1p36 Deletion Syndrome and the Aorta: A Report of Three New Patients and a Literature Review
Abstract
:1. Introduction
2. Materials and Methods
2.1. Literature Review
2.2. Editorial Policies and Ethical Considerations
2.3. CMA (Chromosome Microarray Analysis) Techniques
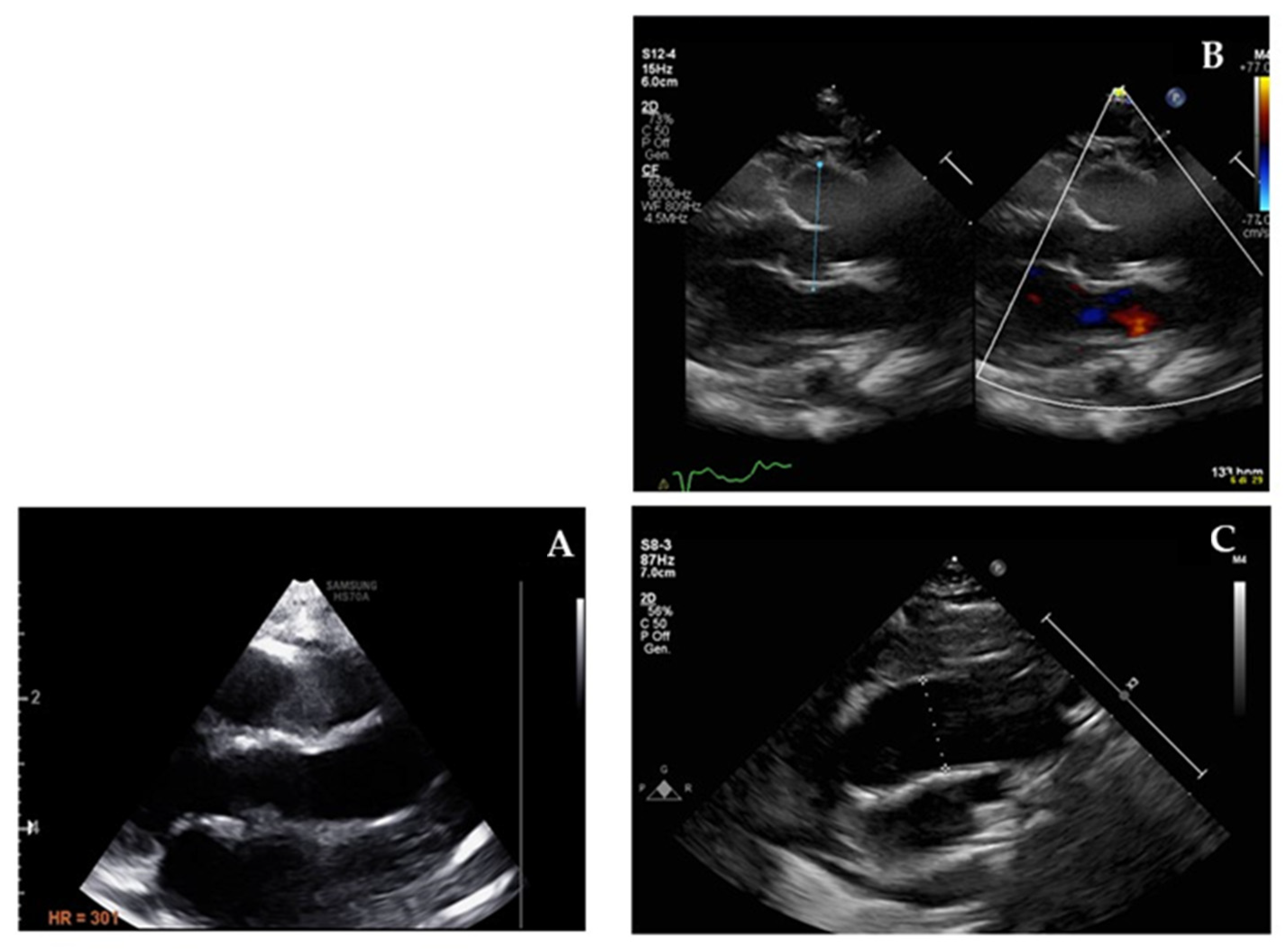
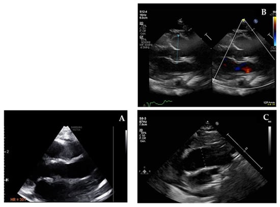
3. Results
Patients
4. Discussion
5. Conclusions
Supplementary Materials
Author Contributions
Funding
Institutional Review Board Statement
Informed Consent Statement
Acknowledgments
Conflicts of Interest
References
- Yunis, E.; Quintero, L.; Leibovici, M. Monosomy 1pter. Hum. Genet. 1981, 56, 279–282. [Google Scholar] [CrossRef] [PubMed]
- Shapira, S.K.; McCaskill, C.; Northrup, H.; Spikes, A.S.; Elder, F.; Sutton, V.R.; Korenberg, J.R.; Greenberg, F.; Shaffer, L.G. Chromosome 1p36 Deletions: The Clinical Phenotype and Molecular Characterization of a Common Newly Delineated Syndrome. Am. J. Hum. Genet. 1997, 61, 642–650. [Google Scholar] [CrossRef] [PubMed] [Green Version]
- Shaffer, L.G.; Lupski, J.R. Molecular Mechanisms for Constitutional Chromosomal Rearrangements in Humans. Annu. Rev. Genet. 2000, 34, 297–329. [Google Scholar] [CrossRef] [PubMed] [Green Version]
- Gao, L.; Zhang, J.; Han, X.; Hu, W.; Sun, J.; Tan, Y.; Zhao, X.; Hua, R.; Wang, S.; Zhang, Y.; et al. A rare cardiac phenotype of dextrocardia observed in a fetus with 1p36 deletion syndrome and a balanced translocation: A prenatal case report. Mol. Cytogenet. 2020, 13, 1–7. [Google Scholar] [CrossRef] [PubMed]
- Verrotti, A.; Greco, M.; Varriale, G.; Tamborino, A.; Savasta, S.; Carotenuto, M.; Elia, M.; Operto, F.; Margari, L.; Belcastro, V.; et al. Electroclinical Features of EpilepsyMonosomy 1p36 Syndrome and TheirImplications. Acta Neurol. Scand. 2018, 138, 523–530. [Google Scholar] [CrossRef] [PubMed]
- Zhu, X.; Zhang, Y.; Wang, J.; Yang, J.-F.; Yang, Y.-F.; Tan, Z.-P. 576kb deletion in 1p36.33–p36.32 containing SKI is associated with limb malformation, congenital heart disease and epilepsy. Gene 2013, 528, 352–355. [Google Scholar] [CrossRef] [PubMed]
- Heilstedt, H.A.; Ballif, B.C.; Howard, L.A.; Lewis, R.A.; Stal, S.; Kashork, C.D.; Bacino, C.A.; Shapira, S.K.; Shaffer, L.G. Physical Map of 1p36, Placement of Breakpoints in Monosomy 1p36, and Clinical Characterization of the Syndrome. Am. J. Hum. Genet. 2003, 72, 1200–1212. [Google Scholar] [CrossRef] [PubMed] [Green Version]
- Scott, D.; Jordan, V.; Zaveri, H. 1p36 deletion syndrome: An update. Appl. Clin. Genet. 2015, ume 8, 189–200. [Google Scholar] [CrossRef] [Green Version]
- Kang, S.-H.L.; Scheffer, A.; Ou, Z.; Li, J.; Scaglia, F.; Belmont, J.; Lalani, S.R.; Roeder, E.; Enciso, V.; Braddock, S.; et al. Identification of proximal 1p36 deletions using array-CGH: A possible new syndrome. Clin. Genet. 2007, 72, 329–338. [Google Scholar] [CrossRef] [PubMed]
- Radio, F.C.; Pang, K.; Ciolfi, A.; Levy, M.A.; Hernández-García, A.; Pedace, L.; Pantaleoni, F.; Liu, Z.; de Boer, E.; Jackson, A.; et al. SPEN haploinsufficiency causes a neurodevelopmental disorder overlapping proximal 1p36 deletion syndrome with an episignature of X chromosomes in females. Am. J. Hum. Genet. 2021, 108, 502–516. [Google Scholar] [CrossRef] [PubMed]
- Zaveri, H.P.; Beck, T.F.; Hernandez-Garcia, A.; Shelly, K.E.; Montgomery, T.; Van Haeringen, A.; Anderlid, B.-M.; Patel, C.; Goel, H.; Houge, G.; et al. Identification of Critical Regions and Candidate Genes for Cardiovascular Malformations and Cardiomyopathy Associated with Deletions of Chromosome 1p36. PLoS ONE 2014, 9, e85600. [Google Scholar] [CrossRef] [PubMed]
- Greally, M.T. Shprintzen-Goldberg Syndrome. In GeneReviews®; Adam, M.P., Ardinger, H.H., Pagon, R.A., Wallace, S.E., Bean, L.J.H., Mirzaa, G., Amemiya, A., Eds.; University of Washington, Seattle: Seattle, WA, USA, 2006. [Google Scholar]
- Heilstedt, H.A.; Ballif, B.C.; Howard, L.A.; Kashork, C.D.; Shaffer, L.G. Population Data Suggest That Deletions of 1p36 Are a Relatively Common Chromosome Abnormality: Epidemiology of Deletion 1p36. Clin. Genet. 2003, 64, 310–316. [Google Scholar] [CrossRef] [PubMed]
- Campeau, P.M.; Mew, N.A.; Cartier, L.; Mackay, K.L.; Shaffer, L.G.; Der Kaloustian, V.M.; Thomas, M.A. Prenatal diagnosis of monosomy 1p36: A focus on brain abnormalities and a review of the literature. Am. J. Med. Genet. Part A 2008, 146A, 3062–3069. [Google Scholar] [CrossRef] [PubMed]
- Brazil, A.; Stanford, K.; Smolarek, T.; Hopkin, R. Delineating the phenotype of 1p36 deletion in adolescents and adults. Am. J. Med. Genet. Part A 2014, 164, 2496–2503. [Google Scholar] [CrossRef]
- Carmignac, V.; Thevenon, J.; Adès, L.; Callewaert, B.; Julia, S.; Thauvin-Robinet, C.; Gueneau, L.; Courcet, J.-B.; Lopez, E.; Holman, K.; et al. In-Frame Mutations in Exon 1 of SKI Cause Dominant Shprintzen-Goldberg Syndrome. Am. J. Hum. Genet. 2012, 91, 950–957. [Google Scholar] [CrossRef] [PubMed] [Green Version]
- Doyle, A.J.; Doyle, J.J.; Bessling, S.L.; Maragh, S.; Lindsay, M.E.; Schepers, D.; Gillis, E.; Mortier, G.; Homfray, T.; Sauls, K.; et al. Mutations in the TGF-β repressor SKI cause Shprintzen-Goldberg syndrome with aortic aneurysm. Nat. Genet. 2012, 44, 1249–1254. [Google Scholar] [CrossRef] [PubMed] [Green Version]
- Takeda, N.; Hara, H.; Fujiwara, T.; Kanaya, T.; Maemura, S.; Komuro, I. TGF-β Signaling-Related Genes and Thoracic Aortic Aneurysms and Dissections. Int. J. Mol. Sci. 2018, 19, 2125. [Google Scholar] [CrossRef] [PubMed] [Green Version]
- Battaglia, A.; Eugene, H.H.; Dallapiccola, B.; Zackai, E.; Hudgins, L.; McDonald-McGinn, D.; Bahi-Buisson, N.; Romano, C.; Williams, C.; Brailey, L. Further delineation of deletion 1p36 syndrome in 60 patients: A recognizable phenotype and common cause of developmental delay and mental retardation. Pediatrics 2008, 121, 404–410. [Google Scholar] [CrossRef] [PubMed] [Green Version]


| P1 | P2 | P3 | P4 | P5 | P6 | P7 | P8 | P9 | |
|---|---|---|---|---|---|---|---|---|---|
| Molecular genotype (hg19) | 1p36.33p36.23(757,093–7,982,351)x1dn(7.2Mb),4q21.21q21.22(82,299,006–82,543,148)x3 pat(244Kb) | 1p36.33p36.31(82154_6923634)x1(6.8Mb) | 1p36.33p36.32(564424_4128574)x1dn(3.5Mb),Xp22.33p22.32(61091_5028407)x3 dn(4.9Mb) | 1p36.33(82154_1258246)x1dn(1.2Mb), 1p36.33(1497824_2071340)x1dn(574Kb), 4p14(38857310_39367654)x3mat(510Kb) | 1p36.33p36.32(82154_3441264)x1dn(3.4Mb) | 1p36.33p36.22(82154_9600774)x1dn(9.5Mb) | 1p36.33(82154_2098512)x1dn(2Mb) | 1p36.33p36.32(82154_4418164)x1dn(4.3Mb) | 1p36.33p36.31(82154_5514194)x1dn(5.4Mb), 2p23.1(30670973_31204981)x3 pat(534Kb) |
| Age at diagnosis/follow-up duration | 3.6m/5.5ys | 4.11m/22ds | 11.2ys/1.3ys | 5.10ys/1y | 8.17m/4m | 3.22m/1.6ys | 5.2ys/- | 4.2ys/1.7ys | 4m/1.2ys |
| CHD | ASD | HLHS, Mitro-aortic hypoplasia, VSD, CoAo | Ebstein anomaly with TR, Mild MR and TR | No | ASD | ASD, VSD, PDA surgically repaired | No | No | ASD-OP, mild TR |
| CMP / NCLV | NCLV, EF 45% | No | NCLV, EF 50% | No, EF 67% | NCLV, severe DCMP EF 15% | NCLV, EF 65% | No | Mild LVH | NCLV, EF 45%, mild LVH |
| Aortic dilatation | Normal | Normal | Normal | Normal | Normal | Dilated aortic root, (Z-score 5), and ascending aorta (Z-score 2.9) In losartan therapy | Normal | Dilated aortic root (Z-score 2.5) and ascending tract with mild AR. Lost in F-UP | Dilated ascending aorta (Z-score 2.1); in ACEI and beta-blocker therapy |
| Growth delay | Yes | Yes | No | No, obesity | Lower normal limit | Yes | No | No | Lower limits |
| Epilepsy | Yes, Symptomatic Focal | No | Yes | No | No | Yes | No | Yes, West Syndrome | Yes, Focal |
| ID | Yes | Yes | Yes | Yes | Yes | Yes | Yes | Yes | Yes |
| Brain imaging | SEH | Cystic formations | Unknown | Unknown | Normal | Polymicrogyria | Unknown | Multiple periventricular heterotopic nodules | Polymicrogyria |
| Deafness | Bilateral asymmetric sensorineural | Unknown | No | No | No | Bilateral sensorineural | No | No | Bilateral sensorineural |
| Vision | Normal | Normal | Normal | Normal | Normal | Normal | Normal | Oscillatory nystagmus, dacryostenosis | Normal |
| Abdominal US | Bilateral renal pelvic dilatation | Monolateral renal pelvic dilatation | Hepatic steatosis | Unknown | Bilateral renal pelvic dilatation | Normal | Normal | Unknown | Gallbladder stones, dilated renal pelvis |
| Other malformations | Sacrococygeal fistula | Monolateral choanal stenosis | No | No | No | No | Phimosis | No | Normal |
| Other anomalies | Intermittent hypoglycaemia, abnormal thyroid tests | No | Scoliosis, lordosis | No | No | Chronic respiratory failure, feeding difficulties (PEG) | Allergies | No | Normal |
| Dysmorphisms | Marbled skin, very wide AF, splanchnocranial disproportion, upslanting palpebral fissures, sunken eyes, pointed nose, triangular chin, thin lips, triangular face, long fingers and toes, rocker bottom feet | Very large AF, bitemporal narrowing, prominent eyes, apparent hypertrophy of the inner side of the lip, long face, long fingers, irregular and deep dermatoglyphics | Hypotelorism, arched, eyebrows, prominent nostrils, high arched palat, thick lips, short neck, joint stiffness, long and tapered fingers, scoliosis, kyphosis, prominent abdomen and hepatomegaly, flat feet | Hypotelorism, upslanting palpebral fissures, high arched palate, short philtrum | Anomalous distribution of the masses in the axillary area (irregular folds), AF slightly broad, prominent frontal bulges, sunken orbits, short nose, broad tip, small lips with downward angles, high arched palate, small low-set ears, bilaterally hands showed a peculiar aspect of transverse “line” in the terminal part of the metacarpals, appearance of skin syndactyly at the base of the fingers | Relative macrocephaly, turricephaly, AF >> 3x3cm, frontal bossing, thin palpebral fissures, short nose with flattened root, prominent columella, thin upper lip, dysmorphic appearance of the palate, gingival hypertrophy, right “crumpld ear”, short neck, narrow chest, left hand single palmar crease, rectus diastasis, small umbilical hernia, moderate left inguinal hernia, limbs showed fixed contractures of the flexors of the knees and the feet with a club feet appearance | Hypotelorismo, deep set eyes, angles of the mouth downturned | Depressed nasal bridge and of the frontal orbital tract, hypotonia, ligamentous laxity | Flat facies, depressed nasal root, puffy eye appearance, posterior cleft palate, micrognathia, dysmorphic auricles |
| Reference and Patient Identification | Start-Stop (hg19) | Size (Mb) | Heredity | CHD (Co-Existing Cardiomyopathy) | Other |
|---|---|---|---|---|---|
| Campeau et al. 2008, Patient 1 [14] | 1–10247416 | 10.2 | de novo | Asymmetric ventricles, muscular VSD, tortuous aortic arch, PDA | Hypotonia, single febrile seizure, bilateral colpocephaly, moderate to severe non-obstructive hydrocephalus, sensorineural hearing loss, short femurs, unilateral club foot, submucous cleft palate, velopharyngeal incompetence, dysmorphic features |
| Zaveri et al. 2014, Patient 2 [11] | 1–3581432 | 3.6 | de novo | bicuspid aortic valve, mild aortic dilatation | Developmental delay, mild unilateral conductive hearing loss, concern for seizures |
| Brazil et al. 2014, Patient 18 [15] | na | na | na | PDA, dilated aortic root and pulmonary trunk | N/A |
Publisher’s Note: MDPI stays neutral with regard to jurisdictional claims in published maps and institutional affiliations. |
© 2021 by the authors. Licensee MDPI, Basel, Switzerland. This article is an open access article distributed under the terms and conditions of the Creative Commons Attribution (CC BY) license (https://creativecommons.org/licenses/by/4.0/).
Share and Cite
Lodato, V.; Orlando, V.; Alesi, V.; Di Tommaso, S.; Bengala, M.; Parlapiano, G.; Agnolucci, E.; Cicenia, M.; Calì, F.; Digilio, M.C.; et al. 1p36 Deletion Syndrome and the Aorta: A Report of Three New Patients and a Literature Review. J. Cardiovasc. Dev. Dis. 2021, 8, 159. https://doi.org/10.3390/jcdd8110159
Lodato V, Orlando V, Alesi V, Di Tommaso S, Bengala M, Parlapiano G, Agnolucci E, Cicenia M, Calì F, Digilio MC, et al. 1p36 Deletion Syndrome and the Aorta: A Report of Three New Patients and a Literature Review. Journal of Cardiovascular Development and Disease. 2021; 8(11):159. https://doi.org/10.3390/jcdd8110159
Chicago/Turabian StyleLodato, Valentina, Valeria Orlando, Viola Alesi, Silvia Di Tommaso, Mario Bengala, Giovanni Parlapiano, Elisa Agnolucci, Marianna Cicenia, Federica Calì, Maria Cristina Digilio, and et al. 2021. "1p36 Deletion Syndrome and the Aorta: A Report of Three New Patients and a Literature Review" Journal of Cardiovascular Development and Disease 8, no. 11: 159. https://doi.org/10.3390/jcdd8110159
APA StyleLodato, V., Orlando, V., Alesi, V., Di Tommaso, S., Bengala, M., Parlapiano, G., Agnolucci, E., Cicenia, M., Calì, F., Digilio, M. C., Drago, F., Novelli, A., & Baban, A. (2021). 1p36 Deletion Syndrome and the Aorta: A Report of Three New Patients and a Literature Review. Journal of Cardiovascular Development and Disease, 8(11), 159. https://doi.org/10.3390/jcdd8110159

