CMR-Derived Global Longitudinal Strain and Left Ventricular Torsion as Prognostic Markers in Dilated Cardiomyopathy
Abstract
1. Introduction
2. Methods
2.1. Study Population
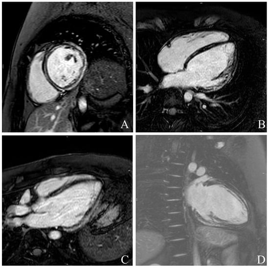
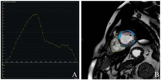
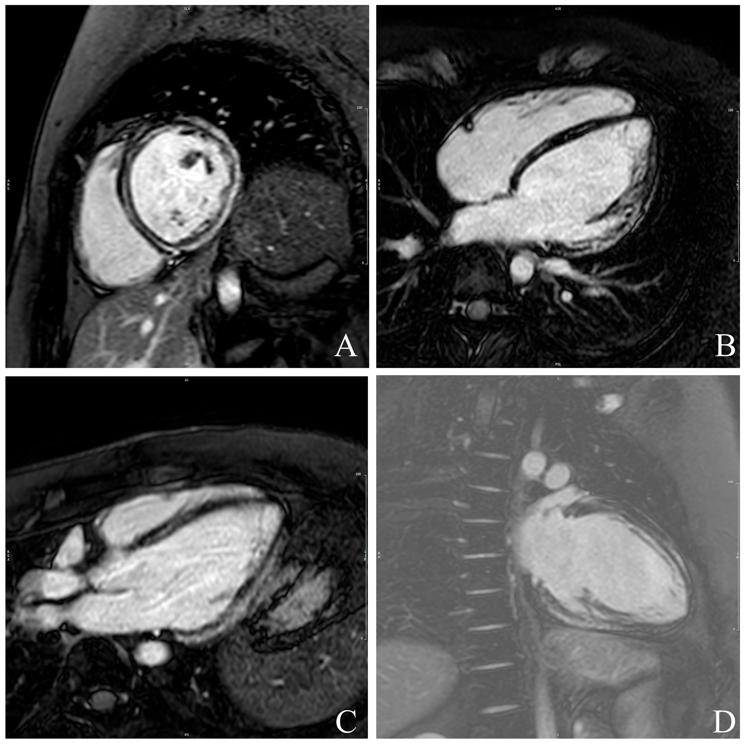
2.2. CMR Assessment
2.3. Clinical Follow-Up and Outcome Definition
2.4. Statistical Analysis
3. Results
3.1. Baseline Characteristics
3.2. CMR-Derived Structural and Functional Parameters
3.3. Prognostic Value of CMR-Derived GLS
3.4. Prognostic Value of CMR-Derived LV-Torsion
3.5. Association of Myocardial Mechanics with LGE
4. Discussion
5. Conclusions
Author Contributions
Funding
Institutional Review Board Statement
Informed Consent Statement
Data Availability Statement
Acknowledgments
Conflicts of Interest
Correction Statement
References
- Sen-Chowdhry, S.; McKenna, W.J.; Basso, C.; Bluemke, D.; Corrado, D.; Garcia-Gras, E.; Bauce, B.; Frigo, G.; Hello, S. Sudden death from genetic and acquired cardiomyopathies. Circulation 2012, 125, 1563–1576. [Google Scholar] [CrossRef] [PubMed]
- Heymans, S.; Lakdawala, N.K.; Tschöpe, C.; Klingel, K. Dilated cardiomyopathy: Causes, mechanisms, and current and future treatment approaches. Lancet 2023, 402, 998–1011. [Google Scholar] [CrossRef]
- Schelbert, E.B.; Piehler, K.M.; Zareba, K.M.; Moon, J.C.; Ugander, M.; Messroghli, D.R.; Valeti, U.S.; Chang, C.C.H.; Shroff, S.G.; Diez, J.; et al. Myocardial fibrosis quantified by extracellular volume is associated with subsequent hospitalization for heart failure, death, or both across the spectrum of ejection fraction and heart failure stage. J. Am. Heart Assoc. 2015, 4, e002613. [Google Scholar] [CrossRef]
- Raafs, A.G.; Boscutti, A.; Henkens, M.T.H.M.; van den Broek, W.W.A.; Verdonschot, J.A.J.; Weerts, J.; Stolfo, D.; Nuzzi, V.; Manca, P.; Hazebroek, M.R.; et al. Global longitudinal strain is incremental to left ventricular ejection fraction for the prediction of outcome in optimally treated dilated cardiomyopathy patients. J. Am. Heart Assoc. 2022, 11, e024505. [Google Scholar] [CrossRef]
- Taha, K.; Kirkels, F.P.; Teske, A.J.; Asselbergs, F.W.; van Tintelen, J.P.; Doevendans, P.A.; Kutty, S.; Haugaa, K.H.; Cramer, M.J. Echocardiographic Deformation Imaging for Early Detection of Genetic Cardiomyopathies: JACC Review Topic of the Week. J. Am. Coll. Cardiol. 2022, 79, 594–608. [Google Scholar] [CrossRef] [PubMed]
- Chen, H.; Brunner, F.J.; Özden, C.; Wenzel, U.O.; Neumann, J.T.; Erley, J.; Saering, D.; Müllerleile, K.; Maas, K.J.; Schoennagel, B.P.; et al. Left ventricular myocardial strain responding to chronic pressure overload in patients with resistant hypertension evaluated by feature-tracking CMR. Eur. Radiol. 2023, 33, 6278–6289. [Google Scholar] [CrossRef]
- Porcari, A.; Merlo, M.; Baggio, C.; Gagno, G.; Cittar, M.; Barbati, G.; Paldino, A.; Castrichini, M.; Vitrella, G.; Pagnan, L.; et al. Global longitudinal strain by CMR improves prognostic stratification in acute myocarditis presenting with normal LVEF. Eur. J. Clin. Invest. 2022, 52, e13815. [Google Scholar] [CrossRef]
- Ridjab, D.A.; Ivan, I.; Budiman, F.; Tenggara, R. Evaluation of subclinical ventricular systolic dysfunction assessed using global longitudinal strain in liver cirrhosis: A systematic review, meta-analysis, and meta-regression. PLoS ONE 2022, 17, e0269691. [Google Scholar] [CrossRef]
- Ferruzzi, G.J.; Campanile, A.; Visco, V.; Loria, F.; Mone, P.; Masarone, D.; Dattilo, G.; Agnelli, G.; Moncada, A.; Falco, L.; et al. Subclinical left ventricular dysfunction assessed by global longitudinal strain correlates with mild cognitive impairment in hypertensive patients. Hypertens. Res. 2025; advance online publication. [Google Scholar] [CrossRef]
- Erley, J.; Genovese, D.; Tapaskar, N.; Alvi, N.; Rashedi, N.; Besser, S.A.; Kawaji, K.; Goyal, N.; Kelle, S.; Lang, R.M.; et al. Echocardiography and cardiovascular magnetic resonance based evaluation of myocardial strain and relationship with late gadolinium enhancement. J. Cardiovasc. Magn. Reson. 2019, 21, 46. [Google Scholar] [CrossRef]
- Nucifora, G.; Ajmone Marsan, N.; Bertini, M.; Delgado, V.; Siebelink, H.M.J.; van Werkhoven, J.M.; Scholte, A.J.; Schalij, M.J.; van der Wall, E.E.; Holman, E.R.; et al. Reduced left ventricular torsion early after myocardial infarction is related to left ventricular remodeling. Circ. Cardiovasc. Imaging 2010, 3, 433–442. [Google Scholar] [CrossRef] [PubMed]
- Esch, B.T.; Warburton, D.E.R. Left ventricular torsion and recoil: Implications for exercise performance and cardiovascular disease. J. Appl. Physiol. 2009, 106, 362–369. [Google Scholar] [CrossRef]
- Nordin, S.; Kozor, R.; Bulluck, H.; Castelletti, S.; Rosmini, S.; Abdel-Gadir, A.; Baig, S.; Mehta, A.; Hughes, D.; Moon, J.C. Cardiac Fabry disease with late gadolinium enhancement is a chronic inflammatory cardiomyopathy. J. Am. Coll. Cardiol. 2016, 68, 1707–1708. [Google Scholar] [CrossRef]
- Felker, G.M.; Ellison, D.H.; Mullens, W.; Cox, Z.L.; Testani, J.M. Diuretic therapy for patients with heart failure: JACC state-of-the-art review. J. Am. Coll. Cardiol. 2020, 75, 1178–1195. [Google Scholar] [CrossRef]
- Kuruvilla, S.; Adenaw, N.; Katwal, A.B.; Lipinski, M.J.; Kramer, C.M.; Salerno, M. Late gadolinium enhancement on cardiac magnetic resonance predicts adverse cardiovascular outcomes in non-ischemic cardiomyopathy: A systematic review and meta-analysis. Circ. Cardiovasc. Imaging 2014, 7, 250–258. [Google Scholar] [CrossRef] [PubMed]
- Theerasuwipakorn, N.; Chokesuwattanaskul, R.; Phannajit, J.; Marsukjai, A.; Thapanasuta, M.; Klem, I.; Chattranukulchai, P. Impact of late gadolinium-enhanced cardiac MRI on arrhythmic and mortality outcomes in non-ischemic dilated cardiomyopathy: Updated systematic review and meta-analysis. Sci. Rep. 2023, 13, 13775. [Google Scholar] [CrossRef] [PubMed]
- Hammersley, D.J.; Zegard, A.; Androulakis, E.; Jones, R.E.; Okafor, O.; Hatipoglu, S.; Mach, L.; Lota, A.S.; Khalique, Z.; de Marvao, A.; et al. Arrhythmic Risk Stratification by Cardiovascular Magnetic Resonance Imaging in Patients with Nonischemic Cardiomyopathy. J. Am. Coll. Cardiol. 2024, 84, 1407–1420. [Google Scholar] [CrossRef] [PubMed]
- Fong, L.C.W.; Lee, N.H.C.; Poon, J.W.L.; Chin, C.W.L.; He, B.; Luo, L.; Chen, C.; Wan, E.Y.F.; Pennell, D.J.; Mohiaddin, R.; et al. Prognostic value of cardiac magnetic resonance derived global longitudinal strain analysis in patients with ischaemic and non-ischaemic dilated cardiomyopathy: A systematic review and meta-analysis. Int. J. Cardiovasc. Imaging 2022, 38, 2707–2721. [Google Scholar] [CrossRef]
- Sharma, A.; Bertog, S.; Tholakanahalli, V.; Mbai, M.; Chandrashekhar, Y.S. 4D Intracardiac Echocardiography-Guided Left Atrial Appendage Closure Under Conscious Sedation: Initial Experience and Procedural Technique. JACC Cardiovasc. Imaging 2021, 14, 2254–2259. [Google Scholar] [CrossRef]
- Condorelli, G.; Heusch, G. Dr. John Ross Jr. Following a long, successful career in which he invented retrograde needle catheterization of the left ventricle and mentored many physicians John Ross Jr departed this world in April 2019. Eur. Heart J. 2019, 40, 2004–2005. [Google Scholar] [CrossRef]
- Arbelo, E.; Protonotarios, A.; Gimeno, J.R.; Arbustini, E.; Barriales-Villa, R.; Basso, C.; Bezzina, C.R.; Biagini, E.; Blom, N.A.; de Boer, R.A.; et al. 2023 ESC Guidelines for the management of cardiomyopathies: Developed by the task force on the management of cardiomyopathies of the European Society of Cardiology (ESC). Eur. Heart J. 2023, 44, 3503–3626. [Google Scholar] [CrossRef]
- Walweel, K.; Gomez-Hurtado, N.; Oo, Y.W.; Beard, N.A.; Dos Remedios, C.; Johnson, C.N.; Chazin, W.J.; van Helden, D.F.; Knollmann, B.C.; Laver, D.R. Calmodulin mutants linked to catecholaminergic polymorphic ventricular tachycardia fail to inhibit human RyR2 channels. J. Am. Coll. Cardiol. 2017, 70, 115–117. [Google Scholar] [CrossRef]
- Kramer, C.M.; Barkhausen, J.; Bucciarelli-Ducci, C.; Flamm, S.D.; Kim, R.J.; Nagel, E. Standardized cardiovascular magnetic resonance imaging (CMR) protocols: 2020 update. J Cardiovasc. Magn. Reson. 2020, 22, 17. [Google Scholar] [CrossRef] [PubMed]
- Jenista, E.R.; Wendell, D.C.; Azevedo, C.F.; Klem, I.; Judd, R.M.; Kim, R.J.; Kim, H.W. Revisiting how we perform late gadolinium enhancement CMR: Insights gleaned over 25 years of clinical practice. J. Cardiovasc. Magn. Reson. 2023, 25, 18. [Google Scholar] [CrossRef] [PubMed]
- Liu, W.; Zhang, Y.; Liu, Y.; Ma, C.; Yang, J.; Sun, D. Assessment of left ventricular systolic function in hypertrophic cardiomyopathy patients with myocardial injury: A study based on layer-specific speckle tracking echocardiography. Int. J. Cardiovasc. Imaging 2020, 36, 2129–2137. [Google Scholar] [CrossRef] [PubMed]
- Ochs, A.; Riffel, J.; Ochs, M.M.; Arenja, N.; Fritz, T.; Galuschky, C.; Schuster, A.; Bruder, O.; Mahrholdt, H.; Giannitsis, E.; et al. Myocardial mechanics in dilated cardiomyopathy: Prognostic value of left ventricular torsion and strain. J. Cardiovasc. Magn. Reson. 2021, 23, 136. [Google Scholar] [CrossRef]
- Rady, M.; Ulbrich, S.; Heidrich, F.; Jellinghaus, S.; Ibrahim, K.; Linke, A.; Sveric, K.M. Left Ventricular Torsion—A New Echocardiographic Prognosticator in Patients with Non-Ischemic Dilated Cardiomyopathy. Circ. J. 2019, 83, 595–603. [Google Scholar] [CrossRef]
- Young, A.A.; Cowan, B.R. Evaluation of left ventricular torsion by cardiovascular magnetic resonance. J. Cardiovasc. Magn. Reson. 2012, 14, 49. [Google Scholar] [CrossRef]
- Pi, S.-H.; Kim, S.M.; Choi, J.-O.; Kim, E.K.; Chang, S.-A.; Choe, Y.H.; Lee, S.-C.; Jeon, E.-S. Prognostic value of myocardial strain and late gadolinium enhancement on cardiovascular magnetic resonance imaging in patients with idiopathic dilated cardiomyopathy with moderate to severely reduced ejection fraction. J. Cardiovasc. Magn. Reson. 2018, 20, 36. [Google Scholar] [CrossRef]
- Qin, L.; Zhu, S.; Liu, P.; Zhu, L.; Chen, C.; Gu, S.; Yang, W.; Zhou, M.; Yan, F. Additional prognostic values of strain and strain rate over late gadolinium enhancement in hypertrophic cardiomyopathy patients. Int. J. Cardiol. 2023, 370, 427–434. [Google Scholar] [CrossRef]
- Mėlinytė-Ankudavičė, K.; Marcinkevičienė, K.; Galnaitienė, G.; Bučius, P.; Lapinskas, T.; Ereminienė, E.; Šakalytė, G.; Jurkevičius, R. Potential prognostic impact of left-ventricular global longitudinal strain in analysis of whole-heart myocardial mechanics in nonischemic dilated cardiomyopathy. Int. J. Cardiovasc. Imaging 2024, 40, 1941–1949. [Google Scholar] [CrossRef]
- Negri, F.; Muser, D.; Driussi, M.; Sanna, G.D.; Masè, M.; Cittar, M.; Poli, S.; De Bellis, A.; Fabris, E.; Puppato, M.; et al. Prognostic role of global longitudinal strain by feature tracking in patients with hypertrophic cardiomyopathy: The STRAIN-HCM study. Int. J. Cardiol. 2021, 345, 61–67. [Google Scholar] [CrossRef] [PubMed]
- Cionca, C.; Zlibut, A.; Agoston, R.; Agoston-Coldea, L.; Orzan, R.I.; Mocan, T. Evaluating the clinical utility of left ventricular strains in severe AS: A pilot study with feature-tracking cardiac magnetic resonance. Biomedicines 2024, 12, 2104. [Google Scholar] [CrossRef] [PubMed]







| DCM Group n = 150 | Healthy Group n = 100 | p-Value | |
|---|---|---|---|
| Clinical characteristics | |||
| 52 (14.2) | 53 (12.1) | NS |
| 110 (73.3) | 61 (61) | NS |
| 27.6 (4.8) | 28.5 (4.3) | NS |
| 74 (15.8) | 72 (9.3) | <0.05 |
| 132 (19.1) | 109 (12.9) | <0.05 |
| 79 (52.6) | 51 (51) | NS |
| 45 (30) | 29 (29) | NS |
| 86 (57.3) | 48 (48) | NS |
| 48 (32) | 26 (26) | NS |
| 28/51/22 | 15/0/0 | NS |
| Electrocardiogram | |||
| 20 (13.3) | NA | |
| 14 (9.3) | 5 (5) | NS |
| 14 (9.3) | 4 (4) | NS |
| 17 (11.3) | NA | |
| Medications | |||
| 130 (86.6) | 30 (30) | <0.05 |
| 113 (75.3) | 37 (37) | <0.05 |
| 8 (5.3) | 2 (2) | NS |
| 87 (58) | 63 (63) | NS |
| 52 (34.6) | NS | |
| 96 (64) | 54 (54) | NS |
| Biomarker levels | |||
| 2807 (570–10,870) | 214 (60–370) | NS |
| 81.9 (17.2) | 86.8 (21.1) | NS |
| DCM Group n = 150 | Healthy Group n = 100 | p-Value | |
|---|---|---|---|
| Cardiovascular magnetic resonance | |||
| 134.6 (35.5) | 63.3 (17.2) | <0.001 |
| 90.7 (34.8) | 22.1 (7.6) | <0.001 |
| 87.4 (20.6) | 58.8 (12.6) | <0.001 |
| 35.1 (9.5) | 65.2 (5.2) | <0.001 |
| 57.8 (21.7) | 30.6 (12.2) | <0.001 |
| −9.2 (4.5) | −19.7 (1.3) | <0.001 |
| 1.04 (0.19) | 1.95 (0.22) | <0.001 |
| 0.41 (0.10) | - | NA |
| 63 (42) | - | NA |
| 34.0 (4–82) | - | NA |
| 54.2 (22.4) | 56.5 (23.2) | NS |
| 29.4 (15.5) | 22.2 (20.0) | <0.01 |
| 45.9 (9.7) | 60.7 (5.2) | <0.01 |
| No MACE n = 126 |
MACE n = 24 | Univariable Analysis | Multivariable Analysis | |||
|---|---|---|---|---|---|---|
|
Unadjusted HR (95% CI) | p Value | Adjusted HR (95% CI) | p Value | |||
| Age, years | 52 (13.4) | 51 (17.9) | 1.00 (0.98–1.02) | NS | ||
| Male sex, n, % | 92 (73.0) | 18 (75.0) | 1.11 (0.53–2.48) | NS | ||
| Body-mass index, kg/m2 | 28.1 (4.7) | 24.9 (4.7) | 1.00 (0.94–1.12) | NS | ||
| Systolic blood pressure | 132 (19.5) | 135.8 (16.6) | 0.97 (0.95–1.00) | NS | ||
| NT-proBNP, pg/mL | 2729 (600–10,870) | 2919 (570–9900) | 0.96 (0.998–1.02) | NS | ||
| LVEDV index, mL/m2 | 133.9 (35.6) | 138.8 (35.3) | 1.01 (0.98–1.01) | NS | ||
| LVESV index, mL/m2 | 89.2 (34.7) | 98.6 (35.5) | 0.99 (0.98–1.01) | NS | ||
| LVM index, g/m2 | 87.8 (20.2) | 85.5 (22.8) | 1.01 (0.98–1.03) | NS | ||
| LVEF, % | 34.8 (9.2) | 30.4 (10.1) | 1.02 (0.96–1.47) | NS | ||
| LAV index, mL/m2 | 56.2 (21.1) | 66.4 (23.2) | 0.99 (0.97–1.01) | NS | ||
| GLS, % | −9.5 (4.8) | −7.7 (2.1) | 1.21 (1.01–1.44) | 0.034 | 1.09 (1.01–1.61) | <0.01 |
| LV torsion, °/cm | 1.04 (0.2) | 1.03 (0.15) | 1.44 (1.03–2.00) | 0.029 | 1.37 (1.03–1.81) | <0.01 |
| LGE +, n | 48 (38.1) | 15 (62.5) | 4.23 (1.48–12.52) | 0.007 | 2.86 (0.00–12.51) | <0.001 |
| LVSI, % | 0.41 (0.10) | 0.42 (0.11) | 1.13 (1.01–2.02) | 0.047 | 0.87 (0.79–1.37) | NS |
| RVEDV index, mL/m2 | 52.8 (20.9) | 55.5 (29.8) | 1.03 (0.99–1.02) | NS | ||
| RVESV index, mL/m2 | 28.4 (13.6) | 34.8 (26.6) | 1.01 (0.99–1.02) | NS | ||
| RVEF, % | 46.8 (9.3) | 41.2 (10.5) | 0.95 (0.92–1.01) | NS | ||
Disclaimer/Publisher’s Note: The statements, opinions and data contained in all publications are solely those of the individual author(s) and contributor(s) and not of MDPI and/or the editor(s). MDPI and/or the editor(s) disclaim responsibility for any injury to people or property resulting from any ideas, methods, instructions or products referred to in the content. |
© 2025 by the authors. Licensee MDPI, Basel, Switzerland. This article is an open access article distributed under the terms and conditions of the Creative Commons Attribution (CC BY) license (https://creativecommons.org/licenses/by/4.0/).
Share and Cite
Zlibut, A.; Bietenbeck, M.; Agoston-Coldea, L. CMR-Derived Global Longitudinal Strain and Left Ventricular Torsion as Prognostic Markers in Dilated Cardiomyopathy. J. Cardiovasc. Dev. Dis. 2025, 12, 340. https://doi.org/10.3390/jcdd12090340
Zlibut A, Bietenbeck M, Agoston-Coldea L. CMR-Derived Global Longitudinal Strain and Left Ventricular Torsion as Prognostic Markers in Dilated Cardiomyopathy. Journal of Cardiovascular Development and Disease. 2025; 12(9):340. https://doi.org/10.3390/jcdd12090340
Chicago/Turabian StyleZlibut, Alexandru, Michael Bietenbeck, and Lucia Agoston-Coldea. 2025. "CMR-Derived Global Longitudinal Strain and Left Ventricular Torsion as Prognostic Markers in Dilated Cardiomyopathy" Journal of Cardiovascular Development and Disease 12, no. 9: 340. https://doi.org/10.3390/jcdd12090340
APA StyleZlibut, A., Bietenbeck, M., & Agoston-Coldea, L. (2025). CMR-Derived Global Longitudinal Strain and Left Ventricular Torsion as Prognostic Markers in Dilated Cardiomyopathy. Journal of Cardiovascular Development and Disease, 12(9), 340. https://doi.org/10.3390/jcdd12090340

