A Universally Primed-Polymerase Chain Reaction (UP-PCR) Marker to Discriminate Clonostachys rosea ACM941 from Related Strains
Abstract
:1. Introduction
2. Methods and Materials
2.1. Strains
2.2. Genomic Ribosomal RNA-Encoding DNA Amplification and Sequencing
2.3. UP-PCR Amplification and Sequencing
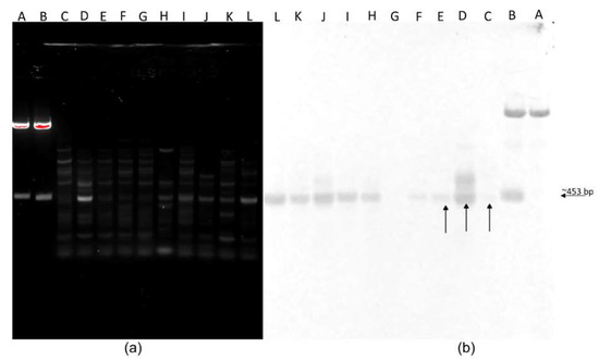
2.4. ACM941 SCAR Specific Probe Development and Southern Blotting
3. Results
3.1. Nuclear Encoded Ribosomal RNA Gene Amplification and Analysis
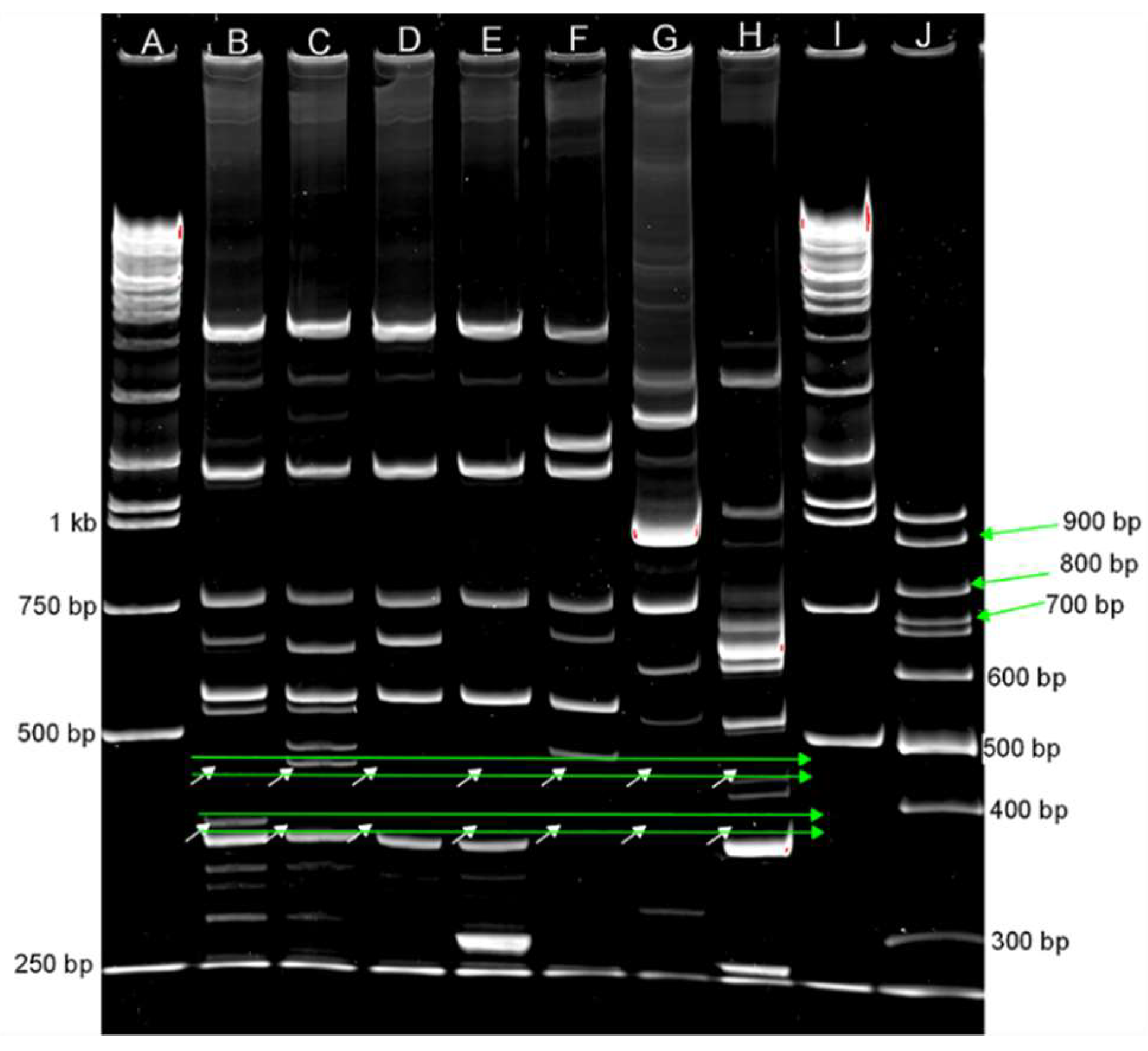
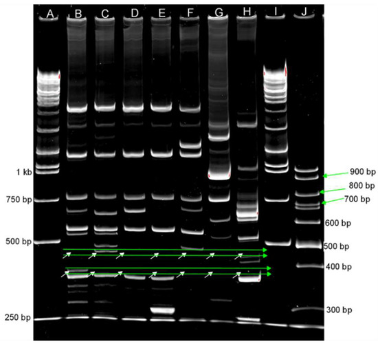
3.2. UP-PCR Markers Distinguishing C. rosea Strain ACM941 from 88-710
4. Discussion
5. Conclusions
Supplementary Materials
Author Contributions
Funding
Acknowledgments
Conflicts of Interest
References
- Coskun, D.; Britto, D.T.; Shi, W.; Kronzucker, H.J. Nitrogen transformations in modern agriculture and the role of biological nitrification inhibition. Nat. Plants 2017, 3, 17074. [Google Scholar] [CrossRef]
- Godfray, H.C.J.; Beddington, J.R.; Crute, I.R.; Haddad, L.; Lawrence, D.; Muir, J.F.; Pretty, J.; Robinson, S.; Thomas, S.M.; Toulmin, C. Food security: The challenge of feeding 9 billion people. Science 2010, 327, 812–818. [Google Scholar] [CrossRef]
- Brown, W.G. Clonostachys rosea Inoculated Plant Materials with Fungicides and Adjuvants. U.S. Patent Application 20160007613A1, 14 January 2016. [Google Scholar]
- Brown, W.G. Clonostachys rosea Inoculated Plant Materials with Fungicides and Adjuvants. U.S. Patent Number US9,603,369B2, 28 March 2017. [Google Scholar]
- Stewart, J.F.; Brown, W.G. Production and Use of Endophytes as Novel Inoculants for Promoting Enhanced Plant Vigor, Health, Growth, Yield Reducing Environmental Stress and for Reducing Dependency on Chemical Pesticides for Pest Control. U.S. Patent Publication of EP2001821A1, 17 December 2012. [Google Scholar]
- Tahvonen, R.T.; Keskinen, M.T.; Lahdenpera, M.-L.; Seiskari, P.T.; Teperi, E.P.; Tuominen, U.A.; Avikainen, H.H. Fungus Gliocladium catenulatum for Biological Control of Plant Diseases. U.S. Patent 5968504, 19 October 1999. [Google Scholar]
- Hue, A.G.; Voldeng, H.D.; Savard, M.E.; Fedak, G.; Tian, X.; Hsiang, T. Biological control of fusarium head blight of wheat with Clonostachys rosea strain ACM941. Can. J. Plant Pathol. 2009, 31, 169–179. [Google Scholar] [CrossRef]
- Xue, A.; Chen, Y.; Voldeng, H.; Savard, M.; Tian, X. Biological control of Fusarium head blight of wheat with Clonostachys rosea strain ACM941. Cereal Res. Commun. 2008, 36, 695–699. [Google Scholar] [CrossRef]
- Xue, A.G.; Chen, Y.; Voldeng, H.D.; Fedak, G.; Savard, M.E.; Längle, T.; Zhang, J.; Harman, G.E. Concentration and cultivar effects on efficacy of CLO-1 biofungicide in controlling Fusarium head blight of wheat. Biol. Control 2014, 73, 2–7. [Google Scholar] [CrossRef]
- Badotti, F.; de Oliveira, F.S.; Garcia, C.F.; Vaz, A.B.M.; Fonseca, P.L.C.; Nahum, L.A.; Oliveira, G.; Góes-Neto, A. Effectiveness of ITS and sub-regions as DNA barcode markers for the identification of Basidiomycota (Fungi). BMC Microbiol. 2017, 17, 42. [Google Scholar] [CrossRef] [PubMed]
- Abbasi, P.A.; Miller, S.A.; Meulia, T.; Hoitink, H.A.; Kim, J.-M. Precise detection and tracing of Trichoderma hamatum 382 in compost-amended potting mixes by using molecular markers. Appl Environ. Microbiol. 1999, 65, 5421–5426. [Google Scholar]
- Bulat, S.A.; Lübeck, M.; Alekhina, I.A.; Jensen, D.F.; Knudsen, I.M.; Lübeck, P.S. Identification of a universally primed-PCR-derived sequence-characterized amplified region marker for an antagonistic strain of Clonostachys rosea and development of a strain-specific PCR detection assay. Appl. Environ. Microbiol. 2000, 66, 4758–4763. [Google Scholar] [CrossRef]
- Paavanen-Huhtala, S.; Avikainen, H.; Yli-Mattila, T. Development of strain-specific primers for a strain of Gliocladium catenulatum used in biological control. Eur. J. Plant Pathol. 2000, 106, 187–198. [Google Scholar] [CrossRef]
- Bruns, T.D.; White, T.J.; Taylor, J.W. Fungal Molecular Systematics. Annu. Rev. Ecol. Syst. 1991, 22, 525–564. [Google Scholar] [CrossRef]
- White, T.J.; Bruns, T.D.; Lee, S.; Taylor, J.W. Ampli¢cation and direct sequencing of fungal ribosomal RNA genes for phylogenetics. In PCR Protocols: A Guide to Methods and Applications; Innis, M., Gelfand, D.H., Sninsky, J.J., White, T.J., Eds.; Academic Press: San Diego, CA, USA, 1990; pp. 315–322. [Google Scholar]
- Vilgalys, R. Genetic relatedness among anastomosis groups in Rhizoctonia as measured by DNA/DNA hybridization. Phytopathology 1988, 78, 698–702. [Google Scholar] [CrossRef]
- Bulat, S.A.; Lübeck, M.; Mironenko, N.; Jensen, D.F.; Lübeck, P.S. UP-PCR analysis and ITS1 ribotyping of strains of Trichoderma and Gliocladium. Mycol. Res. 1998, 102, 933–943. [Google Scholar] [CrossRef]
- Bulat, S.A.; Mironenko, N.V. Identification of fungi and analysis of their genetic diversity by polymerase chain reaction (PCR) with gene specific and nonspecific primers. Russ. J. Genet. 1996, 32, 143–159. [Google Scholar]
- Lubeck, M.; Alekhina, I.; Lübeck, P.S.; Jensen, D.F.; Bulat, S.A. Delineation of Trichoderma harzianum Rifai into two different genotypic groups by a highly robust fingerprinting method, UP-PCR, and UP-PCR product cross-hybridisation. Mycol. Res. 1999, 103, 289–298. [Google Scholar] [CrossRef]
- Hill, J.E.; Town, J.R.; Hemmingsen, S.M. Improved template representation in cpn60 polymerase chain reaction (PCR) product libraries generated from complex templates by application of a specific mixture of PCR primers. Environ. Microbiol. 2006, 8, 741–746. [Google Scholar] [CrossRef]
- Sambrook, J.; Russell, D.W. Isolation of DNA fragments from polyacrylamide gels by the crush and soak method. CSH Protoc. 2006, 2006. [Google Scholar] [CrossRef]
- Karlsson, M.; Durling, M.B.; Choi, J.; Kosawang, C.; Lackner, G.; Tzelepis, G.D.; Nygren, K.; Dubey, M.K.; Kamou, N.; Levasseur, A.; et al. Insights on the Evolution of Mycoparasitism from the Genome of Clonostachys rosea. Genome Biol. Evol. 2015, 7, 465–480. [Google Scholar] [CrossRef]
- van der Aa Kühle, A.; Jespersen, L. The taxonomic position of Saccharomyces boulardii as evaluated by sequence analysis of the D1/D2 domain of 26S rDNA, the ITS1-5.8S rDNA-ITS2 region and the mitochondrial cytochrome-c oxidase II gene. Syst. Appl. Microbiol. 2003, 26, 564–571. [Google Scholar] [CrossRef]
- Ling, L.L.; Schneider, T.; Peoples, A.J.; Spoering, A.L.; Engels, I.; Conlon, B.P.; Mueller, A.; Schäberle, T.F.; Hughes, D.E.; Epstein, S.; et al. A new antibiotic kills pathogens without detectable resistance. Nature 2015, 517, 455–459. [Google Scholar] [CrossRef] [PubMed]
- Hibbett, D.S.; Taylor, J.W. Fungal systematics: Is a new age of enlightenment at hand? Nat. Rev. Microbiol. 2013, 11, 129. [Google Scholar] [CrossRef]
- Bulat, S.A.; Kobaev, O.K.; Mironenko, N.V.; Ibatullin, F.M.; Luchkina, L.A.; Suslov, A.V. Polymerase chain reaction with universal primers for studying genomes. Genetika 1992, 28, 19–28. [Google Scholar] [PubMed]
- Demissie, Z.A.; Foote, S.J.; Tan, Y.; Loewen, M.C. Profiling of the transcriptomic responses of Clonostachys rosea upon treatment with Fusarium graminearum secretome. Front. Microbiol. 2018, 9, 1061. [Google Scholar] [CrossRef] [PubMed]



| Genus | Strain/Isolate | Source |
|---|---|---|
| C. rosea | ACM941 | Adjuvant Plus Inc. (Kingsville, ON) |
| C. rosea | 88-710 | Adjuvant Plus Inc. (Kingsville, ON) |
| C. rosea | J1446 | Adjuvant Plus Inc. (Kingsville, ON) |
| C. rosea | DAOM175083 | Canadian Collection of Fungal Cultures (DAOMC) (Ottawa, Canada) |
| C. rosea | DAOMC214828 | Canadian Collection of Fungal Cultures (DAOMC) (Ottawa, Canada) |
| C. rosea | DAOMC174998 | Canadian Collection of Fungal Cultures (DAOMC) (Ottawa, Canada) |
| C. rosea | DAOMC144742 | Canadian Collection of Fungal Cultures (DAOMC) (Ottawa, Canada) |
| C. rosea | DAOMC186891 | Canadian Collection of Fungal Cultures (DAOMC) (Ottawa, Canada) |
| C. rosea | DAOMC39046 | Canadian Collection of Fungal Cultures (DAOMC) (Ottawa, Canada) |
| C. rosea | DAOMC250202 | Canadian Collection of Fungal Cultures (DAOMC) (Ottawa, Canada) |
| C. rosea | DAOMC250197 | Canadian Collection of Fungal Cultures (DAOMC) (Ottawa, Canada) |
| C. rosea | DAOMC250196 | Canadian Collection of Fungal Cultures (DAOMC) (Ottawa, Canada) |
| C. rosea | DAOMC226796 | Canadian Collection of Fungal Cultures (DAOMC) (Ottawa, Canada) |
| C. rosea | DAOMC251432 | Canadian Collection of Fungal Cultures (DAOMC) (Ottawa, Canada) |
| C. rosea | DAOMC238388 | Canadian Collection of Fungal Cultures (DAOMC) (Ottawa, Canada) |
| C. rosea | DAOMC238301 | Canadian Collection of Fungal Cultures (DAOMC) (Ottawa, Canada) |
| C. rosea | DAOM175083 | Allen Xue’s Lab—Ottawa Center for Research and Development (ON) |
| C. rosea | DAOM214828 | Allen Xue’s Lab—Ottawa Center for Research and Development (ON) |
| T. citrinoviride | Tricho.12 | Allen Xue’s Lab—Ottawa Center for Research and Development (ON) |
| T. harzianum | Tricho.18 | Allen Xue’s Lab—Ottawa Center for Research and Development (ON) |
| Primer | Sequence (5’ to 3’) | Length (bp) | Reference |
|---|---|---|---|
| rRNA | |||
| ITS1 | TCCGTAGGTGAACCTGCGG | 19 | [15] |
| ITS4 | TCCTCCGCTTATTGATATGC | 20 | [15] |
| LR7 | TACTACCACCAAGATCT | 17 | [16] |
| NL-4 | GGTCCGTGTTTCAAGACGG | 19 | [16] |
| LR0R | ACCCGCTGAACTTAAGC | 17 | [16] |
| LR5 | TCCTGAGGGAAACTTCG | 17 | [16] |
| LR3R | GTCTTGAAACACGGACC | 17 | [16] |
| ITS1-X | TGAACCTGCGGAAGGATCATT | 21 | [17] |
| ITS1-Y | GCATTTCGCTGCGTTCTTCAT | 21 | [17] |
| UP-PCR | |||
| AS4 | TGTGGGCGCTCGACAC | 16 | [12] |
| AS15 | GGCTAAGCGGTCGTTAC | 17 | [12] |
| AS15inv | CATTGCTGGCGAATCGG | 17 | [12] |
| AA2M2 | CTGCGACCCAGAGCGG | 16 | [12] |
| Fok1a | GGATGACCCACCTCCTAC | 18 | [12] |
| L21 | GGATCCGAGGGTGGCGGTTCT | 21 | [12] |
| M | TAAGGGCGGTGCCAGT | 16 | [12] |
| L45 | GTAAAACGACGGCCAGT | 17 | [18] |
| L15/AS19 | GAGGGTGGCGGCTAG | 15 | [19] |
| SCAR-2 | |||
| ACM941-F | TGGATCCGAGGGTGGCGGTTCTA | 23 | This study |
| ACM941-R | TGGCTAAGCGGTCGTTACTACCAAAGATCC | 30 | This study |
| Cpn60 | |||
| M13F40 | GAIIIIGCIGGIGAYGGIACIACIAC/YKIYKITCICCRAAICCIGGIGCYTT | [20] | |
| M13r48 | GAIIIIGCIGGYGACGGYACSACSAC/CGRCGRTCRCCGAAGCCSGGIGCCTT | [20] | |
| Accession Number | Strain | rRNA Region | Sequencing Primers |
|---|---|---|---|
| MK391601 | ACM941 | Partial D1/D2 region; 28S ribosomal RNA gene partial sequence | NL-4, LR3R, LR0R, LR5 |
| MK391602 | 88-710 | Partial D1/D2 region; 28S ribosomal RNA gene partial sequence | NL-4, LR3R, LR0R, LR5 |
| MK411420 | ACM941 | ITS-1 and ITS-2 partial and 5.8S complete rRNA sequences | ITS1, ITS4 |
| MK411421 | 88-710 | ITS-1 and ITS-2 partial and 5.8S complete rRNA sequences | ITS1, ITS4 |
© 2019 by the authors. Licensee MDPI, Basel, Switzerland. This article is an open access article distributed under the terms and conditions of the Creative Commons Attribution (CC BY) license (http://creativecommons.org/licenses/by/4.0/).
Share and Cite
Demissie, Z.A.; Brown, W.G.; Loewen, M.C. A Universally Primed-Polymerase Chain Reaction (UP-PCR) Marker to Discriminate Clonostachys rosea ACM941 from Related Strains. J. Fungi 2019, 5, 39. https://doi.org/10.3390/jof5020039
Demissie ZA, Brown WG, Loewen MC. A Universally Primed-Polymerase Chain Reaction (UP-PCR) Marker to Discriminate Clonostachys rosea ACM941 from Related Strains. Journal of Fungi. 2019; 5(2):39. https://doi.org/10.3390/jof5020039
Chicago/Turabian StyleDemissie, Zerihun A., William G. Brown, and Michele C. Loewen. 2019. "A Universally Primed-Polymerase Chain Reaction (UP-PCR) Marker to Discriminate Clonostachys rosea ACM941 from Related Strains" Journal of Fungi 5, no. 2: 39. https://doi.org/10.3390/jof5020039
APA StyleDemissie, Z. A., Brown, W. G., & Loewen, M. C. (2019). A Universally Primed-Polymerase Chain Reaction (UP-PCR) Marker to Discriminate Clonostachys rosea ACM941 from Related Strains. Journal of Fungi, 5(2), 39. https://doi.org/10.3390/jof5020039
