Intraoperative Transesophageal Echocardiographic Guidance in Cardiac Surgery
Abstract
1. Introduction
2. General Principles of Intraoperative Transesophageal Echocardiographic Guidance in Cardiac Surgery
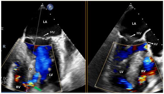
3. Mitral Valve Disease
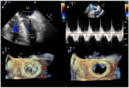
4. Tricuspid Valve Disease
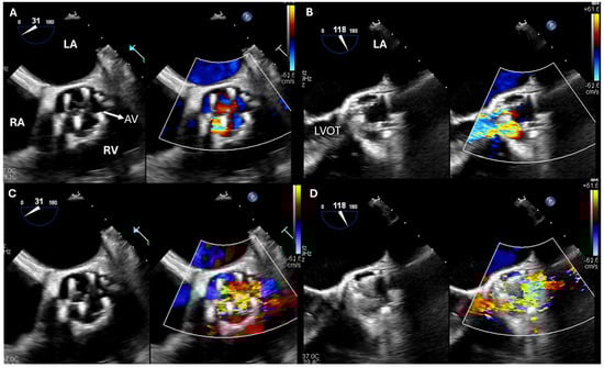
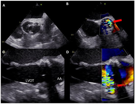
5. Aortic Valve Disease
6. Coronary Artery Disease
7. Diseases of the Aorta
8. Other Indications
8.1. Pulmonary Valve Disease and Adult Congenital Heart Disease
8.2. Hypertrophic Cardiomyopathy
8.3. Infective Endocarditis
8.4. Mechanical Circulatory Support
8.5. Heart Transplantation
9. Conclusions
Author Contributions
Funding
Institutional Review Board Statement
Informed Consent Statement
Data Availability Statement
Conflicts of Interest
References
- Hahn, R.T.; Abraham, T.; Adams, M.S.; Bruce, C.J.; Glas, K.E.; Lang, R.M.; Reeves, S.T.; Shanewise, J.S.; Siu, S.C.; Stewart, W.; et al. Guidelines for Performing a Comprehensive Transesophageal Echocardiographic Examination: Recommendations from the American Society of Echocardiography and the Society of Cardiovascular Anesthesiologists. J. Am. Soc. Echocardiogr. 2013, 26, 921–964. [Google Scholar] [CrossRef] [PubMed]
- Lang, R.M.; Badano, L.P.; Tsang, W.; Adams, D.H.; Agricola, E.; Buck, T.; Faletra, F.F.; Franke, A.; Hung, J.; de Isla, L.P.; et al. EAE/ASE Recommendations for Image Acquisition and Display Using Three-Dimensional Echocardiography. Eur. Heart J. Cardiovasc. Imaging 2012, 13, 1–46. [Google Scholar] [CrossRef] [PubMed]
- Eltzschig, H.K.; Rosenberger, P.; Löffler, M.; Fox, J.A.; Aranki, S.F.; Shernan, S.K. Impact of Intraoperative Transesophageal Echocardiography on Surgical Decisions in 12,566 Patients Undergoing Cardiac Surgery. Ann. Thorac. Surg. 2008, 85, 845–852. [Google Scholar] [CrossRef] [PubMed]
- MacKay, E.J.; Zhang, B.; Augoustides, J.G.; Groeneveld, P.W.; Desai, N.D. Association of Intraoperative Transesophageal Echocardiography and Clinical Outcomes After Open Cardiac Valve or Proximal Aortic Surgery. JAMA Netw. Open 2022, 5, e2147820. [Google Scholar] [CrossRef]
- Nicoara, A.; Skubas, N.; Ad, N.; Finley, A.; Hahn, R.T.; Mahmood, F.; Mankad, S.; Nyman, C.B.; Pagani, F.; Porter, T.R.; et al. Guidelines for the Use of Transesophageal Echocardiography to Assist with Surgical Decision-Making in the Operating Room: A Surgery-Based Approach: From the American Society of Echocardiography in Collaboration with the Society of Cardiovascular Anesthesiologists and the Society of Thoracic Surgeons. J. Am. Soc. Echocardiogr. 2020, 33, 692–734. [Google Scholar] [CrossRef]
- Mathis, M.R.; Yule, S.; Wu, X.; Dias, R.D.; Janda, A.M.; Krein, S.L.; Manojlovich, M.; Caldwell, M.D.; Stakich-Alpirez, K.; Zhang, M.; et al. The Impact of Team Familiarity on Intra- and Postoperative Cardiac Surgical Outcomes. Surgery 2021, 170, 1031–1038. [Google Scholar] [CrossRef]
- Jelacic, S.; Bowdle, A.; Togashi, K.; VonHomeyer, P. The Use of TEE Simulation in Teaching Basic Echocardiography Skills to Senior Anesthesiology Residents. J. Cardiothorac. Vasc. Anesth. 2013, 27, 670–675. [Google Scholar] [CrossRef]
- Bick, J.S.; Wanderer, J.P.; Myler, C.S.; Shaw, A.D.; McEvoy, M.D. Standard Setting for Clinical Performance of Basic Perioperative Transesophageal Echocardiography: Moving beyond the Written Test. Anesthesiology 2017, 126, 718–728. [Google Scholar] [CrossRef]
- Hillenbrand, K.D.; Racine, C.L.; McNeil, J.S.; Kleiman, A.M. Difficult TEE Probe Placement: The Evidence, Troubleshooting Techniques, and a Guide to Alternative Monitoring Options for Intraoperative Physicians. Semin. Cardiothorac. Vasc. Anesth. 2019, 23, 369–378. [Google Scholar] [CrossRef]
- Soulaidopoulos, S.; Vlachakis, P.K.; Sagris, M.; Dimitroglou, Y.; Tolis, E.; Theofilis, P.; Aznouridis, K.; Dimitriadis, K.; Drakopoulou, M.; Lozos, V.; et al. Whispers of the Cath Lab: “Cases We Would Rather Forget”. J. Clin. Ultrasound 2024, 52, 1247–1253. [Google Scholar] [CrossRef]
- Grayburn, P.A.; She, L.; Roberts, B.J.; Golba, K.S.; Mokrzycki, K.; Drozdz, J.; Cherniavsky, A.; Przybylski, R.; Wrobel, K.; Asch, F.M.; et al. Comparison of Transesophageal and Transthoracic Echocardiographic Measurements of Mechanism and Severity of Mitral Regurgitation in Ischemic Cardiomyopathy (from the Surgical Treatment of Ischemic Heart Failure Trial). Am. J. Cardiol. 2015, 116, 913–918. [Google Scholar] [CrossRef] [PubMed][Green Version]
- Mihăilă, S.; Muraru, D.; Piasentini, E.; Miglioranza, M.H.; Peluso, D.; Cucchini, U.; Iliceto, S.; Vinereanu, D.; Badano, L.P. Quantitative Analysis of Mitral Annular Geometry and Function in Healthy Volunteers Using Transthoracic Three-Dimensional Echocardiography. J. Am. Soc. Echocardiogr. 2014, 27, 846–857. [Google Scholar] [CrossRef] [PubMed]
- Schwartzenberg, S.; Sagie, A.; Shapira, Y.; Monakier, D.; Yedidya, I.; Ofek, H.; Kazum, S.; Kornowski, R.; Vaturi, M. Echocardiographic Assessment of Aortic Stenosis under Sedation Underestimates Stenosis Severity. J. Am. Soc. Echocardiogr. 2019, 32, 1051–1057. [Google Scholar] [CrossRef] [PubMed]
- Schwartzenberg, S.; Vaturi, M.; Kazum, S.; Yedidya, I.; Monakier, D.; Ofek, H.; Sagie, A.; Kornowski, R.; Shapira, Y. Comparison of Simultaneous Transthoracic Versus Transesophageal Echocardiography for Assessment of Aortic Stenosis. Am. J. Cardiol. 2022, 163, 77–84. [Google Scholar] [CrossRef]
- Zamorano, J.L.; González-Gómez, A.; Lancellotti, P. Mitral Valve Anatomy: Implications for Transcatheter Mitral Valve Interventions. EuroIntervention 2014, 10 (Suppl. U), U106–U111. [Google Scholar] [CrossRef]
- Vahanian, A.; Beyersdorf, F.; Praz, F.; Milojevic, M.; Baldus, S.; Bauersachs, J.; Capodanno, D.; Conradi, L.; De Bonis, M.; De Paulis, R.; et al. 2021 ESC/EACTS Guidelines for the Management of Valvular Heart Disease. Eur. Heart J. 2022, 43, 561–632. [Google Scholar] [CrossRef]
- Colli, A.; Adams, D.; Fiocco, A.; Pradegan, N.; Longinotti, L.; Nadali, M.; Pandis, D.; Gerosa, G. Transapical NeoChord Mitral Valve Repair. Ann. Cardiothorac. Surg. 2018, 7, 812–820. [Google Scholar] [CrossRef]
- Lozos, V.; Aggeli, C.; Halkidis, P.; Dimitroglou, Y.; Kalampalikis, L.; Vavuranakis, M.; Tousoulis, D.; Triantafillou, K. Transapical Implantation of Neochords in Patients with Severe Degenerative Mitral Regurgitation: The First Greek Experience. Hellenic J. Cardiol. 2020, 61, 293–295. [Google Scholar] [CrossRef]
- Sengupta, A.; Alexis, S.L.; Zaid, S.; Tang, G.H.L.; Lerakis, S.; Martin, R.P. Imaging the Mitral Valve: A Primer for the Interventional Surgeon. Ann. Cardiothorac. Surg. 2021, 10, 28–42. [Google Scholar] [CrossRef]
- Sweeney, J.; Dutta, T.; Sharma, M.; Kabra, N.; Ranjan, P.; Goldberg, J.; Lansman, S.L.; Spevack, D.M. Variations in Mitral Valve Leaflet and Scallop Anatomy on Three-Dimensional Transesophageal Echocardiography. J. Am. Soc. Echocardiogr. 2022, 35, 77–85. [Google Scholar] [CrossRef]
- Grayburn, P.A.; Thomas, J.D. Basic Principles of the Echocardiographic Evaluation of Mitral Regurgitation. JACC Cardiovasc. Imaging 2021, 14, 843–853. [Google Scholar] [CrossRef] [PubMed]
- Avenatti, E.; Mackensen, G.B.; El-Tallawi, K.C.; Reisman, M.; Gruye, L.; Barker, C.M.; Little, S.H. Diagnostic Value of 3-Dimensional Vena Contracta Area for the Quantification of Residual Mitral Regurgitation After MitraClip Procedure. JACC Cardiovasc. Interv. 2019, 12, 582–591. [Google Scholar] [CrossRef] [PubMed]
- Lancellotti, P.; Moura, L.; Pierard, L.A.; Agricola, E.; Popescu, B.A.; Tribouilloy, C.; Hagendorff, A.; Monin, J.-L.; Badano, L.; Zamorano, J.L.; et al. European Association of Echocardiography Recommendations for the Assessment of Valvular Regurgitation. Part 2: Mitral and Tricuspid Regurgitation (Native Valve Disease). Eur. J. Echocardiogr. 2010, 11, 307–332. [Google Scholar] [CrossRef]
- Scalia, I.G.; Farina, J.M.; Wraith, R.; Brown, L.; Abbas, M.T.; Pereyra, M.; Allam, M.; Mahmoud, A.K.; Kamel, M.A.; Barry, T.; et al. Association between Echocardiographic Velocity Time Integral Ratio of Mitral Valve and Left Ventricular Outflow Tract and Clinical Outcomes Post Transcatheter Edge-to-Edge Mitral Valve Repair. Heliyon 2024, 10, e32378. [Google Scholar] [CrossRef] [PubMed]
- Chan, K.L.; Chen, S.-Y.; Chan, V.; Hay, K.; Mesana, T.; Lam, B.K. Functional Significance of Elevated Mitral Gradients after Repair for Degenerative Mitral Regurgitation. Circ. Cardiovasc. Imaging 2013, 6, 1041–1047. [Google Scholar] [CrossRef]
- Mesana, T.G.; Lam, B.-K.; Chan, V.; Chen, K.; Ruel, M.; Chan, K. Clinical Evaluation of Functional Mitral Stenosis after Mitral Valve Repair for Degenerative Disease: Potential Affect on Surgical Strategy. J. Thorac. Cardiovasc. Surg. 2013, 146, 1418–1423; discussion 1423–1425. [Google Scholar] [CrossRef]
- Dimitroglou, Y.; Tsioufis, K.; Aggeli, C. Could Left Atrial Function Modify Outcomes After Transcatheter Edge-to-Edge Repair of the Mitral Valve? JACC Cardiovasc. Interv. 2022, 15, 1490–1491. [Google Scholar] [CrossRef]
- Chan, K.L.; Chen, S.-Y.; Mesana, T.; Lam, B.K. Development of Mitral Stenosis After Mitral Valve Repair: Importance of Mitral Valve Area. Can. J. Cardiol. 2017, 33, 1701–1707. [Google Scholar] [CrossRef]
- Zoghbi, W.A.; Jone, P.-N.; Chamsi-Pasha, M.A.; Chen, T.; Collins, K.A.; Desai, M.Y.; Grayburn, P.; Groves, D.W.; Hahn, R.T.; Little, S.H.; et al. Guidelines for the Evaluation of Prosthetic Valve Function With Cardiovascular Imaging: A Report From the American Society of Echocardiography Developed in Collaboration With the Society for Cardiovascular Magnetic Resonance and the Society of Cardiovascular Computed Tomography. J. Am. Soc. Echocardiogr. 2024, 37, 2–63. [Google Scholar] [CrossRef]
- Hołda, M.K.; Zhingre Sanchez, J.D.; Bateman, M.G.; Iaizzo, P.A. Right Atrioventricular Valve Leaflet Morphology Redefined: Implications for Transcatheter Repair Procedures. JACC Cardiovasc. Interv. 2019, 12, 169–178. [Google Scholar] [CrossRef]
- Dimitriadis, K.; Beneki, E.; Aznaouridis, K.; Aggeli, C.; Tsioufis, K. Five-Leaflet Tricuspid Valve Regurgitation. Transcatheter Repair at Once? Acta Cardiol. 2024, 1–2. [Google Scholar] [CrossRef] [PubMed]
- Escabia, C.; Bayes-Genis, A.; Delgado, V. Three-Dimensional Echocardiography for Tricuspid Valve Assessment. Curr. Cardiol. Rep. 2022, 24, 1611–1618. [Google Scholar] [CrossRef] [PubMed]
- Hausleiter, J.; Braun, D.; Orban, M.; Latib, A.; Lurz, P.; Boekstegers, P.; von Bardeleben, R.S.; Kowalski, M.; Hahn, R.T.; Maisano, F.; et al. Patient Selection, Echocardiographic Screening and Treatment Strategies for Interventional Tricuspid Repair Using the Edge-to-Edge Repair Technique. EuroIntervention 2018, 14, 645–653. [Google Scholar] [CrossRef] [PubMed]
- Muraru, D.; Hahn, R.T.; Soliman, O.I.; Faletra, F.F.; Basso, C.; Badano, L.P. 3-Dimensional Echocardiography in Imaging the Tricuspid Valve. JACC Cardiovasc. Imaging 2019, 12, 500–515. [Google Scholar] [CrossRef]
- Coisne, A.; Lancellotti, P.; Habib, G.; Garbi, M.; Dahl, J.S.; Barbanti, M.; Vannan, M.A.; Vassiliou, V.S.; Dudek, D.; Chioncel, O.; et al. ACC/AHA and ESC/EACTS Guidelines for the Management of Valvular Heart Diseases: JACC Guideline Comparison. J. Am. Coll. Cardiol. 2023, 82, 721–734. [Google Scholar] [CrossRef]
- Naeije, R.; Tello, K.; D’Alto, M. Tricuspid Regurgitation: Right Ventricular Volume Versus Pressure Load. Curr. Heart Fail. Rep. 2023, 20, 208–217. [Google Scholar] [CrossRef]
- Hirata, K.; Tengan, T.; Wake, M.; Takahashi, T.; Ishimine, T.; Yasumoto, H.; Nakasu, A.; Mototake, H. Bioprosthetic Tricuspid Valve Stenosis: A Case Series. Eur. Heart J. Case Rep. 2019, 3, ytz110. [Google Scholar] [CrossRef]
- Chen, J.; Cheng, Z.; Dong, N.; Dong, L.; Guo, H.; Guo, Y.; Huang, H.; Jiang, S.; Lu, F.; Li, F.; et al. 2022 CMICS Expert Consensus on the Management of Isolated Tricuspid Regurgitation after Left-Sided Valve Surgery. Rev. Cardiovasc. Med. 2023, 24, 129. [Google Scholar] [CrossRef]
- Liu, J.; Tan, T.; Huang, H.; Gu, W.; Zang, X.; Ma, J.; Wu, H.; Liu, H.; Zhuang, J.; Chen, J.; et al. Outcomes of Minimally Invasive Isolated Tricuspid Valve Reoperation after Left-Side Valve Surgery: A Single-Center Experience. Front. Cardiovasc. Med. 2023, 10, 1033489. [Google Scholar] [CrossRef]
- Coffey, S.; Roberts-Thomson, R.; Brown, A.; Carapetis, J.; Chen, M.; Enriquez-Sarano, M.; Zühlke, L.; Prendergast, B.D. Global Epidemiology of Valvular Heart Disease. Nat. Rev. Cardiol. 2021, 18, 853–864. [Google Scholar] [CrossRef]
- Otani, K.; Takeuchi, M.; Kaku, K.; Sugeng, L.; Yoshitani, H.; Haruki, N.; Ota, T.; Mor-Avi, V.; Lang, R.M.; Otsuji, Y. Assessment of the Aortic Root Using Real-Time 3D Transesophageal Echocardiography. Circ. J. 2010, 74, 2649–2657. [Google Scholar] [CrossRef] [PubMed]
- Konoske, R.; Whitener, G.; Nicoara, A. Intraoperative Evaluation of Paravalvular Regurgitation by Transesophageal Echocardiography. Anesth. Analg. 2015, 121, 329–336. [Google Scholar] [CrossRef] [PubMed]
- Babu, S.; Sreedhar, R.; Gadhinglajkar, S.V.; Dash, P.K.; Sukesan, S.; Pillai, V.; Panicker, V.T.; Shriram, L.P.; Aggarwal, N. Intraoperative Transesophageal and Postoperative Transthoracic Echocardiographic Evaluation of a Mechanical Heart Valve Prosthesis Implanted at Aortic Position. J. Cardiothorac. Vasc. Anesth. 2018, 32, 782–789. [Google Scholar] [CrossRef] [PubMed]
- Zoghbi, W.A.; Adams, D.; Bonow, R.O.; Enriquez-Sarano, M.; Foster, E.; Grayburn, P.A.; Hahn, R.T.; Han, Y.; Hung, J.; Lang, R.M.; et al. Recommendations for Noninvasive Evaluation of Native Valvular Regurgitation: A Report from the American Society of Echocardiography Developed in Collaboration with the Society for Cardiovascular Magnetic Resonance. J. Am. Soc. Echocardiogr. 2017, 30, 303–371. [Google Scholar] [CrossRef]
- Gallego García de Vinuesa, P.; Castro, A.; Barquero, J.M.; Araji, O.; Brunstein, G.; Méndez, I.; Infantes, C.; Cruz-Fernández, J.M. Functional Anatomy of Aortic Regurgitation. Role of Transesophageal Echocardiography in Aortic Valve-Sparing Surgery. Rev. Esp. Cardiol. 2010, 63, 536–543. [Google Scholar] [CrossRef]
- Hagendorff, A.; Stoebe, S.; Tayal, B. A Systematic Approach to 3D Echocardiographic Assessment of the Aortic Root. Glob. Cardiol. Sci. Pract. 2018, 2018, 12. [Google Scholar] [CrossRef]
- Yamashita, G.; Nakano, J.; Sugaya, A.; Sakai, J.; Hirao, S.; Komiya, T. Effectiveness of Intraoperative Endoscopic Evaluation in Aortic Valve Repair with Valve-Sparing Aortic Root Replacement: A Comparison of Short- and Mid-Term Results. Interdiscip. Cardiovasc. Thorac. Surg. 2024, 38, ivae059. [Google Scholar] [CrossRef]
- le Polain de Waroux, J.-B.; Pouleur, A.-C.; Robert, A.; Pasquet, A.; Gerber, B.L.; Noirhomme, P.; El Khoury, G.; Vanoverschelde, J.-L.J. Mechanisms of Recurrent Aortic Regurgitation after Aortic Valve Repair: Predictive Value of Intraoperative Transesophageal Echocardiography. JACC Cardiovasc. Imaging 2009, 2, 931–939. [Google Scholar] [CrossRef]
- Metkus, T.S.; Thibault, D.; Grant, M.C.; Badhwar, V.; Jacobs, J.P.; Lawton, J.; O’Brien, S.M.; Thourani, V.; Wegermann, Z.K.; Zwischenberger, B.; et al. Transesophageal Echocardiography in Patients Undergoing Coronary Artery Bypass Graft Surgery. J. Am. Coll. Cardiol. 2021, 78, 112–122. [Google Scholar] [CrossRef]
- Koide, Y.; Keehn, L.; Nomura, T.; Long, T.; Oka, Y. Relationship of Regional Wall Motion Abnormalities Detected by Biplane Transesophageal Echocardiography and Electrocardiographic Changes in Patients Undergoing Coronary Artery Bypass Graft Surgery. J. Cardiothorac. Vasc. Anesth. 1996, 10, 719–727. [Google Scholar] [CrossRef]
- Damluji, A.A.; van Diepen, S.; Katz, J.N.; Menon, V.; Tamis-Holland, J.E.; Bakitas, M.; Cohen, M.G.; Balsam, L.B.; Chikwe, J.; American Heart Association Council on Clinical Cardiology; et al. Mechanical Complications of Acute Myocardial Infarction: A Scientific Statement From the American Heart Association. Circulation 2021, 144, e16–e35. [Google Scholar] [CrossRef] [PubMed]
- Kihara, C.; Murata, K.; Wada, Y.; Hadano, Y.; Ohyama, R.; Okuda, S.; Tanaka, T.; Nose, Y.; Fukagawa, Y.; Yoshino, H.; et al. Impact of Intraoperative Transesophageal Echocardiography in Cardiac and Thoracic Aortic Surgery: Experience in 1011 Cases. J. Cardiol. 2009, 54, 282–288. [Google Scholar] [CrossRef] [PubMed]
- Komanek, T.; Rabis, M.; Omer, S.; Peters, J.; Frey, U.H. Quantification of Left Ventricular Ejection Fraction and Cardiac Output Using a Novel Semi-Automated Echocardiographic Method: A Prospective Observational Study in Coronary Artery Bypass Patients. BMC Anesthesiol. 2023, 23, 65. [Google Scholar] [CrossRef] [PubMed]
- Labus, J.; Foit, A.; Mehler, O.; Rahmanian, P.; Böttiger, B.W.; Wetsch, W.A.; Mathes, A. Intraoperative Noninvasive Left Ventricular Myocardial Work Indices in Patients Undergoing On-Pump Coronary Artery Bypass Surgery. J. Cardiothorac. Vasc. Anesth. 2023, 37, 221–231. [Google Scholar] [CrossRef]
- Labus, J.; Winata, J.; Schmidt, T.; Nicolai, J.; Zwaag, S.V.; Sveric, K.; Wilbring, M.; Scholz, M.; Fassl, J. Normal Range of Intraoperative Three-Dimensionally Derived Right Ventricular Free-Wall Strain in Coronary Artery Bypass Surgery Patients. Echocardiography 2023, 40, 615–622. [Google Scholar] [CrossRef]
- Dávila-Román, V.G.; Phillips, K.J.; Daily, B.B.; Dávila, R.M.; Kouchoukos, N.T.; Barzilai, B. Intraoperative Transesophageal Echocardiography and Epiaortic Ultrasound for Assessment of Atherosclerosis of the Thoracic Aorta. J. Am. Coll. Cardiol. 1996, 28, 942–947. [Google Scholar] [CrossRef]
- Garg, P.; Wadiwala, I.J.; Raavi, L.; Mateen, N.; Crestanello, J.; Pham, S.M.; Jacob, S. Transesophageal Echocardiography: A Tool for Intraoperative Assessment of Coronary Blood Flow. J. Surg. Case Rep. 2023, 2023, rjac603. [Google Scholar] [CrossRef]
- Sef, D.; Bahrami, T.; Raja, S.G.; Klokocovnik, T. Current Trends in Minimally Invasive Valve-Sparing Aortic Root Replacement-Best Available Evidence. J. Card. Surg. 2022, 37, 1684–1690. [Google Scholar] [CrossRef]
- Tan, C.N.H.; Fraser, A.G. Perioperative Transesophageal Echocardiography for Aortic Dissection. Can. J. Anaesth. 2014, 61, 362–378. [Google Scholar] [CrossRef]
- Boucher, N.; Dreksler, H.; Hooper, J.; Nagpal, S.; MirGhassemi, A.; Miller, E. Anaesthesia for Vascular Emergencies—A State of the Art Review. Anaesthesia 2023, 78, 236–246. [Google Scholar] [CrossRef]
- Siddiqi, U.; Adewale, A.; Pena, E.; Schulz, K.; Ilbawi, M.; El-Zein, C.; Vricella, L.; Hibino, N. Preserving the Pulmonary Valve in Tetralogy of Fallot Repair: Reconsidering the Indication for Valve-Sparing. J. Card. Surg. 2022, 37, 5144–5152. [Google Scholar] [CrossRef] [PubMed]
- Marino, B.S.; Pasquali, S.K.; Wernovsky, G.; Pudusseri, A.; Rychik, J.; Montenegro, L.; Shera, D.; Spray, T.L.; Cohen, M.S. Accuracy of Intraoperative Transesophageal Echocardiography in the Prediction of Future Neo-Aortic Valve Function after the Ross Procedure in Children and Young Adults. Congenit. Heart Dis. 2008, 3, 39–46. [Google Scholar] [CrossRef] [PubMed]
- Gomez, C.B.; Stutzbach, P.G.; Guevara, E.; Favaloro, R.R. Does Intraoperative Transesophageal Echocardiography Predict Pulmonary Valve Dysfunction during the Ross Procedure? J. Cardiothorac. Vasc. Anesth. 2002, 16, 437–440. [Google Scholar] [CrossRef] [PubMed]
- Arbelo, E.; Protonotarios, A.; Gimeno, J.R.; Arbustini, E.; Barriales-Villa, R.; Basso, C.; Bezzina, C.R.; Biagini, E.; Blom, N.A.; de Boer, R.A.; et al. 2023 ESC Guidelines for the Management of Cardiomyopathies. Eur. Heart J. 2023, 44, 3503–3626. [Google Scholar] [CrossRef]
- Wang, C.; Wang, Z.; Zheng, Y.; Wang, J.; Sun, L. Perioperative Echocardiography in Minimally Invasive Surgery for Hypertrophic Obstructive Cardiomyopathy. J. Clin. Ultrasound 2024, 52, 897–904. [Google Scholar] [CrossRef]
- Toutouzas, K.; Karanasos, A.; Anastasakis, A.; Vavuranakis, M.; Seggewiss, H.; Stefanadis, C.; Rigopoulos, A. Optimal Branch Selection in Alcohol Septal Ablation. Int. J. Cardiol. 2011, 147, 143–144. [Google Scholar] [CrossRef]
- Fava, A.M.; Mehta, A.R.; Bauer, A.; Popovic, Z.; Thamilarasan, M.; Smedira, N.G.; Desai, M.Y. Measurements of the Interventricular Septum and Mitral Leaflet Length in Hypertrophic Cardiomyopathy Patients Who Underwent Surgical Myectomy: A Prospective Comparative Multimodality Imaging Study. Am. J. Cardiol. 2024, 227, 48–56. [Google Scholar] [CrossRef]
- Schizas, N.; Georgia, N.; Samiotis, I.; Angouras, D.C.; Argiriou, M. Intraoperative Accurate Assessment of Septal Myectomy for Hypertrophic Obstructive Cardiomyopathy (HOCM). J. Card. Surg. 2022, 37, 3322–3324. [Google Scholar] [CrossRef]
- Bedair Elsayes, A.; Basura, A.; Zahedi, F.; Moreno-Duarte, I.; Rowin, E.J.; Maron, M.; Rastegar, H.; Cobey, F.C. Intraoperative Provocative Testing in Patients with Obstructive Hypertrophic Cardiomyopathy Undergoing Septal Myectomy. J. Am. Soc. Echocardiogr. 2020, 33, 182–190. [Google Scholar] [CrossRef]
- Delgado, V.; Ajmone Marsan, N.; de Waha, S.; Bonaros, N.; Brida, M.; Burri, H.; Caselli, S.; Doenst, T.; Ederhy, S.; Erba, P.A.; et al. 2023 ESC Guidelines for the Management of Endocarditis. Eur. Heart J. 2023, 44, 3948–4042. [Google Scholar] [CrossRef]
- Harris, W.M.; Sinha, S.; Caputo, M.; Angelini, G.D.; Vohra, H.A. Surgical Outcomes and Optimal Approach to Treatment of Aortic Valve Endocarditis with Aortic Root Abscess—Systematic Review and Meta-Analysis. Perfusion 2024, 39, 256–265. [Google Scholar] [CrossRef] [PubMed]
- Shapira, Y.; Weisenberg, D.E.; Vaturi, M.; Sharoni, E.; Raanani, E.; Sahar, G.; Vidne, B.A.; Battler, A.; Sagie, A. The Impact of Intraoperative Transesophageal Echocardiography in Infective Endocarditis. Isr. Med. Assoc. J. 2007, 9, 299–302. [Google Scholar] [PubMed]
- Sciaccaluga, C.; Soliman-Aboumarie, H.; Sisti, N.; Mandoli, G.E.; Cameli, P.; Bigio, E.; Valente, S.; Mondillo, S.; Cameli, M. Echocardiography for Left Ventricular Assist Device Implantation and Evaluation: An Indispensable Tool. Heart Fail. Rev. 2022, 27, 891–902. [Google Scholar] [CrossRef] [PubMed]
- Flores, A.S.; Essandoh, M.; Yerington, G.C.; Bhatt, A.M.; Iyer, M.H.; Perez, W.; Davila, V.R.; Tripathi, R.S.; Turner, K.; Dimitrova, G.; et al. Echocardiographic Assessment for Ventricular Assist Device Placement. J. Thorac. Dis. 2015, 7, 2139–2150. [Google Scholar] [CrossRef]
- Tan, Z.; Roscoe, A.; Rubino, A. Transesophageal Echocardiography in Heart and Lung Transplantation. J. Cardiothorac. Vasc. Anesth. 2019, 33, 1548–1558. [Google Scholar] [CrossRef]
- Romano, P.; Mangion, J.M.R. The Role of Intraoperative Transesophageal Echocardiography in Heart Transplantation. Echocardiography 2002, 19, 599–604. [Google Scholar] [CrossRef]






| Preoperative | Postoperative | |
|---|---|---|
| MV repair | Describe MR mechanism Measure leaflet length Measure annulus size Estimate MR severity | Ensure sufficient MR reduction No flail part Exclude iatrogenic MV stenosis |
| TV repair | Describe TR mechanism Describe TV anatomy Measure TV annulus | Exclude iatrogenic TV stenosis |
| AV repair | Describe mechanism of AR Define feasibility of repair Image coronary vessels Image ascending aorta | Ensure no/mild residual AR Exclude persistent prolapse Estimate durability of repair (measure coaptation length) |
| Prosthetic valves | Exclude concomitant pathologies (e.g., significant TR) | Exclude PVLs Exclude insufficient valve expansion |
| CABG | Exclude concomitant valvular heart disease Exclude MI complications | Estimate LV and RV function |
| Aortic root surgery | Guide aortic cannulation Define feasibility of valve sparing surgeries | Image coronary vessels Exclude iatrogenic dissection Exclude aortic graft endoleaks |
| Pulmonary valve | Estimate gradient and RV function | Exclude residual stenosis or regurgitation |
| Hypertrophic cardiomyopathy | Assess MV function and the extent of anterior leaflet SAM | Estimate postoperative gradient Exclude iatrogenic VSD |
| Infective endocarditis | Exclude complications (e.g., abscess) Reassess valvular function | Exclude residual valve regurgitation Assess prosthetic valve function |
| Mechanical circulatory support | Guide cannulation sites Exclude thrombi Guide positioning of the device | Estimate LV and RV function Exclude presence of air in the device |
| Heart transplantation | Determine suitability of anastomotic sites Exclude presence of thrombi | Estimate LV and RV function Exclude presence of significant TR |
Disclaimer/Publisher’s Note: The statements, opinions and data contained in all publications are solely those of the individual author(s) and contributor(s) and not of MDPI and/or the editor(s). MDPI and/or the editor(s) disclaim responsibility for any injury to people or property resulting from any ideas, methods, instructions or products referred to in the content. |
© 2025 by the authors. Licensee MDPI, Basel, Switzerland. This article is an open access article distributed under the terms and conditions of the Creative Commons Attribution (CC BY) license (https://creativecommons.org/licenses/by/4.0/).
Share and Cite
Dimitroglou, Y.; Karanasos, A.; Katsaros, A.; Kalompatsou, A.; Tsigkas, G.; Toutouzas, K.; Tsioufis, C.; Aggeli, C.; Davlouros, P. Intraoperative Transesophageal Echocardiographic Guidance in Cardiac Surgery. J. Cardiovasc. Dev. Dis. 2025, 12, 93. https://doi.org/10.3390/jcdd12030093
Dimitroglou Y, Karanasos A, Katsaros A, Kalompatsou A, Tsigkas G, Toutouzas K, Tsioufis C, Aggeli C, Davlouros P. Intraoperative Transesophageal Echocardiographic Guidance in Cardiac Surgery. Journal of Cardiovascular Development and Disease. 2025; 12(3):93. https://doi.org/10.3390/jcdd12030093
Chicago/Turabian StyleDimitroglou, Yannis, Antonios Karanasos, Andreas Katsaros, Argyro Kalompatsou, Grigorios Tsigkas, Konstantinos Toutouzas, Costantinos Tsioufis, Constantina Aggeli, and Periklis Davlouros. 2025. "Intraoperative Transesophageal Echocardiographic Guidance in Cardiac Surgery" Journal of Cardiovascular Development and Disease 12, no. 3: 93. https://doi.org/10.3390/jcdd12030093
APA StyleDimitroglou, Y., Karanasos, A., Katsaros, A., Kalompatsou, A., Tsigkas, G., Toutouzas, K., Tsioufis, C., Aggeli, C., & Davlouros, P. (2025). Intraoperative Transesophageal Echocardiographic Guidance in Cardiac Surgery. Journal of Cardiovascular Development and Disease, 12(3), 93. https://doi.org/10.3390/jcdd12030093

