MAPK CcSakA of the HOG Pathway Is Involved in Stipe Elongation during Fruiting Body Development in Coprinopsis cinerea
Abstract
1. Introduction
2. Materials and Methods
2.1. Strains and Cultures
2.2. Construction of Plasmids and DNA Transformation
2.3. Protein Extraction and Western Blotting
2.4. qRT–PCR Analysis
2.5. Osmolality Analysis
2.6. H2O2 and ROS Measures
2.7. Chitinase Activity Analysis
2.8. Statistical Analysis
3. Results
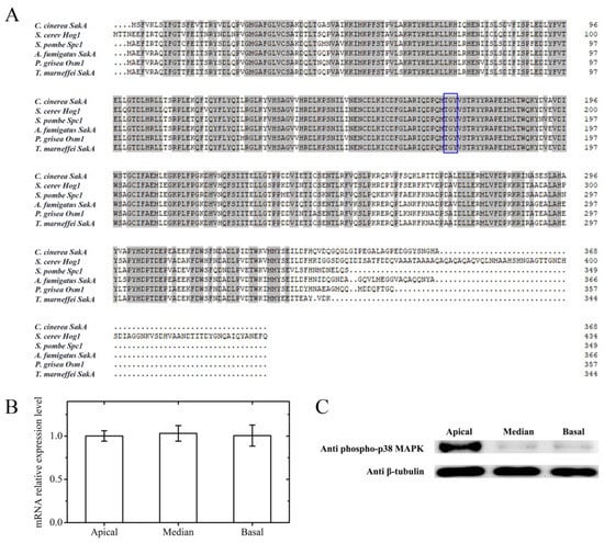
3.1. Identification of the MAPK of the HOG Pathway in C. cinerea and Its Phosphorylation in Stipes during Fruiting Body Development
3.2. Effects of dsRNA-Induced Silencing of CcSakA on the Stipe Elongation of C. cinerea
3.3. Effects of Expression of a Phosphomimicking Mutant CcSakA on the Stipe Elongation of C. cinerea
3.4. Gene Silencing or Point Mutation of CcSakA Affected the Expression of Chitinase CcChiE1 in C. cinerea
3.5. Oxidative Stress Was Higher in the Apical Part of the Stipe Than in the Median and Basal Parts
4. Discussion
Supplementary Materials
Author Contributions
Funding
Institutional Review Board Statement
Informed Consent Statement
Data Availability Statement
Conflicts of Interest
References
- Kües, U.; Liu, Y. Fruiting body production in Basidiomycetes. Appl. Microbiol. Biotechnol. 2000, 54, 141–152. [Google Scholar] [CrossRef] [PubMed]
- Kües, U.; Shanta, S.; Yidong, Y.; Mandira, S.; Weeradej, K.; Wassana, S.; Karin, L.; Kiran, L. Regulation of Fruiting Body Development in Coprinopsis cinerea. In Science and Cultivation Of Edible Fungi: Mushroom Science IXX; Baars, J.J.P., Sonnenberg, A.S.M., Eds.; International Society for Mushroom Science: Orsay Cedex, France, 2016; pp. 318–322. [Google Scholar]
- Xie, Y.; Chang, J.; Kwan, H.S. Carbon metabolism and transcriptome in developmental paths differentiation of a homokaryotic Coprinopsis cinerea strain. Fungal Genet. Biol. 2020, 143, 103432. [Google Scholar] [CrossRef] [PubMed]
- Kamada, T.; Sano, H.; Nakazawa, T.; Nakahori, K. Regulation of fruiting body photomorphogenesis in Coprinopsis cinerea. Fungal Genet. Biol. 2010, 47, 917–921. [Google Scholar] [CrossRef] [PubMed]
- Sakamoto, Y.; Sato, S.; Ito, M.; Ando, Y.; Nakahori, K.; Muraguchi, H. Blue light exposure and nutrient conditions influence the expression of genes involved in simultaneous hyphal knot formation in Coprinopsis cinerea. Microbiol. Res. 2018, 217, 81–90. [Google Scholar] [CrossRef]
- Liu, C.; Bi, J.; Kang, L.; Zhou, J.; Yuan, S. The molecular mechanism of stipe cell wall extension for mushroom stipe elongation growth. Fungal Biol. Rev. 2020, 35, 14–26. [Google Scholar] [CrossRef]
- Kües, U. Life history and developmental processes in the basidiomycete Coprinus cinereus. Microbiol. Mol. Biol. Rev. 2000, 64, 316–353. [Google Scholar] [CrossRef]
- Liu, Z.; Niu, X.; Wang, J.; Zhang, W.; Yang, M.; Liu, C.; Xiong, Y.; Zhao, Y.; Pei, S.; Qin, Q.; et al. Comparative study of nonautolytic mutant and Wild-Type strains of Coprinopsis cinerea supports an important role of glucanases in fruiting body autolysis. J. Agric. Food Chem. 2015, 63, 9609–9614. [Google Scholar] [CrossRef]
- Kuratani, M.; Tanaka, K.; Terashima, K.; Muraguchi, H.; Nakazawa, T.; Nakahori, K.; Kamada, T. The dst2 gene essential for photomorphogenesis of Coprinopsis cinerea encodes a protein with a putative FAD-binding-4 domain. Fungal Genet. Biol. 2010, 47, 152–158. [Google Scholar] [CrossRef]
- Nakazawa, T.; Ando, Y.; Hata, T.; Nakahori, K. A mutation in the Cc.arp9 gene encoding a putative actin-related protein causes defects in fruiting initiation and asexual development in the agaricomycete Coprinopsis cinerea. Curr. Genet. 2016, 62, 565–574. [Google Scholar] [CrossRef]
- Nakazawa, T.; Kondo, H.; Nakahori, K.; Kamada, T. A mutation in the Cc.ubc2 gene affects clamp cell morphogenesis as well as nuclear migration for dikaryosis in Coprinopsis cinerea. Fungal Genet. Biol. 2011, 48, 519–525. [Google Scholar] [CrossRef]
- Murata, Y.; Fujii, M.; Zolan, M.E.; Kamada, T. Molecular analysis of pcc1, a gene that leads to A-regulated sexual morphogenesis in Coprinus cinereus. Genetics 1998, 149, 1753–1761. [Google Scholar] [CrossRef] [PubMed]
- Masuda, R.; Iguchi, N.; Tukuta, K.; Nagoshi, T.; Kemuriyama, K.; Muraguchi, H. The Coprinopsis cinerea Tup1 homologue Cag1 is required for gill formation during fruiting body morphogenesis. Biol. Open 2016, 5, 1844–1852. [Google Scholar] [CrossRef] [PubMed]
- Muraguchi, H.; Kamada, T. A mutation in the eln2 gene encoding a cytochrome P450 of Coprinus cinereus affects mushroom morphogenesis. Fungal Genet. Biol. 2000, 29, 49–59. [Google Scholar] [CrossRef]
- Arima, T.; Yamamoto, M.; Hirata, A.; Kawano, S.; Kamada, T. The eln3 gene involved in fruiting body morphogenesis of Coprinus cinereus encodes a putative membrane protein with a general glycosyltransferase domain. Fungal Genet. Biol. 2004, 41, 805–812. [Google Scholar] [CrossRef] [PubMed]
- Muraguchi, H.; Kamada, T. The ich1 gene of the mushroom Coprinus cinereus is essential for pileus formation in fruiting. Development 1998, 125, 3133–3141. [Google Scholar] [CrossRef]
- Muraguchi, H.; Fujita, T.; Kishibe, Y.; Konno, K.; Ueda, N.; Nakahori, K.; Yanagi, S.O.; Kamada, T. The exp1 gene essential for pileus expansion and autolysis of the inky cap mushroom Coprinopsis cinerea (Coprinus cinereus) encodes an HMG protein. Fungal Genet. Biol. 2008, 45, 890–896. [Google Scholar] [CrossRef]
- Kang, L.Q.; Zhang, X.W.; Liu, X.; Wang, R.; Liu, C.C.; Zhou, J.S.; Liu, Z.H.; Yuan, S. Comparative study of beta-glucan-degrading enzymes from Coprinopsis cinerea for their capacities to induce stipe cell wall extension. Int. J. Biol. Macromol. 2020, 152, 516–524. [Google Scholar] [CrossRef]
- Zhou, J.; Kang, L.; Liu, C.; Niu, X.; Wang, X.; Liu, H.; Zhang, W.; Liu, Z.; Latge, J.P.; Yuan, S. Chitinases play a key role in stipe cell wall extension in the mushroom Coprinopsis cinerea. Appl. Environ. Microbiol. 2019, 85, e00532-19. [Google Scholar] [CrossRef]
- Kang, L.; Zhou, J.; Wang, R.; Zhang, X.; Liu, C.; Liu, Z.; Yuan, S. Glucanase-induced stipe wall extension shows distinct differences from chitinase-induced stipe wall extension of Coprinopsis cinerea. Appl. Environ. Microbiol. 2019, 85, e01345-19. [Google Scholar] [CrossRef]
- Zhou, Y.; Zhang, W.; Liu, Z.; Wang, J.; Yuan, S. Purification, characterization and synergism in autolysis of a group of 1,3-beta-glucan hydrolases from the pilei of Coprinopsis cinerea fruiting bodies. Microbiology 2015, 161, 1978–1989. [Google Scholar] [CrossRef]
- Zhou, Y.; Kang, L.; Niu, X.; Wang, J.; Liu, Z.; Yuan, S. Purification, characterization and physiological significance of a chitinase from the pilei of Coprinopsis cinerea fruiting bodies. FEMS Microbiol. Lett. 2016, 363, fnw120. [Google Scholar] [CrossRef] [PubMed]
- Niu, X.; Zhou, J.S.; Wang, Y.X.; Liu, C.C.; Liu, Z.H.; Yuan, S. Heterologous Expression and Characterization of a Novel Chitinase (ChiEn1) from Coprinopsis cinerea and its Synergism in the Degradation of Chitin. J. Agric. Food Chem. 2017, 65, 6943–6956. [Google Scholar] [CrossRef] [PubMed]
- Terashima, K.; Yuki, K.; Muraguchi, H.; Akiyama, M.; Kamada, T. The dst1 gene involved in mushroom photomorphogenesis of Coprinus cinereus encodes a putative photoreceptor for blue light. Genetics 2005, 171, 101–108. [Google Scholar] [CrossRef] [PubMed]
- Prabhakar, A.; González, B.; Dionne, H.; Basu, S.; Cullen, P.J. Spatiotemporal control of pathway sensors and cross-pathway feedback regulate a differentiation MAPK pathway in yeast. J. Cell Sci. 2021, 134, jcs258341. [Google Scholar] [CrossRef] [PubMed]
- Qi, M.; Elion, E.A. MAP kinase pathways. J. Cell Sci. 2005, 118, 3569–3572. [Google Scholar] [CrossRef] [PubMed]
- Altwasser, R.; Baldin, C.; Weber, J.; Guthke, R.; Kniemeyer, O.; Brakhage, A.A.; Linde, J.; Valiante, V. Network modeling reveals cross talk of MAP kinases during adaptation to caspofungin stress in Aspergillus fumigatus. PLoS ONE 2015, 10, e0136932. [Google Scholar] [CrossRef] [PubMed]
- Yu, Z.Z.; Armant, O.; Fischer, R. Fungi use the SakA (HogA) pathway for phytochrome-dependent light signalling. Nat. Microbiol. 2016, 1, 16019. [Google Scholar] [CrossRef]
- Molin, M.; Logg, K.; Bodvard, K.; Peeters, K.; Forsmark, A.; Roger, F.; Jorhov, A.; Mishra, N.; Billod, J.M.; Amir, S.; et al. Protein kinase A controls yeast growth in visible light. BMC Biol. 2020, 18, 168. [Google Scholar] [CrossRef]
- Li, Y.; Meng, X.; Guo, D.; Gao, J.; Huang, Q.; Zhang, J.; Fischer, R.; Shen, Q.; Yu, Z. A Simple and Low-Cost Strategy to Improve Conidial Yield and Stress Resistance of Trichoderma guizhouense through Optimizing Illumination Conditions. J. Fungi 2022, 8, 50. [Google Scholar] [CrossRef]
- Bilsland, E.; Molin, C.; Swaminathan, S.; Ramne, A.; Sunnerhagen, P. Rck1 and Rck2 MAPKAP kinases and the HOG pathway are required for oxidative stress resistance. Mol. Microbiol. 2004, 53, 1743–1756. [Google Scholar] [CrossRef]
- Valiante, V.; Jain, R.; Heinekamp, T.; Brakhage, A.A. The MpkA MAP kinase module regulates cell wall integrity signaling and pyomelanin formation in Aspergillus fumigatus. Fungal Genet. Biol. FG B 2009, 46, 909–918. [Google Scholar] [CrossRef] [PubMed]
- Paljakka, T.; Jyske, T.; Lintunen, A.; Aaltonen, H.; Nikinmaa, E.; Holtta, T. Gradients and dynamics of inner bark and needle osmotic potentials in Scots pine (Pinus sylvestris L.) and Norway spruce (Picea abies L. Karst). Plant Cell Environ. 2017, 40, 2160–2173. [Google Scholar] [CrossRef] [PubMed]
- Paljakka, T.; Lintunen, A.; Salmon, Y.; Holtta, T. Measurement of inner bark and leaf osmolality. Methods Mol. Biol. 2019, 2014, 135–142. [Google Scholar] [CrossRef] [PubMed]
- Wang, H.; Kou, X.; Wu, C.; Fan, G.; Li, T. Nitric Oxide and Hydrogen Peroxide Are Involved in Methyl Jasmonate-Regulated Response against Botrytis cinerea in Postharvest Blueberries. J. Agric. Food Chem. 2020, 68, 13632–13640. [Google Scholar] [CrossRef]
- Zhang, J.; Hao, H.; Wu, X.; Wang, Q.; Chen, M.; Feng, Z.; Chen, H. The functions of glutathione peroxidase in ROS homeostasis and fruiting body development in Hypsizygus marmoreus. Appl. Microbiol. Biotechnol. 2020, 104, 10555–10570. [Google Scholar] [CrossRef]
- Mu, D.; Li, C.; Zhang, X.; Li, X.; Shi, L.; Ren, A.; Zhao, M. Functions of the nicotinamide adenine dinucleotide phosphate oxidase family in Ganoderma lucidum: An essential role in ganoderic acid biosynthesis regulation, hyphal branching, fruiting body development, and oxidative-stress resistance. Environ. Microbiol. 2014, 16, 1709–1728. [Google Scholar] [CrossRef]
- Alonso-Monge, R.; Navarro-García, F.; Román, E.; Negredo, A.I.; Eisman, B.; Nombela, C.; Pla, J. The Hog1 mitogen-activated protein kinase is essential in the oxidative stress response and chlamydospore formation in Candida albicans. Eukaryot. Cell 2003, 2, 351–361. [Google Scholar] [CrossRef]
- Kawasaki, L.; Sánchez, O.; Shiozaki, K.; Aguirre, J. SakA MAP kinase is involved in stress signal transduction, sexual development and spore viability in Aspergillus nidulans. Mol. Microbiol. 2010, 45, 1153–1163. [Google Scholar] [CrossRef]
- Brewster, J.L.; de Valoir, T.; Dwyer, N.D.; Winter, E.; Gustin, M.C. An osmosensing signal transduction pathway in yeast. Science 1993, 259, 1760–1763. [Google Scholar] [CrossRef]
- Shiozaki, K.; Russell, P. Cell-cycle control linked to extracellular environment by MAP kinase pathway in fission yeast. Nature 1995, 378, 739–743. [Google Scholar] [CrossRef]
- Li, G.; Zhang, X.; Tian, H.; Choi, Y.E.; Tao, W.A.; Xu, J.R. MST50 is involved in multiple MAP kinase signaling pathways in Magnaporthe oryzae. Environ. Microbiol. 2017, 19, 1959–1974. [Google Scholar] [CrossRef] [PubMed]
- Nimmanee, P.; Tam, E.W.T.; Woo, P.C.Y.; Vanittanakom, P.; Vanittanakom, N. Role of the Talaromyces marneffei (Penicillium marneffei) sakA gene in nitrosative stress response, conidiation and red pigment production. FEMS Microbiol. Lett. 2017, 364, fnw1292. [Google Scholar] [CrossRef] [PubMed]
- Heneghan, M.N.; Costa, A.M.; Challen, M.P.; Mills, P.R.; Bailey, A.; Foster, G.D. A comparison of methods for successful triggering of gene silencing in Coprinus cinereus. Mol. Biotechnol. 2007, 35, 283–296. [Google Scholar] [CrossRef] [PubMed]
- Namekawa, S.H.; Iwabata, K.; Sugawara, H.; Hamada, F.N.; Koshiyama, A.; Chiku, H.; Kamada, T.; Sakaguchi, K. Knockdown of LIM15/DMC1 in the mushroom Coprinus cinereus by double-stranded RNA-mediated gene silencing. Microbiology 2005, 151, 3669–3678. [Google Scholar] [CrossRef][Green Version]
- Mao, K.; Wang, K.; Zhao, M.; Xu, T.; Klionsky, D.J. Two MAPK-signaling pathways are required for mitophagy in Saccharomyces cerevisiae. J. Cell Biol. 2011, 193, 755–767. [Google Scholar] [CrossRef]
- Cao, X.; Rui, L.; Pennington, P.R.; Chlan-Fourney, J.; Jiang, Z.; Wei, Z.; Li, X.M.; Edmondson, D.E.; Mousseau, D.D. Serine 209 resides within a putative p38 (MAPK) consensus motif and regulates monoamine oxidase-A activity. J. Neurochem. 2009, 111, 101–110. [Google Scholar] [CrossRef]
- Maayan, I.; Beenstock, J.; Marbach, I.; Tabachnick, S.; Livnah, O.; Engelberg, D. Osmostress induces autophosphorylation of Hog1 via a C-terminal regulatory region that is conserved in p38alpha. PLoS ONE 2012, 7, e44749. [Google Scholar] [CrossRef]
- Sakamoto, Y. Influences of environmental factors on fruiting body induction, development and maturation in mushroom-forming fungi. Fungal Biol. Rev. 2018, 32, 236–248. [Google Scholar] [CrossRef]
- Adams, D.J. Fungal cell wall chitinases and glucanases. Microbiology 2004, 150, 2029–2035. [Google Scholar] [CrossRef]
- Rispail, N.; Soanes, D.M.; Ant, C.; Czajkowski, R.; Grunler, A.; Huguet, R.; Perez-Nadales, E.; Poli, A.; Sartorel, E.; Valiante, V.; et al. Comparative genomics of MAP kinase and calcium-calcineurin signalling components in plant and human pathogenic fungi. Fungal Genet. Biol. 2009, 46, 287–298. [Google Scholar] [CrossRef]
- Tao, X.; Nguyen, C.K.; Romans, A.; May, G.S. A mitogen-activated protein kinase that senses nitrogen regulates conidial germination and growth in Aspergillus fumigatus. Eukaryot. Cell 2004, 3, 557–560. [Google Scholar] [CrossRef]
- Xie, M.H.; Yang, J.L.; Jiang, K.X.; Bai, N.; Zhu, M.C.; Zhu, Y.M.; Zhang, K.Q.; Yang, J.K. AoBck1 and AoMkk1 are necessary to maintain cell wall integrity, vegetative growth, conidiation, stress resistance, and pathogenicity in the nematode-trapping fungus Arthrobotrys oligospora. Front. Microbiol. 2021, 12, 649582. [Google Scholar] [CrossRef] [PubMed]
- Frawley, D.; Bayram, O. The pheromone response module, a mitogen-activated protein kinase pathway implicated in the regulation of fungal development, secondary metabolism and pathogenicity. Fungal Genet. Biol. 2020, 144, 103469. [Google Scholar] [CrossRef] [PubMed]
- Vázquez-Ibarra, A.; Rodríguez-Martínez, G.; Guerrero-Serrano, G.; Kawasaki, L.; Ongay-Larios, L.; Coria, R. Negative feedback-loop mechanisms regulating HOG- and pheromone-MAPK signaling in yeast. Curr. Genet. 2020, 66, 867–880. [Google Scholar] [CrossRef] [PubMed]
- Cai, E.P.; Li, L.Y.; Deng, Y.Z.; Sun, S.Q.; Jia, H.; Wu, R.R.; Zhang, L.H.; Jiang, Z.D.; Chang, C.Q. MAP kinase Hog1 mediates a cytochrome P450 oxidoreductase to promote the Sporisorium scitamineum cell survival under oxidative stress. Environ. Microbiol. 2021, 23, 3306–3317. [Google Scholar] [CrossRef]
- Jogawat, A.; Vadassery, J.; Verma, N.; Oelmuller, R.; Dua, M.; Nevo, E.; Johri, A.K. PiHOG1, a stress regulator MAP kinase from the root endophyte fungus Piriformospora indica, confers salinity stress tolerance in rice plants. Sci. Rep. 2016, 6, 36765. [Google Scholar] [CrossRef]
- You, B.-J.; Chang, W.-T.; Chung, K.-R.; Kuo, Y.-H.; Yang, C.-S.; Tien, N.; Hsieh, H.-C.; Lai, C.-C.; Lee, H.-Z. Effect of solid-medium coupled with reactive oxygen species on ganoderic acid biosynthesis and MAP kinase phosphorylation in Ganoderma lucidum. Food Res. Int. 2012, 49, 634–640. [Google Scholar] [CrossRef]
- Niu, X.; Liu, Z.; Zhou, Y.; Wang, J.; Zhang, W.; Yuan, S. Stipe cell wall architecture varies with the stipe elongation of the mushroom Coprinopsis cinerea. Fungal Biol. 2015, 119, 946–956. [Google Scholar] [CrossRef]
- Kang, L.; Zhu, Y.; Bai, Y.; Yuan, S. Characteristics, transcriptional patterns and possible physiological significance of glycoside hydrolase family 16 members in Coprinopsis cinerea. FEMS Microbiol. Lett. 2019, 366, fnz083. [Google Scholar] [CrossRef]
- Li, M.M.; Bi, J.J.; Bai, Y.; Kang, L.Q.; Duan, B.Y.; Liu, Z.H.; Yuan, S. Accumulation and cross-linkage of beta-1,3/1,6-glucan lead to loss of basal stipe cell wall extensibility in mushroom Coprinopsis cinerea. Carbohydr. Polym. 2021, 259, 117743. [Google Scholar] [CrossRef]
- Ma, D.; Li, R. Current understanding of HOG-MAPK pathway in Aspergillus fumigatus. Mycopathologia 2013, 175, 13–23. [Google Scholar] [CrossRef] [PubMed]
- Lawrence, C.L.; Botting, C.H.; Antrobus, R.; Coote, P.J. Evidence of a new role for the high-osmolarity glycerol mitogen-activated protein kinase pathway in yeast: Regulating adaptation to citric acid stress. Mol. Cell. Biol. 2004, 24, 3307–3323. [Google Scholar] [CrossRef]
- Duran, R.; Cary, J.W.; Calvo, A.M. Role of the osmotic stress regulatory pathway in morphogenesis and secondary metabolism in filamentous fungi. Toxins 2010, 2, 367–381. [Google Scholar] [CrossRef] [PubMed]
- Sies, H. Role of metabolic H2O2 generation: Redox signaling and oxidative stress. J. Biol. Chem. 2014, 289, 8735–8741. [Google Scholar] [CrossRef]
- Sies, H. Hydrogen peroxide as a central redox signaling molecule in physiological oxidative stress: Oxidative eustress. Redox Biol. 2017, 11, 613–619. [Google Scholar] [CrossRef] [PubMed]
- Mirzahosseini, Z.; Shabani, L.; Sabzalian, M.R. LED lights increase an antioxidant capacity of Arabidopsis thaliana under wound-induced stresses. Funct. Plant Biol. 2020, 47, 853–864. [Google Scholar] [CrossRef] [PubMed]





Publisher’s Note: MDPI stays neutral with regard to jurisdictional claims in published maps and institutional affiliations. |
© 2022 by the authors. Licensee MDPI, Basel, Switzerland. This article is an open access article distributed under the terms and conditions of the Creative Commons Attribution (CC BY) license (https://creativecommons.org/licenses/by/4.0/).
Share and Cite
Zhao, J.; Yuan, J.; Chen, Y.; Wang, Y.; Chen, J.; Bi, J.; Lyu, L.; Yu, C.; Yuan, S.; Liu, Z. MAPK CcSakA of the HOG Pathway Is Involved in Stipe Elongation during Fruiting Body Development in Coprinopsis cinerea. J. Fungi 2022, 8, 534. https://doi.org/10.3390/jof8050534
Zhao J, Yuan J, Chen Y, Wang Y, Chen J, Bi J, Lyu L, Yu C, Yuan S, Liu Z. MAPK CcSakA of the HOG Pathway Is Involved in Stipe Elongation during Fruiting Body Development in Coprinopsis cinerea. Journal of Fungi. 2022; 8(5):534. https://doi.org/10.3390/jof8050534
Chicago/Turabian StyleZhao, Jing, Jing Yuan, Yating Chen, Yu Wang, Jing Chen, Jingjing Bi, Linna Lyu, Cigang Yu, Sheng Yuan, and Zhonghua Liu. 2022. "MAPK CcSakA of the HOG Pathway Is Involved in Stipe Elongation during Fruiting Body Development in Coprinopsis cinerea" Journal of Fungi 8, no. 5: 534. https://doi.org/10.3390/jof8050534
APA StyleZhao, J., Yuan, J., Chen, Y., Wang, Y., Chen, J., Bi, J., Lyu, L., Yu, C., Yuan, S., & Liu, Z. (2022). MAPK CcSakA of the HOG Pathway Is Involved in Stipe Elongation during Fruiting Body Development in Coprinopsis cinerea. Journal of Fungi, 8(5), 534. https://doi.org/10.3390/jof8050534

