COVID-19-Associated Pulmonary Fungal Infection among Pediatric Cancer Patients, a Single Center Experience
Abstract
:1. Introduction
2. Patients and Methods
2.1. Study Design
2.2. Definitions
2.2.1. Definition of COVID Severity
2.2.2. Definition of CAPA
- Proven CAPA is defined by invasive growth of Aspergillus hyphae identified by histopathology/microscopy obtained by biopsy from a pulmonary site or Aspergillus positive culture or positive Aspergillus PCR or a combination obtained from sterile aspiration.
- Probable CAPA requires either pulmonary nodules or cavitating infiltrate or both detected by chest CT combined with mycological evidence with at least one of the following: microscopic detection of fungal elements in bronchoalveolar lavage (BAL), or culture or serum galactomannan index > 0.5, or BAL galactomannan index ≥ 1.0.
- Possible CAPA requires either pulmonary nodules or cavitating infiltrate or both detected by chest CT in combination with mycological evidence obtained via non-bronchoscopic lavage.
2.2.3. Definition of CAM
2.3. Response and Survival Outcome
- Success (complete or partial response) was defined as the disappearance of all signs and symptoms of fungal infection with clinical and/or radiological improvement compatible with the responding disease.
- Failure was defined as progressive fungal infection while on therapy or death attributed to the fungal infection as a primary or contributing cause [15].
2.4. Statistical Analysis
3. Results
3.1. Clinical Features of Patients
3.2. COVID-19 Severity and Treatment
- The only available antiviral in our center was Remdesivir which was given to 19 (90%) patients for 10 days during the viral phase. The immune-modulatory treatments were given for patients with lung involvement and respiratory distress: steroids were given to 21 (100%) patients, while IL-6 inhibitor (tocilizumab) was given for severe cases with respiratory distress not responding to steroid treatment for 4 (20%) patients.
- Anticoagulant LMWH prophylaxis (1 mg/kg/24 h) if moderate COVID-19 was given to 4 patients and threptic (1 mg/kg/12 h) if severe was given to 7 (52%) patients.
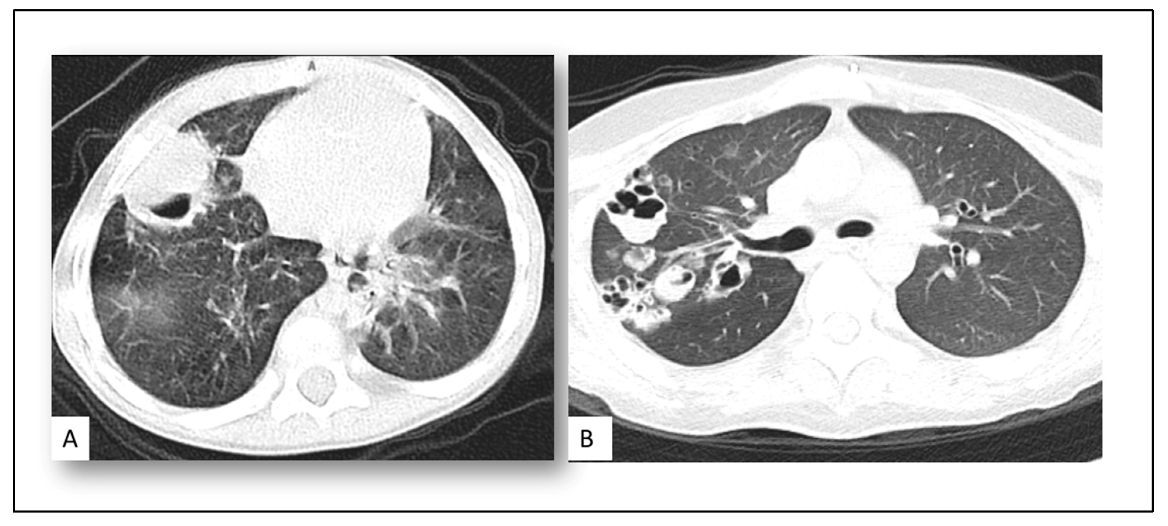
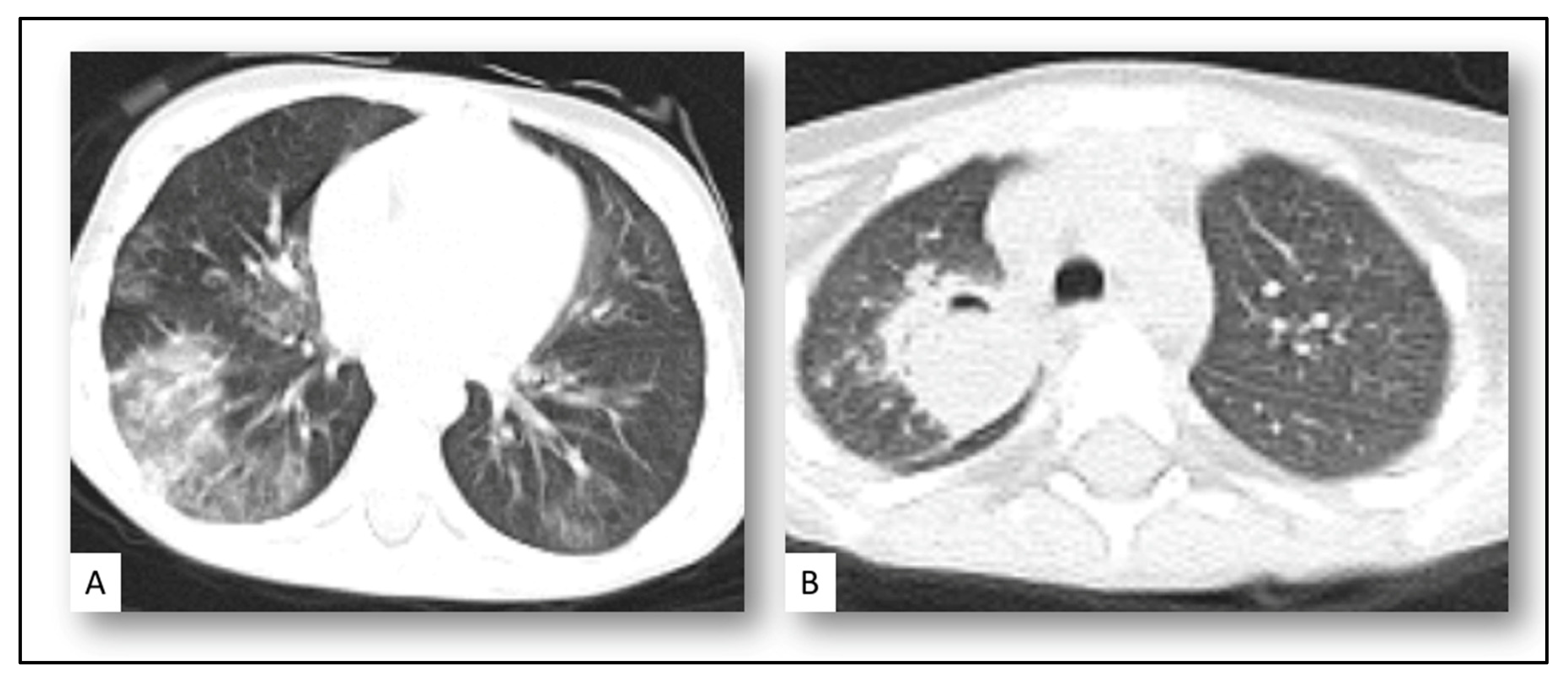
3.3. CAPA Diagnosis and Classification
3.4. Breakthrough Fungal Infection
3.5. Treatment of CAPFI
4. Discussion
Supplementary Materials
Author Contributions
Funding
Institutional Review Board Statement
Informed Consent Statement
Data Availability Statement
Conflicts of Interest
References
- Vasquez, L.; Sampor, C.; Villanueva, G.; Maradiegue, E.; Garcia-Lombardi, M.; Gomez-García, W.; Moreno, F.; Diaz, R.; Cappellano, A.M.; Portilla, C.A.; et al. Early Impact of the COVID-19 Pandemic on Paediatric Cancer Care in Latin America. Lancet Oncol. 2020, 21, 753–755. [Google Scholar] [CrossRef]
- Schlage, S.; Lehrnbecher, T.; Berner, R.; Simon, A.; Toepfner, N. SARS-CoV-2 in Pediatric Cancer: A Systematic Review. Eur. J. Pediatr. 2022, 181, 1413–1427. [Google Scholar] [CrossRef]
- Hammad, M.; Shalaby, L.; Sidhom, I.; Sherief, N.; Abdo, I.; Soliman, S.; Madeny, Y.; Hassan, R.; Elmeniawy, S.; Khamis, N.; et al. Management and Outcome of Coronavirus Disease 2019 (COVID-19) in Pediatric Cancer Patients: A Single Centre Experience from a Developing Country. Clin. Lymphoma Myeloma Leuk. 2021, 21, e853–e864. [Google Scholar] [CrossRef]
- ElGohary, G.M.; Hashmi, S.; Styczynski, J.; Kharfan-Dabaja, M.A.; Alblooshi, R.M.; de la Cámara, R.; Mohmed, S.; Alshaibani, A.; Cesaro, S.; Abd El-Aziz, N.; et al. The Risk and Prognosis of COVID-19 Infection in Cancer Patients: A Systematic Review and Meta-Analysis. Hematol. Oncol. Stem Cell Ther. 2020. [Google Scholar] [CrossRef]
- Vijenthira, A.; Gong, I.Y.; Fox, T.A.; Booth, S.; Cook, G.; Fattizzo, B.; Martín-Moro, F.; Razanamahery, J.; Riches, J.C.; Zwicker, J.; et al. Outcomes of Patients with Hematologic Malignancies and COVID-19: A Systematic Review and Meta-Analysis of 3377 Patients. Blood 2020, 136, 2881–2892. [Google Scholar] [CrossRef]
- Alanio, A.; Dellière, S.; Fodil, S.; Bretagne, S.; Mégarbane, B. Prevalence of Putative Invasive Pulmonary Aspergillosis in Critically Ill Patients with COVID-19. Lancet Respir. Med. 2020, 8, e48–e49. [Google Scholar] [CrossRef]
- Lai, C.-C.; Yu, W.-L. COVID-19 Associated with Pulmonary Aspergillosis: A Literature Review. J. Microbiol. Immunol. Infect. 2021, 54, 46–53. [Google Scholar] [CrossRef]
- Rajic, J.; Gmizic, I.; Gunjak, T.; Milosevic, V.; Pantic, N.; Sabljic, N.; Mitrovic, M.; Djuric Stefanovic, A.; Lazic, L.; Jovanovic, S.; et al. COVID-19-Associated Pulmonary Aspergillosis in Patients with Acute Leukemia: A Single-Center Study. J. Fungi 2021, 7, 890. [Google Scholar] [CrossRef]
- Ye, Z.; Zhang, Y.; Wang, Y.; Huang, Z.; Song, B. Chest CT Manifestations of New Coronavirus Disease 2019 (COVID-19): A Pictorial Review. Eur. Radiol. 2020, 30, 4381–4389. [Google Scholar] [CrossRef]
- Chong, W.H.; Neu, K.P. Incidence, Diagnosis and Outcomes of COVID-19-Associated Pulmonary Aspergillosis (CAPA): A Systematic Review. J. Hosp. Infect. 2021, 113, 115–129. [Google Scholar] [CrossRef]
- Cesaro, S.; Ljungman, P.; Mikulska, M.; Hirsch, H.H.; von Lilienfeld-Toal, M.; Cordonnier, C.; Meylan, S.; Mehra, V.; Styczynski, J.; Marchesi, F.; et al. Recommendations for the Management of COVID-19 in Patients with Haematological Malignancies or Haematopoietic Cell Transplantation, from the 2021 European Conference on Infections in Leukaemia (ECIL 9). Leukemia 2022, 36, 1467–1480. [Google Scholar] [CrossRef]
- Koehler, P.; Bassetti, M.; Chakrabarti, A.; Chen, S.C.A.; Colombo, A.L.; Hoenigl, M.; Klimko, N.; Lass-Flörl, C.; Oladele, R.O.; Vinh, D.C.; et al. Defining and Managing COVID-19-Associated Pulmonary Aspergillosis: The 2020 ECMM/ISHAM Consensus Criteria for Research and Clinical Guidance. Lancet Infect. Dis. 2021, 21, e149–e162. [Google Scholar] [CrossRef]
- Cornely, O.A.; Alastruey-Izquierdo, A.; Arenz, D.; Chen, S.C.A.; Dannaoui, E.; Hochhegger, B.; Hoenigl, M.; Jensen, H.E.; Lagrou, K.; Lewis, R.E.; et al. Global Guideline for the Diagnosis and Management of Mucormycosis: An Initiative of the European Confederation of Medical Mycology in Cooperation with the Mycoses Study Group Education and Research Consortium. Lancet Infect. Dis. 2019, 19, e405–e421. [Google Scholar] [CrossRef]
- Rudramurthy, S.M.; Hoenigl, M.; Meis, J.F.; Cornely, O.A.; Muthu, V.; Gangneux, J.P.; Perfect, J.; Chakrabarti, A. ECMM/ISHAM Recommendations for Clinical Management of COVID-19 Associated Mucormycosis in Low- and Middle-income Countries. Mycoses 2021, 64, 1028–1037. [Google Scholar] [CrossRef]
- Segal, B.H.; Herbrecht, R.; Stevens, D.A.; Ostrosky-Zeichner, L.; Sobel, J.; Viscoli, C.; Walsh, T.J.; Maertens, J.; Patterson, T.F.; Perfect, J.R.; et al. Defining Responses to Therapy and Study Outcomes in Clinical Trials of Invasive Fungal Diseases: Mycoses Study Group and European Organization for Research and Treatment of Cancer Consensus Criteria. Clin. Infect. Dis. 2008, 47, 674–683. [Google Scholar] [CrossRef]
- Bailey, L.C.; Razzaghi, H.; Burrows, E.K.; Bunnell, H.T.; Camacho, P.E.F.; Christakis, D.A.; Eckrich, D.; Kitzmiller, M.; Lin, S.M.; Magnusen, B.C.; et al. Assessment of 135 794 Pediatric Patients Tested for Severe Acute Respiratory Syndrome Coronavirus 2 across the United States. JAMA Pediatr. 2021, 175, 176. [Google Scholar] [CrossRef]
- Johnston, E.E.; Martinez, I.; Davis, E.S.; Caudill, C.; Richman, J.; Brackett, J.; Dickens, D.S.; Kahn, A.; Schwalm, C.; Sharma, A.; et al. SARS-CoV-2 in Childhood Cancer in 2020: A Disease of Disparities. J. Clin. Oncol. 2021, 39, 3778–3788. [Google Scholar] [CrossRef]
- Schwartz, I.S.; Friedman, D.Z.P.; Zapernick, L.; Dingle, T.C.; Lee, N.; Sligl, W.; Zelyas, N.; Smith, S.W. High Rates of Influenza-Associated Invasive Pulmonary Aspergillosis May Not Be Universal: A Retrospective Cohort Study from Alberta, Canada. Clin. Infect. Dis. 2020, 71, 1760–1763. [Google Scholar] [CrossRef]
- Schauwvlieghe, A.F.A.D.; Rijnders, B.J.A.; Philips, N.; Verwijs, R.; Vanderbeke, L.; Van Tienen, C.; Lagrou, K.; Verweij, P.E.; Van de Veerdonk, F.L.; Gommers, D.; et al. Invasive Aspergillosis in Patients Admitted to the Intensive Care Unit with Severe Influenza: A Retrospective Cohort Study. Lancet Respir. Med. 2018, 6, 782–792. [Google Scholar] [CrossRef]
- Latgé, J.-P.; Chamilos, G. Aspergillus Fumigatus and Aspergillosis in 2019. Clin. Microbiol. Rev. 2019, 33, e00140-18. [Google Scholar] [CrossRef]
- Permpalung, N.; Chiang, T.P.-Y.; Massie, A.B.; Zhang, S.X.; Avery, R.K.; Nematollahi, S.; Ostrander, D.; Segev, D.L.; Marr, K.A. Coronavirus Disease 2019–Associated Pulmonary Aspergillosis in Mechanically Ventilated Patients. Clin. Infect. Dis. 2022, 74, 83–91. [Google Scholar] [CrossRef]
- Bartoletti, M.; Pascale, R.; Cricca, M.; Rinaldi, M.; Maccaro, A.; Bussini, L.; Fornaro, G.; Tonetti, T.; Pizzilli, G.; Francalanci, E.; et al. Epidemiology of Invasive Pulmonary Aspergillosis among Intubated Patients with COVID-19: A Prospective Study. Clin. Infect. Dis. 2021, 73, e3606–e3614. [Google Scholar] [CrossRef]
- Arastehfar, A.; Carvalho, A.; van de Veerdonk, F.L.; Jenks, J.D.; Koehler, P.; Krause, R.; Cornely, O.A.; Perlin, D.S.; Lass-Flörl, C.; Hoenigl, M. COVID-19 Associated Pulmonary Aspergillosis (CAPA)—From Immunology to Treatment. J. Fungi 2020, 6, 91. [Google Scholar] [CrossRef]
- Baddley, J.W.; Thompson, G.R.; Chen, S.C.A.; White, P.L.; Johnson, M.D.; Nguyen, M.H.; Schwartz, I.S.; Spec, A.; Ostrosky-Zeichner, L.; Jackson, B.R.; et al. Coronavirus Disease 2019-Associated Invasive Fungal Infection. Open Forum Infect. Dis. 2021, 8, 1–11. [Google Scholar] [CrossRef]
- Koehler, P.; Cornely, O.A.; Böttiger, B.W.; Dusse, F.; Eichenauer, D.A.; Fuchs, F.; Hallek, M.; Jung, N.; Klein, F.; Persigehl, T.; et al. COVID-19 Associated Pulmonary Aspergillosis. Mycoses 2020, 63, 528–534. [Google Scholar] [CrossRef]
- van Arkel, A.L.E.; Rijpstra, T.A.; Belderbos, H.N.A.; van Wijngaarden, P.; Verweij, P.E.; Bentvelsen, R.G. COVID-19–Associated Pulmonary Aspergillosis. Am. J. Respir. Crit. Care Med. 2020, 202, 132–135. [Google Scholar] [CrossRef]
- Salmanton-García, J.; Sprute, R.; Stemler, J.; Bartoletti, M.; Dupont, D.; Valerio, M.; Garcia-Vidal, C.; Falces-Romero, I.; Machado, M.; de la Villa, S.; et al. COVID-19–Associated Pulmonary Aspergillosis, March–August 2020. Emerg. Infect. Dis. 2021, 27, 1077–1086. [Google Scholar] [CrossRef]
- White, P.L.; Dhillon, R.; Cordey, A.; Hughes, H.; Faggian, F.; Soni, S.; Pandey, M.; Whitaker, H.; May, A.; Morgan, M.; et al. A National Strategy to Diagnose Coronavirus Disease 2019–Associated Invasive Fungal Disease in the Intensive Care Unit. Clin. Infect. Dis. 2021, 73, e1634–e1644. [Google Scholar] [CrossRef]
- John, T.M.; Jacob, C.N.; Kontoyiannis, D.P. When Uncontrolled Diabetes Mellitus and Severe COVID-19 Converge: The Perfect Storm for Mucormycosis. J. Fungi 2021, 7, 298. [Google Scholar] [CrossRef]
- Hoenigl, M.; Seidel, D.; Carvalho, A.; Rudramurthy, S.M.; Arastehfar, A.; Gangneux, J.P.; Nasir, N.; Bonifaz, A.; Araiza, J.; Klimko, N.; et al. The Emergence of COVID-19 Associated Mucormycosis: Analysis of Cases from 18 Countries. SSRN Electron. J. Lancet Microbe. 2022, 3, e543–e552. [Google Scholar] [CrossRef]
- Lionakis, M.S.; Lewis, R.E.; Kontoyiannis, D.P. Breakthrough Invasive Mold Infections in the Hematology Patient: Current Concepts and Future Directions. Clin. Infect. Dis. 2018, 67, 1621–1630. [Google Scholar] [CrossRef] [PubMed]



| Category | Mild | Moderate | Severe | Critical |
|---|---|---|---|---|
| Definition | Patient ended chemotherapy more than 6 m
| Any pediatric cancer patient under chemotherapy with PCR confirmed test for COVID-19 with evidence of pneumonia)
| Any pediatric cancer patient under chemotherapy with PCR confirmed test for COVID-19 with evidence of pneumonia)
| Any pediatric cancer patient under chemotherapy with PCR confirmed test for COVID-19 with evidence of pneumonia) with: Symptoms > 1 of the following:
|
| Treatment | ||||
| Antiviral | To be discussed for home supportive care according to every case | Remdesivir
| Remdesivir | Remdesivir |
| Anti-inflammatory | No |
|
| Methylprednisolone 1 mg/kg/12 h + Tocilizumab:
|
| AnticoagulantLow molecular weight heparin (LMWH) | No |
|
|
|
| Antibiotics according to FN protocol | Antibiotics according to FN protocol | Antibiotics according to FN protocol. | Antibiotics according to FN protocol |
| Total N | N = 21 |
|---|---|
| Age range (2–21 Y), median: 7 years | |
| Sex | |
| - Male | 14 (66%) |
| - Female | 7 (34%) |
| Primary malignancy | |
| Hematological malignancies | 15 (70%) |
| - Acute Myeloid Leukemia (AML) | 10 (48%) |
| - Acute Lymphoblastic Leukemia (ALL) | 4 (20%) |
| - Non-Hodgkin Lymphoma (NHL) | 1 (3%) |
| Post Auto-HSCT | 2 (10%) |
| Solid tumors | 4 (20%) |
| - Neuroblastoma | 2 (10%) |
| - Brain tumor | 2 (10%) |
| Clinical features | |
| - Broad spectrum antibiotics | 21 (100%) |
| - Neutropenia | 20 (90%) |
| - Steroid exposure prior COVID | 8 (38%) |
| - Primary malignancy remission | |
| - Remission | 12 (57%) |
| - Refractory/relapsing | 9 (43%) |
| Associated BSI with COVID | 6 (30%) |
| - ESBL | 2 (10%) |
| - MDR Gram-negative bacteremia | 4 (20%) |
| COVID-19 Severity | 21 |
| - Moderate | 14 (66%) |
| - Severe | 2 (10%) |
| - Very severe | 5 (24%) |
| COVID-19 treatment | 21 |
| Antiviral | |
| - Remdesivir | 19 (90%) |
| Immunomodulatory treatment | |
| - Steroid | 21 (100%) |
| - Tocilizumab | 4 (20%) |
| CAPFI Diagnosis | 21 |
| Radiological finding | |
| - Pulmonary nodule with halo sign | 11 (52%) |
| - Pyramidal consolidation patch | 4 (20%) |
| - Cavitary lung lesion | 6 (28%) |
| Mycological finding | |
| - GM Serum | 11 (52%) |
| - GM (BAL) | 2 (10%) |
| - Tissue culture | 3 (15%) |
| Histopathological Finding | 2 |
| CAPA Definition | 21 |
| - Possible | 7 (33%) |
| - Probable | 12 (57%) |
| - Proven | 2 (10%) |
| Antifungal treatment | 21 |
| - Voriconazole | 19 (90%) |
| - Liposomal ampho-B | 2 (10%) |
| Breakthrough CAPFI | 16 (76%) |
| - Echinocandin | 14 (66%) |
| - Voriconazole | 2 (10%) |
| - Fluconazole | 2 (10%) |
| Response to treatment | 21 |
| - Successes | 13 (62%) |
| - Failure | 8 (38%) |
| - CAPA attributable mortality | 4 (20%) |
| PTN | Age | Diagnosis | Disease Status | Neutropenia | Steroid | Antifungal Prophylaxis | Days from COVID-19 to Fungal | Days of COVID-19 Clearance | Fungal- Definition | COVID-19 Severity | Antifungal Treatment | Response | Survival |
|---|---|---|---|---|---|---|---|---|---|---|---|---|---|
| 1 | 7 | ALL | Relapse | Yes | Yes | Micafungin | 10 | - | Probable | Very Severe * | VRC | Failure | Died ** |
| 2 | 16 | NHL | CR | Yes | Yes | No | 11 | 120 | Probable | Moderate | VRC | Success | Alive |
| 3 | 9 | AML | CR | Yes | No | Micafungin | 3 | - | Probable | Very Severe | VRC | Failure | Died ** |
| 4 | 15 | AML | Refractory | Yes | No | Micafungin | 30 | 6 | Probable | Moderate | VRC | Success | Died |
| 5 | 5 | AML | CR | Yes | No | Micafungin | 10 | 30 | Probable | Moderate | VRC | Success | Died |
| 6 | 2 | AML | CR | Yes | No | Micafungin | 21 | 50 | Probable | Moderate | VRC | Success | Alive |
| 7 | 13 | AML | Refractory | Yes | No | Micafungin | 21 | 18 | Probable | Very Severe | VRC | Failure | Died ** |
| 8 | 21 | HL | Auto-HSCT | Yes | No | Fluconazole | 15 | - | Probable | Moderate | VRC | Success | Alive |
| 9 | 12 | ALL | CR | Yes | Yes | Voriconazole | 15 | 14 | Proven | Moderate | LMB | Success | Alive |
| 10 | 8 | HL | Auto-HSCT | Yes | No | Fluconazole | 17 | 21 | Probable | Moderate | VRC | Success | Alive |
| 11 | 2 | AML | CR | Yes | Yes | Micafungin | 14 | 7 | Possible | Moderate | VRC | Success | Alive |
| 12 | 5 | AML | CR | Yes | No | Micafungin | 10 | 14 | Possible | Moderate | VRC | Success | Alive |
| 13 | 10 | AML | Refractory | Yes | No | Micafungin | 10 | 25 | Possible | Moderate | VRC | success | Died |
| 14 | 3 | NB | Refractory | Yes | No | No | 7 | 7 | Possible | Moderate | VRC | success | Died |
| 15 | 6 | BT | CR | Yes | Yes | No | 10 | - | Probable | Very Severe | VRC | Failure | Died ** |
| 16 | 4 | AML | CR | Yes | No | Anidulafungin | 21 | 10 | Probable | Moderate | VRC | Success | Alive |
| 17 | 6 | ALL | Relapse | Yes | Yes | Micafungin | 9 | 60 | Possible | Severe | VRC | success | Alive |
| 18 | 9 | ALL | Relapse | Yes | Yes | Micafungin | 3 | 14 | Possible | Moderate | VRC | Success | Alive |
| 19 | 3 | AML | CR | Yes | No | Voriconazole | 14 | 28 | Proven | Moderate | LMB | Success | Alive |
| 20 | 5 | NB | Relapse | Yes | No | No | 45 | 50 | Possible | Moderate | VRC | Success | Alive |
| 21 | 16 | BT | Refractory | No | Yes | No | 10 | 10 | Probable | Very Severe | VRC | Failure | Died |
Publisher’s Note: MDPI stays neutral with regard to jurisdictional claims in published maps and institutional affiliations. |
© 2022 by the authors. Licensee MDPI, Basel, Switzerland. This article is an open access article distributed under the terms and conditions of the Creative Commons Attribution (CC BY) license (https://creativecommons.org/licenses/by/4.0/).
Share and Cite
Madney, Y.; Shalaby, L.; Hammad, M.; Elanany, M.; Hassan, R.; Youssef, A.; Abdo, I.; Zaki, A.; Khedr, R. COVID-19-Associated Pulmonary Fungal Infection among Pediatric Cancer Patients, a Single Center Experience. J. Fungi 2022, 8, 850. https://doi.org/10.3390/jof8080850
Madney Y, Shalaby L, Hammad M, Elanany M, Hassan R, Youssef A, Abdo I, Zaki A, Khedr R. COVID-19-Associated Pulmonary Fungal Infection among Pediatric Cancer Patients, a Single Center Experience. Journal of Fungi. 2022; 8(8):850. https://doi.org/10.3390/jof8080850
Chicago/Turabian StyleMadney, Youssef, Lobna Shalaby, Mahmoud Hammad, Mervat Elanany, Reem Hassan, Ayda Youssef, Ibrahim Abdo, Abeer Zaki, and Reham Khedr. 2022. "COVID-19-Associated Pulmonary Fungal Infection among Pediatric Cancer Patients, a Single Center Experience" Journal of Fungi 8, no. 8: 850. https://doi.org/10.3390/jof8080850
APA StyleMadney, Y., Shalaby, L., Hammad, M., Elanany, M., Hassan, R., Youssef, A., Abdo, I., Zaki, A., & Khedr, R. (2022). COVID-19-Associated Pulmonary Fungal Infection among Pediatric Cancer Patients, a Single Center Experience. Journal of Fungi, 8(8), 850. https://doi.org/10.3390/jof8080850

