Diagnostic Methods of Atherosclerotic Plaque and the Assessment of Its Prognostic Significance—A Narrative Review
Abstract
1. Introduction
2. Imaging of Atherosclerotic Plaque Morphology
2.1. Ultrasound Imaging Techniques
2.2. The Use of Contrast in USG Imaging of Atherosclerosis
2.3. Intravascular Ultrasonography Assessment
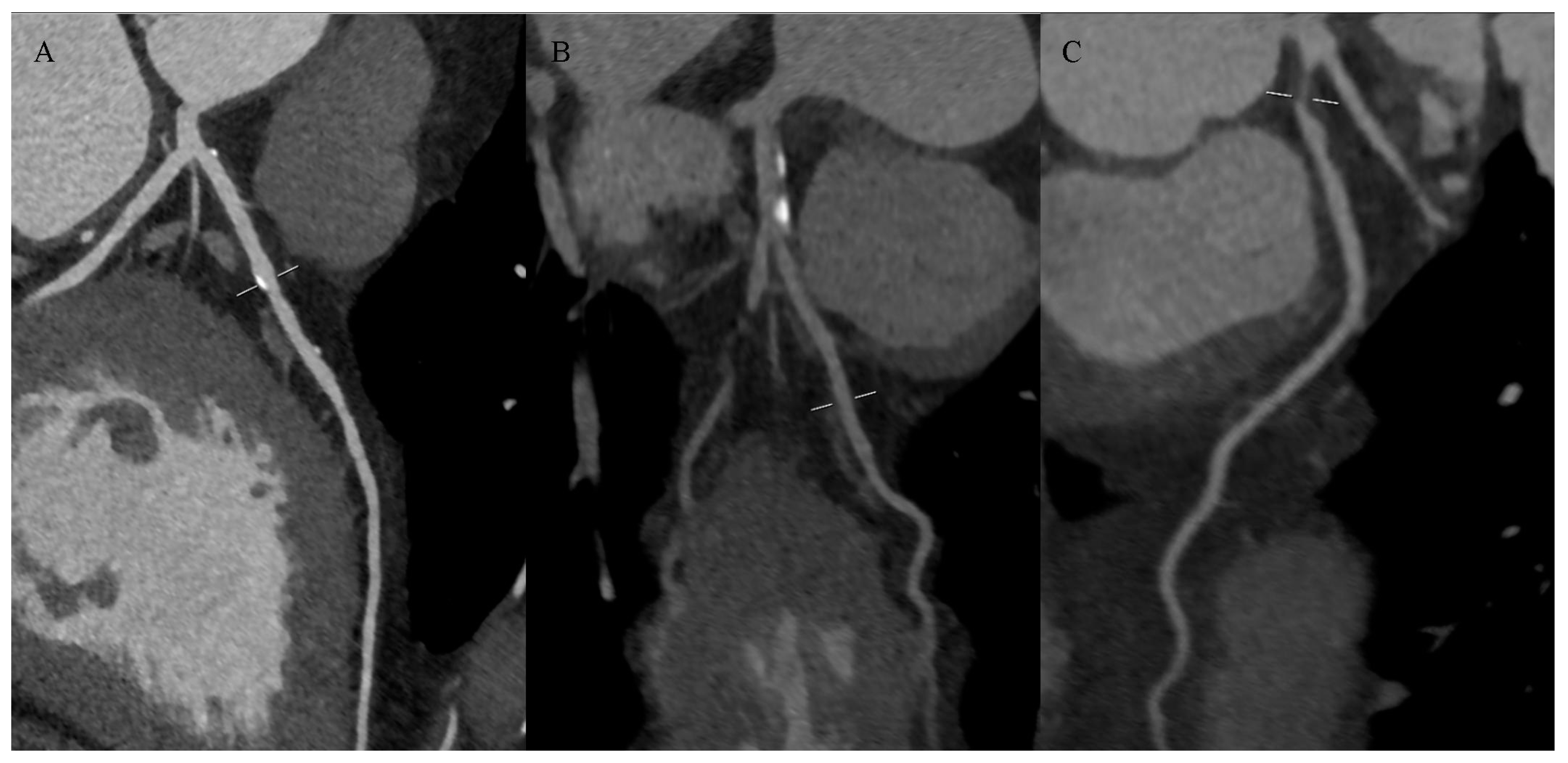
2.4. Computed Tomography Assessment
2.5. Optical Coherence Tomography
2.6. Magnetic Resonance Imaging
2.7. Positron Emission Tomography
2.8. Multimodality Imaging
3. Artificial Intelligence and Atherosclerotic Plaque Imaging
3.1. Artificial Intelligence in Atherosclerosis Assessment
3.2. Legal Aspects of Using Artificial Intelligence in Radiology
4. Discussion
5. Conclusions
Author Contributions
Funding
Institutional Review Board Statement
Informed Consent Statement
Data Availability Statement
Conflicts of Interest
References
- Townsend, N.; Kazakiewicz, D.; Lucy Wright, F.; Timmis, A.; Huculeci, R.; Torbica, A.; Gale, C.P.; Achenbach, S.; Weidinger, F.; Vardas, P.l. Epidemiology of cardiovascular disease in Europe. Nat. Rev. Cardiol. 2022, 19, 133–143. [Google Scholar] [CrossRef] [PubMed]
- Eurostat Causes of Death Statistics. 2024. Available online: https://ec.europa.eu/eurostat/statistics-explained/index.php?title=Causes_of_death_statistics (accessed on 31 July 2024).
- Visseren, F.L.J.; Mach, F.; Smulders, Y.M.; Carballo, D.; Koskinas, K.C.; Bäck, M.; Benetos, A.; Biffi, A.; Boavida, J.M.; Capodanno, D. 2021 ESC Guidelines on cardiovascular disease prevention in clinical practice. Eur. Heart J. 2021, 42, 3227–3337. [Google Scholar] [CrossRef]
- Mughal, M.M.; Khan, M.K.; DeMarco, J.K.; Majid, A.; Shamoun, F.; Abela, G.S. Symptomatic and asymptomatic carotid artery plaque. Expert. Rev. Cardiovasc. Ther. 2011, 9, 1315–1330. [Google Scholar] [CrossRef]
- Byrne, R.A.; Rossello, X.; Coughlan, J.J.; Barbato, E.; Berry, C.; Chieffo, A.; Claeys, M.J.; Dan, G.A.; Dweck, M.R.; Galbraith, M. 2023 ESC Guidelines for the management of acute coronary syndromes. Eur. Heart J. 2023, 44, 3720–3826. [Google Scholar] [CrossRef]
- Vrints, C.; Andreotti, F.; Koskinas, K.C.; Rossello, X.; Adamo, M.; Ainslie, J.; Banning, A.P.; Budaj, A.; Buechel, R.R.; Chiariello, G.A. 2024 ESC Guidelines for the management of chronic coronary syndromes. Eur. Heart J. 2024, 45, 3415–3537. [Google Scholar]
- Hackett, D.; Verwilghen, J.; Davies, G.; Maseri, A. Coronary stenoses before and after acute myocardial infarction. Am. J. Cardiol. 1989, 63, 1517–1518. [Google Scholar] [CrossRef]
- Dawson, L.P.; Lum, M.; Nerleker, N.; Nicholls, S.J.; Layland, J. Coronary Atherosclerotic Plaque Regression. J. Am. Coll. Cardiol. 2022, 79, 66–82. [Google Scholar] [CrossRef]
- Ahmadi, A.; Argulian, E.; Leipsic, J.; Newby, D.E.; Narula, J. From Subclinical Atherosclerosis to Plaque Progression and Acute Coronary Events. J. Am. Coll. Cardiol. 2019, 74, 1608–1617. [Google Scholar] [CrossRef]
- Stary, H.C.; Chandler, A.B.; Dinsmore, R.E.; Fuster, V.; Glagov, S.; Insull, W., Jr.; Rosenfeld, M.E.; Schwartz, C.J.; Wagner, W.D.; Wissler, R.W. A Definition of Advanced Types of Atherosclerotic Lesions and a Histological Classification of Atherosclerosis. Circulation 1995, 92, 1355–1374. [Google Scholar] [CrossRef]
- Fayad, Z.A.; Fuster, V. Clinical Imaging of the High-Risk or Vulnerable Atherosclerotic Plaque. Circ. Res. 2001, 89, 305–316. [Google Scholar] [CrossRef]
- Poznyak, A.V.; Sukhorukov, V.N.; Eremin, I.I.; Nadelyaeva, I.I.; Orekhov, A.N. Diagnostics of atherosclerosis: Overview of the existing methods. Front. Cardiovasc. Med. 2023, 10, 1134097. [Google Scholar] [CrossRef] [PubMed]
- Flohr, T.; Petersilka, M.; Henning, A.; Ulzheimer, S.; Ferda, J.; Schmidt, B. Photon-counting CT review. Phys. Medica 2020, 79, 126–136. [Google Scholar] [CrossRef] [PubMed]
- Ibañez, B.; Badimon, J.J.; Garcia, M.J. Diagnosis of Atherosclerosis by Imaging. Am. J. Med. 2009, 122, S15–S25. [Google Scholar] [CrossRef]
- Balu, N.; Wang, J.; Dong, L.; Baluyot, F.; Chen, H.; Yuan, C. Current Techniques for MR Imaging of Atherosclerosis. Top. Magn. Reson. Imaging 2009, 20, 203–215. [Google Scholar] [CrossRef]
- Noguchi, T.; Yamada, N.; Kawasaki, T.; Tanaka, A.; Yasuda, S. Detection of High-Risk Atherosclerotic Plaques by Magnetic Resonance Imaging. Circ. J. 2013, 77, 1975–1983. [Google Scholar] [CrossRef]
- Touboul, P.J.; Hennerici, M.G.; Meairs, S.; Adams, H.; Amarenco, P.; Bornstein, N.; Csiba, L.; Desvarieux, M.; Ebrahim, S.; Hernandez Hernandez, R. Mannheim Carotid Intima-Media Thickness and Plaque Consensus (2004–2006–2011). Cerebrovasc. Dis. 2012, 34, 290–296. [Google Scholar] [CrossRef]
- Yang, C.W.; Guo, Y.C.; Li, C.I.; Liu, C.S.; Lin, C.H.; Liu, C.H.; Wang, M.C.; Yang, S.Y.; Li, T.C.; Lin, C.C. Subclinical Atherosclerosis Markers of Carotid Intima-Media Thickness, Carotid Plaques, Carotid Stenosis, and Mortality in Community-Dwelling Adults. Int. J. Environ. Res. Public Health 2020, 17, 4745. [Google Scholar] [CrossRef]
- Johri, A.M.; Nambi, V.; Naqvi, T.Z.; Feinstein, S.B.; Kim, E.S.H.; Park, M.M.; Becher, H.; Sillesen, H. Recommendations for the Assessment of Carotid Arterial Plaque by Ultrasound for the Characterization of Atherosclerosis and Evaluation of Cardiovascular Risk: From the American Society of Echocardiography. J. Am. Soc. Echocardiogr. 2020, 33, 917–933. [Google Scholar] [CrossRef] [PubMed]
- Knuuti, J.; Wijns, W.; Saraste, A.; Capodanno, D.; Barbato, E.; Funck-Brentano, C.; Prescott, E.; Storey, R.F.; Deaton, C.; Cuisset, T. 2019 ESC Guidelines for the diagnosis and management of chronic coronary syndromes. Eur. Heart J. 2020, 41, 407–477. [Google Scholar] [CrossRef]
- Sicari, R.; Nihoyannopoulos, P.; Evangelista, A.; Kasprzak, J.; Lancellotti, P.; Poldermans, D.; Voigt, J.U.; Zamorano, J.L.; European Association of Echocardiography. Stress echocardiography expert consensus statement: European Association of Echocardiography (EAE) (a registered branch of the ESC). Eur. J. Echocardiogr. 2008, 9, 415–437. [Google Scholar] [CrossRef]
- Owen, D.R.J.; Lindsay, A.C.; Choudhury, R.P.; Fayad, Z.A. Imaging of Atherosclerosis. Annu. Rev. Med. 2011, 62, 25–40. [Google Scholar] [CrossRef] [PubMed]
- Owen, D.R.; Shalhoub, J.; Miller, S.; Gauthier, T.; Doryforou, O.; Davies, A.H.; Leen, E.L. Inflammation within Carotid Atherosclerotic Plaque: Assessment with Late-Phase Contrast-enhanced US. Radiology 2010, 255, 638–644. [Google Scholar] [CrossRef] [PubMed]
- Schinkel, A.F.L.; Kaspar, M.; Staub, D. Contrast-enhanced ultrasound: Clinical applications in patients with atherosclerosis. Int. J. Cardiovasc. Imaging 2016, 32, 35–48. [Google Scholar] [CrossRef] [PubMed]
- Sidhu, P.S.; Cantisani, V.; Dietrich, C.F.; Gilja, O.H.; Saftoiu, A.; Bartels, E.; Bertolotto, M.; Calliada, F.; Clevert, D.A.; Cosgrove, D. The EFSUMB Guidelines and Recommendations for the Clinical Practice of Contrast-Enhanced Ultrasound (CEUS) in Non-Hepatic Applications: Update 2017 (Short Version). Ultraschall Der Med.-Eur. J. Ultrasound 2018, 39, 154–180. [Google Scholar]
- Piscaglia, F.; Bolondi, L. The safety of Sonovue® in abdominal applications: Retrospective analysis of 23,188 investigations. Ultrasound Med. Biol. 2006, 32, 1369–1375. [Google Scholar] [CrossRef]
- Miele, V.; Piccolo, C.L.; Galluzzo, M.; Ianniello, S.; Sessa, B.; Trinci, M. Contrast-enhanced ultrasound (CEUS) in blunt abdominal trauma. Br. J. Radiol. 2016, 89, 20150823. [Google Scholar] [CrossRef]
- Dietrich, C.F.; Averkiou, M.; Nielsen, M.B.; Barr, R.G.; Burns, P.N.; Calliada, F.; Cantisani, V.; Choi, B.; Chammas, M.C.; Clevert, D.A.; et al. How to perform Contrast-Enhanced Ultrasound (CEUS). Ultrasound Int. Open 2018, 4, E2–E15. [Google Scholar] [CrossRef]
- López-Melgar, B.; Fernández-Friera, L.; Oliva, B.; García-Ruiz, J.M.; Peñalvo, J.L.; Gómez-Talavera, S.; Sánchez-González, J.; Mendiguren, J.M.; Ibáñez, B.; Fernández-Ortiz, A. Subclinical Atherosclerosis Burden by 3D Ultrasound in Mid-Life. J. Am. Coll. Cardiol. 2017, 70, 301–313. [Google Scholar] [CrossRef]
- López-Melgar, B.; Mass, V.; Nogales, P.; Sánchez-González, J.; Entrekin, R.; Collet-Billon, A.; Rossello, X.; Fernández-Friera, L.; Fernández-Ortiz, A.; Sanz, J. New 3-Dimensional Volumetric Ultrasound Method for Accurate Quantification of Atherosclerotic Plaque Volume. JACC Cardiovasc. Imaging 2022, 15, 1124–1135. [Google Scholar] [CrossRef]
- Mushenkova, N.V.; Summerhill, V.I.; Zhang, D.; Romanenko, E.B.; Grechko, A.V.; Orekhov, A.N. Current Advances in the Diagnostic Imaging of Atherosclerosis: Insights into the Pathophysiology of Vulnerable Plaque. Int. J. Mol. Sci. 2020, 21, 2992. [Google Scholar] [CrossRef]
- Schulte-Altedorneburg, G.; Droste, D.W.; Felszeghy, S.; Kellermann, M.; Popa, V.; Hegedüs, K.; Hegedüs, C.; Schmid, M. Accuracy of In Vivo Carotid B-Mode Ultrasound Compared With Pathological Analysis. Stroke 2001, 32, 1520–1524. [Google Scholar] [CrossRef] [PubMed]
- Saba, L.; Yuan, C.; Hatsukami, T.S.; Balu, N.; Qiao, Y.; DeMarco, J.K.; Saam, T.; Moody, A.R. Carotid Artery Wall Imaging: Perspective and Guidelines from the ASNR Vessel Wall Imaging Study Group and Expert Consensus Recommendations of the American Society of Neuroradiology. Am. J. Neuroradiol. 2018, 39, E9–E31. [Google Scholar] [CrossRef] [PubMed]
- Sangiorgi, G.; Rumberger, J.A.; Severson, A.; Edwards, W.D.; Gregoire, J.; Fitzpatrick, L.A.; Schwartz, R.S. Arterial Calcification and Not Lumen Stenosis Is Highly Correlated with Atherosclerotic Plaque Burden in Humans: A Histologic Study of 723 Coronary Artery Segments Using Nondecalcifying Methodology. J. Am. Coll. Cardiol. 1998, 31, 126–133. [Google Scholar] [CrossRef]
- Andrews, J.P.M.; Fayad, Z.A.; Dweck, M.R. New methods to image unstable atherosclerotic plaques. Atherosclerosis 2018, 272, 118–128. [Google Scholar] [CrossRef]
- Soeda, T.; Uemura, S.; Morikawa, Y.; Ishigami, K.; Okayama, S.; Hee, S.J.; Nishida, T.; Onoue, K.; Somekawa, S.; Takeda, Y. Diagnostic accuracy of dual-source computed tomography in the characterization of coronary atherosclerotic plaques: Comparison with intravascular optical coherence tomography. Int. J. Cardiol. 2011, 148, 313–318. [Google Scholar] [CrossRef] [PubMed]
- Nehra, A.K.; Rajendran, K.; Baffour, F.I.; Mileto, A.; Rajiah, P.S.; Horst, K.K.; Inoue, A.; Johnson, T.F.; Diehn, F.E.; Glazebrook, K.N. Seeing More with Less: Clinical Benefits of Photon-counting Detector CT. RadioGraphics 2023, 43, e220158. [Google Scholar] [CrossRef]
- Tarkin, J.M.; Dweck, M.R.; Evans, N.R.; Takx, R.A.; Brown, A.J.; Tawakol, A.; Fayad, Z.A.; Rudd, J.H. Imaging Atherosclerosis. Circ. Res. 2016, 118, 750–769. [Google Scholar] [CrossRef]
- Jang, I.K.; Bouma, B.E.; Kang, D.H.; Park, S.J.; Park, S.W.; Seung, K.B.; Choi, K.B.; Shishkov, M.; Schlendorf, K.; Pomerantsev, E. Visualization of coronary atherosclerotic plaques in patients using optical coherence tomography: Comparison with intravascular ultrasound. J. Am. Coll. Cardiol. 2002, 39, 604–609. [Google Scholar] [CrossRef] [PubMed]
- Noguchi, T.; Nakao, K.; Asaumi, Y.; Morita, Y.; Otsuka, F.; Kataoka, Y.; Hosoda, H.; Miura, H.; Fukuda, T.; Yasuda, S. Noninvasive Coronary Plaque Imaging. J. Atheroscler. Thromb. 2018, 25, 281–293. [Google Scholar] [CrossRef]
- Guimarães, J.; de Almeida, J.; Mendes, P.L.; Ferreira, M.J.; Gonçalves, L. Advancements in non-invasive imaging of atherosclerosis: Future perspectives. J. Clin. Lipidol. 2024, 18, e142–e152. [Google Scholar] [CrossRef]
- Nelson, A.J.; Ardissino, M.; Psaltis, P.J. Current approach to the diagnosis of atherosclerotic coronary artery disease: More questions than answers. Ther. Adv. Chronic. Dis. 2019, 10, 204062231988481. [Google Scholar] [CrossRef] [PubMed]
- Colacchio, E.C.; Berton, M.; Squizzato, F.; Menegolo, M.; Piazza, M.; Grego, F.; Antonello, M. The role of multimodal imaging in emergency vascular conditions: The journey from diagnosis to hybrid operating rooms. Semin. Vasc. Surg. 2023, 36, 355–362. [Google Scholar] [CrossRef]
- Li, J.; Montarello, N.J.; Hoogendoorn, A.; Verjans, J.W.; Bursill, C.A.; Peter, K.; Nicholls, S.J.; McLaughlin, R.A.; Psaltis, P.J. Multimodality Intravascular Imaging of High-Risk Coronary Plaque. JACC Cardiovasc. Imaging 2022, 15, 145–159. [Google Scholar] [CrossRef]
- Michail, M.; Serruys, P.W.; Stettler, R.; Crake, T.; Torii, R.; Tenekecioglu, E.; Zeng, Y.; Onuma, Y.; Mathur, A.; Bourantas, C.V. Intravascular multimodality imaging: Feasibility and role in the evaluation of coronary plaque pathology. Eur. Heart J. Cardiovasc. Imaging 2017, 18, 613–620. [Google Scholar] [CrossRef] [PubMed]
- Silvera, S.S.; Aidi, H.E.; Rudd, J.H.; Mani, V.; Yang, L.; Farkouh, M.; Fuster, V.; Fayad, Z.A. Multimodality imaging of atherosclerotic plaque activity and composition using FDG-PET/CT and MRI in carotid and femoral arteries. Atherosclerosis 2009, 207, 139–143. [Google Scholar] [CrossRef] [PubMed]
- Cau, R.; Flanders, A.; Mannelli, L.; Politi, C.; Faa, G.; Suri, J.S.; Saba, L. Artificial intelligence in computed tomography plaque characterization: A review. Eur. J. Radiol. 2021, 140, 109767. [Google Scholar] [CrossRef]
- Föllmer, B.; Williams, M.C.; Dey, D.; Arbab-Zadeh, A.; Maurovich-Horvat, P.; Volleberg, R.H.J.A.; Rueckert, D.; Schnabel, J.A.; Newby, D.E.; Dweck, M.R. Roadmap on the use of artificial intelligence for imaging of vulnerable atherosclerotic plaque in coronary arteries. Nat. Rev. Cardiol. 2024, 21, 51–64. [Google Scholar] [CrossRef]
- Motwani, M.; Dey, D.; Berman, D.S.; Germano, G.; Achenbach, S.; Al-Mallah, M.H.; Andreini, D.; Budoff, M.J.; Cademartiri, F.; Callister, T.Q. Machine learning for prediction of all-cause mortality in patients with suspected coronary artery disease: A 5-year multicentre prospective registry analysis. Eur. Heart J. 2016, 38, 500–507. [Google Scholar] [CrossRef] [PubMed]
- Lin, A.; van Diemen, P.A.; Motwani, M.; McElhinney, P.; Otaki, Y.; Han, D.; Kwan, A.; Tzolos, E.; Klein, E.; Kuronuma, K. Machine Learning from Quantitative Coronary Computed Tomography Angiography Predicts Fractional Flow Reserve–Defined Ischemia and Impaired Myocardial Blood Flow. Circ. Cardiovasc. Imaging 2022, 15, e014369. [Google Scholar] [CrossRef]
- European Parliament and Council Regulation (EU) 2017/745 of April 5, 2017, on Medical Devices. Available online: https://eur-lex.europa.eu/legal-content/EN/TXT/?uri=CELEX%3A32017R0745 (accessed on 16 July 2024).
- General Data Protection Regulation (GDPR) (EU) 2016/679. Available online: https://eur-lex.europa.eu/legal-content/EN/TXT/?uri=CELEX%3A32016R0679 (accessed on 16 July 2024).
- Brynjolfsson, E.; Rock, D.; Syverson, C. Artificial Intelligence and the Modern Productivity Paradox: A Clash of Expectations and Statistics; University of Chicago Press: Chicago, IL, USA, 2017. [Google Scholar] [CrossRef]
- World Health Organization. Ethics and Governance of Artificial Intelligence for Health; WHO: Geneva, Switzerland, 2021; Available online: https://www.who.int/publications/i/item/9789240029200 (accessed on 31 July 2024).
- Feig, J.E.; Feig, J.L.; Dangas, G.D. The role of HDL in plaque stabilization and regression. Coron. Artery Dis. 2016, 27, 592–603. [Google Scholar] [CrossRef]
- Basiak, M.; Hachula, M.; Kosowski, M.; Machnik, G.; Maliglowka, M.; Dziubinska-Basiak, M.; Krysiak, R.; Okopien, B. The Effect of PCSK9 Inhibition on the Stabilization of Atherosclerotic Plaque Determined by Biochemical and Diagnostic Imaging Methods. Molecules 2023, 28, 5928. [Google Scholar] [CrossRef] [PubMed]
- Biondi-Zoccai, G.; Mastrangeli, S.; Romagnoli, E.; Peruzzi, M.; Frati, G.; Roever, L.; Giordano, A. What We Have Learned from the Recent Meta-analyses on Diagnostic Methods for Atherosclerotic Plaque Regression. Curr. Atheroscler. Rep. 2018, 20, 2. [Google Scholar] [CrossRef] [PubMed]
- Cardiovascular Diseases (CVDs). Available online: https://www.who.int/news-room/fact-sheets/detail/cardiovascular-diseases-(cvds) (accessed on 16 July 2024).
- World Stroke Organization (WSO): Global Stroke Fact Sheet. 2022. Available online: https://ghdx.healthdata.org/gbd-results-tool (accessed on 16 July 2024).
- Theofilis, P.; Vlachakis, P.K.; Papanikolaou, A.; Karakasis, P.; Oikonomou, E.; Tsioufis, K.; Tousoulis, D. Coronary Plaque Erosion: Epidemiology, Diagnosis, and Treatment. Int. J. Mol. Sci. 2024, 25, 5786. [Google Scholar] [CrossRef] [PubMed]
- Terada, K.; Kubo, T.; Kameyama, T.; Matsuo, Y.; Ino, Y.; Emori, H.; Higashioka, D.; Katayama, Y.; Khalifa, A.K.M.; Takahata, M. NIRS-IVUS for Differentiating Coronary Plaque Rupture, Erosion, and Calcified Nodule in Acute Myocardial Infarction. JACC Cardiovasc. Imaging 2021, 14, 1440–1450. [Google Scholar] [CrossRef]
- Alfonso, F.; Virmani, R. The coronary substrate determines prognosis in acute coronary syndromes: The kaleidoscope has been shaken... again! Eur. Heart J. 2015, 36, 1357–1360. [Google Scholar] [CrossRef][Green Version]
- Niccoli, G.; Montone, R.A.; Di Vito, L.; Gramegna, M.; Refaat, H.; Scalone, G.; Leone, A.M.; Trani, C.; Burzotta, F.; Porto, I. Plaque rupture and intact fibrous cap assessed by optical coherence tomography portend different outcomes in patients with acute coronary syndrome. Eur. Heart J. 2015, 36, 1377–1384. [Google Scholar] [CrossRef]
- Satogami, K.; Ino, Y.; Kubo, T.; Tanimoto, T.; Orii, M.; Matsuo, Y.; Ota, S.; Yamaguchi, T.; Shiono, Y.; Shimamura, K. Impact of Plaque Rupture Detected by Optical Coherence Tomography on Transmural Extent of Infarction After Successful Stenting in ST-Segment Elevation Acute Myocardial Infarction. JACC Cardiovasc. Interv. 2017, 10, 1025–1033. [Google Scholar] [CrossRef]
- Xing, L.; Yamamoto, E.; Sugiyama, T.; Jia, H.; Ma, L.; Hu, S.; Wang, C.; Zhu, Y.; Li, L.; Xu, M. EROSION Study (Effective Anti-Thrombotic Therapy Without Stenting: Intravascular Optical Coherence Tomography–Based Management in Plaque Erosion). Circ. Cardiovasc. Interv. 2017, 10, e005860. [Google Scholar] [CrossRef]
- Higuma, T.; Soeda, T.; Abe, N.; Yamada, M.; Yokoyama, H.; Shibutani, S.; Vergallo, R.; Minami, Y.; Ong, D.S.; Lee, H. A Combined Optical Coherence Tomography and Intravascular Ultrasound Study on Plaque Rupture, Plaque Erosion, and Calcified Nodule in Patients With ST-Segment Elevation Myocardial Infarction. JACC Cardiovasc. Interv. 2015, 8, 1166–1176. [Google Scholar] [CrossRef]
- Kataoka, Y.; Uno, K.; Puri, R.; Nicholls, S.J. Current imaging modalities for atherosclerosis. Expert. Rev. Cardiovasc. Ther. 2012, 10, 457–471. [Google Scholar] [CrossRef]
- Yabushita, H.; Bouma, B.E.; Houser, S.L.; Aretz, H.T.; Jang, I.K.; Schlendorf, K.H.; Kauffman, C.R.; Shishkov, M.; Kang, D.H.; Halpern, E.F. Characterization of Human Atherosclerosis by Optical Coherence Tomography. Circulation 2002, 106, 1640–1645. [Google Scholar] [CrossRef] [PubMed]
- Di Vito, L.; Imola, F.; Gatto, L.; Romagnoli, E.; Limbruno, U.; Marco, V.; Picchi, A.; Micari, A.; Albertucci, M.; Prati, F. Limitations of OCT in identifying and quantifying lipid components: An in vivo comparison study with IVUS-NIRS. EuroIntervention 2017, 13, 303–311. [Google Scholar] [CrossRef] [PubMed]
- Worthley, S.G.; Helft, G.; Fuster, V.; Zaman, A.G.; Fayad, Z.A.; Fallon, J.T.; Badimon, J.J. Serial In Vivo MRI Documents Arterial Remodeling in Experimental Atherosclerosis. Circulation 2000, 101, 586–589. [Google Scholar] [CrossRef] [PubMed][Green Version]
- Kamal-Bahl, S.J.; Burke, T.; Watson, D.; Wentworth, C. Discontinuation of Lipid Modifying Drugs Among Commercially Insured United States Patients in Recent Clinical Practice. Am. J. Cardiol. 2007, 99, 530–534. [Google Scholar] [CrossRef]
- Hibi, K.; Kimura, T.; Kimura, K.; Morimoto, T.; Hiro, T.; Miyauchi, K.; Nakagawa, Y.; Yamagishi, M.; Ozaki, Y.; Saito, S. Clinically evident polyvascular disease and regression of coronary atherosclerosis after intensive statin therapy in patients with acute coronary syndrome: Serial intravascular ultrasound from the Japanese assessment of pitavastatin and atorvastatin in acute coronary syndrome (JAPAN-ACS) trial. Atherosclerosis 2011, 219, 743–749. [Google Scholar]
- Nicholls, S.J.; Puri, R.; Anderson, T.; Ballantyne, C.M.; Cho, L.; Kastelein, J.J.; Koenig, W.; Somaratne, R.; Kassahun, H.; Yang, J. Effect of Evolocumab on Progression of Coronary Disease in Statin-Treated Patients. JAMA 2016, 316, 2373. [Google Scholar] [CrossRef]
- Di Fusco, S.A.; Maggioni, A.P.; Bernelli, C.; Perone, F.; De Marzo, V.; Conte, E.; Musella, F.; Uccello, G.; Luca, L.; Gabrielli, D. Inclisiran: A New Pharmacological Approach for Hypercholesterolemia. Rev. Cardiovasc. Med. 2022, 23, 375. [Google Scholar] [CrossRef]






| Imaging Modality | Advantages | Limitations |
|---|---|---|
| USG |
|
|
| CEUS |
|
|
| IVUS |
|
|
| CT |
|
|
| MRI |
|
|
Disclaimer/Publisher’s Note: The statements, opinions and data contained in all publications are solely those of the individual author(s) and contributor(s) and not of MDPI and/or the editor(s). MDPI and/or the editor(s) disclaim responsibility for any injury to people or property resulting from any ideas, methods, instructions or products referred to in the content. |
© 2024 by the authors. Licensee MDPI, Basel, Switzerland. This article is an open access article distributed under the terms and conditions of the Creative Commons Attribution (CC BY) license (https://creativecommons.org/licenses/by/4.0/).
Share and Cite
Gać, P.; Jakubowska-Martyniuk, A.; Żórawik, A.; Hajdusianek, W.; Żytkowski, D.; Matys, T.; Poręba, R. Diagnostic Methods of Atherosclerotic Plaque and the Assessment of Its Prognostic Significance—A Narrative Review. J. Cardiovasc. Dev. Dis. 2024, 11, 343. https://doi.org/10.3390/jcdd11110343
Gać P, Jakubowska-Martyniuk A, Żórawik A, Hajdusianek W, Żytkowski D, Matys T, Poręba R. Diagnostic Methods of Atherosclerotic Plaque and the Assessment of Its Prognostic Significance—A Narrative Review. Journal of Cardiovascular Development and Disease. 2024; 11(11):343. https://doi.org/10.3390/jcdd11110343
Chicago/Turabian StyleGać, Paweł, Anna Jakubowska-Martyniuk, Aleksandra Żórawik, Wojciech Hajdusianek, Dawid Żytkowski, Tomasz Matys, and Rafał Poręba. 2024. "Diagnostic Methods of Atherosclerotic Plaque and the Assessment of Its Prognostic Significance—A Narrative Review" Journal of Cardiovascular Development and Disease 11, no. 11: 343. https://doi.org/10.3390/jcdd11110343
APA StyleGać, P., Jakubowska-Martyniuk, A., Żórawik, A., Hajdusianek, W., Żytkowski, D., Matys, T., & Poręba, R. (2024). Diagnostic Methods of Atherosclerotic Plaque and the Assessment of Its Prognostic Significance—A Narrative Review. Journal of Cardiovascular Development and Disease, 11(11), 343. https://doi.org/10.3390/jcdd11110343

