One-Year Outcome of an Ongoing Pre-Clinical Growing Animal Model for a Tissue-Engineered Valved Pulmonary Conduit
Abstract
1. Background
2. Methods
2.1. Valved Conduit (Self-Created)
2.2. Surgical Procedure and Post-Operative Care
2.3. Follow-Up Protocol
2.4. Necropsy
2.5. Study Population
2.6. Statistical Analysis
3. Results
3.1. Growth and Functionality of the Valved Conduit
3.2. Laboratory Parameters
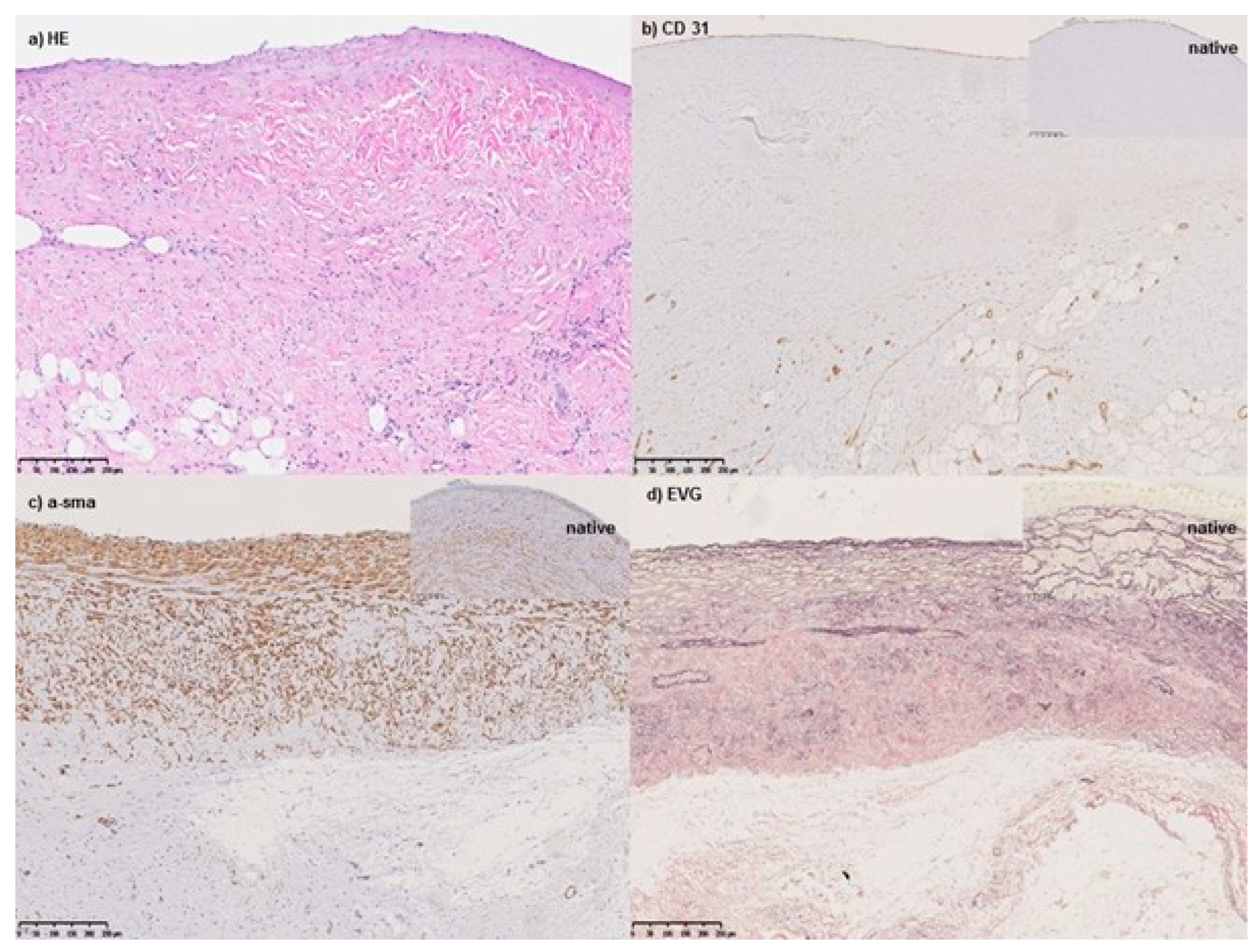
3.3. Necropsy and Pre-Mortem CT Scans
3.4. Unexpected Deaths
4. Discussion
4.1. Mortality in a Long-Term Large Animal Model
4.2. Predisposition or Resistance to Infection
4.3. Valve Hemodynamics
4.4. Conduit Growth
4.5. Hemolysis
Supplementary Materials
Author Contributions
Funding
Institutional Review Board Statement
Informed Consent Statement
Data Availability Statement
Conflicts of Interest
References
- Dave, H.; Dodge-Khatami, A.; Kadner, A.; Pretre, R. Modified technique for heterotopic implantation of a right ventricular outflow tract conduit. Ann. Thorac. Surg. 2006, 81, 2321–2323. [Google Scholar] [CrossRef] [PubMed]
- Baskett, R.J.; Ross, D.B.; Nanton, M.A.; Murphy, D.A. Factors in the early failure of cryopreserved homograft pulmonary valves in children: Preserved immunogenicity? J. Thorac. Cardiovasc. Surg. 1996, 112, 1170–1178. [Google Scholar] [CrossRef] [PubMed]
- Christenson, J.T.; Sierra, J.; Colina Manzano, N.E.; Jolou, J.; Beghetti, M.; Kalangos, A. Homografts and xenografts for right ventricular outflow tract reconstruction: Long-term results. Ann. Thorac. Surg. 2010, 90, 1287–1293. [Google Scholar] [CrossRef] [PubMed]
- Rahimtoola, S.H. Choice of prosthetic heart valve in adults an update. J. Am. Coll. Cardiol. 2010, 55, 2413–2426. [Google Scholar] [CrossRef] [PubMed]
- Poinot, N.; Fils, J.F.; Demanet, H.; Dessy, H.; Biarent, D.; Wauthy, P. Pulmonary valve replacement after right ventricular outflow tract reconstruction with homograft vs Contegra(R): A case control comparison of mortality and morbidity. J. Cardiothorac. Surg. 2018, 13, 8. [Google Scholar] [CrossRef] [PubMed]
- Schweiger, M.; Dave, H.; Schmiady, M.; Lemme, F.; Hübler, M. The Search for the Optimal Right Ventricular Outflow Tract Conduit. J. Heart Cardiovasc. Med. 2018, 1, 3. [Google Scholar]
- Knirsch, W.; Krüger, B.; Fleischmann, T.; Malbon, A.; Lipiski, M.; Lemme, F.; Sauer, M.; Cesarovic, N.; Dave, H.; Hübler, M.; et al. Establishing a pre-clinical growing animal model to test a tissue engineered valved pulmonary conduit. J. Thorac. Dis. 2020, 12, 8. [Google Scholar] [CrossRef] [PubMed]
- Lancellotti, P.; Tribouilloy, C.; Hagendorff, A.; Moura, L.; Popescu, B.A.; Agricola, E.; Monin, J.L.; Pierard, L.A.; Badano, L.; Zamorano, J.L.; et al. European Association of Echocardiography recommendations for the assessment of valvular regurgitation. Part 1: Aortic and pulmonary regurgitation (native valve disease). Eur. J. Echocardiogr. 2010, 11, 223–244. [Google Scholar] [CrossRef] [PubMed]
- Baumgartner, H.; Hung, J.; Bermejo, J.; Chambers, J.B.; Evangelista, A.; Griffin, B.P.; Iung, B.; Otto, C.M.; Pellikka, P.A.; Quinones, M.; et al. Echocardiographic assessment of valve stenosis: EAE/ASE recommendations for clinical practice. J. Am. Soc. Echocardiogr. 2009, 22, 1–23. [Google Scholar] [CrossRef] [PubMed]
- Tschuor, A.C.; Riond, B.; Braun, U.; Lutz, H. Hämatologische und klinisch-chemische Referenzwerte für adulte Ziegen und Schafe. Schweiz. Arch. Tierheilk. 2008, 6, 8. [Google Scholar] [CrossRef]
- Desco, M.; Cano, M.J.; Duarte, J.; Rodriguez, F.; Fernandez-Caleya, D.; Alvarez-Valdivielso, M.; Antoranz, J.C.; Rubio, M.A.; Garcia-Barreno, P.; del Canizo, J.F. Blood biochemistry values of sheep (Ovis aries ligeriensis). Comp. Biochem. Physiol. A Comp. Physiol. 1989, 94, 717–719. [Google Scholar] [CrossRef] [PubMed]
- Rasmussen, J.; Skov, S.N.; Nielsen, D.B.; Jensen, I.L.; Tjornild, M.J.; Johansen, P.; Hjortdal, V.E. In-vitro and in-vivo evaluation of a novel bioprosthetic pulmonary valve for use in congenital heart surgery. J. Cardiothorac. Surg. 2019, 14, 6. [Google Scholar] [CrossRef] [PubMed]
- Boni, L.; Chalajour, F.; Sasaki, T.; Snyder, R.L.; Boyd, W.D.; Riemer, R.K.; Reddy, V.M. Reconstruction of pulmonary artery with porcine small intestinal submucosa in a lamb surgical model: Viability and growth potential. J. Thorac. Cardiovasc. Surg. 2012, 144, 963–969.e961. [Google Scholar] [CrossRef] [PubMed]
- Miller, J.R.; Henn, M.C.; Lancaster, T.S.; Lawrance, C.P.; Schuessler, R.B.; Shepard, M.; Anderson, M.; Kovacs, A.; Matheny, R.G.; Eghtesady, P.; et al. Pulmonary Valve Replacement with Small Intestine Submucosa-Extracellular Matrix in a Porcine Model. World J. Pediatr. Congenit. Heart Surg. 2016, 7, 475–483. [Google Scholar] [CrossRef] [PubMed]
- Padalino, M.A.; Castaldi, B.; Fedrigo, M.; Gallo, M.; Zucchetta, F.; Vida, V.L.; Milanesi, O.; Angelini, A.; Stellin, G. Porcine Intestinal Submucosa (CorMatrix) for Semilunar Valve Repair in Children: A Word of Caution after Midterm Results. Semin. Thorac. Cardiovasc. Surg. 2016, 28, 436–445. [Google Scholar] [CrossRef] [PubMed]
- Mosala Nezhad, Z.; Poncelet, A.; de Kerchove, L.; Fervaille, C.; Banse, X.; Bollen, X.; Dehoux, J.P.; El Khoury, G.; Gianello, P. CorMatrix valved conduit in a porcine model: Long-term remodelling and biomechanical characterization. Interact. Cardiovasc. Thorac. Surg. 2017, 24, 90–98. [Google Scholar] [CrossRef] [PubMed]
- Mosala Nezhad, Z.; Poncelet, A.; Fervaille, C.; de Kerchove, L.; Gianello, P. Experimental Aortic Valve Cusp Extension with CorMatrix in a Porcine Model. Thorac. Cardiovasc. Surg. 2017, 65, 206–210. [Google Scholar] [CrossRef] [PubMed]
- Hofmann, M.; Schmiady, M.O.; Burkhardt, B.E.; Dave, H.H.; Hubler, M.; Kretschmar, O.; Bode, P.K. Congenital aortic valve repair using CorMatrix((R)): A histologic evaluation. Xenotransplantation 2017, 24, e12341. [Google Scholar] [CrossRef] [PubMed]
- Zafar, F.; Hinton, R.B.; Moore, R.A.; Baker, R.S.; Bryant, R., 3rd; Narmoneva, D.A.; Taylor, M.D.; Morales, D.L. Physiological Growth, Remodeling Potential, and Preserved Function of a Novel Bioprosthetic Tricuspid Valve: Tubular Bioprosthesis Made of Small Intestinal Submucosa-Derived Extracellular Matrix. J. Am. Coll. Cardiol. 2015, 66, 877–888. [Google Scholar] [CrossRef]
- Cox, J.L.; Hammel, J.M.; Radio, S.J. Evaluation of cellular ingrowth within porcine extracellular matrix scaffolding in congenital heart disease surgery. Cardiovasc. Pathol. 2019, 39, 54–60. [Google Scholar] [CrossRef]
- LaHue, N.; Parish, S. Mannheimia haemolytica vegetative endocarditis in a Suffolk wether. Can. Vet. J. 2015, 56, 484–485. [Google Scholar] [PubMed]
- Jamieson, S.; Stuart, J. Streptococcal endocarditis in lambs. J. Pathol. Bacteriol. 1950, 62, 235–239. [Google Scholar] [CrossRef] [PubMed]
- Bernal, J.M.; Rabasa, J.M.; Cagigas, J.C.; Val, F.; Revuelta, J.M. Behavior of mitral allografts in the tricuspid position in the growing sheep model. Ann. Thorac. Surg. 1998, 65, 1326–1330. [Google Scholar] [CrossRef]
- Vetter, H.O.; Dagge, A.; Liao, K.; Erhorn, A.; Chryssagis, K.; Strenkert, C.; Reichart, B. Mitral allograft with chordal support: Echocardiographic evaluation in sheep. J. Heart Valve Dis. 1995, 4, 35–39. [Google Scholar] [PubMed]
- Tamura, K.; Jones, M.; Yamada, I.; Ferrans, V.J. A comparison of failure modes of glutaraldehyde-treated versus antibiotic-preserved mitral valve allografts implanted in sheep. J. Thorac. Cardiovasc. Surg. 1995, 110, 224–238. [Google Scholar] [CrossRef]
- Bennink, G.; Torii, S.; Brugmans, M.; Cox, M.; Svanidze, O.; Ladich, E.; Carrel, T.; Virmani, R. A novel restorative pulmonary valved conduit in a chronic sheep model: Mid-term hemodynamic function and histologic assessment. J. Thorac. Cardiovasc. Surg. 2018, 155, 2591–2601. [Google Scholar] [CrossRef]





| Animal ID | Weight Pre-Operative [kg] | Conduit Diameter [mm] | Death Intraoperatively | Death Post-Operatively [POD] | OR Time [min] | CPB Time [min] | Cause of Death |
|---|---|---|---|---|---|---|---|
| #7 | 29 | 20 | No | 1 | 405 | 270 | Low cardiac output |
| #8 | 27 | 18 | Yes | - | 240 | 54 | Diffuse hemorrhage |
| #9 | 24 | 18 | No | 1 | 195 | 74 | Acute hemorrhage from femoral artery (puncture site of arterial line) in the stable |
| #11 | 35 | 20 | No | 0 | 163 | 63 | Low cardiac output |
| #13 | 32 | 18 | No | 1 | 185 | 52 | Pre-operatively reduced LV function, difficult weaning from CPB, use of inotropes, died in heart failure |
| #19 | 30 | 18 | No | 1 | 175 | 45 | Pericardial tamponade with immediate re-operation; death secondary to anemia and hypoproteinemia with no possibility of transfusion |
| #21 | 28 | 18 | Yes | - | 205 | 117 | Weaning failure from CPB |
| Median (range) | 29 (24–35) | 18 (18–20) | - | 1 (0–1) | 195 (163–405) | 63 (45–270) | - |
| Animal ID | Weight Pre-Operative [kg] | Conduit Implantation Diameter [mm] | Outcome | OR Time [min] | CPB Time [min] | HCT before CPB [%] | HCT after CPB [%] | Weight at Last FU [kg] | Valve Conduit Calcification * (at Last FU) |
|---|---|---|---|---|---|---|---|---|---|
| #5 | 33 | 20 | Ongoing | 150 | 70 | 22 | 20 | 55 | Mild (12 months) |
| #6 | 30 | 20 | Ongoing | 162 | 71 | 20 | 18 | 38 | None (12 months) |
| #10 | 27 | 20 | Died before endpoint | 160 | 56 | 24 | 21 | n.a. | None (POD 18) |
| #12 | 35 | 20 | Died before endpoint | 183 | 52 | 22 | 21 | 59 | None (POD 256) |
| #14 | 33 | 18 | Sacrificed per protocol at 12 months | 165 | 44 | 25 | 21 | 48 | None (12 months) |
| #15 | 36 | 16 | Ongoing | 185 | 61 | 21 | 18 | 53 | Mild (12 months) |
| #16 | 34 | 18 | Sacrificed per protocol at 9 months | 113 | 40 | 21 | 20 | 48 | Mild (9 months) |
| #18 | 36 | 22 | Died before endpoint | 192 | 80 | 23 | 10 | n.a. | None (POD 23) |
| #17 | 38 | 18 | Ongoing | 104 | 37 | 24 | 21 | 48 | None (12 months) |
| #20 | 30 | 18 | Ongoing | 151 | 40 | 20 | 19 | 60 | None (12 months) |
| #22 | 28 | 18 | Ongoing | 125 | 34 | 20 | 15 | 53 | Mild (12 months) |
| #23 | 29 | 18 | Ongoing | 110 | 31 | 16 | 15 | 66 | Mild (12 months) |
| Median (range) | 33 (27–38) | 18 (16–22) | - | 155.5 (104–192) | 48 (31–80) | 21.5 (16–25) | 19.5 (10–21) | 53 (38–66) |
| Animal ID | 1 Month Post-op | 3 Months Post-op | 6 Months Post-op | 9 Months Post-op | 12 Months Post-op | Valve Conduit Calcification * (at Last FU) | Outcome | |
|---|---|---|---|---|---|---|---|---|
| #5 | Mean gradient/regurgitation | 3/0 | 3/0 | 3/0 | 2/0 | 2/1 | Mild (12 months) | Ongoing |
| #6 | Mean gradient/regurgitation | 10/0 | 4/0 | 4/0 | 3/0 | 3/1 | None (12 months) | Ongoing |
| #12 | Mean gradient/regurgitation | 2/1 | 4/1 | 6/0 | None (POD 256) | Unexpected death | ||
| #14 | Mean gradient/regurgitation | 4/3 | 6/0 | 3/2 | 3/4 | ¾ | None (12 months) | Sacrificed per protocol at 12 months |
| #15 | Mean gradient/regurgitation | 4/1 | 9/0 | 2/0 | 2/0 | 3/0 | Mild (12 months) | Ongoing |
| #16 | Mean gradient/regurgitation | 2/0 | 14/1 | 5/0 | 15/3 | Mild (9 months) | Sacrificed per protocol at 9 months | |
| #17 | Mean gradient/regurgitation | 3/0 | 5/0 | 2/1 | 2/1 | 2/0 | None (12 months) | Ongoing |
| #20 | Mean gradient/regurgitation | 1/1 | 3/1 | 3/1 | 1/1 | 12/1 | None (12 months) | Ongoing |
| #22 | Mean gradient/regurgitation | 12/1 | 4/2 | 11/1 | 10/1 | 12/2 | Mild (12 months) | Ongoing |
| #23 | Mean gradient/regurgitation | 6/0 | 3/0 | 3/0 | 7/1 | 5/1 | Mild (12 months) | Ongoing |
| 1 Month after Surgery | 3 Months after Surgery | 6 Months after Surgery | 9 Months after Surgery | 12 Months after Surgery | ||
|---|---|---|---|---|---|---|
| LDH, U/L | Median (range) | 1152 (882–1397) | 1151 (1079–1329) | 1182 (1013–1448) | 1248 (967–1369) | 1121 (951–1514) |
| HB, g/L | Median (range) | 110 (88–115) | 114 (107–133) | 111 (89–134) | 114 (103–125) | 108 (93–113) |
| WBC, 109/L | Median (range) | 7.6 (8.82–9.95) | 7 (6.8–8.71) | 5.7 (5.22–7.6) | 6,1 (5.6–8.84) | 6.7 (6.5–9.45) |
Disclaimer/Publisher’s Note: The statements, opinions and data contained in all publications are solely those of the individual author(s) and contributor(s) and not of MDPI and/or the editor(s). MDPI and/or the editor(s) disclaim responsibility for any injury to people or property resulting from any ideas, methods, instructions or products referred to in the content. |
© 2024 by the authors. Licensee MDPI, Basel, Switzerland. This article is an open access article distributed under the terms and conditions of the Creative Commons Attribution (CC BY) license (https://creativecommons.org/licenses/by/4.0/).
Share and Cite
Schweiger, M.; Krüger, B.; Malbon, A.; Fleischmann, T.; Weisskopf, M.; Frauenfelder, T.; Lemme, F.; Cesarovic, N.; Knirsch, W.; Hübler, M. One-Year Outcome of an Ongoing Pre-Clinical Growing Animal Model for a Tissue-Engineered Valved Pulmonary Conduit. J. Cardiovasc. Dev. Dis. 2024, 11, 179. https://doi.org/10.3390/jcdd11060179
Schweiger M, Krüger B, Malbon A, Fleischmann T, Weisskopf M, Frauenfelder T, Lemme F, Cesarovic N, Knirsch W, Hübler M. One-Year Outcome of an Ongoing Pre-Clinical Growing Animal Model for a Tissue-Engineered Valved Pulmonary Conduit. Journal of Cardiovascular Development and Disease. 2024; 11(6):179. https://doi.org/10.3390/jcdd11060179
Chicago/Turabian StyleSchweiger, Martin, Bernard Krüger, Alexandra Malbon, Thea Fleischmann, Miriam Weisskopf, Thomas Frauenfelder, Frithjof Lemme, Nikola Cesarovic, Walter Knirsch, and Michael Hübler. 2024. "One-Year Outcome of an Ongoing Pre-Clinical Growing Animal Model for a Tissue-Engineered Valved Pulmonary Conduit" Journal of Cardiovascular Development and Disease 11, no. 6: 179. https://doi.org/10.3390/jcdd11060179
APA StyleSchweiger, M., Krüger, B., Malbon, A., Fleischmann, T., Weisskopf, M., Frauenfelder, T., Lemme, F., Cesarovic, N., Knirsch, W., & Hübler, M. (2024). One-Year Outcome of an Ongoing Pre-Clinical Growing Animal Model for a Tissue-Engineered Valved Pulmonary Conduit. Journal of Cardiovascular Development and Disease, 11(6), 179. https://doi.org/10.3390/jcdd11060179

