Construction of Overexpression Vector with TYR7523 Gene and Its Effect on Browning in Macrocybe gigantea
Abstract
1. Introduction
2. Materials and Methods
2.1. Materials
2.1.1. Test Strain
2.1.2. Reagents and Primers
2.1.3. Culture Medium
2.2. Cloning of gpd Promoter and TYR7523 Gene
2.3. Construction of TYR7523 Gene Overexpression Vector
2.4. Agrobacterium-Mediated Genetic Transformation
2.5. Identification of Transformants
2.6. Comparison of Mycelial Growth Rate and Fruiting Body Yield
2.7. Determination of Browning Degree and Tyrosinase Activity of the Starting Strain and Overexpressing Strain of Macrocybe gigantea
2.8. Measurement of Other Enzyme Activity Indicators
3. Results and Analysis
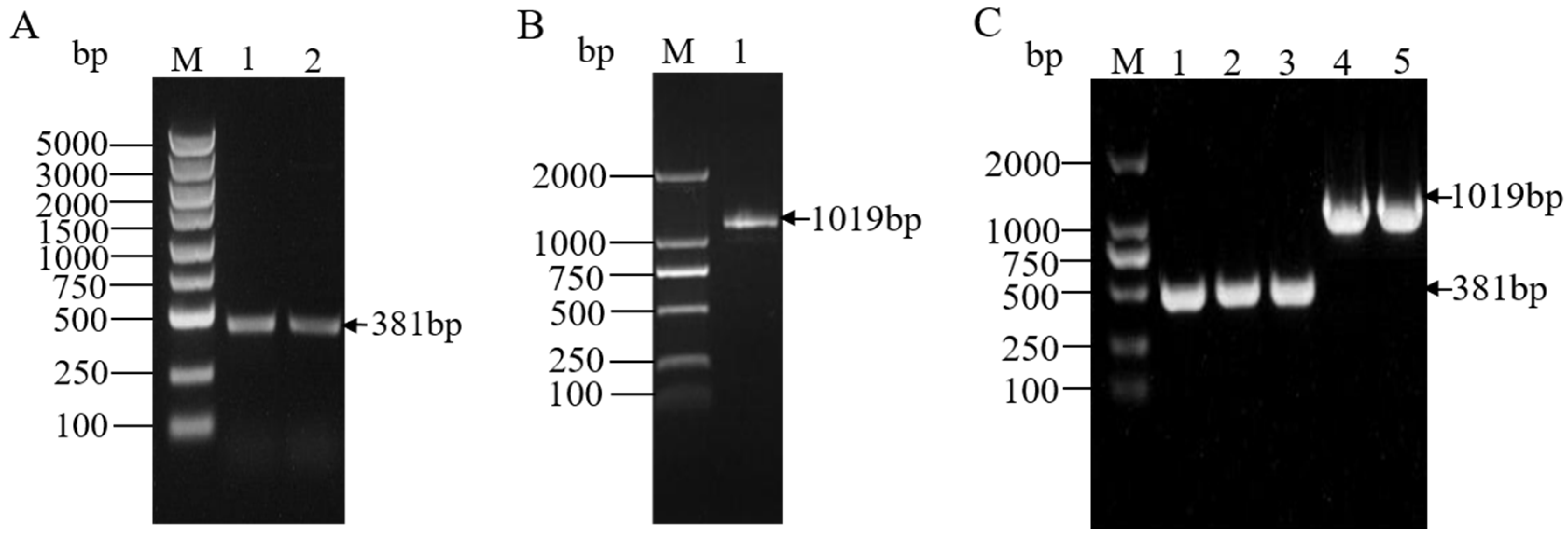
3.1. Results of the Cloning Experiments of the gpd Promoter and the TYR7523 Gene
3.2. Construction of Overexpression Vector
3.3. Results of the Agrobacterium-Mediated Genetic Transformation Experiments
3.4. Identification of Positive Transformants
3.5. Results of Mycelial Growth Rate Comparing with Fruiting Body Yield
3.6. Determination of Browning Degree and Tyrosinase Activity
3.7. Polyphenol Oxidase (PPO) Activity
3.8. Laccase (LAC) Activity
3.9. Total Phenolic Content
3.10. TYR7523 Gene Expression Analysis
4. Discussion and Conclusions
5. Convey Thanks
Author Contributions
Funding
Data Availability Statement
Conflicts of Interest
References
- Zhang, Z.W.; Zhou, W.J.; Ma, Z.Y.; Ni, Y.; Yang, S.; Mo, M. Study on the Cultivation Conditions of a New Strain of Wild Macrocybe gigantea. Edible Fungi 2021, 43, 18–21. [Google Scholar]
- Wu, Y. Study on the Mechanism of Browning Differences in the Fruiting Bodies of Macrocybe gigantea at Different Developmental Stages. Master’s Thesis, South China Agricultural University, Guangzhou, China, 2022. [Google Scholar]
- Kumar, S.N.; Buvanesvaragurunathan, K.; Govindaraj, R.; Rajan, S.; Balakrishna, K.; Shirota, O.; Radha, A.; Perumal, P.; Ignacimuthu, S. Hepatoprotective Constituents from Macrocybe gigantea (Massee) Pegler & Lodge. Int. J. Med. Mushrooms 2022, 24, 35–47. [Google Scholar] [PubMed]
- Wu, F.; Zhou, L.W.; Yang, Z.L.; Bau, T.; Li, T.H.; Dai, Y.C. Resource Diversity of Chinese Macrofungi: Edible, Medicinal and Poisonous Species. Fungal Divers. 2019, 98, 1–76. [Google Scholar]
- Yan, Y.M.; Liang, D.W.; Ma, J.W.; Liu, X.Q.; Xiao, Y.L.; Gao, J.Y.; Tian, Y.; Xue, J.B.; Mo, M.H. Protoplast Fusion Breeding between Macrocybe gigantea and Agaricus Bisporus. Chin. Edible Fungi 2023, 42, 24–31. [Google Scholar]
- Hu, D.B.; Yang, M. Optimization of Polysaccharide Extraction Process from Macrocybe gigantea by Response Surface Methodology and Its Antioxidant Activity. China Condiment 2021, 46, 78–82. [Google Scholar]
- Khumlianlal, J.; Sharma, K.C.; Singh, L.M.; Mukherjee, P.K.; Indira, S. Nutritional Profiling and Antioxidant Property of Three Wild Edible Mushrooms from North East India. Molecules 2022, 27, 5423. [Google Scholar] [CrossRef]
- Chen, M.M.; Zhou, Y.X. Study on the Optimization of Crude Polysaccharide Extraction Process from the Fruiting Bodies of Macrocybe gigantea Using Orthogonal Test. Food Saf. Guide 2022, 22, 132–135. [Google Scholar]
- Gaur, T.; Rao, P.B. Analysis of Antibacterial Activity and Bioactive Compounds of the Giant Mushroom, Macrocybe gigantea (Agaricomycetes), from India. Int. J. Med. Mushrooms 2017, 19, 1083–1092. [Google Scholar] [CrossRef]
- Yu, X.M.; Xu, X.F.; Cai, Q.Y.; Wu, Y.; Wang, Y.; Zha, L.Y.; Mo, M.H. Browning and Related Enzyme Activities of Three Strains of Macrocybe gigantea During Storage. Sci. Technol. Food Ind. 2018, 39, 275–279. [Google Scholar]
- Song, S.Q.; Wu, Y.; Han, Y.F.; Zheng, X.; Liu, X.; Mo, M. Study on the Effects of Postharvest Storage Time on Browning and Related Enzyme Activities of Macrocybe gigantea Fruiting Bodies Harvested at Different Developmental Stages. Shanghai Agric. Sci. Technol. 2023, 2, 112–116. [Google Scholar]
- Cesare, P.; Bonfigli, A.; Miranda, M.; Poma, A.M.; Colafarina, S.; Zarivi, O. Transcriptional Analysis of Tyrosinase Gene Expression during Bufo Bufo Development. Saudi J. Biol. Sci. 2019, 26, 8–19. [Google Scholar] [CrossRef] [PubMed]
- Deng, J.; Han, M.; Ma, H.; Zhang, H.; Zhang, H.; Zhao, H.; Li, J.; Jiang, W. Identification of Novel Mutations in the Tyrosinase Gene (TYR) Associated with Pigmentation in Chinese Giant Salamanders (Andrias davidianus). Fishes 2023, 8, 121. [Google Scholar] [CrossRef]
- Li, Z.X. Functional Study of Tyrosinase Gene (Matyr) in the Formation of Flower-Spot Body Color of Misgurnus anguillicaudatus in Poyang Lake. Master’s Thesis, Nanchang University, Nanchang, China, 2023. [Google Scholar]
- Du, J.R.; Wang, S.X.; Yan, D.; Gao, Q.; Fan, Y.Y.; Yu, Z.H.; Liu, Y. Analysis of Melanin Biosynthesis Pathway and Related Genes in Lentinus Edodes Based on Genome-Wide Data. Mycosystema 2023, 42, 1114–1128. [Google Scholar]
- Kawaguchi, N.; Hayashi, M.; Nakano, S.; Shimomura, N.; Yamaguchi, T.; Aimi, T. Expression of Tyrosinase Genes Associated with Fruiting Body Formation and Pigmentation in Grifola Frondosa. Mycoscience 2019, 60, 262–269. [Google Scholar] [CrossRef]
- Sato, T.; Kanda, K.; Okawa, K.; Takahashi, M.; Watanabe, H.; Hirano, T.; Yaegashi, K.; Sakamoto, Y.; Uchimiya, H. The Tyrosinase-Encoding Gene of Lentinula Edodes, Letyr, Is Abundantly Expressed in the Gills of the Fruit-Body during Post-Harvest Preservation. Biosci. Biotechnol. Biochem. 2009, 73, 1042–1047. [Google Scholar] [CrossRef][Green Version]
- Wei, Y.W.; Mo, M.H.; Chen, D.M.; Yang, S.L.; Chang, Y.S. Effects of FeSO4 Treatment on Browning-Related Factors in Macrocybe gigantea. Food Sci. Technol. 2015, 40, 350–354. [Google Scholar]
- Liu, Y. Study on the Molecular Mechanism of Antibrowning Based on the Whole Genome and Transcriptome of Macrocybe gigantea. Master’s Thesis, South China Agricultural University, Guangzhou, China, 2020. [Google Scholar]
- Zan, X.-Y.; Zhu, H.-A.; Jiang, L.-H.; Liang, Y.-Y.; Sun, W.-J.; Tao, T.-L.; Cui, F.-J. The Role of Rho1 Gene in the Cell Wall Integrity and Polysaccharides Biosynthesis of the Edible Mushroom Grifola Frondosa. Int. J. Biol. Macromol. 2020, 165, 1593–1603. [Google Scholar] [CrossRef]
- Han, P.; Hua, Z.; Zhao, Y.; Huang, L.; Yuan, Y. PuCRZ1, an C2H2 Transcription Factor from Polyporus Umbellatus, Positively Regulates Mycelium Response to Osmotic Stress. Front. Microbiol. 2023, 14, 1131605. [Google Scholar] [CrossRef]
- Cha, L.Y.; Song, S.Q.; Wang, Y.; Wen, H.S.; Mo, M.H. Construction of a Genetic Transformation System Mediated by Agrobacterium tumefaciens in Macrocybe gigantea. Mycosystema 2020, 39, 1897–1904. [Google Scholar]
- Zhou, H.; Yan, Z.; Xiao, L.Z.; Long, Z.; Ni, M. Identification of one giant mushroom strain and optimization of inorganic salt in culture medium. J. Nucl. Agric. 2017, 31, 524–531. [Google Scholar]
- Liu, X.Q.; Ni, Y.; Wu, J.; Liu, S.; Mo, Z.; Zhou, W.; Mo, M. Study on the Mechanism of Browning during Low Temperature Storage of Giant Mushroom and Mushroom Bisporus. Food Technol. 2024, 49, 19–26. [Google Scholar]
- Li, P.; Wang, H.; Liu, G.; Li, X.; Yao, J. The Effect of Carbon Source Succession on Laccase Activity in the Co-Culture Process of Ganoderma Lucidum and a Yeast. Enzym. Microb. Technol. 2010, 48, 1–6. [Google Scholar] [CrossRef]
- Zhang, X.; Zhou, Y.; Liu, Y.; Li, B.; Tian, S.; Zhang, Z. Research Progress on the Mechanism and Function of Histone Acetylation Regulating the Interaction between Pathogenic Fungi and Plant Hosts. J. Fungi 2024, 10, 522. [Google Scholar] [CrossRef] [PubMed]
- Şirin, S.; Aslım, B. Determination of Antioxidant Capacity, Phenolic Acid Composition and Antiproliferative Effect Associated with Phenylalanine Ammonia Lyase (PAL) Activity in Some Plants Naturally Growing under Salt Stress. Med. Chem. Res. 2019, 28, 229–238. [Google Scholar] [CrossRef]
- Wu, Y.Z.; Zhang, W.J.; Lei, P.; Du, F. Changes in the Activities of Several Extracellular Enzymes during the Growth and Development of Tea Mushroom. J. Northwest A F Univ. (Nat. Sci. Ed.) 2018, 46, 115–120. [Google Scholar]
- Sato, T.; Takahashi, M.; Hasegawa, J.; Watanabe, H. Overexpression and Repression of the Tyrosinase Gene in Lentinula Edodes Using the pChG Vector. J. Biosci. Bioeng. 2019, 128, 1–7. [Google Scholar] [CrossRef] [PubMed]
- Guo, J.; Rao, Z.; Yang, T.; Man, Z.; Xu, M.; Zhang, X.; Yang, S.-T. Cloning and Identification of a Novel Tyrosinase and Its Overexpression in Streptomyces kathirae SC-1 for Enhancing Melanin Production. FEMS Microbiol. Lett. 2015, 362, Fnv041. [Google Scholar] [CrossRef] [PubMed]
- Zhang, J.; Chen, H.; Chen, M.; Ren, A.; Huang, J.; Wang, H.; Zhao, M.; Feng, Z. Cloning and Functional Analysis of a Laccase Gene during Fruiting Body Formation in Hypsizygus marmoreus. Microbiol. Res. 2015, 179, 54–63. [Google Scholar] [CrossRef]
- Guo, Z.; Feng, W.; Jin, Q. Differential expression analysis of transcriptome at different tidal harvesting periods of S. bisporus. South. J. Agric. 2024, 55, 3533–3543. [Google Scholar]
- Liu, Q.; Kong, W.; Xu, K.; Cui, X.; Song, K.; Zhang, Y. Changes of Microorganisms and Metabolites in Fermentations during Different Growth Periods of the Lateral Ear of Pellagra. Mycosystema 2021, 40, 1458–1479. [Google Scholar]
- Li, N.Y.; Jin, Q.L.; Liu, C.Y.; Cai, W.M. Study on Browning and Related Enzymatic Activities in the Storage of Mushroom Bisporus. J. Edible Fungi 2009, 16, 53–56. [Google Scholar]
- Gong, R.; Sun, K.; Xie, D.Y. Progress in Fungal Laccase in Green Chemistry. Biotech Bull. 2018, 34, 24–34. [Google Scholar]
- Li, W.J.; Zhao, X.L. Bioinformatics Study of Salt Tolerance of Laccase Enzymes and Transport Channels of Chloride, Oxygen and Water Molecules. J. Chem. High. Educ. 2018, 39, 255–262. [Google Scholar]
- Liu, M.P.; Tie, S.; Zhang, L.; Wang, X.; Tang, Y.; Zong, W. Optimization of Ultrasonic Extraction of Almond and Almond Skin Polyphenols and Differences in Antioxidant Capacity. Food Ind. Technol. 2017, 38, 159–163+169. [Google Scholar]
- Li, Y.D.; Xia, Q.; Cao, Y.; Yang, K.; Mao, R.; Huang, L. Effect of Three Drying Methods on Active Ingredients and Antioxidant Activity of Hericium Mushroom. J. Food Saf. Qual. Test. 2020, 11, 4595–4601. [Google Scholar]
- Chen, B.J.; Qiao, Y.J.; Zhang, G. Progress of Mushroom Preservation Technology after Harvest. J. Edible Fungi 2019, 26, 141–147. [Google Scholar]








| Primer Name | Primer Sequence (5′→3′) | Illustrate |
|---|---|---|
| TYR7523-f | CCTCCTCGAAGAACGAAAGTC | Cloning of TYR7523 gene |
| TYR7523-r | GTGCTGTTTTTCACGTTGAGGATTCC | |
| Gpd-f | CAGATATCTTCGGGGCCTG | Clone gpd promoter |
| Gpd-r | CGTGAGGGCATTTCGAAG | |
| M13-f | CAGGAAACAGCTATGACC | Bacterial liquid PCR validation |
| M13-r | TGTAAA ACGACG GCCAGT | |
| Insert gpd-f | CATGATTACGAATTCGAGCTCCAGATATCTTCGGGGCCTGG | Clone insertion fragment gpd |
| Insert gpd-r | CATCGTGAGGGCATTTCGAAGG | |
| Insert 7523-f | TTCGAAATGCCCTCACGATGGTGCAAGTCGCCAATACA | Clone Insert Fragment TYR7523 |
| Insert7523-r | GAACGATCCTAGATGTACTCGTAACAAAGAGGGC | |
| Insert Nos-f | GAGTACATCTAGGATCGTTCAAACATTTGGCAATAA | Clone Insert Fragment NOS |
| Insert Nos-r | CAGGTCGACAGATCTGGGCCCGATCTAGTAACATAGATGACACCGCG | |
| Hyg-f | GGTTTCCACTATCGGCGAG | Validation of hygromycin |
| Hyg-r | GTCTGTCGAGAAGTTTCTGATCG | |
| β-tubulin-f | ACTGTCGTTGAGCCCTACAA | Amplification of internal reference genes β-tubulin |
| β-tubulin-r | CAAGCAAGTCGTGATACCCG | |
| TYR7523-qf | TTGAGCAGTTTCGCACAGAG | qRT-PCR analysis of TYR7523 |
| TYR7523-qr | GGTTCAATGGTGCTACGACC |
Disclaimer/Publisher’s Note: The statements, opinions and data contained in all publications are solely those of the individual author(s) and contributor(s) and not of MDPI and/or the editor(s). MDPI and/or the editor(s) disclaim responsibility for any injury to people or property resulting from any ideas, methods, instructions or products referred to in the content. |
© 2025 by the authors. Licensee MDPI, Basel, Switzerland. This article is an open access article distributed under the terms and conditions of the Creative Commons Attribution (CC BY) license (https://creativecommons.org/licenses/by/4.0/).
Share and Cite
Gao, J.; Song, S.; Liu, X.; Mo, Z.; Mo, M. Construction of Overexpression Vector with TYR7523 Gene and Its Effect on Browning in Macrocybe gigantea. J. Fungi 2025, 11, 216. https://doi.org/10.3390/jof11030216
Gao J, Song S, Liu X, Mo Z, Mo M. Construction of Overexpression Vector with TYR7523 Gene and Its Effect on Browning in Macrocybe gigantea. Journal of Fungi. 2025; 11(3):216. https://doi.org/10.3390/jof11030216
Chicago/Turabian StyleGao, Jinyun, Shuqing Song, Xinqian Liu, Zhuanlin Mo, and Meihua Mo. 2025. "Construction of Overexpression Vector with TYR7523 Gene and Its Effect on Browning in Macrocybe gigantea" Journal of Fungi 11, no. 3: 216. https://doi.org/10.3390/jof11030216
APA StyleGao, J., Song, S., Liu, X., Mo, Z., & Mo, M. (2025). Construction of Overexpression Vector with TYR7523 Gene and Its Effect on Browning in Macrocybe gigantea. Journal of Fungi, 11(3), 216. https://doi.org/10.3390/jof11030216
