Massive Central Pulmonary Embolism with Riding Embolus and Concomitant Aortic Arch Embolism—Should We Diagnose Patients Earlier for Blood Clotting Disorders? Case Report
Abstract
1. Introduction
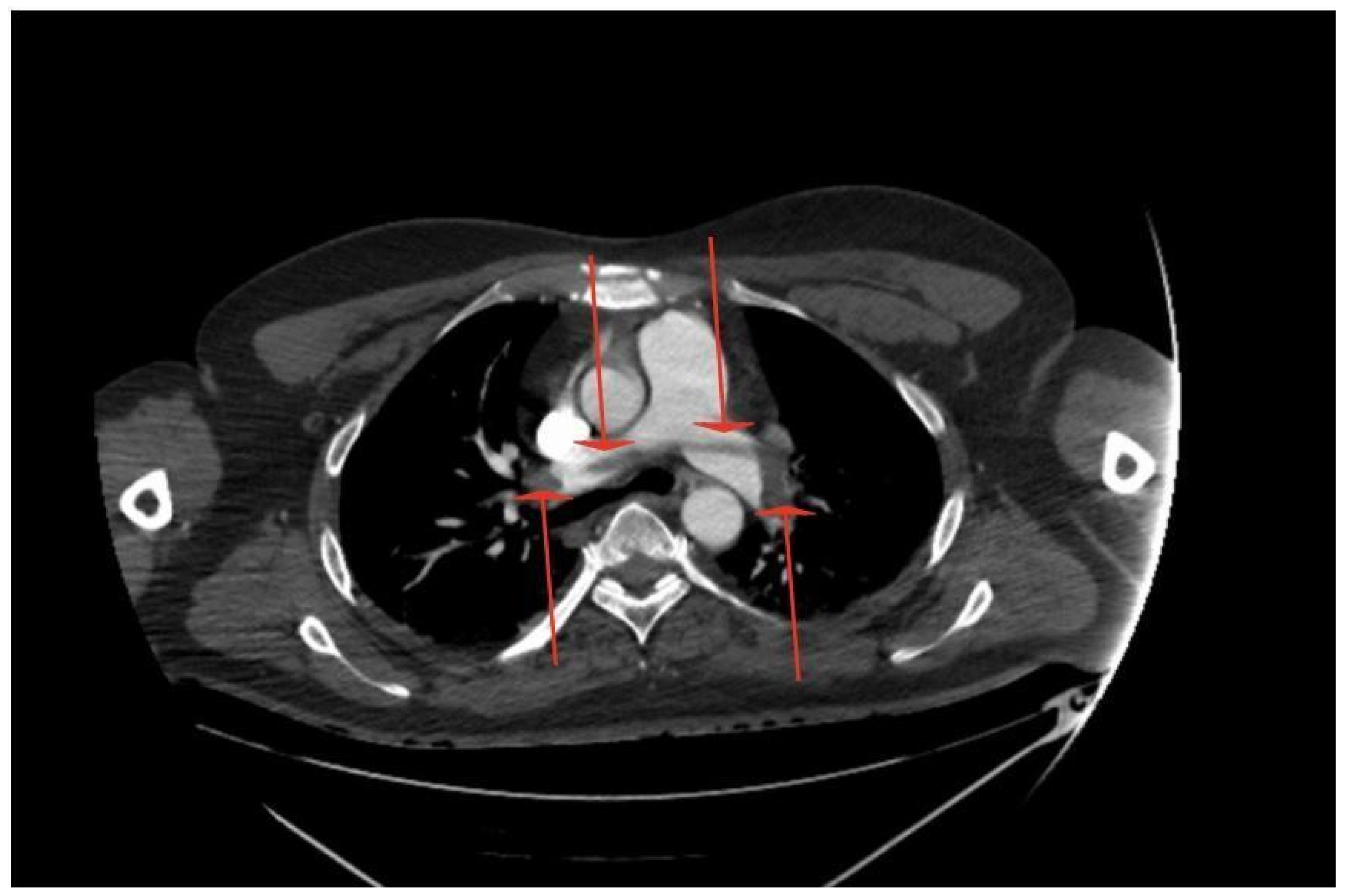
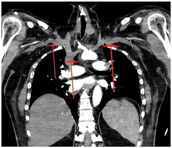
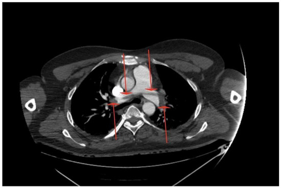
2. Case Report
3. Discussion
4. Conclusions
Author Contributions
Funding
Institutional Review Board Statement
Informed Consent Statement
Data Availability Statement
Conflicts of Interest
References
- Senst, B.; Tadi, P.; Basit, H.; Jan, A. Hypercoagulability. In StatPearls [Internet]; [Updated 22 August 2023]; StatPearls Publishing: Treasure Island, FL, USA, 2024. Available online: https://www.ncbi.nlm.nih.gov/books/NBK538251/ (accessed on 2 October 2024).
- Prandoni, P. Venous and arterial thrombosis: Two aspects of the same disease? Clin. Epidemiol. 2009, 1, 1–6. [Google Scholar] [CrossRef] [PubMed]
- Previtali, E.; Bucciarelli, P.; Passamonti, S.M.; Martinelli, I. Risk factors for venous and arterial thrombosis. Blood Transfus. 2011, 9, 120–138. [Google Scholar] [CrossRef] [PubMed]
- Myers, P.; Bounameaux, H.; Panos, A.; Lerch, R.; Kalangos, A. Impending paradoxical embolism: Systematic review of prognostic factors and treatment. Chest 2010, 137, 164–170. [Google Scholar] [CrossRef] [PubMed]
- Akrawinthawong, K.; Damrongwatanasuk, R.; Abuzahra, M. Acute limb ischemia and silent pulmonary emboli as a key to identify thrombus-in-transit through patent foramen ovale. J. Am. Coll. Cardiol. 2016, 67, 1194. [Google Scholar] [CrossRef]
- Egeberg, O. Inherited antithrombin deficiency causing thrombofilia. Thromb. Diath. Haemorrh. 1965, 13, 516–530. [Google Scholar] [PubMed]
- Konstantinides, S.V.; Meyer, G.; Becattini, C.; Bueno, H.; Geersing, G.J.; Harjola, V.-P.; Huisman, M.V.; Humbert, M.; Jennings, C.S.; Jiménez, D.; et al. 2019 ESC Guidelines for the diagnosis and management of acute pulmonary embolism developed in collaboration with the European Respiratory Society (ERS): The Task Force for the diagnosis and management of acute pulmonary embolism of the European Society of Cardiology (ESC). Eur. Heart J. 2020, 41, 543–603. [Google Scholar] [CrossRef] [PubMed]
- Linnemann, B.; Beyer-Westendorf, J.; Espinola-Klein, C.; Mühlberg, K.S.; Müller, O.J.; Klamroth, R. Management of Deep Vein Thrombosis: An Update Based on the Revised AWMF S2k Guideline. Hamostaseologie 2024, 44, 97–110. [Google Scholar] [CrossRef] [PubMed]
- Meyer, G.; Vicaut, E.; Danays, T.; Agnelli, G.; Becattini, C.; Beyer-Westendorf, J.; Bluhmki, E.; Bouvaist, H.; Brenner, B.; Couturaud, F.; et al. Fibrinolysis for patients with intermediate-risk pulmonary embolism. N. Engl. J. Med. 2014, 370, 1402–1411. [Google Scholar] [CrossRef] [PubMed]
- Lee, T.; Itagaki, S.; Chiang, Y.P.; Egorova, N.N.; Adams, D.H.; Chikwe, J. Survival and recurrence after acute pulmonary embolism treated with pulmonary embolectomy or thrombolysis in New York State, 1999 to 2013. J. Thorac. Cardiovasc. Surg. 2018, 155, 1084–1090.e12. [Google Scholar] [CrossRef] [PubMed]
- Aymard, T.; Kadner, A.; Widmer, A.; Basciani, R.; Tevaearai, H.; Weber, A.; Schmidli, J.; Carrel, T. Massive pulmonary embolism: Surgical embolectomy versus thrombolytic therapy--should surgical indications be revisited? Eur. J. Cardio-Thorac. Surg. 2013, 43, 90–94. [Google Scholar] [CrossRef] [PubMed]
- Herman, C.R.; Rosu, C.; Abraham, C.Z. Cerebral embolic protection during endovascular arch replacement. Ann. Cardiothorac. Surg. 2018, 7, 397–405. [Google Scholar] [CrossRef] [PubMed]
- Sultan, F.A.; Allen, S.; Sharif, M.; Mookadam, F. Paradoxical Thrombus ’Caught in the Act’: Case Report and Review of the Literature. Am. J. Med. 2017, 130, e23–e25. [Google Scholar] [CrossRef] [PubMed]
- Cheng, T.O. Paradoxical embolism. A diagnostic challenge and its detection during life. Circulation 1976, 53, 564–568. [Google Scholar] [CrossRef] [PubMed]
- Windecker, S.; Stortecky, S.; Meier, B. Paradoxical Embolism. J. Am. Coll. Cardiol. 2014, 64, 403–415. [Google Scholar] [CrossRef] [PubMed]
- Thompson, T.; Evans, W. Paradoxical Embolism. QJM Int. J. Med. 1930, os-23, 135–150. [Google Scholar] [CrossRef]
- Skelley, J.; White, C.; Thomason, A. The use of direct oral anticoagulants in inherited thrombophilia. J. Thromb. Thrombolysis 2016, 43, 24–30. [Google Scholar] [CrossRef] [PubMed]
- Connors, J.M. Thrombophilia Testing and Venous Thrombosis. N. Engl. J. Med. 2017, 377, 1177–1187. [Google Scholar] [CrossRef] [PubMed]
- Nakashima, M.O.; Rogers, H.J. Hypercoagulable states: An algorithmic approach to laboratory testing and update on monitoring of direct oral anticoagulants. Blood Res. 2014, 49, 85–94. [Google Scholar] [CrossRef] [PubMed]



| Parameter | Venous Blood Gasometry on Admission to the ED 1 | ABG 1 After 1.5 h | ABG 1 Day 5 |
|---|---|---|---|
| pH N 1: 7.35–7.45 | 7.368 | 7.327 | 7.411 |
| pCO2 1 [mmHg] N 1: 32.0–48.0 | 49.4 | 51.0 | 45 |
| pO2 1 [mmHg] N 1: 83–108 | 41.1 | 136 | 63 |
| lactate [mmol/L] N 1: 0.3–0.8 | 2 | 1.8 | normal |
| BE 1 [mmol/L] | 3.1 | 0.7 |
| Parameter | Value at Admission | Day 1 | Day 4 | Day 7 | Day 10 |
|---|---|---|---|---|---|
| D-dimer [ng/mL] N 1: 0–550 | 12,077.94 | 6285.66 | 5328.92 | 5518.85 | |
| AT III [%] 1 N 1: 79.40–112.00 | 72.82 | 68.80 | 62.39 | ||
| Fibrinogen [g/L] N 1: 1.80–3.50 | 6.58 | 6.51 | |||
| hs TnT [ng/mL] 1 N 1: <0.014 | 0.039 | ||||
| CRP [mg/L] 1 N 1: <5.0 | 12.5 | 43.5 | 12.1 | ||
| APTT [s] 1 | 28.7 | ||||
| PT 1 [s] N 1: 9.4–13.4 | 11.5 | ||||
| INR 1 N 1: 0.88–1.20 | 1.0 |
Disclaimer/Publisher’s Note: The statements, opinions and data contained in all publications are solely those of the individual author(s) and contributor(s) and not of MDPI and/or the editor(s). MDPI and/or the editor(s) disclaim responsibility for any injury to people or property resulting from any ideas, methods, instructions or products referred to in the content. |
© 2025 by the authors. Licensee MDPI, Basel, Switzerland. This article is an open access article distributed under the terms and conditions of the Creative Commons Attribution (CC BY) license (https://creativecommons.org/licenses/by/4.0/).
Share and Cite
Lis, A.; Kowalski, P.; Wita, M.; Zawadzki, T.; Ilczak, T.; Żurawiński, W.; Majewski, M. Massive Central Pulmonary Embolism with Riding Embolus and Concomitant Aortic Arch Embolism—Should We Diagnose Patients Earlier for Blood Clotting Disorders? Case Report. J. Cardiovasc. Dev. Dis. 2025, 12, 26. https://doi.org/10.3390/jcdd12010026
Lis A, Kowalski P, Wita M, Zawadzki T, Ilczak T, Żurawiński W, Majewski M. Massive Central Pulmonary Embolism with Riding Embolus and Concomitant Aortic Arch Embolism—Should We Diagnose Patients Earlier for Blood Clotting Disorders? Case Report. Journal of Cardiovascular Development and Disease. 2025; 12(1):26. https://doi.org/10.3390/jcdd12010026
Chicago/Turabian StyleLis, Anna, Paweł Kowalski, Marcin Wita, Tomasz Zawadzki, Tomasz Ilczak, Wojciech Żurawiński, and Mateusz Majewski. 2025. "Massive Central Pulmonary Embolism with Riding Embolus and Concomitant Aortic Arch Embolism—Should We Diagnose Patients Earlier for Blood Clotting Disorders? Case Report" Journal of Cardiovascular Development and Disease 12, no. 1: 26. https://doi.org/10.3390/jcdd12010026
APA StyleLis, A., Kowalski, P., Wita, M., Zawadzki, T., Ilczak, T., Żurawiński, W., & Majewski, M. (2025). Massive Central Pulmonary Embolism with Riding Embolus and Concomitant Aortic Arch Embolism—Should We Diagnose Patients Earlier for Blood Clotting Disorders? Case Report. Journal of Cardiovascular Development and Disease, 12(1), 26. https://doi.org/10.3390/jcdd12010026

