Aspergillosis in Wild Birds
Abstract
1. Introduction
2. Etiology and Ecology
3. Geographic Distribution and Seasonality
4. Host Range and Impact
5. Disease Predisposition
6. Pathogenesis
7. Clinical Signs
8. Gross Lesions
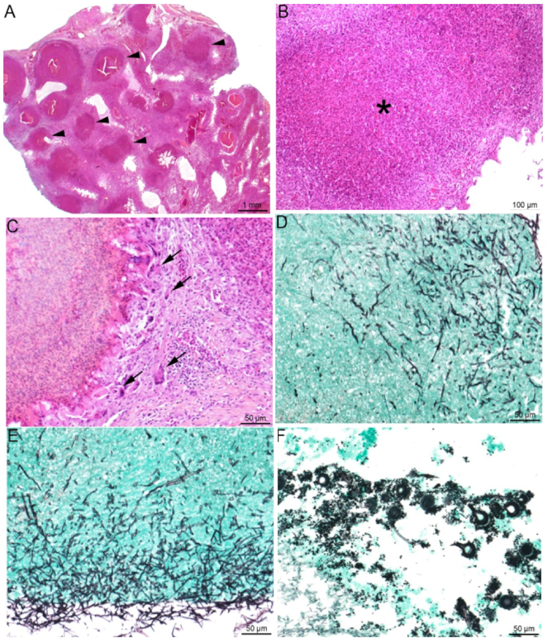
9. Histopathology
10. Diagnostics
11. Treatment
12. Prevention
13. Concluding Remarks
Author Contributions
Funding
Institutional Review Board Statement
Informed Consent Statement
Conflicts of Interest
References
- Seyedmousavi, S.; Guillot, J.; Arné, P.; de Hoog, G.S.; Mouton, J.W.; Melchers, W.J.G.; Verweij, P.E. Aspergillus and Aspergilloses in Wild and Domestic Animals: A Global Health Concern with Parallels to Human Disease. Med. Mycol. 2015, 53, 765–797. [Google Scholar] [CrossRef]
- Converse, K.A. Aspergillosis. In Infectious Diseases of Wild Birds; Wiley-Blackwell: Hoboken, NJ, USA, 2008; pp. 360–374. ISBN 978-0-470-34466-8. [Google Scholar]
- Arné, P.; Lee, M.D. Fungal infections. In Diseases of Poultry; Wiley-Blackwell: Hoboken, NJ, USA, 2019; pp. 1111–1134. [Google Scholar]
- Martel, A. Aspergillosis. In Current Therapy in Avian Medicine and Surgery; Elsevier Health Sciences: Amsterdam, The Netherlands, 2016; ISBN 978-1-4557-4671-2. [Google Scholar]
- Arné, P.; Thierry, S.; Wang, D.; Deville, M.; Le Loc’h, G.; Desoutter, A.; Féménia, F.; Nieguitsila, A.; Huang, W.; Chermette, R.; et al. Aspergillus fumigatus in Poultry. Int. J. Microbiol. 2011, 2011. [Google Scholar] [CrossRef] [PubMed]
- Fresenius, G. Beiträge Sur Mykologie; Brönner, M., Ed.; Frankfurt A.M.: Frankfurt, Germany, 1863. [Google Scholar]
- Urbain, A.; Guillot, J. Les aspergilloses aviaires. In L’Oiseau et la Revue Française D’ornithologie; Société Ornithologique de France: Paris, France, 1938; pp. 559–591. [Google Scholar]
- Houbraken, J.; Kocsubé, S.; Visagie, C.M.; Yilmaz, N.; Wang, X.-C.; Meijer, M.; Kraak, B.; Hubka, V.; Bensch, K.; Samson, R.A.; et al. Classification of Aspergillus, Penicillium, Talaromyces and Related Genera (Eurotiales): An Overview of Families, Genera, Subgenera, Sections, Series and Species. Stud. Mycol. 2020, 95, 5–169. [Google Scholar] [CrossRef]
- Tell, L.A. Aspergillosis in Mammals and Birds: Impact on Veterinary Medicine. Med. Mycol. 2005, 43 (Suppl. 1), S71–S73. [Google Scholar] [CrossRef]
- Tarello, W. Etiologic Agents and Diseases Found Associated with Clinical Aspergillosis in Falcons. Int. J. Microbiol. 2011, 2011. [Google Scholar] [CrossRef] [PubMed]
- Rahim, M.A.; Bakhiet, A.O.; Hussein, M.F. Aspergillosis in a Gyrfalcon (Falco rusticolus) in Saudi Arabia. Comp. Clin. Pathol. 2013, 22, 131–135. [Google Scholar] [CrossRef]
- Churria, C.D.G.; Reynaldi, F.; Origlia, J.; Marcantoni, H.; Píscopo, M.V.; Loyola, M.; Reinoso, E.H.; Petruccelli, M. Pulmonary Aspergillosis Due to Aspergillus Flavus Infection in a Captive Eclectus Parrot (Eclectus roratus). Braz. J. Vet. Pathol. 2012, 5, 4–6. [Google Scholar]
- Jacobson, E.; Raphael, B.L.; Nguyen, H.T.; Greiner, E.C.; Gross, T. Avian Pox Infection, Aspergillosis and Renal Trematodiasis in a Royal Tern. J. Wildl. Dis. 1980, 16, 627–631. [Google Scholar] [CrossRef]
- Pérez, J.; García, P.M.; Méndez, A.; Astorga, R.; Luque, I.; Tarradas, C. Outbreak of Aspergillosis in a Flock of Adult Ostriches (Struthio camelus). Vet. Rec. 2003, 153, 124–125. [Google Scholar] [CrossRef]
- Naldo, J.L.; Samour, J.H. Causes of Morbidity and Mortality in Falcons in Saudi Arabia. J. Avian Med. Surg. 2004, 18, 229–241. [Google Scholar] [CrossRef]
- Silvanose, C.D.; Bailey, T.A.; Di Somma, A. Susceptibility of Fungi Isolated from the Respiratory Tract of Falcons to Amphotericin B, Itraconazole and Voriconazole. Vet. Rec. 2006, 159, 282–284. [Google Scholar] [CrossRef]
- Kiser, P.K.; Meritet, D.M.; Bildfell, R.J. Aspergillus Section Nigri-Associated Calcium Oxalate Crystals in an Eurasian Eagle Owl (Bubo bubo). Case Rep. Vet. Med. 2018, 2018. [Google Scholar] [CrossRef] [PubMed]
- Lagneau, P.E.; Houtain, J.Y. Cas d’aspergillose Chez Des Perroquets En Belgique. J. Mycol. Méd. 2001, 11, 171–172. [Google Scholar]
- Redig, P.T.; Fuller, M.R.; Evans, D.L. Prevalence of Aspergillus fumigatus in Free-Living Goshawks (Accipiter Gentilis Atricapillus). J. Wildl. Dis. 1980, 16, 169–174. [Google Scholar] [CrossRef]
- Pal, M. Disseminated Aspergillus Terreus Infection in a Caged Pigeon. Mycopathologia 1992, 119, 137–139. [Google Scholar] [CrossRef]
- Li, H.; Zhu, R.; She, R.; Zhang, C.; Shi, R.; Li, W.; Du, F.; Wu, Q.; Hu, F.; Zhang, Y.; et al. Case Report Associated with Aspergillosis and Hepatitis E Virus Coinfection in Himalayan Griffons. BioMed Res. Int. 2015, 2015, e287315. [Google Scholar] [CrossRef] [PubMed]
- Payne, C.L.; Dark, M.J.; Conway, J.A.; Farina, L.L. A Retrospective Study of the Prevalence of Calcium Oxalate Crystals in Veterinary Aspergillus Cases. J. Vet. Diagn. Invest. 2017, 29, 51–58. [Google Scholar] [CrossRef]
- Kaplan, W.; Arnstein, P.; Ajello, L.; Chandler, F.; Watts, J.; Hicklin, M. Fatal Aspergillosis in Imported Parrots. Mycopathologia 1975, 56, 25–29. [Google Scholar] [CrossRef] [PubMed]
- Stock, B.L. Case Report: Generalized Granulomatous Lesions in Chickens and Wild Ducks Caused by Aspergillus Species. Avian Dis. 1961, 5, 89. [Google Scholar] [CrossRef]
- Stedham, M.A.; Bucci, T.J.; Maronpot, R.R. Sexual and Asexual Phases of Aspergillus Nidulans in an Egret. Mycopathol. Mycol. Appl. 1968, 36, 289–292. [Google Scholar] [CrossRef]
- Talbot, J.J.; Thompson, P.; Vogelnest, L.; Barrs, V.R. Identification of Pathogenic Aspergillus Isolates from Captive Birds in Australia. Med. Mycol 2018, 56, 1038–1041. [Google Scholar] [CrossRef]
- Friend, M. Aspergillosis. In Field Manual of Wildlife Diseases: General Field Procedures and Diseases of Birds; US Geological Survey: Washington DC, USA, 1999; pp. 129–133. [Google Scholar]
- Perelman, B.; Kuttin, E.S. Aspergillosis in Ostriches. Avian Pathol. 1992, 21, 159–163. [Google Scholar] [CrossRef]
- Carrasco, L.; Bautista, M.J.; de las Mulas, J.M.; Jensen, H.E. Application of Enzyme-Immunohistochemistry for the Diagnosis of Aspergillosis, Candidiasis, and Zygomycosis in Three Lovebirds. Avian Dis. 1993, 37, 923–927. [Google Scholar] [CrossRef] [PubMed]
- Olias, P.; Gruber, A.D.; Winfried, B.; Hafez, H.M.; Lierz, M. Fungal Pneumonia as a Major Cause of Mortality in White Stork (Ciconia ciconia) Chicks. Avian Dis. 2010, 54, 94–98. [Google Scholar] [CrossRef] [PubMed]
- Alastruey-Izquierdo, A.; Mellado, E.; Cuenca-Estrella, M. Current Section and Species Complex Concepts in Aspergillus: Recommendations for Routine Daily Practice. Ann. N. Y. Acad. Sci. 2012, 1273, 18–24. [Google Scholar] [CrossRef]
- Gautier, M.; Normand, A.-C.; Ranque, S. Previously Unknown Species of Aspergillus. Clin. Microbiol. Infect. 2016, 22, 662–669. [Google Scholar] [CrossRef] [PubMed]
- Vedova, R.D.; Hevia, A.; Vivot, W.; Fernández, J.; Córdoba, S.B.; Reynaldi, F.J. Aspergillosis in Domestic and Wild Birds from Argentina. Braz. J. Vet. Res. Anim. Sci. 2019, 56, e152460. [Google Scholar] [CrossRef]
- Lim, S.Y.; Kano, R.; Ooya, K.; Kimura, S.; Yanai, T.; Hasegawa, A.; Kamata, H. The First Isolation of Aspergillus Allahabadii from a Cormorant with Pulmonary Aspergillosis. Med. Mycol. J. 2016, 57, E77–E79. [Google Scholar] [CrossRef] [PubMed]
- Melo, A.M.; da Silva Filho, R.P.; Poester, V.R.; Fernandes, C.G.; von Groll, A.; Stevens, D.A.; Sabino, R.; Xavier, M.O. Aspergillosis in Albatrosses. Med. Mycol. 2020, 58, 852–855. [Google Scholar] [CrossRef]
- Melo, A.; Silva-Filho, R.; Poester, V.; von Groll, A.; Fernandes, C.; Stevens, D.; Sabino, R.; Xavier, M. Aspergillosis in Free-Ranging Aquatic Birds. Med. Mycol. Case Rep. 2020, 28. [Google Scholar] [CrossRef] [PubMed]
- Spanamberg, A.; Assis Casagrande, R.; Ferreiro, L.; Machado Rolim, V.; Oltramari de Souza, S.; Christian Magno Gonçalves, I.; Gustavo Schneider de Oliveira, L.; Wouters, F.; Terezinha Barth Wouters, A.; Suertegaray Fontana, C.; et al. Aspergillosis in green-winged saltators (Saltator similis) participants in bird singing competitions. Acta Sci. Vet. 2012, 40, 1089. [Google Scholar]
- Sabino, R.; Burco, J.; Valente, J.; Veríssimo, C.; Clemons, K.V.; Stevens, D.A.; Tell, L.A. Molecular Identification of Clinical and Environmental Avian Aspergillus Isolates. Arch. Microbiol. 2019, 201, 253–257. [Google Scholar] [CrossRef] [PubMed]
- Barber, A.E.; Scheufen, S.; Walther, G.; Kurzai, O.; Schmidt, V. Low Rate of Azole Resistance in Cases of Avian Aspergillosis in Germany. Med. Mycol. 2020. [Google Scholar] [CrossRef] [PubMed]
- Graczyk, T.K.; Cockrem, J.F. Aspergillus Spp. Seropositivity in New Zealand Penguins. Mycopathologia 1995, 131, 179–184. [Google Scholar] [CrossRef] [PubMed]
- German, A.C.; Shankland, G.S.; Edwards, J.; Flach, E.J. Development of an Indirect ELISA for the Detection of Serum Antibodies to Aspergillus fumigatus in Captive Penguins. Vet. Rec. 2002, 150, 513–518. [Google Scholar] [CrossRef]
- Perrott, J.K.; Armstrong, D.P. Aspergillus fumigatus Densities in Relation to Forest Succession and Edge Effects: Implications for Wildlife Health in Modified Environments. Ecohealth 2011, 8, 290–300. [Google Scholar] [CrossRef]
- Burco, J.D.; Massey, J.G.; Byrne, B.A.; Tell, L.; Clemons, K.V.; Ziccardi, M.H. Monitoring of Fungal Loads in Seabird Rehabilitation Centers with Comparisons to Natural Seabird Environments in Northern California. J. Zoo Wildl. Med. 2014, 45, 29–40. [Google Scholar] [CrossRef]
- Nardoni, S.; Ceccherelli, R.; Rossi, G.; Mancianti, F. Aspergillosis in Larus Cachinnans Micaellis: Survey of Eight Cases. Mycopathologia 2006, 161, 317–321. [Google Scholar] [CrossRef] [PubMed]
- Dykstra, M.J.; Loomis, M.; Reininger, K.; Zombeck, D.; Faucette, T. A Comparison of Sampling Methods for Airborne Fungal Spores during an Outbreak of Aspergillosis in the Forest Aviary of the North Carolina Zoological Park. J. Zoo Wildl. Med. 1997, 28, 454–463. [Google Scholar]
- Faucette, T.G.; Loomis, M.; Reininger, K.; Zombeck, D.; Stout, H.; Porter, C.; Dykstra, M.J. A Three-Year Study of Viable Airborne Fungi in the North Carolina Zoological Park R.J.R. Nabisco Rocky Coast Alcid Exhibit. J. Zoo Wildl. Med. 1999, 30, 44–53. [Google Scholar]
- Dykstra, M.J.; Reininger, K. Aviary Air-Handler Design and Its Relationship to Fungal Spore Loads in the Air. J. Zoo Wildl. Med. 2007, 38, 540–547. [Google Scholar] [CrossRef]
- Glare, T.R.; Gartrell, B.D.; Brookes, J.J.; Perrott, J.K. Isolation and Identification of Aspergillus Spp. from Brown Kiwi (Apteryx mantelli) Nocturnal Houses in New Zealand. Avian Dis. 2014, 58, 16–24. [Google Scholar] [CrossRef] [PubMed]
- Rivas, A.E.; Dykstra, M.J.; Kranz, K.; Bronson, E. Environmental Fungal Loads in an Indoor-Outdoor African Penguin (Spheniscus demersus) Exhibit. J. Zoo Wildl. Med. 2018, 49, 542–555. [Google Scholar] [CrossRef]
- Guillot, C.; Arné, P.; Lécu, A.; Laidebeure, S.; Dogna, N.; Barthelemy, L.; Risco-Castillo, V.; Angebault, C.; Dannaoui, E.; Botterel, F.; et al. Aspergillus Spp. Aerocontamination in a Zoological Park in France: Results of One-Year Monitoring in a Bird Nursery and Penguin Nests; Elsvier: Amsterdam, The Netherlands, 2018. [Google Scholar]
- Fulleringer, S.L.; Seguin, D.; Warin, S.; Bezille, A.; Desterque, C.; Arné, P.; Chermette, R.; Bretagne, S.; Guillot, J. Evolution of the Environmental Contamination by Thermophilic Fungi in a Turkey Confinement House in France. Poult. Sci. 2006, 85, 1875–1880. [Google Scholar] [CrossRef]
- Viegas, C.; Carolino, E.; Malta-Vacas, J.; Sabino, R.; Viegas, S.; Veríssimo, C. Fungal Contamination of Poultry Litter: A Public Health Problem. J. Toxicol. Environ. Health Part A 2012, 75, 1341–1350. [Google Scholar] [CrossRef]
- Paulussen, C.; Hallsworth, J.E.; Álvarez-Pérez, S.; Nierman, W.C.; Hamill, P.G.; Blain, D.; Rediers, H.; Lievens, B. Ecology of Aspergillosis: Insights into the Pathogenic Potency of Aspergillus fumigatus and Some Other Aspergillus Species. Microb. Biotechnol. 2016, 10, 296–322. [Google Scholar] [CrossRef]
- Korniłłowicz-Kowalska, T.; Kitowski, I. Aspergillus fumigatus and Other Thermophilic Fungi in Nests of Wetland Birds. Mycopathologia 2013, 175, 43–56. [Google Scholar] [CrossRef]
- Hubálek, Z.; Balát, F. The Survival of Microfungi in the Nests of Tree-Sparrow [Passer montanus L.] in the Nest-Boxes over the Winter Season. Mycopathol. Mycol. Appl. 1974, 54, 517–530. [Google Scholar] [CrossRef]
- Hubálek, Z.; Juricova, Z.; Halouzka, J. A Survey of Free-Living Birds as Hosts and Lessors’ of Microbial Pathogens. Folia Zool. 1995, 44, 1–11. [Google Scholar]
- Beer, J.V. The Incidence of Aspergillus fumigatus in the Throats of Wild Geese and Gulls. Sabouraudia 1963, 2, 238–247. [Google Scholar] [CrossRef]
- Bellrose, F.C.; Hanson, H.C. Aspergillosis in Wood Ducks. J. Wildl. Manag. 1945, 9, 325–326. [Google Scholar] [CrossRef]
- McDougle, H.C.; Vaught, R.W. An Epizootic of Aspergillosis in Canada Geese. J. Wildl. Manag. 1968, 32, 415–417. [Google Scholar] [CrossRef]
- Pearson, G.L. Aspergillosis in Wintering Mallards. Bull. Wildl. Dis. Assoc. 1969, 5, 404–405. [Google Scholar] [CrossRef][Green Version]
- Zinkl, J.G.; Hyland, J.M.; Hurt, J.J. Aspergillosis in Common Crows in Nebraska, 1974. J. Wildl. Dis 1977, 13, 191–193. [Google Scholar] [CrossRef]
- Adrian, W.J.; Spraker, T.R.; Davies, R.B. Epornitics of Aspergillosis in Mallards (Anas platyrhynchos) in North Central Colorado. J. Wildl. Dis. 1978, 14, 212–217. [Google Scholar] [CrossRef] [PubMed]
- Becker, T.; Ahlers, A.; Hesting, S.; Haukos, D. Spatiotemporal Distribution of Waterfowl Disease Outbreaks in Kansas, USA. Prairie Nat. 2018, 50, 5–15. [Google Scholar]
- Karstad, L.; Sileo, L. Causes of Death in Captive Wild Waterfowl in the Kortright Waterfowl Park, 1967–1970. J. Wildl. Dis. 1971, 7, 236–241. [Google Scholar] [CrossRef] [PubMed]
- Burr, E.W. Enzootic Aspergillosis in Wild Red Vented Cockatoos in the Philippines. Mycopathologia 1981, 73, 21–23. [Google Scholar] [CrossRef] [PubMed]
- Dyar, P.M.; Fletcher, O.J.; Page, R.K. Aspergillosis in Turkeys Associated with Use of Contaminated Litter. Avian Dis. 1984, 28, 250–255. [Google Scholar] [CrossRef]
- Lagerquist, J.E.; Davison, M.; Foreyt, W.J. Lead Poisoning and Other Causes of Mortality in Trumpeter (Cygnus buccinator) and Tundra (C. columbianus) Swans in Western Washington. J. Wildl. Dis. 1994, 30, 60–64. [Google Scholar] [CrossRef] [PubMed][Green Version]
- Ainsworth, G.C.; Rewell, R.E. The Incidence of Aspergillosis in Captive Wild Birds. J. Comp. Pathol. Ther. 1949, 59, 213–224. [Google Scholar] [CrossRef]
- Brown, M.; Linton, E.; Rees, E. Causes of Mortality among Wild Swans in Britain. Wildlife 1992, 43, 70–79. [Google Scholar]
- Olsen, G.; Taylor, J.; Gee, G. Whooping Crane Mortality at Patuxent Wildlife Research Center, 1982–95. Proc. N. Am. Crane Workshop 1997, 7, 243–248. [Google Scholar]
- Pennycott, T.W. Lead Poisoning and Parasitism in a Flock of Mute Swans (Cygnus olor) in Scotland. Vet. Rec. 1998, 142, 13–17. [Google Scholar] [CrossRef] [PubMed]
- Sidor, I.F.; Pokras, M.A.; Major, A.R.; Poppenga, R.H.; Taylor, K.M.; Miconi, R.M. Mortality of Common Loons in New England, 1987 to 2000. J. Wildl. Dis. 2003, 39, 306–315. [Google Scholar] [CrossRef]
- Neff, J. Outbreak of Aspergillosis in Mallards. J. Wildl. Manag. 1955, 19, 415–416. [Google Scholar] [CrossRef]
- USGS Quarterly Wildlife Mortality Reports. Available online: https://www.usgs.gov/centers/nwhc/science/quarterly-wildlife-mortality-reports?qt-science_center_objects=0#qt-science_center_objects (accessed on 18 November 2020).
- Astorga, R.J.; Cubero, M.J.; León, L.; Maldonado, A.; Arenas, A.; Tarradas, M.C.; Perea, A. Serological Survey of Infections in Waterfowl in the Guadalquivir Marshes (Spain). Avian Dis. 1994, 38, 371–375. [Google Scholar] [CrossRef]
- Newman, S.H.; Chmura, A.; Converse, K.; Kilpatrick, A.M.; Patel, N.; Lammers, E.; Daszak, P. Aquatic Bird Disease and Mortality as an Indicator of Changing Ecosystem Health. Mar. Ecol. Prog. Ser. 2007, 352, 299–309. [Google Scholar] [CrossRef]
- Franson, J.C.; Cliplef, D.J. Causes of Mortality in Common Loons. In Proceedings of the Conference on the Loon and its Ecosystem: Status Management, and Environmental Concerns, Bar Harbor, ME, USA, 22–24 August 1992; pp. 2–12. [Google Scholar]
- Stone, W.B.; Okoniewski, J.C. Necropsy Findings and Environmental Contaminants in Common Loons from New York. J. Wildl. Dis. 2001, 37, 178–184. [Google Scholar] [CrossRef]
- Daoust, P.-Y.; Conboy, G.; McBurney, S.; Burgess, N. Interactive Mortality Factors in Common Loons from Maritime Canada. J. Wildl. Dis. 1998, 34, 524–531. [Google Scholar] [CrossRef]
- Souza, M.J.; Degernes, L.A. Mortality Due to Aspergillosis in Wild Swans in Northwest Washington State, 2000–2002. J. Avian Med. Surg. 2005, 19, 98–106. [Google Scholar] [CrossRef]
- Brand, C.J.; Windingstad, R.M.; Siegfried, L.M.; Duncan, R.M.; Cook, R.M. Avian Morbidity and Mortality from Botulism, Aspergillosis, and Salmonellosis at Jamaica Bay Wildlife Refuge, New York, USA. Colonial Waterbirds 1988, 11, 284–292. [Google Scholar] [CrossRef]
- Fanke, J.; Wibbelt, G.; Krone, O. Mortality Factors and Diseases in Free-Ranging Eurasian Cranes (Grus grus) in Germany. J. Wildl. Dis. 2011, 47, 627–637. [Google Scholar] [CrossRef] [PubMed]
- Work, T.M.; Dagenais, J.; Rameyer, R.; Breeden, R. Mortality Patterns in Endangered Hawaiian Geese (Nene; Branta sandvicensis). J. Wildl. Dis. 2015, 51, 688–695. [Google Scholar] [CrossRef] [PubMed]
- Smales, I.; Miller, M.; Middleton, D.; Franklin, D. Establishment of a Captive-Breeding Programme for the Helmeted Honeyeater Lichenostomus Melanops Cassidix. Int. Zoo Yearb. 1992, 31, 57–63. [Google Scholar] [CrossRef]
- Stiller, P. Time Budget, Foraging Activities, Diet and Occurrence of Aspergillosis in Captive Yellowheads (Mohou ochrocephala). N. Z. J. Zool. 2001, 28, 343–348. [Google Scholar] [CrossRef]
- PROMED Aspergillosis, Birds—New Zealand: Endangered Parrot. Archive Number: 20190614.6520695. Available online: https://www.doc.govt.nz/our-work/kakapo-recovery/what-we-do/kakapo-aspergillosis-outbreak/ (accessed on 18 November 2020).
- Cork, S.C.; Alley, M.R.; Johnstone, A.C.; Stockdale, P.H. Aspergillosis and Other Causes of Mortality in the Stitchbird in New Zealand. J. Wildl. Dis. 1999, 35, 481–486. [Google Scholar] [CrossRef][Green Version]
- Alley, M.R.; Castro, I.; Hunter, J.E. Aspergillosis in Hihi (Notiomystis cincta) on Mokoia Island. N. Z. Vet. J. 1999, 47, 88–91. [Google Scholar] [CrossRef]
- Armstrong, D.P.; Castro, I.; Alley, J.C.; Feenstra, B.; Perrott, J.K. Mortality and Behaviour of Hihi, an Endangered New Zealand Honeyeater, in the Establishment Phase Following Translocation. Biol. Conserv. 1999, 89, 329–339. [Google Scholar] [CrossRef]
- Kocan, R.M.; Perry, M.C. Infection and Mortality in Captive Wild-Trapped Canvasback Ducks. J. Wildl. Dis. 1976, 12, 30–33. [Google Scholar] [CrossRef] [PubMed]
- Hillgarth, N.; Kear, J. Diseases of Perching Ducks in Captivity. Wildfowl 1981, 32, 156–163. [Google Scholar]
- Hillgarth, N.; Kear, J.; Horký, K. Mortality of the Northern Geese in Captivity. Wildfowl 1983, 34, 153–162. [Google Scholar]
- Coon, N.C.; Locke, L.N. Aspergillosis in a Bald Eagle (Haliaeetus leucocephalus). Bull. Wildl. Dis. Assoc. 1968, 4, 51. [Google Scholar] [CrossRef] [PubMed]
- Kaliner, G.; Cooper, J.E. Dual Infection of an African Fish Eagle with Acid-Fast Bacilli and an Aspergillus sp. J. Wildl. Dis. 1973, 9, 51–55. [Google Scholar] [CrossRef]
- Wobeser, G.; Saunders, J.R. Pulmonary Oxalosis in Association with Aspergillus Niger Infection in a Great Horned Owl (Bubo virginianus). Avian Dis. 1975, 19, 388–392. [Google Scholar] [CrossRef]
- Mihaylov, G.; Petrov, V.; Marutsov, P.; Simeonov, R.; Simeonova, G. A Case of Aspergillosis in a Bearded Vulture (Gypaetos barbatus). Trakia J. Sci. 2008, 6, 144–146. [Google Scholar]
- Jung, K.; Kim, Y.; Lee, H.; Kim, J.-T. Aspergillus fumigatus Infection in Two Wild Eurasian Black Vultures (Aegypius Monachus Linnaeus) with Carbofuran Insecticide Poisoning: A Case Report. Vet. J. 2009, 179, 307–312. [Google Scholar] [CrossRef]
- Sato, Y.; Itagaki, T. Fungal Airsacculitis Associated with Multiple Helminth Infestations in a Black-Eared Kite (Milvus migrans). Avian Dis. 2010, 54, 965–968. [Google Scholar] [CrossRef]
- Redig, P. Aspergillosis. In Avian Medicine; Samour, J., Ed.; Mosby: London, UK, 2000; pp. 275–287. [Google Scholar]
- Russell, R.E.; Franson, J.C. Causes of Mortality in Eagles Submitted to The National Wildlife Health Center 1975–2013. Wildl. Soc. Bull. 2014, 38, 697–704. [Google Scholar] [CrossRef]
- McMillan, M.C.; Petrak, M.L. Retrospective Study of Aspergillosis in Pet Birds. Available online: https://eurekamag.com/research/002/211/002211598.php (accessed on 27 October 2020).
- Tsai, S.S.; Park, J.H.; Hirai, K.; Itakura, C. Aspergillosis and Candidiasis in Psittacine and Passeriforme Birds with Particular Reference to Nasal Lesions. Avian Pathol. 1992, 21, 699–709. [Google Scholar] [CrossRef] [PubMed]
- Dallwig, R.K.; Hanley, C.S.; Ballegeer, E.A.; Steinberg, H. What Is Your Diagnosis? J. Am. Vet. Med. Assoc. 2007, 231, 205–206. [Google Scholar] [CrossRef] [PubMed]
- Villar, D.; Kramer, M.; Howard, L.; Hammond, E.; Cray, C.; Latimer, K. Clinical Presentation and Pathology of Sarcocystosis in Psittaciform Birds: 11 Cases. Avian Dis. 2008, 52, 187–194. [Google Scholar] [CrossRef] [PubMed]
- Cray, C.; Watson, T.; Arheart, K.L. Serosurvey and Diagnostic Application of Antibody Titers to Aspergillus in Avian Species. Avian Dis. 2009, 53, 491–494. [Google Scholar] [CrossRef]
- Nemeth, N.M.; Gonzalez-Astudillo, V.; Oesterle, P.T.; Howerth, E.W. A 5-Year Retrospective Review of Avian Diseases Diagnosed at the Department of Pathology, University of Georgia. J. Comp. Pathol. 2016, 155, 105–120. [Google Scholar] [CrossRef] [PubMed]
- Verstappen, F.A.L.M.; Dorrestein, G.M. Aspergillosis in Amazon Parrots After Corticosteroid Therapy for Smoke-Inhalation Injury. J. Avian Med. Surg. 2005, 19, 138–141. [Google Scholar] [CrossRef]
- Obendorf, D.L.; McColl, K. Mortality in Little Penguins (Eudyptula minor) along the Coast of Victoria, Australia. J. Wildl. Dis. 1980, 16, 251–259. [Google Scholar] [CrossRef]
- White, F.H.; Forrester, D.J.; Nesbitt, S.A. Salmonella and Aspergillus Infections in Common Loons Overwintering in Florida. J. Am. Vet. Med. Assoc. 1976, 169, 936–937. [Google Scholar]
- Forrester, D.J.; Davidson, W.R.; Lange, R.E.; Stroud, R.K.; Alexander, L.L.; Franson, J.C.; Haseltine, S.D.; Littell, R.C.; Nesbitt, S.A. Winter Mortality of Common Loons in Florida Coastal Waters. J. Wildl. Dis. 1997, 33, 833–847. [Google Scholar] [CrossRef]
- Jauniaux, T.; Brosens, L.; Coignoul, F. Lesions Observed on Stranded Seabirds along the Belgian Coast from 1992 to 1995. ICES J. Mar. Sci. 1997, 54, 714–717. [Google Scholar] [CrossRef]
- Brown, M.J.; Linton, E.; Rees, E.C. Diseases of Swans in Captivity. Wildfowl 1992, 43, 58–69. [Google Scholar]
- Hillgarth, N.; Kear, J. Diseases of Seaducks in Captivity. Wildfowl 1979, 30, 135–141. [Google Scholar]
- Hillgarth, N.; Kear, J. Causes of Mortality among Whistling Ducks in Captivity. Wildfowl 1982, 33, 133–139. [Google Scholar]
- Flach, E.J.; Stevenson, M.F.; Henderson, G.M. Aspergillosis in Gentoo Penguins (Pygoscelis papua) at Edinburgh Zoo, 1964 to 1988. Vet. Rec. 1990, 126, 81–85. [Google Scholar] [PubMed]
- Fix, A.S.; Waterhouse, C.; Greiner, E.C.; Stoskopf, M.K. Plasmodium Relictum as a Cause of Avian Malaria in Wild-Caught Magellanic Penguins (Spheniscus magellanicus). J. Wildl. Dis. 1988, 24, 610–619. [Google Scholar] [CrossRef]
- Krol, L.; Moore, R.P.; Mutlow, A.G.; Brady, S.M.; Dorsa, D. A Retrospective Analysis of Mortality in Captive Magellanic Penguins (Spheniscus magellanicus) in the United States, 2008–2018. Zoo Biol. 2020, 39, 405–410. [Google Scholar] [CrossRef] [PubMed]
- Gibson, D.J.; Nemeth, N.M.; Beaufrère, H.; Varga, C.; Eagalle, T.; Susta, L. Captive Psittacine Birds in Ontario, Canada: A 19-Year Retrospective Study of the Causes of Morbidity and Mortality. J. Comp. Pathol. 2019, 171, 38–52. [Google Scholar] [CrossRef]
- Xavier, M.O.; Soares, M.P.; Meinerz, A.R.M.; Nobre, M.O.; Osório, L.G.; da Silva Filho, R.P.; Meireles, M.C.A. Aspergillosis: A Limiting Factor during Recovery of Captive Magellanic Penguins. Braz. J. Microbiol. 2007, 38, 480–484. [Google Scholar] [CrossRef]
- da Silva Filho, R.P.; Xavier, M.O.; Martins, A.M.; Ruoppolo, V.; Mendoza-Sassi, R.A.; Adornes, A.C.; Cabana, Â.L.; Meireles, M.C.A. Incidence Density, Proportionate Mortality, and Risk Factors of Aspergillosis in Magellanic Penguins in a Rehabilitation Center from Brazil. J. Zoo Wildl. Med. 2015, 46, 667–674. [Google Scholar] [CrossRef]
- Nakeeb, S.M.; Babus, B.; Clifton, A.Y. Aspergillosis in the Peruvian Penguin (Spheniscus humboldti). J. Zoo Anim. Med. 1981, 12, 51–54. [Google Scholar] [CrossRef]
- Tuttle, A.D.; Andreadis, T.G.; Frasca, S.; Dunn, J.L. Eastern Equine Encephalitis in a Flock of African Penguins Maintained at an Aquarium. J. Am. Vet. Med. Assoc. 2005, 226, 2059–2062. [Google Scholar] [CrossRef] [PubMed]
- Alvarez-Perez, S.; Mateos, A.; Dominguez, L.; Martinez-Nevado, E.; Blanco, J.L.; Garcia, M.E. Polyclonal Aspergillus fumigatus Infection in Captive Penguins. Vet. Microbiol. 2010, 144, 444–449. [Google Scholar] [CrossRef]
- Xavier, M.O.; Soares, M.P.; Cabana, A.L.; da Silva-Filho, R.P.; Ruoppolo, V.; Meireles, M.C.A.; Severo, L.C. Clinical and Pathological Findings of Aspergillosis in Magellanic Penguins (Spheniscus magellanicus). Cienc. Anim. Bras. 2011, 12, 520–524. [Google Scholar] [CrossRef]
- Vahsen, T.; Zapata, L.; Guabiraba, R.; Melloul, E.; Cordonnier, N.; Botterel, F.; Guillot, J.; Arné, P.; Risco-Castillo, V. Cellular and Molecular Insights on the Regulation of Innate Immune Responses to Experimental Aspergillosis in Chicken and Turkey Poults. Med. Mycol. 2020. [Google Scholar] [CrossRef]
- Joseph, V. Aspergillosis in Raptors. Semin. Avian Exot. Pet Med. 2000, 9, 52–58. [Google Scholar] [CrossRef]
- Monroe, A.; Noah, P.; Brown, S. Comparison of Medical Treatment Regimes for Aspergillosis in Captive Tufted Puffins. Penguin Conserv. 1994, 7, 1–5. [Google Scholar]
- Atasever, A.; Beyaz, L.; Kibar, M.; Gümüssoy, K. A Case of Tuberculosis and Aspergillosis in a Long-Legged Buzzard (Buteo rufinus). Rev. Méd. Vét. 2006, 157, 26–29. [Google Scholar]
- Chege, S.; Howlett, J.; Al Qassimi, M.; Toosy, A.; Kinne, J.; Obanda, V. Opportunistic Infection of Aspergillus and Bacteria in Captive Cape Vultures (Gyps coprotheres). Asian Pac. J. Trop. Biomed. 2013, 3, 401–406. [Google Scholar] [CrossRef]
- Kang, H.-M.; Jang, H.-J.; Seo, M.-K.; Lee, J.-W.; Na, K.-J. Psittacine Beak and Feather Disease, Budgerigar Fledgling Disease and Aspergillosis in an African Grey Parrot (Psittacus erithacus). J. Vet. Clin. 2017, 34, 310–312. [Google Scholar] [CrossRef]
- Cabana, Â.; Vanstreels, R.; Xavier, M.; Osório, L.; Adornes, A.; Meirelles Leite, A.; Pereira Soares, M.; Silva-Filho, R.; Catão-Dias, J.; Meireles, M. Lethal Concurrent Avian Malaria and Aspergillosis in Magellanic Penguin (Spheniscus magellanicus). Bol. Chil. Ornitol. 2014, 20, 28–32. [Google Scholar]
- Young, E.A.; Cornish, T.E.; Little, S.E. Concomitant Mycotic and Verminous Pneumonia in a Blue Jay from Georgia. J. Wildl. Dis. 1998, 34, 625–628. [Google Scholar] [CrossRef] [PubMed]
- Beaudette, F.R. Aspergillosis and Parasitism in a Gull. Bird Band. 1945, 16, 99–101. [Google Scholar] [CrossRef]
- Stabler, R.M.; Hamilton, M.A. Aspergillosis, Trichomoniasis, and Drug Therapy in a Gyrfalcon. Auk 1954, 71, 205–208. [Google Scholar] [CrossRef]
- Ward, F.P.; Fairchild, D.G.; Vuicich, J.V. Pulmonary Aspergillosis in Prairie Falcon Nest Mates. J. Wildl. Dis. 1970, 6, 80–83. [Google Scholar] [CrossRef]
- Tamam, O. Pulmonary Aspergillosis in Imported Great Blue Turaco. Assiut Vet. Med. J. 2015, 61, 80–86. [Google Scholar]
- van Cutsem, J.; Fransen, J. Fungal Infections in Birds in Captivity—Six Case Reports. Mycoses 1987, 30, 166–171. [Google Scholar] [CrossRef] [PubMed]
- Bailey, T.; Silvanose, C.-D.; Naldo, J.; Combreau, O.; Launay, F.; Wernery, U.; Kinne, J.; Gough, R.; Manvell, R. Health Considerations of the Rehabilitation of Illegally Traded Houbara Bustards Chlamydotis Undulata Macqueenii in the Middle East. Oryx 2000, 34, 325–334. [Google Scholar] [CrossRef]
- Friend, M.; Trainer, D.O. Aspergillosis in Captive Herring Gulls. J. Wildl. Dis. 1969, 5, 271–275. [Google Scholar] [CrossRef]
- Horowitz, D.B.; Haebler, R. Demonstration of Aspergillus Sp. in Tissues of the Common Loon, Gavier Immer: Incidence, Progression, and Severity. J. Histotechnol. 2001, 24, 101–106. [Google Scholar] [CrossRef]
- Dréan-Quénec’Hdu, S.L.; Ferlaux, C. Problèmes pathologiques secondaires à la captivité de la faune sauvage: Exemple des oiseaux marins mazoutés. Rev. Méd. Vét. 2002, 153, 109–120. [Google Scholar]
- Balseiro, A.; Espí, A.; Márquez, I.; Pérez, V.; Ferreras, M.C.; Marín, J.F.G.; Prieto, J.M. Pathological Features in Marine Birds Affected by the Prestige’s Oil Spill in the North of Spain. J. Wildl. Dis. 2005, 41, 371–378. [Google Scholar] [CrossRef] [PubMed]
- Gartrell, B.D.; Collen, R.; Dowding, J.E.; Gummer, H.; Hunter, S.; King, E.J.; Laurenson, L.; Lilley, C.D.; Morgan, K.J.; McConnell, H.M.; et al. Captive Husbandry and Veterinary Care of Northern New Zealand Dotterels (Charadrius Obscurus Aquilonius) during the CV Rena Oil-Spill Response. Wildl. Res. 2013, 40, 624–632. [Google Scholar] [CrossRef]
- Hoppes, S.; Gurfield, N.; Flammer, K.; Colitz, C.; Fisher, P. Mycotic Keratitis in a Blue-Fronted Amazon Parrot (Amazona aestiva). J. Avian Med. Surg. 2000, 14, 185–189. [Google Scholar] [CrossRef]
- Abrams, G.A.; Paul-Murphy, J.; Ramer, J.C.; Murphy, C.J. Aspergillus Blepharitis and Dermatitis in a Peregrine Falcon-Gyrfalcon Hybrid (Falco peregrinus x Falco rusticolus). J. Avian Med. Surg. 2001, 15, 114–120. [Google Scholar] [CrossRef]
- Atasever, A.; Gümüşsoy, K.S. Pathological, Clinical and Mycological Findings in Experimental Aspergillosis Infections of Starlings. J. Vet. Med. Ser. A 2004, 51, 19–22. [Google Scholar] [CrossRef] [PubMed]
- Beernaert, L.A.; Pasmans, F.; Haesebrouck, F.; Martel, A. Modelling Aspergillus fumigatus Infections in Racing Pigeons (Columba Livia Domestica). Avian Pathol. 2008, 37, 545–549. [Google Scholar] [CrossRef] [PubMed]
- Van Waeyenberghe, L.; Pasmans, F.; D’Herde, K.; Ducatelle, R.; Favoreel, H.; Li, S.-J.; Haesebrouck, F.; Martel, A. Germination of Aspergillus fumigatus inside Avian Respiratory Macrophages Is Associated with Cytotoxicity. Vet. Res. 2012, 43, 1–5. [Google Scholar] [CrossRef]
- Wernery, U.; Tsang, C.-C.; Hebel, C.; Damerau, A.; Kinne, J.; Cai, J.-P.; Küspert, H.; Chan, K.-F.; Joseph, M.; Xue, S.; et al. Serodiagnosis of Aspergillosis in Falcons (Falco Spp.) by an Afmp1p-Based Enzyme-Linked Immunosorbent Assay. Mycoses 2018, 61, 600–609. [Google Scholar] [CrossRef]
- Chaudhary, S.K.; Sadana, J.R. Experimental Aspergillosis in Japanese Quails (Coturnix coturnix japonica). Clinical Signs and Haematological Changes. Mycopathologia 1988, 102, 179–184. [Google Scholar] [CrossRef] [PubMed]
- Schulz, J.; Sanchéz, A.; Lierz, M.; Hartung, J.; Aland, A. Dead Losses of Falcons Caused by Aspergillosis. In XIII. International Congress on Animal Hygiene ISAH; Estonia Estonian University of Life Sciences Tartu: Tartu, Estonia, 2007; pp. 707–711. [Google Scholar]
- Corbanie, E.A.; Matthijs, M.G.R.; Van Eck, J.H.H.; Remon, J.P.; Landman, W.J.M.; Vervaet, C. Deposition of Differently Sized Airborne Microspheres in the Respiratory Tract of Chickens. Avian Pathol. 2007, 35, 475–485. [Google Scholar] [CrossRef]
- Fedde, M.R. Relationship of Structure and Function of the Avian Respiratory System to Disease Susceptibility. Poult. Sci. 1998, 77, 1130–1138. [Google Scholar] [CrossRef]
- Reese, S.; Dalamani, G.; Kaspers, B. The Avian Lung-Associated Immune System: A Review. Vet. Res. 2006, 37, 311–324. [Google Scholar] [CrossRef]
- Brown, R.E.; Brain, J.D.; Wang, N. The Avian Respiratory System: A Unique Model for Studies of Respiratory Toxicosis and for Monitoring Air Quality. Environ. Health Perspect. 1997, 105, 188–200. [Google Scholar] [CrossRef] [PubMed]
- Cacciuttolo, E.; Rossi, G.; Nardoni, S.; Legrottaglie, R.; Mani, P. Anatomopathological Aspects of Avian Aspergillosis. Vet. Res. Commun. 2009, 33, 521–527. [Google Scholar] [CrossRef]
- Latif, H.; Gross, M.; Fischer, D.; Lierz, M.; Usleber, E. Immunochemical Analysis of Fumigaclavine Mycotoxins in Respiratory Tissues and in Blood Serum of Birds with Confirmed Aspergillosis. Mycotoxin Res. 2015, 31, 177–183. [Google Scholar] [CrossRef] [PubMed]
- Richard, J.L.; Dvorak, T.J.; Ross, P.F. Natural Occurrence of Gliotoxin in Turkeys Infected with Aspergillus fumigatus, Fresenius. Mycopathologia 1996, 134, 167–170. [Google Scholar] [CrossRef]
- Richard, J.L.; Peden, W.M.; Williams, P.P. Gliotoxin Inhibits Transformation and Its Cytotoxic to Turkey Peripheral Blood Lymphocytes. Mycopathologia 1994, 126, 109–114. [Google Scholar] [CrossRef] [PubMed]
- Quist, C.F.; Cornish, T.; Wyatt, R.D. Mycotoxicosis. In Infectious Diseases of Wild Birds; John Wiley & Sons, Ltd.: Hoboken, NJ, USA, 2007; pp. 417–430. ISBN 978-0-470-34466-8. [Google Scholar]
- Lawson, B.; Robinson, R.A.; Toms, M.P.; Risely, K.; MacDonald, S.; Cunningham, A.A. Health Hazards to Wild Birds and Risk Factors Associated with Anthropogenic Food Provisioning. Philos. Trans. R. Soc. B Biol. Sci. 2018, 373, 20170091. [Google Scholar] [CrossRef]
- Olias, P.; Gruber, A.D.; Hafez, H.M.; Lierz, M.; Slesiona, S.; Brock, M.; Jacobsen, I.D. Molecular Epidemiology and Virulence Assessment of Aspergillus fumigatus Isolates from White Stork Chicks and Their Environment. Vet. Microbiol. 2011, 148, 348–355. [Google Scholar] [CrossRef]
- Fatunmbi, O.O.; Bankole, A. Severe Disseminated Aspergillosis in a Captive Abyssinian Tawny Eagle (Aquila rapax Raptor). J. Wildl. Dis. 1984, 20, 52–54. [Google Scholar] [CrossRef]
- Fischer, D.; Van Waeyenberghe, L.; Failing, K.; Martel, A.; Lierz, M. Single Tracheal Inoculation of Aspergillus fumigatus Conidia Induced Aspergillosis in Juvenile Falcons (Falco Spp.). Avian Pathol. 2018, 47, 33–46. [Google Scholar] [CrossRef]
- Simpson, V. Spinal Aspergillosis in Pheasants. Veterinary Record 2011, 169, 562. [Google Scholar] [CrossRef]
- Greenacre, C.B.; Latimer, K.S.; Ritchie, B.W. Leg Paresis in a Black Palm Cockatoo (Probosciger aterrimus) Caused by Aspergillosis. J. Zoo Wildl. Med. 1992, 23, 122–126. [Google Scholar]
- Hurley-Sanders, J.L.; Larsen, R.S.; Troan, B.; Loomis, M. Fungal Osteomyelitis in Two Bufflehead Ducklings (Bucephala albeola). J. Zoo Wildl. Med. 2015, 46, 613–616. [Google Scholar] [CrossRef] [PubMed]
- Weller, J.; Phalen, D.N. Self-Mutilation in Parrots with Aspergillosis. In Proceedings of the Association Avian Veterinarians Australasian Committee Annual Conference, Melbourne, VIC, Australia, Melbourne, VIC, Australia, 3–7 September 2012; pp. 115–120. [Google Scholar]
- Yates, V.J.; Miller, L.T.; Jasty, V.; Willey, C.H.; Holtzinger, M. Web Necrosis in Mute Swans—a Report of an Outbreak. J. Wildl. Dis. 1969, 5, 33–34. [Google Scholar] [CrossRef]
- Locke, L.N.; Young, L.T. Aspergillosis in a Common Loon (Gavis immer). Bull. Wildl. Dis. Assoc. 1967, 3, 34–35. [Google Scholar] [CrossRef][Green Version]
- Leotta, M.P.; Pelegrina, M.; Cáceres, A. Invasive pulmonary aspergillosis in a captive bird Cyanocompsa brissonii (Cardinalidae) in Mendoza, Argentina. Rev. Vet. 2016, 26, 79–81. [Google Scholar] [CrossRef]
- Barathidasan, R.; Singh, S.D.; Saini, M.; Sharma, A.K.; Dhama, K. The First Case of Angioinvasive Pulmonary Aspergillosis in a Himalayan Griffon Vulture (Gyps himalayensis). Avian Biol. Res. 2013, 6, 302–306. [Google Scholar] [CrossRef]
- Bicknell, E.J.; Greichus, A.; Greichus, Y.A.; Bury, R.J.; Knudtson, W.U. Diagnosis and Treatment of Aspergillosis in Captive Cormorants. Sabouraudia 1971, 9, 119–122. [Google Scholar] [CrossRef]
- Westerhof, I. Treatment of Tracheal Obstruction in Psittacine Birds Using a Suction Technique: A Retrospective Study of 19 Birds. J. Avian Med. Surg. 1995, 9, 45–49. [Google Scholar]
- Wolff, P.L.; Petrini, K.R.; Kolmstetter, C. An Outbreak of Aspergillosis in Crested Wood Partridges (Rollulus rouloul). J. Zoo Wildl. Med. 1992, 23, 108–112. [Google Scholar]
- Carrasco, L.; Lima, J.S.; Halfen, D.C.; Salguero, F.J.; Sánchez-Cordon, P.; Becker, G. Systemic Aspergillosis in an Oiled Magallanic Penguin (Spheniscus magellanicus). J. Vet. Med. B Infect. Dis Vet. Public Health 2001, 48, 551–554. [Google Scholar] [CrossRef]
- Low, M.; Berggren, A.; Morgan, K.J.; Alley, M.R. Aspergillosis in a North Island Robin (Petroica longipes). N. Z. Vet. J. 2005, 53, 462–464. [Google Scholar] [CrossRef] [PubMed]
- Gulcubuk, A.; Erdogan-Bamac, O.; Metiner, K.; Ozturk, G.Y.; Ozgur, Y.; Haktanir, D. A Case of Pulmonary Aspergillosis in White Storks. J. Hell. Vet. Med. Soc. 2018, 69, 1004–1009. [Google Scholar] [CrossRef]
- Chiu, P.; Chan, F.; Chen, L.; Shyu, C.; Lin, P.; Wang, L.; Chen, K.; Lin, C.; Chang, W.; Liao, J. Case Report: Pyogranulomatous Aspergillosis in an Endemic Formosan Blue Magpie (Urocissa caerulea). Taiwan Vet. J. 2010, 36, 18–22. [Google Scholar] [CrossRef]
- Guarner, J.; Brandt, M.E. Histopathologic Diagnosis of Fungal Infections in the 21st Century. Clin. Microbiol. Rev. 2011, 24, 247–280. [Google Scholar] [CrossRef] [PubMed]
- Olias, P.; Jacobsen, I.D.; Gruber, A.D. Fungal Species Identification from Avian Lung Specimens by Single Hypha Laser Microdissection and PCR Product Sequencing. Med. Mycol. 2011, 49, 56–61. [Google Scholar] [CrossRef] [PubMed]
- Nouri, M.; Tavasoli, A.; Arabkhazaeli, F. Dual Infection of Respiratory Tract with an Aspergillus Sp. and Bacilli in a Canary (Serinus canarius). Res. J. Poult. Sci. 2013, 6, 33–37. [Google Scholar]
- Savelieff, M.G.; Pappalardo, L.; Azmanis, P. The Current Status of Avian Aspergillosis Diagnoses: Veterinary Practice to Novel Research Avenues. Vet. Clin. Pathol. 2018, 47, 342–362. [Google Scholar] [CrossRef] [PubMed]
- Jensen, H.E.; Christensen, J.P.; Bisgaard, M.; Nielsen, O.L. Immunohistochemistry for the Diagnosis of Aspergillosis in Turkey Poults. Avian Pathol. 1997, 26, 5–18. [Google Scholar] [CrossRef][Green Version]
- Jones, M.P.; Orosz, S.E. The Diagnosis of Aspergillosis in Birds. Semin. Avian Exot. Pet Med. 2000, 9, 52–58. [Google Scholar] [CrossRef]
- Ivey, E.S. Serologic and Plasma Protein Electrophoretic Findings in 7 Psittacine Birds with Aspergillosis. J. Avian Med. Surg. 2000, 14, 103–106. [Google Scholar] [CrossRef]
- Cray, C.; Watson, T.; Rodriguez, M.; Arheart, K.L. Application of Galactomannan Analysis and Protein Electrophoresis in the Diagnosis of Aspergillosis in Avian Species. J. Zoo Wildl. Med. 2009, 40, 64–70. [Google Scholar] [CrossRef]
- Cray, C.; Reavill, D.; Romagnano, A.; Van Sant, F.; Champagne, D.; Stevenson, R.; Rolfe, V.; Griffin, C.; Clubb, S. Galactomannan Assay and Plasma Protein Electrophoresis Findings in Psittacine Birds with Aspergillosis. J. Avian Med. Surg. 2009, 23, 125–135. [Google Scholar] [CrossRef]
- Kummrow, M.; Silvanose, C.; Somma, A.D.; Bailey, T.A.; Vorbrüggen, S. Serum Protein Electrophoresis by Using High-Resolution Agarose Gel in Clinically Healthy and Aspergillus Species-Infected Falcons. J. Avian Med. Surg. 2012, 26, 213–220. [Google Scholar] [CrossRef] [PubMed]
- Fischer, D.; Van Waeyenberghe, L.; Cray, C.; Gross, M.; Usleber, E.; Pasmans, F.; Martel, A.; Lierz, M. Comparison of Diagnostic Tools for the Detection of Aspergillosis in Blood Samples of Experimentally Infected Falcons. Avian Dis. 2014, 58, 587–598. [Google Scholar] [CrossRef]
- Desoubeaux, G.; Rodriguez, M.; Bronson, E.; Sirpenski, G.; Cray, C. Application of 3-Hydroxybutyrate Measurement and Plasma Protein Electrophoresis in the Diagnosis of Aspergillosis in African Penguins (Spheniscus demersus). J. Zoo Wildl. Med. 2018, 49, 696–703. [Google Scholar] [CrossRef] [PubMed]
- Caliendo, V.; McKinney, P.; Bailey, T.; Kinne, J.; Wernery, U. Serum Amyloid A as an Indicator of Health Status in Falcons. J. Avian Med. Surg. 2013, 27, 83–89. [Google Scholar] [CrossRef] [PubMed]
- Goetting, V.; Lee, K.A.; Woods, L.; Clemons, K.V.; Stevens, D.A.; Tell, L.A. Inflammatory Marker Profiles in an Avian Experimental Model of Aspergillosis. Med. Mycol. 2013, 51, 696–703. [Google Scholar] [CrossRef][Green Version]
- Latgé, J.-P.; Chamilos, G. Aspergillus fumigatus and Aspergillosis in 2019. Clin. Microbiol. Rev. 2019, 33. [Google Scholar] [CrossRef] [PubMed]
- Arca-Ruibal, B.; Wernery, U.; Zachariah, R.; Bailey, T.A.; Di Somma, A.; Silvanose, C.; McKinney, P. Assessment of a Commercial Sandwich ELISA in the Diagnosis of Aspergillosis in Falcons. Vet. Rec. 2006, 158, 442–444. [Google Scholar] [CrossRef]
- Cabana, A.L.; Xavier, M.O.; Mendes, J.F.; Teles, A.J.; Martins, A.M.; Silva-Filho, R.P.; Meireles, M.C.A.; Cabana, A.L.; Xavier, M.O.; Mendes, J.F.; et al. Applicability of the Platelia EIA® Aspergillus Test for the Diagnosis of Aspergilosis in Penguins. Braz. J. Biol. 2019, 79, 169–173. [Google Scholar] [CrossRef]
- Burco, J.D.; Ziccardi, M.H.; Clemons, K.V.; Tell, L.A. Evaluation of Plasma (1-->3) Beta-D-Glucan Concentrations in Birds Naturally and Experimentally Infected with Aspergillus fumigatus. Avian Dis. 2012, 56, 183–191. [Google Scholar] [CrossRef]
- Katz, M.E.; Love, S.C.; Gill, H.S.; Cheetham, B.F. Development of a Method for the Identification, Using the Polymerase Chain Reaction, of Aspergillus fumigatus Isolated from Ostriches. Aust. Vet. J. 1996, 74, 50–54. [Google Scholar] [CrossRef]
- Melloul, E.; Thierry, S.; Durand, B.; Cordonnier, N.; Desoubeaux, G.; Chandenier, J.; Bostvironnois, C.; Botterel, F.; Chermette, R.; Guillot, J.; et al. Assessment of Aspergillus fumigatus Burden in Lungs of Intratracheally-Challenged Turkeys (Meleagris gallopavo) by Quantitative PCR, Galactomannan Enzyme Immunoassay, and Quantitative Culture. Comp. Immunol. Microbiol. Infect. Dis. 2014, 37, 271–279. [Google Scholar] [CrossRef] [PubMed]
- Morishita, T.Y.; McFadzen, M.E.; Mohan, R.; Aye, P.P.; Brooks, D.L. Serologic Survey of Free-Living Nestling Prairie Falcons (Falco mexicanus) for Selected Pathogens. J. Zoo Wildl. Med. 1998, 29, 18–20. [Google Scholar]
- Sanchez, C.R.; Murray, S.Z. Diagnosis and Successful Treatment of a Presumptive Case of Aspergillosis in a Micronesian Kingfisher (Halcyon Cinnamomina Cinnamomina). Avian Dis. 2005, 49, 309–312. [Google Scholar] [CrossRef] [PubMed]
- Desoubeaux, G.; Cray, C. Animal Models of Aspergillosis. Comp. Med. 2018, 68, 109–123. [Google Scholar]
- Stetter, M.; Mangold, B.; Calle, P.; Raphael, B.; Trupkiewicz, J.; Harmati, N.; Cook, R. Aspergillosis in Captive Pacific Eiders (Somateris mollissimu). In Proceedings of the International Association for Aquatic Animal Medicine, Vallejo, CA, USA, 10 May 1994; Volume 25, pp. 110–117. [Google Scholar]
- Vorbrüggen, S.; Bailey, T.; Krautwald-Junghanns, M.-E. Röntgenzeichen bei an Mykose des Respirationstrakts erkrankten Greifvögeln. Tierarztl. Prax. Ausg. K Kleintiere Heimtiere 2013, 41, 311–318. [Google Scholar] [CrossRef] [PubMed]
- Schwarz, T.; Kelley, C.; Pinkerton, M.E.; Hartup, B.K. Computed Tomographic Anatomy and Characteristics of Respiratory Aspergillosis in Juvenile Whooping Cranes. Vet. Radiol. Ultrasound 2016, 57, 16–23. [Google Scholar] [CrossRef] [PubMed]
- Fischer, D.; Lierz, M. Diagnostic Procedures and Available Techniques for the Diagnosis of Aspergillosis in Birds. J. Exot. Pet. Med. 2015, 24, 283–295. [Google Scholar] [CrossRef]
- Orosz, S.E. Overview of Aspergillosis: Pathogenesis and Treatment Options. Semin. Avian Exot. Pet. Med. 2000, 9, 59–65. [Google Scholar] [CrossRef]
- Beernaert, L.A.; Pasmans, F.; Waeyenberghe, L.V.; Haesebrouck, F.; Martel, A. Aspergillus Infections in Birds: A Review. Avian Pathol. 2010, 39, 325–331. [Google Scholar] [CrossRef]
- Divers, S.J. Avian Endosurgery. Vet. Clin. Exot. Anim. Pract. 2010, 13, 203–216. [Google Scholar] [CrossRef] [PubMed]
- Antonissen, G.; Martel, A. Antifungal Therapy in Birds: Old Drugs in a New Jacket. Vet. Clin. N. Am. Exot. Anim. Pract. 2018, 21, 355–377. [Google Scholar] [CrossRef]
- Bonar, C.J.; Lewandowski, A.H. Use of a Liposomal Formulation of Amphotericin B for Treating Wound Aspergillosis in a Goliath Heron (Ardea goliath). J. Avian Med. Surg. 2004, 18, 162–166. [Google Scholar] [CrossRef]
- Scope, A.; Burhenne, J.; Haefel, W.; Hess, M. Species Dependent Differences and Evaluation of Possible Influences on the Enteral Absorption of Voriconazole in Birds. In Proceedings of the 9th European Conference of the Association of Avian Veterinarians, 7th Scientific ECAMS Meeting of the European College of Avian Medicine and Surgery, Zürich, Switzerland, 27–31 March 2007; Volume 236. [Google Scholar]
- Somma, A.D.; Bailey, T.; Silvanose, C.; Garcia-Martinez, C. The Use of Voriconazole for the Treatment of Aspergillosis in Falcons (Falco species). J. Avian Med. Surg. 2007, 21, 307–317. [Google Scholar] [CrossRef]
- Parsley, R.A.; Tell, L.A.; Gehring, R. Pharmacokinetics of a Single Dose of Voriconazole Administered Orally with and without Food to Red-Tailed Hawks (Buteo jamaicensus). Am. J. Vet. Res. 2017, 78, 433–439. [Google Scholar] [CrossRef] [PubMed]
- Azmanis, P.; Pappalardo, L.; Sara, Z.A.J.; Silvanose, C.; Naidoo, V. Pharmacokinetics of Voriconazole after a Single Intramuscular Injection in Large Falcons (Falco Spp.). Med. Mycol. 2020, 58, 661–666. [Google Scholar] [CrossRef]
- Souza, M.J.; Redig, P.; Cox, S.K. Plasma Concentrations of Itraconazole, Voriconazole, and Terbinafine When Delivered by an Impregnated, Subcutaneous Implant in Japanese Quail (Coturnix japonica). J. Avian Med. Surg. 2017, 31, 117–122. [Google Scholar] [CrossRef]
- Phillips, A.; Fiorello, C.V.; Baden, R.M.; Liu, J.H.; Burmas, N.C.; Ruvalcaba, C.A.; Monroy, R.; Mohr, F.C.; Gehring, R.; Delplanque, J.-P.; et al. Amphotericin B Concentrations in Healthy Mallard Ducks (Anas platyrhynchos) Following a Single Intratracheal Dose of Liposomal Amphotericin B Using an Atomizer. Med. Mycol. 2018, 56, 322–331. [Google Scholar] [CrossRef]
- Emery, L.C.; Cox, S.K.; Souza, M.J. Pharmacokinetics of Nebulized Terbinafine in Hispaniolan Amazon Parrots (Amazona ventralis). J. Avian Med. Surg. 2012, 26, 161–166. [Google Scholar] [CrossRef] [PubMed]
- Wlaź, P.; Knaga, S.; Kasperek, K.; Wlaź, A.; Poleszak, E.; Jeżewska-Witkowska, G.; Winiarczyk, S.; Wyska, E.; Heinekamp, T.; Rundfeldt, C. Activity and Safety of Inhaled Itraconazole Nanosuspension in a Model Pulmonary Aspergillus fumigatus Infection in Inoculated Young Quails. Mycopathologia 2015, 180, 35–42. [Google Scholar] [CrossRef]
- Verweij, P.E.; Lucas, J.A.; Arendrup, M.C.; Bowyer, P.; Brinkmann, A.J.F.; Denning, D.W.; Dyer, P.S.; Fisher, M.C.; Geenen, P.L.; Gisi, U.; et al. The One Health Problem of Azole Resistance in Aspergillus fumigatus: Current Insights and Future Research Agenda. Fungal Biol. Rev. 2020, 34, 202–214. [Google Scholar] [CrossRef]
- Beardsley, J.; Halliday, C.L.; Chen, S.C.-A.; Sorrell, T.C. Responding to the Emergence of Antifungal Drug Resistance: Perspectives from the Bench and the Bedside. Future Microbiol. 2018, 13, 1175–1191. [Google Scholar] [CrossRef]
- Melo, A.M.; Stevens, D.A.; Tell, L.A.; Veríssimo, C.; Sabino, R.; Xavier, M.O. Aspergillosis, Avian Species and the One Health Perspective: The Possible Importance of Birds in Azole Resistance. Microorganisms 2020, 8, 2037. [Google Scholar] [CrossRef]
- Beernaert, L.A.; Pasmans, F.; Van Waeyenberghe, L.; Dorrestein, G.M.; Verstappen, F.; Vercammen, F.; Haesebrouck, F.; Martel, A. Avian Aspergillus fumigatus Strains Resistant to Both Itraconazole and Voriconazole. Antimicrob. Agents Chemother. 2009, 53, 2199–2201. [Google Scholar] [CrossRef] [PubMed]
- Reed, K.; Macgregor, S.K.; Stidworthy, M.F.; Denk, D.; Guthrie, A. The Isolation and Antimicrobial Sensitivity of Aspergillus fumigatus from Frozen Respiratory Tissues of Penguins from Zoological Collections in the United Kingdom, 2007–2018. J. Zoo Wildl. Med. 2020, 51, 591–597. [Google Scholar] [CrossRef] [PubMed]
- Ziołkowska, G.; Tokarzewski, S.; Nowakiewicz, A. Drug Resistance of Aspergillus fumigatus Strains Isolated from Flocks of Domestic Geese in Poland. Poult. Sci. 2014, 93, 1106–1112. [Google Scholar] [CrossRef]
- Spanamberg, A.; Ravazzolo, A.P.; Denardi, L.B.; Hartz, S.A.; Santurio, J.M.; Driemeier, D.; Ferreiro, L.; Spanamberg, A.; Ravazzolo, A.P.; Denardi, L.B.; et al. Antifungal Susceptibility Profile of Aspergillus fumigatus Isolates from Avian Lungs. Pesqui. Vet. Bras. 2020, 40, 102–106. [Google Scholar] [CrossRef]
- Rojo-Solís, C.; García-Párraga, D.; Montesinos, A.; Ardiaca-García, M.; Álvaro, T.; Valls, M.; Barros-García, C.; Encinas, T. Pharmacokinetics of Single Dose Oral Terbinafine in Common Shelducks (Tadorna tadorna). J. Vet. Pharmacol. Ther. 2020. [Google Scholar] [CrossRef]
- Bechert, U.; Christensen, J.M.; Poppenga, R.; Le, H.; Wyatt, J.; Schmitt, T. Pharmacokinetics of Orally Administered Terbinafine in African Penguins (Spheniscus demersus) for Potential Treatment of Aspergillosis. J. Zoo Wildl. Med. 2010, 41, 263–274. [Google Scholar] [CrossRef]
- Evans, E.E.; Emery, L.C.; Cox, S.K.; Souza, M.J. Pharmacokinetics of Terbinafine after Oral Administration of a Single Dose to Hispaniolan Amazon Parrots (Amazona ventralis). Am. J. Vet. Res. 2013, 74, 835–838. [Google Scholar] [CrossRef]
- Zalesak, S.M.; Sanchez, C.R.; Pich, A.A.; Papich, M.G. Preliminary Pilot Study of Itraconazole After a Single Oral Dose of a Veterinary Formulation Solution in African Penguins (Spheniscus demersus). J. Avian Med. Surg. 2020, 34, 52–56. [Google Scholar] [CrossRef] [PubMed]
- Sánchez, C.R.; Zalesak, S.; Pich, A.A.; Papich, M.G. Population Pharmacokinetics of Itraconazole Solution after a Single Oral Administration in Captive Lesser Flamingos (Phoeniconaias Minor). J. Vet. Pharmacol. Ther. 2019, 42, 1–6. [Google Scholar] [CrossRef]
- Bunting, E.M.; Madi, N.A.; Cox, S.; Martin-Jimenez, T.; Fox, H.; Kollias, G.V. Evaluation of Oral Itraconazole Administration in Captive Humboldt Penguins (Spheniscus humboldti). J. Zoo Wildl. Med. 2009, 40, 508–518. [Google Scholar] [CrossRef]
- Pardeike, J.; Weber, S.; Zarfl, H.P.; Pagitz, M.; Zimmer, A. Itraconazole-Loaded Nanostructured Lipid Carriers (NLC) for Pulmonary Treatment of Aspergillosis in Falcons. Eur. J. Pharm. Biopharm. 2016, 108, 269–276. [Google Scholar] [CrossRef]
- Schmidt, V.; Demiraj, F.; Di Somma, A.; Bailey, T.; Ungemach, F.R.; Krautwald-Junghanns, M.-E. Plasma Concentrations of Voriconazole in Falcons. Vet. Rec. 2007, 161, 265–268. [Google Scholar] [CrossRef]
- Hyatt, M.W.; Wiederhold, N.P.; Hope, W.W.; Stott, K.E. Pharmacokinetics of Orally Administered Voriconazole in African Penguins (Spheniscus demersus) after Single and Multiple Doses. J. Zoo Wildl. Med. 2017, 48, 352–362. [Google Scholar] [CrossRef]
- Sanchez-Migallon Guzman, D.; Flammer, K.; Papich, M.G.; Grooters, A.M.; Shaw, S.; Applegate, J.; Tully, T.N. Pharmacokinetics of Voriconazole after Oral Administration of Single and Multiple Doses in Hispaniolan Amazon Parrots (Amazona ventralis). Am. J. Vet. Res. 2010, 71, 460–467. [Google Scholar] [CrossRef] [PubMed]
- Gentry, J.; Montgerard, C.; Crandall, E.; Cruz-Espindola, C.; Boothe, D.; Bellah, J. Voriconazole Disposition After Single and Multiple, Oral Doses in Healthy, Adult Red-Tailed Hawks (Buteo jamaicensis). J. Avian Med. Surg. 2014, 28, 201–208. [Google Scholar] [CrossRef] [PubMed]
- Kline, Y.; Clemons, K.V.; Woods, L.; Stevens, D.A.; Tell, L.A. Pharmacokinetics of Voriconazole in Adult Mallard Ducks (Anas platyrhynchos). Med. Mycol. 2011, 49, 500–512. [Google Scholar] [CrossRef] [PubMed]
- Tell, L.A.; Clemons, K.V.; Kline, Y.; Woods, L.; Kass, P.H.; Martinez, M.; Stevens, D.A. Efficacy of Voriconazole in Japanese Quail (Coturnix japonica) Experimentally Infected with Aspergillus fumigatus. Med. Mycol. 2010, 48, 234–244. [Google Scholar] [CrossRef]
- Beernaert, L.A.; Pasmans, F.; Baert, K.; Van Waeyenberghe, L.; Chiers, K.; Haesebrouck, F.; Martel, A. Designing a Treatment Protocol with Voriconazole to Eliminate Aspergillus fumigatus from Experimentally Inoculated Pigeons. Vet. Microbiol. 2009, 139, 393–397. [Google Scholar] [CrossRef]
- Mullineaux, E.; Eva, K. BSAVA Manual of Wildlife Casualties; British Small Animal Veterinary Association: Gloucester, UK, 2017. [Google Scholar]
- Fox, A.D.; Elmberg, J.; Tombre, I.M.; Hessel, R. Agriculture and Herbivorous Waterfowl: A Review of the Scientific Basis for Improved Management. Biol. Rev. 2017, 92, 854–877. [Google Scholar] [CrossRef] [PubMed]
- Nieguitsila, A.; Deville, M.; Jamal, T.; Halos, L.; Berthelemy, M.; Chermette, R.; Latouche, S.; Arné, P.; Guillot, J. Evaluation of Fungal Aerosols Using Temporal Temperature Gradient Electrophoresis (TTGE) and Comparison with Culture. J. Microbiol. Methods 2007, 70, 86–95. [Google Scholar] [CrossRef]
- Martony, M.; Nollens, H.; Tucker, M.; Henry, L.; Schmitt, T.; Hernandez, J. Prevalence of and Environmental Factors Associated with Aerosolised Aspergillus Spores at a Zoological Park. Vet. Rec. Open 2019, 6, e000281. [Google Scholar] [CrossRef]
- de Wit, J.J.; van Cutsem, J.; Schoenmaker, G.J.; Braunius, W.W.; van den Bergh, J.P. A severe Aspergillus flavus infection in slaughtering chicks and the effect of disinfection with enilconazole: A case study. Tijdschr. Diergeneeskd. 1993, 118, 511–513. [Google Scholar]
- Ebani, V.V.; Najar, B.; Bertelloni, F.; Pistelli, L.; Mancianti, F.; Nardoni, S. Chemical Composition and In Vitro Antimicrobial Efficacy of Sixteen Essential Oils against Escherichia Coli and Aspergillus fumigatus Isolated from Poultry. Vet. Sci. 2018, 5, 62. [Google Scholar] [CrossRef]
- Redig, P. EasMycotic Infections in Birds I: Aspergillosis. The North American Veterinary Conference Proceedings, Orlando, FL, USA, 17–21 January 2004; pp. 1192–1194. [Google Scholar]
- Mazet, J.A.K.; Newman, S.H.; Gilardi, K.V.K.; Tseng, F.S.; Holcomb, J.B.; Jessup, D.A.; Ziccardi, M.H. Advances in Oiled Bird Emergency Medicine and Management. J. Avian Med. Surg. 2002, 16, 146–149. [Google Scholar] [CrossRef]
- Feldmesser, M. Prospects of Vaccines for Invasive Aspergillosis. Med. Mycol. 2005, 43, 571–587. [Google Scholar] [CrossRef] [PubMed]
- Mateos-Hernández, L.; Risco-Castillo, V.; Torres-Maravilla, E.; Bermúdez-Humarán, L.G.; Alberdi, P.; Hodžić, A.; Hernández-Jarguin, A.; Rakotobe, S.; Galon, C.; Devillers, E.; et al. Gut Microbiota Abrogates Anti-α-Gal IgA Response in Lungs and Protects against Experimental Aspergillus Infection in Poultry. Vaccines 2020, 8, 285. [Google Scholar] [CrossRef]
- Wheeler, S.S.; Woods, L.W.; Boyce, W.M.; Eckstrand, C.D.; Langevin, S.A.; Reisen, W.K.; Townsend, A.K. West Nile Virus and Non-West Nile Virus Mortality and Coinfection of American Crows (Corvus brachyrhynchos) in California. Avian Dis. 2014, 58, 255–261. [Google Scholar] [CrossRef] [PubMed]
- Hauck, R.; Cray, C.; França, M. Spotlight on Avian Pathology: Aspergillosis. Avian Pathol. 2020, 49, 115–118. [Google Scholar] [CrossRef] [PubMed]
- Tsang, C.-C.; Tang, J.Y.M.; Lau, S.K.P.; Woo, P.C.Y. Taxonomy and Evolution of Aspergillus, Penicillium and Talaromyces in the Omics Era—Past, Present and Future. Comput. Struct. Biotechnol. J. 2018, 16, 197–210. [Google Scholar] [CrossRef]



| Year of Notification | Species | Description |
|---|---|---|
| 1813 | Scaup duck | “Mold or blue mucor” within the air sac |
| 1815 | Eurasian Jay | Parasitic thallus in air sacs, bronchi and lungs |
| 1816 | Mute swan | Green mold in the aerial cavities |
| 1826 | Stork | Mold lining the internal face of air sacs and within long bones |
| 1827 | Raven | Mold in the lungs |
| 1833 | Flamingo | Mold in the pulmonary cavities |
| 1841 | Eider | A fungus in air sacs, bronchi, basin and wing bones; later identified as “Aspergillus glaucus” by Robin |
| 1841 | Parakeet | Mycotic lesions in the lungs |
| 1842 | Falcon/Owl | Mycotic lesions in the bronchi and air sacs |
| 1842 | Goose/Cormorant/Penguin or Razorbill | Mycotic lesions |
| 1842 | Bullfinch | White mold (“Aspergillus candidus”) in the air sacs |
| 1848 | Golden plover | Mold in the air sacs later identified as “Aspergillus glaucus” by Robin (1853) |
| 1853 | Gull/Pheasant | “Aspergillus nigrescens” found in the lungs and the air sacs |
| 1857 | Golden eagle/Ostrich | Mycelium in the airways |
| 1866 | Parrot | Mold in the lungs |
| 1866 | Loon | Mold in the lungs |
| 1871 | Goshawk | Mold in the air sacs |
| 1873 | Duck | Mold in the airways |
| 1875 | Flamingo | “Aspergillus dubius” in the airways |
| 1875 | Great bustard | “Aspergillus fumigatus” in the lungs and air sacs |
| 1880 | Cardinal/Finches/Parrots | Aspergillosis |
| 1883 | Parrot | “Aspergillus glaucus” in the lungs and bronchi |
| 1883 | Flamingos | Aspergillosis |
| 1885 | Ostrich | “Aspergillus fumigatus” in the lungs and air sacs |
| 1887 | Swan | Aspergillosis |
| 1887 | Pheasant | Aspergillosis |
| 1890 | Ducks | Aspergillosis |
| 1891 | Canari | “Aspergillus aviarius” in the coastal pleura |
| 1894 | Swan | Aspergillosis |
| Species | Period | Location | Status a | % of Aspergillosis (Nb Cases/Total) | Diagnosis b | Reference |
|---|---|---|---|---|---|---|
| Common loon (Gavia immer) | 1970–1975 | USA | F | 18% (34/190) | G/C | [109] |
| 1976–1991 | USA | F | 6% (13/222) | G/C/H | [77] | |
| 1970–1994 | USA | F | 7% (31/434) | G/C/H | [110] | |
| 1992–1995 | Canada | F | 16% (5/31) | G/D/H | [79] | |
| 1979–1999 | USA | F | 31% (33/105) | Uns. | [78] | |
| 1987–2000 | USA | F | 3% (14/522) | G/H | [72] | |
| Mute swan (Cygnus olor) | 1996 | UK | F | 14% (2/14) | G/H | [71] |
| Bewick’s swan (Cygnus bewickii) Mute swan (Cygnus olor) Whooper swan (Cygnus cygnus) | 1951–1989 | UK | F | 5% (7/150) 4% (8/183) 4% (1/23) | G/H | [69] |
| Trumpeter swan (Cygnus buccinator) Tundra swan (Cygnus columbianus) | 1986–1992 | USA | F | 21% (18/115) 10% (2/21) | G | [67] |
| Trumpeter swan (Cygnus buccinator) Tundra swan (Cygnus columbianus) | 2000–2002 | USA | F | 17% (62/365) 5% (2/35) | G/D | [80] |
| Seabirds (Guillemot Uria aalge; Razorbill Alca torda; Herring gull Larus argentatus; Kittiwake Rissa tridactyla; Oystercatcher Haematopus ostralegus, among others) | 1992–1995 | Belgium | F | 2.9% (6/241) | G/H | [111] |
| Herring gulls (Larus argentatus), other gulls | 1981–1982 | USA | F | 31% (50/161) | G/C/H | [81] |
| White stork (Ciconia ciconia) | 2007–2008 | Germany | F | 28% (22/101) | G/C/H/S (ITS-1) | [30] |
| Eurasian cranes (Grus grus) | 1998–2008 | Germany | F | 4% (7/143) | G/C/H | [82] |
| Whooping crane (Grus americana) | 1982–1995 | USA | C | 7% (7/103) | G/H | [70] |
| Bewick’s swan Cygnus bewickii; Whooper swan C. cygnus; Black swan C. atratus; Black-necked swan C. melanocophyrus; Trumpeter swan C. buccinator; Tundra swan C. columbianus | 1951–1989 | UK | C | 6.6% (adults) 5% (juveniles) 2.6% (downies) | G/H | [112] |
| Seaducks (European Eider Somateria mollissima; Scoters Melanitta; Sawbills Mergus; Goldeneyes Histrionicus, Clangula, Bucephala) | 1959–1976 | USA | C | 17% (adults) 31% (juveniles) 27% (downies) | Uns. | [113] |
| Shelducks (Tadorna sp.) Sheldgeese (Cyanochen sp., Chloephaga sp.) | 1959–1976 | USA | C | 16% (adults) 5% (juveniles) 25% (adults) 33% (juveniles) 6% (downies) | Uns. | [113] |
| Perching ducks (Wood duck Aix sponsa; Hartlaub’s duck Pteronetta hartlaubii, among others) | 1959–1980 | USA | C | 7.5% (adults) 8.5% (juveniles) | Uns. | [91] |
| Stiff-tailed ducks (Ruddy ducks Oxyura sp.; Musk ducks Biziura sp.; Black-headed ducks Heteronetta sp.; White-backed ducks Thalassornis sp.) | 1959–1980 | USA | C | 2% (adults) 14% (juveniles) | Uns. | [114] |
| Northern geese (Canada geese Branta canadensis; Lesser white-front geese Anser erythropus…) | 1959–1980 | USA | C | 4% (adults) 15% (juveniles) | Uns. | [92] |
| Falcons (saker falcons Falco cherrug; peregrine falcons F. peregrinus…) | 1998–2001 | Saudi Arabia | C | 10% (13/131) | G/C/H | [15] |
| Gentoo penguins (Pygoscelis papua) | 1964–1988 | UK | C | 41% (128/314) | Uns. | [115] |
| Magellanic penguins (Spheniscus magellanicus) | 1986 | USA | C | 61% (23/38) | G/H | [116] |
| Magellanic penguins (Spheniscus magellanicus) | 2008–2018 | USA | C | 27% (23/85) | G/H | [117] |
| Psittacine birds (parrots, macaws, cockatoos) | 1998–2017 | Canada | C | 1.7% (32/1850) | H/Uns. | [118] |
| Magellanic penguins (Spheniscus magellanicus) | 2004–2005 | Brazil | R | 42% (5/12) | G/D/C/H | [119] |
| Magellanic penguins (Spheniscus magellanicus) | 2004–2009 | Brazil | R | 20% (66/327) | G/C/H | [120] |
| Bald eagle (Haliaeetus leucocephalus) Golden eagle (Aquila chrysaetos) | 1975–2013 | USA | R | 1% (35/2980) 1% (15/1427) | Uns. | [100] |
| Black-browed Albatross (Thalassarche melanophris) | 2015–2017 | Brazil | R | 14% (3/14) | G/C/H/S (benA, calM) | [35] |
| Antifungal Agent | Status/Species | Administration Route | Dose | Aim | Main Conclusions | References |
|---|---|---|---|---|---|---|
| Amphotericin B (Liposomal) | Mallard ducks (Healthy) | Intratracheal nebulization (atomizer) | 3 mg/kg (single) | PK | Target dose of 1 µg/g of lungs reached (up to 9 days) No toxic changes (histological examination) | [217] |
| Terbinafine hydrochloride | Shelduck (Tadorna tadorna) (Healthy) | Oral | 60 mg/kg (single dose) | PK | No adverse effects Antifungal concentration remains above target doses for several hours | [227] |
| Terbinafine hydrochloride | African penguins (Healthy) | Oral | 3/7/15 mg/kg (single dose) 15 mg/kg sid 4 days | PK | 15 mg/kg per day oral dose = putative treatment Slow elimination and tissue accumulation | [228] |
| Terbinafine hydrochloride | Red-tailed hawks (Healthy) | Oral | 15/30/60 mg/kg (single dose) | PK | A dose of 22 mg/kg SID may be a potential treatment option to treat aspergillosis in raptors | [228] |
| Terbinafine hydrochloride | Hispanolian amazons (Healthy) | Oral | 60 mg/kg (single) | PK | No adverse effect Putative treatment of aspergillosis | [229] |
| Terbinafine hydrochloride | Hispanolian amazons (Healthy) | Nebulization (15 min) | 1 mg/mL solution | PK | Plasma concentration above the target dose up to 4 hr | [218] |
| Itraconazole (Itrafungol) | African penguins (Healthy) | Oral | 20 mg/kg (single dose) | PK | Putative cost effective treatment | [230] |
| Itraconazole (Itrafungol) | Lesser flamingos (Phoeniconaias minor) (Healthy) | Oral | 10 mg/kg (single dose) | PK | Plasma drug concentration > 0.5 µg/mL maintained for at least 24 h after a single dose | [231] |
| Itraconazole (Sporanox/powder) | Humboldt penguins | Oral (in a fish) | 6/12 mg/kg SID/BID 14 days | PK | 8.5 mg/kg BID or 20 mg/kg SID of commercial capsule may provide adequate steady-state therapeutic blood levels | [232] |
| Itraconazole (nanoparticules) | Japanese quail (Infected) | Nebulization (30 min) | 4%/10% suspension SID 6 days | EAA | 10% nanosuspension is well tolerated and alleviates acute aspergillosis | [219] |
| Itraconazole (nanostructured lipid carries) | Falcon (Falco sp.) (Healthy) | Nebulization (15 min) (nanonebulizer) | NS | - | No toxic effects on A594 cells Penetrates deeply into the respiratory tract (lungs and air sacs (gammascintigraphy) | [233] |
| Voriconazole | Falcons (Falco sp.) (Healthy vs. diseased) | Oral (crop gavage or incorporated into meat) | 12.5 mg/kg BID 7/14 days | PK/ET | High interindividuality of voriconazole/no adverse effects Administration in meat is effective and avoids tress | [234] |
| Voriconazole | African penguins (Healthy) | Oral | 5 mg/kg (single dose) 5 mg/kg SID | PK | Effective for the treatment of aspergillosis Potential toxicity due to drug accumulation | [235] |
| Voriconazole | Magellanic penguins (Healthy) | Oral (in a herring) | 2.5/5 mg/kg (single dose) | PK | Above the target dose for least 24 h following the highest dose | [214] |
| Voriconazole | Hispanolian amazons (Healthy) | Oral | 12/24 mg/kg (single dose) 18 mg/kg QID 11 days | PK | Decrease in plasma concentration following administration of multiple doses requiring adjustment | [236] |
| Voriconazole | Red-tailed hawks (Healthy) | Oral (gavage) | 10 mg/kg (single dose) 10 mg/kg BID 14 days | PK | More frequent dosing (up to QID) may be necessary to maintain target concentration during prolonged therapy | [237] |
| Voriconazole | Falcons (Falco sp.) (Healthy) | Intramuscular injection | 12.5 mg/kg (single dose) | PK | Target plasma concentration (> 1 µg/ml) maintained 16 to 20 h without clinical side effects | [215] |
| Voriconazole | Mallard ducks (Healthy) | Intravenous injection or oral (liquid/non liquid) | 10 mg/kg (single dose) 10/20/40 mg/kg (single dose) 20 mg/kg SID 21 days | PK | No overt/histological signs of toxicity A dosing interval of at least 8–12 h at a dose of 20 mg/kg may be required | [238] |
| Voriconazole | Japanese quail (Infected) | Oral | 20/40 mg/kg SID | PK/EAA | Prolonged survival and less fungal burden in the lungs with the highest dose. No necrotic lesions (histopathology | [239] |
| Voriconazole | Rock pigeon (Infected) | Oral | 10 mg/kg BID 20 mg/kg SID | EAA | Reduction of clinical signs and A. fumigatus elimination at 10 mg/kg BID | [240] |
| Avian Taxon | Antifungal Agent | Dose and Administration Route |
|---|---|---|
| Gamebirds | Itraconazole | 10 mg/kg orally SID or BID |
| Terbinafine | 15 mg/kg orally BID | |
| Parrots | Amphotericin B | Nebulization 1 mg/kg diluted to 1 mL with sterile water BID or TID |
| Itraconazole | 5–10 mg/kg orally SID or BID | |
| 2.5–5 mg/kg orally SID in Grey parrot | ||
| Voriconazole | 12–18 mg/kg orally BID | |
| Raptors | Itraconazole | 10 mg/kg orally BID for 60 days |
| 5–10 mg/kg orally BID for 5 days then SID for 60-90 days | ||
| Terbinafine | 10–15 mg/kg orally BID for 6-8 weeks | |
| Voriconazole | 10–18 mg/kg orally BID for 60 days | |
| 12.5 mg/kg orally BID in falcons | ||
| Seabirds | Itraconazole | 10–20 mg/kg orally SID |
| Waterfowl | Amphotericin B | Nebulization 12.5 mg diluted with 2.5 mL sterile water SID for 7 days |
| 7.5 mg/kg intratracheally TID | ||
| 3.25 mg/kg intravenously (in fluids) over 24 h | ||
| Itraconazole | 5–10 mg/kg orally SID for 4-8 weeks |
Publisher’s Note: MDPI stays neutral with regard to jurisdictional claims in published maps and institutional affiliations. |
© 2021 by the authors. Licensee MDPI, Basel, Switzerland. This article is an open access article distributed under the terms and conditions of the Creative Commons Attribution (CC BY) license (http://creativecommons.org/licenses/by/4.0/).
Share and Cite
Arné, P.; Risco-Castillo, V.; Jouvion, G.; Le Barzic, C.; Guillot, J. Aspergillosis in Wild Birds. J. Fungi 2021, 7, 241. https://doi.org/10.3390/jof7030241
Arné P, Risco-Castillo V, Jouvion G, Le Barzic C, Guillot J. Aspergillosis in Wild Birds. Journal of Fungi. 2021; 7(3):241. https://doi.org/10.3390/jof7030241
Chicago/Turabian StyleArné, Pascal, Veronica Risco-Castillo, Grégory Jouvion, Cécile Le Barzic, and Jacques Guillot. 2021. "Aspergillosis in Wild Birds" Journal of Fungi 7, no. 3: 241. https://doi.org/10.3390/jof7030241
APA StyleArné, P., Risco-Castillo, V., Jouvion, G., Le Barzic, C., & Guillot, J. (2021). Aspergillosis in Wild Birds. Journal of Fungi, 7(3), 241. https://doi.org/10.3390/jof7030241

