Filament Negative Regulator CDC4 Suppresses Glycogen Phosphorylase Encoded GPH1 That Impacts the Cell Wall-Associated Features in Candida albicans
Abstract
1. Introduction
2. Materials and Methods
2.1. General Manipulation, Media, and Growth Conditions
2.2. Strain Usage and Construction
| Name of the Strain | Parental Strain | Genotype | Source |
|---|---|---|---|
| SC5314 | Wild-type strain | [64] | |
| BWP17 | ura3::imm434/ura3::imm434 iro1/iro1::imm434 his1::hisG/his1::hisG arg4::hisG/arg4::hisG | [65] | |
| CaCDC4 M3/− | BWP17 | Cacdc4Δ::dpl200/Cacdc4::pFA-HIS1-MET3p-CaCDC4 | [40] |
| CaCDC4 M3/−|p6HF-ACT1p | CaCDC4 M3/− | Cacdc4Δ::dpl200/Cacdc4::pFA-HIS1-MET3p-CaCDC4 RPS1/rps1::p6HF- ACT1p | This study |
| CaCDC4 M3/−|CaCDC4 | CaCDC4 M3/− | Cacdc4Δ::dpl200/Cacdc4::pFA-HIS1-MET3p-CaCDC4 RPS1/rps1Δ::p6HF-ACT1p-CaCDC4 | This study |
| CaCDC4 M3/−|GPH1 | CaCDC4 M3/− | Cacdc4Δ::dpl200/Cacdc4::pFA-HIS1-MET3p-CaCDC4 RPS1/rps1Δ::p6HF-ACT1p-GPH1 | This study |
| gcn4Δ/gcn4Δ | SC5314 | gcn4::FRT/gcn4::FRT | [74] |
| GPH1/gph1ΔSF | SC5314 | GPH1/gph1Δ::SAT1-FLIP | This study |
| GPH1/gph1Δ | GPH1/gph1ΔSF | GPH1/gph1Δ::FRT | This study |
| gph1ΔSF/gph1Δ | GPH1/gph1Δ | gph1Δ::SAT1-FLIP/gph1Δ::FRT | This study |
| gph1Δ/gph11Δ | gph1ΔSF/gph1Δ | gph1Δ::FRT/gph1Δ::FRT | This study |
| gph1Δ/gph11Δ+GPH1-SAT1-FLIP | gph1Δ/gph1Δ | gph1Δ::FRT/gph1Δ::FRT::GPH1-SAT1-FLIP | This study |
| gph1Δ/gph11Δ+GPH | gph1Δ/gph11Δ+GPH1-SAT1-FLIP | gph1Δ::FRT/gph1Δ::FRT::GPH1 | This study |
| Tet-on-GPH1 | SC5314 | ADH1/adh1::PTET-GPH1-SAT1 | This study |
| Name | Sequence (5′→3′) 1 |
|---|---|
| CaGPH1-U-F_KpnI | CGGGGTACCCCACCTAACTAATAACTATTGC |
| CaGPH1-U-R_XhoI | CCGCTCGAGGGGTAAGATAATCCATTGGC |
| CaGPH1-D-F_SacII | TCCCCGCGGGAAAGTAAGACAACGAGCGA |
| CaGPH1-D-R_SacI | CTAGGAGCTCCTTAGCTGAGTTAGGATCTG |
| GPH1-D-XhoI-R | GGGCTCGAGTCTTTCTCTCCCTTCATTGC |
| CaGPH1-XhoI-F (p6HF-ACT1p) | CCGCTCGAGATGCCAATGGATTATCTTACC |
| CaGph1-XhoI-R (p6HF-ACT1p) | CCGCTCGAGCTAAACATTGGATGGTTCAAC |
| GPH1-probe-F | CTGATTTAGATCAAGTGGCTGA |
| GPH1-probe-R | GACGAATGTAATGGCAGAGTT |
| front of GPH1-F_SpeI | GGACTAGTATGCCAATGGATTATCTTACC |
| front of GPH1-R_SpeI | GGACTAGTAACCCGTAACCCCAACCAC |
| CaACT1-F | ACGGTGAAGTTGCTGCTTTA |
| CaACT1-R | GCATTTCTTGTTCGAAATCC |
2.3. Nucleic Acid Extraction and PCR Analysis
2.4. Protein Extraction and Western Blotting
2.5. Germ Tube Formation Assay
2.6. Cell Surface Hydrophobicity Assay
2.7. Fibronectin (FN)-C. albicans Association Assay
2.8. Adhesion Assay
2.9. Biofilm Formation Assay
2.10. Spotting Assay
2.11. Cellular Image Observation and Recording
2.12. Statistical Analysis
3. Results
3.1. The Filamentous Growth Caused by the Repressed CaCDC4 Expression Could Be Partially Suppressed by the Constitutive GHP1 Expression in C. albicans
3.2. C. albicans Gph1 Protein Being Reduced in the Presence of CaCdc4 May Be the Result of Polyubiquitin-Proteasome-Dependent Degradation
3.3. Cells Overexpressing or Lacking GPH1 Bear No Morphological Changes but Those without GPH1were Apt to Aggregate for a More Extended Period in Normal Growth Condition
3.4. The GPH1 Null Mutant Shows No Growth Defect in Normal Growth Condition and Various Stressful Conditions
3.5. C. albicans Cells Lacking GPH1 Reduce the Ability to Form Germ Tube in Response to the Hypha-Inducing Condition
3.6. C. albicans Cells Lacking GPH1 Reduce Their Cell Surface Hydrophobicity (CSH)
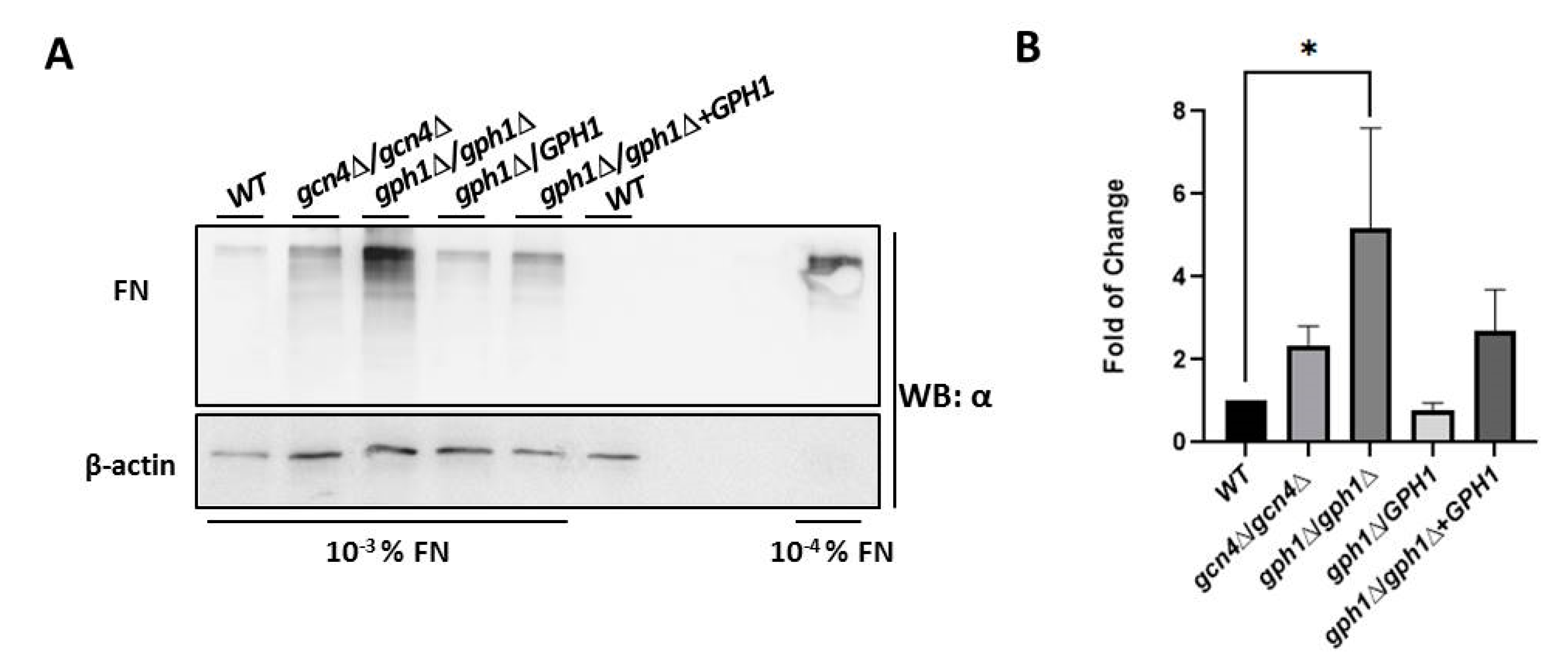
3.7. C. albicans Cells Lacking GPH1 Increase Their Ability to Bind Fibronectin
3.8. C. albicans Cells Lacking GPH1 Improve Adhesion Ability but Remain Unchanged in Biofilm Formation
4. Discussion
5. Conclusions
Supplementary Materials
Author Contributions
Funding
Institutional Review Board Statement
Informed Consent Statement
Data Availability Statement
Acknowledgments
Conflicts of Interest
References
- Pande, K.; Chen, C.; Noble, S.M. Passage through the mammalian gut triggers a phenotypic switch that promotes Candida albicans commensalism. Nat. Genet. 2013, 45, 1088–1091. [Google Scholar] [CrossRef]
- Ruhnke, M. Epidemiology of Candida albicans infections and role of non-Candida-albicans yeasts. Curr. Drug. Targets 2006, 7, 495–504. [Google Scholar] [CrossRef] [PubMed]
- Fidel, P.L., Jr. History and update on host defense against vaginal candidiasis. Am. J. Reprod. Immunol. 2007, 57, 2–12. [Google Scholar] [CrossRef] [PubMed]
- Cassone, A. Vulvovaginal Candida albicans infections: Pathogenesis, immunity and vaccine prospects. BJOG 2015, 122, 785–794. [Google Scholar] [CrossRef] [PubMed]
- Patil, S.; Rao, R.S.; Majumdar, B.; Anil, S. Clinical Appearance of Oral Candida Infection and Therapeutic Strategies. Front. Microbiol. 2015, 6, 1391. [Google Scholar] [CrossRef]
- Garcia-Cuesta, C.; Sarrion-Perez, M.G.; Bagan, J.V. Current treatment of oral candidiasis: A literature review. J. Clin. Exp. Dent. 2014, 6, e576–e582. [Google Scholar] [CrossRef]
- Fortun, J.; Martin-Davila, P.; Gomez-Garcia de la Pedrosa, E.; Pintado, V.; Cobo, J.; Fresco, G.; Meije, Y.; Ros, L.; Alvarez, M.E.; Luengo, J.; et al. Emerging trends in candidemia: A higher incidence but a similar outcome. J. Infect. 2012, 65, 64–70. [Google Scholar] [CrossRef]
- Pappas, P.G.; Kauffman, C.A.; Andes, D.R.; Clancy, C.J.; Marr, K.A.; Ostrosky-Zeichner, L.; Reboli, A.C.; Schuster, M.G.; Vazquez, J.A.; Walsh, T.J.; et al. Clinical Practice Guideline for the Management of Candidiasis: 2016 Update by the Infectious Diseases Society of America. Clin. Infect. Dis. 2016, 62, e1–e50. [Google Scholar] [CrossRef]
- Pappas, P.G.; Kauffman, C.A.; Andes, D.; Benjamin, D.K., Jr.; Calandra, T.F.; Edwards, J.E., Jr.; Filler, S.G.; Fisher, J.F.; Kullberg, B.J.; Ostrosky-Zeichner, L.; et al. Clinical practice guidelines for the management of candidiasis: 2009 update by the Infectious Diseases Society of America. Clin. Infect. Dis. 2009, 48, 503–535. [Google Scholar] [CrossRef]
- Teoh, F.; Pavelka, N. How Chemotherapy Increases the Risk of Systemic Candidiasis in Cancer Patients: Current Paradigm and Future Directions. Pathogens 2016, 5, 6. [Google Scholar] [CrossRef]
- Sudbery, P. Morphogenesis of a human fungal pathogen requires septin phosphorylation. Dev. Cell 2007, 13, 315–316. [Google Scholar] [CrossRef] [PubMed]
- Sudbery, P.; Gow, N.; Berman, J. The distinct morphogenic states of Candida albicans. Trends Microbiol. 2004, 12, 317–324. [Google Scholar] [CrossRef]
- Whiteway, M.; Bachewich, C. Morphogenesis in Candida albicans. Annu Rev. Microbiol. 2007, 61, 529–553. [Google Scholar] [CrossRef] [PubMed]
- Lu, Y.; Su, C.; Liu, H. Candida albicans hyphal initiation and elongation. Trends Microbiol. 2014, 22, 707–714. [Google Scholar] [CrossRef]
- Brand, A. Hyphal growth in human fungal pathogens and its role in virulence. Int. J. Microbiol. 2012, 2012, 517529. [Google Scholar] [CrossRef] [PubMed]
- Navarro-Garcia, F.; Sanchez, M.; Nombela, C.; Pla, J. Virulence genes in the pathogenic yeast Candida albicans. FEMS Microbiol. Rev. 2001, 25, 245–268. [Google Scholar] [CrossRef] [PubMed]
- Gow, N.A.; van de Veerdonk, F.L.; Brown, A.J.; Netea, M.G. Candida albicans morphogenesis and host defence: Discriminating invasion from colonization. Nat. Rev. Microbiol. 2012, 10, 112–122. [Google Scholar] [CrossRef] [PubMed]
- Rizzetto, L.; Weil, T.; Cavalieri, D. Systems Level Dissection of Candida Recognition by Dectins: A Matter of Fungal Morphology and Site of Infection. Pathogens 2015, 4, 639–661. [Google Scholar] [CrossRef]
- Ene, I.V.; Bennett, R.J. The cryptic sexual strategies of human fungal pathogens. Nat. Rev. Microbiol. 2014, 12, 239–251. [Google Scholar] [CrossRef]
- Zhang, N.; Magee, B.B.; Magee, P.T.; Holland, B.R.; Rodrigues, E.; Holmes, A.R.; Cannon, R.D.; Schmid, J. Selective Advantages of a Parasexual Cycle for the Yeast Candida albicans. Genetics 2015, 200, 1117–1132. [Google Scholar] [CrossRef]
- Hickman, M.A.; Zeng, G.; Forche, A.; Hirakawa, M.P.; Abbey, D.; Harrison, B.D.; Wang, Y.M.; Su, C.H.; Bennett, R.J.; Wang, Y.; et al. The ‘obligate diploid’ Candida albicans forms mating-competent haploids. Nature 2013, 494, 55–59. [Google Scholar] [CrossRef] [PubMed]
- Bennett, R.J. The parasexual lifestyle of Candida albicans. Curr. Opin. Microbiol. 2015, 28, 10–17. [Google Scholar] [CrossRef] [PubMed]
- Berman, J.; Sudbery, P.E. Candida albicans: A molecular revolution built on lessons from budding yeast. Nat. Rev. Genet. 2002, 3, 918–930. [Google Scholar] [CrossRef] [PubMed]
- Biswas, S.; Van Dijck, P.; Datta, A. Environmental sensing and signal transduction pathways regulating morphopathogenic determinants of Candida albicans. Microbiol. Mol. Biol. Rev. 2007, 71, 348–376. [Google Scholar] [CrossRef] [PubMed]
- Martchenko, M.; Levitin, A.; Whiteway, M. Transcriptional activation domains of the Candida albicans Gcn4p and Gal4p homologs. Eukaryot. Cell 2007, 6, 291–301. [Google Scholar] [CrossRef] [PubMed][Green Version]
- Berman, J. Morphogenesis and cell cycle progression in Candida albicans. Curr. Opin. Microbiol. 2006, 9, 595–601. [Google Scholar] [CrossRef]
- Perez-Martin, J.; Bardetti, P.; Castanheira, S.; de la Torre, A.; Tenorio-Gomez, M. Virulence-specific cell cycle and morphogenesis connections in pathogenic fungi. Semin. Cell Dev. Biol. 2016, 57, 93–99. [Google Scholar] [CrossRef]
- Atir-Lande, A.; Gildor, T.; Kornitzer, D. Role for the SCFCDC4 Ubiquitin Ligase in Candida albicans Morphogenesis. Mol. Biol. Cell 2005, 16, 2772–2785. [Google Scholar] [CrossRef]
- Bensen, E.S.; Clemente-Blanco, A.; Finley, K.R.; Correa-Bordes, J.; Berman, J. The Mitotic Cyclins Clb2p and Clb4p Affect Morphogenesis in Candida albicans. Mol. Biol. Cell 2005, 16, 3387–3400. [Google Scholar] [CrossRef]
- Bensen, E.S.; Filler, S.G.; Berman, J. A forkhead transcription factor is important for true hyphal as well as yeast morphogenesis in Candida albicans. Eukaryot. Cell 2002, 1, 787–798. [Google Scholar] [CrossRef]
- Butler, D.K.; All, O.; Goffena, J.; Loveless, T.; Wilson, T.; Toenjes, K.A. The GRR1 gene of Candida albicans is involved in the negative control of pseudohyphal morphogenesis. Fungal Genet. Biol. 2006, 43, 573–582. [Google Scholar] [CrossRef] [PubMed]
- Li, W.J.; Wang, Y.M.; Zheng, X.D.; Shi, Q.M.; Zhang, T.T.; Bai, C.; Li, D.; Sang, J.L.; Wang, Y. The F-box protein Grr1 regulates the stability of Ccn1, Cln3 and Hof1 and cell morphogenesis in Candida albicans. Mol. Microbiol. 2006, 62, 212–226. [Google Scholar] [CrossRef] [PubMed]
- Shieh, J.C.; White, A.; Cheng, Y.C.; Rosamond, J. Identification and functional characterization of Candida albicans CDC4. J. Biomed. Sci. 2005, 12, 913–924. [Google Scholar] [CrossRef] [PubMed]
- Bates, S. Candida albicans Cdc15 is essential for mitotic exit and cytokinesis. Sci. Rep. 2018, 8, 8899. [Google Scholar] [CrossRef] [PubMed]
- Chien, T.; Tseng, T.L.; Wang, J.Y.; Shen, Y.T.; Lin, T.H.; Shieh, J.C. Candida albicans DBF4 gene inducibly duplicated by the mini-Ura-blaster is involved in hypha-suppression. Mutat. Res. 2015, 779, 78–85. [Google Scholar] [CrossRef] [PubMed]
- Lai, W.C.; Chang, T.W.; Wu, C.H.; Yang, S.Y.; Lee, T.L.; Li, W.C.; Chien, T.; Cheng, Y.C.; Shieh, J.C. Candida albicans Dbf4-dependent Cdc7 kinase plays a novel role in the inhibition of hyphal development. Sci. Rep. 2016, 6, 33716. [Google Scholar] [CrossRef]
- Umeyama, T.; Kaneko, A.; Niimi, M.; Uehara, Y. Repression of CDC28 reduces the expression of the morphology-related transcription factors, Efg1p, Nrg1p, Rbf1p, Rim101p, Fkh2p and Tec1p and induces cell elongation in Candida albicans. Yeast 2006, 23, 537–552. [Google Scholar] [CrossRef]
- Agam, G.; Shamir, A.; Shaltiel, G.; Greenberg, M.L. Myo-inositol-1-phosphate (MIP) synthase: A possible new target for antibipolar drugs. Bipolar Disord. 2002, 4 (Suppl. 1), 15–20. [Google Scholar] [CrossRef]
- Hochstrasser, M. Protein degradation or regulation: Ub the judge. Cell 1996, 84, 813–815. [Google Scholar] [CrossRef]
- Chin, C.; Lai, W.C.; Lee, T.L.; Tseng, T.L.; Shieh, J.C. Dissection of the Candida albicans Cdc4 protein reveals the involvement of domains in morphogenesis and cell flocculation. J. Biomed. Sci. 2013, 20, 97. [Google Scholar] [CrossRef]
- Galan-Ladero, M.A.; Blanco-Blanco, M.T.; Hurtado, C.; Perez-Giraldo, C.; Blanco, M.T.; Gomez-Garcia, A.C. Determination of biofilm production by Candida tropicalis isolated from hospitalized patients and its relation to cellular surface hydrophobicity, plastic adherence and filamentation ability. Yeast 2013, 30, 331–339. [Google Scholar] [PubMed]
- Ramage, G.; VandeWalle, K.; Lopez-Ribot, J.L.; Wickes, B.L. The filamentation pathway controlled by the Efg1 regulator protein is required for normal biofilm formation and development in Candida albicans. FEMS Microbiol. Lett. 2002, 214, 95–100. [Google Scholar] [PubMed]
- Ryan, O.; Shapiro, R.S.; Kurat, C.F.; Mayhew, D.; Baryshnikova, A.; Chin, B.; Lin, Z.Y.; Cox, M.J.; Vizeacoumar, F.; Cheung, D.; et al. Global gene deletion analysis exploring yeast filamentous growth. Science 2012, 337, 1353–1356. [Google Scholar] [CrossRef] [PubMed]
- Kavanaugh, N.L.; Zhang, A.Q.; Nobile, C.J.; Johnson, A.D.; Ribbeck, K. Mucins suppress virulence traits of Candida albicans. MBio 2014, 5, e01911-14. [Google Scholar] [CrossRef]
- Verstrepen, K.J.; Klis, F.M. Flocculation, adhesion and biofilm formation in yeasts. Mol. Microbiol. 2006, 60, 5–15. [Google Scholar] [CrossRef] [PubMed]
- Verstrepen, K.J.; Reynolds, T.B.; Fink, G.R. Origins of variation in the fungal cell surface. Nat. Rev. Microbiol. 2004, 2, 533–540. [Google Scholar] [CrossRef]
- Tseng, T.L.; Lai, W.C.; Lee, T.L.; Hsu, W.H.; Sun, Y.W.; Li, W.C.; Cheng, C.W.; Shieh, J.C. A role of Candida albicans CDC4 in the negative regulation of biofilm formation. Can. J. Microbiol. 2015, 61, 247–255. [Google Scholar] [CrossRef]
- Tseng, T.L.; Lai, W.C.; Jian, T.; Li, C.; Sun, H.F.; Way, T.D.; Shieh, J.C. Affinity purification of Candida albicans CaCdc4-associated proteins reveals the presence of novel proteins involved in morphogenesis. Biochem. Biophys. Res. Commun. 2010, 395, 152–157. [Google Scholar] [CrossRef]
- Ramos, C.; Calderon, I.L. Biochemical evidence that the Saccharomyces cerevisiae THR4 gene encodes threonine synthetase. FEBS Lett. 1994, 351, 357–359. [Google Scholar] [CrossRef]
- Schultes, N.P.; Ellington, A.D.; Cherry, J.M.; Szostak, J.W. Saccharomyces cerevisiae homoserine kinase is homologous to prokaryotic homoserine kinases. Gene 1990, 96, 177–180. [Google Scholar] [CrossRef]
- Lee, Y.T.; Fang, Y.Y.; Sun, Y.W.; Hsu, H.C.; Weng, S.M.; Tseng, T.L.; Lin, T.H.; Shieh, J.C. THR1 mediates GCN4 and CDC4 to link morphogenesis with nutrient sensing and the stress response in Candida albicans. Int. J. Mol. Med. 2018, 42, 3193–3208. [Google Scholar] [CrossRef] [PubMed]
- Hwang, P.K.; Tugendreich, S.; Fletterick, R.J. Molecular analysis of GPH1, the gene encoding glycogen phosphorylase in Saccharomyces cerevisiae. Mol. Cell Biol. 1989, 9, 1659–1666. [Google Scholar] [PubMed]
- Daran, J.M.; Dallies, N.; Thines-Sempoux, D.; Paquet, V.; Francois, J. Genetic and biochemical characterization of the UGP1 gene encoding the UDP-glucose pyrophosphorylase from Saccharomyces cerevisiae. Eur. J. Biochem. 1995, 233, 520–530. [Google Scholar] [CrossRef] [PubMed]
- Francois, J.; Parrou, J.L. Reserve carbohydrates metabolism in the yeast Saccharomyces cerevisiae. FEMS Microbiol. Rev. 2001, 25, 125–145. [Google Scholar]
- Fuhring, J.I.; Cramer, J.T.; Schneider, J.; Baruch, P.; Gerardy-Schahn, R.; Fedorov, R. A quaternary mechanism enables the complex biological functions of octameric human UDP-glucose pyrophosphorylase, a key enzyme in cell metabolism. Sci. Rep. 2015, 5, 9618. [Google Scholar] [CrossRef]
- Daran, J.M.; Bell, W.; Francois, J. Physiological and morphological effects of genetic alterations leading to a reduced synthesis of UDP-glucose in Saccharomyces cerevisiae. FEMS Microbiol. Lett. 1997, 153, 89–96. [Google Scholar]
- Aimanianda, V.; Simenel, C.; Garnaud, C.; Clavaud, C.; Tada, R.; Barbin, L.; Mouyna, I.; Heddergott, C.; Popolo, L.; Ohya, Y.; et al. The Dual Activity Responsible for the Elongation and Branching of beta-(1,3)-Glucan in the Fungal Cell Wall. MBio 2017, 8, e00619-17. [Google Scholar] [CrossRef]
- Urban, C.; Sohn, K.; Lottspeich, F.; Brunner, H.; Rupp, S. Identification of cell surface determinants in Candida albicans reveals Tsa1p, a protein differentially localized in the cell. FEBS Lett. 2003, 544, 228–235. [Google Scholar] [CrossRef]
- Copping, V.M.; Barelle, C.J.; Hube, B.; Gow, N.A.; Brown, A.J.; Odds, F.C. Exposure of Candida albicans to antifungal agents affects expression of SAP2 and SAP9 secreted proteinase genes. J. Antimicrob. Chemother. 2005, 55, 645–654. [Google Scholar] [CrossRef]
- Nobile, C.J.; Fox, E.P.; Nett, J.E.; Sorrells, T.R.; Mitrovich, Q.M.; Hernday, A.D.; Tuch, B.B.; Andes, D.R.; Johnson, A.D. A recently evolved transcriptional network controls biofilm development in Candida albicans. Cell 2012, 148, 126–138. [Google Scholar]
- Perez, J.C.; Kumamoto, C.A.; Johnson, A.D. Candida albicans commensalism and pathogenicity are intertwined traits directed by a tightly knit transcriptional regulatory circuit. PLoS Biol. 2013, 11, e1001510. [Google Scholar] [CrossRef]
- Lane, S.; Di Lena, P.; Tormanen, K.; Baldi, P.; Liu, H. Function and Regulation of Cph2 in Candida albicans. Eukaryot. Cell 2015, 14, 1114–1126. [Google Scholar] [CrossRef] [PubMed][Green Version]
- Rosenbach, A.; Dignard, D.; Pierce, J.V.; Whiteway, M.; Kumamoto, C.A. Adaptations of Candida albicans for growth in the mammalian intestinal tract. Eukaryot. Cell 2010, 9, 1075–1086. [Google Scholar] [CrossRef]
- Gillum, A.M.; Tsay, E.Y.; Kirsch, D.R. Isolation of the Candida albicans gene for orotidine-5′-phosphate decarboxylase by complementation of S. cerevisiae ura3 and E. coli pyrF mutations. Mol. Gen. Genet. 1984, 198, 179–182. [Google Scholar] [CrossRef] [PubMed]
- Wilson, R.B.; Davis, D.; Mitchell, A.P. Rapid hypothesis testing with Candida albicans through gene disruption with short homology regions. J. Bacteriol. 1999, 181, 1868–1874. [Google Scholar] [CrossRef] [PubMed]
- Chen, Q.; Chen, X.; Wang, Q.; Zhang, F.; Lou, Z.; Zhang, Q.; Zhou, D.X. Structural basis of a histone H3 lysine 4 demethylase required for stem elongation in rice. PLoS Genet. 2013, 9, e1003239. [Google Scholar] [CrossRef]
- Warren, G.; Sherratt, D. Incompatibility and transforming efficiency of ColE1 and related plasmids. Mol. Gen. Genet. 1978, 161, 39–47. [Google Scholar] [CrossRef]
- Dower, W.J.; Miller, J.F.; Ragsdale, C.W. High efficiency transformation of E. coli by high voltage electroporation. Nucleic Acids Res. 1988, 16, 6127–6145. [Google Scholar] [CrossRef]
- Gietz, R.D. Yeast transformation by the LiAc/SS carrier DNA/PEG method. Methods Mol. Biol. 2014, 1205, 1–12. [Google Scholar]
- Becker, D.M.; Lundblad, V. Introduction of DNA into yeast cells. Curr. Protoc. Mol. Biol. Chapter. 2001, 27, 13.7.1–13.7.10. [Google Scholar] [CrossRef]
- Kaneko, A.; Umeyama, T.; Hanaoka, N.; Monk, B.C.; Uehara, Y.; Niimi, M. Tandem affinity purification of the Candida albicans septin protein complex. Yeast 2004, 21, 1025–1033. [Google Scholar] [CrossRef] [PubMed]
- Care, R.S.; Trevethick, J.; Binley, K.M.; Sudbery, P.E. The MET3 promoter: A new tool for Candida albicans molecular genetics. Mol. Microbiol. 1999, 34, 792–798. [Google Scholar] [CrossRef] [PubMed]
- Reuss, O.; Vik, A.; Kolter, R.; Morschhauser, J. The SAT1 flipper, an optimized tool for gene disruption in Candida albicans. Gene 2004, 341, 119–127. [Google Scholar] [CrossRef] [PubMed]
- Lai, W.C.; Sun, H.F.; Lin, P.H.; Ho Lin, H.L.; Shieh, J.C. A new rapid and efficient system with dominant selection developed to inactivate and conditionally express genes in Candida albicans. Curr. Genet. 2016, 62, 213–235. [Google Scholar] [CrossRef] [PubMed]
- Shieh, J.C.; Cheng, Y.C.; Su, M.C.; Moore, M.; Choo, Y.; Klug, A. Tailor-made zinc-finger transcription factors activate FLO11 gene expression with phenotypic consequences in the yeast Saccharomyces cerevisiae. PLoS ONE 2007, 2, e746. [Google Scholar] [CrossRef] [PubMed]
- Rosenberg, M. Isolation of pigmented and nonpigmented mutants of Serratia marcescens with reduced cell surface hydrophobicity. J. Bacteriol. 1984, 160, 480–482. [Google Scholar] [CrossRef]
- Silva-Dias, A.; Miranda, I.M.; Branco, J.; Monteiro-Soares, M.; Pina-Vaz, C.; Rodrigues, A.G. Adhesion, biofilm formation, cell surface hydrophobicity, and antifungal planktonic susceptibility: Relationship among Candida spp. Front. Microbiol. 2015, 6, 205. [Google Scholar] [CrossRef]
- Vogel, M.; Köberle, M.; Schäffler, H.; Treiber, M.; Autenrieth, I.; Schumacher, U. Rifampicin induced virulence determinants increase Candida albicans biofilm formation [version 1; peer review: 3 approved with reservations]. F1000Research 2013, 2, 106. [Google Scholar] [CrossRef]
- Pierce, C.G.; Uppuluri, P.; Tristan, A.R.; Wormley, F.L., Jr.; Mowat, E.; Ramage, G.; Lopez-Ribot, J.L. A simple and reproducible 96-well plate-based method for the formation of fungal biofilms and its application to antifungal susceptibility testing. Nat. Protoc. 2008, 3, 1494–1500. [Google Scholar] [CrossRef]
- Gildor, T.; Shemer, R.; Atir-Lande, A.; Kornitzer, D. Coevolution of cyclin Pcl5 and its substrate Gcn4. Eukaryot Cell 2005, 4, 310–318. [Google Scholar] [CrossRef][Green Version]
- Fanning, S.; Mitchell, A.P. Fungal biofilms. PLoS Pathog. 2012, 8, e1002585. [Google Scholar] [CrossRef] [PubMed]
- Li, X.; Yan, Z.; Xu, J. Quantitative variation of biofilms among strains in natural populations of Candida albicans. Microbiology 2003, 149, 353–362. [Google Scholar] [CrossRef] [PubMed]
- Garcia-Sanchez, S.; Aubert, S.; Iraqui, I.; Janbon, G.; Ghigo, J.M.; d’Enfert, C. Candida albicans biofilms: A developmental state associated with specific and stable gene expression patterns. Eukaryot. Cell 2004, 3, 536–545. [Google Scholar] [CrossRef] [PubMed]
- Ahmad, I. Combating Fungal Infections: Problems and Remedy; Springer: Berlin/Heidelberg, Germany, 2010. [Google Scholar]
- Chaffin, W.L.; Lopez-Ribot, J.L.; Casanova, M.; Gozalbo, D.; Martinez, J.P. Cell wall and secreted proteins of Candida albicans: Identification, function, and expression. Microbiol. Mol. Biol. Rev. 1998, 62, 130–180. [Google Scholar] [CrossRef]
- Hostetter, M.K. Adhesins and ligands involved in the interaction of Candida spp. with epithelial and endothelial surfaces. Clin. Microbiol. Rev. 1994, 7, 29–42. [Google Scholar] [CrossRef]
- Mayer, F.L.; Wilson, D.; Hube, B. Candida albicans pathogenicity mechanisms. Virulence 2013, 4, 119–128. [Google Scholar] [CrossRef]
- Klotz, S.A.; Smith, R.L. A fibronectin receptor on Candida albicans mediates adherence of the fungus to extracellular matrix. J. Infect. Dis. 1991, 163, 604–610. [Google Scholar] [CrossRef]
- Veelders, M.; Bruckner, S.; Ott, D.; Unverzagt, C.; Mosch, H.U.; Essen, L.O. Structural basis of flocculin-mediated social behavior in yeast. Proc. Natl. Acad. Sci. USA 2010, 107, 22511–22516. [Google Scholar] [CrossRef]
- Masuoka, J.; Hazen, K.C. Cell wall mannan and cell surface hydrophobicity in Candida albicans serotype A and B strains. Infect. Immun. 2004, 72, 6230–6236. [Google Scholar] [CrossRef]
- Nett, J.E.; Cabezas-Olcoz, J.; Marchillo, K.; Mosher, D.F.; Andes, D.R. Targeting Fibronectin To Disrupt In Vivo Candida albicans Biofilms. Antimicrob. Agents Chemother. 2016, 60, 3152–3155. [Google Scholar] [CrossRef]
- Dominic, R.M.; Shenoy, S.; Baliga, S. Candida biofilms in medical devices: Evolving trends. Kathmandu Univ. Med. J. (KUMJ) 2007, 5, 431–436. [Google Scholar]
- Finkel, J.S.; Mitchell, A.P. Genetic control of Candida albicans biofilm development. Nat. Rev. Microbiol. 2011, 9, 109–118. [Google Scholar] [CrossRef] [PubMed]






Publisher’s Note: MDPI stays neutral with regard to jurisdictional claims in published maps and institutional affiliations. |
© 2022 by the authors. Licensee MDPI, Basel, Switzerland. This article is an open access article distributed under the terms and conditions of the Creative Commons Attribution (CC BY) license (https://creativecommons.org/licenses/by/4.0/).
Share and Cite
Lai, W.-C.; Hsu, H.-C.; Cheng, C.-W.; Wang, S.-H.; Li, W.C.; Hsieh, P.-S.; Tseng, T.-L.; Lin, T.-H.; Shieh, J.-C. Filament Negative Regulator CDC4 Suppresses Glycogen Phosphorylase Encoded GPH1 That Impacts the Cell Wall-Associated Features in Candida albicans. J. Fungi 2022, 8, 233. https://doi.org/10.3390/jof8030233
Lai W-C, Hsu H-C, Cheng C-W, Wang S-H, Li WC, Hsieh P-S, Tseng T-L, Lin T-H, Shieh J-C. Filament Negative Regulator CDC4 Suppresses Glycogen Phosphorylase Encoded GPH1 That Impacts the Cell Wall-Associated Features in Candida albicans. Journal of Fungi. 2022; 8(3):233. https://doi.org/10.3390/jof8030233
Chicago/Turabian StyleLai, Wei-Chung, Hsiao-Chi Hsu, Chun-Wen Cheng, Shao-Hung Wang, Wan Chen Li, Po-Szu Hsieh, Tzu-Ling Tseng, Ting-Hui Lin, and Jia-Ching Shieh. 2022. "Filament Negative Regulator CDC4 Suppresses Glycogen Phosphorylase Encoded GPH1 That Impacts the Cell Wall-Associated Features in Candida albicans" Journal of Fungi 8, no. 3: 233. https://doi.org/10.3390/jof8030233
APA StyleLai, W.-C., Hsu, H.-C., Cheng, C.-W., Wang, S.-H., Li, W. C., Hsieh, P.-S., Tseng, T.-L., Lin, T.-H., & Shieh, J.-C. (2022). Filament Negative Regulator CDC4 Suppresses Glycogen Phosphorylase Encoded GPH1 That Impacts the Cell Wall-Associated Features in Candida albicans. Journal of Fungi, 8(3), 233. https://doi.org/10.3390/jof8030233

