Abstract
Eosinophilic myocarditis (EM) is a rare and potentially fatal form of acute myocarditis. Currently, no validated diagnostic criteria exist, and definitive diagnosis relies on endomyocardial biopsy (EMB) not devoid of periprocedural complications. This review aims to explore how a multimodality imaging approach can support early diagnosis, reduce reliance on EMB, enable risk stratification and monitor the response to anti-inflammatory therapy. In particular, while echocardiography provides rapid and useful information in suspected EM, cardiac magnetic resonance (CMR) remains the non-invasive gold standard for diagnosis due to its ability to provide accurate tissue characterization. Moreover, positron emission tomography/computed tomography (PET/CT) and cardiac CT (CCT) may offer valuable insights, particularly when echocardiographic image quality is poor or CMR is contraindicated or unavailable. Based on our experience and current literature, an optimal multimodality imaging approach should reserve EMB only for high-risk or inconclusive cases. Furthermore, this strategy offers complementary information, supporting clinical decisions and optimizing long-term outcomes.
1. Introduction
Eosinophilic myocarditis (EM) is a rare but potentially severe form of acute myocarditis (AM) characterized by eosinophilic myocardial infiltration, typically progressing to endocardial fibrotic remodeling with a high risk of intracavitary thrombus, a condition known as Loeffler cardiomyopathy. The true incidence of EM is difficult to determine because clinical presentation is nonspecific and endomyocardial biopsy (EMB) is not routinely performed during AM. Early diagnosis would enable prompt initiation of both etiologic and immunosuppressive therapies, which can significantly improve prognosis. The aim of this review is to explore how a multi-imaging approach can support an early diagnosis, reduce the need for EMB, stratify the risk and monitor the therapeutic response during the follow-up.
EM pathophysiology unfolds through four consecutive mechanisms: eosinophil hyperproduction, myocardial infiltration, degranulation and cardiac damage. Eosinophils are generated in the bone marrow in response to cytokine stimulation, primarily interleukin-5 (IL-5), which also inhibits eosinophil apoptosis in vitro []. Once released into the bloodstream, eosinophils migrate and accumulate in tissues releasing cytotoxic granules (direct damage) and induce chronic inflammation, vasculitis and fibrosis (indirect damage), which culminates in an organ injury. This pathological sequence is more likely when the absolute eosinophil count exceeds 1500/μL (hypereosinophilia), although it can also occur at lower levels.
2. Etiology
EM is a possible expression of hypereosinophilic syndrome (HES), a condition characterized by excessive and unregulated clonal expansion of eosinophils and organ damage. It is common practice to divide causes of HES into three categories: neoplastic (or primary), reactive (or secondary) and idiopathic.
In the neoplastic group, clonal expansion occurs in various myeloid neoplasms, such as acute or chronic eosinophilic leukemia, chronic myelomonocytic leukemia and systemic mast cell disease []. Malignant solid tumors, typically pulmonary adenocarcinomas, might also induce HES [].
The reactive group includes helminthic infections (e.g., Toxocara canis, Strongyloides, Schistosoma) [], allergies and atopic conditions (e.g., asthma, rhinitis, dermatitis) and drug reaction with eosinophilia and systemic symptoms (DRESS) syndrome induced after antibiotics, non-steroid anti-inflammatory, anticonvulsants or occasionally vaccination []. Additionally, reactive autoimmune diseases can cause eosinophilic syndrome, such as eosinophilic granulomatosis with polyangiitis, EGPA (or Churg–Strauss syndrome), a rare autoimmune vasculitis of small- to medium-sized blood vessels with clusters of inflammatory cells called granulomas leading to damage of various organs. EGPA seems to be secondary to immune system dysregulation and often develops in individuals with a history of asthma or allergic conditions.
Most cases of HES, however, do not have an identifiable underlying cause and are referred to as idiopathic HES.
3. Diagnosis
The suspicion of EM is primarily clinical, but the diagnosis requires a multimodality imaging approach integrated with laboratory findings and electrocardiography (ECG) evaluation. Nevertheless, definitive diagnosis relies on histological confirmation through EMB.
3.1. Clinical Features
EM may affect middle-aged adults of both sexes equally []. According to the different possible etiologies, the clinical onset can range from subtle symptoms to acute heart failure (AHF) and, in severe cases, life-threatening fulminant myocarditis (FM) []; therefore, a high index of suspicion is crucial for timely and accurate diagnosis []. Patients could experience prodromal symptoms, such as flu-like illness, gastrointestinal issues, sore throat or respiratory infections; these symptoms can precede the acute phase by days or even weeks []. Fever is common (65%) [], while dyspnea (19–49%) is less frequent and syncope (6%) is atypical []. Despite these variations, chest pain remains the most frequent symptom, occurring in 85–95% of cases []. In many cases, prodromal symptoms fail to alert patients, who often go to the emergency room only when AHF becomes evident—typically with dyspnea, fatigue and peripheral edema—or, in rarer cases of FM, hemodynamic instability develops in the context of cardiogenic shock (CS). Notably, due to the inflammatory nature of EM, patients are at a heightened risk for intracavitary thrombus and thromboembolic complications such as stroke or pulmonary embolism [,,]. Moreover, as a systemic condition, extracardiac involvement is common (Figure 1).

Figure 1.
Possible extracardiac findings during hypereosinophilic syndrome (HES).
3.2. Initial Work-Up
The initial work-up accounts for laboratory tests, chest x-ray and electrocardiography (ECG).
Laboratory evaluation should focus on detecting myocardial injury and systemic inflammation. Key tests include high-sensitivity troponins and creatine kinase-MB [], although troponin levels correlate weakly with the degree of cardiac dysfunction []. Inflammatory markers such as C-reactive protein (CRP) are elevated in approximately 80–95% of cases []; similarly, erythrocyte sedimentation rate (ESR) is frequently increased, although this is less commonly used as a marker in emergency settings []. A complete blood count may show leukocytosis and eosinophilia [], although not always present. Some patients may develop it during hospitalization, while in others, eosinophils may have already migrated to tissues, leading to transiently normal counts despite active marrow eosinopoiesis. Serial differential counts are therefore recommended to avoid missed or delayed diagnosis [,]. Autoantibody screening, including antinuclear antibodies (ANA), should be considered in patients with known or suspected autoimmune disease. In particular, EGPA diagnosis is based on hypereosinophilia, positive anti-neutrophil cytoplasmic antibodies (ANCA), imaging evidence of granulomas at chest X-ray (CXR) or at tissue biopsies and electromyography if nerves are involved []. Notably, the ANCA test is frequently negative in EM caused by EGPA [,]. Lastly, if a neoplastic or paraneoplastic eosinophilia is suspected, a tumor markers test should be considered [].
Despite its nonspecificity, ECG remains an essential component in the initial assessment and risk stratification of EM. To note, ECG abnormalities are frequent (85%), and ST segment elevation—particularly in the inferior and lateral leads—is the most common finding, often mimicking acute myocardial infarction []. Diffuse ST segment changes, both elevations or depressions, and reduced QRS voltage are frequently observed in cases of pericardial involvement []. Repolarization abnormalities may manifest as negative, isoelectric, biphasic or triphasic T waves. Malignant arrhythmias, such as ventricular tachycardia or fibrillation, are fortunately uncommon and are associated with a poor prognosis []. Additional findings may include sinus tachycardia, bradycardia, atrioventricular block, bundle branch block or QRS prolongation [].
CXR findings in EM are nonspecific. However, CXR is a valuable initial imaging modality and should be interpreted in conjunction with clinical presentation and other diagnostic modalities. It may reveal signs of left-side heart failure (e.g., cardiomegaly, pulmonary edema) and pericardial effusion, which may appear as a “water bottle” cardiac silhouette []. In case of suspected EGPA, CXR could show chest granulomas supporting the diagnosis []. However, this finding is not pathognomonic and is more accurately confirmed with echocardiography or CT imaging [,].
3.3. Echocardiography
Transthoracic echocardiography (TTE) is a non-invasive, rapid and easily available bedside examination that represents the first-line imaging modality in diagnostic EM.
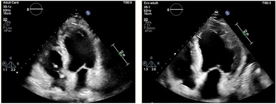
During the acute phase, TTE is important for assessing global cardiac function, through the left ventricular (LV) ejection fraction (EF). However, findings may be normal or slightly abnormal, such as hypokinesia, subendocardial hyperechogenicity, chamber dilation or increased wall thickness (pseudohypertrophy) [] (Figure 2).

Figure 2.
Transthoracic echocardiography, apical four-chamber view. Normal LV thickness and size (left), becoming pseudo-hypertrophic and hypokinetic after onset of eosinophilic myocarditis (right).
In the subsequent chronic phase, myocardial wall thickening and systolic dysfunction may persist, along with fibrotic obliteration of ventricular apices, intracavitary thrombus, atrial enlargement and valvular dysfunction.
Global longitudinal speckle (GLS), assessed by speckle tracking echocardiography, is useful for assessing myocardial deformation and identifying early systolic dysfunction, even when standard LVEF is still preserved []. In the chronic phase, a pathological pattern predominantly involving the apex, known as “reverse apical sparing”, may be observed [] (Figure 3). This can also be observed in hypertrophic cardiomyopathy; GLS values are typically preserved in this setting []. Left ventricular mechanical dispersion (LVMD) is an emerging parameter that strongly correlates with the risk of ventricular arrhythmias and overall prognosis. It may outperform both GLS and LVEF in terms of predictive value. However, it has not yet been studied in the context of AM and further research is required to define clinically meaningful cutoff values [,,]. Regarding diastolic dysfunction, elevated filling pressures may predict progression toward restrictive cardiomyopathy [,,]. For the detection of intracavitary thrombi, particularly at the LV apex, specific intravenous ultrasound contrast agents can be useful. These agents are also beneficial for better characterization of ventricular function and for differential diagnosis with apical hypertrophic cardiomyopathy [,]. Regurgitation of the atrioventricular valves is a common finding, likely secondary to inflammatory damage and altered cardiac hemodynamics. Specifically, mitral regurgitation derives from chronic restriction of posterior leaflet motion [,] and tricuspid regurgitation may result from direct inflammatory injury or be a consequence of pressure overload due to left-sided valvular disease [,]. Severe mitral stenosis secondary to EGPA has also been reported, with a positive response to pharmacological treatment []. In case of persistent doubts regarding valvular anatomy and intracavitary thrombus, transesophageal echocardiography can be helpful [,].

Figure 3.
Bull’s-eye plot of GLS analysis shows a “reverse apical sparing” pattern, with lower longitudinal shortening values in some mid-basal segments (light red) and preserved values in apical segments (red). In clinical practice, values less negative than -16% are considered reduced [].
3.4. Cardiac Magnetic Resonance
CMR is the non-invasive gold standard for diagnosing myocarditis, according to the 2018 Lake Louise criteria, with a sensitivity of 87.5% and specificity of 96.2% [,]. The integration of CMR and highly sensitive troponin further improved non-invasive diagnostic accuracy [], thus increasingly reserving EMB for high-risk cases. CMR uniquely provides tissue characterization similar to a virtual biopsy, while also offering high spatial resolution and accurate assessment of cardiac function. It is also valuable for identifying intracavitary thrombotic formations, guiding potential biopsy procedures, and ruling out coronary artery disease (CAD). Four weeks from symptom onset, myocardial edema tends to regress [], so experts recommend performing CMR within 2–3 weeks from symptom onset, depending on hemodynamic stability []. An ideal CMR protocol for suspected EM should include the following sequences: (a) cine Steady-State Free Precession (cine-SSFP) for atrial dimensions and biventricular assessment in terms of global and regional systolic function, chamber size, wall thickness and myocardial mass; (b) native and post contrast T1 mapping, for quantitative calculation of the extracellular volume (ECV); (c) native T2 mapping, for the identification and quantification of myocardial edema; (d) Late Gadolinium Enhancement (LGE), for the detection of myocardial edema and fibrosis/necrosis. It is noteworthy that if native T1 and T2 mapping are not available, T2-weighted Short Tau Inversion Recovery (T2w-STIR) sequences can be performed for visual detection of myocardial edema.
In acute EM, diffuse myocardial edema is commonly observed. This condition may lead to apparent hypertrophy and increased signal intensity on both T1w and T2w sequences, accompanied by elevated native T1 and T2 mapping values, and consequently an increased ECV. According to our experience, the presence of LGE may be diffuse and without a specific pattern, reflecting the presence of an ongoing myocardial edema [,,]. Notably, cases of acute necrotizing forms of EM have been reported with no detectable abnormalities on CMR, except for a mild pericardial effusion [,].
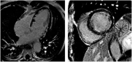
In subacute and chronic EM phases, the presence of myocardial edema is variable, while LGE typically reveals a circumferential pattern of subendocardial fibrosis [,,,], occasionally involving both ventricles (“V-shaped” aspect of the apical ventricles) [], and clearly not following a coronary distribution. This fibrotic progression, known as Loeffler cardiomyopathy (Figure 4), is particularly common in EGPA-related EM []. At this stage, it is crucial to rule out intraventricular thrombus, not always detectable by contrast echocardiography (Figure 5). Moreover, a correlation has been observed between the CMR pattern and the histopathological subtype. Notably, necrotizing EM is associated with the presence of subendocardial LGE in a greater number of LV segments, and the LGE mass is approximately double compared to forms without myocardial necrosis [].

Figure 4.
Loeffler cardiomyopathy. LGE sequences performed 5 months after the onset of eosinophilic myocarditis show a circumferential pattern of subendocardial fibrosis (hyperintense areas) in the apical four-chamber view (left) and mid-ventricular short-axis view (right). The subendocardial fibrosis does not follow a coronary distribution and produces a “V-shaped” appearance of the apical ventricles in the apical four-chamber view.

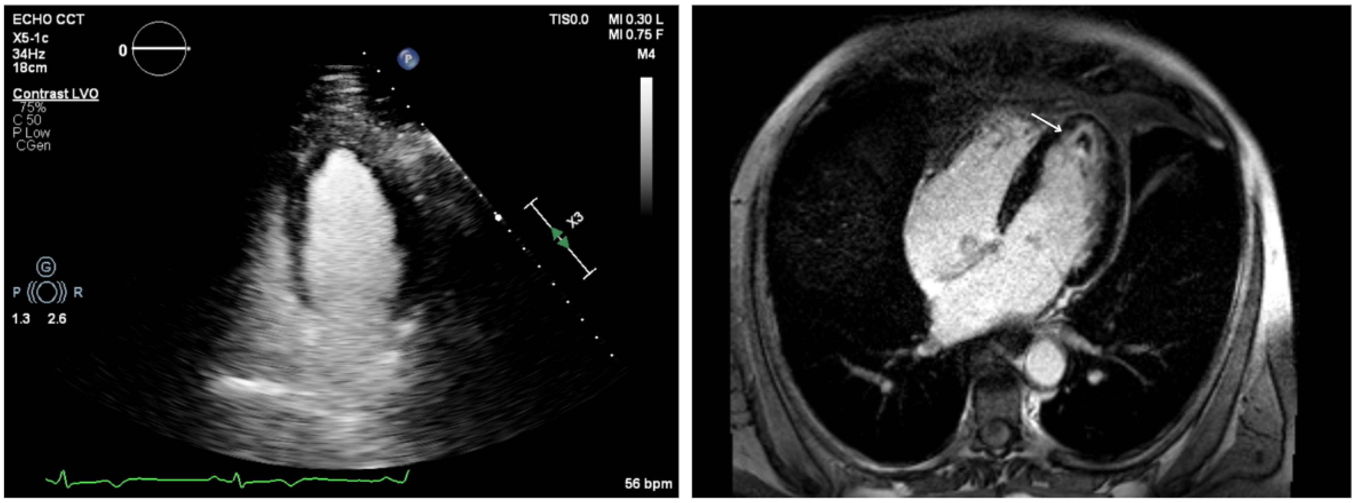
Figure 5.
Patient with Loeffler cardiomyopathy and high suspicion of intracavitary thrombosis due to a transient ischemic attack (TIA). Contrast-enhanced echocardiography does not show intracavitary thrombus in the left ventricle (LV) (left panel; the green line represents the simultaneous electrocardiographic [ECG] recording), whereas CMR reveals a small apical thrombus in the LV apex (white arrow, right panel).
3.5. Cardiac CT
Cardiac computed tomography (CT) can play a role in the diagnostic work-up of EM, especially in patients who cannot undergo CMR, despite its associated radiation exposure and iodine contrast administration. EM onset could mimic an acute coronary syndrome, the cardiac CT rules out CAD in patients with low pretest clinical likelihood, thereby avoiding invasive coronary angiography [,,,], allowing the evaluation of coronary anatomy variants (e.g., anomalous origin, myocardial bridge), atherosclerosis and myocardial perfusion, distinguishing ischemic vs. non-ischemic origins of LV dysfunction [,]. Cardiac CT can also serve as a validated alternative to ETT and CMR for the evaluation of cardiac volumes, dimensions and bi-ventricular EF when echocardiographic image quality is suboptimal and CMR is either contraindicated (e.g., non-MRI-compatible devices or severe claustrophobia) or unavailable [,,,]. Finally, cardiac CT can detect LV thrombus more effectively than echocardiography; it appears as a crescent-shaped filling defect with hypoattenuation (<65 Hounsfield units) [,].
3.6. [18F]FDG Positron Emission Tomography
Positron emission tomography (PET) is not routinely used in EM or AM in general. Hybrid techniques such as 2-[18F]fluorodeoxyglucose ([18F]FDG) PET/CT or PET/MRI can serve as valid non-invasive alternatives to CMR for diagnosing myocarditis. These techniques combine the detection of metabolically active inflammation with detailed anatomical information []. The diagnostic accuracy of PET in this context is high when compared to EMB []. However, its effectiveness depends on several factors, including the timing of imaging, which should ideally be performed within 14 days of symptom onset, with adequate dietary preparation with a glucose-free regimen maintained for at least 12 h, and corticosteroid therapy withdrawal in the 72 h preceding the scan. Specifically, inflamed myocardial tissue typically demonstrates decreased perfusion and increased [18F]-FDG uptake, due to the accumulation of activated leukocytes, especially macrophages, which express high levels of glucose transporters. This leads to rapid and localized tracer accumulation at sites of inflammation []. Moreover, [18F]FDG PET can be a valuable guide for targeted EMB, detection of inflammatory processes in other organs in patients with underlying systemic autoimmune diseases, and for monitoring response to immunosuppressive therapy [,].
While [18F]FDG PET is currently the primary molecular imaging method for myocardial inflammation, its clinical application is limited by physiological myocardial tracer uptake and its tendency for non-specific uptake in various cardiac diseases. New PET radiotracers targeting inflammatory immune cells or distinct molecular pathways, compared to [18F]FDG, may provide better visualization of the underlying mechanisms in inflammatory cardiac diseases, including EM []. However, the current literature on PET/CT or PET/MRI with different radiopharmaceuticals in EM is limited to case reports [,,,] and thus, only very low-quality evidence supports the use of PET in EM.
3.7. Endomyocardial Biopsy
EMB remains the gold standard for the diagnosis of myocarditis [], particularly useful when the clinical presentation and other diagnostic methods fail to provide a definitive diagnosis []. The invasive nature of EMB and its potential complications, reported in rates ranging from <1 to 6% depending on the clinical scenario and on operator’s experience [], discourage the routine use of EMB in the management of uncomplicated myocarditis. Potential complications of EMB include arrhythmias, bleeding and myocardial perforation []. EMB should be reserved for AM cases with undetermined etiology, and in the case of FM, to provide a timely and definitive diagnosis and guide the appropriate therapy []. The decision to perform a right or left ventricular biopsy should be guided by clinical presentation and ventricular involvement; advanced imaging, such as CMR, but also PET, might help define target areas for EMB []. However, it should be noted that LV EMB is associated with an almost two-fold increased risk of complications compared with RV or EMB and should only be considered when inflammation affects exclusively the LV []. The sensitivity of EMB is relatively low due to sampling error, as biopsies may miss inflamed areas, particularly in focal myocarditis []. To enhance diagnostic accuracy and reduce sampling error, EMB should be performed early in the disease course (e.g., prior to eventual anti-inflammatory therapies), with the acquisition of multiple tissue specimens []. A minimum of three samples, each measuring 1–2 mm, should be collected from either the RV or LV and immediately fixed in 10% buffered formalin at room temperature for histological evaluation by light microscopy. Diagnostic interpretation should follow the Marburg criteria, which define active myocarditis by the presence of ≥14 leukocytes/mm2—including up to 4 monocytes/mm2—with ≥7 CD3-positive T lymphocytes/mm2, along with evidence of myocardial necrosis or degeneration not characteristic of ischemic damage [,]. To improve the diagnostic yield of immunohistochemical analysis, the use of a broad panel of monoclonal and polyclonal antibodies is recommended []. In EM, histology shows abundant eosinophilic infiltration without giant cells or granulomas. Although EMB remains limited in the overall workup of suspected myocarditis, its role specifically for EM might be more relevant due to the often acute presentation of this form and to the absence of a pathognomonic aspect in non-invasive imaging.
The main clinical indications for EMB in suspected eosinophilic myocarditis, along with the role of imaging in improving diagnostic yield and biopsy guidance, are summarized in Table 1.

Table 1.
Clinical indications for endomyocardial biopsy in suspected EM and the role of imaging in guiding biopsy.
4. Treatment and Follow-Up
4.1. Fulminant and Acute Non-Fulminant Myocarditis
The two possible cardiac presentations of EM are acute non-fulminant and fulminant myocarditis (FM).
FM with CS represents the most severe form of presentation, with a reported mortality rate or requirement for heart transplantation (HTx) of 26.3% at 60 days and 37.3% at 1 year []. Although there is no standardized protocol, a recent expert consensus statement on the management of CS [] highlights that continuous invasive hemodynamic monitoring within the first 24 h is essential to assess CS severity and appropriately titrate pharmacological and/or mechanical support. The goal of vasoactive pharmacological support is to improve cardiac output and maintain adequate end-organ perfusion. Although no agent has demonstrated clear superiority, norepinephrine is generally considered the first-line inopressor, while dobutamine is commonly used as an inodilator. Calcium sensitizers such as levosimendan can also be beneficial, although their use may be limited by arterial hypotension or renal failure. In the first 24 h, if signs of hypoperfusion persist or worsen despite pharmacological support, an early intervention with temporary Mechanical Circulatory Support (t-MCS) should be considered. The aim is to improve organ perfusion, unload the ventricles, reduce pharmacological support, facilitate myocardial recovery or act as a bridge to a left ventricular assist device (LVAD) or HTx.
Acute non-fulminant EM is characterized by AHF onset and its management follows the 2021 ESC Guidelines for the diagnosis and treatment of acute and chronic heart failure []. When present, congestion/fluid overload should be managed with intravenous loop diuretics. In cases of persistent congestion and reduced urine output (<100–150 mL/h after 6 h), renal replacement therapy with ultrafiltration may become necessary. In patients with heart failure with reduced ejection fraction (HFrEF), empirical initiation and titration of the four cornerstone therapies for heart failure should be performed, although there is a lack of evidence supporting their mortality benefit in cases of heart failure secondary to AM.
4.2. Thromboembolic Complications
Intracardiac thrombosis, particularly at the LV apex, is a frequent finding in EM, especially in forms associated with hypereosinophilia and EGPA []. Oral anticoagulant (OAC) therapy is recommended for a minimum duration of three months. According to a recent meta-analysis [], direct oral anticoagulants (DOACs) represent a valid alternative to vitamin K antagonists (VKAs), particularly when international normalized ratio (INR) monitoring is challenging or therapeutic targets are not consistently achieved. After the initial treatment period, preferably CMR but also TTE or contrast TTE, it is essential to evaluate thrombus resolution and determine whether OAC therapy can be discontinued. Regardless of thrombus regression, prolonged or indefinite anticoagulation should be considered if persistent apical akinesia or underlying prothrombotic and pro-inflammatory conditions are present.
4.3. Inflammatory Disease
Treatment of EM depends on the underlying cause of HES. In cases related to clonal myeloid disorders, tyrosine kinase inhibitors are employed, whereas parasitic infections require appropriate anthelmintic therapy. In hypersensitivity reactions, identification and withdrawal of the offending agent are essential. When EM is associated with EGPA or in the case of idiopathic HES, immunosuppressive therapy represents the mainstay of treatment, with corticosteroids being the first-line agents, showing efficacy in up to 85% of cases. Management strategies are largely based on expert consensus and are often adapted from established protocols for other inflammatory cardiomyopathies []. Additionally, intravenous immunoglobulin (IVIG) has been used as a therapeutic option in immune-mediated or FM cases []. In patients who are refractory to corticosteroids or experience significant side effects, additional immunosuppressive agents such as cyclophosphamide, methotrexate or azathioprine may be considered. Furthermore, biologic agents such as mepolizumab and benralizumab, targeting IL-5 and its receptor, respectively, have shown promising results. However, evidence supporting their efficacy is currently limited to case reports, small case series or extrapolations from studies on other eosinophilic disorders, and their impact on long-term outcomes remains unproven []. Similarly, the potential clinical benefit of combination immunosuppressive regimens—including glucocorticoids, azathioprine or cyclosporine []—remains uncertain, as evidence is limited to observational studies not specific to EM and is further confounded by the high rate of spontaneous recovery. An overview of these treatment strategies and the available evidence is provided in Table 2 [].

Table 2.
Anti-inflammatory treatment strategies in EM.
4.4. Multimodality Imaging in the Follow-Up
The choice of imaging modality during follow-up in EM is influenced by the disease phase, clinical status, and specific monitoring objectives [].
TTE remains a first-line tool due to its accessibility and capacity for repeated and real-time evaluation of cardiac function. It is especially useful for monitoring LV systolic performance and detecting evolution toward restrictive cardiomyopathy with fibrotic involvement of myocardial and valvular structures. Studies report a median LVEF at presentation of 35% (IQR 25–50%), with recovery by discharge, except in EGPA-associated forms where median pre-discharge LVEF remains at 40% (IQR 31–49%) [,]. Tissue Doppler Imaging (TDI) offers additional prognostic value. Reduced S′ and e′ velocities may persist despite the normalization of LVEF, reflecting ongoing subclinical systolic and diastolic dysfunction. Echocardiography is also essential for monitoring pericardial effusion and intracavitary thrombus [,].
Based on our clinical experience and evidence from the literature [,,,], a structured imaging follow-up strategy is advisable. After discharge, TTE should be repeated at 4–6 weeks to monitor functional and structural recovery, while CMR should be performed at 2–3 months to assess the transition from edema to fibrotic remodeling; if CMR is unavailable or contraindicated and residual inflammation is still suspected, [18F]-FDG PET is a valid alternative. To reassess intracavitary thrombus, both CMR and echocardiography should be repeated after at least three months of OAC.
5. Conclusions
EM is a rare and potentially fatal form of AM. A multimodality approach enables early diagnosis, risk stratification and monitoring of the response to anti-inflammatory therapy, thereby potentially reserving EMB only for high-risk patients or inconclusive imaging findings.
Funding
The authors did not receive any specific grant from funding agencies in the public, commercial, or not-for-profit sectors.
Data Availability Statement
No new data were created or analyzed in this study.
Conflicts of Interest
The authors declare no conflict of interest.
Abbreviations
The following abbreviations are used in this manuscript:
[18F]FDG | [18F]fluorodeoxyglucose |
AC | acute myocarditis |
AHF | acute heart failure |
ANA | antinuclear antibodies |
ANCA | anti-neutrophil cytoplasmic antibodies |
CAD | coronary artery disease |
cine-SSFP | cine steady-state free precession |
CMR | cardiac magnetic resonance |
CRP | C-reactive protein |
CS | cardiogenic shock |
CT | computed tomography |
CXR | chest X-ray |
DOACs | direct oral anticoagulants |
DRESS | drug reaction with eosinophilia and systemic symptoms |
ECG | electrocardiography |
ECV | extracellular volume |
EF | ejection fraction |
EGPA | eosinophilic granulomatosis with polyangiitis |
EM | eosinophilic myocarditis |
EMB | endomyocardial biopsy |
ESR | erythrocyte sedimentation rate |
FM | fulminant myocarditis |
GLS | global longitudinal speckle |
HES | hypereosinophilic syndrome |
HFrEF | heart failure with reduced ejection fraction |
HTx | heart transplantation |
IL-5 | interleukin-5 |
INR | international normalized ratio |
IVIG | intravenous immunoglobulin |
LGE | late gadolinium enhancement |
LV | left ventricular |
LVAD | left ventricular assist device |
LVEF | left ventricular ejection fraction |
LVMD | left ventricular mechanical dispersion |
OAC | oral anticoagulant |
PET | positron emission tomography |
PET/CT | positron emission tomography/computed tomography |
t-MCS | temporary mechanical circulatory support |
T2w-STIR | T2-weighted short tau inversion recovery |
TDI | tissue doppler imaging |
TTE | transthoracic echocardiography |
VKAs | vitamin K antagonists |
References
- Yamaguchi, Y.; Suda, T.; Ohta, S.; Tominaga, K.; Miura, Y.; Kasahara, T. Analysis of the survival of mature human eosinophils: Interleukin-5 prevents apoptosis in mature human eosinophils. Blood 1991, 78, 2542–2547. [Google Scholar] [CrossRef] [PubMed]
- Shomali, W.; Gotlib, J. World Health Organization-defined eosinophilic disorders: 2019 update on diagnosis, risk stratification, and management. Am. J. Hematol. 2019, 94, 1149–1167. [Google Scholar] [CrossRef] [PubMed]
- Klion, A.D.; Ackerman, S.J.; Bochner, B.S. Contributions of Eosinophils to Human Health and Disease. Annu. Rev. Pathol. 2020, 15, 179–209. [Google Scholar] [CrossRef] [PubMed]
- Brambatti, M.; Matassini, M.V.; Adler, E.D.; Klingel, K.; Camici, P.G.; Ammirati, E. Eosinophilic Myocarditis: Characteristics, Treatment, and Outcomes. J. Am. Coll. Cardiol. 2017, 70, 2363–2375. [Google Scholar] [CrossRef]
- Fiszenson-Albala, F.; Auzerie, V.; Mahe, E.; Farinotti, R.; Durand-Stocco, C.; Crickx, B.; Descamps, V. A 6-month prospective survey of cutaneous drug reactions in a hospital setting. Br. J. Dermatol. 2003, 149, 1018–1022. [Google Scholar] [CrossRef]
- Ammirati, E.; Frigerio, M.; Adler, E.D.; Basso, C.; Birnie, D.H.; Brambatti, M.; Friedrich, M.G.; Klingel, K.; Lehtonen, J.; Moslehi, J.J.; et al. Management of Acute Myocarditis and Chronic Inflammatory Cardiomyopathy. Circ. Heart Fail. 2020, 13, e007405. [Google Scholar] [CrossRef]
- Younis, A.; Matetzky, S.; Mulla, W.; Masalha, E.; Afel, Y.; Chernomordik, F.; Fardman, A.; Goitein, O.; Ben-Zekry, S.; Peled, Y.; et al. Epidemiology Characteristics and Outcome of Patients with Clinically Diagnosed Acute Myocarditis. Am. J. Med. 2020, 133, 492–499. [Google Scholar] [CrossRef]
- Kindermann, I.; Barth, C.; Mahfoud, F.; Ukena, C.; Lenski, M.; Yilmaz, A.; Klingel, K.; Kandolf, R.; Sechtem, U.; Cooper, L.T.; et al. Update on myocarditis. J. Am. Coll. Cardiol. 2012, 59, 779–792. [Google Scholar] [CrossRef]
- Ammirati, E.; Cipriani, M.; Moro, C.; Raineri, C.; Pini, D.; Sormani, P.; Mantovani, R.; Varrenti, M.; Pedrotti, P.; Conca, C.; et al. Clinical Presentation and Outcome in a Contemporary Cohort of Patients with Acute Myocarditis: Multicenter Lombardy Registry. Circulation 2018, 138, 1088–1099. [Google Scholar] [CrossRef]
- White, J.A.; Hansen, R.; Abdelhaleem, A.; Mikami, Y.; Peng, M.; Rivest, S.; Satriano, A.; Dykstra, S.; Flewitt, J.; Heydari, B.; et al. Natural History of Myocardial Injury and Chamber Remodeling in Acute Myocarditis. Circ. Cardiovasc. Imaging 2019, 12, e008614. [Google Scholar] [CrossRef]
- Khachatryan, A.; Harutyunyan, H.; Psotka, M.; Batikyan, A.; Cinar, T.; Khorsandi, M.; Alejandro, J.; Tamazyn, V.; Sargsyan, M. Hypereosinophilia and Left Ventricular Thrombus: A Case Report and Literature Review. Cureus 2024, 16, e61674. [Google Scholar] [CrossRef]
- Yoshizawa, H.; Ikeda, Y.; Hatakeyama, K.; Yoshida, K.I. Myocardial ischemic injury derived from multiple thromboemboli due to eosinophilic endomyocarditis (Löffler endocarditis) causing right ventricular rupture. Pathol. Int. 2021, 71, 722–724. [Google Scholar] [CrossRef]
- deMello, D.E.; Liapis, H.; Jureidini, S.; Nouri, S.; Kephart, G.M.; Gleich, G.J. Cardiac localization of eosinophil-granule major basic protein in acute necrotizing myocarditis. N. Engl. J. Med. 1990, 323, 1542–1545. [Google Scholar] [CrossRef] [PubMed]
- Sandarsh, S.; Bishnoi, R.J.; Shashank, R.B.; Miller, B.J.; Freudenreich, O.; McEvoy, J.P. Monitoring for myocarditis during treatment initiation with clozapine. Acta Psychiatr. Scand. 2021, 144, 194–200. [Google Scholar] [CrossRef] [PubMed]
- Gilotra, N.A.; Minkove, N.; Bennett, M.K.; Tedford, R.J.; Steenbergen, C.; Judge, D.P.; Haluska, M.K.; Russel, S.D. Lack of Relationship Between Serum Cardiac Troponin I Level and Giant Cell Myocarditis Diagnosis and Outcomes. J. Card. Fail. 2016, 22, 583–585. [Google Scholar] [CrossRef] [PubMed]
- Arima, M.; Kanoh, T. Eosinophilic myocarditis associated with dense deposits of eosinophil cationic protein (ECP) in endomyocardium with high serum ECP. Heart 1999, 81, 669–671. [Google Scholar] [CrossRef]
- Birnie, D.H.; Nery, P.B.; Ha, A.C.; Beanlands, R.S.B. Cardiac Sarcoidosis. J. Am. Coll. Cardiol. 2016, 68, 411–421. [Google Scholar] [CrossRef]
- Perel-Winkler, A.; Bokhari, S.; Perez-Recio, T.; Zartoshti, A.; Askanase, A.; Geraldino-Pardilla, L. Myocarditis in systemic lupus erythematosus diagnosed by 18F-fluorodeoxyglucose positron emission tomography. Lupus Sci. Med. 2018, 5, e000265. [Google Scholar] [CrossRef]
- Bennett, M.K.; Gilotra, N.A.; Harrington, C.; Rao, S.; Dunn, J.M.; Freitag, T.B.; Halushka, M.K.; Russel, S.D. Evaluation of the role of endomyocardial biopsy in 851 patients with unexplained heart failure from 2000–2009. Circ. Heart Fail. 2013, 6, 676–684. [Google Scholar] [CrossRef]
- Asada, A.M.; Kahwash, R.; Trovato, V. Eosinophilic Myocarditis: A Concise Review. Curr. Cardiol. Rep. 2025, 27, 38. [Google Scholar] [CrossRef]
- Verstraeten, A.S.; De Weerdt, A.; van Den Eynden, G.; Van Marck, E.; Snoeckx, A.; Jorens, P.G. Excessive eosinophilia as paraneoplastic syndrome in a patient with non-small-cell lung carcinoma: A case report and review of the literature. Acta Clin. Belg. 2011, 66, 293–297. [Google Scholar] [PubMed]
- Piccirillo, F.; Mastroberardino, S.; Nafisio, V.; Fiorentino, M.; Segreti, A.; Nusca, A.; Ussia, G.P.; Grigioni, F. Eosinophilic Myocarditis: From Bench to Bedside. Biomedicines 2024, 12, 656. [Google Scholar] [CrossRef] [PubMed]
- Zhong, Z.; Yang, Z.; Peng, Y.; Wang, L.; Yuan, X. Diagnosis and treatment of eosinophilic myocarditis. J. Transl. Autoimmun. 2021, 4, 100118. [Google Scholar] [CrossRef] [PubMed]
- Sheikh, H.; Siddiqui, M.; Uddin, S.M.M.; Haq, A.; Yaqoob, U. The Clinicopathological Profile of Eosinophilic Myocarditis. Cureus 2018, 10, e3677. [Google Scholar] [CrossRef]
- Nguyen, Y.; Guillevin, L. Eosinophilic Granulomatosis with Polyangiitis (Churg-Strauss). Semin. Respir. Crit. Care Med. 2018, 39, 471–481. [Google Scholar] [CrossRef]
- Valent, P.; Klion, A.D.; Horny, H.P.; Roufosse, F.; Gotlib, J.; Weller, P.F.; Hellmann, A.; Matzgeroth, G.; Leiferman, K.M.; Arock, M.; et al. Contemporary consensus proposal on criteria and classification of eosinophilic disorders and related syndromes. J. Allergy Clin. Immunol. 2012, 130, 607–612.e9. [Google Scholar] [CrossRef]
- Hsiao, J.F.; Koshino, Y.; Bonnichsen, C.R.; Yu, Y.; Miller, F.A.; Pellikka, P.A.; Cooper, L.T.; Villaraga, H.R. Speckle tracking echocardiography in acute myocarditis. Int. J. Cardiovasc. Imaging 2013, 29, 275–284. [Google Scholar] [CrossRef]
- Lancellotti, P.; Price, S.; Edvardsen, T.; Cosyns, B.; Neskovic, A.N.; Dulgheru, R.; Flachskampf, F.A.; Hassager, C.; Pasquet, A.; Gargani, L.; et al. The use of echocardiography in acute cardiovascular care: Recommendations of the European Association of Cardiovascular Imaging and the Acute Cardiovascular Care Association. Eur. Heart J. Cardiovasc. Imaging 2015, 16, 119–146. [Google Scholar] [CrossRef]
- Frederiksen, C.A.; Stilling, C.; Kim, W.Y.; Poulsen, S.H. Two Different Clinical Presentations and Stages of Loeffler Endocarditis Diagnosed by Multimodality Investigations. CASE 2023, 7, 496–501. [Google Scholar] [CrossRef]
- Kawakami, H.; Nerlekar, N.; Haugaa, K.H.; Edvardsen, T.; Marwick, T.H. Prediction of Ventricular Arrhythmias With Left Ventricular Mechanical Dispersion: A Systematic Review and Meta-Analysis. JACC Cardiovasc. Imaging 2020, 13 Pt 2, 562–572. [Google Scholar] [CrossRef]
- Haugaa, K.H.; Smedsrud, M.K.; Steen, T.; Kongsgaard, E.; Loennechen, J.P.; Skjaerpe, T.; Voigt, J.-U.; Willems, R.; Smith, G.; Smiseth, O.A.; et al. Mechanical dispersion assessed by myocardial strain in patients after myocardial infarction for risk prediction of ventricular arrhythmia. JACC Cardiovasc. Imaging 2010, 3, 247–256. [Google Scholar] [CrossRef]
- Haugaa, K.H.; Goebel, B.; Dahlslett, T.; Meyer, K.; Jung, C.; Lauten, A.; Figulla, H.R.; Poerner, T.C.; Edvardsen, T. Risk assessment of ventricular arrhythmias in patients with nonischemic dilated cardiomyopathy by strain echocardiography. J. Am. Soc. Echocardiogr. Off. Publ. Am. Soc. Echocardiogr. 2012, 25, 667–673. [Google Scholar] [CrossRef] [PubMed]
- Davies, J.; Gibson, D.G.; Foale, R.; Heer, K.; Spry, C.J.; Oakley, C.M.; Goodwin, J.F. Echocardiographic features of eosinophilic endomyocardial disease. Heart 1982, 48, 434–440. [Google Scholar] [CrossRef] [PubMed]
- Fakadej, T.; Hathaway, Q.A.; Balar, A.B.; Amin, M.S.; Lakhani, D.A.; Kim, C. Eosinophilic myocarditis: Case report and brief review of the literature. Radiol. Case Rep. 2023, 18, 306–311. [Google Scholar] [CrossRef] [PubMed]
- Shah, R.; Ananthasubramaniam, K. Evaluation of cardiac involvement in hypereosinophilic syndrome: Complementary roles of transthoracic, transesophageal, and contrast echocardiography. Echocardiography 2006, 23, 689–691. [Google Scholar] [CrossRef]
- Abdelmoneim, S.S.; Pellikka, P.A.; Mulvagh, S.L. Contrast echocardiography for assessment of left ventricular thrombi. J. Ultrasound Med. Off. J. Am. Inst. Ultrasound Med. 2014, 33, 1337–1344. [Google Scholar] [CrossRef]
- Russo, M.; Ismibayli, Z.; Antonaci, S.; Piccinni, G.C. Eosinophilic myocarditis: From etiology to diagnostics and therapy. Minerva Cardiol. Angiol. 2024, 72, 656–673. [Google Scholar] [CrossRef]
- Al-Kaisey, A.M.; Meher-Homji, Z.; Hayward, P.; Jones, E. Mitral and tricuspid valve repair in hypereosinophilic syndrome. BMJ Case Rep. 2019, 12, e228951. [Google Scholar] [CrossRef]
- Szczerba, E.; Kowalik, R.; Gorska, K.; Mierzejewski, M.; Slowikowska, A.; Bednarczyk, T.; Marchel, M.; Krenke, R.; Opolski, G. Severe mitral stenosis secondary to eosinophilic granulomatosis resolving after pharmacological treatment. Echocardiography 2018, 35, 2099–2103. [Google Scholar] [CrossRef]
- Ommen, S.R.; Seward, J.B.; Tajik, A.J. Clinical and echocardiographic features of hypereosinophilic syndromes. Am. J. Cardiol. 2000, 86, 110–113. [Google Scholar] [CrossRef]
- Marwick, T.H.; Shah, S.J.; Thomas, J.D. Myocardial Strain in the Assessment of Patients with Heart Failure: A Review. JAMA Cardiol. 2019, 4, 287–294. [Google Scholar] [CrossRef]
- Ferreira, V.M.; Schulz-Menger, J.; Holmvang, G.; Kramer, C.M.; Carbone, I.; Sechtem, U.; Kindermann, I.; Gutberlet, M.; Cooper, L.T.; Liu, P.; et al. Cardiovascular Magnetic Resonance in Nonischemic Myocardial Inflammation: Expert Recommendations. J. Am. Coll. Cardiol. 2018, 72, 3158–3176. [Google Scholar] [CrossRef]
- Luetkens, J.A.; Faron, A.; Isaak, A.; Dabir, D.; Kuetting, D.; Feisst, A.; Schmeel, F.C.; Sprinkart, A.M.; Thomas, D. Comparison of Original and 2018 Lake Louise Criteria for Diagnosis of Acute Myocarditis: Results of a Validation Cohort. Radiol. Cardiothorac. Imaging 2019, 1, e190010. [Google Scholar] [CrossRef] [PubMed]
- Luetkens, J.A.; Homsi, R.; Dabir, D.; Kuetting, D.L.; Marx, C.; Doerner, J.; Schlesinger-Irsch, U.; Andrié, R.; Sprinkart, A.M.; Schmeel, F.C.; et al. Comprehensive Cardiac Magnetic Resonance for Short-Term Follow-Up in Acute Myocarditis. J. Am. Heart Assoc. 2016, 5, e003603. [Google Scholar] [CrossRef] [PubMed]
- Frustaci, A.; Verardo, R.; Galea, N.; Lavalle, C.; Bagnato, G.; Scialla, R.; Chimenti, C. Hypersensitivity Myocarditis after COVID-19 mRNA Vaccination. J. Clin. Med. 2022, 11, 1660. [Google Scholar] [CrossRef]
- Ohtani, K.; Takahama, S.; Kato, S.; Higo, T. Acute necrotizing eosinophilic myocarditis after COVID-19 vaccination. Eur. Heart J. 2022, 43, 2640. [Google Scholar] [CrossRef] [PubMed]
- Dinis, P.; Teixeira, R.; Puga, L.; Lourenço, C.; Cachulo, M.C.; Gonçalves, L. Eosinophilic Myocarditis: Clinical Case and Literature Review. Arq. Bras. Cardiol. 2018, 110, 597–599. [Google Scholar] [CrossRef]
- Kindermann, M.; Sood, N.; Ehrlich, P.; Klingel, K. Fast spontaneous recovery from acute necrotizing eosinophilic myopericarditis without need for immunosuppressive therapy: A case report of a 27-year-old male. Eur. Heart J. Case Rep. 2020, 4, 1–5. [Google Scholar] [CrossRef]
- Björkenstam, M.; Bobbio, E.; Mellberg, T.; Polte, C.L.; Bergh, N.; Giallauria, F.; Bollano, E. Case report of eosinophilic granulomatosis with polyangitis presenting as acute myocarditis. Clin. Case Rep. 2022, 10, e6446. [Google Scholar] [CrossRef]
- Syed, I.S.; Martinez, M.W.; Feng, D.L.; Glockner, J.F. Cardiac magnetic resonance imaging of eosinophilic endomyocardial disease. Int. J. Cardiol. 2008, 126, e50–e52. [Google Scholar] [CrossRef]
- Debl, K.; Djavidani, B.; Seitz, J.; Nitz, W.; Schmid, F.X.; Muders, F.; Buchner, S.; Feuerbach, S.; Riegger, G.; Luchner, A. Planimetry of aortic valve area in aortic stenosis by magnetic resonance imaging. Investig. Radiol. 2005, 40, 631–636. [Google Scholar] [CrossRef]
- Looi, J.L.; Ruygrok, P.; Royle, G.; Raos, Z.; Hood, C.; Kerr, A.J. Acute eosinophilic endomyocarditis: Early diagnosis and localisation of the lesion by cardiac magnetic resonance imaging. Int. J. Cardiovasc. Imaging 2010, 26 (Suppl. S1), 151–154. [Google Scholar] [CrossRef]
- Mengesha, B.; Meir, K.; Gural, A.; Asleh, R. A case series of eosinophilic myocarditis: Different faces of the same coin. Eur. Heart J. Case Rep. 2022, 6, ytac388. [Google Scholar] [CrossRef]
- EACVI CMR Pocket Guides. Available online: https://www.escardio.org/Sub-specialty-communities/European-Association-of-Cardiovascular-Imaging-(EACVI)/Research-and-Publications/CMR-Pocket-Guides (accessed on 13 May 2025).
- Pöyhönen, P.; Rågback, J.; Mäyränpää, M.I.; Nordenswan, H.K.; Lehtonen, J.; Shenoy, C.; Kupari, M. Cardiac magnetic resonance in histologically proven eosinophilic myocarditis. J. Cardiovasc. Magn. Reson. 2023, 25, 79. [Google Scholar] [CrossRef]
- Caforio, A.L.P.; Pankuweit, S.; Arbustini, E.; Basso, C.; Gimeno-Blanes, J.; Felix, S.B.; Fu, M.; Heliö, T.; Heymans, S.; Jahns, R.; et al. Current state of knowledge on aetiology, diagnosis, management, and therapy of myocarditis: A position statement of the European Society of Cardiology Working Group on Myocardial and Pericardial Diseases. Eur. Heart J. 2013, 34, 2636–2648, 2648a–2648d. [Google Scholar] [CrossRef]
- Byrne, R.A.; Rossello, X.; Coughlan, J.J.; Barbato, E.; Berry, C.; Chieffo, A.; Claeys, M.J.; Dan, G.-A.; Dweck, M.R.; Galbraith, M.; et al. 2023 ESC Guidelines for the management of acute coronary syndromes: Developed by the task force on the management of acute coronary syndromes of the European Society of Cardiology (ESC). Eur. Heart J. 2023, 44, 3720–3826. [Google Scholar] [CrossRef]
- Lee, K.K.; Bularga, A.; O’Brien, R.; Ferry, A.V.; Doudesis, D.; Fujisawa, T.; Kelly, S.; Stewart, S.; Wereski, R.; Cranley, D.; et al. Troponin-Guided Coronary Computed Tomographic Angiography After Exclusion of Myocardial Infarction. J. Am. Coll. Cardiol. 2021, 78, 1407–1417. [Google Scholar] [CrossRef] [PubMed]
- Le Polain de Waroux, J.B.; Pouleur, A.C.; Goffinet, C.; Pasquet, A.; Vanoverschelde, J.L.; Gerber, B.L. Combined coronary and late-enhanced multidetector-computed tomography for delineation of the etiology of left ventricular dysfunction: Comparison with coronary angiography and contrast-enhanced cardiac magnetic resonance imaging. Eur. Heart J. 2008, 29, 2544–2551. [Google Scholar] [CrossRef] [PubMed]
- Estornell-Erill, J.; Igual-Muñoz, B.; Monmeneu-Menadas, J.V.; Soriano-Navarro, C.; Valle-Muñoz, A.; Vilar-Herrero, J.V.; Perez-Bosca, L.; Paya-Serrano, R.; Martinez-Alzamora, N.; Ridocci-Soriano, F. Etiological diagnosis of left ventricular dysfunction: Computed tomography compared with coronary angiography and cardiac magnetic resonance. Rev. Esp. Cardiol. Engl. Ed. 2012, 65, 517–524. [Google Scholar] [CrossRef] [PubMed]
- Raman, S.V.; Shah, M.; McCarthy, B.; Garcia, A.; Ferketich, A.K. Multi-detector row cardiac computed tomography accurately quantifies right and left ventricular size and function compared with cardiac magnetic resonance. Am. Heart J. 2006, 151, 736–744. [Google Scholar] [CrossRef]
- Maffei, E.; Messalli, G.; Martini, C.; Nieman, K.; Catalano, O.; Rossi, A.; Seitun, S.; Guaricci, A.I.; Tedeschi, C.; Mollet, N.R.; et al. Left and right ventricle assessment with Cardiac CT: Validation study vs. Cardiac MR. Eur. Radiol. 2012, 22, 1041–1049. [Google Scholar] [CrossRef]
- Asferg, C.; Usinger, L.; Kristensen, T.S.; Abdulla, J. Accuracy of multi-slice computed tomography for measurement of left ventricular ejection fraction compared with cardiac magnetic resonance imaging and two-dimensional transthoracic echocardiography: A systematic review and meta-analysis. Eur. J. Radiol. 2012, 81, e757–e762. [Google Scholar] [CrossRef]
- Sharma, A.; Einstein, A.J.; Vallakati, A.; Arbab-Zadeh, A.; Mukherjee, D.; Lichstein, E. Meta-analysis of global left ventricular function comparing multidetector computed tomography with cardiac magnetic resonance imaging. Am. J. Cardiol. 2014, 113, 731–738. [Google Scholar] [CrossRef] [PubMed]
- Bittencourt, M.S.; Achenbach, S.; Marwan, M.; Seltmann, M.; Muschiol, G.; Ropers, D.; Daniel, W.G.; Pflederer, T. Left ventricular thrombus attenuation characterization in cardiac computed tomography angiography. J. Cardiovasc. Comput. Tomogr. 2012, 6, 121–126. [Google Scholar] [CrossRef] [PubMed]
- Cruz Rodriguez, J.B.; Okajima, K.; Greenberg, B.H. Management of left ventricular thrombus: A narrative review. Ann. Transl. Med. 2021, 9, 520. [Google Scholar] [CrossRef]
- Nakahara, T.; Fujimoto, S.; Jinzaki, M. Molecular imaging of cardiovascular disease: Current status and future perspective. J. Cardiol. 2025, 85, 386–398. [Google Scholar] [CrossRef]
- Yokoyama, R.; Miyagawa, M.; Okayama, H.; Inoue, T.; Miki, H.; Ogimoto, A.; Higaki, J.; Mochizuki, T. Quantitative analysis of myocardial 18F-fluorodeoxyglucose uptake by PET/CT for detection of cardiac sarcoidosis. Int. J. Cardiol. 2015, 195, 180–187. [Google Scholar] [CrossRef]
- Martineau, P.; Grégoire, J.; Harel, F.; Pelletier-Galarneau, M. Assessing cardiovascular infection and inflammation with FDG-PET. Am. J. Nucl. Med. Mol. Imaging 2021, 11, 46–58. [Google Scholar]
- Cho, S.G. Can FDG PET Serve as a Clinically Relevant Tool for Detecting Active Non-sarcoidotic Myocarditis? Nucl. Med. Mol. Imaging 2024, 58, 406–417. [Google Scholar] [CrossRef]
- Caobelli, F.; Cabrero, J.B.; Galea, N.; Haaf, P.; Loewe, C.; Luetkens, J.A.; Muscogiuri, G.; Francone, M. Cardiovascular magnetic resonance (CMR) and positron emission tomography (PET) imaging in the diagnosis and follow-up of patients with acute myocarditis and chronic inflammatory cardiomyopathy: A review paper with practical recommendations on behalf of the European Society of Cardiovascular Radiology (ESCR). Int. J. Cardiovasc. Imaging 2023, 39, 2221–2235. [Google Scholar]
- Lucinian, Y.A.; Martineau, P.; Abikhzer, G.; Harel, F.; Pelletier-Galarneau, M. Novel tracers to assess myocardial inflammation with radionuclide imaging. J. Nucl. Cardiol. Off. Publ. Am. Soc. Nucl. Cardiol. 2024, 42, 102012. [Google Scholar] [CrossRef]
- Peslier, H.; Metrard, G.; Malmare, B.A.; Bailly, M. A Rare Case of Eosinophilic Myocarditis Described with 18F-FDG PET/CT. Clin. Nucl. Med. 2025, 50, 172–173. [Google Scholar] [CrossRef]
- Si, J.; Zhang, X.; Chen, N.; Sun, F.; Du, P.; Li, Z.; Tian, D.; Sun, X.; Sun, G.; Cong, T.; et al. Case Report: Multimodal Imaging Guides the Management of an Eosinophilic Leukemia Patient with Eosinophilic Myocarditis and Intracardiac Thrombus. Front. Cardiovasc. Med. 2022, 9, 903323. [Google Scholar] [CrossRef] [PubMed]
- Moriwaki, K.; Dohi, K.; Omori, T.; Tanimura, M.; Sugiura, E.; Nakamori, S.; Sawai, T.; Imanaka-Yoshida, K.; Yamada, N.; Ito, M. A Survival Case of Fulminant Right-Side Dominant Eosinophilic Myocarditis. Int. Heart J. 2017, 58, 459–462. [Google Scholar] [CrossRef] [PubMed][Green Version]
- Hagiwara, H.; Fukushima, A.; Iwano, H.; Anzai, T. Refractory cardiac myocarditis associated with drug rash with eosinophilia and systemic symptoms syndrome due to anti-bipolar disorder drugs: A case report. Eur. Heart J.-Case Rep. 2018, 2, yty100. [Google Scholar] [CrossRef] [PubMed]
- Thomas Aretz, H. Myocarditis: The Dallas criteria. Hum. Pathol. 1987, 18, 619–624. [Google Scholar] [CrossRef]
- Bermpeis, K.; Esposito, G.; Gallinoro, E.; Paolisso, P.; Bertolone, D.T.; Fabbricatore, D.; Mileva, N.; Munhoz, D.; Buckley, J.; Wyffels, E.; et al. Safety of Right and Left Ventricular Endomyocardial Biopsy in Heart Transplantation and Cardiomyopathy Patients. JACC Heart Fail. 2022, 10, 963–973. [Google Scholar] [CrossRef]
- Ammirati, E.; Buono, A.; Moroni, F.; Gigli, L.; Power, J.R.; Ciabatti, M.; Garascia, A.; Adler, E.D.; Pieroni, M. State-of-the-Art of Endomyocardial Biopsy on Acute Myocarditis and Chronic Inflammatory Cardiomyopathy. Curr. Cardiol. Rep. 2022, 24, 597–609. [Google Scholar] [CrossRef]
- Parrillo, J.E. Transvenous Endomyocardial Biopsy: Clinical Indications, Potential Complications, and Future Applications. Chest 1986, 90, 155–157. [Google Scholar] [CrossRef]
- Chow, L.H.; Radio, S.J.; Sears, T.D.; Mcmanus, B.M. Insensitivity of right ventricular endomyocardial biopsy in the diagnosis of myocarditis. J. Am. Coll. Cardiol. 1989, 14, 915–920. [Google Scholar] [CrossRef]
- Kühl, U.; Noutsias, M.; Seeberg, B.; Schultheiss, H.P. Immunohistological evidence for a chronic intramyocardial inflammatory process in dilated cardiomyopathy. Heart 1996, 75, 295–300. [Google Scholar] [CrossRef] [PubMed]
- Maisch, B.; Richter, A.; Sandmöller, A.; Portig, I.; Pankuweit, S. Members of Project 9a in the BMBF-Heart Failure Network. Inflammatory Dilated Cardiomyopathy (DCMI). Herz-Kreislauf-Erkrank. 2005, 30, 535–544. [Google Scholar] [CrossRef] [PubMed]
- Ammirati, E.; Veronese, G.; Brambatti, M.; Merlo, M.; Cipriani, M.; Potena, L.; Sormani, P.; Aoki, T.; Sugimura, K.; Sawamura, A.; et al. Fulminant Versus Acute Nonfulminant Myocarditis in Patients With Left Ventricular Systolic Dysfunction. J. Am. Coll. Cardiol. 2019, 74, 299–311. [Google Scholar] [CrossRef]
- Sinha, S.S.; Morrow, D.A.; Kapur, N.K.; Kataria, R.; Roswell, R.O. 2025 Concise Clinical Guidance: An ACC Expert Consensus Statement on the Evaluation and Management of Cardiogenic Shock. JACC 2025, 85, 1618–1641. [Google Scholar] [CrossRef] [PubMed]
- McDonagh, T.A.; Metra, M.; Adamo, M.; Gardner, R.S.; Baumbach, A.; Böhm, M.; Burri, H.; Butler, J.; Čelutkienė, J.; Cionchel, O.; et al. 2021 ESC Guidelines for the diagnosis and treatment of acute and chronic heart failure: Developed by the Task Force for the diagnosis and treatment of acute and chronic heart failure of the European Society of Cardiology (ESC) With the special contribution of the Heart Failure Association (HFA) of the ESC. Eur. Heart J. 2021, 42, 3599–3726. [Google Scholar]
- Levine, G.N.; McEvoy, J.W.; Fang, J.C.; Ibeh, C.; McCarthy, C.P.; Misra, A.; Shah, Z.I.; Shenoy, C.; Spinler, S.A.; Vallurupalli, S.; et al. Management of Patients at Risk for and With Left Ventricular Thrombus: A Scientific Statement from the American Heart Association. Circulation 2022, 146, e205–23. [Google Scholar] [CrossRef]
- Chen, H.S.; Wang, W.; Wu, S.N.; Liu, J.P. Corticosteroids for viral myocarditis. Cochrane Database Syst. Rev. 2013, 2013, CD004471. [Google Scholar] [CrossRef]
- Kishimoto, C.; Shioji, K.; Hashimoto, T.; Nonogi, H.; Lee, J.D.; Kato, S.; Hiramitsu, S.; Morimoto, S.-i. Therapy with immunoglobulin in patients with acute myocarditis and cardiomyopathy: Analysis of leukocyte balance. Heart Vessel. 2014, 29, 336–342. [Google Scholar] [CrossRef]
- Techasatian, W.; Gozun, M.; Vo, K.; Yokoyama, J.; Nagamine, T.; Shah, P.; Vu, K.; Zhang, J.; Nishimura, Y. Eosinophilic myocarditis: Systematic review. Heart Br. Card. Soc. 2024, 110, 687–693. [Google Scholar] [CrossRef]
- Mason, J.W.; Billingham, M.E.; Ricci, D.R. Treatment of acute inflammatory myocarditis assisted by endomyocardial biopsy. Am. J. Cardiol. 1980, 45, 1037–1044. [Google Scholar] [CrossRef]
- O’Connell, J.B.; Mason, J.W. Diagnosing and treating active myocarditis. West. J. Med. 1989, 150, 431–435. [Google Scholar]
- Farhat, N.; Bouhabib, M.; Joye, R.; Vallée, J.P.; Beghetti, M. Contribution of imaging modalities to eosinophilic myocarditis diagnosis: A case report. Eur. Heart J.-Case Rep. 2022, 6, ytac058. [Google Scholar] [CrossRef] [PubMed]
- Xie, M.; Cheng, T.O.; Fei, H.; Ren, P.; He, Y.; Wang, X.; Lu, Q.; Han, W.; Li, K.; Li, L.; et al. The diagnostic value of transthoracic echocardiography for eosinophilic myocarditis: A single center experience from China. Int. J. Cardiol. 2015, 201, 353–357. [Google Scholar] [CrossRef] [PubMed]
- Eppenberger, M.; Hack, D.; Ammann, P.; Rickli, H.; Maeder, M.T. Acute Eosinophilic Myocarditis with Dramatic Response to Steroid Therapy. Tex. Heart Inst. J. 2013, 40, 326–330. [Google Scholar] [PubMed]
- Kim, E.Y.; Chang, S.A.; Lee, Y.K.; Choi, J.O.; Choe, Y.H. Early Non-Invasive Diagnosis and Treatment of Acute Eosinophlic Myopericarditis by Cardiac Magnetic Resonance. J. Korean Med. Sci. 2011, 26, 1522–1526. [Google Scholar] [CrossRef]
- Sharifkazemi, M.; Rezaian, G.; Lotfi, M. Evaluation of myocardial performance by serial speckle tracking echocardiography in diagnosis and follow-up of a patient with eosinophilic myocarditis. Echo Res. Pract. 2023, 10, 1. [Google Scholar] [CrossRef]
- Debl, K.; Djavidani, B.; Buchner, S.; Poschenrieder, F.; Heinicke, N.; Feuerbach, S.; Riegger, G.; Luchner, A. Time course of eosinophilic myocarditis visualized by CMR. J. Cardiovasc. Magn. Reson. 2008, 10, 21. [Google Scholar] [CrossRef]
Disclaimer/Publisher’s Note: The statements, opinions and data contained in all publications are solely those of the individual author(s) and contributor(s) and not of MDPI and/or the editor(s). MDPI and/or the editor(s) disclaim responsibility for any injury to people or property resulting from any ideas, methods, instructions or products referred to in the content. |
© 2025 by the authors. Licensee MDPI, Basel, Switzerland. This article is an open access article distributed under the terms and conditions of the Creative Commons Attribution (CC BY) license (https://creativecommons.org/licenses/by/4.0/).