Fungal Sinusitis Spreading to the Sellar Region Mimicking a Pituitary Tumor: Case Report and Literature Review
Abstract
1. Introduction
2. Materials and Methods
3. Results
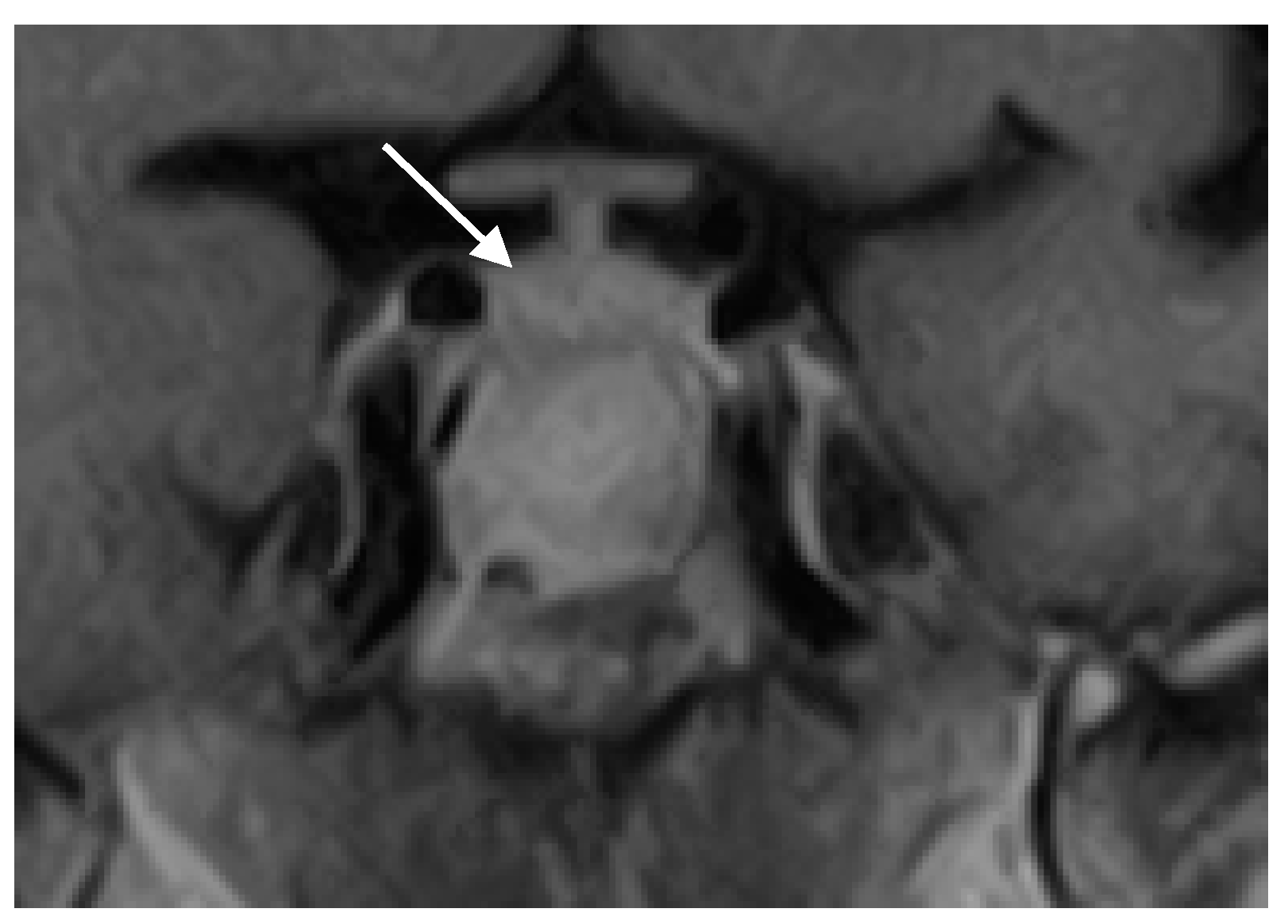
3.1. Case Presentation
3.2. Clinical Examination and Laboratory Findings
3.3. Surgical and Pathological Findings
3.4. Outcome
3.5. Literature Review
3.6. Clinical Presentation
3.7. Patient Characteristics and Imaging Findings
3.8. Fungal Pathogens, Endocrine Function and Treatment
3.9. Outcomes
4. Discussion
Future Research Directions
5. Conclusions
Author Contributions
Funding
Institutional Review Board Statement
Informed Consent Statement
Data Availability Statement
Conflicts of Interest
Abbreviations
| FS | Fungal sinusitis |
| AFS | Allergic fungal sinusitis |
| MRI | Magnetic resonance imaging |
| CT | Computed tomography |
| FT4 | Free thyroxine |
| TSH | Thyroid-stimulating hormone |
| ACTH | Adrenocorticotropic hormone |
| IGF-1 | Insulin-like growth factor 1 |
| H&E | Hematoxilin and eosin |
| SIADH | Syndrome of inappropriate secretion of antidiuretic hormone |
| AVP | Arginine vasopressin |
| PCR | Polymerase chain reaction |
| ENT | Ear, nose, and throat doctor |
References
- Ponikau, J.U.; Sherris, D.A.; Kern, E.B. The diagnosis and incidence of allergic fungal sinusitis. Mayo Clin. Proc. 1999, 74, 877–884. [Google Scholar] [CrossRef]
- Taylor, M.J.; Ponikau, J.U.; Sherris, D.A.; Kern, E.B.; Gaffey, T.A.; Kephart, G.; Kita, H. Detection of fungal organisms in eosinophillic mucin using a fluorescein-labeled chitin-spedific binding protein. Otolaryngol. Head Neck Surg. 2002, 127, 377–383. [Google Scholar] [CrossRef]
- Singh, V. Fungal rhinosinusitis: Unravelling the disease spectrum. J. Maxillofac. Oral Surg. 2019, 18, 164–179. [Google Scholar] [CrossRef]
- Taxy, J.B. Paranasal fungal sinusitis: Contributions of histopathology to diagnosis: A report of 60 cases and literature review. Am. J. Surg. Pathol. 2006, 30, 713–720. [Google Scholar] [CrossRef]
- Chakrabarti, A.; Denning, D.W.; Ferguson, B.J.; Ponikau, J.; Buzina, W.; Kita, H.; Marple, B.; Panda, N.; Vlaminck, S.; Kauffmann-Lacroix, C.; et al. Fungal rhinosinusitis: A categorization and definitional schema addressing current controversies. Laryngoscope 2009, 119, 1809–1818. [Google Scholar] [CrossRef] [PubMed]
- Denning, D.W.; Chakrabarti, A. Pulmonary and sinus fungal diseases in non-immunocompromised patients. Lancet Infect. Dis. 2017, 17, e357–e366. [Google Scholar] [CrossRef]
- Dykewicz, M.S.; Rodrigues, J.M.; Slavin, R.G. Allergic fungal rhinosinusitis. J. Allergy Clin. Immunol. 2018, 142, 341–351. [Google Scholar] [CrossRef]
- Deutsch, P.G.; Whittaker, J.; Prasad, S. Invasive and non-invasive fungal rhinosinusitis—A review and update of the evidence. Medicina 2019, 55, 319. [Google Scholar] [CrossRef]
- Akhondi, H.; Woldemariam, B.; Rajasurya, V. Fungal Sinusitis. In StatPearls [Internet]; StatPearls Publishing: Treasure Island, FL, USA, 2024. [Google Scholar]
- Arsenijević, V.A.; Denning, D.W. Estimated burden of serious fungal diseases in Serbia. J. Fungi 2018, 4, 76. [Google Scholar] [CrossRef] [PubMed]
- Schubert, M.S. Allergic fungal sinusitis. Otolaryngol. Clin. N. Am. 2004, 37, 301–326. [Google Scholar] [CrossRef] [PubMed]
- Schubert, M.S. Allergic fungal sinusitis. Pathogenesis and management strategies. Drugs 2004, 64, 363–374. [Google Scholar] [CrossRef] [PubMed]
- Saravanan, K.; Panda, N.K.; Chakrabarti, A.; Das, A.; Bapuraj, R.J. Allergic fungal rhinosinusitis. Arch. Otolaryngol. Head Neck Surg. 2006, 132, 173–178. [Google Scholar] [CrossRef]
- Segal, B.H. Aspergillus. N. Engl. J. Med. 2009, 360, 1870–1884. [Google Scholar] [CrossRef]
- Bozeman, S.; deShazo, R.; Stringer, S.; Wright, L. Complications of allergic fungal sinusitis. Am. J. Med. 2011, 124, 359–368. [Google Scholar] [CrossRef]
- Gupta, R.; Gupta, A.K.; Patro, S.K.; Yadav, J.; Chakrabarti, A.; Das, A.; Chatterjee, D. Allergic fungal rhino sinusitis with granulomas: A new entity? Med. Mycol. 2015, 53, 569–575. [Google Scholar] [CrossRef]
- Milosev, B.; el-Mahgoub, S.; Aal, O.A.; el-Hassan, A.M. Primary aspergilloma of paranasal sinuses in the Sudan. A review of seventeen cases. Br. J. Surg. 1969, 56, 132–137. [Google Scholar] [CrossRef]
- Wollschlaeger, G.; Wollschlaeger, P.B.; Lopez, V.F.; Zemel, H.J. A rare cause of occlusion of the internal carotid artery. Neuroradiology 1970, 1, 32–38. [Google Scholar] [CrossRef]
- Goldhammer, Y.; Smith, J.L.; Yates, B.M. Mycotic intrasellar abscess. Trans. Am. Ophthalmol. Soc. 1974, 72, 65–78. [Google Scholar] [CrossRef]
- Sekhar, L.N.; Dujovny, M.; Rao, G.R. Carotid-cavernous sinus thrombosis caused by Aspergillus fumigatus. Case report. J. Neurosurg. 1980, 52, 120–125. [Google Scholar] [CrossRef]
- Ramos-Gabatin, A.; Jordan, R.M. Primary pituitary aspergillosis responding to transsphenoidal surgery and combined therapy with amphotericin-B and 5-fluorocytosine: Case report. J. Neurosurg. 1981, 54, 839–841. [Google Scholar] [CrossRef]
- Yoshizawa, T.; Tomono, Y.; Nose, T.; Maki, Y. Juxtasellar mycotic abscess. Surg. Neurol. 1984, 21, 49–52. [Google Scholar] [CrossRef]
- Fuchs, H.A.; Evans, R.M.; Gregg, C.R. Invasive aspergillosis of the sphenoid sinus manifested as a pituitary tumor. South. Med. J. 1985, 78, 1365–1367. [Google Scholar] [CrossRef]
- Larrañaga, J.; Fandiño, J.; Gomez-Bueno, J.; Rodriguez, D.; Gonzalez-Carrero, J.; Botana, C. Aspergillosis of the sphenoid sinus simulating a pituitary tumor. Neuroradiology 1989, 31, 362–363. [Google Scholar] [CrossRef]
- Scanarini, M.; Rotilio, A.; Rigobello, L.; Pomes, A.; Parenti, A.; Alessio, L. Primary intrasellar coccidioidomycosis simulating a pituitary adenoma. Neurosurgery 1991, 28, 748–751. [Google Scholar] [CrossRef]
- Heary, R.F.; Maniker, A.H.; Wolansky, L.J. Candidal pituitary abscess: Case report. Neurosurgery 1995, 36, 1009–1012. [Google Scholar] [CrossRef]
- Kurita, H.; Shiokawa, Y.; Furuya, K.; Segawa, H.; Sano, K. Parasellar Aspergillus granuloma extending from the sphenoid sinus: Report of two cases. Surg. Neurol. 1995, 44, 489–494. [Google Scholar] [CrossRef]
- Kinsella, J.B.; Rassekh, C.H.; Bradfield, J.L.; Chaljub, G.; McNees, S.W.; Gourley, W.K.; Calhoun, K.H. Allergic fungal sinusitis with cranial base erosion. Head Neck 1996, 18, 211–217. [Google Scholar] [CrossRef]
- Parker, K.M.; Nicholson, J.K.; Cezayirli, R.C.; Biggs, P.J. Aspergillosis of the sphenoid sinus: Presentation as a pituitary mass and postoperative gallium-67 imaging. Surg. Neurol. 1996, 45, 354–358. [Google Scholar] [CrossRef]
- Jain, K.C.; Varma, A.; Mahapatra, A.K. Pituitary abscess: A series of six cases. Br. J. Neurosurg. 1997, 11, 139–143. [Google Scholar]
- Lee, H.; Park, Y.; Kim, K.; Ahn, C.; Lee, S.; Choi, K. Pituitary aspergillosis mimicking pituitary tumor. Am. J. Roentgenol. 2000, 175, 1570–1572. [Google Scholar] [CrossRef]
- Endo, T.; Numagami, Y.; Jokura, H.; Ikeda, H.; Shirane, R.; Yoshimoto, T. Aspergillus parasellar abscess mimicking radiation-induced neuropathy: Case report. Surg. Neurol. 2001, 56, 195–200. [Google Scholar] [CrossRef]
- Petrick, M.; Honegger, J.; Daschner, F.; Feuerhake, F.; Zentner, J. Fungal granuloma of the sphenoid sinus and clivus in a patient presenting with cranial nerve III paresis: Case report rand review of the literature. Neurosurgery 2003, 52, 955–958. [Google Scholar] [CrossRef]
- Iplikcioglu, A.C.; Bek, S.; Bikmaz, K.; Ceylan, D.; Gökduman, C.A. Aspergillus pituitary abscess. Acta Neurochir. 2004, 146, 521–524. [Google Scholar] [CrossRef]
- Dubey, A.; Patwardhan, R.V.; Sampth, S.; Santosh, V.; Kolluri, S.; Nanda, A. Intracranial fungal granuloma: Analysis of 40 patients and review of the literature. Surg. Neurol. 2005, 63, 254–260. [Google Scholar] [CrossRef]
- Pinzer, T.; Reiss, M.; Bourquain, H.; Krishnan, K.G.; Schackert, G. Primary aspergillosis of the sphenoid sinus with pituitary invasion—A rare differential diagnosis of sellar lesions. Acta Neurochir. 2006, 148, 1085–1090. [Google Scholar] [CrossRef]
- Akhaddar, A.; Gazzaz, M.; Albouzidi, A.; Lmimouni, B.; Elmostarchid, B.; Boucetta, M. Invasive Aspergillus terreus sinusitis with orbitocranial extension: Case report. Surg. Neurol. 2008, 69, 490–495. [Google Scholar] [CrossRef]
- Cestari, D.M.; Metson, R.B.; Cunnane, M.E.; Faquin, W.C. A 26-year-old man with blurred vision. N. Engl. J. Med. 2008, 359, 2825–2833. [Google Scholar] [CrossRef]
- Ingley, A.P.; Parikh, S.L.; DelGaudio, J.M. Orbital and cranial nerve presentations and sequelae are hallmarks of invasive fungal sinusitis caused by Mucor in contrast to Aspergillus. Am. J. Rhinol. 2008, 22, 155–158. [Google Scholar] [CrossRef]
- Hao, L.; Jing, C.; Bowen, C.; Min, H.; Chao, Y. Aspergillus sellar abscess: Case report and review of the literature. Neurol. India 2008, 56, 186–188. [Google Scholar]
- Salinas-Lara, C.; Rembao-Bojórquez, D.; de la Cruz, E.; Márquez, C.; Portocarrero, L.; Tena-Suck, M.L. Pituitary apoplexy due to mucormycosis infection in a patient with an ACTH producing pulmonary tumor. J. Clin. Neurosci. 2008, 15, 67–70. [Google Scholar] [CrossRef]
- Boutarbouch, M.; Arkha, Y.; El Ouahabi, A.; Derraz, S.; El Khamlichi, A. Sphenoid sinus aspergillosis simulating pituitary tumor in immunocompetent patient. J. Clin. Neurosci. 2009, 16, 840–841. [Google Scholar] [CrossRef] [PubMed]
- Reitzen, S.D.; Lebowitz, R.A.; Jacobs, J.B. Allergic fungal sinusitis with extensive bone erosion of the clivus presenting with diplopia. J. Laryngol. Otol. 2009, 123, 817–819. [Google Scholar] [CrossRef]
- Liu, W.; Chen, H.; Cai, B.; Li, G.; You, C.; Li, H. Successful treatment of sellar aspergillus abscess. J. Clin. Neurosci. 2010, 17, 1587–1589. [Google Scholar] [CrossRef] [PubMed]
- Pekic, S.; Arsic Arsenijevic, V.; Skender Gazibara, M.; Milojevic, T.; Pendjer, I.; Stojanovic, M.; Popovic, V. What lurks in the sellar? Lancet 2010, 375, 432. [Google Scholar] [CrossRef]
- Furtado, S.V.; Venkatesh, P.K.; Ghosal, N.; Hegde, A.S. Invasive sphenocavernous aspergilloma complicating an operated case of acromegaly. Skull Base Rep. 2011, 1, 33–38. [Google Scholar] [CrossRef]
- Ahmadzai, H.; Raley, D.A.; Masters, L.; Davies, M. An unusual case of a pituitary fossa aspergilloma in an immunocompetent patient mimicking infiltrative tumour. J. Surg. Case Rep. 2013, 4, rjt018. [Google Scholar] [CrossRef][Green Version]
- Liu, J.; You, C.; Tang, J.; Chen, L. Fungal pituitary abscess: Case report and review of the literature. Neurol. India 2013, 61, 210–212. [Google Scholar]
- Vijayvargiya, P.; Javed, I.; Moreno, J.; Mynt, M.A.; Kotapka, M.; Zaki, R.; Ortiz, J. Pituitary aspergillosis in a kidney transplant recipient and review of the literature. Transpl. Infect. Dis. 2013, 15, E196–E200. [Google Scholar] [CrossRef]
- Kalaycı, C.B.; Cevik, H. Isolated sphenoid fungal sinusitis and coexisting intrasellar mass lesion presenting with headache as the sole symptom. Acta Radiol. Short Rep. 2014, 3, 2047981614546794. [Google Scholar] [CrossRef] [PubMed]
- Hong, W.; Liu, Y.; Chen, M.; Lin, K.; Liao, Z.; Huang, S. Secondary headache due to aspergillus sellar abscess simulating a pituitary neoplasm: Case report and review of literature. Springerplus 2015, 4, 550. [Google Scholar] [CrossRef]
- Illing, E.A.; Dunlap, Q.; Woodworth, B.A. Outcomes of pressure-induced cranial neuropathies from allergic fungal rhinosinusitis. Otolaryngol. Head Neck Surg. 2015, 152, 541–545. [Google Scholar] [CrossRef] [PubMed]
- N’dri Oka, D.; Tokpa, A.; Derou, L.; Kouitcheu, R. Pituitary aspergillosis abscess in an immunocompetent black woman. A case report. Afr. J. Neurol. Sci. 2014, 33, 54–56. [Google Scholar]
- Ouyang, T.; Zhang, N.; Wang, L.; Jiao, J.; Zhao, Y.; Li, Z.; Chen, J. Primary Aspergillus sellar abscess simulating pituitary tumor in immunocompetent patient. J. Craniofac. Surg. 2015, 26, e86–e88. [Google Scholar] [CrossRef] [PubMed]
- Brenet, E.; Boulagnon-Rombi, C.; N’guyen, Y.; Litré, C.F. Cavernous sinus thrombosis secondary to aspergillus granuloma: A case report and review of the literature. Auris Nasus Larynx 2016, 43, 566–569. [Google Scholar] [CrossRef] [PubMed]
- Chang, Y.M.; Chang, Y.H.; Chien, K.H.; Liang, C.M.; Tai, M.C.; Nieh, S.; Chen, Y.J. Orbital apex syndrome secondary to aspergilloma masquerading as a paranasal sinus tumor: A case report and literature review. Medicine 2018, 97, e11650. [Google Scholar] [CrossRef]
- Chapurin, N.; Wang, C.; Steinberg, D.M.; Jang, D.W. Hyperprolactinemia secondary to allergic fungal sinusitis compressing the pituitary gland. Case Rep. Otolaryngol. 2016, 2016, 7260707. [Google Scholar] [CrossRef]
- Gao, L.; Guo, X.; Tian, R.; Wang, Q.; Feng, M.; Bao, X.; Deng, K.; Yao, Y.; Lian, W.; Wang, R.; et al. Pituitary abscess: Clinical manifestations, diagnosis and treatment of 66 cases from a large pituitary center over 23 years. Pituitary 2017, 20, 189–194. [Google Scholar] [CrossRef]
- Menendez, J.; Woodworth, B.; Johnston, J. Gynecomastia and hyperprolactinemia secondary to advaced allergic fungal rhinosinusitis in a pediatric patient. Turk. Neurosurg. 2016, 26, 166–168. [Google Scholar]
- Moore, L.A.; Erstine, E.M.; Prayson, R.A. Pituitary aspergillus infection. J. Clin. Neurosci. 2016, 29, 178–180. [Google Scholar] [CrossRef]
- Kawakami, H.; Mochizuki, K.; Ishida, K.; Ohkusu, K. Seven cases of localized invasive sino-orbital aspergillosis. Jpn. J. Ophthalmol. 2017, 61, 179–188. [Google Scholar] [CrossRef]
- Lim, J.; Rogers, T.; King, J.; Gaillard, F. Successful treatment of pituitary sella Aspergillus in a renal transplant recipient. J. Clin. Neurosci. 2017, 45, 138–140. [Google Scholar] [CrossRef] [PubMed]
- Strickland, B.A.; Pham, M.; Bakhsheshian, J.; Carmichael, J.; Weiss, M.; Zada, G. Endoscopic endonasal transsphenoidal drainage of a spontaneous Candida glabrata pituitary abscess. World Neurosurg. 2018, 109, 467–470. [Google Scholar] [CrossRef] [PubMed]
- Wardas, P.; Piotrowska-Seweryn, A.; Markowski, J.; Kaspera, M.; Symela, J.; Slaska-Kaspera, A. Chronic sphenoid sinusitis with bone destruction–surgical treatment of five patients. Pol. Przegląd Otorynolaryngol. 2017, 6, 46–53. [Google Scholar] [CrossRef]
- Kinberg, E.; Pacheco, C.; Stepan, K.; Zou, H.; Fowkes, M.; Iloreta, A. Pituitary aspergillosis presenting as macroadenoma: Case report and review of literature. J. Otolaryngol. ENT Res. 2018, 10, 110–112. [Google Scholar] [CrossRef]
- Saffarian, A.; Derakhshan, N.; Taghipour, M.; Eghbal, K.; Roshanfarzad, M.; Dehghanian, A. Sphenoid aspergilloma with headache and acute vision loss. World Neurosurg. 2018, 115, 159–161. [Google Scholar] [CrossRef]
- El Mograbi, A.; Ritter, A.; Najjar, E.; Soudry, E. Orbital complications of rhinosinusitis in the adult population: Analysis of cases presenting to a tertiary medical center over a 13-year period. Ann. Otol. Rhinol. Laryngol. 2019, 128, 563–568. [Google Scholar] [CrossRef]
- Li, H.; Gong, X.; Baidya, A.; Lu, Z. An unusual case of pituitary fossa aspergillus abscess in AIDS patient mimicking pituitary adenoma: Case report and literature review. Radiol. Infect. Dis. 2019, 6, 41–45. [Google Scholar] [CrossRef]
- Catarino, D.; Ribeiro, C.; Gomes, L.; Paiva, I. Corticotroph adenoma and pituitary fungal infection: A rare association. Endocrinol. Diabetes Metab. Case Rep. 2020, 2020, 20-0010. [Google Scholar] [CrossRef]
- Thakkar, K.; Ramteke-Jadhav, S.; Kasaliwal, R.; Memon, S.S.; Patil, V.; Thadani, P.; Lomte, N.; Sankhe, S.; Goel, A.; Epari, S.; et al. Sellar surprises: A single-centre experience of unusual sellar masses. Endocr. Connect. 2020, 9, 111–121. [Google Scholar] [CrossRef]
- Zhang, H.; Jiang, N.; Lin, X.; Wanggou, S.; Olson, J.J.; Li, X. Invasive sphenoid sinus aspergillosis mimicking sellar tumor: A report of 4 cases and systematic literature review. Chin. Neurosurg. J. 2020, 6, 10. [Google Scholar] [CrossRef]
- Chin, Y.H.; Yap, Y.L.; Chin, H.H.; Lau, B.K. Hypothalamic-pituitary fungal infection causing panhypopituitarism. Med. J. Malaysia 2021, 76, 606–609. [Google Scholar] [PubMed]
- Choi, E.; Kim, S.B.; Kim, J.H.; Yoon, Y.K. Lung aspergilloma with pituitary invasive aspergillosis presenting as headache and hyponatraemia. BMJ Case Rep. 2021, 14, e238721. [Google Scholar] [CrossRef]
- Mencinger, M.; Matos, T.; Popović, K.Š. Invasive sinus aspergillosis with mycotic aneurysm of the vertebral artery and subarachnoid hemorrhage—Case report. Radiol. Case Rep. 2021, 16, 2651–2657. [Google Scholar] [CrossRef] [PubMed]
- Mehta, S.; Gupta, K.; Patel Nakshiwala, N. Orbital apex syndrome due to Aspergillus flavus infection in immunocompetent patients: A report of two cases. Cureus 2023, 15, e43508. [Google Scholar] [CrossRef]
- Singh, M.; Zaita, B.M.; Singh, D.; Singh, A.; Kaur, G. Sphenoid sinus aspergilloma in an immunocompetent and an immunocompromised patient: A case report. Cureus 2023, 15, e34517. [Google Scholar] [CrossRef]
- Kim, Y.K.; Kim, H.J.; Kim, H.Y.; Cha, J.; Lee, J.Y.; Chung, S.K.; Dhong, H.J.; Song, M.; Kim, S.T. Extrasinonasal infiltrative process associated with a sinonasal fungus ball: Does it mean invasive fungal sinusitis? Diagn. Interv. Radiol. 2016, 22, 347–353. [Google Scholar] [CrossRef]
- Pekic, S.; Popovic, V. Chapter 18—Alternative causes of hypopituitarism: Traumatic brain injury, cranial irradiation and infections. In Handbook of Clinical Neurology; Volume 124 (3rd Series), Clinical Neuroendocrinology; Fliers, E., Korbonits, M., Romijn, J.A., Eds.; Elsevier: Amsterdam, The Netherlands, 2014; pp. 271–290. [Google Scholar]
- Pekic, S.; Popovic, V. Diagnosis of endocrine disease. Expanding the cause of hypopituitarism. Eur. J. Endocrinol. 2017, 176, R269–R282. [Google Scholar] [CrossRef]
- Pekic, S.; Miljic, D.; Popovic, V. Infections of the hypothalamic-pituitary region. In Endotext [Internet]; De Groot, L.J., Chrousos, G., Dungan, K., Feingold, K.R., Grossman, A., Hershman, J.M., Koch, C., Korbonits, M., McLachlan, R., New, M., et al., Eds.; MDText.com, Inc.: South Dartmouth, MA, USA, 2024; 2000-. [Google Scholar]
- Stringer, F.; Foong, Y.C.; Tan, A.; Hayman, S.; Zajac, J.D.; Grossmann, M.; Zane, J.N.Y.; Zhu, J.; Ayyappan, S. Pituitary abscess: A case report and systematic review of 488 cases. Orphanet J. Rare Dis. 2023, 18, 165. [Google Scholar] [CrossRef] [PubMed]
- Uri, N.; Cohen-Kerem, R.; Elmalah, I.; Doweck, I.; Greenberg, E. Classification of fungal sinusitis in immunocompetent patients. Otolaryngol. Head Neck Surg. 2003, 129, 372–378. [Google Scholar] [CrossRef]
- Katzenstein, A.L.; Sale, S.R.; Greenberger, P.A. Allergic Aspergillus sinusitis: A newly recognized form of sinusitis. J. Allergy Clin. Immunol. 1983, 72, 89–93. [Google Scholar] [CrossRef]
- Tyler, M.A.; Lam, K.; Marino, M.J.; Yao, W.C.; Schmale, I.; Citardi, M.J.; Luong, A.U. Revisiting the controversy: The role of fungi in chronic rhinosinusitis. Int. Forum Allergy Rhinol. 2021, 11, 1577–1587. [Google Scholar] [CrossRef]
- Kim, J.; Makary, C.A.; Roland, L.T.; Kuruvilla, M.; Lam, K.; Smith, K.A.; Magliocca, K.R.; Wise, S.K.; Toskala, E.; Fermin, J.M.; et al. What is allergic fungal sinusitis: A call to action. Int. Forum Allergy Rhinol. 2022, 12, 141–146. [Google Scholar] [CrossRef] [PubMed]
- Singh, N.; Bhalodiya, N.H. Allergic fungal sinusitis (AFS)—Earlier diagnosis and management. J. Laryngol. Otol. 2005, 119, 875–881. [Google Scholar] [CrossRef] [PubMed]
- Braun, H.; Buzina, W.; Freudenschuss, K.; Beham, A.; Stammberger, H. Eosinophilic fungal rhinosinusitis: A common disorder in Europe? Laryngoscope 2003, 113, 264–269. [Google Scholar] [CrossRef]
- Dolan, R.W.; Chowdhury, K. Diagnosis and treatment of intracranial complications of paranasal sinus infections. J. Oral Maxillofac. Surg. 1996, 53, 1080–1087. [Google Scholar] [CrossRef] [PubMed]
- Sahjpaul, R.L.; Lee, D.H. Infratentorial subdural empyema, pituitary abscess, and septic cavernous sinus thrombophlebitis secondary to paranasal sinusitis: Case report. Neurosurgery 1999, 44, 864–866. [Google Scholar] [CrossRef]
- Baradkar, V.P.; Mathur, M.; Rathi, M.; Kumar, S. Rhino-orbitocerebral infection caused by Aspergillus flavus in a diabetic patient. Bombay Hosp. J. 2008, 50, 107–109. [Google Scholar]
- Breuel, K.F.; Kougias, P.; Rice, P.J.; Wei, D.; De Ponti, K.; Wang, J.; Laffan, J.; Li, C.; Kalbfleisch, J.; Williams, D.L. Anterior pituitary cells express pattern recognition receptors for fungal glucans: Implications for neuroendocrine immune involvement in response to fungal infections. Neuroimmunomodulation 2004, 11, 1–9. [Google Scholar] [CrossRef]
- Shrestha, B.; Shrestha, P.; Shrestha, P.; Bastakoti, S.; Gupta, P.; Magar, S.R.A. SIADH secondary to rhino-orbito-cerebral mucormycosis: A case report. Clin. Case Rep. 2024, 12, e9491. [Google Scholar] [CrossRef]
- Dagher, R.; Calle, S.; Learned, K.O. Imaging approach for fungal sinusitis. Curr. Opin. Otolaryngol. Head Neck Surg. 2025, 35, 56–63. [Google Scholar] [CrossRef]
- Medikeri, G.; Javer, A. Optimal management of allergic fungal rhinosinusitis. J. Asthma Allergy 2020, 13, 323–332. [Google Scholar] [CrossRef] [PubMed]
- Tyler, M.A.; Luong, A.U. Current concepts in the management of allergic fungal rhinosinusitis. Immunol. Allergy Clin. N. Am. 2020, 40, 345–359. [Google Scholar] [CrossRef]
- Clark, S.; Campbell, C.K.; Sandison, A.; Choa, D.I. Schizophyllum commune: An unusual isolate from a patient with allergical fungal sinusitis. J. Infect. 1996, 32, 147–150. [Google Scholar] [CrossRef]
- Sigler, L.; Estrada, S.; Montealegre, N.A.; Jaramillo, E.; Arango, M.; De Bedout, C.; Restrepo, A. Maxillary sinusitis caused by Schizophyllum commune and experience with treatment. J. Med. Vet. Mycol. 1997, 35, 365–370. [Google Scholar] [CrossRef]
- Roh, M.L.; Tuazon, C.U.; Mandler, R.; Kwon-Chung, K.J.; Geist, C.E. Sphenocavernous syndrome associated with Schizophyllum commune infection of the sphenoid sinus. Ophtal Plast. Reconstr. Surg. 2005, 21, 71–74. [Google Scholar] [CrossRef] [PubMed]
- Tullio, V.; Mandras, N.; Banche, G.; Allizond, V.; Gaido, E.; Roana, J.; Cuffini, A.M.; Carlone, N.A. Schizophylolum commune: An unusual of agent bronchopneumonia in an immunocompromised patient. Med. Mycol. 2008, 46, 735–738. [Google Scholar] [CrossRef] [PubMed]
- Gan, E.C.; Thamboo, A.; Rudmik, L.; Hwang, P.H.; Ferguson, B.J.; Javer, A.R. Medical management of allergic fungal rhinosinusitis following endoscopic sinus surgery: An evidence-based review and recommendations. Int. Forum Allergy Rhinol. 2014, 4, 702–715. [Google Scholar] [CrossRef]
- Balkis, M.M.; Leidich, S.D.; Mukherjee, P.K.; Ghannoum, M.A. Mechanisms of fungal resistance: An overview. Drugs 2002, 62, 1025–1040. [Google Scholar] [CrossRef]
- Bellmann, R. Clinical pharmacokinetics of systemically administered antimycotics. Curr. Clin. Pharmacol. 2007, 2, 37–58. [Google Scholar] [CrossRef]
- Schubert, M.S.; Goetz, D.W. Evaluation and treatment of allergic fungal sinusitis. II: Treatment and follow-up. J. Allergy Clin. Immunol. 1998, 102, 395–402. [Google Scholar] [CrossRef]
- Thursky, K.A.; Playford, E.G.; Seymor, J.F.; Correll, T.C.; Ellis, D.H.; Guy, S.D.; Gliroy, N.; Chu, J.; Shaw, D.R. Recommendation for the treatment of established fungal infections. Intern. Med. J. 2008, 38, 496–520. [Google Scholar] [PubMed]



| Symptoms and Signs | n | % |
|---|---|---|
| Headache | 49 | 73.1 |
| Visual deterioration | 27 | 40.3 |
| Ophthalmoplegia (cranial nerve palsy) | 26 | 38.8 |
| Visual field defects | 9 | 13.4 |
| Hypogonadism | 6 | 9.0 |
| Dizziness | 5 | 7.5 |
| Galactorrhoea | 2 | 3.0 |
| Proptosis | 2 | 3.0 |
| Eye pain | 2 | 3.0 |
| Hemiparesis | 2 | 3.0 |
| Agitation | 1 | 1.5 |
| Altered sensorium | 1 | 1.5 |
| Gynecomastia | 1 | 1.5 |
| Syncope | 1 | 1.5 |
| Face pain | 1 | 1.5 |
| Ear pain | 1 | 1.5 |
| Seizures | 1 | 1.5 |
| Hyponatremia | 1 | 1.5 |
| Pituitary Function in Patients with Fungal Sinusitis with Propagation to the Sellar Region | ||
|---|---|---|
| n | % | |
| Hypopituitarism | 17 | 25.4 |
| Hyperprolactinemia | 9 | 13.4 |
| Normal | 10 | 14.9 |
| Elevated ACTH | 2 | 3.0 |
| Acromegaly | 1 | 1.5 |
| AVP deficiency | 1 | 1.5 |
| No data | 30 | 44.8 |
| Radiological and pathological findings | ||
| Pituitary abscess | 28 | 41.8 |
| Fungal granuloma | 11 | 16.4 |
| Aspergillosis | 11 | 16.4 |
| Allergic fungal sinusitis | 10 | 14.9 |
| Fungal sinusitis | 4 | 6.0 |
| Aspergillus infection | 3 | 4.5 |
| Outcome of surgical and antifungal treatment | ||
| Recovery | 45 | 67.2 |
| Regression | 6 | 9.0 |
| Recurrence | 2 | 3.0 |
| Persisted blindness | 1 | 1.5 |
| Death | 7 | 10.4 |
| Unknown | 6 | 9.0 |
| Symptoms and Signs (S&S) | Present (Yes/No) | Duration of S&S |
|---|---|---|
| Pain in head area | ||
| Head | ||
| Face | ||
| Ears | ||
| Eye | ||
| Visual problems | ||
| Visual deterioration | ||
| Ophthalmoplegia | ||
| Visual field loss | ||
| Nasal problems | ||
| Congestion | ||
| Runny nose | ||
| Sneezing | ||
| Cough | ||
| Weakened sense of smell/taste | ||
| Sleeping and/or day activity problem | ||
| Lack of good sleep | ||
| Waking up during the night | ||
| Waking up tired | ||
| Tiredness during the day | ||
Disclaimer/Publisher’s Note: The statements, opinions and data contained in all publications are solely those of the individual author(s) and contributor(s) and not of MDPI and/or the editor(s). MDPI and/or the editor(s) disclaim responsibility for any injury to people or property resulting from any ideas, methods, instructions or products referred to in the content. |
© 2025 by the authors. Licensee MDPI, Basel, Switzerland. This article is an open access article distributed under the terms and conditions of the Creative Commons Attribution (CC BY) license (https://creativecommons.org/licenses/by/4.0/).
Share and Cite
Pekic Djurdjevic, S.; Arsic Arsenijevic, V. Fungal Sinusitis Spreading to the Sellar Region Mimicking a Pituitary Tumor: Case Report and Literature Review. J. Fungi 2025, 11, 233. https://doi.org/10.3390/jof11030233
Pekic Djurdjevic S, Arsic Arsenijevic V. Fungal Sinusitis Spreading to the Sellar Region Mimicking a Pituitary Tumor: Case Report and Literature Review. Journal of Fungi. 2025; 11(3):233. https://doi.org/10.3390/jof11030233
Chicago/Turabian StylePekic Djurdjevic, Sandra, and Valentina Arsic Arsenijevic. 2025. "Fungal Sinusitis Spreading to the Sellar Region Mimicking a Pituitary Tumor: Case Report and Literature Review" Journal of Fungi 11, no. 3: 233. https://doi.org/10.3390/jof11030233
APA StylePekic Djurdjevic, S., & Arsic Arsenijevic, V. (2025). Fungal Sinusitis Spreading to the Sellar Region Mimicking a Pituitary Tumor: Case Report and Literature Review. Journal of Fungi, 11(3), 233. https://doi.org/10.3390/jof11030233

