A Collaborative Tale of Diagnosing and Treating Chronic Pulmonary Aspergillosis, from the Perspectives of Clinical Microbiologists, Surgical Pathologists, and Infectious Disease Clinicians
Abstract
1. Introduction
2. Clinical Presentation and Definition
2.1. Different Forms of Chronic Pulmonary Aspergillosis, Risk Factors, and Diagnosis
2.2. Brief Overview of the Collaborative Approach of Diagnosing CPA
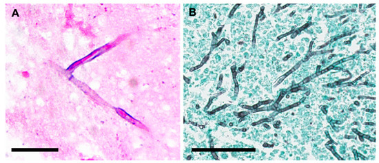
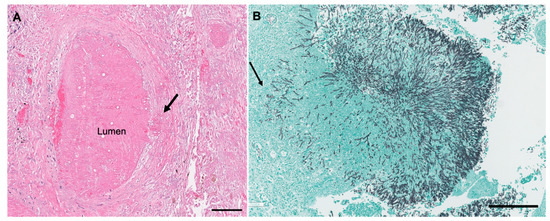
3. Histopathology
4. Culture-Based Microbiological Methods for Identification and Antifungal Susceptibility Testing
4.1. Morphological Identification
4.2. Mass Spectrometry
4.3. Antifungal Susceptibility Testing
5. Aspergillus Serology
6. Molecular Methodologies for Aspergillus Diagnosis and Antifungal Susceptibility Predictions
6.1. Aspergillus PCR
6.2. Sequencing
6.3. Whole Genome Sequencing (WGS)
7. Treatment
7.1. Indications
7.2. Role of Species Identification and In Vitro Antifungal Susceptibility Testing
7.3. Triazoles
7.4. Echinocandins
7.5. Amphotericin B Products
7.6. Combination Antifungal Therapy
7.7. Local Direct Antifungal Therapy
7.8. Novel Antifungal Therapies
7.9. Immunotherapies
7.10. Surgical Therapy
8. Outcomes and Unmet Needs
Author Contributions
Funding
Conflicts of Interest
References
- Van De Veerdonk, F.L.; Gresnigt, M.; Romani, L.; Netea, M.G.; Latgé, J.-P. Aspergillus fumigatus morphology and dynamic host interactions. Nat. Rev. Genet. 2017, 15, 661–674. [Google Scholar] [CrossRef]
- Desai, S.R.; Hedayati, V.; Patel, K.; Hansell, D.M. Chronic Aspergillosis of the Lungs: Unravelling the Terminology and Radiology. Eur. Radiol. 2015, 25, 3100–3107. [Google Scholar] [CrossRef]
- Paulussen, C.; Hallsworth, J.E.; Álvarez-Pérez, S.; Nierman, W.C.; Hamill, P.G.; Blain, D.; Rediers, H.; Lievens, B. Ecology of aspergillosis: Insights into the pathogenic potency of Aspergillus fumigatus and some other Aspergillus species. Microb. Biotechnol. 2016, 10, 296–322. [Google Scholar] [CrossRef] [PubMed]
- Latgé, J.-P.; Chamilos, G. Aspergillus fumigatus and Aspergillosis in 2019. Clin. Microbiol. Rev. 2019, 33, 33. [Google Scholar] [CrossRef]
- Denning, D.; Riniotis, K.; Dobrashian, R.; Sambatakou, H. Chronic Cavitary and Fibrosing Pulmonary and Pleural Aspergillosis: Case Series, Proposed Nomenclature Change, and Review. Clin. Infect. Dis. 2003, 37, S265–S280. [Google Scholar] [CrossRef] [PubMed]
- Smith, N.L.; Denning, D. Underlying conditions in chronic pulmonary aspergillosis including simple aspergilloma. Eur. Respir. J. 2010, 37, 865–872. [Google Scholar] [CrossRef] [PubMed]
- Alastruey-Izquierdo, A.; Cadranel, J.; Flick, H.; Godet, C.; Hennequin, C.; Hoenigl, M.; Kosmidis, C.; Lange, C.; Munteanu, O.; Page, I.; et al. Treatment of Chronic Pulmonary Aspergillosis: Current Standards and Future Perspectives. Respiration 2018, 96, 1–12. [Google Scholar] [CrossRef] [PubMed]
- Patterson, T.; Thompson, G.R.; Denning, D.W.; Fishman, J.A.; Hadley, S.; Herbrecht, R.; Kontoyiannis, D.P.; Marr, K.A.; Morrison, V.A.; Nguyen, M.H.; et al. Practice Guidelines for the Diagnosis and Management of Aspergillosis: 2016 Update by the Infectious Diseases Society of America. Clin. Infect. Dis. 2016, 63, e1–e60. [Google Scholar] [CrossRef]
- Garcia-Rubio, R.; Cuenca-Estrella, M.; Mellado, E. Triazole Resistance in Aspergillus Species: An Emerging Problem. Drugs 2017, 77, 599–613. [Google Scholar] [CrossRef]
- Chen, Y.; Dong, F.; Zhao, J.; Fan, H.; Qin, C.; Li, R.; Verweij, P.E.; Zheng, Y.; Han, L. High Azole Resistance in Aspergillus fumigatus Isolates from Strawberry Fields, China, 2018. Emerg. Infect. Dis. 2020, 26, 81–89. [Google Scholar] [CrossRef]
- Cadena, J.; Thompson, G.R.; Patterson, T. Invasive aspergillosis: Current strategies for diagnosis and management. Infect. Dis. Clin. N. Am. 2016, 30, 125–142. [Google Scholar] [CrossRef] [PubMed]
- Hayes, G.E.; Novak-Frazer, L. Chronic Pulmonary Aspergillosis—Where Are We? and Where Are We Going? J. Fungi 2016, 2, 18. [Google Scholar] [CrossRef] [PubMed]
- Denning, D.; Cadranel, J.; Beigelman-Aubry, C.; Ader, F.; Chakrabarti, A.; Blot, S.; Ullmann, A.J.; Dimopoulos, G.; Lange, C. Chronic pulmonary aspergillosis: Rationale and clinical guidelines for diagnosis and management. Eur. Respir. J. 2015, 47, 45–68. [Google Scholar] [CrossRef] [PubMed]
- Page, I.; Richardson, M.D.; Denning, D. Comparison of six Aspergillus-specific IgG assays for the diagnosis of chronic pulmonary aspergillosis (CPA). J. Infect. 2016, 72, 240–249. [Google Scholar] [CrossRef] [PubMed]
- Patel, A.M.; Ryu, J.H.; Reed, C.E. Hypersensitivity pneumonitis: Current concepts and future questions. J. Allergy Clin. Immunol. 2001, 108, 661–670. [Google Scholar] [CrossRef] [PubMed]
- Katzenstein, A.L.; Liebow, A.A.; Friedman, P.J. Bronchocentric granulomatosis, mucoid impaction, and hypersensitivity reactions to fungi. Am. Rev. Respir. Dis. 1975, 111, 497–537. [Google Scholar]
- Yousem, S.A. The histological spectrum of chronic necrotizing forms of pulmonary aspergillosis. Hum. Pathol. 1997, 28, 650–656. [Google Scholar] [CrossRef]
- Guarner, J.; Brandt, M.E. Histopathologic Diagnosis of Fungal Infections in the 21st Century. Clin. Microbiol. Rev. 2011, 24, 247–280. [Google Scholar] [CrossRef]
- Scharnagl, H.; Fracassi, F.; Diana, A.; Frieling, T.; Mac, S.; Donoghue, D.; Kohl, S.; Ariceta, G.; Batlle, D.; Syed, E.; et al. Aspergillosis. In Encyclopedia of Molecular Mechanisms of Disease; Springer Science and Business Media LLC: Berlin, Germany, 2009; Volume 2, pp. 159–161. [Google Scholar]
- Lass-Flörl, C. How to make a fast diagnosis in invasive aspergillosis. Med. Mycol. 2019, 57, S155–S160. [Google Scholar] [CrossRef]
- Roden, A.C.; Schuetz, A.N. Histopathology of fungal diseases of the lung. Semin. Diagn. Pathol. 2017, 34, 530–549. [Google Scholar] [CrossRef]
- Lee, S.; Yun, N.R.; Kim, K.-H.; Jeon, J.H.; Kim, E.-C.; Chung, D.H.; Park, W.B.; Oh, M.-D. Discrepancy between histology and culture in filamentous fungal infections. Med. Mycol. 2010, 48, 886–888. [Google Scholar] [CrossRef] [PubMed]
- Takazono, T.; Izumikawa, K. Recent Advances in Diagnosing Chronic Pulmonary Aspergillosis. Front. Microbiol. 2018, 9, 9. [Google Scholar] [CrossRef] [PubMed]
- Walsh, T.J.; Hayden, R.; Larone, D.H. Larone’s Medically Important Fungi: A Guide to Identification; American Society for Microbiology: Washington, DC, USA, 2018. [Google Scholar]
- St Germain, G.; Summerbell, R. Identifying Fungi, 2nd ed.; Star Pubs & Bars Limited Co.: Heineken, UK, 2010. [Google Scholar]
- Latgé, J.-P. Aspergillus fumigatus and Aspergillosis. Clin. Microbiol. Rev. 1999, 12, 310–350. [Google Scholar] [CrossRef]
- Rychert, J.; Slechta, E.S.; Barker, A.P.; Miranda, E.; Babady, N.E.; Tang, Y.-W.; Gibas, C.; Wiederhold, N.P.; Sutton, D.; Hanson, K.E. Multicenter Evaluation of the Vitek MS v3.0 System for the Identification of Filamentous Fungi. J. Clin. Microbiol. 2017, 56, e01353-17. [Google Scholar] [CrossRef] [PubMed]
- De Carolis, E.; Posteraro, B.; Lass-Flörl, C.; Vella, A.; Florio, A.; Torelli, R.; Girmenia, C.; Colozza, C.; Tortorano, A.M.; Sanguinetti, M.; et al. Species identification of Aspergillus, Fusarium and Mucorales with direct surface analysis by matrix-assisted laser desorption ionization time-of-flight mass spectrometry. Clin. Microbiol. Infect. 2012, 18, 475–484. [Google Scholar] [CrossRef] [PubMed]
- Stein, M.; Tran, V.; Nichol, K.A.; Lagacé-Wiens, P.R.S.; Pieroni, P.; Adam, H.J.; Turenne, C.; Walkty, A.J.; Normand, A.-C.; Hendrickx, M.; et al. Evaluation of three MALDI-TOF mass spectrometry libraries for the identification of filamentous fungi in three clinical microbiology laboratories in Manitoba, Canada. Mycoses 2018, 61, 743–753. [Google Scholar] [CrossRef] [PubMed]
- Lau, A.F.; Walchak, R.C.; Miller, H.B.; Slechta, E.S.; Kamboj, K.; Riebe, K.; Robertson, A.E.; Gilbreath, J.J.; Mitchell, K.F.; Wallace, M.A.; et al. Multicenter Study Demonstrates Standardization Requirements for Mold Identification by MALDI-TOF MS. Front. Microbiol. 2019, 10, 2098. [Google Scholar] [CrossRef]
- Sanguinetti, M.; Posteraro, B. Identification of Molds by Matrix-Assisted Laser Desorption Ionization–Time of Flight Mass Spectrometry. J. Clin. Microbiol. 2016, 55, 369–379. [Google Scholar] [CrossRef]
- Becker, P.; De Bel, A.; Martiny, D.; Ranque, S.; Piarroux, R.; Cassagne, C.; Detandt, M.; Hendrickx, M. Identification of filamentous fungi isolates by MALDI-TOF mass spectrometry: Clinical evaluation of an extended reference spectra library. Med. Mycol. 2014, 52, 826–834. [Google Scholar] [CrossRef]
- Tam, E.W.T.; Chen, J.H.K.; Lau, E.C.L.; Ngan, A.H.Y.; Fung, K.S.C.; Lee, K.-C.; Lam, C.-W.; Yuen, K.-Y.; Lau, S.K.P.; Woo, P.C.Y. Misidentification of Aspergillus nomius and Aspergillus tamarii as Aspergillus flavus: Characterization by Internal Transcribed Spacer, -Tubulin, and Calmodulin Gene Sequencing, Metabolic Fingerprinting, and Matrix-Assisted Laser Desorption Ionization-Time of Flight Mass Spectrometry. J. Clin. Microbiol. 2014, 52, 1153–1160. [Google Scholar] [CrossRef]
- Normand, A.-C.; Cassagne, C.; Gautier, M.; Becker, P.; Ranque, S.; Hendrickx, M.; Piarroux, R. Decision criteria for MALDI-TOF MS-based identification of filamentous fungi using commercial and in-house reference databases. BMC Microbiol. 2017, 17, 25. [Google Scholar] [CrossRef]
- Vidal-Acuña, M.R.; De Pipaón, M.R.-P.; Torres-Sánchez, M.J.; Aznar, J. Identification of clinical isolates of Aspergillus, including cryptic species, by matrix assisted laser desorption ionization time-of-flight mass spectrometry (MALDI-TOF MS). Med. Mycol. 2017, 56, 838–846. [Google Scholar] [CrossRef]
- Chowdhary, A.; Sharma, C.; Meis, J.F. Azole-Resistant Aspergillosis: Epidemiology, Molecular Mechanisms, and Treatment. J. Infect. Dis. 2017, 216, S436–S444. [Google Scholar] [CrossRef] [PubMed]
- Howard, S.J.; Cerar, D.; Anderson, M.J.; Albarrag, A.; Fisher, M.C.; Pasqualotto, A.C.; Laverdière, M.; Arendrup, M.C.; Perlin, D.S.; Denning, D. Frequency and Evolution of Azole Resistance in Aspergillus fumigatus Associated with Treatment Failure1. Emerg. Infect. Dis. 2009, 15, 1068–1076. [Google Scholar] [CrossRef] [PubMed]
- Albarrag, A.M.; Anderson, M.J.; Howard, S.J.; Robson, G.; Warn, P.A.; Sanglard, D.; Denning, D. Interrogation of Related Clinical Pan-Azole-Resistant Aspergillus fumigatus Strains: G138C, Y431C, and G434C Single Nucleotide Polymorphisms in cyp51A, Upregulation of cyp51A, and Integration and Activation of Transposon Atf1 in the cyp51A Promoter. Antimicrob. Agents Chemother. 2011, 55, 5113–5121. [Google Scholar] [CrossRef]
- Rex, J.H.; Pfaller, M.A. Has Antifungal Susceptibility Testing Come of Age? Clin. Infect. Dis. 2002, 35, 982–989. [Google Scholar] [CrossRef] [PubMed]
- Arikan, S. Current status of antifungal susceptibility testing methods. Med. Mycol. 2007, 45, 569–587. [Google Scholar] [CrossRef]
- Andes, D.; Ghannoum, M.A.; Mukherjee, P.K.; Kovanda, L.; Lu, Q.; Jones, M.E.; Henriksen, A.S.; Lademacher, C.; Hope, W. Outcomes by MIC Values for Patients Treated with Isavuconazole or Voriconazole for Invasive Aspergillosis in the Phase 3 SECURE and VITAL Trials. Antimicrob. Agents Chemother. 2018, 63, e01634-18. [Google Scholar] [CrossRef]
- Howard, S.J.; Arendrup, M.C. Acquired antifungal drug resistance in Aspergillus fumigatus: Epidemiology and detection. Med. Mycol. 2011, 49, S90–S95. [Google Scholar] [CrossRef]
- Mello, E.; Posteraro, B.; Vella, A.; De Carolis, E.; Torelli, R.; D’Inzeo, T.; Verweij, P.E.; Sanguinetti, M. Susceptibility Testing of Common and Uncommon Aspergillus Species against Posaconazole and Other Mold-Active Antifungal Azoles Using the Sensititre Method. Antimicrob. Agents Chemother. 2017, 61, e00168-17. [Google Scholar] [CrossRef]
- Wang, H.-C.; Hsieh, M.-I.; Choi, P.-C.; Wu, C.-J. Comparison of the Sensititre YeastOne and CLSI M38-A2 Microdilution Methods in Determining the Activity of Amphotericin B, Itraconazole, Voriconazole, and Posaconazole against Aspergillus Species. J. Clin. Microbiol. 2018, 56, e00780-18. [Google Scholar] [CrossRef]
- Pfaller, J.B.; Messer, S.A.; Hollis, R.J.; Diekema, D.; Pfaller, M.A. In Vitro Susceptibility Testing of Aspergillus spp.: Comparison of Etest and Reference Microdilution Methods for Determining Voriconazole and Itraconazole MICs. J. Clin. Microbiol. 2003, 41, 1126–1129. [Google Scholar] [CrossRef] [PubMed]
- Fujiuchi, S.; Fujita, Y.; Suzuki, H.; Doushita, K.; Kuroda, H.; Takahashi, M.; Yamazaki, Y.; Tsuji, T.; Fujikane, T.; Osanai, S.; et al. Evaluation of a Quantitative Serological Assay for Diagnosing Chronic Pulmonary Aspergillosis. J. Clin. Microbiol. 2016, 54, 1496–1499. [Google Scholar] [CrossRef] [PubMed]
- Dobias, R.; Jaworska, P.; Tomášková, H.; Káňová, M.; Lysková, P.; Vrba, Z.; Holub, C.; Svobodova, L.; Hamal, P.; Raška, M. Diagnostic value of serum galactomannan, (1,3)-β-d-glucan, and Aspergillus fumigatus-specific IgA and IgG assays for invasive pulmonary aspergillosis in non-neutropenic patients. Mycoses 2018, 61, 576–586. [Google Scholar] [CrossRef] [PubMed]
- Agarwal, R.; Dua, D.; Choudhary, H.; Aggarwal, A.N.; Sehgal, I.S.; Dhooria, S.; Garg, M.; Behera, D.; Chakrabarti, A. Role of Aspergillus fumigatus -specific IgG in diagnosis and monitoring treatment response in allergic bronchopulmonary aspergillosis. Mycoses 2016, 60, 33–39. [Google Scholar] [CrossRef] [PubMed]
- Harada, K.; Oguma, T.; Saito, A.; Fukutomi, Y.; Tanaka, J.; Tomomatsu, K.; Taniguchi, M.; Asano, K. Concordance between Aspergillus-specific precipitating antibody and IgG in allergic bronchopulmonary aspergillosis. Allergol. Int. 2018, 67, S12–S17. [Google Scholar] [CrossRef] [PubMed]
- Yeo, S.F.; Wong, B. Current Status of Nonculture Methods for Diagnosis of Invasive Fungal Infections. Clin. Microbiol. Rev. 2002, 15, 465–484. [Google Scholar] [CrossRef]
- Rose, S.R.; Vallabhajosyula, S.; Velez, M.G.; Fedorko, D.P.; VanRaden, M.J.; Gea-Banacloche, J.C.; Lionakis, M.S. The utility of bronchoalveolar lavage beta-D-glucan testing for the diagnosis of invasive fungal infections. J. Infect. 2014, 69, 278–283. [Google Scholar] [CrossRef]
- Pini, P.; Bettua, C.; Orsi, C.F.; Venturelli, C.; Forghieri, F.; Bigliardi, S.; Faglioni, L.; Luppi, F.; Serio, L.; Codeluppi, M.; et al. Evaluation of serum (1 → 3)-β-d-glucan clinical performance: Kinetic assessment, comparison with galactomannan and evaluation of confounding factors. Infection 2015, 44, 223–233. [Google Scholar] [CrossRef]
- Persat, F.; Ranque, S.; DeRouin, F.; Michel-Nguyen, A.; Picot, S.; Sulahian, A. Contribution of the (1->3)- -D-Glucan Assay for Diagnosis of Invasive Fungal Infections. J. Clin. Microbiol. 2007, 46, 1009–1013. [Google Scholar] [CrossRef]
- Urabe, N.; Sakamoto, S.; Sano, G.; Suzuki, J.; Hebisawa, A.; Nakamura, Y.; Koyama, K.; Ishii, Y.; Tateda, K.; Homma, S. Usefulness of Two Aspergillus PCR Assays and Aspergillus Galactomannan and β-d-Glucan Testing of Bronchoalveolar Lavage Fluid for Diagnosis of Chronic Pulmonary Aspergillosis. J. Clin. Microbiol. 2017, 55, 1738–1746. [Google Scholar] [CrossRef] [PubMed]
- Albert, O.; Toubas, D.; Strady, C.; Cousson, J.; Delmas, C.; Vernet, V.; Villena, I. Reactivity of (1 → 3)-β-d-glucan assay in bacterial bloodstream infections. Eur. J. Clin. Microbiol. Infect. Dis. 2011, 30, 1453–1460. [Google Scholar] [CrossRef]
- Reischies, F.; Prattes, J.; Prüller, F.; Eigl, S.; List, A.; Wölfler, A.; Buzina, W.; Zollner-Schwetz, I.; Valentin, T.; Rabensteiner, J.; et al. Prognostic potential of 1,3-beta-d-glucan levels in bronchoalveolar lavage fluid samples. J. Infect. 2016, 72, 29–35. [Google Scholar] [CrossRef]
- Sulahian, A.; Porcher, R.; Bergeron, A.; Touratier, S.; Raffoux, E.; Menotti, J.; DeRouin, F.; Ribaud, P. Use and Limits of (1-3)- -D-Glucan Assay (Fungitell), Compared to Galactomannan Determination (Platelia Aspergillus), for Diagnosis of Invasive Aspergillosis. J. Clin. Microbiol. 2014, 52, 2328–2333. [Google Scholar] [CrossRef] [PubMed]
- Wheat, L.J. Rapid diagnosis of invasive aspergillosis by antigen detection. Transpl. Infect. Dis. 2003, 5, 158–166. [Google Scholar] [CrossRef] [PubMed]
- Maertens, J.; Miceli, M.H. Role of Non-Culture-Based Tests, with an Emphasis on Galactomannan Testing for the Diagnosis of Invasive Aspergillosis. Semin. Respir. Crit. Care Med. 2015, 36, 650–661. [Google Scholar] [CrossRef]
- Hachem, R.; Kontoyiannis, D.P.; Chemaly, R.F.; Jiang, Y.; Reitzel, R.; Raad, I. Utility of Galactomannan Enzyme Immunoassay and (1,3) -D-Glucan in Diagnosis of Invasive Fungal Infections: Low Sensitivity for Aspergillus fumigatus Infection in Hematologic Malignancy Patients. J. Clin. Microbiol. 2008, 47, 129–133. [Google Scholar] [CrossRef] [PubMed]
- Herbrecht, R.; Letscher-Bru, V.; Oprea, C.; Lioure, B.; Waller, J.; Campos, F.; Villard, O.; Liu, K.-L.; Natarajan-Amé, S.; Lutz, P.; et al. AspergillusGalactomannan Detection in the Diagnosis of Invasive Aspergillosis in Cancer Patients. J. Clin. Oncol. 2002, 20, 1898–1906. [Google Scholar] [CrossRef]
- Siemann, M.; Koch-Dörfler, M.; Gaude, M. False-positive results in premature infants with the Platelia®Aspergillussandwich enzyme-linked immunosorbent assay. Mycoses 1998, 41, 373–377. [Google Scholar] [CrossRef] [PubMed]
- Mennink-Kersten, M.A.S.H.; Ruegebrink, D.; Klont, R.R.; Warris, A.; Gavini, F.; Camp, H.J.M.O.D.; Verweij, P.E. Bifidobacterial Lipoglycan as a New Cause for False-Positive Platelia Aspergillus Enzyme-Linked Immunosorbent Assay Reactivity. J. Clin. Microbiol. 2005, 43, 3925–3931. [Google Scholar] [CrossRef]
- Viscoli, C.; Machetti, M.; Cappellano, P.; Bucci, B.; Bruzzi, P.; Van Lint, M.T.; Bacigalupo, A. False-Positive Galactomannan PlateliaAspergillusTest Results for Patients Receiving Piperacillin-Tazobactam. Clin. Infect. Dis. 2004, 38, 913–916. [Google Scholar] [CrossRef] [PubMed]
- Liu, W.-D.; Lin, S.-W.; Shih, M.-C.; Su, C.-L.; Wang, Y.-W.; Lee, Y.-F.; Huang, H.-H.; Chou, W.-C.; Wu, U.-I.; Chen, Y.-C.; et al. False-positive Aspergillus galactomannan immunoassays associated with intravenous human immunoglobulin administration. Clin. Microbiol. Infect. 2020. [Google Scholar] [CrossRef]
- Mattei, D.; Rapezzi, D.; Mordini, N.; Cuda, F.; Nigro, C.L.; Musso, M.; Arnelli, A.; Cagnassi, S.; Gallamini, A. False-Positive Aspergillus Galactomannan Enzyme-Linked Immunosorbent Assay Results In Vivo during Amoxicillin-Clavulanic Acid Treatment. J. Clin. Microbiol. 2004, 42, 5362–5363. [Google Scholar] [CrossRef]
- Dalle, F.; Charles, P.E.; Blanc, K.; Caillot, D.; Chavanet, P.; Dromer, F.; Bonnin, A. Cryptococcus neoformans Galactoxylomannan Contains an Epitope(s) That Is Cross-Reactive with Aspergillus Galactomannan. J. Clin. Microbiol. 2005, 43, 2929–2931. [Google Scholar] [CrossRef]
- Metan, G.; Ağkuş, Ç.; Buldu, H.; Koç, A.N. The interaction between piperacillin/tazobactam and assays for Aspergillus galactomannan and 1,3-beta-d-glucan in patients without risk factors for invasive fungal infections. Infection 2010, 38, 217–221. [Google Scholar] [CrossRef] [PubMed]
- Springer, J.; Morton, C.O.; Perry, M.; Heinz, W.J.; Paholcsek, M.; Alzheimer, M.; Rogers, T.; Barnes, R.A.; Einsele, H.; Loeffler, J.; et al. Multicenter Comparison of Serum and Whole-Blood Specimens for Detection of Aspergillus DNA in High-Risk Hematological Patients. J. Clin. Microbiol. 2013, 51, 1445–1450. [Google Scholar] [CrossRef] [PubMed]
- Barnes, R.A.; White, P.L.; Morton, C.O.; Rogers, T.; Cruciani, M.; Loeffler, J.; Donnelly, J.P. Diagnosis of aspergillosis by PCR: Clinical considerations and technical tips. Med. Mycol. 2018, 56, S60–S72. [Google Scholar] [CrossRef]
- Morton, C.O.; Barnes, R.A.; Cuenca-Estrella, M.; Lagrou, K.; Bretagne, S.; Melchers, W.; Caliendo, A.M.; Debets-Ossenkopp, Y.; Gorton, R.; Hagen, F.; et al. Determining the analytical specificity of PCR-based assays for the diagnosis of IA: What is Aspergillus ? Med. Mycol. 2016, 55, 402–413. [Google Scholar] [CrossRef]
- Alanio, A.; Bretagne, S. Performance evaluation of multiplex PCR including Aspergillus—Not so simple! Med. Mycol. 2016, 55, 56–62. [Google Scholar] [CrossRef]
- White, P.L.; Wingard, J.R.; Bretagne, S.; Löffler, J.; Patterson, T.; Slavin, M.; Barnes, R.A.; Pappas, P.G.; Donnelly, J.P. Aspergillus Polymerase Chain Reaction: Systematic Review of Evidence for Clinical Use in Comparison with Antigen Testing. Clin. Infect. Dis. 2015, 61, 1293–1303. [Google Scholar] [CrossRef]
- Costa, C.; Costa, J.-M.; Desterke, C.; Botterel, F.; Cordonnier, C.; Bretagne, S. Real-Time PCR Coupled with Automated DNA Extraction and Detection of Galactomannan Antigen in Serum by Enzyme-Linked Immunosorbent Assay for Diagnosis of Invasive Aspergillosis. J. Clin. Microbiol. 2002, 40, 2224–2227. [Google Scholar] [CrossRef] [PubMed]
- Eigl, S.; Spiess, B.; Heldt, S.; Rabensteiner, J.; Prüller, F.; Flick, H.; Boch, T.; Hoenigl, M.; Prattes, J.; Neumeister, P.; et al. Galactomannan testing and Aspergillus PCR in same-day bronchoalveolar lavage and blood samples for diagnosis of invasive aspergillosis. Med. Mycol. 2016, 55, 528–534. [Google Scholar] [CrossRef]
- Valero, C.; De La Cruz-Villar, L.; Zaragoza, O.; Buitrago, M.J. New Panfungal Real-Time PCR Assay for Diagnosis of Invasive Fungal Infections. J. Clin. Microbiol. 2016, 54, 2910–2918. [Google Scholar] [CrossRef] [PubMed]
- Rickerts, V.; Khot, P.D.; Myerson, D.; Ko, D.L.; Lambrecht, E.; Fredricks, D.N. Comparison of quantitative real time PCR with Sequencing and ribosomal RNA-FISH for the identification of fungi in Formalin fixed, paraffin-embedded tissue specimens. BMC Infect. Dis. 2011, 11, 202. [Google Scholar] [CrossRef]
- Munoz-Cadavid, C.; Rudd, S.; Zaki, S.R.; Patel, M.; Moser, S.A.; Brandt, M.E.; Gómez, B.L. Improving Molecular Detection of Fungal DNA in Formalin-Fixed Paraffin-Embedded Tissues: Comparison of Five Tissue DNA Extraction Methods Using Panfungal PCR. J. Clin. Microbiol. 2010, 48, 2147–2153. [Google Scholar] [CrossRef]
- Lau, A.; Chen, S.; Sorrell, T.C.; Carter, D.A.; Malik, R.; Martin, P.; Halliday, C. Development and Clinical Application of a Panfungal PCR Assay to Detect and Identify Fungal DNA in Tissue Specimens. J. Clin. Microbiol. 2006, 45, 380–385. [Google Scholar] [CrossRef]
- Schoch, C.L.; Seifert, K.; Huhndorf, S.; Robert, V.; Spouge, J.L.; Levesque, C.A.; Chen, W.; Bolchacova, E.; Voigt, K.; Crous, P.W.; et al. Nuclear ribosomal internal transcribed spacer (ITS) region as a universal DNA barcode marker for Fungi. Proc. Natl. Acad. Sci. USA 2012, 109, 6241–6246. [Google Scholar] [CrossRef] [PubMed]
- Hinrikson, H.P.; Hurst, S.F.; Lott, T.J.; Warnock, D.W.; Morrison, C.J. Assessment of Ribosomal Large-Subunit D1-D2, Internal Transcribed Spacer 1, and Internal Transcribed Spacer 2 Regions as Targets for Molecular Identification of Medically Important Aspergillus Species. J. Clin. Microbiol. 2005, 43, 2092–2103. [Google Scholar] [CrossRef] [PubMed]
- Cabaret, O.; Toussain, G.; Abermil, N.; Alsamad, I.A.; Botterel, F.; Costa, J.-M.; Papon, J.; Bretagne, S. Degradation of fungal DNA in formalin-fixed paraffin-embedded sinus fungal balls hampers reliable sequence-based identification of fungi. Med. Mycol. 2011, 49, 329–332. [Google Scholar] [CrossRef][Green Version]
- Flury, B.B.; Weisser, M.; Prince, S.S.; Bubendorf, L.; Battegay, M.; Frei, R.; Goldenberger, D. Performances of two different panfungal PCRs to detect mould DNA in formalin-fixed paraffin-embedded tissue: What are the limiting factors? BMC Infect. Dis. 2014, 14, 692. [Google Scholar] [CrossRef]
- Greninger, A.L.; Naccache, S.N. Metagenomics to Assist in the Diagnosis of Bloodstream Infection. J. Appl. Lab. Med. 2019, 3, 643–653. [Google Scholar] [CrossRef]
- Blauwkamp, T.A.; Thair, S.; Rosen, M.J.; Blair, L.; Lindner, M.S.; Vilfan, I.D.; Kawli, T.; Christians, F.C.; Venkatasubrahmanyam, S.; Wall, G.D.; et al. Analytical and clinical validation of a microbial cell-free DNA sequencing test for infectious disease. Nat. Microbiol. 2019, 4, 663–674. [Google Scholar] [CrossRef] [PubMed]
- Wilson, M.R.; Sample, H.; Zorn, K.C.; Arevalo, S.; Yu, G.; Neuhaus, J.; Federman, S.; Stryke, U.; Briggs, B.; Langelier, C.; et al. Clinical Metagenomic Sequencing for Diagnosis of Meningitis and Encephalitis. N. Engl. J. Med. 2019, 380, 2327–2340. [Google Scholar] [CrossRef]
- Schlaberg, R.; Chiu, C.Y.; Miller, S.; Procop, G.W.; Weinstock, G. Validation of Metagenomic Next-Generation Sequencing Tests for Universal Pathogen Detection. Arch. Pathol. Lab. Med. 2017, 141, 776–786. [Google Scholar] [CrossRef] [PubMed]
- Armstrong, A.E.; Rossoff, J.; Hollemon, D.; Hong, D.K.; Muller, W.J.; Chaudhury, S. Cell-free DNA next-generation sequencing successfully detects infectious pathogens in pediatric oncology and hematopoietic stem cell transplant patients at risk for invasive fungal disease. Pediatr. Blood Cancer 2019, 66, e27734. [Google Scholar] [CrossRef] [PubMed]
- Oechslin, C.P.; Lenz, N.; Liechti, N.; Ryter, S.; Agyeman, P.; Bruggmann, R.; Leib, S.L.; Beuret, C. Limited Correlation of Shotgun Metagenomics Following Host Depletion and Routine Diagnostics for Viruses and Bacteria in Low Concentrated Surrogate and Clinical Samples. Front. Microbiol. 2018, 8, 375. [Google Scholar] [CrossRef]
- Bukowska-Osko, I.; Perlejewski, K.; Nakamura, S.; Motooka, D.; Stokowy, T.; Kosinska, J.; Popiel, M.; Ploski, R.; Horban, A.; Lipowski, D.; et al. Sensitivity of Next-Generation Sequencing Metagenomic Analysis for Detection of RNA and DNA Viruses in Cerebrospinal Fluid: The Confounding Effect of Background Contamination. Adv. Exp. Med. Biol. 2016, 944, 53–62. [Google Scholar] [CrossRef]
- Perlejewski, K.; Bukowska-Ośko, I.; Nakamura, S.; Motooka, D.; Stokowy, T.; Ploski, R.; Rydzanicz, M.; Zakrzewska-Pniewska, B.; Podlecka-Piętowska, A.; Nojszewska, M.; et al. Metagenomic Analysis of Cerebrospinal Fluid from Patients with Multiple Sclerosis. Plant Promot. Transcr. Factors 2016, 935, 89–98. [Google Scholar] [CrossRef]
- Yang, J.; Yang, F.; Ren, L.; Xiong, Z.; Wu, Z.; Dong, J.; Sun, L.; Zhang, T.; Hu, Y.; Du, J.; et al. Unbiased Parallel Detection of Viral Pathogens in Clinical Samples by Use of a Metagenomic Approach. J. Clin. Microbiol. 2011, 49, 3463–3469. [Google Scholar] [CrossRef]
- Hasan, M.R.; Rawat, A.; Tang, P.; Jithesh, P.V.; Thomas, E.; Tan, R.; Tilley, P. Depletion of Human DNA in Spiked Clinical Specimens for Improvement of Sensitivity of Pathogen Detection by Next-Generation Sequencing. J. Clin. Microbiol. 2016, 54, 919–927. [Google Scholar] [CrossRef]
- Thoendel, M.; Jeraldo, P.; Greenwood-Quaintance, K.E.; Yao, J.; Chia, N.; Hanssen, A.D.; Abdel, M.P.; Patel, R. Identification of Prosthetic Joint Infection Pathogens Using a Shotgun Metagenomics Approach. Clin. Infect. Dis. 2018, 67, 1333–1338. [Google Scholar] [CrossRef] [PubMed]
- Laurence, M.; Hatzis, C.; Brash, D.E. Common Contaminants in Next-Generation Sequencing That Hinder Discovery of Low-Abundance Microbes. PLoS ONE 2014, 9, e97876. [Google Scholar] [CrossRef] [PubMed]
- Forbes, J.D.; Knox, N.; Ronholm, J.; Pagotto, F.; Reimer, A. Metagenomics: The Next Culture-Independent Game Changer. Front. Microbiol. 2017, 8, 1069. [Google Scholar] [CrossRef]
- Frickmann, H.; Kuenne, C.; Hagen, R.M.; Podbielski, A.; Normann, J.; Poppert, S.; Looso, M.; Kreikemeyer, B. Next-generation sequencing for hypothesis-free genomic detection of invasive tropical infections in poly-microbially contaminated, formalin-fixed, paraffin-embedded tissue samples—A proof-of-principle assessment. BMC Microbiol. 2019, 19, 75. [Google Scholar] [CrossRef]
- Goldberg, B.; Sichtig, H.; Geyer, C.; Ledeboer, N.; Weinstock, G.M. Making the Leap from Research Laboratory to Clinic: Challenges and Opportunities for Next-Generation Sequencing in Infectious Disease Diagnostics. mBio 2015, 6, e01888-15. [Google Scholar] [CrossRef] [PubMed]
- Lockhart, S.R.; Etienne, K.A.; Vallabhaneni, S.; Farooqi, J.; Chowdhary, A.; Govender, N.P.; Colombo, A.L.; Calvo, B.; Cuomo, C.A.; Desjardins, C.A.; et al. Simultaneous Emergence of Multidrug-Resistant Candida auris on 3 Continents Confirmed by Whole-Genome Sequencing and Epidemiological Analyses. Clin. Infect. Dis. 2016, 64, 134–140. [Google Scholar] [CrossRef]
- Escandon, P.; Chow, N.A.; Cáceres, D.H.; Gade, L.; Berkow, E.L.; Armstrong, P.; Rivera, S.; Misas, E.; Duarte, C.; Moulton-Meissner, H.; et al. Molecular Epidemiology of Candida auris in Colombia Reveals a Highly Related, Countrywide Colonization With Regional Patterns in Amphotericin B Resistance. Clin. Infect. Dis. 2018, 68, 15–21. [Google Scholar] [CrossRef]
- Chowdhary, A.; Prakash, A.; Sharma, C.; Kordalewska, M.; Kumar, A.; Sarma, S.; Tarai, B.; Singh, A.; Upadhyaya, G.; Upadhyay, S.; et al. A multicentre study of antifungal susceptibility patterns among 350 Candida auris isolates (2009–17) in India: Role of the ERG11 and FKS1 genes in azole and echinocandin resistance. J. Antimicrob. Chemother. 2018, 73, 891–899. [Google Scholar] [CrossRef]
- Vesth, T.C.; Nybo, J.; Theobald, S.; Frisvad, J.C.; Larsen, T.O.; Nielsen, K.F.; Hoof, J.B.; Brandl, J.; Salamov, A.A.; Riley, R.; et al. Investigation of inter- and intraspecies variation through genome sequencing of Aspergillus section Nigri. Nat. Genet. 2018, 50, 1688–1695. [Google Scholar] [CrossRef]
- Palanivel, M.; Mac Aogáin, M.; Purbojati, R.W.; Uchida, A.; Aung, N.W.; Lim, S.B.Y.; Putra, A.; Drautz-Moses, D.I.; Seaton, S.; Rogers, T.R.; et al. Whole-Genome Sequencing of Aspergillus terreus Species Complex. Mycopathologia 2020, 185, 405–408. [Google Scholar]
- Takahashi-Nakaguchi, A.; Muraosa, Y.; Hagiwara, D.; Sakai, K.; Toyotome, T.; Watanabe, A.; Kawamoto, S.; Kamei, K.; Gonoi, T.; Takahashi, H. Genome sequence comparison of Aspergillus fumigatus strains isolated from patients with pulmonary aspergilloma and chronic necrotizing pulmonary aspergillosis. Med. Mycol. 2015, 53, 353–360. [Google Scholar] [CrossRef] [PubMed]
- Abdolrasouli, A.; Rhodes, J.; Beale, M.A.; Hagen, F.; Rogers, T.; Chowdhary, A.; Meis, J.F.; Armstrong-James, D.; Fisher, M.C. Genomic Context of Azole Resistance Mutations in Aspergillus fumigatus Determined Using Whole-Genome Sequencing. mBio 2015, 6, e00536-15. [Google Scholar] [CrossRef] [PubMed]
- Mellado, E.; Garcia-Effron, G.; Alcaázar-Fuoli, L.; Melchers, W.J.G.; Verweij, P.E.; Cuenca-Estrella, M.; Rodriíguez-Tudela, J.L. A New Aspergillus fumigatus Resistance Mechanism Conferring In Vitro Cross-Resistance to Azole Antifungals Involves a Combination of cyp51A Alterations. Antimicrob. Agents Chemother. 2007, 51, 1897–1904. [Google Scholar] [CrossRef] [PubMed]
- Wu, C.-J.; Wang, H.-C.; Lee, J.-C.; Lo, H.-J.; Dai, C.-T.; Chou, P.-H.; Ko, W.; Chen, Y.-C. Azole-resistant Aspergillus fumigatus isolates carrying TR34/L98H mutations in Taiwan. Mycoses 2015, 58, 544–549. [Google Scholar] [CrossRef] [PubMed]
- Morio, F.; Dannaoui, E.; Chouaki, T.; Cateau, E.; Malard, O.; Bonfils, P.; Page, C.; Dufour, X.; Cottrel, C.; Erwan, T.; et al. PCR-based detection ofAspergillus fumigatusand absence of azole resistance due to TR34/L98H in a french multicenter cohort of 137 patients with fungal rhinosinusitis. Mycoses 2017, 61, 30–34. [Google Scholar] [CrossRef]
- Mavridou, E.; Meletiadis, J.; Rijs, A.; Mouton, J.W.; Verweij, P.E. The Strength of Synergistic Interaction between Posaconazole and Caspofungin Depends on the Underlying Azole Resistance Mechanism of Aspergillus fumigatus. Antimicrob. Agents Chemother. 2015, 59, 1738–1744. [Google Scholar] [CrossRef][Green Version]
- Hagiwara, D.; Takahashi, H.; Watanabe, A.; Takahashi-Nakaguchi, A.; Kawamoto, S.; Kamei, K.; Gonoi, T. Whole-Genome Comparison of Aspergillus fumigatus Strains Serially Isolated from Patients with Aspergillosis. J. Clin. Microbiol. 2014, 52, 4202–4209. [Google Scholar] [CrossRef]
- Kjærbølling, I.; Vesth, T.C.; Andersen, M.R. Resistance Gene-Directed Genome Mining of 50 Aspergillus Species. mSystems 2019, 4, e00085-19. [Google Scholar] [CrossRef]
- Garcia-Rubio, R.; Monzón, S.; Alcazar-Fuoli, L.; Cuesta, I.; Mellado, E. Genome-Wide Comparative Analysis of Aspergillus fumigatus Strains: The Reference Genome as a Matter of Concern. Genes 2018, 9, 363. [Google Scholar] [CrossRef]
- Verweij, P.E.; Bergh, M.F.Q.V.D.; Rath, P.M.; De Pauw, B.E.; Voss, A.; Meis, J.F. Invasive Aspergillosis Caused by Aspergillus ustus: Case Report and Review. J. Clin. Microbiol. 1999, 37, 1606–1609. [Google Scholar] [CrossRef]
- Panackal, A.A.; Imhof, A.; Hanley, E.W.; Marr, K.A. Aspergillus ustus Infections among Transplant Recipients. Emerg. Infect. Dis. 2006, 12, 403–408. [Google Scholar] [CrossRef]
- Agarwal, R.; Vishwanath, G.; Aggarwal, A.N.; Garg, M.; Gupta, D.; Chakrabarti, A. Itraconazole in chronic cavitary pulmonary aspergillosis: A randomised controlled trial and systematic review of literature. Mycoses 2013, 56, 559–570. [Google Scholar] [CrossRef] [PubMed]
- Beule, K.; Doncker, P.; Cauwenbergh, G.; Koster, M.; Legendre, R.; Blatchford, N.; Daunas, J.; Chwetzoff, E. The Treatment of Aspergillosis and Aspergilloma with Itraconazole, Clinical Results of an Open International Study (1982–1987)/Die Behandlung der Aspergillose und des Aspergilloms mit Itraconazol, Klinische Ergebnisse einer offenen internationalen Studi. Mycoses 2009, 31, 476–485. [Google Scholar] [CrossRef]
- Jain, L.R.; Denning, D. The efficacy and tolerability of voriconazole in the treatment of chronic cavitary pulmonary aspergillosis. J. Infect. 2006, 52, e133–e137. [Google Scholar] [CrossRef] [PubMed]
- Sambatakou, H.; Dupont, B.; Lode, H.; Denning, D.W. Voriconazole Treatment for Subacute Invasive and Chronic Pulmonary Aspergillosis. Am. J. Med. 2006, 119, 527.e17–527.e24. [Google Scholar] [CrossRef] [PubMed]
- Saito, T.; Fujiuchi, S.; Tao, Y.; Sasaki, Y.; Ogawa, K.; Suzuki, K.; Tada, A.; Kuba, M.; Kato, T.; Kawabata, M.; et al. Efficacy and safety of voriconazole in the treatment of chronic pulmonary aspergillosis: Experience in Japan. Infection 2012, 40, 661–667. [Google Scholar] [CrossRef]
- Cucchetto, G.; Cazzadori, A.; Conti, M.; Cascio, G.L.; Braggio, P.; Concia, E. Treatment of chronic pulmonary aspergillosis with voriconazole: Review of a case series. Infection 2014, 43, 277–286. [Google Scholar] [CrossRef]
- Bongomin, F.; Maguire, N.; Moore, C.B.; Felton, T.; Richardson, R.R. Isavuconazole and voriconazole for the treatment of chronic pulmonary aspergillosis: A retrospective comparison of rates of adverse events. Mycoses 2019, 62, 217–222. [Google Scholar] [CrossRef]
- Stevens, D.A. Itraconazole in Cyclodextrin Solution. Pharmacother. J. Hum. Pharmacol. Drug Ther. 1999, 19, 603–611. [Google Scholar] [CrossRef]
- Abuhelwa, A.Y.; Foster, D.J.; Mudge, S.; Hayes, D.; Upton, R.N. Population Pharmacokinetic Modeling of Itraconazole and Hydroxyitraconazole for Oral SUBA-Itraconazole and Sporanox Capsule Formulations in Healthy Subjects in Fed and Fasted States. Antimicrob. Agents Chemother. 2015, 59, 5681–5696. [Google Scholar] [CrossRef]
- Tashiro, M.; Takazono, T.; Saijo, T.; Yamamoto, K.; Imamura, Y.; Miyazaki, T.; Kakeya, H.; Ando, T.; Ogawa, K.; Kishi, K.; et al. Selection of oral antifungals for initial maintenance therapy in chronic pulmonary aspergillosis: A longitudinal analysis. Clin. Infect. Dis. 2019, 70, 835–842. [Google Scholar] [CrossRef] [PubMed]
- Levine, M.T.; Chandrasekar, P.H. Adverse effects of voriconazole: Over a decade of use. Clin. Transplant. 2016, 30, 1377–1386. [Google Scholar] [CrossRef] [PubMed]
- Belga, S.; Macdonald, C.; Kabbani, D.; Roelofs, K.; Hussain, M.W.; Cervera, C. When medicine transforms art. Transpl. Infect. Dis. 2019, 21, e13130. [Google Scholar] [CrossRef] [PubMed]
- Hedrick, J.; Droz, N. Voriconazole-Induced Periostitis. N. Engl. J. Med. 2019, 381, e30. [Google Scholar] [CrossRef] [PubMed]
- Moriyama, B.; Elinoff, J.; Danner, R.L.; Gea-Banacloche, J.; Pennick, G.; Rinaldi, M.G.; Walsh, T.J. Accelerated Metabolism of Voriconazole and Its Partial Reversal by Cimetidine. Antimicrob. Agents Chemother. 2009, 53, 1712–1714. [Google Scholar] [CrossRef]
- Felton, T.; Baxter, C.; Moore, C.B.; Roberts, S.; Hope, W.; Denning, D. Efficacy and Safety of Posaconazole for Chronic Pulmonary Aspergillosis. Clin. Infect. Dis. 2010, 51, 1383–1391. [Google Scholar] [CrossRef] [PubMed]
- Rodriguez-Goncer, I.; Harris, C.; Kosmidis, C.; Muldoon, E.G.; Newton, P.J.; Denning, D. Assessment of posaconazole salvage therapy in chronic pulmonary aspergillosis using predefined response criteria. Int. J. Antimicrob. Agents 2018, 52, 258–264. [Google Scholar] [CrossRef] [PubMed]
- Al-Shair, K.; Atherton, G.T.; Harris, C.; Ratcliffe, L.; Newton, P.J.; Denning, D. Long-term antifungal treatment improves health status in patients with chronic pulmonary aspergillosis: A longitudinal analysis. Clin. Infect. Dis. 2013, 57, 828–835. [Google Scholar] [CrossRef]
- Kosmidis, C.; Rodriguez-Goncer, I.; Richardson, R.R.; Richardson, M.D.; Moore, C.B.; Denning, D. Therapeutic drug monitoring and adverse events of delayed-release posaconazole tablets in patients with chronic pulmonary aspergillosis. J. Antimicrob. Chemother. 2018, 74, 1056–1061. [Google Scholar] [CrossRef]
- Dekkers, B.G.J.; Bakker, M.; Van Der Elst, K.C.M.; Sturkenboom, M.C.J.M.; Veringa, A.; Span, L.; Alffenaar, J.-W.C. Therapeutic Drug Monitoring of Posaconazole: An Update. Curr. Fungal Infect. Rep. 2016, 10, 51–61. [Google Scholar] [CrossRef]
- Pham, A.N.; Bubalo, J.S.; Lewis, J.S. Comparison of posaconazole serum concentrations from haematological cancer patients on posaconazole tablet and oral suspension for treatment and prevention of invasive fungal infections. Mycoses 2016, 59, 226–233. [Google Scholar] [CrossRef] [PubMed]
- Wiederhold, N.P. Pharmacokinetics and safety of posaconazole delayed-release tablets for invasive fungal infections. Clin. Pharmacol. Adv. Appl. 2015, 8, 1–8. [Google Scholar] [CrossRef] [PubMed]
- Guillen-Vera, D.; Ruiz-Ruigómez, M.; García-Moguel, I.; Morales-Ruiz, R.; Corbella, L.; Fernández-Rodríguez, C. Successful Treatment of Chronic Pulmonary Aspergillosis with Isavuconazole. J. Investig. Allergol. Clin. Immunol. 2019, 29, 459–460. [Google Scholar] [CrossRef] [PubMed]
- Maertens, J.A.; Raad, I.I.; Marr, K.A.; Patterson, T.F.; Kontoyiannis, D.P.; Cornely, O.A.; Bow, E.J.; Rahav, G.; Neofytos, D.; Aoun, M.; et al. Isavuconazole versus voriconazole for primary treatment of invasive mould disease caused by Aspergillus and other filamentous fungi (SECURE): A phase 3, randomised-controlled, non-inferiority trial. Lancet 2016, 387, 760–769. [Google Scholar] [CrossRef]
- Wilson, D.; Dimondi, V.; Johnson, S.W.; Jones, T.M.; Drew, R.H. Role of isavuconazole in the treatment of invasive fungal infections. Ther. Clin. Risk Manag. 2016, 12, 1197–1206. [Google Scholar] [CrossRef]
- Kohno, S.; Izumikawa, K.; Ogawa, K.; Kurashima, A.; Okimoto, N.; Amitani, R.; Kakeya, H.; Niki, Y.; Miyazaki, Y. Intravenous micafungin versus voriconazole for chronic pulmonary aspergillosis: A multicenter trial in Japan. J. Infect. 2010, 61, 410–418. [Google Scholar] [CrossRef]
- Osborne, W.; Fernandes, M.; Brooks, S.; Grist, E.; Sayer, C.; Hansell, D.M.; Wilson, R.; Shah, A.; Loebinger, M.R. Pulsed echinocandin therapy in azole intolerant or multiresistant chronic pulmonary aspergillosis: A retrospective review at a UK tertiary centre. Clin. Respir. J. 2020, 14, 571–577. [Google Scholar] [CrossRef]
- Keir, G.J.; Garfield, B.; Hansell, D.; Loebinger, M.; Wilson, R.; Renzoni, E.; Wells, A.U.; Maher, T.M. Cyclical caspofungin for chronic pulmonary aspergillosis in sarcoidosis. Thorax 2013, 69, 287–288. [Google Scholar] [CrossRef] [PubMed]
- Kohno, S.; Izumikawa, K.; Yoshida, M.; Takesue, Y.; Oka, S.; Kamei, K.; Miyazaki, Y.; Yoshinari, T.; Kartsonis, N.A.; Niki, Y. A double-blind comparative study of the safety and efficacy of caspofungin versus micafungin in the treatment of candidiasis and aspergillosis. Eur. J. Clin. Microbiol. Infect. Dis. 2012, 32, 387–397. [Google Scholar] [CrossRef]
- Lewis, R.E. Current Concepts in Antifungal Pharmacology. Mayo Clin. Proc. 2011, 86, 805–817. [Google Scholar] [CrossRef]
- Newton, P.J.; Harris, C.; Morris, J.; Denning, D. Impact of liposomal amphotericin B therapy on chronic pulmonary aspergillosis. J. Infect. 2016, 73, 485–495. [Google Scholar] [CrossRef] [PubMed]
- Nam, H.-S.; Jeon, K.; Um, S.-W.; Suh, G.Y.; Chung, K.S.; Kim, H.; Kwon, O.; Koh, W.-J. Clinical characteristics and treatment outcomes of chronic necrotizing pulmonary aspergillosis: A review of 43 cases. Int. J. Infect. Dis. 2010, 14, e479–e482. [Google Scholar] [CrossRef] [PubMed]
- Martin-Pena, A.; Aguilar-Guisado, M.; Espigado, I.; Cisneros, J.M. Antifungal Combination Therapy for Invasive Aspergillosis. Clin. Infect. Dis. 2014, 59, 1437–1445. [Google Scholar] [CrossRef]
- Steinbach, W.J.; Stevens, D.A.; Denning, D.W. Combination and Sequential Antifungal Therapy for Invasive Aspergillosis: Review of Published In Vitro and In Vivo Interactions and 6281 Clinical Cases from 1966 to 2001. Clin. Infect. Dis. 2003, 37. [Google Scholar] [CrossRef]
- Rumbak, M.; Kohler, G.; Eastrige, C.; Winer-Muram, H.; Gavant, M. Topical treatment of life threatening haemoptysis from aspergillomas. Thorax 1996, 51, 253–255. [Google Scholar] [CrossRef]
- Kravitz, J.N.; Berry, M.W.; Schabel, S.I.; Hudson, M.A. A Modern Series of Percutaneous Intracavitary Instillation of Amphotericin B for the Treatment of Severe Hemoptysis from Pulmonary Aspergilloma. Chest 2013, 143, 1414–1421. [Google Scholar] [CrossRef]
- Giron, J.; Poey, C.; Fajadet, P.; Sans, N.; Fourcade, D.; Senac, J.P.; Railhac, J.J. CT-guided percutaneous treatment of inoperable pulmonary aspergillomas: A study of 40 cases. Eur. J. Radiol. 1998, 28, 235–242. [Google Scholar] [CrossRef]
- Yamada, H.; Kohno, S.; Koga, H.; Maesaki, S.; Kaku, M. Topical Treatment of Pulmonary Aspergilloma by Antifungals. Chest 1993, 103, 1421–1425. [Google Scholar] [CrossRef]
- Hargis, J.L.; Bone, R.C.; Stewart, J.; Rector, N.; Hiller, F. Intracavitary amphotericin B in the treatment of symptomatic pulmonary aspergillomas. Am. J. Med. 1980, 68, 389–394. [Google Scholar] [CrossRef]
- Lee, K.S.; Kim, H.T.; Kim, Y.H.; Choe, K.O. Treatment of hemoptysis in patients with cavitary aspergilloma of the lung: Value of percutaneous instillation of amphotericin B. Am. J. Roentgenol. 1993, 161, 727–731. [Google Scholar] [CrossRef][Green Version]
- Munk, P.L.; Vellet, A.D.; Rankin, R.N.; Muller, N.L.; Ahmad, D. Intracavitary aspergilloma: Transthoracic percutaneous injection of amphotericin gelatin solution. Radiology 1993, 188, 821–823. [Google Scholar] [CrossRef]
- Jackson, M.; Flower, C.D.; Shneerson, J.M. Treatment of symptomatic pulmonary aspergillomas with intracavitary instillation of amphotericin B through an indwelling catheter. Thorax 1993, 48, 928–930. [Google Scholar] [CrossRef][Green Version]
- Krakowka, P.; Traczyk, K.; Walczak, J.; Halweg, H.; Elsner, Z.; Pawlicka, L. Local treatment of aspergilloma of the lung with a paste containing nystatin or amphotericin B. Tubercle 1970, 51, 184–191. [Google Scholar] [CrossRef]
- McCarthy, M.W.; Kontoyiannis, D.P.; Cornely, O.A.; Perfect, J.R.; Walsh, T.J. Novel Agents and Drug Targets to Meet the Challenges of Resistant Fungi. J. Infect. Dis. 2017, 216, S474–S483. [Google Scholar] [CrossRef]
- Thompson, G.R.; Patterson, T. Novel approaches to antifungal therapy. Arab. Archaeol. Epigr. 2018, 18, 287–288. [Google Scholar] [CrossRef] [PubMed]
- Oliver, J.; Sibley, G.E.M.; Beckmann, N.; Dobb, K.S.; Slater, M.J.; McEntee, L.; Du Pré, S.; Livermore, J.; Bromley, M.J.; Wiederhold, N.P.; et al. F901318 represents a novel class of antifungal drug that inhibits dihydroorotate dehydrogenase. Proc. Natl. Acad. Sci. USA 2016, 113, 12809–12814. [Google Scholar] [CrossRef] [PubMed]
- Wiederhold, N.P. The antifungal arsenal: Alternative drugs and future targets. Int. J. Antimicrob. Agents 2017, 51, 333–339. [Google Scholar] [CrossRef]
- Du Pré, S.; Beckmann, N.; Almeida, M.C.; Sibley, G.E.M.; Law, D.; Brand, A.C.; Birch, M.; Read, N.D.; Oliver, J.D. Effect of the Novel Antifungal Drug F901318 (Olorofim) on Growth and Viability ofAspergillus fumigatus. Antimicrob. Agents Chemother. 2018, 62, AAC.0023-18. [Google Scholar] [CrossRef]
- Rauseo, A.M.; Coler-Reilly, A.; Larson, L.; Spec, A. Hope on the Horizon: Novel Fungal Treatments in Development. Open Forum Infect. Dis. 2020, 7, ofaa016. [Google Scholar] [CrossRef]
- Rafferty, P.; Biggs, B.-A.; Crompton, G.K.; Grant, I.W. What happens to patients with pulmonary aspergilloma? Analysis of 23 cases. Thorax 1983, 38, 579–583. [Google Scholar] [CrossRef]
- Hafeez, I.; Muers, M.F.; Murphy, S.; Evans, E.G.V.; Barton, R.C.; McWhinney, P. Non-tuberculous mycobacterial lung infection complicated by chronic necrotising pulmonary aspergillosis. Thorax 2000, 55, 717–719. [Google Scholar] [CrossRef] [PubMed]
- Kelleher, P.; Goodsall, A.; Mulgirigama, A.; Kunst, H.; Henderson, D.C.; Wilson, R.; Newman-Taylor, A.; Levin, M. Interferon- therapy in two patients with progressive chronic pulmonary aspergillosis. Eur. Respir. J. 2006, 27, 1307–1310. [Google Scholar] [CrossRef]
- Monk, E.J.M.; Harris, C.; Döffinger, R.; Hayes, G.; Denning, D.W.; Kosmidis, C. Interferon gamma replacement as salvage therapy in chronic pulmonary aspergillosis: Effects on frequency of acute exacerbation and all-cause hospital admission. Thorax 2020, 75, 513–516. [Google Scholar] [CrossRef] [PubMed]
- Armstrong-James, D.; Brown, G.D.; Netea, M.G.; Zelante, T.; Gresnigt, M.; Van De Veerdonk, F.L.; Levitz, S.M. Immunotherapeutic approaches to treatment of fungal diseases. Lancet Infect. Dis. 2017, 17, e393–e402. [Google Scholar] [CrossRef]
- Osherov, N.; Kontoyiannis, D.P. The anti-Aspergillusdrug pipeline: Is the glass half full or empty? Med Mycol. 2016, 55, 118–124. [Google Scholar] [CrossRef] [PubMed][Green Version]
- Kumaresan, P.R.; Da Silva, T.A.; Kontoyiannis, D.P. Methods of Controlling Invasive Fungal Infections Using CD8+ T Cells. Front. Immunol. 2018, 8, 8. [Google Scholar] [CrossRef] [PubMed]
- Prutsky, G.; Salazar, C.; Accinelli, R. Antifibrinolytic therapy to reduce haemoptysis from any cause. Cochrane Database Syst. Rev. 2012. [Google Scholar] [CrossRef]
- Moen, C.A.; Burrell, A.; Dunning, J. Does tranexamic acid stop haemoptysis? Interact. Cardiovasc. Thorac. Surg. 2013, 17, 991–994. [Google Scholar] [CrossRef]
- Oda, N.; Sakugawa, M.; Hosokawa, S.; Fukamatsu, N.; Bessho, A. Successful Long-term Management of Two Cases of Moderate Hemoptysis Due to Chronic Cavitary Pulmonary Aspergillosis with Bronchial Occlusion Using Silicone Spigots. Intern. Med. 2018, 57, 2389–2393. [Google Scholar] [CrossRef]
- He, B.; Wan, C.; Zhou, W.; Rui, Y.; Shi, Y.; Su, X. Clinical profile and surgical outcome for different types of chronic pulmonary aspergillosis. Am. J. Transl. Res 2019, 11, 3671–3679. [Google Scholar]
- Muniappan, A.; Tapias, L.F.; Butala, P.; Wain, J.; Wright, C.D.; Donahue, D.M.; Gaissert, H.A.; Lanuti, M.; Mathisen, D.J. Surgical Therapy of Pulmonary Aspergillomas: A 30-Year North American Experience. Ann. Thorac. Surg. 2014, 97, 432–438. [Google Scholar] [CrossRef] [PubMed]
- Kim, Y.T.; Kang, M.C.; Sung, S.W.; Kim, J.H. Good Long-Term Outcomes After Surgical Treatment of Simple and Complex Pulmonary Aspergilloma. Ann. Thorac. Surg. 2005, 79, 294–298. [Google Scholar] [CrossRef] [PubMed]
- Akbari, J.G.; Varma, P.K.; Neema, P.K.; Menon, M.U.; Neelakandhan, K.S. Clinical Profile and Surgical Outcome for Pulmonary Aspergilloma: A Single Center Experience. Ann. Thorac. Surg. 2005, 80, 1067–1072. [Google Scholar] [CrossRef] [PubMed]
- Farid, S.; Mohamed, S.; Devbhandari, M.P.; Kneale, M.; Richardson, R.R.; Soon, S.Y.; Jones, M.; Krysiak, P.; Shah, R.; Denning, D.; et al. Results of surgery for chronic pulmonary Aspergillosis, optimal antifungal therapy and proposed high risk factors for recurrence-a National Centre’s experience. J. Cardiothorac. Surg. 2013, 8, 180. [Google Scholar] [CrossRef]
- Setianingrum, F.; Rautemaa-Richardson, R.; Shah, R.; Denning, D.W. Clinical outcomes of patients with chronic pulmonary aspergillosis managed surgically. Eur. J. Cardio-Thorac. Surg. 2020. [Google Scholar] [CrossRef]
- Chen, Q.-K.; Chen, C.; Chen, X.-F.; Jiang, G.-N. Video-Assisted Thoracic Surgery for Pulmonary Aspergilloma: A Safe and Effective Procedure. Ann. Thorac. Surg. 2014, 97, 218–223. [Google Scholar] [CrossRef] [PubMed]
- Koyama, K.; Ohshima, N.; Suzuki, J.; Kawashima, M.; Takeda, K.; Ando, T.; Sato, R.; Nagai, H.; Matsui, H.; Ohta, K. Recurrence of chronic pulmonary aspergillosis after discontinuation of maintenance treatment by antifungal triazoles. J. Infect. Chemother. 2014, 20, 375–379. [Google Scholar] [CrossRef]
- Lowes, D.; Al-Shair, K.; Newton, P.J.; Morris, J.; Harris, C.; Richardson, R.R.; Denning, D. Predictors of mortality in chronic pulmonary aspergillosis. Eur. Respir. J. 2016, 49, 1601062. [Google Scholar] [CrossRef]
- Ohba, H.; Miwa, S.; Shirai, M.; Kanai, M.; Eifuku, T.; Suda, T.; Hayakawa, H.; Chida, K. Clinical characteristics and prognosis of chronic pulmonary aspergillosis. Respir. Med. 2012, 106, 724–729. [Google Scholar] [CrossRef]
- Aguilar-Company, J.; Martín, M.T.; Goterris, L.; Martinez-Marti, A.; Sampol, J.; Roldán, E.; Almirante, B.; Ruiz-Camps, I. Chronic pulmonary aspergillosis in a tertiary care centre in Spain: A retrospective, observational study. Mycoses 2019, 62, 765–772. [Google Scholar] [CrossRef]
- Kosmidis, C.; Newton, P.; Muldoon, E.G.; Denning, D. Chronic fibrosing pulmonary aspergillosis: A cause of ‘destroyed lung’ syndrome. Infect. Dis. 2016, 49, 1–6. [Google Scholar] [CrossRef] [PubMed]





| Disease | Radiographic | Laboratory | Clinical |
|---|---|---|---|
| Simple aspergilloma |
| Serological or microbiological evidence of Aspergillus spp. | Minor or no symptoms |
| Aspergillus nodule |
| Serological or microbiological evidence of Aspergillus May resemble other infection or neoplasm, definitive diagnosis by histopathology | Minor or no symptoms |
| Chronic cavitary pulmonary aspergillosis (CCPA) |
| Serological or microbiological evidence of Aspergillus spp. Aspergillus IgG positive | Significant cough, hemoptysis, fatigue, or weight loss |
| Chronic fibrosing pulmonary aspergillosis (CFPA) |
| Serological or microbiological evidence of Aspergillus spp. Aspergillus IgG positive | Significant pulmonary and systemic complaints Decline in lung function |
| Subacute invasive aspergillosis (SAIA) |
| Serological or microbiological evidence of Aspergillus spp. Positive Aspergillus galactomannan (blood or BAL) Histopathology: hyphae with tissue invasion | Occurs in mildly immunocompromised patients Weight loss, cough, hemoptysis, fever |
| Species | Macroscopic Morphology | Microscopic Morphology |
|---|---|---|
| A. fumigatus |
|
|
| A. niger |
|
|
| A. flavus |
|
|
| A. terreus |
|
|
| A. nidulans |
|
|
| A. versicolor |
|
|
| A. sydowii |
|
|
| A. ustus |
|
|
© 2020 by the authors. Licensee MDPI, Basel, Switzerland. This article is an open access article distributed under the terms and conditions of the Creative Commons Attribution (CC BY) license (http://creativecommons.org/licenses/by/4.0/).
Share and Cite
Larkin, P.M.K.; Multani, A.; Beaird, O.E.; Dayo, A.J.; Fishbein, G.A.; Yang, S. A Collaborative Tale of Diagnosing and Treating Chronic Pulmonary Aspergillosis, from the Perspectives of Clinical Microbiologists, Surgical Pathologists, and Infectious Disease Clinicians. J. Fungi 2020, 6, 106. https://doi.org/10.3390/jof6030106
Larkin PMK, Multani A, Beaird OE, Dayo AJ, Fishbein GA, Yang S. A Collaborative Tale of Diagnosing and Treating Chronic Pulmonary Aspergillosis, from the Perspectives of Clinical Microbiologists, Surgical Pathologists, and Infectious Disease Clinicians. Journal of Fungi. 2020; 6(3):106. https://doi.org/10.3390/jof6030106
Chicago/Turabian StyleLarkin, Paige M. K., Ashrit Multani, Omer E. Beaird, Ayrton J. Dayo, Gregory A. Fishbein, and Shangxin Yang. 2020. "A Collaborative Tale of Diagnosing and Treating Chronic Pulmonary Aspergillosis, from the Perspectives of Clinical Microbiologists, Surgical Pathologists, and Infectious Disease Clinicians" Journal of Fungi 6, no. 3: 106. https://doi.org/10.3390/jof6030106
APA StyleLarkin, P. M. K., Multani, A., Beaird, O. E., Dayo, A. J., Fishbein, G. A., & Yang, S. (2020). A Collaborative Tale of Diagnosing and Treating Chronic Pulmonary Aspergillosis, from the Perspectives of Clinical Microbiologists, Surgical Pathologists, and Infectious Disease Clinicians. Journal of Fungi, 6(3), 106. https://doi.org/10.3390/jof6030106

