Ssn6 Interacts with Polar Tube Protein 2 and Transcriptional Repressor for RNA Polymerase II: Insight into Its Involvement in the Biological Process of Microsporidium Nosema bombycis
Abstract
1. Introduction
2. Materials and Methods
2.1. Parasite and Host
2.2. Cloning and Bioinformatic Analysis of Nbssn6 and Nbtrrp2 Genes
2.3. Expression and Purification of Nbssn6 Recombinant Protein
2.4. Preparation of Nbssn6 Polyclonal Antibodies and Western Blot Analysis
2.5. Immunolocalization of Nbssn6 in N. Bombycis
2.6. CO-IP Analyses
2.7. Yeast Two-Hybrid Assay
2.8. RNAi and RT-qPCR
3. Results
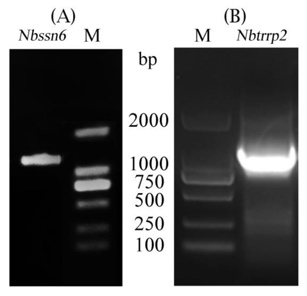
3.1. Cloning and Sequence Analysis of Nbssn6 and Nbtrrp2 Genes
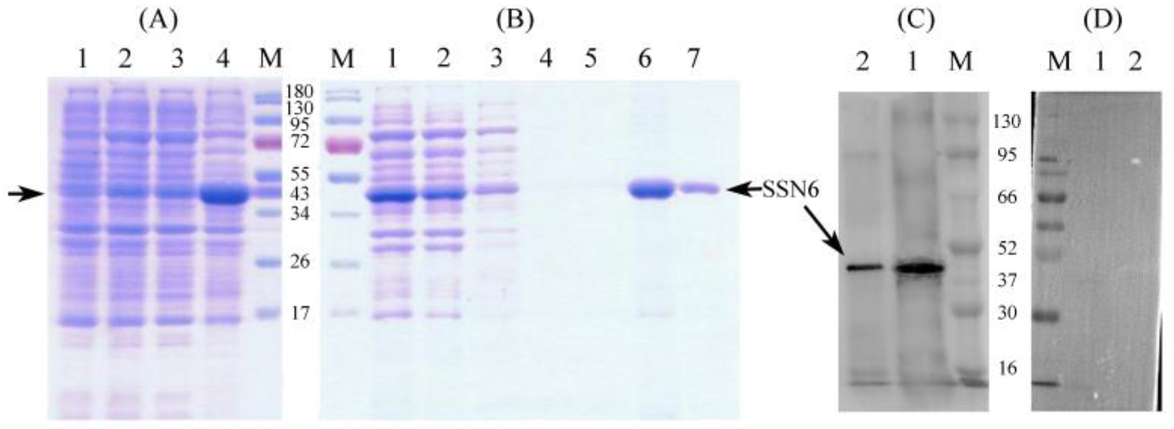
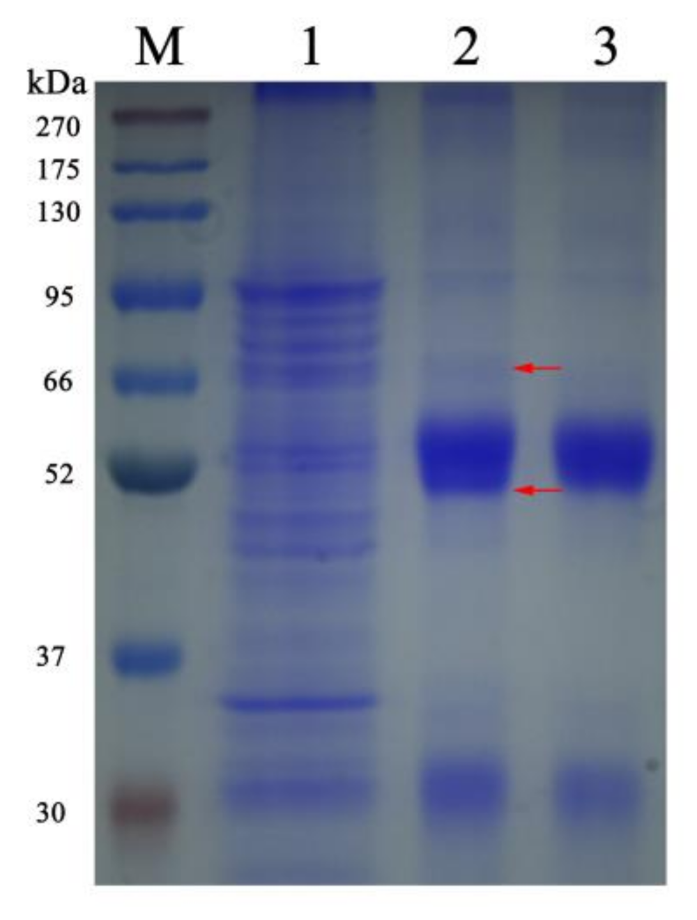
3.2. Expression and Western Blot Analysis of Nbssn6 Protein
3.3. Subcellular Localization of Nbssn6 Protein in N. Bombycis
3.4. Co-Immunoprecipitation and Mass Spectrometry Analysis
3.5. Interaction between Nbssn6 and Nbtrrp2 and Knockdown of the Nbssn6 Gene Down-regulated the Transcription Level of the Nbtrrp2 Gene
3.6. Interaction between Nbssn6 and Nbptp2 and the Knockdown of the Nbssn6 Gene Down-regulated the Transcription Level of the Nbptp2 Gene
3.7. Knockdown of the Nbssn6 Gene Down-regulated the Proliferation Level of N. Bombycis
4. Discussion
Author Contributions
Funding
Institutional Review Board Statement
Informed Consent Statement
Data Availability Statement
Acknowledgments
Conflicts of Interest
References
- Stentiford, G.D.; Becnel, J.; Weiss, L.M.; Keeling, P.J.; Didier, E.S.; Williams, B.P.; Bjornson, S.; Kent, M.L.; Freeman, M.A.; Brown, M.J.F.; et al. Microsporidia—Emergent Pathogens in the Global Food Chain. Trends Parasitol. 2016, 32, 336–348. [Google Scholar] [CrossRef] [PubMed]
- Fransen, M.; Amery, L.; Hartig, A.; Brees, C.; Rabijns, A.; Mannaerts, G.P.; Van Veldhoven, P.P. Comparison of the PTS1- and Rab8b-binding properties of Pex5p and Pex5Rp/TRIP8b. Biochim. Biophys. Acta 2008, 1783, 864–873. [Google Scholar] [CrossRef] [PubMed]
- Higes, M.; Martin-Hernandez, R.; Botias, C.; Bailon, E.G.; Gonzalez-Porto, A.V.; Barrios, L.; Del Nozal, M.J.; Bernal, J.L.; Jimenez, J.J.; Palencia, P.G.; et al. How natural infection by Nosema ceranae causes honeybee colony collapse. Environ. Microbiol. 2008, 10, 2659–2669. [Google Scholar] [CrossRef]
- Barandun, J.; Hunziker, M.; Vossbrinck, C.R.; Klinge, S. Evolutionary compaction and adaptation visualized by the structure of the dormant microsporidian ribosome. Nat. Microbiol. 2019, 4, 1798–1804. [Google Scholar] [CrossRef] [PubMed]
- Corradi, N. Microsporidia: Eukaryotic Intracellular Parasites Shaped by Gene Loss and Horizontal Gene Transfers. Annu. Rev. Microbiol. 2015, 69, 167–183. [Google Scholar] [CrossRef] [PubMed]
- Vavra, J.; Hylis, M.; Fiala, I.; Nebesarova, J. Globulispora mitoportans n.g., n. sp., (Opisthosporidia: Microsporidia) a microsporidian parasite of daphnids with unusual spore organization and prominent mitosome-like vesicles. J. Invertebr. Pathol. 2016, 135, 43–52. [Google Scholar] [CrossRef] [PubMed]
- Vavra, J.; Lukes, J. Microsporidia and ‘the art of living together’. Adv. Parasitol. 2013, 82, 253–319. [Google Scholar]
- Becnel, J.J.; Andreadis, T.G. Microsporidia in Insects. In The Microsporidia and Microsporidiosis, 2nd ed.; Wittner, M., Weiss, L.M., Eds.; Wiley: Hoboken, NJ, USA, 2014; Volume 14, pp. 521–570. [Google Scholar]
- Chen, J.; Guo, W.; Dang, X.; Huang, Y.; Liu, F.; Meng, X.; An, Y.; Long, M.; Bao, J.; Zhou, Z.; et al. Easy labeling of proliferative phase and sporogonic phase of microsporidia Nosema bombycis in host cells. PLoS ONE 2017, 12, e0179618. [Google Scholar] [CrossRef]
- Liu, H.; Pan, G.; Dang, X.; Li, T.; Zhou, Z. Characterization of active ribosomal RNA harboring MITEs insertion in microsporidian Nosema bombycis genome. Parasitol. Res. 2013, 112, 1011–1020. [Google Scholar] [CrossRef]
- Keeling, P.J.; Fast, N.M. Microsporidia: Biology and evolution of highly reduced intracellular parasites. Annu. Rev. Microbiol. 2002, 56, 93–116. [Google Scholar] [CrossRef]
- Lin, L.; Pan, G.; Li, T.; Dang, X.; Deng, Y.; Ma, C.; Chen, J.; Luo, J.; Zhou, Z. The protein import pore Tom40 in the microsporidian Nosema bombycis. J. Eukaryot. Microbiol. 2012, 59, 251–257. [Google Scholar] [CrossRef] [PubMed]
- Burri, L.; Williams, B.A.; Bursac, D.; Lithgow, T.; Keeling, P.J. Microsporidian mitosomes retain elements of the general mitochondrial targeting system. Proc. Natl. Acad. Sci. USA 2006, 24, 15916–15920. [Google Scholar] [CrossRef] [PubMed]
- Pan, G.; Xu, J.; Li, T.; Xia, Q.; Liu, S.L.; Zhang, G.; Li, S.; Li, C.; Liu, H.; Yang, L.; et al. Comparative genomics of parasitic silkworm microsporidia reveal an association between genome expansion and host adaptation. BMC Genom. 2013, 16, 186. [Google Scholar] [CrossRef] [PubMed]
- Wiredu Boakye, D.; Jaroenlak, P.; Prachumwat, A.; Williams, T.A.; Bateman, K.S.; Itsathitphaisarn, O.; Sritunyalucksana, K.; Paszkiewicz, K.H.; Moore, K.A.; Stentiford, G.D.; et al. Decay of the glycolytic pathway and adaptation to intranuclear parasitism within Enterocytozoonidae microsporidia. Environ. Microbiol. 2017, 19, 2077–2089. [Google Scholar] [CrossRef] [PubMed]
- Jian, L.; He, Q.; Xu, J.-Z.; Xu, C.; Han, Y.-Z.; Gao, H.-L.; Meng, X.-Z.; Pan, G.-Q.; Li, T.; Zhou, Z.-Y. Microsporidia infection upregulates host energy metabolism but maintains ATP homeostasis. J. Invertebr. Pathol. 2021, 18, 107596. [Google Scholar]
- Zeytuni, N.; Zarivach, R. Structural and functional discussion of the tetra-trico-peptide repeat, a protein interaction module. Structure 2012, 20, 397–405. [Google Scholar] [CrossRef]
- Lu, F.; Wei, Z.; Luo, Y.; Guo, H.; Zhang, G.; Xia, Q.; Wang, Y. SilkDB 3.0: Visualizing and exploring multiple levels of data for silkworm. Nucleic Acids Res. 2020, 48, D749–D755. [Google Scholar] [CrossRef]
- Brocard, C.; Hartig, A. Peroxisome targeting signal 1: Is it really a simple tripeptide? Biochim. Biophys. Acta 2006, 1763, 1565–1573. [Google Scholar] [CrossRef]
- Baker, M.J.; Frazier, A.E.; Gulbis, J.M.; Ryan, M.T. Mitochondrial protein-import machinery: Correlating structure with function. Trends Cell Biol. 2007, 17, 456–464. [Google Scholar] [CrossRef]
- Mirus, O.; Bionda, T.; von Haeseler, A.; Schleiff, E. Evolutionarily evolved discriminators in the 3-TPR domain of the Toc64 family involved in protein translocation at the outer membrane of chloroplasts and mitochondria. J. Mol. Model. 2009, 15, 971–982. [Google Scholar] [CrossRef]
- Zhang, Z.; Roe, S.M.; Diogon, M.; Kong, E.; El Alaoui, H.; Barford, D. Molecular structure of the N-terminal domain of the APC/C subunit Cdc27 reveals a homo-dimeric tetratricopeptide repeat architecture. J. Mol. Biol. 2010, 397, 1316–1328. [Google Scholar] [CrossRef] [PubMed]
- Lee, J.E.; Oh, J.H.; Ku, M.; Kim, J.; Lee, J.S.; Kang, S.O. Ssn6 has dual roles in Candida albicans filament development through the interaction with Rpd31. FEBS Lett. 2015, 589, 513–520. [Google Scholar] [CrossRef] [PubMed]
- Tartas, A.; Zarkadas, C.; Palaiomylitou, M.; Gounalaki, N.; Tzamarias, D.; Vlassi, M. Ssn6-Tup1 global transcriptional co-repressor: Role of the N-terminal glutamine-rich region of Ssn6. PLoS ONE 2017, 12, e0186363. [Google Scholar] [CrossRef]
- Fagerstrom-Billai, F.; Durand-Dubief, M.; Ekwall, K.; Wright, A.P. Individual subunits of the Ssn6-Tup11/12 corepressor are selectively required for repression of different target genes. Mol. Cell Biol. 2007, 27, 1069–1082. [Google Scholar] [CrossRef]
- Garcia-Sanchez, S.; Mavor, A.L.; Russell, C.L.; Argimon, S.; Dennison, P.; Enjalbert, B.; Brown, A.J. Global roles of Ssn6 in Tup1- and Nrg1-dependent gene regulation in the fungal pathogen, Candida albicans. Mol. Biol. Cell 2005, 16, 2913–2925. [Google Scholar] [CrossRef] [PubMed]
- Wendell, D.L.; Bisson, L.F. Expression of high-affinity glucose transport protein Hxt2p of Saccharomyces cerevisiae is both repressed and induced by glucose and appears to be regulated posttranslationally. J. Bacteriol. 1994, 176, 3730–3737. [Google Scholar] [CrossRef] [PubMed][Green Version]
- Treitel, M.A.; Carlson, M. Repression by SSN6-TUP1 is directed by MIG1, a repressor/activator protein. Proc. Natl. Acad. Sci. USA 1995, 11, 3132–3136. [Google Scholar] [CrossRef]
- Liu, X.; Bushnell, D.A.; Kornberg, R.D. RNA polymerase II transcription: Structure and mechanism. Biochim. Biophys. Acta 2013, 1829, 2–8. [Google Scholar] [CrossRef]
- Woychik, N.A.; Young, R.A. RNA polymerase II: Subunit structure and function. Trends Biochem. Sci. 1990, 15, 347–351. [Google Scholar] [CrossRef]
- Greenblatt, J. RNA polymerase II holoenzyme and transcriptional regulation. Curr. Opin. Cell Biol. 1997, 9, 310–319. [Google Scholar] [CrossRef]
- Lee, G.; Wu, J.; Luu, P.; Ghazal, P.; Flores, O. Inhibition of the association of RNA polymerase II with the preinitiation complex by a viral transcriptional repressor. Proc. Natl. Acad. Sci. USA 1996, 93, 2570–2575. [Google Scholar] [CrossRef] [PubMed]
- Zaman, Z.; Ansar, A.Z.; Koh, S.S.; Young, R.; Ptashne, M. Interaction of a transcriptional repressor with the RNA polymerase II holoenzyme plays a crucial role in repression. Proc. Natl. Acad. Sci. USA 2001, 98, 2550–2554. [Google Scholar] [CrossRef]
- Deuschle, U.; Hipskind, R.A.; Bujard, H. RNA polymerase II transcription blocked by Escherichia coli lac repressor. Science 1990, 248, 480–483. [Google Scholar] [CrossRef]
- Flores-Saaib, R.D.; Courey, A.J. Analysis of Groucho-histone interactions suggests mechanistic similarities between Groucho- and Tup1-mediated repression. Nucleic Acids Res. 2000, 28, 4189–4196. [Google Scholar] [CrossRef] [PubMed]
- Pickles, L.M.; Roe, S.M.; Hemingway, E.J.; Stifani, S.; Pearl, L.H. Crystal structure of the C-terminal WD40 repeat domain of the human Groucho/TLE1 transcvwriptional corepressor. Structure 2002, 10, 751–761. [Google Scholar] [CrossRef]
- Grbavec, D.; Lo, R.; Liu, Y.; Greenfield, A.; Stifani, S. Groucho/transducin-like enhancer of split (TLE) family members interact with the yeast transcriptional co-repressor SSN6 and mammalian SSN6-related proteins: Implications for evolutionary conservation of transcription repression mechanisms. Biochem. J. 1999, 337, 13–17. [Google Scholar] [CrossRef] [PubMed]
- Waterhouse, A.; Bertoni, M.; Bienert, S.; Studer, G.; Tauriello, G.; Gumienny, R.; Heer, F.T.; de Beer, T.A.P.; Rempfer, C.; Bordoli, L.; et al. SWISS-MODEL: Homology modelling of protein structures and complexes. Nucleic Acids Res. 2018, 46, W296–W303. [Google Scholar] [CrossRef]
- Almagro Armenteros, J.J.; Tsirigos, K.D.; Sonderby, C.K.; Petersen, T.N.; Winther, O.; Brunak, S.; von Heijne, G.; Nielsen, H. SignalP 5.0 improves signal peptide predictions using deep neural networks. Nat. Biotechnol. 2019, 37, 420–423. [Google Scholar] [CrossRef]
- Letunic, I.; Bork, P. 20 years of the SMART protein domain annotation resource. Nucleic Acids Res. 2018, 46, D493–D496. [Google Scholar] [CrossRef]
- Letunic, I.; Khedkar, S.; Bork, P. SMART: Recent updates, new developments and status in 2020. Nucleic Acids Res. 2021, 49, D458–D460. [Google Scholar] [CrossRef]
- Mihaly, V.; Anyango, S.; Deshpande, M.; Nair, S.; Natassia, C.; Yordanova, G.; Yuan, D.; Stroe, O.; Wood, G.; Laydon, A.; et al. AlphaFold Protein Structure Database: Massively expanding the structural coverage of protein-sequence space with high-accuracy models. Nucleic Acids Res. 2022, 50, D439–D444. [Google Scholar]
- Qi, J.; Zhu, F.; Shao, L.; Chen, Y.; Li, J.; He, P.; Shang, R.; Sun, F.; Wang, Q.; Zhang, Y.; et al. CCTdelta colocalizes with actin and beta-tubulin: Insight into its involvement in the cytoskeleton formation of the intracellular parasite Nosema bombycis. J. Invertebr. Pathol. 2021, 184, 107646. [Google Scholar] [CrossRef] [PubMed]
- Huang, Y.; Zheng, S.; Mei, X.; Yu, B.; Sun, B.; Li, B.; Wei, J.; Chen, J.; Li, T.; Pan, G.; et al. A secretory hexokinase plays an active role in the proliferation of Nosema bombycis. Peer J. 2018, 21, e5658. [Google Scholar] [CrossRef] [PubMed]
- D’Andrea, L.D.; Regan, L. TPR proteins: The versatile helix. Trends Biochem. Sci. 2003, 28, 655–662. [Google Scholar] [CrossRef] [PubMed]
- Takayanagi, H.; Yuzawa, S.; Sumimoto, H. Structural basis for the recognition of the scaffold protein Frmpd4/Preso1 by the TPR domain of the adaptor protein LGN. Acta Crystallogr. F Struct. Biol. Commun. 2015, 71, 175–183. [Google Scholar] [CrossRef]
- Bowman, A.; Lercher, L.; Singh, H.R.; Zinne, D.; Timinszky, G.; Carlomagno, T.; Ladurner, A.G. The histone chaperone sNASP binds a conserved peptide motif within the globular core of histone H3 through its TPR repeats. Nucleic Acids Res. 2016, 44, 3105–3117. [Google Scholar] [CrossRef]
- Redd, M.J.; Arnaud, M.B.; Johnson, A.D. A complex composed of tup1 and ssn6 represses transcription in vitro. J. Biol. Chem. 1997, 272, 11193–11197. [Google Scholar] [CrossRef]
- Hernday, A.D.; Lohse, M.B.; Nobile, C.J.; Noiman, L.; Laksana, C.N.; Johnson, A.D. Ssn6 Defines a New Level of Regulation of White-Opaque Switching in Candida albicans and Is Required For the Stochasticity of the Switch. mBio 2016, 7, e01565-e15. [Google Scholar] [CrossRef]
- Joiner, C.M.; Hammel, F.A.; Janetzko, J.; Walker, S. Protein Substrates Engage the Lumen of O-GlcNAc Transferase’s Tetratricopeptide Repeat Domain in Different Ways. Biochemistry 2021, 60, 847–853. [Google Scholar] [CrossRef]
- Mikhailov, K.V.; Simdyanov, T.G.; Aleoshin, V.V. Genomic Survey of a Hyperparasitic Microsporidian Amphiamblys sp. (Metchnikovellidae). Genome Biol. Evol. 2017, 9, 454–467. [Google Scholar]
- Galindo, L.J.; Torruella, G.; Moreira, D.; Timpano, H.; Paskerova, G.; Smirnov, A.; Nassonova, E.; Lopez-Garcia, P. Evolutionary Genomics of Metchnikovella incurvata (Metchnikovellidae): An Early Branching Microsporidium. Genome Biol. Evol. 2018, 10, 2736–2748. [Google Scholar] [CrossRef] [PubMed]
- Buscarlet, M.; Hermann, R.; Lo, R.; Tang, Y.; Joachim, K.; Stifani, S. Cofactor-activated phosphorylation is required for inhibition of cortical neuron differentiation by Groucho/TLE1. PLoS ONE 2009, 4, e8107. [Google Scholar] [CrossRef]
- Leydon, A.R.; Baez, R.R.; Nemhauser, J.L. A single helix repression domain is functional across diverse eukaryotes. Proc. Natl. Acad. Sci. USA 2022, 119, e2206986119. [Google Scholar] [CrossRef] [PubMed]
- Delbac, F.; Peuvel, I.; Metenier, G.; Peyretaillade, E.; Vivares, C.P. Microsporidian invasion apparatus: Identification of a novel polar tube protein and evidence for clustering of ptp1 and ptp2 genes in three Encephalitozoon species. Infect. Immun. 2001, 69, 1016–1024. [Google Scholar] [CrossRef] [PubMed]
- Lv, Q.; Wang, L.; Fan, Y.; Meng, X.; Liu, K.; Zhou, B.; Chen, J.; Pan, G.; Long, M.; Zhou, Z. Identification and characterization a novel polar tube protein (NbPTP6) from the microsporidian Nosema bombycis. Parasit. Vectors 2020, 13, 475. [Google Scholar] [CrossRef]
- Lv, Q.; Zhou, B.; Liao, H.; He, X.; Chen, Y.; Pan, G.; Long, M.; Zhou, Z. Proteomic profile of polar filament and polar tube from fungal pathogen microsporidium Nosema bombycis provides new insights into its unique invasion organelle. J. Proteom. 2022, 15, 104617. [Google Scholar] [CrossRef]
- Keohane, E.M.; Weiss, L.M. Characterization and function of the microsporidian polar tube: A review. Folia Parasitol. 1998, 45, 117–127. [Google Scholar]
- Weiss, L.M. Microsporidia: Emerging pathogenic protists. Acta Trop. 2001, 78, 89–102. [Google Scholar] [CrossRef]
- Yang, D.; Pan, L.; Peng, P.; Dang, X.; Li, C.; Li, T.; Long, M.; Chen, J.; Wu, Y.; Du, H.; et al. Interaction between SWP9 and Polar Tube Proteins of the Microsporidian Nosema bombycis and Function of SWP9 as a Scaffolding Protein Contribute to Polar Tube Tethering to the Spore Wall. Infect. Immun. 2017, 85, 10–1128. [Google Scholar] [CrossRef]












| Gene | Sense/ Antisense | Sequences |
|---|---|---|
| Nbssn6 (PCR) | Forward | GAATTCATGATTTTTTCTAATTTCGCAAATATTGATCCTTTAATGA (5′-3′) |
| Reverse | GTCGACTCACAAATTTTCCATTTTAAATGTCGTCATTTCTTGA (5′-3′) | |
| Nbssn6 (PCR for yeast two-hybrid) | Forward | CATCGATACGGGATCATGATTTTTTCTAATTTCGCA (5′-3′) |
| Reverse | TCATCTGCAGCTCGATCACAAATTTTCCATTTTAAATGTC (5′-3′) | |
| Nbtrrp2 (PCR for yeast two-hybrid) | Forward | GAATTCCCGGGGATCATGTACCAACCAGACATTAACAC |
| Reverse | GCTAGTTATGCGGCCTTACACCCCTGTCTCTACTGTC | |
| Nbptp2 (PCR for yeast two-hybrid) | Forward | GAATTCCCGGGGATCATGTTTTTATCTCTAAACCGAAAAC (5′-3′) |
| Reverse | GCTAGTTATGCGGCCTCAAGTAGAATTGGAACCATTTTC (5′-3′) | |
| Nbssn6 (RNA Oligo) | Sense | GCCUGGGCCUAUUAUCGAATT (5′-3′) |
| Antisense | UUCGAUAAUAGGCCCAGGCTT (5′-3′) | |
| NC (RNA Oligo) | Sense | UUCUCCGAACGUGUCACGUTT (5′-3′) |
| Antisense | ACGUGACACGUUCGGAGAATT (5′-3′) | |
| Nbssn6 (RT-qPCR) | Forward | CAAAGATCCGTTCCTCGTTTATGG (5′-3′) |
| Reverse | ATGCGTGTACCATTTTATCGCAATC (5′-3′) | |
| Nbβ-tubulin (RT-qPCR) | Forward | TTCCCTTCCCTAGACTTCACTTC (5′-3′) |
| Reverse | CAGCAGCCACAGTCAAATACC (5′-3′) | |
| Nbtrrp2 (RT-qPCR) | Forward | CCTAGCATAAACTCTAACCCTAGC (5′-3′) |
| Reverse | AACCTTCTGGTTCTACGACAAA (5′-3′) | |
| Nbβ-tubulin (RT-qPCR) | Forward | AGAACCAGGAACAATGGACG (5′-3′) |
| Reverse | AGCCCAATTATTACCAGCACC (5′-3′) |
| Accession | Description | Coverage | Peptides | PSMs | MW(kD) |
|---|---|---|---|---|---|
| EOB15197.1 | Heat shock 70 kDa protein 6 | 33 | 21 | 37 | 73.9 |
| EOB12779.1 | Polar tube protein 2 | 32 | 7 | 12 | 30.9 |
| EOB13492.1 | Heat shock protein HSP 90-alpha 1 | 17 | 14 | 19 | 78.5 |
| EOB12193.1 | T-complex protein 1 zeta subunit | 28 | 11 | 17 | 44.5 |
| EOB12021.1 | T-complex protein 1 subunit eta | 21 | 8 | 13 | 51.2 |
| EOB15438.1 | T-complex protein 1 subunit delta | 21 | 9 | 13 | 55.6 |
| EOB13574.1 | T-complex protein 1 subunit epsilon | 22 | 11 | 17 | 58.4 |
| EOB11504.1 | T-complex protein 1 subunit alpha | 16 | 9 | 14 | 59.6 |
| EOB14546.1 | T-complex protein 1 subunit theta | 7 | 7 | 9 | 113.7 |
| EOB12444.1 | T-complex protein 1 subunit beta | 14 | 6 | 7 | 57.6 |
| EOB12077.1 | Importin subunit alpha-2 | 11 | 4 | 7 | 60.6 |
| EOB14741.1 | Heat shock 70 kDa protein cognate 4 | 5 | 4 | 7 | 76.4 |
| EOB12136.1 | T complex protein 1 theta subunit | 10 | 3 | 4 | 31.5 |
| EOB13787.1 | Coatomer subunit delta-3 | 6 | 3 | 3 | 54.1 |
| EOB14835.1 | Coatomer subunit beta | 4 | 3 | 3 | 86.6 |
Disclaimer/Publisher’s Note: The statements, opinions and data contained in all publications are solely those of the individual author(s) and contributor(s) and not of MDPI and/or the editor(s). MDPI and/or the editor(s) disclaim responsibility for any injury to people or property resulting from any ideas, methods, instructions or products referred to in the content. |
© 2023 by the authors. Licensee MDPI, Basel, Switzerland. This article is an open access article distributed under the terms and conditions of the Creative Commons Attribution (CC BY) license (https://creativecommons.org/licenses/by/4.0/).
Share and Cite
Wang, R.; Chen, Y.; Xu, S.; Wei, E.; He, P.; Wang, Q.; Zhang, Y.; Tang, X.; Shen, Z. Ssn6 Interacts with Polar Tube Protein 2 and Transcriptional Repressor for RNA Polymerase II: Insight into Its Involvement in the Biological Process of Microsporidium Nosema bombycis. J. Fungi 2023, 9, 990. https://doi.org/10.3390/jof9100990
Wang R, Chen Y, Xu S, Wei E, He P, Wang Q, Zhang Y, Tang X, Shen Z. Ssn6 Interacts with Polar Tube Protein 2 and Transcriptional Repressor for RNA Polymerase II: Insight into Its Involvement in the Biological Process of Microsporidium Nosema bombycis. Journal of Fungi. 2023; 9(10):990. https://doi.org/10.3390/jof9100990
Chicago/Turabian StyleWang, Runpeng, Yong Chen, Sheng Xu, Erjun Wei, Ping He, Qiang Wang, Yiling Zhang, Xudong Tang, and Zhongyuan Shen. 2023. "Ssn6 Interacts with Polar Tube Protein 2 and Transcriptional Repressor for RNA Polymerase II: Insight into Its Involvement in the Biological Process of Microsporidium Nosema bombycis" Journal of Fungi 9, no. 10: 990. https://doi.org/10.3390/jof9100990
APA StyleWang, R., Chen, Y., Xu, S., Wei, E., He, P., Wang, Q., Zhang, Y., Tang, X., & Shen, Z. (2023). Ssn6 Interacts with Polar Tube Protein 2 and Transcriptional Repressor for RNA Polymerase II: Insight into Its Involvement in the Biological Process of Microsporidium Nosema bombycis. Journal of Fungi, 9(10), 990. https://doi.org/10.3390/jof9100990

