A Loop-Mediated Isothermal Amplification Assay for the Rapid Detection of Didymella segeticola Causing Tea Leaf Spot
Abstract
1. Introduction
2. Materials and Methods
2.1. Strains
2.2. Culture Conditions and DNA Extraction
2.3. LAMP Primer Design
2.4. Optimization of LAMP Reaction Conditions
2.5. Detection of D. segeticola in Tea Plant Leaves
2.6. Detection of D. segeticola in Leaves from Fields
3. Results
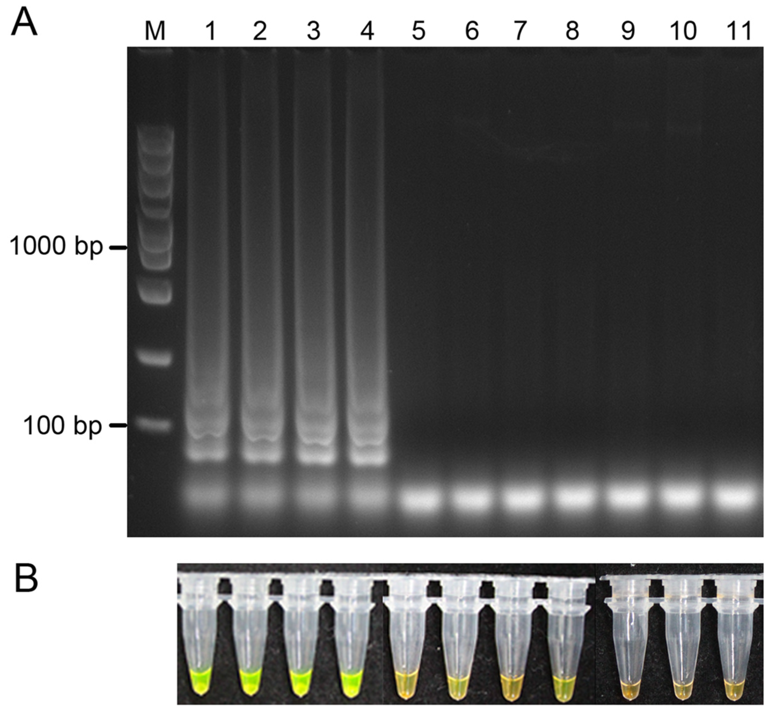
3.1. Specificity of the LAMP Assay
3.2. Optimization of the LAMP Reaction Conditions
3.3. Sensitivity of the LAMP Assays
3.4. Using the LAMP Assay to Detect D. segeticola in Inoculated Tea Leaves
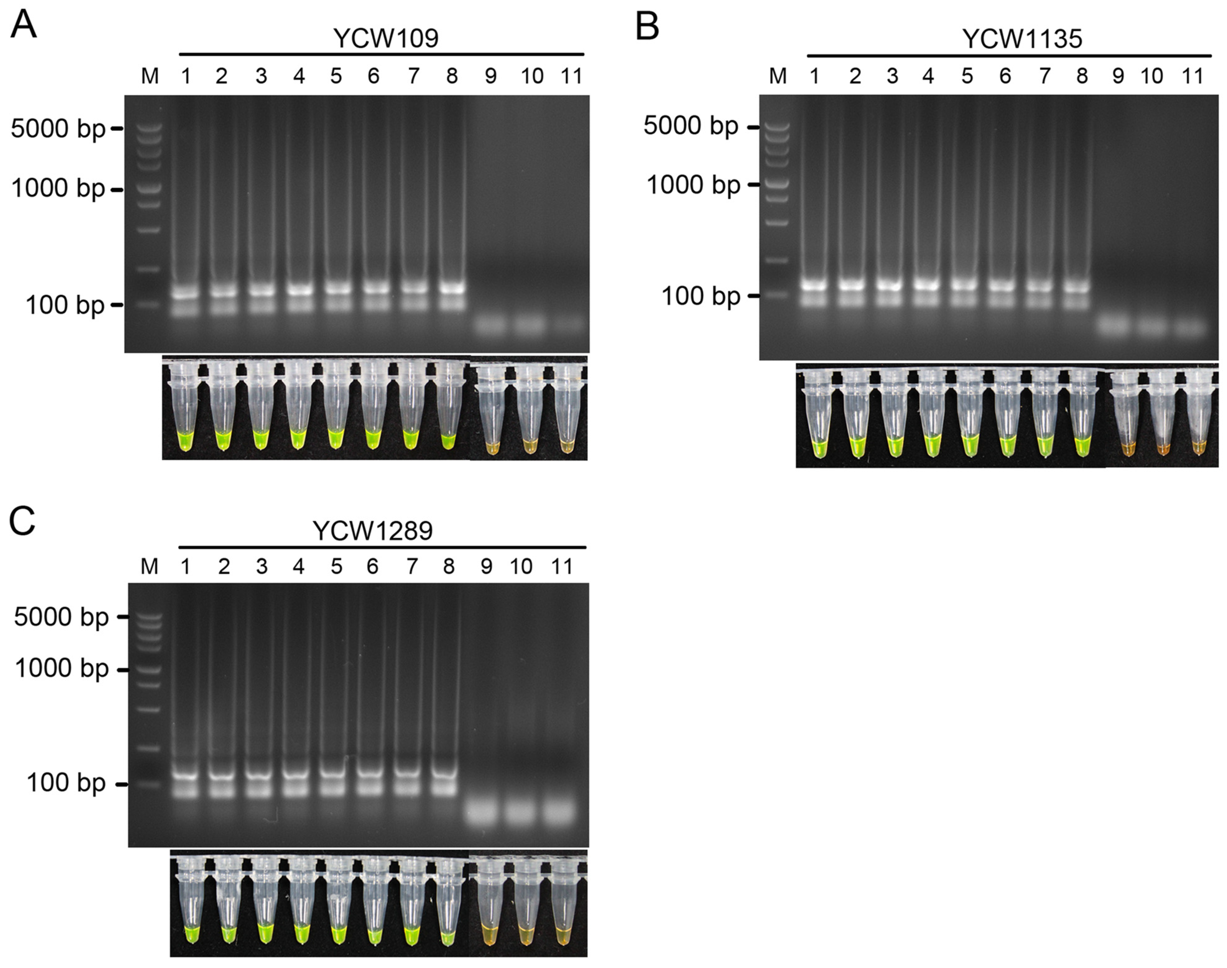
3.5. Using the LAMP Assay to Detect D. segeticola in the Field
4. Discussion
5. Conclusions
Supplementary Materials
Author Contributions
Funding
Institutional Review Board Statement
Informed Consent Statement
Data Availability Statement
Conflicts of Interest
References
- Hao, X.; Zhang, W.; Zhao, F.; Liu, Y.; Qian, W.; Wang, Y.; Zeng, J.; Yang, Y.; Wang, X. Discovery of plant viruses from tea plant (Camellia sinensis (L.) O. Kuntze) by metagenomic sequencing. Front. Microbiol. 2018, 9, 2175. [Google Scholar] [CrossRef] [PubMed]
- Manawasinghe, I.S.; Jayawardena, R.S.; Li, H.L.; Zhou, Y.Y.; Zhang, W.; Phillips, A.J.L.; Wanasinghe, D.N.; Dissanayake, A.J.; Li, X.H.; Li, Y.H.; et al. Microfungi associated with Camellia sinensis: A case study of leaf and shoot necrosis on tea in Fujian, China. Mycosphere 2021, 12, 430–518. [Google Scholar] [CrossRef]
- Tan, X.; Xie, H.; Yu, J.; Wang, Y.; Xu, J.; Xu, P.; Ma, B. Host genetic determinants drive compartment-specific assembly of tea plant microbiomes. Plant Biotechnol. J. 2022, 20, 2174–2186. [Google Scholar] [CrossRef] [PubMed]
- Kong, L.; Chen, J.; Dong, K.; Shafik, K.; Xu, W. Genomic analysis of Colletotrichum camelliae responsible for tea brown blight disease. BMC Genom. 2023, 24, 528. [Google Scholar] [CrossRef]
- Kumhar, K.C.; Babu, A.; Nisha, S.N. Management of tea (Camellia sinensis) diseases with application of microbes: A review. Innovare J. Agric. Sci. 2022, 10, 6–10. [Google Scholar]
- Orrock, J.M.; Rathinasabapathi, B.; Richter, B.S. Anthracnose in U. S. tea: Pathogen characterization and susceptibility among tea accessions. Plant Dis. 2020, 104, 1055–1059. [Google Scholar] [CrossRef] [PubMed]
- Zheng, S.; Chen, R.; Wang, Z.; Liu, J.; Cai, Y.; Peng, M.; Zhang, T.; Li, Y.; Wang, B.; Bao, J.; et al. High-quality genome assembly pf Pseudopestalotiopsis theae, the pathogenic fungus causing tea gray blight. Plant Dis. 2021, 105, 3723–3726. [Google Scholar] [CrossRef] [PubMed]
- Zhao, X.; Wang, Y.; Li, D.; Ren, Y.; Chen, Z. Morphological characterization and phylogenetic analysis of the pathogen Phoma segeticola var. camelliae causing a new tea disease. Acta Phytopathol. Sin. 2018, 48, 556–559. [Google Scholar]
- Deng, X.; Yang, J.; Wan, Y.; Han, Y.; Tong, H.; Chen, Y. Characteristics of leaf spot disease caused by Didymella species and the influence of infection on tea quality. Phytopathology 2023, 113, 516–527. [Google Scholar] [CrossRef] [PubMed]
- Ren, Y.; Li, D.; Zhao, X.; Wang, Y.; Bao, X.; Wang, X.; Wu, X.; Wang, D.; Song, B.; Chen, Z. Whole genome sequences of the tea leaf spot pathogen Didymella segeticola. Phytopathology 2019, 109, 1676–1678. [Google Scholar] [CrossRef]
- Mansotra, R.; Vakhlu, J. Comprehensive account of present techniques for in-field plant disease diagnosis. Arch. Microbiol. 2021, 203, 5309–5320. [Google Scholar] [CrossRef] [PubMed]
- Li, Q.; Zhu, J.; Ren, N.; Li, D.; Jin, Y.; Lu, W.; Lu, Q. Characteristics and pathogenicity of Discula theae-sinensis isolated from tea plant (Camellia sinensis) and interaction with Colletotrichum spp. Plants 2023, 12, 3427. [Google Scholar] [CrossRef] [PubMed]
- Patel, R.; Mitra, B.; Vinchurkar, M.; Adami, A.; Patkar, R.; Giacomozzi, F.; Lorenzelli, L.; Baghini, M.S. Plant pathogenicity and associated/related detection systems. A review. Talanta 2023, 251, 123808. [Google Scholar] [CrossRef] [PubMed]
- Jayawardena, R.S.; Zhang, W.; Liu, M.; Maharachchikumbura, S.S.; Zhou, Y.; Huang, J.; Nilthong, S.; Wang, Z.; Li, X.; Yan, J.; et al. Identification and characterization of Pestalotiopsis-like fungi related to grapevine diseases in China. Fungal Biol. 2015, 119, 348–361. [Google Scholar] [CrossRef] [PubMed]
- Liu, F.; Ma, Z.Y.; Hou, L.W.; Diao, Y.Z.; Wu, W.P.; Damm, U.; Song, S.; Cai, L. Updating species diversity of Colletotrichum, with a phylogenomic overview. Stud. Mycol. 2022, 101, 1–56. [Google Scholar] [CrossRef] [PubMed]
- Weir, B.S.; Johnston, P.R.; Damm, U. The Colletotrichum gloeosporioides species complex. Stud. Mycol. 2012, 73, 115–180. [Google Scholar] [CrossRef] [PubMed]
- Zhao, P.; Crous, P.W.; Hou, L.W.; Duan, W.J.; Cai, L.; Ma, Z.Y.; Liu, F. Fungi of quarantine concern for China I: Dothideomycetes. Persoonia 2021, 47, 45–105. [Google Scholar] [CrossRef] [PubMed]
- McCartney, H.A.; Foster, S.J.; Fraaije, B.A.; Ward, E. Molecular diagnostics for fungal plant pathogens. Pest Manag. Sci. 2003, 59, 129–142. [Google Scholar] [CrossRef] [PubMed]
- Chung, P.C.; Wu, H.Y.; Chen, Y.C.; Hung, T.H.; Chung, C.L. Development of a nested PCR assay for detecting Colletotrichum siamense and Colletotrichum fructicola on symptomless strawberry plants. PLoS ONE 2022, 17, e0270687. [Google Scholar] [CrossRef]
- Du, Y.; Wang, M.; Zou, L.; Long, M.; Yang, Y.; Zhang, Y.; Liang, X. Quantitative detection and monitoring of Colletotrichum siamense in rubber trees using real-time PCR. Plant Dis. 2021, 105, 2861–2866. [Google Scholar] [CrossRef]
- Hindson, B.J.; Ness, K.D.; Masquelier, D.A.; Belgrader, P.; Heredia, N.J.; Makarewicz, A.J.; Bright, I.J.; Lucero, M.Y.; Hiddessen, A.L.; Legler, T.C.; et al. High-throughput droplet digital PCR system for absolute quantitation of DNA copy number. Anal. Chem. 2011, 83, 8604–8610. [Google Scholar] [CrossRef] [PubMed]
- Zatti, M.S.; Arantes, T.D.; Theodoro, R.C. Isothermal nucleic acid amplification techniques for detection and identification of pathogenic fungi: A review. Mycoses 2020, 63, 1006–1020. [Google Scholar] [CrossRef]
- Lievens, B.; Justé, A.; Willems, K.A. Fungal plant pathogen detection in plant and soil samples using DNA macroarrays. Methods Mol. Biol. 2012, 835, 491–507. [Google Scholar] [PubMed]
- Shahid, M.S.; Sattar, M.N.; Iqbal, Z.; Raza, A.; Al-Sadi, A.M. Next-generation sequencing and the CRISPR-Cas nexus: A molecular plant virology perspective. Front. Microbiol. 2021, 11, 609376. [Google Scholar] [CrossRef]
- Werres, S.; Steffens, C. Immunological techniques used with fungal plant pathogens-aspects of antigens, antibodies and assays for diagnosis. Ann. Appl. Biol. 1994, 125, 615–643. [Google Scholar] [CrossRef]
- Compton, J. Nucleic acid sequence-based amplification. Nature 1991, 350, 91–92. [Google Scholar] [CrossRef] [PubMed]
- Fang, R.; Li, X.; Hu, L.; You, Q.; Li, J.; Wu, J.; Xu, P.; Zhong, H.; Luo, Y.; Mei, J.; et al. Cross-priming amplification for rapid detection of Mycobacterium tuberculosis in sputum specimens. J. Clin. Microbiol. 2009, 47, 845–847. [Google Scholar] [CrossRef]
- Fire, A.; Xu, S.Q. Rolling replication of short DNA circles. Proc. Natl. Acad. Sci. USA 1995, 92, 4641–4645. [Google Scholar] [CrossRef]
- Li, J.; Macdonald, J.; von Stetten, F. Review: A comprehensive summary of a decade development of the recombinase polymerase amplification. Analyst 2018, 144, 31–67. [Google Scholar] [CrossRef] [PubMed]
- Notomi, T.; Okayama, H.; Masubuchi, H.; Yonekawa, T.; Watanabe, K.; Amino, N.; Hase, T. Loop-mediated isothermal amplification of DNA. Nucleic Acids Res. 2000, 28, e63. [Google Scholar] [CrossRef]
- Vincent, M.; Xu, Y.; Kong, H. Helicase-dependent isothermal DNA amplification. EMBO Rep. 2004, 5, 795–800. [Google Scholar] [CrossRef] [PubMed]
- Walker, G.T.; Nadeau, J.G.; Spears, P.A.; Schram, J.L.; Nycz, C.M.; Shank, D.D. Multiplex strand displacement amplification (SDA) and detection of DNA sequences from Mycobacterium tuberculosis and other mycobacteria. Nucleic Acids Res. 1994, 22, 2670–2677. [Google Scholar] [CrossRef] [PubMed]
- Almasi, M.A. Development of a colorimetric loop-mediated isothermal amplification assay for the visual detection of Fusarium oxysporum f. sp. melonis. Hortic. Plant J. 2019, 5, 129–136. [Google Scholar] [CrossRef]
- Sun, H.; Sun, L.; Yang, L.; Wang, Z.; Xia, Z.; Yang, X.; Jiao, Z.; Feng, J.; Liang, Y. Loop-mediated isothermal amplification assay for rapid detection of Phoma macdonaldii, the causal agent of sunflower black stem. Plant Dis. 2022, 106, 260–265. [Google Scholar] [CrossRef] [PubMed]
- Yang, X.; Sun, L.; Sun, H.; Hong, Y.; Xia, Z.; Pang, W.; Piao, Z.; Feng, J.; Liang, Y. A loop-mediated isothermal DNA amplification (LAMP) assay for detection of the clubroot pathogen Plasmodiophora brassicae. Plant Dis. 2022, 106, 1730–1735. [Google Scholar] [CrossRef]
- Yao, J.; Huang, P.; Hou, X.; Yu, D. Rapid detection by a loop-mediated isothermal amplification assays based on EF-1α gene for stem rot on Cymbidium ensifolium. Eur. J. Plant Pathol. 2021, 86, 212–218. [Google Scholar] [CrossRef]
- Zhang, Y.; Li, X.; Zhang, S.; Ma, T.; Mao, C.; Zhang, C. Quantitative loop-mediated isothermal amplification detection of Ustilaginoidea virens causing tice false smut. Int. J. Mol. Sci. 2023, 24, 10388. [Google Scholar] [CrossRef]
- Tomita, N.; Mori, Y.; Kanda, H.; Notomi, T. Loop-mediated isothermal amplification (LAMP) of gene sequences and simple visual detection of products. Nat. Protoc. 2008, 3, 877–882. [Google Scholar] [CrossRef] [PubMed]
- Nagamine, K.; Kuzuhara, Y.; Notomi, T. Isolation of single-stranded DNA from loop-mediated isothermal amplification products. Biochem. Biophys. Res. Commun. 2002, 290, 1195–1198. [Google Scholar] [CrossRef] [PubMed]
- Fischbach, J.; Xander, N.C.; Frohme, M.; Glökler, J.F. Shining a light on LAMP assays’ A comparison of LAMP visualization methods including the novel use of berberine. Biotechniques 2018, 58, 189–194. [Google Scholar] [CrossRef]
- Goto, M.; Honda, E.; Ogura, A.; Nomoto, A.; Hanaki, K. Colorimetric detection of loop-mediated isothermal amplification reaction by using hydroxy naphthol blue. Biotechniques 2009, 46, 167–172. [Google Scholar] [CrossRef] [PubMed]
- Mori, Y.; Notomi, T. Loop-mediated isothermal amplification (LAMP): A rapid, accurate, and cost-effective diagnostic method for infectious diseases. J. Infect. Chemother. 2009, 15, 62–69. [Google Scholar] [CrossRef] [PubMed]
- Verma, S.; Avishek, K.; Sharma, V.; Negi, N.S.; Ramesh, V.; Salotra, P. Application of loop-mediated isothermal amplification assay for the sensitive and rapid diagnosis of visceral leishmaniasis and post-kala-azar dermal leishmaniasis. Diagn. Microbiol. Infect. Dis. 2013, 75, 390–395. [Google Scholar] [CrossRef] [PubMed]
- Denschlag, C.; Vogel, R.F.; Niessen, L. Hyd5 gene-based detection of the major gushing-inducing Fusarium spp. in a loop-mediated isothermal amplification (LAMP) assay. Int. J. Food Microbiol. 2012, 156, 189–196. [Google Scholar] [CrossRef] [PubMed]
- Kandan, A.; Akhtar, J.; Singh, B.; Pal, D.; Chand, D.; Agarwal, P.C.; Dubey, S.C. Application of loop-mediated isothermal amplification (LAMP) assay for rapid and sensitive detection of fungal pathogen, Colletotrichum capsici in Capsicum annuum. J. Environ. Biol. 2016, 37, 1355–1360. [Google Scholar]
- Niessen, L. Current state and future perspectives of loop-mediated isothermal amplification (LAMP)-based diagnosis of filamentous fungi and yeasts. Appl. Microbiol. Biotechnol. 2015, 99, 553–574. [Google Scholar] [CrossRef] [PubMed]
- Niessen, L.; Vogel, R.F. Detection of Fusarium graminearum DNA using a loop-mediated isothermal amplification (LAMP) assay. Int. J. Food Microbiol. 2010, 140, 183–191. [Google Scholar] [CrossRef] [PubMed]
- Shen, W.; Xu, G.; Sun, L.; Zhang, L.; Jiang, Z. Development of a loop-mediated isothermal amplification assay for rapid and sensitive detection of Sporisorium scitamineum in sugarcane. Ann. Appl. Biol. 2016, 168, 321–327. [Google Scholar] [CrossRef]
- Tian, Q.; Lu, C.; Wang, S.; Xiong, Q.; Zhang, H.; Wang, Y.; Zheng, X. Rapid diagnosis of soybean anthracnose caused by Colletotrichum truncatum using a loop-mediated isothermal amplification (LAMP) assay. Eur. J. Plant Pathol. 2017, 148, 785–793. [Google Scholar] [CrossRef]
- Chaliha, C.; Srivastava, R.; Kalita, E.; Sahoo, L.; Verma, P.K. Rapid and precise detection of cryptic tea pathogen Exobasidium vexans: Real Amp validation of LAMP approach. World J. Microbiol. Biotechnol. 2022, 39, 52. [Google Scholar] [CrossRef]
- Zou, H.Y.; Li, T.W.; Zhang, J.; Shao, H.; Kageyama, K.; Feng, W. Rapid detection of Colletotrichum siamense from infected tea plants using filter-disc DNA extraction and loop-mediated isothermal amplification. Plant Dis. 2023; online ahead of print. [Google Scholar] [CrossRef]
- Cai, L.; Hyde, K.D.; Taylor, P.W.J.; Weir, B.S.; Waller, J.M.; Abang, M.M.; Zhang, J.Z.; Yang, Y.L.; Phoulivong, S.; Liu, Z.Y.; et al. A polyphasic approach for studying Colletotrichum. Fungal Divers. 2009, 39, 183–204. [Google Scholar]
- Hou, L.W.; Groenewald, J.Z.; Pfenning, L.H.; Yarden, O.; Crous, P.W.; Cai, L. The phoma-like dilemma. Stud. Mycol. 2020, 96, 309–398. [Google Scholar] [CrossRef] [PubMed]
- Lu, Q.; Wang, Y.; Li, N.; Ni, D.; Yang, Y.; Wang, X. Differences in the characteristics and pathogenicity of Colletotrichum camelliae and C. fructicola isolated from the tea plant [Camellia sinensis (L.) O. Kuntze]. Front. Microbiol. 2018, 9, 3060. [Google Scholar] [CrossRef] [PubMed]
- Wang, Y.C.; Hao, X.Y.; Wang, L.; Xiao, B.; Wang, X.C.; Yang, Y.J. Diverse Colletotrichum species cause anthracnose of tea plants (Camellia sinensis (L.) O. Kuntze) in China. Sci. Rep. 2016, 6, 35287. [Google Scholar] [CrossRef]
- Wang, Y.; Tu, Y.; Chen, X.; Jiang, H.; Ren, H.; Lu, Q.; Wei, C.; Lv, W. Didymellaceae species associated with tea plant (Camellia sinensis) in China. MycoKeys 2024, 105, 217–251. [Google Scholar] [CrossRef] [PubMed]
- Lu, Y.; Wang, Y.; Yuan, X.; Huang, O.; Dong, Q.; Li, D.; Ding, S.; Ma, F.; Yu, H. Genomic comparative analysis of Cordyceps pseudotenuipes with other species from Cordyceps. Metabolites 2022, 12, 844. [Google Scholar] [CrossRef]
- Wang, Y.; Yang, Y.; Jiang, X.; Shi, J.; Yang, Y.; Jiang, S.; Li, D.; Wang, D.; Chen, Z. The sequence and integrated analysis of competing endogenous RNAs originating from tea leaves infected by the pathogen of tea leaf spot, Didymella segeticola. Plant Dis. 2022, 106, 1286–1290. [Google Scholar] [CrossRef] [PubMed]
- Chen, Q.; Zhang, K.; Zhang, G.Z.; Cai, L. A polyphasic approach to characterize two novel species of Phoma (Didymellaceae) from China. Phytotaxa 2015, 197, 267–281. [Google Scholar] [CrossRef]
- Huang, H.; Li, D.; Jiang, S.; Yang, R.; Yang, Y.; Xia, Z.; Jiang, X.; Zhao, Y.; Wang, D.; Song, B.; et al. Integrated transcriptome and proteome analysis reveals that the antimicrobial griseofulvin targets Didymella segeticola beta-tubulin to control tea leaf spot. Phytopathology 2023, 113, 194–205. [Google Scholar] [CrossRef] [PubMed]
- Ariyawansa, H.A.; Tsai, I.; Thambugala, K.M.; Chuang, W.Y.; Lin, S.R.; Hozzein, W.N.; Cheewangkoon, R. Species diversity of Pleosporalean taxa associated with Camellia sinensis (L.) Kuntze in Taiwan. Sci. Rep. 2020, 10, 12762. [Google Scholar] [CrossRef]
- Wong, Y.P.; Othman, S.; Lao, Y.L.; Radu, S.; Chee, H.Y. Loop-mediated isothermal amplification (LAMP): A versatile technique for detection of micro-organisms. J. Appl. Microbiol. 2018, 124, 626–643. [Google Scholar] [CrossRef] [PubMed]
- Nagamine, K.; Hase, T.; Notomi, T. Accelerated reaction by loop-mediated isothermal amplification using loop primers. Mol. Cell. Probes 2002, 16, 223–229. [Google Scholar] [CrossRef] [PubMed]
- Parida, M.; Sannarangaiah, S.; Dash, P.K.; Rao, P.V.L.; Morita, K. Loop-mediated isothermal amplification (LAMP): A new generation of innovative gene amplification technique; perspectives in clinical diagnosis of infectious diseases. Rev. Med. Virol. 2008, 18, 407–421. [Google Scholar] [CrossRef] [PubMed]
- Choi, C.W.; Hyun, J.W.; Hwang, R.Y.; Powell, C.A. Loop-mediated isothermal amplification assay for detection of Candidatus Liberibacter asiaticus, a causal agent of citrus huanglongbing. Plant Pathol. J. 2018, 34, 499–505. [Google Scholar] [CrossRef] [PubMed]
- Li, L.; Zhang, S.Y.; Zhang, C.Q. Establishment of a rapid detection method for rice blast fungus based on one-step loop-mediated isothermal amplification (LAMP). Plant Dis. 2019, 103, 1967–1973. [Google Scholar] [CrossRef] [PubMed]
- Wang, Q.W.; Zhang, C.Q. q-LAMP assays for the detection of Botryosphaeria dothidea causing Chinese hickory canker in trunk, water, and air samples. Plant Dis. 2019, 103, 3142–3149. [Google Scholar] [CrossRef]
- Cao, Y.; Wang, L.; Duan, L.; Li, J.; Ma, J.; Xie, S.; Shi, L.; Li, H. Development of a real-time fluorescence loop-mediated isothermal amplification assay for rapid and quantitative detection of Ustilago maydis. Sci. Rep. 2017, 7, 13394. [Google Scholar] [CrossRef] [PubMed]
- Peng, J.; Zhang, H.; Chen, F.; Zhang, X.; Xie, Y.; Hou, X.; Li, G.; Pu, J. Rapid and quantitative detection of Fusarium oxysporum f. sp. cubense race 4 in soil by real-time fluorescence loop-mediated isothermal amplification. J. Appl. Microbiol. 2015; 117, 1740–1749. [Google Scholar]
- Gomez-Gutierrez, S.V.; Goodwin, S.B. Loop-mediated isothermal amplification for detection of plant pathogens in wheat (Triticum aestivum). Front. Plant Sci. 2022, 13, 857673. [Google Scholar] [CrossRef]
- Thierry, M.; Chatet, A.; Fournier, E.; Tharreau, D.; Ioos, R. A PCR, qPCR, and LAMP toolkit for the detection of the wheat blast pathogen in seeds. Plants 2020, 9, 277. [Google Scholar] [CrossRef]






| Species | Collecting Location | Tested Isolates | GenBank Accessions | |||
|---|---|---|---|---|---|---|
| ITS | rpb2 | tub2 | LSU | |||
| Colletotrichum camelliae | Lishui, Zhejiang, China | LS_19 | MH463803 | / | MH478602 | / |
| Didymella coffeae-arabicae | Puer, Yunnan, China | YCW1972 | OP647946 | OP854293 | / | / |
| D. pomorum | Yunnan, China | YCW196 | OP647945 | OP854292 | OP854550 | OP836938 |
| D. segeticola | Yixing, Jiangsu, China | YCW109 | OP647864 | OP854211 | OP854392 | OP836867 |
| Lishui, Zhejiang, China | YCW192 | OP647940 | OP854287 | OP854444 | OP836877 | |
| Yunnan, China | YCW205 | OP647949 | OP854296 | OP854528 | OP836907 | |
| Wuxi, Jiangsu, China | YCW1111 | OP647871 | OP854218 | OP854397 | OP836869 | |
| Hangzhou, Zhejiang, China | YCW1135 | OP647884 | OP854231 | OP854507 | OP836941 | |
| Hangzhou, Zhejiang, China | YCW1289 | OP647910 | OP854257 | OP854430 | OP836875 | |
| Puer, Yunnan, China | YCW2007 | OP647948 | OP854295 | OP854512 | OP836934 | |
| Hangzhou, Zhejiang, China | YCW2184 | OP647961 | OP854308 | / | OP836933 | |
| D. sinensis | Puer, Yunnan, China | YCW1906 | OP647938 | OP854285 | OP854548 | / |
| Puer, Yunnan, China | YCW1950 | OP647943 | OP854290 | OP854549 | / | |
| Stagonosporopsis caricae | Puer, Yunnan, China | YCW1928 | OP648100 | / | OP854594 | OP837293 |
| Primer | Sequence (5′-3′) |
|---|---|
| F3 | CTTGGTCGAGCATAGAGCG |
| B3 | CCTAGTCAGCACGGAACAG |
| FIP | CAGGTGGACGTGGCGTGTTGCACGACCGTTTTGCACAAC |
| BIP | AGCGATGCATGCACGAGCATAGGAAGAGAGATGACAGGGT |
Disclaimer/Publisher’s Note: The statements, opinions and data contained in all publications are solely those of the individual author(s) and contributor(s) and not of MDPI and/or the editor(s). MDPI and/or the editor(s) disclaim responsibility for any injury to people or property resulting from any ideas, methods, instructions or products referred to in the content. |
© 2024 by the authors. Licensee MDPI, Basel, Switzerland. This article is an open access article distributed under the terms and conditions of the Creative Commons Attribution (CC BY) license (https://creativecommons.org/licenses/by/4.0/).
Share and Cite
Tu, Y.; Wang, Y.; Jiang, H.; Ren, H.; Wang, X.; Lv, W. A Loop-Mediated Isothermal Amplification Assay for the Rapid Detection of Didymella segeticola Causing Tea Leaf Spot. J. Fungi 2024, 10, 467. https://doi.org/10.3390/jof10070467
Tu Y, Wang Y, Jiang H, Ren H, Wang X, Lv W. A Loop-Mediated Isothermal Amplification Assay for the Rapid Detection of Didymella segeticola Causing Tea Leaf Spot. Journal of Fungi. 2024; 10(7):467. https://doi.org/10.3390/jof10070467
Chicago/Turabian StyleTu, Yiyi, Yuchun Wang, Hong Jiang, Hengze Ren, Xinchao Wang, and Wuyun Lv. 2024. "A Loop-Mediated Isothermal Amplification Assay for the Rapid Detection of Didymella segeticola Causing Tea Leaf Spot" Journal of Fungi 10, no. 7: 467. https://doi.org/10.3390/jof10070467
APA StyleTu, Y., Wang, Y., Jiang, H., Ren, H., Wang, X., & Lv, W. (2024). A Loop-Mediated Isothermal Amplification Assay for the Rapid Detection of Didymella segeticola Causing Tea Leaf Spot. Journal of Fungi, 10(7), 467. https://doi.org/10.3390/jof10070467

