Utility of Cand PCR in the Diagnosis of Vulvovaginal Candidiasis in Pregnant Women
Abstract
1. Introduction
2. Materials and Methods
2.1. Study Design
2.2. Population
2.3. Selection Criteria
2.4. Sample Collection
2.5. Isolation of Candida spp. from Vaginal Swabs
2.6. Phenotypic Identification of Yeasts Isolated from Vaginal Samples
2.6.1. Germ Tube Test
2.6.2. Culture on CHROMAgar Candida
2.6.3. DNA Extraction from Vaginal Swab Specimens
2.6.4. Amplification of DNA Obtained from Vaginal Swab Specimens by Cand PCR
2.6.5. Evaluation of the Diagnostic Utility of Cand PCR
3. Results
3.1. Isolation of Candida spp. from Vaginal Swabs
3.2. Phenotypic Identification of Yeasts Isolated from Vaginal Samples
3.2.1. Germ Tube Test
3.2.2. Culture in CHROMAgar Candida
3.2.3. DNA Extraction from Vaginal Swab Specimens
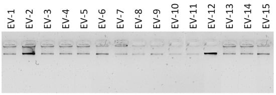
3.2.4. DNA Amplification of Vaginal Swab Specimens by Cand PCR
3.2.5. Evaluation of the Diagnostic Utility of Cand PCR
4. Discussion
5. Conclusions
Author Contributions
Funding
Institutional Review Board Statement
Informed Consent Statement
Data Availability Statement
Acknowledgments
Conflicts of Interest
References
- Achkar, J.M.; Fries, B.C. Candida infections of the genitourinary tract. Clin. Microbiol. Rev. 2010, 23, 253–273. [Google Scholar] [CrossRef] [PubMed]
- Aguin, T.J.; Sobel, J.D. Vulvovaginal candidiasis in pregnancy. Curr. Infect Dis. Rep. 2015, 17, 462. [Google Scholar] [CrossRef] [PubMed]
- Rosati, D.; Bruno, M.; Jaeger, M.; Ten Oever, J.; Netea, M.G. Recurrent vulvovaginal candidiasis: An immunological perspective. Microorganisms 2020, 8, 144. [Google Scholar] [CrossRef]
- Sobel, J.D. Vulvovaginal candidosis. Lancet 2007, 369, 1961–1971. [Google Scholar] [CrossRef] [PubMed]
- Thomas-White, K.; Navarro, P.; Wever, F.; King, L.; Dillard, L.R.; Krapf, J. Psychosocial impact of recurrent urogenital infections: A review. Womens Health 2023, 19, 17455057231216537. [Google Scholar] [CrossRef] [PubMed]
- Guzel, A.B.; Ilkit, M.; Burgut, R.; Urunsak, I.F.; Ozgunen, F.T. An evaluation of risk factors in pregnant women with Candida vaginitis and the diagnostic value of simultaneous vaginal and rectal sampling. Mycopathologia 2011, 172, 25–36. [Google Scholar] [CrossRef]
- Hamad, M.; Kazandji, N.; Awadallah, S.; Allam, H. Prevalence and epidemiological characteristics of vaginal candidiasis in the UAE. Mycoses 2014, 57, 184–190. [Google Scholar] [CrossRef] [PubMed]
- Meizoso, T.; Rivera, T.; Fernández-Aceñero, M.J.; Mestre, M.J.; Garrido, M.; Garaulet, C. Intrauterine candidiasis: Report of four cases. Arch. Gynecol. Obstet. 2008, 278, 173–176. [Google Scholar] [CrossRef]
- Konadu, D.G.; Owusu-Ofori, A.; Yidana, Z.; Boadu, F.; Iddrisu, L.F.; Adu-Gyasi, D.; Dosoo, D.; Awuley, R.L.; Owusu-Agyei, S.; Asante, K.P. Prevalence of vulvovaginal candidiasis, bacterial vaginosis and trichomoniasis in pregnant women attending antenatal clinic in the middle belt of Ghana. BMC Pregnancy Childbirth 2019, 19, 341. [Google Scholar] [CrossRef]
- Ghaddar, N.; Anastasiadis, E.; Halimeh, R.; Ghaddar, A.; Dhar, R.; AlFouzan, W.; Yusef, H.; El Chaar, M. Prevalence and antifungal susceptibility of Candida albicans causing vaginal discharge among pregnant women in Lebanon. BMC Infect Dis. 2020, 20, 32. [Google Scholar] [CrossRef]
- Eghtedar Nejad, E.; Ghasemi Nejad Almani, P.; Mohammadi, M.A.; Salari, S. Molecular identification of Candida isolates by Real-time PCR-high-resolution melting analysis and investigation of the genetic diversity of Candida species. J. Clin. Lab. Anal. 2020, 34, e23444. [Google Scholar] [CrossRef]
- Arafa, S.H.; Elbanna, K.; Osman, G.E.H.; Abulreesh, H.H. Candida diagnostic techniques: A review. J.Umm Al Qura Univ. Appll. Sci. 2023, 9, 360–377. [Google Scholar] [CrossRef]
- Weissenbacher, T.; Witkin, S.S.; Ledger, W.J.; Tolbert, V.; Gingelmaier, A.; Scholz, C.; Weissenbacher, E.R.; Friese, K.; Mylonas, I. Relationship between clinical diagnosis of recurrent vulvovaginal candidiasis and detection of Candida species by culture and polymerase chain reaction. Arch. Gynecol. Obstet. 2009, 279, 125–129. [Google Scholar] [CrossRef] [PubMed]
- Khaksar Baniasadi, A.; Ayatollahi Mosavi, S.A.; Sharifi, I.; Bamorovat, M.; Salari, S.; Ahmadi, A.; Amanizadeh, A.; Agha Kuchak Afshari, S. Vulvovaginal candidiasis in Iranian women: Molecular identification and antifungal susceptibility pattern. J. Obstet. Gynaecol. 2022, 48, 3292–3303. [Google Scholar] [CrossRef]
- Cartwright, C.P.; Lembke, B.D.; Ramachandran, K.; Body, B.A.; Nye, M.B.; Rivers, C.A.; Schwebke, J.R. Comparison of nucleic acid amplification assays with BD affirm VPIII for diagnosis of vaginitis in symptomatic women. J. Clin. Microbiol. 2013, 51, 3694–3699. [Google Scholar] [CrossRef]
- Payne, M.S.; Cullinane, M.; Garland, S.M.; Tabrizi, S.N.; Donath, S.M.; Bennett, C.M.; Amir, L.H. Detection of Candida spp. in the vagina of a cohort of nulliparous pregnant women by culture and molecular methods: Is there an association between maternal vaginal and infant oral colonisation? Aust. N. Z. J. Obstet. Gynaecol. 2016, 56, 179–184. [Google Scholar] [CrossRef] [PubMed]
- Tardif, K.D.; Schlaberg, R. Development of a real-time PCR assay for the direct detection of Candida species causing vulvovaginal candidiasis. Diagn. Microbiol. Infect. Dis. 2017, 88, 39–40. [Google Scholar] [CrossRef]
- Zhai, Y.; Liu, J.; Zhou, L.; Ji, T.; Meng, L.; Gao, Y.; Liu, R.; Wang, X.; Li, L.; Lu, B.; et al. Detection of Candida species in pregnant Chinese women with a molecular beacon method. J. Med. Microbiol. 2018, 67, 783–789. [Google Scholar] [CrossRef]
- Navarathna, D.H.; Lukey, J.; Coppin, J.D.; Jinadatha, C. Diagnostic performance of DNA probe-based and PCR-based molecular vaginitis testing. Microbiol. Spectr. 2023, 11, e0162823. [Google Scholar] [CrossRef] [PubMed]
- García-Salazar, E.; Acosta-Altamirano, G.; Betancourt-Cisneros, P.; Reyes-Montes, M.D.R.; Rosas-De-Paz, E.; Duarte-Escalante, E.; Sánchez-Conejo, A.R.; Hernández, E.O.; Frías-De-León, M.G. Detection and molecular identification of eight Candida species in clinical samples by simplex PCR. Microorganisms 2022, 10, 374. [Google Scholar] [CrossRef] [PubMed]
- Roberts, C.L.; Rickard, K.; Kotsiou, G.; Morris, J.M. Treatment of asymptomatic vaginal candidiasis in pregnancy to prevent preterm birth: An open-label pilot randomized controlled trial. BMC Pregnancy Childbirth 2011, 11, 18. [Google Scholar] [CrossRef]
- Mårdh, P.A.; Novikova, N.; Witkin, S.S.; Korneeva, I.; Rodriques, A.R. Detection of Candida by polymerase chain reaction vs microscopy and culture in women diagnosed as recurrent vulvovaginal cases. Int. J. STD AIDS 2003, 14, 753–756. [Google Scholar] [CrossRef]
- Trama, J.P.; Adelson, M.E.; Raphaelli, I.; Stemmer, S.M.; Mordechai, E. Detection of Candida species in vaginal samples in a clinical laboratory setting. Infect. Dis. Obstet. Gynecol. 2005, 13, 63–67. [Google Scholar] [CrossRef] [PubMed]
- Almeida Alves, I.; Camargo, F.P.; Goulart, L.S. Identificação por PCR e sensibilidade a antifúngicos de isolados clínicos vaginais de Candida sp. [Identification by PCR and antifungal susceptibility of vaginal clinical Candida sp. isolates]. Rev. Soc. Bras. Med. Trop. 2010, 43, 575–579. [Google Scholar] [CrossRef] [PubMed]
- Shi, Y.; Zhu, Y.; Fan, S.; Liu, X.; Liang, Y.; Shan, Y. Molecular identification and antifungal susceptibility profile of yeast from vulvovaginal candidiasis. BMC Infect. Dis. 2020, 20, 287. [Google Scholar] [CrossRef]
- Li, M.; Jin, X.; Jiang, Q.; Wei, H.; Deng, A.; Mao, Z.; Wang, Y.; Zeng, Z.; Wu, Y.; Liu, S.; et al. Loop-Mediated Isothermal Amplification (LAMP): Potential point-of-care testing for vulvovaginal candidiasis. J. Fungi 2023, 9, 1159. [Google Scholar] [CrossRef]
- Fan, W.; Li, J.; Chen, L.; Wu, W.; Li, X.; Zhong, W.; Pan, H. Clinical evaluation of polymerase chain reaction coupled with quantum dot fluorescence analysis for diagnosis of Candida infection in vulvovaginal candidiasis practice. Infect Drug Resist. 2023, 16, 4857–4865. [Google Scholar] [CrossRef]
- Leli, C.; Mencacci, A.; Meucci, M.; Bietolini, C.; Vitali, M.; Farinelli, S.; Alò, F.D.; Bombaci, J.C.; Perito, S.; Bistoni, F. Association of pregnancy and Candida vaginal colonization in women with or without symptoms of vulvovaginitis. Minerva Ginecol. 2013, 65, 303–309. [Google Scholar] [PubMed]
- Soilán Ayala, A.M. Frecuencia de candidiasis vaginal en embarazadas del Hospital Nacional de Itauguá. Rev. Nac. 2009, 1, 023–034. [Google Scholar]
- Bruijns, B. What are the limitations and challenges of swab-based DNA sampling? Forensic Sci. 2024, 4, 76–95. [Google Scholar] [CrossRef]
- Monaghan, T.F.; Rahman, S.N.; Agudelo, C.W.; Wein, A.J.; Lazar, J.M.; Everaert, K.; Dmochowski, R.R. Foundational statistical principles in medical research: Sensitivity, specificity, positive predictive value, and negative predictive value. Medicina 2021, 57, 503. [Google Scholar] [CrossRef]
- Danby, C.S.; Althouse, A.D.; Hillier, S.L.; Wiesenfeld, H.C. Nucleic acid amplification testing compared with cultures, gram stain, and microscopy in the diagnosis of vaginitis. J. Low Genit. Tract. Dis. 2021, 25, 76–80. [Google Scholar] [CrossRef] [PubMed]
- Dermendzhiev, T.; Pehlivanov, B.; Petrova, A.; Stanev, S.; Murdjeva, M. Quantitative system for diagnosis of vulvovaginal candidiasis. J. Mycol. Med. 2022, 32, 101302. [Google Scholar] [CrossRef] [PubMed]






| Cand PCR Amplification | Gold Standard (Culture) | |||
|---|---|---|---|---|
| VVC Present | VVC Absent | |||
| Positive | TP (True Positives) | FP (False Positives) | Total (Subjects with a Positive Test) | |
| Negative | FN (False Negatives) | TN (True Negatives) | Total (Subjects with Negative Test) | |
| Total (subjects with the disease) | Total (subjects without the disease) | Total (subjects included) | ||
| Sample No. | Culture | |||
|---|---|---|---|---|
| Sabouraud | CHROMagar Candida (Color) | Species | Germ Tube Test | |
| 2 | + | Green | C. albicans | + |
| 3 | + | Green | C. albicans | + |
| 9 | + | Green | C. albicans | + |
| 11 | + | Green | C. albicans | + |
| 14 | + | Green | C. albicans | + |
| 17 | + | Green | C. albicans | + |
| 24 | + | Green | C. albicans | + |
| 27 | + | Mauve | C. glabrata | − |
| 39 | + | Mauve | C. glabrata | − |
| 44 | + | Green | C. albicans | + |
| 49 | + | Green | C. albicans | + |
| 54 | + | Pink | C. krusei | − |
| 63 | + | Green | C. albicans | + |
| 64 | + | Green | C. albicans | + |
| 67 | + | Pink | C. krusei | − |
| 70 | + | Green | C. albicans | + |
| 79 | + | Green | C. albicans | + |
| 81 | + | Green | C. albicans | + |
| 84 | + | Green | C. albicans | + |
| 91 | + | Mauve | C. glabrata | − |
| 92 | + | Green | C. albicans | + |
| 94 | + | Green | C. albicans | + |
| 105 | + | Mauve | C. glabrata | − |
| Registration No. | PCR | ||
|---|---|---|---|
| Result | Amplicon Size (bp) | Species | |
| EV-3 | + | 1000 bp | C. glabrata |
| EV-9 | + | 850 bp | C. albicans |
| EV-11 | + | 850 bp | C. albicans |
| EV-17 | + | 850 bp | C. albicans |
| EV-24 | + | 850 bp | C. albicans |
| EV-39 | + | 1000 bp | C. glabrata |
| EV-54 | + | 850 bp | C. albicans |
| EV-63 | + | 850 bp | C. albicans |
| EV-67 | + | 800 bp | C. krusei |
| EV-70 | + | 850 bp | C. albicans |
| EV-79 | + | 850 bp | C. albicans |
| EV-84 | + | 850 bp | C. albicans |
| EV-92 | + | 850 bp | C. albicans |
| EV-94 | + | 850 bp | C. albicans |
| EV-105 | + | 1000 bp | C. glabrata |
| Gold Standard (Culture) | ||||
|---|---|---|---|---|
| VVC Present | VVC Absent | |||
| Cand PCR | Positive test | True Positives: 15 | False positives: 0 | Total of subjects with a positive test: 15 |
| Negative test | False negatives: 8 | True negatives: 85 | Total of subjects with a negative test: 85 | |
| Total of subjects with the disease: 23 | Total of subjects without the disease: 85 | Total of subjects included: 108 | ||
Disclaimer/Publisher’s Note: The statements, opinions and data contained in all publications are solely those of the individual author(s) and contributor(s) and not of MDPI and/or the editor(s). MDPI and/or the editor(s) disclaim responsibility for any injury to people or property resulting from any ideas, methods, instructions or products referred to in the content. |
© 2024 by the authors. Licensee MDPI, Basel, Switzerland. This article is an open access article distributed under the terms and conditions of the Creative Commons Attribution (CC BY) license (https://creativecommons.org/licenses/by/4.0/).
Share and Cite
García-Salazar, E.; Betancourt-Cisneros, P.; Ramírez-Magaña, X.; Díaz-Huerta, H.; Martínez-Herrera, E.; Frías-De-León, M.G. Utility of Cand PCR in the Diagnosis of Vulvovaginal Candidiasis in Pregnant Women. J. Fungi 2025, 11, 5. https://doi.org/10.3390/jof11010005
García-Salazar E, Betancourt-Cisneros P, Ramírez-Magaña X, Díaz-Huerta H, Martínez-Herrera E, Frías-De-León MG. Utility of Cand PCR in the Diagnosis of Vulvovaginal Candidiasis in Pregnant Women. Journal of Fungi. 2025; 11(1):5. https://doi.org/10.3390/jof11010005
Chicago/Turabian StyleGarcía-Salazar, Eduardo, Paola Betancourt-Cisneros, Xóchitl Ramírez-Magaña, Hugo Díaz-Huerta, Erick Martínez-Herrera, and María Guadalupe Frías-De-León. 2025. "Utility of Cand PCR in the Diagnosis of Vulvovaginal Candidiasis in Pregnant Women" Journal of Fungi 11, no. 1: 5. https://doi.org/10.3390/jof11010005
APA StyleGarcía-Salazar, E., Betancourt-Cisneros, P., Ramírez-Magaña, X., Díaz-Huerta, H., Martínez-Herrera, E., & Frías-De-León, M. G. (2025). Utility of Cand PCR in the Diagnosis of Vulvovaginal Candidiasis in Pregnant Women. Journal of Fungi, 11(1), 5. https://doi.org/10.3390/jof11010005

