First Report of an Invasive Infection by Cephalotrichum gorgonifer in a Neutropenic Patient with Hematological Malignancy under Chemotherapy
Abstract
:1. Introduction
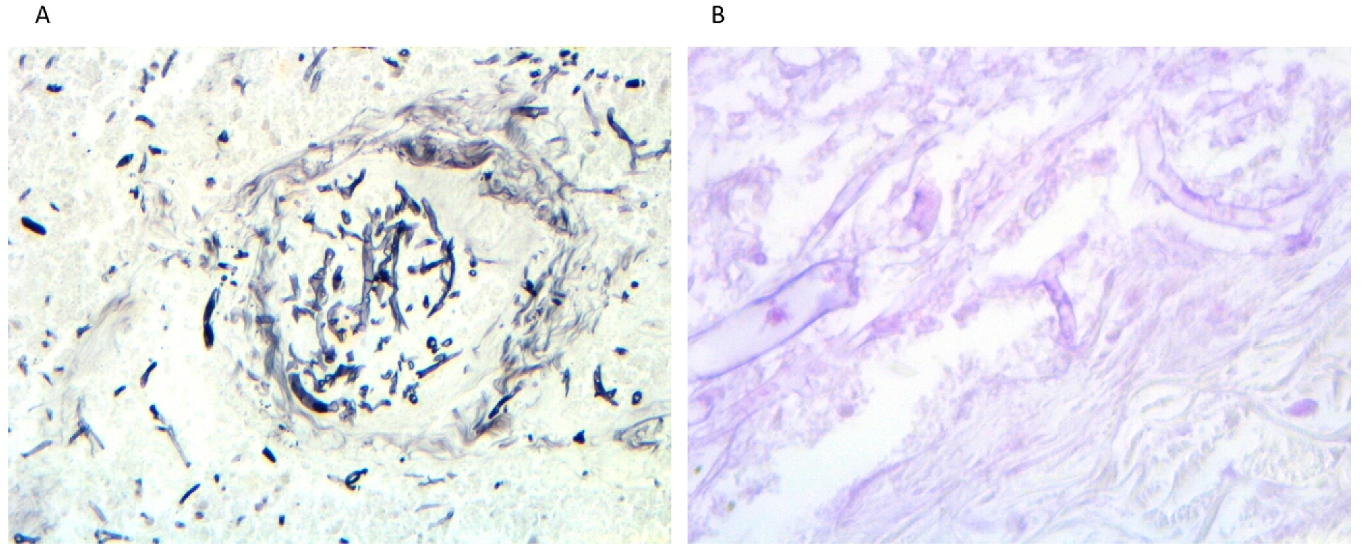
2. Case Presentation
3. Discussion
Author Contributions
Funding
Institutional Review Board Statement
Informed Consent Statement
Data Availability Statement
Conflicts of Interest
References
- Neofytos, D.; Horn, D.; Anaissie, E.; Steinbach, W.; Olyaei, A.; Fishman, J.; Pfaller, M.; Chang, C.; Webster, K.; Marr, K. Epidemiology and outcome of invasive fungal infection in adult hematopoietic stem cell transplant recipients: Analysis of Multicenter Prospective Antifungal Therapy (PATH) Alliance registry. Clin. Infect. Dis. 2009, 48, 265–273. [Google Scholar] [CrossRef] [PubMed]
- Lass-Flörl, C.; Cuenca-Estrella, M. Changes in the epidemiological landscape of invasive mould infections and disease. J. Antimicrob. Chemother. 2017, 72 (Suppl. 1), i5–i11. [Google Scholar] [CrossRef] [PubMed]
- Douglas, A.P.; Slavin, M.A. Risk factors and prophylaxis against invasive fungal disease for haematology and stem cell transplant recipients: An evolving field. Expert Rev. Anti-Infect. Ther. 2016, 14, 1165–1177. [Google Scholar] [CrossRef] [PubMed]
- Enoch, D.A.; Yang, H.; Aliyu, S.H.; Micallef, C. The Changing Epidemiology of Invasive Fungal Infections. Methods Mol. Biol. 2017, 1508, 17–65. [Google Scholar] [CrossRef] [PubMed]
- Alvarez-Uria, A.; Guinea, J.V.; Escribano, P.; Gomez-Castella, J.; Valerio, M.; Galar, A.; Vena, A.; Bouza, E.; Munoz, P. Invasive Scedosporium and Lomentospora infections in the era of antifungal prophylaxis: A 20-year experience from a single centre in Spain. Mycoses 2020, 63, 1195–1202. [Google Scholar] [CrossRef] [PubMed]
- Sandoval-Denis, M.; Gene, J.; Sutton, D.A.; Cano-Lira, J.F.; de Hoog, G.S.; Decock, C.A.; Wiederhold, N.P.; Guarro, J. Redefining Microascus, Scopulariopsis and allied genera. Persoonia 2016, 36, 1–36. [Google Scholar] [CrossRef] [PubMed] [Green Version]
- Woudenberg, J.H.C.; Sandoval-Denis, M.; Houbraken, J.; Seifert, K.A.; Samson, R.A. Cephalotrichum and related synnematous fungi with notes on species from the built environment. Stud. Mycol. 2017, 88, 137–159. [Google Scholar] [CrossRef] [PubMed]
- Sandoval-Denis, M.; Guarro, J.; Cano-Lira, J.F.; Sutton, D.A.; Wiederhold, N.P.; de Hoog, G.S.; Abbott, S.P.; Decock, C.; Sigler, L.; Gene, J. Phylogeny and taxonomic revision of Microascaceae with emphasis on synnematous fungi. Stud. Mycol. 2016, 83, 193–233. [Google Scholar] [CrossRef] [PubMed] [Green Version]
- Prezant, B.; Weekes, D.M.; Miller, J.D. American Industrial Hygiene Association: Recognition, Evaluation, and Control of Indoor Mold; Fairfax, V.A., Ed.; American Industrial Hygiene Association: Fairfax, VA, USA, 2008. [Google Scholar]
- Flannigan, B.; Samson, R.A.; Miller, J.D. Microorganisms in Home and Indoor Work Environments: Diversity, Health Impacts, Investigation and Control, 2nd ed.; CRC Press: Boca Raton, FL, USA, 2011. [Google Scholar]



Publisher’s Note: MDPI stays neutral with regard to jurisdictional claims in published maps and institutional affiliations. |
© 2021 by the authors. Licensee MDPI, Basel, Switzerland. This article is an open access article distributed under the terms and conditions of the Creative Commons Attribution (CC BY) license (https://creativecommons.org/licenses/by/4.0/).
Share and Cite
Álvarez-Uría, A.; Escribano, P.; Parra-Blanco, V.; Cano-Lira, J.F.; Stchigel, A.M.; Oarbeascoa, G.; Muñoz, P.; Guinea, J. First Report of an Invasive Infection by Cephalotrichum gorgonifer in a Neutropenic Patient with Hematological Malignancy under Chemotherapy. J. Fungi 2021, 7, 1089. https://doi.org/10.3390/jof7121089
Álvarez-Uría A, Escribano P, Parra-Blanco V, Cano-Lira JF, Stchigel AM, Oarbeascoa G, Muñoz P, Guinea J. First Report of an Invasive Infection by Cephalotrichum gorgonifer in a Neutropenic Patient with Hematological Malignancy under Chemotherapy. Journal of Fungi. 2021; 7(12):1089. https://doi.org/10.3390/jof7121089
Chicago/Turabian StyleÁlvarez-Uría, Ana, Pilar Escribano, Verónica Parra-Blanco, José Francisco Cano-Lira, Alberto Miguel Stchigel, Gillen Oarbeascoa, Patricia Muñoz, and Jesús Guinea. 2021. "First Report of an Invasive Infection by Cephalotrichum gorgonifer in a Neutropenic Patient with Hematological Malignancy under Chemotherapy" Journal of Fungi 7, no. 12: 1089. https://doi.org/10.3390/jof7121089
APA StyleÁlvarez-Uría, A., Escribano, P., Parra-Blanco, V., Cano-Lira, J. F., Stchigel, A. M., Oarbeascoa, G., Muñoz, P., & Guinea, J. (2021). First Report of an Invasive Infection by Cephalotrichum gorgonifer in a Neutropenic Patient with Hematological Malignancy under Chemotherapy. Journal of Fungi, 7(12), 1089. https://doi.org/10.3390/jof7121089

