Case Series of Rare Fungal Keratitides: Experiences from a Quaternary Eye Hospital in Sydney, Australia
Abstract
1. Introduction
2. Methods
3. Results
3.1. Case 1
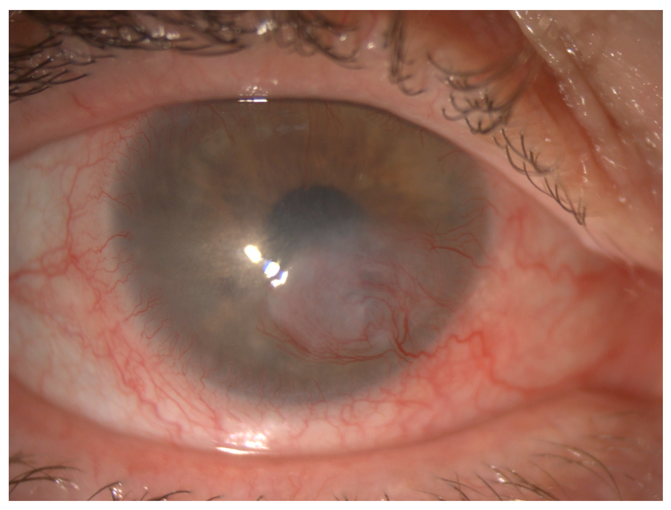
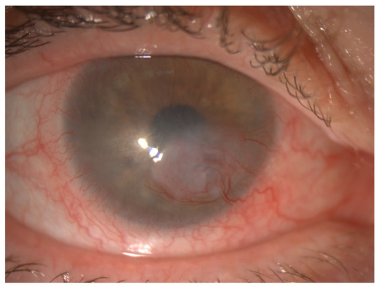
3.2. Case 2
3.3. Case 3
3.4. Case 4
3.5. Case 5
3.6. Case 6
4. Discussion
5. Conclusions
Author Contributions
Funding
Institutional Review Board Statement
Informed Consent Statement
Data Availability Statement
Acknowledgments
Conflicts of Interest
References
- Kalkanci, A.; Ozdek, S. Ocular Fungal Infections. Curr. Eye Res. 2010, 36, 179–189. [Google Scholar] [CrossRef] [PubMed]
- Ting, D.S.J.; Ho, C.S.; Deshmukh, R.; Said, D.G.; Dua, H.S. Infectious keratitis: An update on epidemiology, causative microorganisms, risk factors, and antimicrobial resistance. Eye 2021, 35, 1084–1101. [Google Scholar] [CrossRef] [PubMed]
- Jurkunas, U.; Behlau, I.; Colby, K. Fungal keratitis: Changing pathogens and risk factors. Cornea 2009, 28, 638–643. [Google Scholar] [CrossRef] [PubMed]
- Bhartiya, P.; Daniell, M.; Constantinou, M.; Islam, F.M.A.; Taylor, H. Fungal keratitis in Melbourne. Clin. Exp. Ophthalmol. 2007, 35, 124–130. [Google Scholar] [CrossRef]
- Watson, S.L.; Cabrera-Aguas, M.; Keay, L.; Khoo, P.; McCall, D.; Lahra, M.M. The clinical and microbiological features and outcomes of fungal keratitis over 9 years in Sydney, Australia. Mycoses 2019, 63, 43–51. [Google Scholar] [CrossRef]
- Tanure, M.A.G.; Cohen, E.J.; Sudesh, S.; Rapuano, C.J.; Laibson, P.R. Spectrum of fungal keratitis at Wills Eye Hospital, Philadelphia, Pennsylvania. Cornea 2000, 19, 307–312. [Google Scholar] [CrossRef]
- Marangon, F.B.; Miller, D.; Giaconi, J.A.; Alfonso, E.C. In vitro investigation of voriconazole susceptibility for keratitis and endophthalmitis fungal pathogens. Am. J. Ophthalmol. 2004, 137, 820–825. [Google Scholar] [CrossRef]
- Ler, D.; Pidro, A.; Miokovic, A.P. Challenging case of treating fungal keratitis. Rom. J. Ophthalmol. 2022, 66, 69–74. [Google Scholar] [CrossRef]
- Satpathy, G.; Ahmed, N.H.; Nayak, N.; Tandon, R.; Sharma, N.; Agarwal, T.; Vanathi, M.; Titiyal, J.S. Spectrum of mycotic keratitis in north India: Sixteen years study from a tertiary care ophthalmic centre. J. Infect. Public Health 2018, 12, 367–371. [Google Scholar] [CrossRef]
- Climate Change in Metropolitan Sydney. NSW Government. 24 January 2022. Available online: https://www.climatechange.environment.nsw.gov.au/metropolitan-sydney#:~:text=The%20region%20is%20projected%20to,C%20in%20the%20far%20future (accessed on 30 January 2023).
- Chew, R.; Woods, M.L. Epidemiology of fungal keratitis in Queensland, Australia. Clin. Exp. Ophthalmol. 2018, 47, 26–32. [Google Scholar] [CrossRef]
- Michaels, L.; Richardson, J.; Walkden, A.; Carley, F. Impact of the COVID-19 Pandemic on the Incidence and Characteristics of Culture-Positive Microbial Keratitis at a Tertiary Eye Hospital in the UK. Clin. Ophthalmol. 2022, 16, 2513–2519. [Google Scholar] [CrossRef] [PubMed]
- Murthy, S.I.; Takkar, B.; Mishra, D.K. Rapidly Progressing Fungal Keratitis with Endophthalmitis Post-Severe Acute Respiratory Syndrome Coronavirus 2 Infection. Am. J. Trop. Med. Hyg. 2022, 106, 1292–1294. [Google Scholar] [CrossRef] [PubMed]
- Gassner, M.; Zainah, H.; Arbach, D.; Li, H.; Stone, C.; Ramesh, M.; Rivers, E. A Rare Case of Syncephalastrum racemosum Invasive Pulmonary Infection after Transplantation. Chest 2013, 144, 242A. [Google Scholar] [CrossRef]
- Irshad, M.; Nasir, N.; Hashmi, U.H.; Farooqi, J.; Mahmood, S.F. Invasive pulmonary infection by Syncephalastrum species: Two case reports and review of literature. Idcases 2020, 21, e00913. [Google Scholar] [CrossRef]
- Mamali, V.; Koutserimpas, C.; Manoloudaki, K.; Zarkotou, O.; Samonis, G.; Vrioni, G. Necrotizing Skin and Soft Tissue Infection Due to Syncephalastrum Species and Fusarium solani Species Complex Following Open Tibia Fracture. Diagnostics 2022, 12, 1163. [Google Scholar] [CrossRef]
- Kuan, C.S.; Yew, S.M.; Toh, Y.F.; Chan, C.L.; Lim, S.K.; Lee, K.W.; Na, S.L.; Hoh, C.-C.; Yee, W.-Y.; Ng, K.P. Identification and Characterization of a Rare Fungus, Quambalaria cyanescens, Isolated from the Peritoneal Fluid of a Patient after Nocturnal Intermittent Peritoneal Dialysis. PLoS ONE 2015, 10, e0145932. [Google Scholar] [CrossRef]
- Sigler, L.; Harris, J.L.; Dixon, D.M.; Flis, A.L.; Salkin, I.F.; Kemna, M.; Duncan, R.A. Microbiology and potential virulence of Sporothrix cyanescens, a fungus rarely isolated from blood and skin. J. Clin. Microbiol. 1990, 28, 1009–1015. [Google Scholar] [CrossRef]
- Tambini, R.; Farina, C.; Fiocchi, R.; Dupont, B.; Guého, E.; DelVecchio, G.; Mamprin, F.; Gavazzeni, G. Possible pathogenic role for Sporothrix cyanescens isolated from a lung lesion in a heart transplant patient. J. Med. Vet. Mycol. 1996, 34, 195–198. [Google Scholar] [CrossRef]
- de Beer, Z.W.; Begerow, D.; Bauer, R.; Pegg, G.S.; Crous, P.W.; Wingfield, M.J. Phylogeny of the Quambalariaceae fam. nov., including important Eucalyptus pathogens in South Africa and Australia. Stud. Mycol. 2006, 55, 289–298. [Google Scholar] [CrossRef]
- Paap, T.; Burgess, T.I.; McComb, J.A.; Shearer, B.L.; Hardy, G.E.S.J. Quambalaria species, including Q. coyrecup sp. nov., implicated in canker and shoot blight diseases causing decline of Corymbia species in the southwest of Western Australia. Mycol. Res. 2008, 112, 57–69. [Google Scholar] [CrossRef]
- Brasnu, E.; Bourcier, T.; Dupas, B.; Degorge, S.; Rodallec, T.; Laroche, L.; Borderie, V.; Baudouin, C. In vivo confocal microscopy in fungal keratitis. Br. J. Ophthalmol. 2006, 91, 588–591. [Google Scholar] [CrossRef] [PubMed]
- Sangwan, V.S.; Vaddavalli, P.K.; Biyani, A.M. Role of Confocal Microscopy in Understanding the Response of Fungal Keratitis to Anti Fungal Therapy. Investig. Ophthalmol. Vis. Sci. 2009, 50, 3715. [Google Scholar]
- Bakken, I.M.; Jackson, C.J.; Utheim, T.P.; Villani, E.; Hamrah, P.; Kheirkhah, A.; Nielsen, E.; Hau, S.; Lagali, N.S. The use of in vivo confocal microscopy in fungal keratitis—Progress and challenges. Ocul. Surf. 2022, 24, 103–118. [Google Scholar] [CrossRef] [PubMed]
- Kumar, R.L.; Cruzat, A.; Hamrah, P. Current State of In Vivo Confocal Microscopy in Management of Microbial Keratitis. Semin. Ophthalmol. 2010, 25, 166–170. [Google Scholar] [CrossRef] [PubMed]
- Suwarna, S.; Arushi, K.; Indu, S.; Manoj, K. Fungal Keratitis: Recent Advances in Diagnosis and Treatment. In Infectious Eye Diseases; Alejandro, R.-G., Julio, C.H.-C., Eds.; IntechOpen: London, UK, 2021. [Google Scholar]
- Tu, E.Y. Alternaria Keratitis: Clinical presentation and resolution with topical fluconazole or intrastromal voriconazole and topical caspofungin. Cornea 2009, 28, 116–119. [Google Scholar] [CrossRef] [PubMed]
- Troke, P.; Obenga, G.; Gaujoux, T.; Goldschmidt, P.; Bienvenu, A.-L.; Cornet, M.; Grenouillet, F.; Pons, D.; Ranque, S.; Sitbon, K.; et al. The efficacy of voriconazole in 24 ocular Fusarium infections. Infection 2012, 41, 15–20. [Google Scholar] [CrossRef]
- Hurtado-Sarrió, M.; Duch-Samper, A.; Cisneros-Lanuza, A.; Díaz-Llopis, M.; Peman-Garcíia, J.; Vazquez-Polo, A. Successful topical application of caspofungin in the treatment of fungal keratitis refractory to voriconazole. Arch. Ophthalmol. 2010, 128, 941–942. [Google Scholar] [CrossRef]
- Neoh, C.F.; Daniell, M.; Chen, S.C.-A.; Stewart, K.; Kong, D.C.M. Clinical utility of caspofungin eye drops in fungal keratitis. Int. J. Antimicrob. Agents 2014, 44, 96–104. [Google Scholar] [CrossRef]
- Neoh, C.F.; Jacob, J.; Leung, L.; Li, J.; Stathopoulos, A.; Stewart, K.; Kong, D.C.M. Stability of extemporaneously prepared 0.5-percent caspofungin eye drops: A potential cost-savings exercise. Antimicrob. Agents Chemother. 2012, 56, 3435–3437. [Google Scholar] [CrossRef]
- Mclintock, C.A.; Lee, G.; Atkinson, G. Management of recurrent Paecilomyces lilacinus keratitis. Clin. Exp. Optom. 2012, 96, 343–345. [Google Scholar] [CrossRef]
- Gracitelli, C.P.B.; Ferrar, P.V.; Pereira, C.A.P.; Hirai, F.E.; de Freitas, D. A case of recurrent keratitis caused by Paecilomyces lilacinus and treated by voriconazole. Arq. Bras. Oftalmol. 2019, 82, 152–154. [Google Scholar] [CrossRef] [PubMed]
- Nulens, E.; Eggink, C.; Rijs, A.J.M.M.; Wesseling, P.; Verweij, P.E. Keratitis caused by Scedosporium apiospermum successfully treated with a cornea transplant and voriconazole. J. Clin. Microbiol. 2003, 41, 2261–2264. [Google Scholar] [CrossRef] [PubMed]
- Prajna, N.V.; Lalitha, P.; Krishnan, T.; Rajaraman, R.; Radnakrishnan, N.; Srinivasan, M.; Devi, L.; Das, M.; Liu, Z.; Zegans, M.E.; et al. Patterns of Antifungal Resistance in Adult Patients With Fungal Keratitis in South India: A Post Hoc Analysis of 3 Randomized Clinical Trials. JAMA Ophthalmol. 2022, 140, 179–184. [Google Scholar] [CrossRef] [PubMed]
- Nagappan, V.; Deresinski, S. Reviews of anti-infective agents: Posaconazole: A broad-spectrum triazole antifungal agent. Clin. Infect. Dis. Off. Publ. Infect. Dis. Soc. Am. 2007, 45, 1610–1617. [Google Scholar] [CrossRef] [PubMed]
- Torres, H.A.; Hachem, R.Y.; Chemaly, R.F.; Kontoyiannis, D.P.; Raad, I.I. Posaconazole: A broad-spectrum triazole antifungal. Lancet Infect. Dis. 2005, 5, 775–785. [Google Scholar] [CrossRef] [PubMed]
- Oliveira, M.A.; Carmo, A.; Rosa, A.; Murta, J. Posaconazole in the treatment of refractory Purpureocillium lilacinum (former Paecilomyces lilacinus) keratitis: The salvation when nothing works. BMJ Case Rep. 2019, 12, e228645. [Google Scholar] [CrossRef] [PubMed]
- Arnoldner, M.A.; Kheirkhah, A.; Jakobiec, F.A.; Durand, M.L.; Hamrah, P. Successful treatment of Paecilomyces lilacinus keratitis with oral posaconazole. Cornea 2014, 33, 747–749. [Google Scholar] [CrossRef]
- Ferguson, T.J.; Downes, R.A.; Isada, C.M.; Goshe, J.M. High-Dose Oral Posaconazole for the Treatment of Recalcitrant Fungal Keratitis. Cornea 2022, 41, 852–856. [Google Scholar] [CrossRef]
- Turner, L.D.; Conrad, D. Retrospective case-series of Paecilomyces lilacinus ocular mycoses in Queensland, Australia. BMC Res. Notes 2015, 8, 627. [Google Scholar] [CrossRef]
- Altun, A.; Kurna, S.A.; Sengor, T.; Altun, G.; Olcaysu, O.O.; Aki, S.F.; Simsek, M.H. Effectiveness of posaconazole in recalcitrant fungal keratitis resistant to conventional antifungal drugs. Case Rep. Ophthalmol. Med. 2014, 2014, 701653. [Google Scholar] [CrossRef]
- Lackner, M.; de Hoog, G.S.; Yang, L.; Moreno, L.F.; Ahmed, S.A.; Andreas, F.; Kaltseis, J.; Nagl, M.; Lass-Flörl, C.; Risslegger, B.; et al. Proposed nomenclature for Pseudallescheria, Scedosporium and related genera. Fungal Divers. 2014, 67, 1–10. [Google Scholar] [CrossRef]
- Arthur, S.; Steed, L.L.; Apple, D.J.; Peng, Q.; Howard, G.; Escobar-Gomez, M. Scedosporium prolificans keratouveitis in association with a contact lens retained intraocularly over a long term. J. Clin. Microbiol. 2001, 39, 4579–4582. [Google Scholar] [CrossRef] [PubMed]
- Kumar, B.; Crawford, G.J.; Morlet, G.C. Scedosporium prolificans corneoscleritis: A successful outcome. Aust. N. Z. J. Ophthalmol. 1997, 25, 169–171. [Google Scholar] [CrossRef] [PubMed]
- Moriarty, A.P.; Crawford, G.J.; McAllister, I.L.; Constable, I. Fungal corneoscleritis complicating beta-irradiation-induced scleral necrosis following pterygium excision. Eye 1993, 7, 525–528. [Google Scholar] [CrossRef] [PubMed]
- Sullivan, L.J.; Snibson, G.; Joseph, C.; Taylor, H.R. Scedosporiutn prolificans sclerokeratitis. Aust. N. Z. J. Ophthalmol. 1994, 22, 207–209. [Google Scholar] [CrossRef] [PubMed]
- Singh, R.P.; McCluskey, P. Scedosporium prolificans sclerokeratitis 10 years after pterygium excision with adjunctive mitomycin C. Clin. Exp. Ophthalmol. 2005, 33, 433–434. [Google Scholar] [CrossRef] [PubMed]
- Kidd, S.E.; Halliday, C.L.; Haremza, E.; Gardam, D.J.; Chen, S.C.A.; Elvy, J.A. Attitudes of Australasian Clinicians and Laboratory Staff to Changing Fungal Nomenclature: Has Mycological Correctness Really Gone Mad? Microbiol. Spectr. 2022, 10, e0237721. [Google Scholar] [CrossRef]
- Hindman, H.B. Rationale for adjunctive topical corticosteroids in bacterial keratitis. Arch. Ophthalmol. 2009, 127, 97–102. [Google Scholar] [CrossRef]
- Stern, G.A.; Buttross, M. Use of Corticosteroids in combination with antimicrobial drugs in the treatment of infectious corneal disease. Ophthalmology 1991, 98, 847–853. [Google Scholar] [CrossRef]
- Chatterjee, S.M.; Agrawal, D.M. Use of Topical Cyclosporine 0.1% in Therapeutic Penetrating Keratoplasty for Fungal Keratitis. Cornea 2021, 41, 1116–1121. [Google Scholar] [CrossRef]
- Zhang, M.; Yang, X.; Wang, D.; Yu, C.; Sun, S. Antifungal activity of immunosuppressants used alone or in combination with fluconazole. J. Appl. Microbiol. 2018, 126, 1304–1317. [Google Scholar] [CrossRef]
- Thomson, A. The effects of cyclosporin A on non-T cell components of the immune system. J. Autoimmun. 1992, 5, 167–176. [Google Scholar] [CrossRef]
- Chaurasia, S.; Mundra, J.; Dhakal, R.; Mohamed, A.; Jha, G.; Joseph, J.; Murthy, S. Outcomes of therapeutic penetrating keratoplasty in 198 eyes with fungal keratitis. Indian J. Ophthalmol. 2019, 67, 1599–1605. [Google Scholar] [CrossRef] [PubMed]
- Maniam, A.; Min, L.C.; Phang, L.K.; Vendargon, F.M.; Othman, O. Postoperative Fungal Keratitis Managed by Anterior Chamber Washout and Intracameral Amphotericin-B: A Report of Two Cases. Cureus 2021, 13, e20769. [Google Scholar] [CrossRef] [PubMed]
- Zloty, P.; Villavicencio, O.; Belin, M.W. Aggressive Debridement Improves Outcome of Fungal Keratitis. Asia-Pac. J. Ophthalmol. 2013, 2, 217–220. [Google Scholar] [CrossRef] [PubMed]
- Guber, I.; Bergin, C.; Majo, F. Repeated Intrastromal Injections of Voriconazole in Combination with Corneal Debridement for Recalcitrant Fungal Keratitis—A Case Series. Klin. Mon. Augenheilkd. 2016, 233, 369–372. [Google Scholar] [CrossRef] [PubMed]
- Sun, Y.; Sun, Z.; Chen, Y.; Deng, G. Corneal Debridement Combined with Intrastromal Voriconazole for Recalcitrant Fungal Keratitis. J. Ophthalmol. 2018, 2018, 1875627. [Google Scholar] [CrossRef] [PubMed]
- Wang, J.-Y.; Wang, D.-Q.; Qi, X.-L.; Cheng, J.; Xie, L.-X. Modified ulcer debridement in the treatment of the superficial fungal infection of the cornea. Int. J. Ophthalmol. 2018, 11, 223–229. [Google Scholar] [CrossRef]





| Case | Age | Sex | Eye | Immunosuppression or Risk Factor | Fungal Organism (Specimen) | Past Ocular History | Comorbidities | Treatment | BVCA | |
|---|---|---|---|---|---|---|---|---|---|---|
| Medical | Surgical | |||||||||
| 1 | 66 | M | RE | Mycophenolate, cyclosporin. Cattle farmer. Steroids for ocular herpes zoster (right eye). Medication non-compliance | Syncephalastrum racemosum Bacillus sp. (corneal scrape) | Right eye pseudophakic, Glaucoma Shingles | Non-Hodgkin’s lymphoma with allogenic stem cell transplant | Topical voriconazole + ciclosporin + amphotericin B | Nil | 6/120-1 |
| 2 | 59 | F | LE | Contact lens wear. Gardening. Steroids for ocular rosacea. Gestational diabetes | Scedosporium apiospermum Paenibacillus sp. (corneal scrape) | Nil | Gestational diabetes (recent HbA1c 6.1%) | Topical caspofungin. | Therapeutic corneal debridement (outpatient) | 6/9+1 |
| 3 | 24 | M | LE | Significant ocular history | Purpureocillium lilacinum (vitreous fluid) | Keratoconus Recurrent keratitis Atraumatic corneal perforation | Nil | Topical voriconazole + PO posaconazole | Total penetrating keratoplasty PPV/IVI/AC washout + lensectomy | 6/60 |
| 4 | 45 | F | LE | Nil | Cladosporium spp. (corneal scrape) | LASIK | Nil | Topical amphotericin B + topical caspofungin. | Therapeutic corneal debridement (outpatient) | 6/6 |
| 5 | 55 | F | RE | Contact lens wearer | Lomentospora prolificans Micrococcus luteus (corneal scrape) | Nil | Nil | Topical natamycin | Nil | 6/9-2 |
| 6 | 81 | F | RE | Right eye trabeculectomy one month prior | Quambalaria sp. Penicillium sp. (corneal scrape) | Glaucoma | Hypertension hypothyroidism | PO moxifloxacin + Topical ofloxacin + gentamicin + ceftazidime | PPV/IVI/AC washout Evisceration | Eviscerated |
| Case 1 | Case 2 | Case 3 | Case 4 | Case 5 | Case 6 | |
|---|---|---|---|---|---|---|
| Syncephalastrum racemosum | Scedosporium apiospermum | Purpureocillium lilacinum | Cladosporium spp. | Lomentospora prolificans | Quambalaria sp. | |
| Amphotericin B | 0.5 | >8 | >8 | N/A | >8 | N/A |
| Fluconazole | >256 | 8 | 16 | >256 | ||
| Flucytosine | >64 | >64 | >64 | >64 | ||
| Isavuconazole | 4 | 2 | 1 | >8 | ||
| Itraconazole | 0.5 | 1 | >16 | >16 | ||
| Micafungin | >8 | 0.25 | 0.12 | >8 | ||
| Posaconazole | 0.5 | 1 | 0.5 | >8 | ||
| Voriconazole | >8 | 0.5 | 0.25 | >8 |
Disclaimer/Publisher’s Note: The statements, opinions and data contained in all publications are solely those of the individual author(s) and contributor(s) and not of MDPI and/or the editor(s). MDPI and/or the editor(s) disclaim responsibility for any injury to people or property resulting from any ideas, methods, instructions or products referred to in the content. |
© 2023 by the authors. Licensee MDPI, Basel, Switzerland. This article is an open access article distributed under the terms and conditions of the Creative Commons Attribution (CC BY) license (https://creativecommons.org/licenses/by/4.0/).
Share and Cite
Xuan, R.; Hong, S.C.; Trinh, T.; Coroneo, M.T.; Petsoglou, C. Case Series of Rare Fungal Keratitides: Experiences from a Quaternary Eye Hospital in Sydney, Australia. J. Fungi 2023, 9, 589. https://doi.org/10.3390/jof9050589
Xuan R, Hong SC, Trinh T, Coroneo MT, Petsoglou C. Case Series of Rare Fungal Keratitides: Experiences from a Quaternary Eye Hospital in Sydney, Australia. Journal of Fungi. 2023; 9(5):589. https://doi.org/10.3390/jof9050589
Chicago/Turabian StyleXuan, Rachel, Sheng Chiong Hong, Tanya Trinh, Minas T. Coroneo, and Constantinos Petsoglou. 2023. "Case Series of Rare Fungal Keratitides: Experiences from a Quaternary Eye Hospital in Sydney, Australia" Journal of Fungi 9, no. 5: 589. https://doi.org/10.3390/jof9050589
APA StyleXuan, R., Hong, S. C., Trinh, T., Coroneo, M. T., & Petsoglou, C. (2023). Case Series of Rare Fungal Keratitides: Experiences from a Quaternary Eye Hospital in Sydney, Australia. Journal of Fungi, 9(5), 589. https://doi.org/10.3390/jof9050589

