supramolecular Hydrogel for Efficiently Treating Bacterial Infection and Enhancing Wound Healing. Biomacromolecules 2021, 22, 534–539. [Google Scholar] [CrossRef]
- Wei, Y.; Jiang, S.; Si, M.; Zhang, X.; Liu, J.; Wang, Z.; Cao, C.; Huang, J.; Huang, H.; Chen, L.; et al. Chirality Controls Mesenchymal Stem Cell Lineage Diversification through Mechanoresponses. Adv. Mater. 2019, 31, 1900582. [Google Scholar] [CrossRef]
- Chen, T.-Y. Cryogel/Hydrogel Biomaterials and Acupuncture Combined to Promote Diabetic Skin Wound Healing through Immunomodulation. Biomaterials 2021, 269, 120608. [Google Scholar] [CrossRef]
- Dou, X.; Mehwish, N.; Zhao, C.; Liu, J.; Xing, C.; Feng, C. Supramolecular Hydrogels with Tunable Chirality for Promising Biomedical Applications. Acc. Chem. Res. 2020, 53, 852–862. [Google Scholar] [CrossRef]
- Yu, L.; Xia, K.; Gong, C.; Chen, J.; Li, W.; Zhao, Y.; Guo, W.; Dai, H. An Injectable Bioactive Magnesium Phosphate Cement Incorporating Carboxymethyl Chitosan for Bone Regeneration. Int. J. Biol. Macromol. 2020, 160, 101–111. [Google Scholar] [CrossRef]
- Chen, M.; Wang, Y.; Sun, B.; Yu, L.; Chen, Q.; Han, X.; Liu, Y. HIF-1α Activator DMOG Inhibits Alveolar Bone Resorption in Murine Periodontitis by Regulating Macrophage Polarization. Int. Immunopharmacol. 2021, 99, 107901. [Google Scholar] [CrossRef] [PubMed]
- Apte, R.S.; Chen, D.S.; Ferrara, N. VEGF in Signaling and Disease: Beyond Discovery and Development. Cell 2019, 176, 1248–1264. [Google Scholar] [CrossRef] [PubMed] [Green Version]
- Li, S.; Mohamedi, A.H.; Senkowsky, J.; Nair, A.; Tang, L. Imaging in Chronic Wound Diagnostics. Adv. Wound Care 2020, 9, 245–263. [Google Scholar] [CrossRef]
- Zhao, R.; Liang, H.; Clarke, E.; Jackson, C.; Xue, M. Inflammation in Chronic Wounds. Int. J. Mol. Sci. 2016, 17, 2085. [Google Scholar] [CrossRef] [PubMed]
- Patel, S.; Srivastava, S.; Singh, M.R.; Singh, D. Mechanistic Insight into Diabetic Wounds: Pathogenesis, Molecular Targets and Treatment Strategies to Pace Wound Healing. Biomed. Pharmacother. 2019, 112, 108615. [Google Scholar] [CrossRef] [PubMed]
- Lindholm, C.; Searle, R. Wound Management for the 21st Century: Combining Effectiveness and Efficiency: Wound Management for the 21st Century. Int. Wound J. 2016, 13, 5–15. [Google Scholar] [CrossRef] [Green Version]
- Zhu, Y.; Wang, Y.; Jia, Y.; Xu, J.; Chai, Y. Roxadustat Promotes Angiogenesis through HIF-1α/VEGF/VEGFR2 Signaling and Accelerates Cutaneous Wound Healing in Diabetic Rats. Wound Rep. Reg. 2019, 27, 324–334. [Google Scholar] [CrossRef] [PubMed]
- Růžička, J.; Dejmek, J.; Bolek, L.; Beneš, J.; Kuncová, J. Hyperbaric Oxygen Influences Chronic Wound Healing—A Cellular Level Review. Physiol. Res. 2021, 70, S261–S273. [Google Scholar] [CrossRef]
- Li, G.; Ko, C.-N.; Li, D.; Yang, C.; Wang, W.; Yang, G.-J.; Di Primo, C.; Wong, V.K.W.; Xiang, Y.; Lin, L.; et al. A Small Molecule HIF-1α Stabilizer That Accelerates Diabetic Wound Healing. Nat. Commun. 2021, 12, 3363. [Google Scholar] [CrossRef]
- Gao, Y.; Xie, Z.; Ho, C.; Wang, J.; Li, Q.; Zhang, Y.; Zhou, J. LRG1 Promotes Keratinocyte Migration and Wound Repair through Regulation of HIF-1α Stability. J. Investig. Dermatol. 2020, 140, 455–464.e8. [Google Scholar] [CrossRef] [PubMed]
- Pang, L.; Tian, P.; Cui, X.; Wu, X.; Zhao, X.; Wang, H.; Wang, D.; Pan, H. In Situ Photo-Cross-Linking Hydrogel Accelerates Diabetic Wound Healing through Restored Hypoxia-Inducible Factor 1-Alpha Pathway and Regulated Inflammation. ACS Appl. Mater. Interfaces 2021, 13, 29363–29379. [Google Scholar] [CrossRef]
- Wang, X.; Shen, K.; Wang, J.; Liu, K.; Wu, G.; Li, Y.; Luo, L.; Zheng, Z.; Hu, D. Hypoxic Preconditioning Combined with Curcumin Promotes Cell Survival and Mitochondrial Quality of Bone Marrow Mesenchymal Stem Cells, and Accelerates Cutaneous Wound Healing via PGC-1α/SIRT3/HIF-1α Signaling. Free Radic. Biol. Med. 2020, 159, 164–176. [Google Scholar] [CrossRef] [PubMed]
- Yang, J.; Chen, Z.; Pan, D.; Li, H.; Shen, J. Umbilical Cord-Derived Mesenchymal Stem Cell-Derived Exosomes Combined Pluronic F127 Hydrogel Promote Chronic Diabetic Wound Healing and Complete Skin Regeneration. Int. J. Nanomed. 2020, 15, 5911–5926. [Google Scholar] [CrossRef] [PubMed]
- Op’t Veld, R.C.; Walboomers, X.F.; Jansen, J.A.; Wagener, F.A.D.T.G. Design Considerations for Hydrogel Wound Dressings: Strategic and Molecular Advances. Tissue Eng. Part. B Rev. 2020, 26, 230–248. [Google Scholar] [CrossRef]
- Zhao, X. Antibacterial Anti-Oxidant Electroactive Injectable Hydrogel as Self-Healing Wound Dressing with Hemostasis and Adhesiveness for Cutaneous Wound Healing. Biomaterials 2017, 122, 34–47. [Google Scholar] [CrossRef]
- Liu, G.-F.; Zhang, D.; Feng, C.-L. Control of Three-Dimensional Cell Adhesion by the Chirality of Nanofibers in Hydrogels. Angew. Chem. Int. Ed. 2014, 53, 7789–7793. [Google Scholar] [CrossRef]
- Cai, W.; Hamushan, M.; Zhao, C.; Cheng, P.; Zhong, W.; Han, P. Influence of Supramolecular Chiral Hydrogel on Cellular Behavior of Endothelial Cells Under High-Glucose-Induced Injury. J. Shanghai Jiaotong Univ. 2021, 26, 17–24. [Google Scholar] [CrossRef]






Publisher’s Note: MDPI stays neutral with regard to jurisdictional claims in published maps and institutional affiliations. |
© 2022 by the authors. Licensee MDPI, Basel, Switzerland. This article is an open access article distributed under the terms and conditions of the Creative Commons Attribution (CC BY) license (https://creativecommons.org/licenses/by/4.0/).
Share and Cite
Zhang, Y.; Cai, W.; Ren, Z.; Lu, Y.; Hamushan, M.; Cheng, P.; Xu, Z.; Shen, H.; Zhao, C.; Han, P.; et al. Chiral Supramolecular Hydrogel Loaded with Dimethyloxalyglycine to Accelerate Chronic Diabetic Wound Healing by Promoting Cell Proliferation and Angiogenesis. Gels 2022, 8, 437. https://doi.org/10.3390/gels8070437
Zhang Y, Cai W, Ren Z, Lu Y, Hamushan M, Cheng P, Xu Z, Shen H, Zhao C, Han P, et al. Chiral Supramolecular Hydrogel Loaded with Dimethyloxalyglycine to Accelerate Chronic Diabetic Wound Healing by Promoting Cell Proliferation and Angiogenesis. Gels. 2022; 8(7):437. https://doi.org/10.3390/gels8070437
Chicago/Turabian StyleZhang, Yubo, Weijie Cai, Zun Ren, Yuxiang Lu, Musha Hamushan, Pengfei Cheng, Zhengyu Xu, Hao Shen, Changli Zhao, Pei Han, and et al. 2022. "Chiral Supramolecular Hydrogel Loaded with Dimethyloxalyglycine to Accelerate Chronic Diabetic Wound Healing by Promoting Cell Proliferation and Angiogenesis" Gels 8, no. 7: 437. https://doi.org/10.3390/gels8070437
APA StyleZhang, Y., Cai, W., Ren, Z., Lu, Y., Hamushan, M., Cheng, P., Xu, Z., Shen, H., Zhao, C., Han, P., & Zhong, W. (2022). Chiral Supramolecular Hydrogel Loaded with Dimethyloxalyglycine to Accelerate Chronic Diabetic Wound Healing by Promoting Cell Proliferation and Angiogenesis. Gels, 8(7), 437. https://doi.org/10.3390/gels8070437

