Early Experience with Acuson AcuNav 4D-ICE to Guide Transcatheter Tricuspid Edge-to-Edge Repair: 4D Intracardiac Echocardiography Compared to Transesophageal Echocardiography
Abstract
1. Introduction
2. Materials and Methods
2.1. Insights into Acuson AcuNav 4D—ICE
- -
- Real-time volume-rendered 4D images;
- -
- Imaging in azimuthal, elevation, and coronal planes;
- -
- Up to 40 volumes per second (vps) in 4D B-mode and 20 vps in 4D color mode;
- -
- One-click multiplanar reconstruction (MPR).
2.2. 4D-ICE Movements
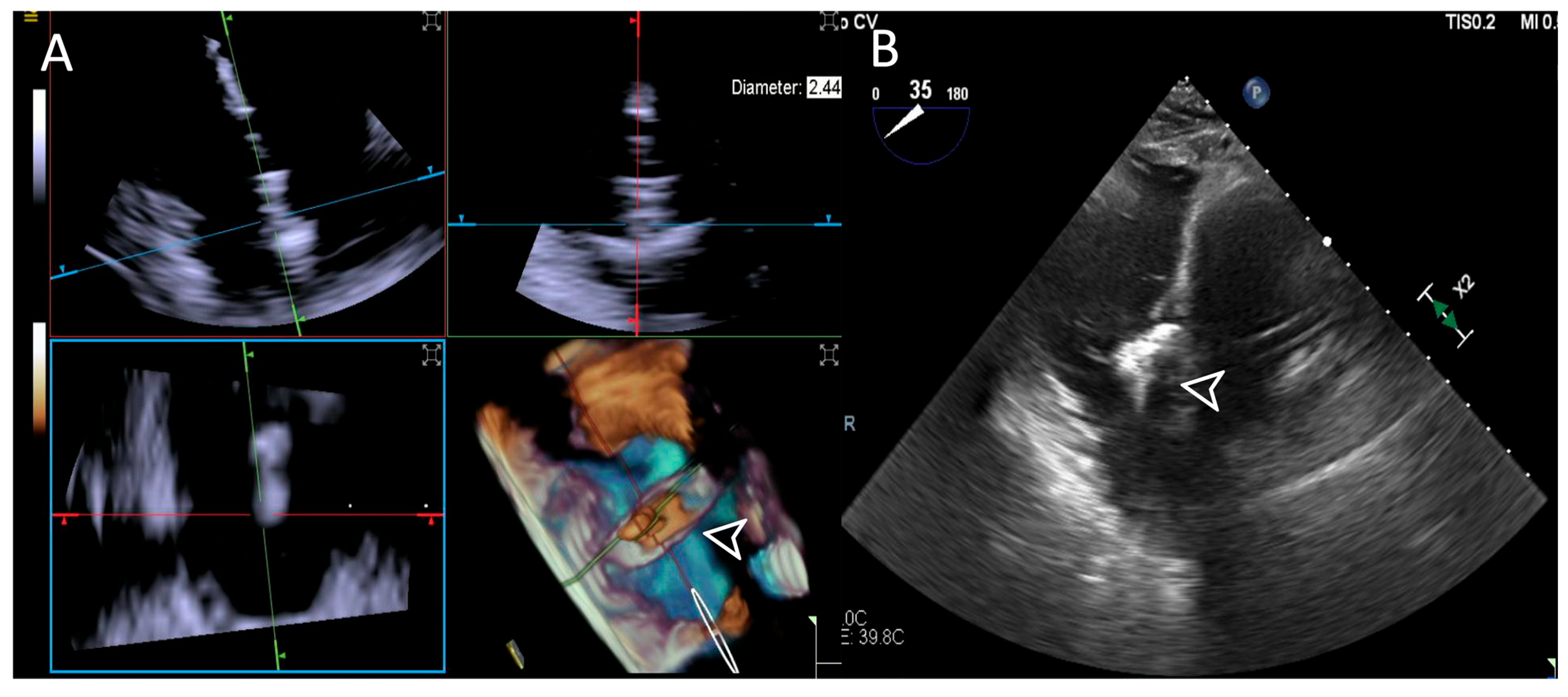
2.3. Procedural Steps
- -
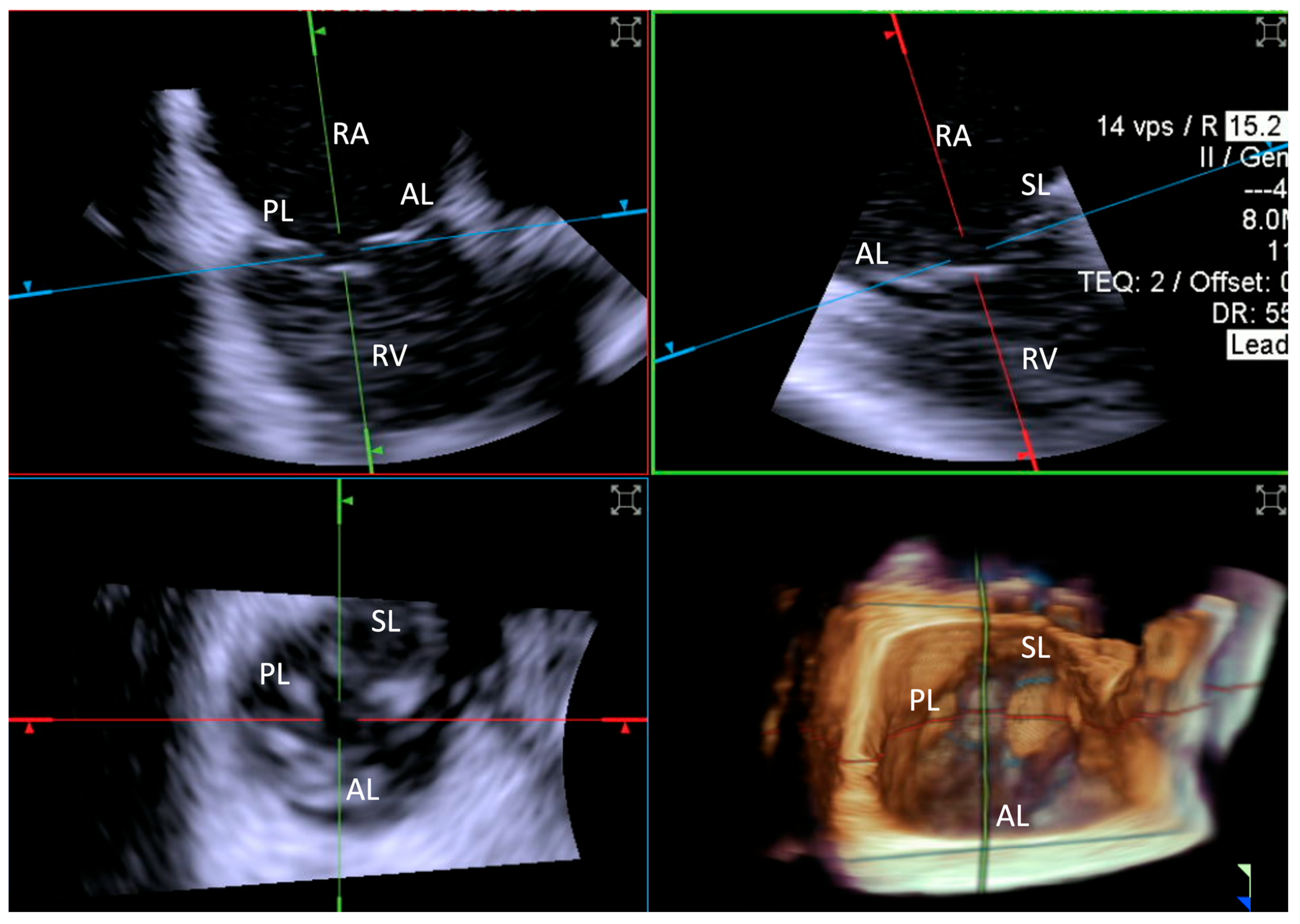
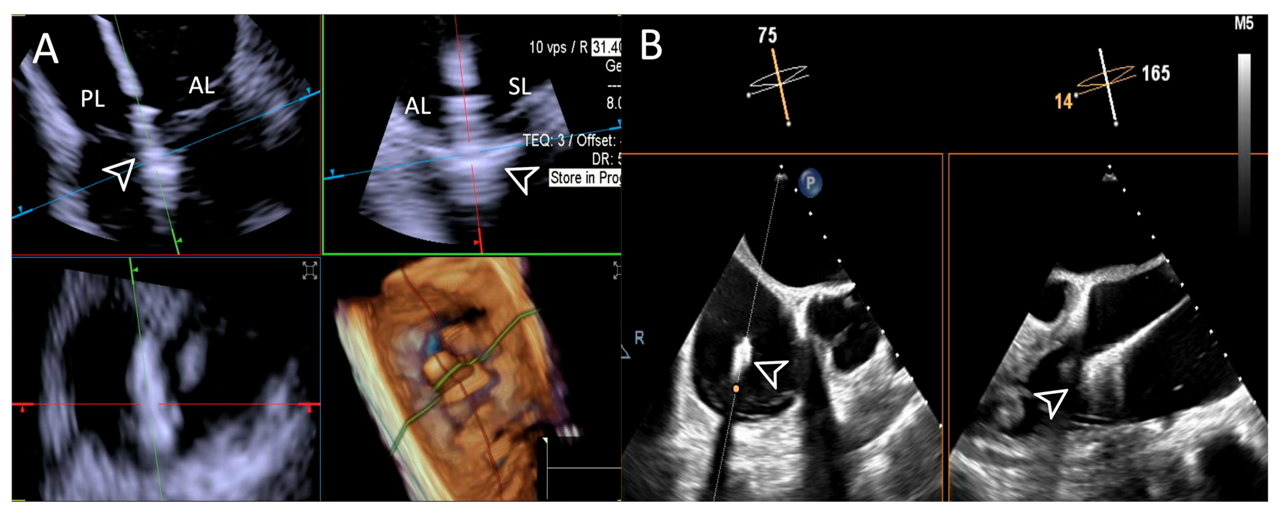
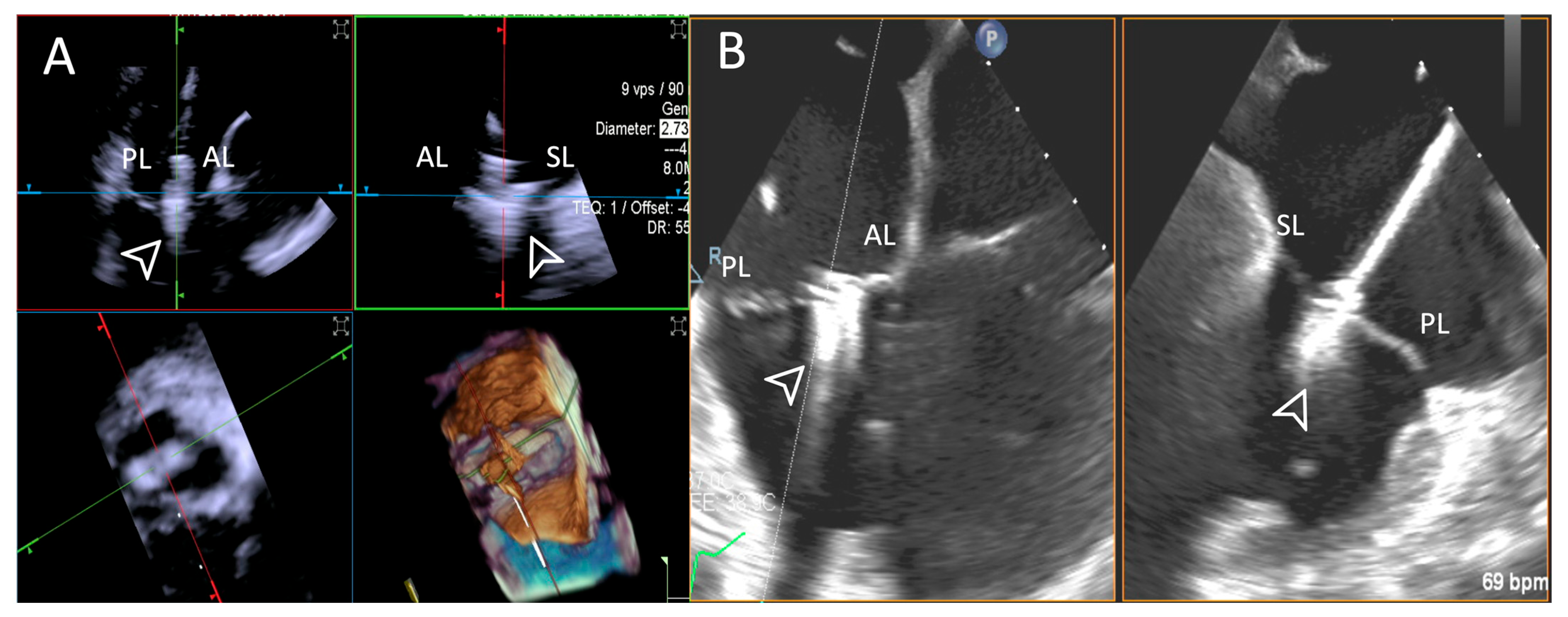
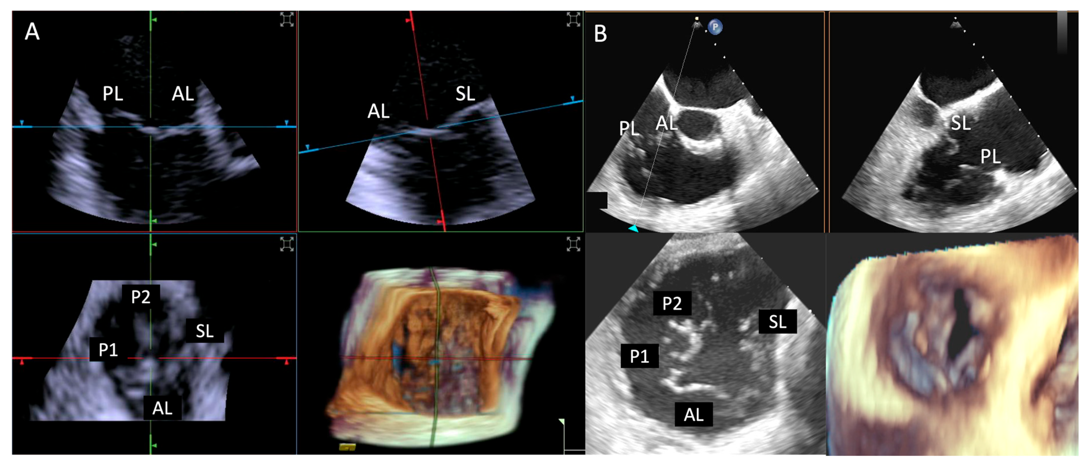
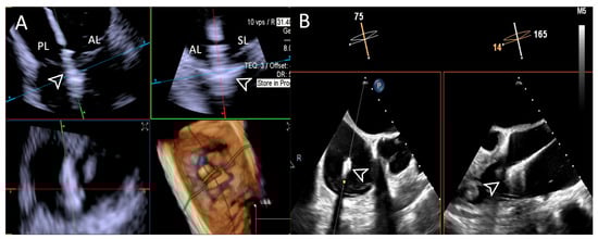
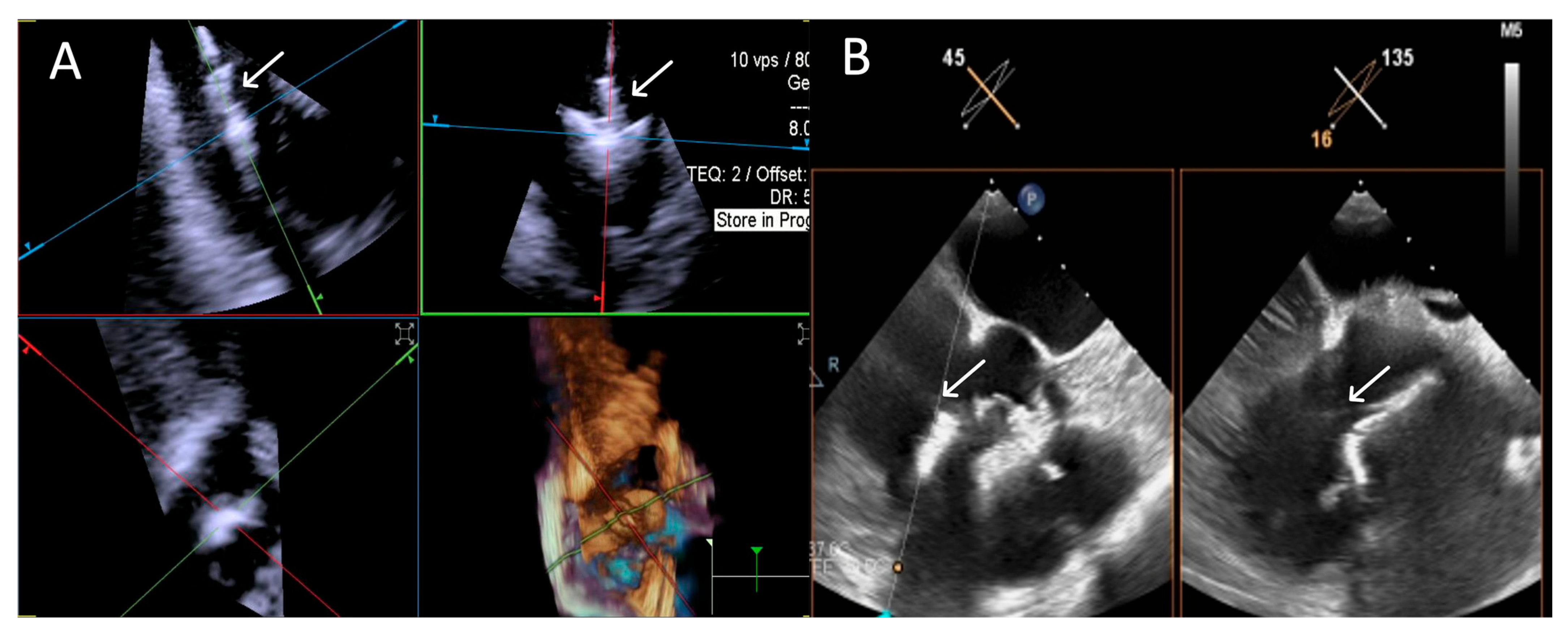
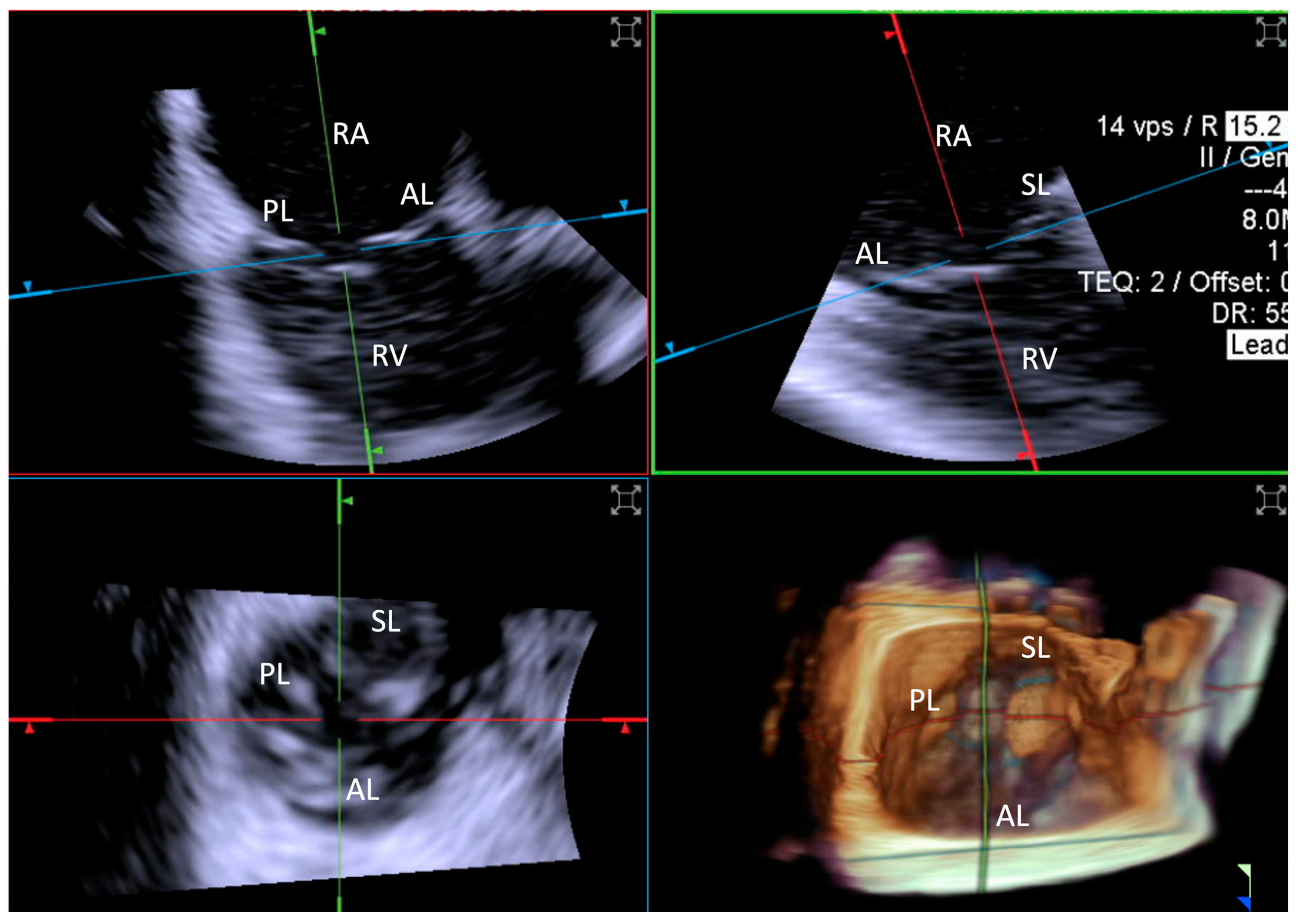
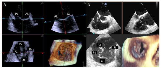
- Step number 1: assessment of tricuspid valve anatomy.
- -
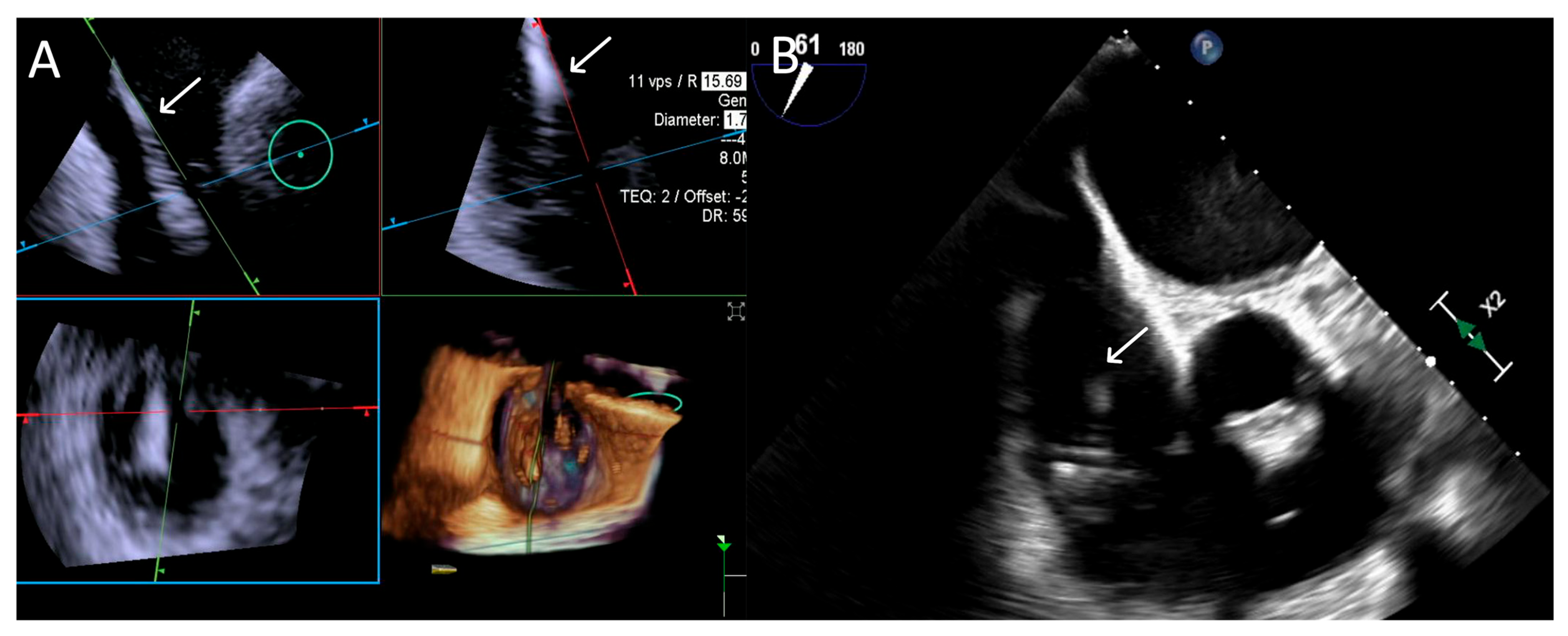
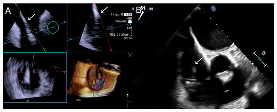
- Step number 2: identification of the target lesion.
- -
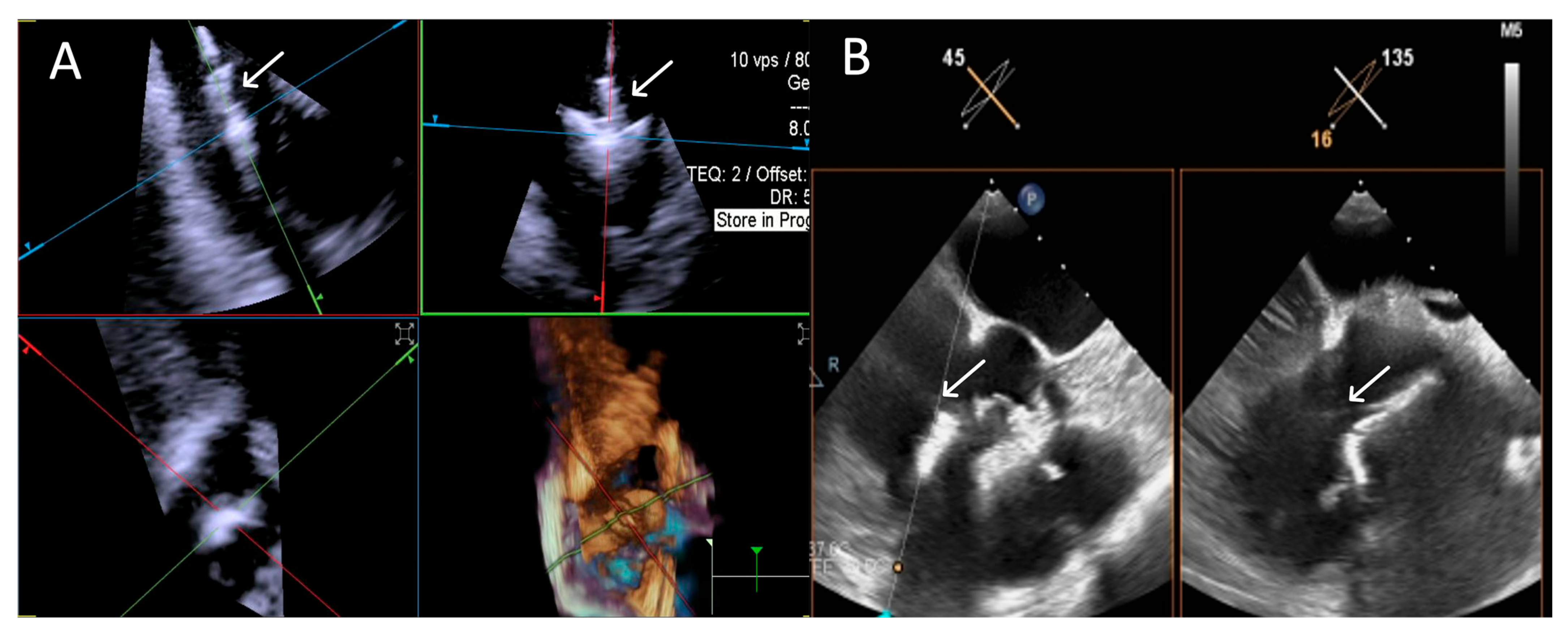
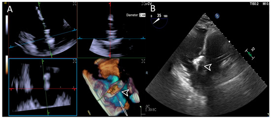
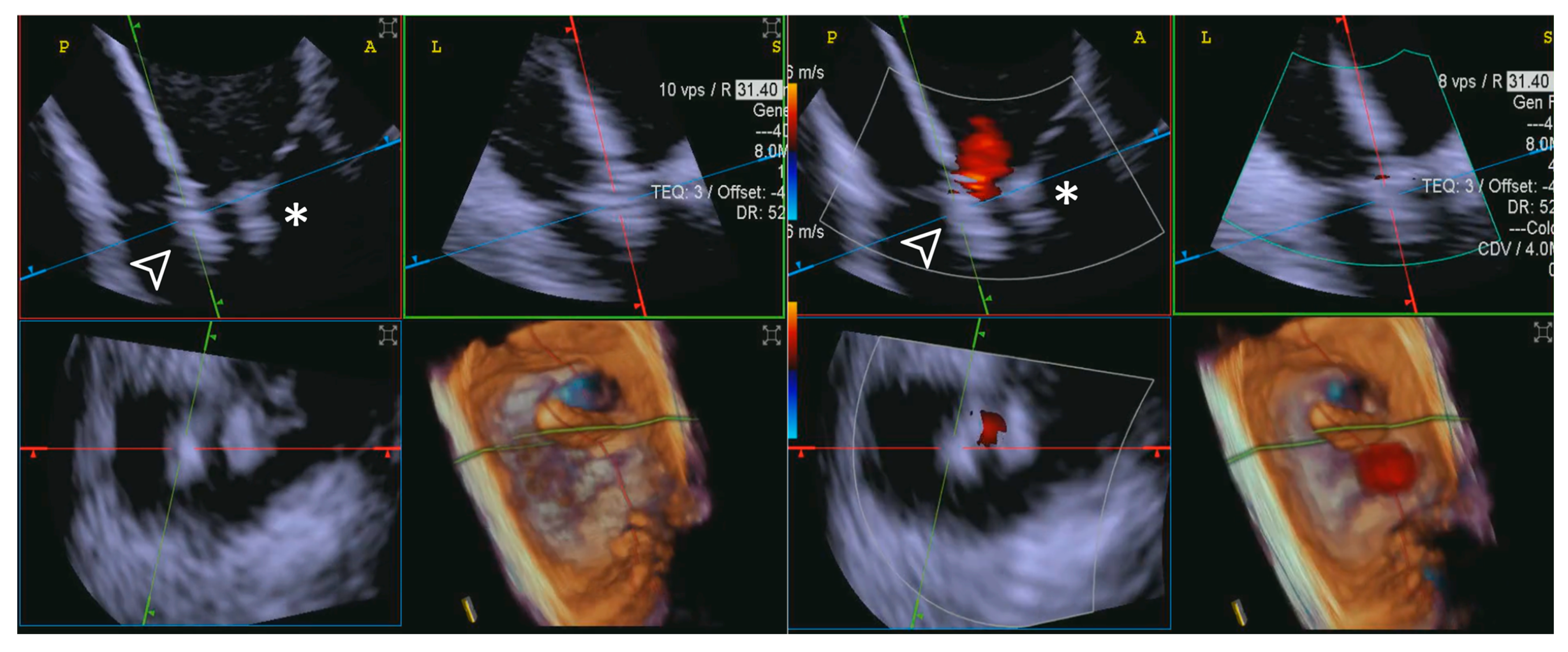
- Step number 3: steering and valve approach.
- -
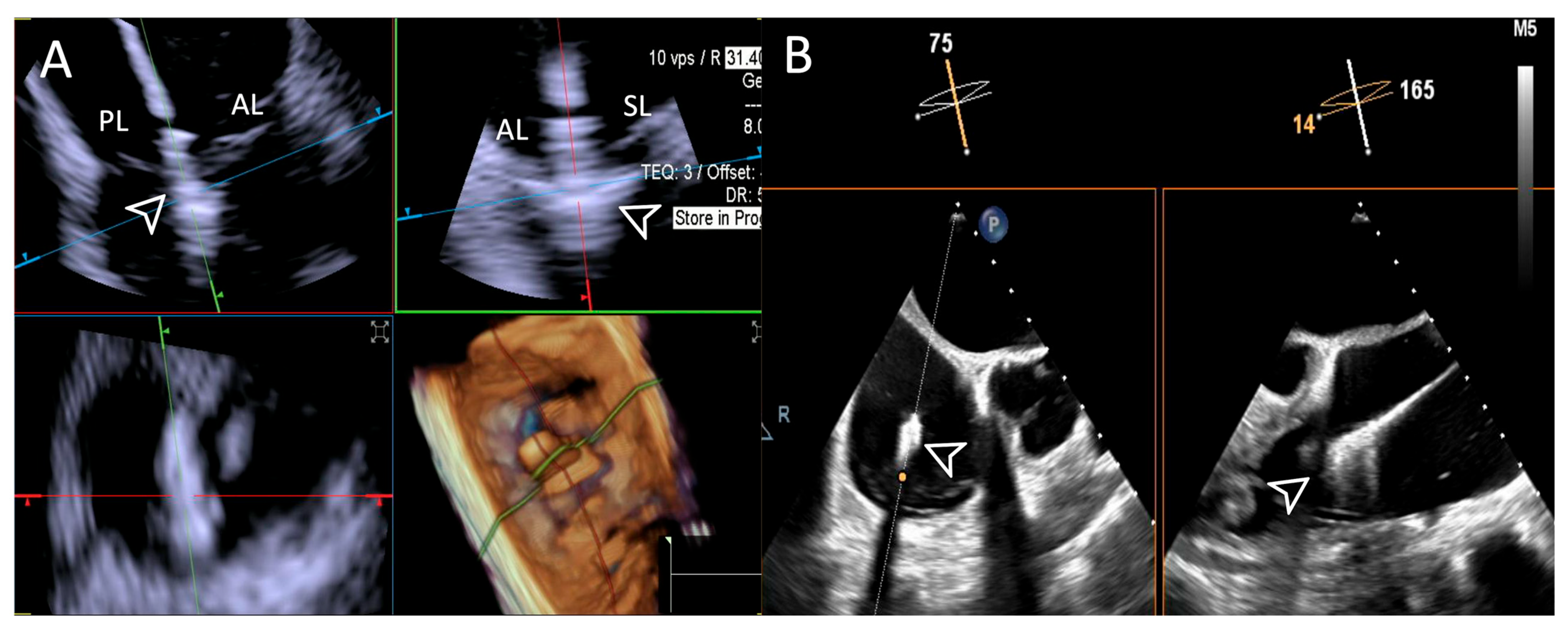
- Step number 4: ensuring perpendicularity and correct trajectory.
- -
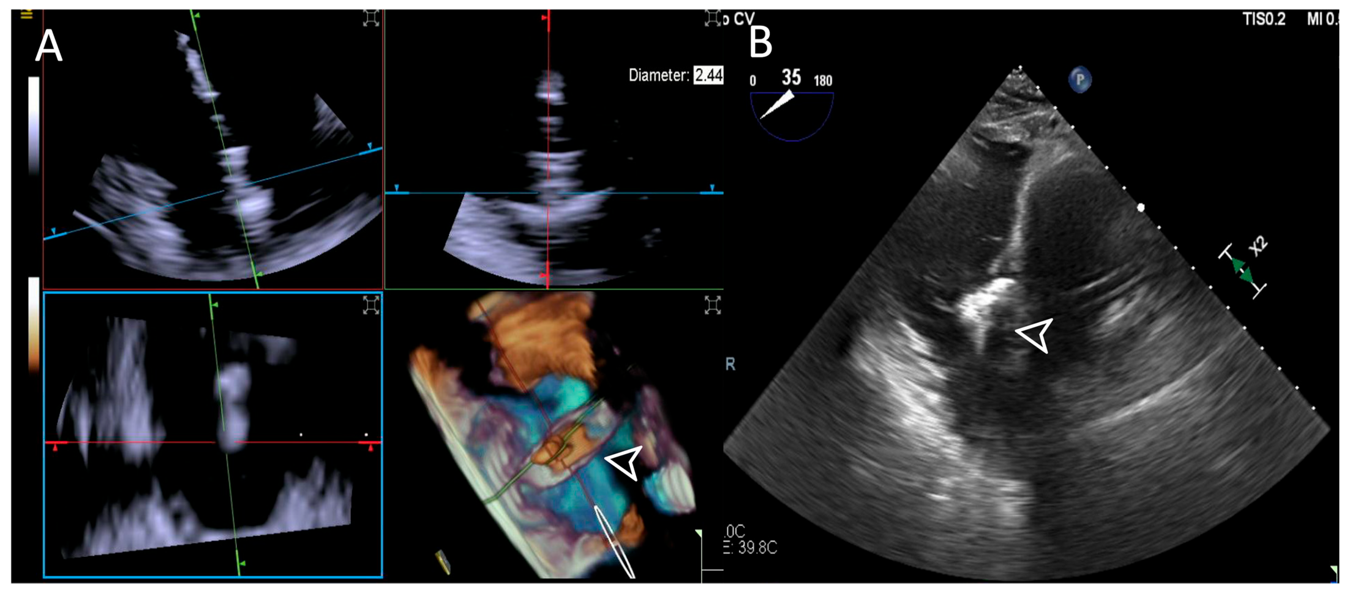
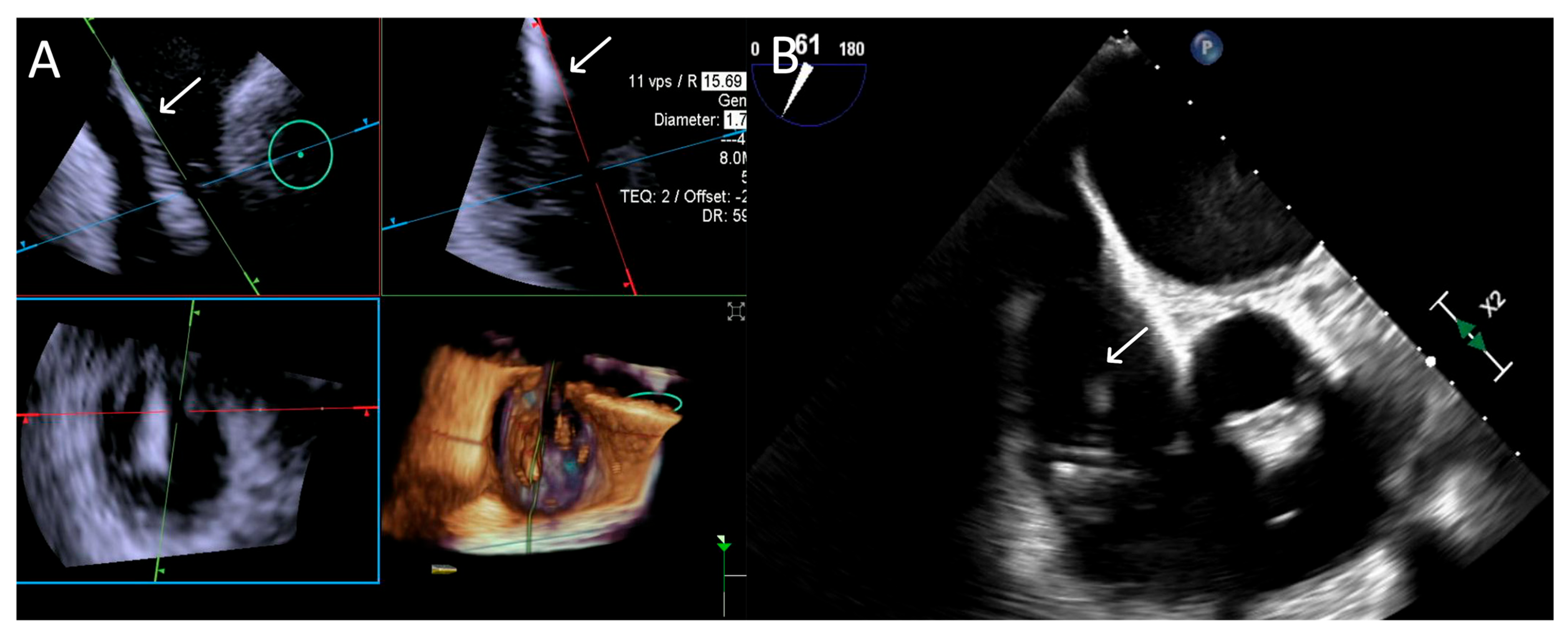
- Step number 5: clocking.
- -
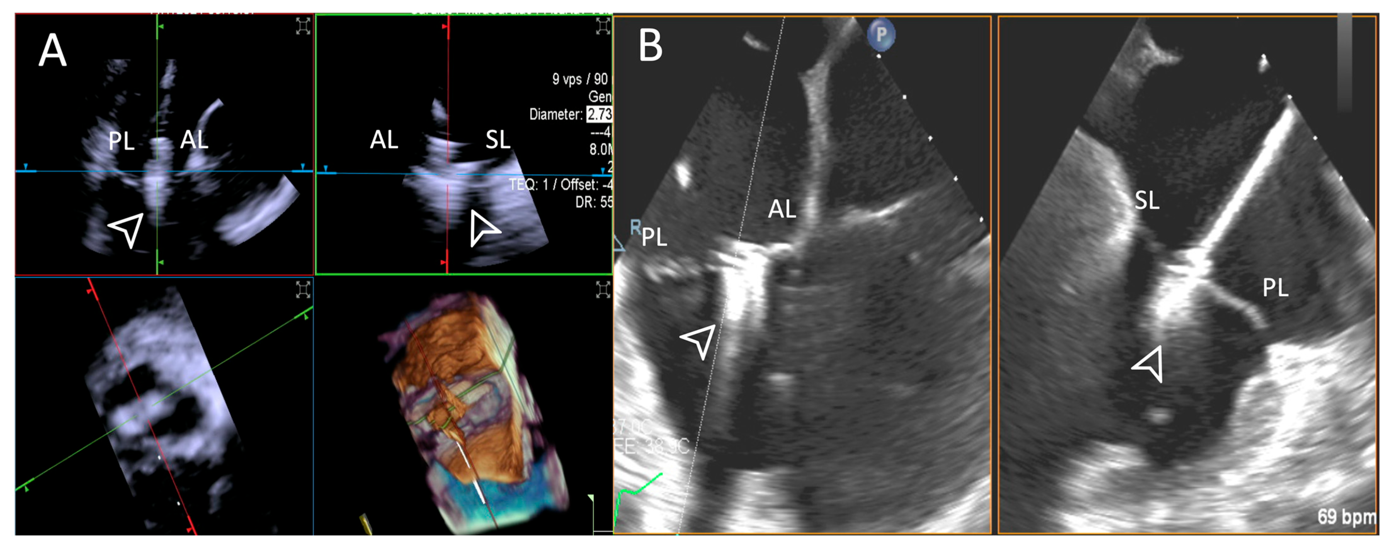
- Step number 6: grasping.
- -
- Step number 7: leaflet insertion.
- -
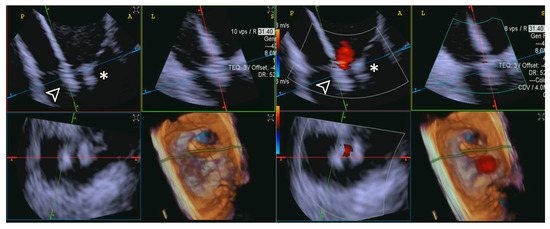
- Step number 8: evaluation of residual regurgitant jets.
2.4. Endpoints
2.4.1. Feasibility/Image Quality
- -
- Excellent (+++): The image quality was deemed sufficient to complete the procedural step independently without the need for additional images from another modality.
- -
- Good (++): The image quality was adequate to complete the procedural step; however, verification with an alternative imaging modality could potentially enhance the outcome.
- -
- Poor (+): The image quality was insufficient for completing the procedural step without difficulties, necessitating the use of another imaging modality.
2.4.2. Leaflet and Annulus Assessments
2.4.3. Quantification of Tricuspid Regurgitation Before and After Procedure
2.5. Statistical Analysis
3. Results
3.1. Baseline Clinical and Echocardiographic Characteristics
3.2. Procedural Details
3.3. Main Results—TEE vs. 4D-ICE Comparison
3.3.1. Step-by-Step Evaluation
- -
- Excellent (+++) Ratings: ICE achieved 76 Excellent ratings out of 80 steps, compared to 56 Excellent ratings for TEE.
- -
- Good (++) Ratings: ICE and TEE achieved “Good” ratings in 4 steps and 10 steps, respectively, reflecting situations where imaging was adequate but could have been improved with an alternative modality.
- -
- Poor (+) Ratings: ICE did not receive any “Poor” ratings, whereas TEE required complementary imaging in 14 instances.
- -
- ICE: 8 Excellent (+++), 2 Good (++), and 0 Poor (+)
- -
- TEE: 6 Excellent (+++), 4 Good (++), and 0 Poor (+)
- -
- ICE: 10 Excellent (+++), 0 Good (++), and 0 Poor (+)
- -
- TEE: 10 Excellent (+++), 0 Good (++), and 0 Poor (+)
- -
- ICE: 10 Excellent (+++), 0 Good (++), and 0 Poor (+)
- -
- TEE: 7 Excellent (+++), 0 Good (++), and 3 Poor (+)
- -
- ICE: 10 Excellent (+++), 0 Good (++), and 0 Poor (+)
- -
- TEE: 7 Excellent (+++), 0 Good (++), and 3 Poor (+)
- -
- ICE: 10 Excellent (+++), 0 Good (++), and 0 Poor (+)
- -
- TEE: 9 Excellent (+++), 0 Good (++), and 1 Poor (+)
- -
- ICE: 9 Excellent (+++), 1 Good (++), and 0 Poor (+)
- -
- TEE: 4 Excellent (+++), 3 Good (++), and 3 Poor (+)
- -
- ICE: 9 Excellent (+++), 1 Good (++), and 0 Poor (+)
- -
- TEE: 3 Excellent (+++), 3 Good (++), and 4 Poor (+)
- -
- ICE: 10 Excellent (+++), 0 Good (++), and 0 Poor (+)
- -
- TEE: 10 Excellent (+++), 0 Good (++), and 0 Poor (+)
3.3.2. Quantitative Measurements Comparison
4. Discussion
5. Conclusions
Supplementary Materials
Author Contributions
Funding
Institutional Review Board Statement
Informed Consent Statement
Data Availability Statement
Conflicts of Interest
References
- Hahn, R.T. Tricuspid Regurgitation. N. Engl. J. Med. 2023, 388, 1876–1891. [Google Scholar] [CrossRef]
- Cannata, F.; Stankowski, K.; Galasso, M.; Muratori, M.; Mancini, E.; Colombo, A.; Pontone, G.; De Marco, F.; Fazzari, F.; Mangieri, A. Key Imaging Factors for Transcatheter Management of Tricuspid Regurgitation: Device and Patient Selection. J. Clin. Med. 2024, 13, 6144. [Google Scholar] [CrossRef]
- Lancellotti, P.; Pibarot, P.; Chambers, J.; La Canna, G.; Pepi, M.; Dulgheru, R.; Dweck, M.; Delgado, V.; Garbi, M.; Vannan, M.A.; et al. Multi-modality imaging assessment of native valvular regurgitation: An EACVI and ESC council of valvular heart disease position paper. Eur. Heart J. Cardiovasc. Imaging 2022, 23, E171–E232. [Google Scholar] [CrossRef]
- Asmarats, L.; Puri, R.; Latib, A.; Navia, J.L.; Rodés-Cabau, J. Transcatheter Tricuspid Valve Interventions: Landscape, Challenges, and Future Directions. J. Am. Coll. Cardiol. 2018, 71, 2935–2956. [Google Scholar] [CrossRef]
- Tang, G.H.L.; Zaid, S.; Hahn, R.T.; Aggarwal, V.; Alkhouli, M.; Aman, E.; Berti, S.; Chandrashekhar, Y.S.; Chadderdon, S.M.; D’Agostino, A.; et al. Structural Heart Imaging Using 3-Dimensional Intracardiac Echocardiography: JACC Cardiovascular Imaging Position Statement. JACC Cardiovasc. Imaging 2024, 18, 93–115. [Google Scholar] [CrossRef] [PubMed]
- Chadderdon, S.M.; Eleid, M.F.; Thaden, J.J.; Makkar, R.; Nakamura, M.; Babaliaros, V.; Greenbaum, A.; Gleason, P.; Kodali, S.; Hahn, R.T.; et al. Three-Dimensional Intracardiac Echocardiography for Tricuspid Transcatheter Edge-to-Edge Repair. Struct. Heart 2022, 6, 100071. [Google Scholar] [CrossRef] [PubMed]
- Hagemeyer, D.; Ali, F.M.; Ong, G.; Fam, N.P. The Role of Intracardiac Echocardiography in Percutaneous Tricuspid Intervention: A New ICE Age. Interv. Cardiol. Clin. 2022, 11, 103–112. [Google Scholar] [PubMed]
- Davidson, C.J.; Abramson, S.; Smith, R.L.; Kodali, S.K.; Kipperman, R.M.; Eleid, M.F.; Reisman, M.; Whisenant, B.K.; Puthumana, J.; Fowler, D.; et al. Transcatheter Tricuspid Repair with the Use of 4-Dimensional Intracardiac Echocardiography. JACC Cardiovasc. Imaging 2022, 15, 533–538. [Google Scholar] [CrossRef] [PubMed]
- Wang, L.; Petrossian, G.; Robinson, N.; Chung, W.; Khan, J.; Shin, D.; Mihalatos, D.; Cohen, D.J.; Ali, Z.A.; Khalique, O. Early Experience of 3-Dimensional Intracardiac Echocardiography in Transcatheter Tricuspid Interventions. J. Soc. Cardiovasc. Angiogr. Interv. 2024, 3, 102168. [Google Scholar] [CrossRef] [PubMed]
- Singh, G.D.; Aman, E.; Pham, T.; Rogers, J.H.; Atsina, K.; Smith, T.W.R. vICE-Guided T-TEER in a Patient Without TEE Windows. JACC Cardiovasc. Interv. 2022, 15, e245–e247. [Google Scholar] [CrossRef] [PubMed]
- Wong, I.; Chui, A.S.F.; Wong, C.Y.; Chan, K.T.; Lee, M.K.Y. Complimentary Role of ICE and TEE During Transcatheter Edge-to-Edge Tricuspid Valve Repair with TriClip G4. JACC Cardiovasc. Interv. 2022, 15, 562–563. [Google Scholar] [CrossRef] [PubMed]













| Variable | N = 10 |
|---|---|
| Age (years) | 77 ± 9.9 |
| Female n. (%) | 5 (50%) |
| BMI (kg/m2) | 25 ± 5.58 |
| Diabetes Mellitus, n. (%) | 2 (20%) |
| Hypertension, n. (%) | 9 (90%) |
| Hypercholesterolemia, n. (%) | 4/40%) |
| Previous AMI n. (%) | 0 (0%) |
| Previous PCI, n. (%) | 1 (10%) |
| Previous CABG, n. (%) | 0 (0%) |
| Previous valve intervention, n. (%) MV replacement, n. (%) M-TEER, n. (%) Other, n. (%) | 6 (60%) 3 (30%) 2 (20%) 1 (10%) |
| Previous Stroke/TIA, n. (%) | 0 (0%) |
| COPD, n. (%) | 1 (10%) |
| History of AF/AFL, n. (%) | 10 (100%) |
| Hb (g/dL) | 13.5 ± 1.9 |
| BNP (pg/mL) | 246 ± 131 |
| NYHA class III-IV, n. (%) | 7 (70%) |
| Triscore (%) | 19 ± 17 |
| Triscore pure number | 4.9 ± 1.96 |
| ICD/CRT-D/P, n. (%) | 1 (10%) |
| Loop Diuretics, n. (%) | 10 (100%) |
| Beta-blockers, n. (%) | 8 (80%) |
| ACE-I/ARBs, n. (%) | 5 (50%) |
| ARNI, n. (%) | 0 (0%) |
| MRA, n. (%) | 6 (60%) |
| Digoxin, n. (%) | 3 (30%) |
| SGLT-2-i, n. (%) | 1 (10%) |
| NOAC, n. (%) | 10 (10%) |
| Variable | N = 10 |
|---|---|
| TR severity: | |
| Severe TR, n. (%) Massive TR, n. (%) Torrential TR, n. (%) | 9 (90%) 1 (10%) 0 (0%) |
| Mechanism of TR: | |
| Primary, n. (%) Secondary, n. (%) CIED-Related, n. (%) | 2 (20%) 8 (80%) 0 (0%) |
| Atrial Functional TR, n. (%) | 8 (80%) |
| RV EDAi (cm2/m2) | 12.5 ± 4.2 |
| RV FAC (%) | 43.7 ± 5.5 |
| TAPSE (mm) | 18.3 ± 4.5 |
| RVEDV (mL) | 146 ± 52 |
| RVEF (%) | 45.8 ± 6.2 |
| RV strain | 21.5 ± 4.7 |
| RA Area (cm2) | 36.1 ± 15.8 |
| sPAP (mmHg) | 39.5 ± 7.2 |
| TAPSE/PAPs (mm/mmHg) >0.36, n. (%) <= 0.36, n. (%) | 0.47 ± 0.10 9 (90%) 1 (10%) |
| IVC size (mm) | 21 ± 3 |
| LA Volume index (mL/m2) | 73.1 ± 62.4 |
| LVEDV (mL) | 90.5 ± 37.9 |
| LVEDVi (mL/mq) | 50.1 ± 20.3 |
| LVEF (%) | 56.3 ± 6.9 |
| More than moderate MR, n. (%) | 0 (0%) |
| Variable | N = 10 |
|---|---|
| Main access—right femoral, n. (%) | 10 (100%) |
| Closure system—suture-based VCDs, n. (%) | 10 (100%) |
| Platform | |
| PASCAL, n. (%) TriClip, n. (%) | 5 (50%) 5 (50%) |
| Number of necessary clips | |
| 1, n. (%) 2, n. (%) 3, n. (%) | 2 (20%) 7 (70%) 1 (10%) |
| Mean procedural time (min) | 91.8 ± 13.9 |
| Final regurgitation: | |
| mild, n. (%) mild–moderate, n. (%) moderate or more, n. (%) | 8 (80%) 2 (20%) 0 (0%) |
| Complications during or after procedure, n. (%) | 0 (0%) |
| Vascular complications, n. (%) | 0 (0%) |
| Clip early detachment, n. (%) | 0 (0%) |
| Case | Imaging | Step 1 | Step 2 | Step 3 | Step 4 | Step 5 | Step 6 | Step 7 | Step 8 |
|---|---|---|---|---|---|---|---|---|---|
| TV Valve Assessment | Target Lesion Identification | Steering and Approaching | Perpendicularity and Trajectory | Clocking | Grasping | Leaflets Insertion | Residual Jets Evaluation | ||
| 1 | ICE | +++ | +++ | +++ | +++ | +++ | +++ | +++ | +++ |
| TEE | +++ | +++ | +++ | +++ | +++ | ++ | ++ | +++ | |
| 2 | ICE | ++ | +++ | +++ | +++ | +++ | +++ | +++ | +++ |
| TEE | +++ | +++ | +++ | +++ | +++ | +++ | +++ | +++ | |
| 3 | ICE | +++ | +++ | +++ | +++ | +++ | +++ | +++ | +++ |
| TEE | +++ | +++ | + | + | +++ | + | + | +++ | |
| 4 | ICE | +++ | +++ | +++ | +++ | +++ | +++ | +++ | +++ |
| TEE | ++ | +++ | + | + | +++ | ++ | + | +++ | |
| 5 | ICE | +++ | +++ | +++ | +++ | +++ | +++ | +++ | +++ |
| TEE | ++ | +++ | +++ | +++ | +++ | ++ | ++ | +++ | |
| 6 | ICE | +++ | +++ | +++ | +++ | +++ | +++ | +++ | +++ |
| TEE | ++ | +++ | + | + | +++ | + | + | +++ | |
| 7 | ICE | +++ | +++ | +++ | +++ | +++ | +++ | +++ | +++ |
| TEE | +++ | +++ | +++ | +++ | +++ | +++ | +++ | +++ | |
| 8 | ICE | +++ | +++ | +++ | +++ | +++ | +++ | +++ | +++ |
| TEE | ++ | +++ | +++ | +++ | + | + | + | +++ | |
| 9 | ICE | ++ | +++ | +++ | +++ | +++ | +++ | +++ | +++ |
| TEE | +++ | +++ | +++ | +++ | +++ | +++ | ++ | +++ | |
| 10 | ICE | +++ | +++ | +++ | +++ | +++ | ++ | ++ | +++ |
| TEE | +++ | +++ | +++ | +++ | +++ | +++ | +++ | +++ |
Disclaimer/Publisher’s Note: The statements, opinions and data contained in all publications are solely those of the individual author(s) and contributor(s) and not of MDPI and/or the editor(s). MDPI and/or the editor(s) disclaim responsibility for any injury to people or property resulting from any ideas, methods, instructions or products referred to in the content. |
© 2025 by the authors. Licensee MDPI, Basel, Switzerland. This article is an open access article distributed under the terms and conditions of the Creative Commons Attribution (CC BY) license (https://creativecommons.org/licenses/by/4.0/).
Share and Cite
Biroli, M.; Fazzari, F.; Cannata, F.; De Peppo, V.; Ferrari, C.; Giacari, C.M.; Gennari, M.; Olivares, P.; Muratori, M.; Pepi, M.; et al. Early Experience with Acuson AcuNav 4D-ICE to Guide Transcatheter Tricuspid Edge-to-Edge Repair: 4D Intracardiac Echocardiography Compared to Transesophageal Echocardiography. J. Cardiovasc. Dev. Dis. 2025, 12, 165. https://doi.org/10.3390/jcdd12050165
Biroli M, Fazzari F, Cannata F, De Peppo V, Ferrari C, Giacari CM, Gennari M, Olivares P, Muratori M, Pepi M, et al. Early Experience with Acuson AcuNav 4D-ICE to Guide Transcatheter Tricuspid Edge-to-Edge Repair: 4D Intracardiac Echocardiography Compared to Transesophageal Echocardiography. Journal of Cardiovascular Development and Disease. 2025; 12(5):165. https://doi.org/10.3390/jcdd12050165
Chicago/Turabian StyleBiroli, Matteo, Fabio Fazzari, Francesco Cannata, Vincenzo De Peppo, Cristina Ferrari, Carlo Maria Giacari, Marco Gennari, Paolo Olivares, Manuela Muratori, Mauro Pepi, and et al. 2025. "Early Experience with Acuson AcuNav 4D-ICE to Guide Transcatheter Tricuspid Edge-to-Edge Repair: 4D Intracardiac Echocardiography Compared to Transesophageal Echocardiography" Journal of Cardiovascular Development and Disease 12, no. 5: 165. https://doi.org/10.3390/jcdd12050165
APA StyleBiroli, M., Fazzari, F., Cannata, F., De Peppo, V., Ferrari, C., Giacari, C. M., Gennari, M., Olivares, P., Muratori, M., Pepi, M., Pontone, G., & De Marco, F. (2025). Early Experience with Acuson AcuNav 4D-ICE to Guide Transcatheter Tricuspid Edge-to-Edge Repair: 4D Intracardiac Echocardiography Compared to Transesophageal Echocardiography. Journal of Cardiovascular Development and Disease, 12(5), 165. https://doi.org/10.3390/jcdd12050165

