Cardiac Morphology, Function, and Left Ventricular Geometric Pattern in Patients with Hypertensive Crisis: A Cardiovascular Magnetic Resonance-Based Study
Abstract
1. Introduction
2. Materials and Methods
2.1. Study Population
2.2. Cardiac Magnetic Resonance Imaging Acquisition and Analysis
2.3. Left Ventricular Hypertrophy and Geometric Patterns
2.4. Statistical Analysis
3. Results
3.1. Clinical and Demographic Characteristics
3.2. Cardiac Morphology and Function
3.2.1. Ventricular and Atrial Volumes and Functions
3.2.2. Left Ventricular Mass, Left Ventricular Hypertrophy, Geometric Pattern, and Maximum Wall Thickness
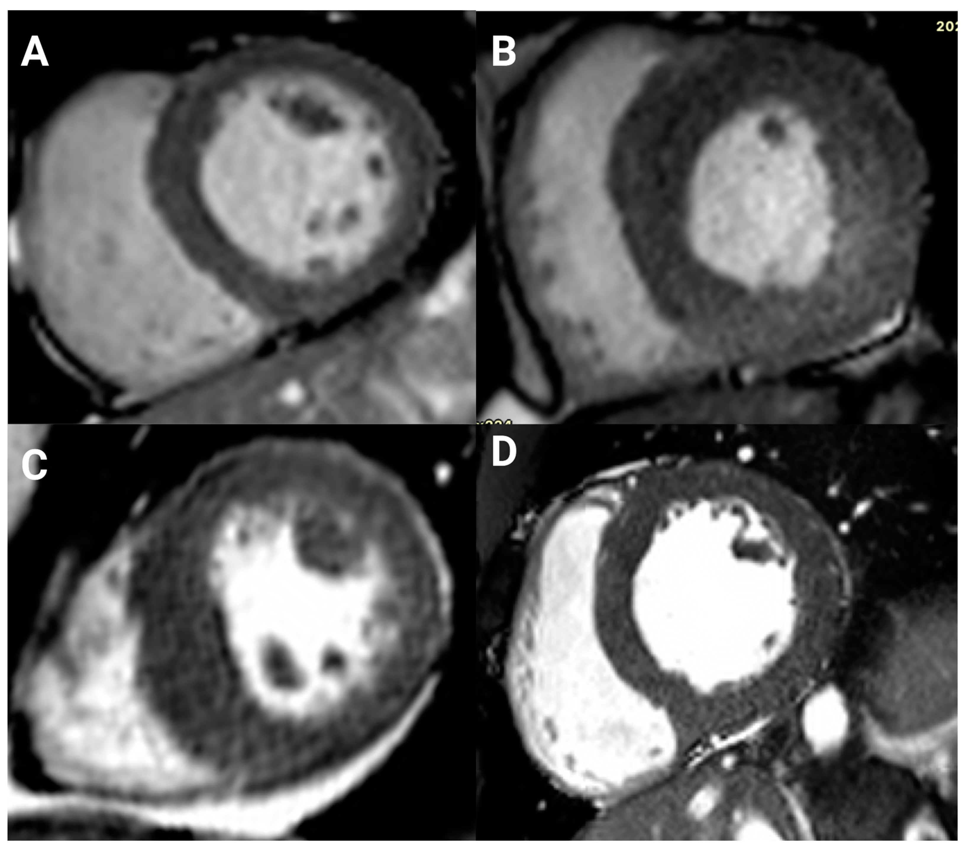
3.3. Late Gadolinium Enhancement
3.4. Intra- and Inter-Reader Reliability for Quantitative Measurements
4. Discussion
Study Limitations
5. Conclusions
Supplementary Materials
Author Contributions
Funding
Institutional Review Board Statement
Informed Consent Statement
Data Availability Statement
Acknowledgments
Conflicts of Interest
References
- Mchomvu, E.; Mbunda, G.; Simon, N.; Kitila, F.; Temba, Y.; Msumba, I.; Namamba, J.; Kilindimo, S.; Mgubike, H.; Gingo, W.; et al. Diagnoses made in an Emergency Department in rural sub-Saharan Africa. Swiss Med. Wkly. 2019, 149, w20018. [Google Scholar] [CrossRef]
- van den Born, B.J.H.; Lip, G.Y.H.; Brguljan-Hitij, J.; Cremer, A.; Segura, J.; Morales, E.; Mahfoud, F.; Amraoui, F.; Persu, A.; Kahan, T.; et al. ESC Council on hypertension position document on the management of hypertensive emergencies. Eur. Heart J. Cardiovasc. Pharmacother. 2019, 5, 37–46. [Google Scholar] [CrossRef] [PubMed]
- Zampaglione, B.; Pascale, C.; Marchisio, M.; Cavallo-Perin, P. Hypertensive urgencies and emergencies. Prevalence and clinical presentation. Hypertension 1996, 27, 144–147. [Google Scholar] [CrossRef] [PubMed]
- Astarita, A.; Covella, M.; Vallelonga, F.; Cesareo, M.; Totaro, S.; Ventre, L.; Aprà, F.; Veglio, F.; Milan, A. Hypertensive emergencies and urgencies in emergency departments: A systematic review and meta-analysis. J. Hypertens. 2020, 38, 1203–1210. [Google Scholar] [CrossRef]
- Tadic, M.; Cuspidi, C.; Marwick, T.H. Phenotyping the hypertensive heart. Eur. Heart J. 2022, 43, 3794–3810. [Google Scholar] [CrossRef] [PubMed]
- Peterson, G.E.; De Backer, T.; Contreras, G.; Wang, X.; Kendrick, C.; Greene, T.; Appel, L.J.; Randall, O.S.; Lea, J.; Smogorzewski, M.; et al. Relationship of left ventricular hypertrophy and diastolic function with cardiovascular and renal outcomes in African Americans with hypertensive chronic kidney disease. Hypertension 2013, 62, 518–525. [Google Scholar] [CrossRef][Green Version]
- Garg, S.; De Lemos, J.A.; Ayers, C.; Khouri, M.G.; Pandey, A.; Berry, J.D.; Peshock, R.M.; Drazner, M.H. Association of a 4-Tiered Classification of LV Hypertrophy with Adverse CV Outcomes in the General Population. JACC Cardiovasc. Imaging 2015, 8, 1034–1041. [Google Scholar] [CrossRef]
- Messerli, F.H. Hypertension and sudden cardiac death. Am. J. Hypertens. 1999, 12, 181S–188S. [Google Scholar] [CrossRef][Green Version]
- Chatterjee, S.; Bavishi, C.; Sardar, P.; Agarwal, V.; Krishnamoorthy, P.; Grodzicki, T.; Messerli, F.H. Meta-analysis of left ventricular hypertrophy and sustained arrhythmias. Am. J. Cardiol. 2014, 114, 1049–1052. [Google Scholar] [CrossRef]
- Iyer, N.R.; Le, T.T.; Kui, M.S.L.; Tang, H.C.; Chin, C.T.; Phua, S.K.; Bryant, J.A.; Pua, C.J.; Ang, B.; Toh, D.F.; et al. Markers of Focal and Diffuse Nonischemic Myocardial Fibrosis Are Associated With Adverse Cardiac Remodeling and Prognosis in Patients with Hypertension: The REMODEL Study. Hypertension 2022, 79, 1804. [Google Scholar] [CrossRef]
- Burchell, A.E.; LRodrigues, J.C.; Charalambos, M.; KRatcliffe, L.E.; Hart, E.C.; RPaton, J.F.; Baumbach, A.; Manghat, N.E.; Nightingale, A.K. Comprehensive First-Line Magnetic Resonance Imaging in Hypertension: Experience From a Single-Center Tertiary Referral Clinic. J. Clin. Hypertens. 2017, 19, 13–22. [Google Scholar] [CrossRef] [PubMed]
- Romano, S.; Judd, R.M.; Kim, R.J.; Kim, H.W.; Heitner, J.F.; Shah, D.J.; Devereux, R.B.; Salazar, P.; Trybula, M.; Chia, R.C.; et al. Prognostic Implications of Mitral Annular Plane Systolic Excursion in Patients with Hypertension and a Clinical Indication for Cardiac Magnetic Resonance Imaging: A Multicenter Study. JACC Cardiovasc. Imaging 2019, 12, 1769–1779. [Google Scholar] [CrossRef]
- Wachtell, K.; Palmieri, V.; Gerdts, E.; Bella, J.N.; Aurigemma, G.P.; Papademetriou, V.; Dahlöf, B.; Aalto, T.; Ibsen, H.; Rokkedal, J.E.; et al. Prognostic Significance of Left Ventricular Diastolic Dysfunction in Patients with Left Ventricular Hypertrophy and Systemic Hypertension (the LIFE Study). Am. J. Cardiol. 2010, 106, 999–1005. [Google Scholar] [CrossRef] [PubMed]
- Gandhi, S.K.; Powers, J.C.; Nomeir, A.-M.; Fowle, K.; Kitzman, D.W.; Rankin, K.M.; Little, W.C. The Pathogenesis of Acute Pulmonary Edema Associated with Hypertension. N. Eng. J. Med. 2001, 344, 17–22. [Google Scholar] [CrossRef] [PubMed]
- Gosse, P.; Coulon, P.; Papaioannou, G.; Litalien, J.; Lemetayer, P. Impact of malignant arterial hypertension on the heart. J. Hypertens. 2011, 29, 798–802. [Google Scholar] [CrossRef] [PubMed]
- Grajewski, K.G.; Stojanovska, J.; Ibrahim, E.S.H.; Sayyouh, M.; Attili, A. Left Ventricular Hypertrophy: Evaluation with Cardiac MRI. Curr. Probl. Diagn. Radiol. 2020, 49, 460–475. [Google Scholar] [CrossRef]
- Rodrigues, J.C.L.; Amadu, A.M.; Dastidar, A.G.; Hassan, N.; Lyen, S.M.; Lawton, C.B.; Ratcliffe, L.E.; Burchell, A.E.; Hart, E.C.; Hamilton, M.C.; et al. Prevalence and predictors of asymmetric hypertensive heart disease: Insights from cardiac and aortic function with cardiovascular magnetic resonance. Eur. Heart J. Cardiovasc. Imaging 2016, 17, 1405–1413. [Google Scholar] [CrossRef]
- Kulkarni, S.; Glover, M.; Kapil, V.; Abrams, S.M.L.; Partridge, S.; McCormack, T.; Sever, P.; Delles, C.; Wilkinson, I.B. Management of hypertensive crisis: British and Irish Hypertension Society Position document. J. Hum. Hypertens. 2022. [Google Scholar] [CrossRef]
- Thygesen, K.; Alpert, J.S.; Jaffe, A.S.; Chaitman, B.R.; Bax, J.J.; Morrow, D.A.; White, H.D.; Executive Group on behalf of the Joint European Society of Cardiology (ESC); American College of Cardiology (ACC); American Heart Association (AHA); et al. Fourth universal definition of myocardial infarction (2018). J. Am. Coll. Cardiol. 2018, 72, 2231–2264. [Google Scholar] [CrossRef]
- Kramer, C.M.; Barkhausen, J.; Bucciarelli-Ducci, C.; Flamm, S.D.; Kim, R.J.; Nagel, E. Standardized cardiovascular magnetic resonance imaging (CMR) protocols: 2020 update. J. Cardiovasc. Magn. Reson. 2020, 22, 17. [Google Scholar] [CrossRef]
- Almehmadi, F.; Joncas, S.X.; Nevis, I.; Zahrani, M.; Bokhari, M.; Stirrat, J.; Fine, N.M.; Yee, R.; White, J.A. Prevalence of myocardial fibrosis patterns in patients with systolic dysfunction: Prognostic significance for the prediction of sudden cardiac arrest or appropriate implantable cardiac defibrillator therapy. Circ. Cardiovasc. Imaging 2014, 7, 593–600. [Google Scholar] [CrossRef]
- Mikami, Y.; Cornhill, A.; Dykstra, S.; Satriano, A.; Hansen, R.; Flewitt, J.; Seib, M.; Rivest, S.; Sandonato, R.; Lydell, C.P.; et al. Right ventricular insertion site fibrosis in a dilated cardiomyopathy referral population: Phenotypic associations and value for the prediction of heart failure admission or death. J. Cardiovasc. Magn. Reson. 2021, 23, 17. [Google Scholar] [CrossRef]
- Kawel-Boehm, N.; Maceira, A.; Valsangiacomo-Buechel, E.R.; Vogel-Claussen, J.; Turkbey, E.B.; Williams, R.; Plein, S.; Tee, M.; Eng, J.; A Bluemke, D. Normal values for cardiovascular magnetic resonance in adults and children. J. Cardiovasc. Magn. Reson. 2015, 17, 29. [Google Scholar] [CrossRef]
- Buchner, S.; Debl, K.; Haimerl, J.; Djavidani, B.; Poschenrieder, F.; Feuerbach, S.; Riegger, G.A.; Luchner, A. Electrocardiographic diagnosis of left ventricular hypertrophy in aortic valve disease: Evaluation of ECG criteria by cardiovascular magnetic resonance. J. Cardiovasc. Magn. Reson. 2009, 11, 18. [Google Scholar] [CrossRef]
- Dweck, M.R.; Joshi, S.; Murigu, T.; Gulati, A.; Alpendurada, F.; Jabbour, A.; Maceira, A.; Roussin, I.; Northridge, D.B.; Kilner, P.J.; et al. Left ventricular remodeling and hypertrophy in patients with aortic stenosis: Insights from cardiovascular magnetic resonance. J. Cardiovasc. Magn. Reson. 2012, 14, 50. [Google Scholar] [CrossRef]
- Ganau, A.; Devereux, R.B.; Roman, M.J.; de Simone, G.; Pickering, T.G.; Saba, P.S.; Vargiu, P.; Simongini, I.; Laragh, J.H. Patterns of left ventricular hypertrophy and geometric remodeling in essential hypertension. J. Am. Coll. Cardiol. 1992, 19, 1550–1558. [Google Scholar] [CrossRef]
- Bellenger, N.G.; Davies, L.C.; Francis, J.M.; Coats, A.J.S.; Pennell, D.J. Reduction in sample size for studies of remodeling in heart failure by the use of cardiovascular magnetic resonance. J. Cardiovasc. Magn. Reson. 2000, 2, 271–278. [Google Scholar] [CrossRef]
- Robbertse, P.S.; Doubell, A.F.; Steyn, J.; Lombard, C.J.; Talle, M.A.; Herbst, P.G. Altered cardiac structure and function in newly diagnosed people living with HIV: A prospective cardiovascular magnetic resonance study after the initiation of antiretroviral treatment. Int. J. Cardiovasc. Imaging 2023, 39, 169–182. [Google Scholar] [CrossRef]
- Rubin, S.; Cremer, A.; Boulestreau, R.; Rigothier, C.; Kuntz, S.; Gosse, P. Malignant hypertension: Diagnosis, treatment and prognosis with experience from the Bordeaux cohort. J. Hypertens. 2019, 37, 316–324. [Google Scholar] [CrossRef]
- Vallelonga, F.; Cesareo, M.; Menon, L.; Leone, D.; Lupia, E.; Morello, F.; Totaro, S.; Aggiusti, C.; Salvetti, M.; Ioverno, A.; et al. Hypertensive emergencies and urgencies: A preliminary report of the ongoing Italian multicentric study ERIDANO. Hypertens. Res. 2023, 46, 1570–1581. [Google Scholar] [CrossRef]
- Schillaci, G.; Verdecchia, P.; Porcellati, C.; Cuccurullo, O.; Cosco, C.; Perticone, F. Continuous relation between left ventricular mass and cardiovascular risk in essential hypertension. Hypertension 2000, 35, 580–586. [Google Scholar] [CrossRef]
- Verdecchia, P.; Carini, G.; Circo, A.; Dovellini, E.; Giovannini, E.; Lombardo, M.; Solinas, P.; Gorini, M.; Maggioni, A.P.; MAVI (MAssa Ventricolare sinistra nell’Ipertensione) Study Group. Left ventricular mass and cardiovascular morbidity in essential hypertension: The MAVI study. J. Am. Coll. Cardiol. 2001, 38, 1829–1835. [Google Scholar] [CrossRef]
- Li, T.; Li, G.; Guo, X.; Li, Z.; Sun, Y. Echocardiographic left ventricular geometry profiles for prediction of stroke, coronary heart disease and all-cause mortality in the Chinese community: A rural cohort population study. BMC Cardiovasc. Disord. 2021, 21, 238. [Google Scholar] [CrossRef]
- Mayet, J.; Shahi, M.; Poulter, N.R.; Sever, P.S.; Foale, R.A.; Thom, S.A.M.G. Left ventricular geometry in presenting untreated hypertension. J. Hum. Hypertens. 1997, 11, 593–594. [Google Scholar] [CrossRef][Green Version]
- Pattanshetty, D.J.; Bhat, P.K.; Aneja, A.; Pillai, D.P. Elevated troponin predicts long-term adverse cardiovascular outcomes in hypertensive crisis: A retrospective study. J. Hypertens. 2012, 30, 2410–2415. [Google Scholar] [CrossRef] [PubMed]
- Wicker, P.; Roudaut, R.; Haissaguere, M.; Villega-Arino, P.; Clementy, J.; Dallocchio, M. Prevalence and significance of asymmetric septal hypertrophy in hypertension: An echocardiographic and clinical study. Eur. Heart J. 1983, 4, 1–5. [Google Scholar] [CrossRef] [PubMed]
- Maron, B.J.; Edwards, J.E.; Epstein, S.E. Disproportionate ventricular septal thickening in patients with systemic hypertension. Chest 1978, 73, 466–470. [Google Scholar] [CrossRef]
- Suzuki, J.; Matsubara, H.; Urakami, M.; Inada, M. Rat angiotensin II (type 1A) receptor mRNA regulation and subtype expression in myocardial growth and hypertrophy. Circ. Res. 1993, 73, 439–447. [Google Scholar] [CrossRef]
- Ostman-Smith, I. Cardiac sympathetic nerves as the final common pathway in the induction of adaptive cardiac hypertrophy. Clin. Sci. 1981, 61, 265–272. [Google Scholar] [CrossRef]
- Rudolph, A.; Abdel-Aty, H.; Bohl, S.; Boyé, P.; Zagrosek, A.; Dietz, R.; Schulz-Menger, J. Noninvasive detection of fibrosis applying contrast-enhanced cardiac magnetic resonance in different forms of left ventricular hypertrophy relation to remodeling. J. Am. Coll. Cardiol. 2009, 53, 284–291. [Google Scholar] [CrossRef]
- Treibel, T.A.; Zemrak, F.; Sado, D.M.; Banypersad, S.M.; White, S.K.; Maestrini, V.; Barison, A.; Patel, V.; Herrey, A.S.; Davies, C.; et al. Extracellular volume quantification in isolated hypertension—Changes at the detectable limits? J. Cardiovasc. Magn. Reson. 2015, 17, 74. [Google Scholar] [CrossRef] [PubMed]
- Hwang, J.W.; Lee, S.C.; Kim, D.; Kim, J.; Kim, E.K.; Chang, S.A.; Park, S.J.; Kim, S.M.; Choe, Y.H.; Park, S.W. Role of cardiovascular magnetic resonance imaging and cardiopulmonary exercise test in predicting composite clinical outcomes in patients with hypertrophic cardiomyopathy. PLoS ONE 2023, 18, e0285887. [Google Scholar] [CrossRef] [PubMed]
- Kuribayashi, T.; Roberts, W.C. Myocardial disarray at junction of ventricular septum and left and right ventricular free walls in hypertrophic cardiomyopathy. Am. J. Cardiol. 1992, 70, 1333–1340. [Google Scholar] [CrossRef] [PubMed]
- Andersen, S.; Nielsen-Kudsk, J.E.; Vonk Noordegraaf, A.; De Man, F.S. Right Ventricular Fibrosis. Circulation 2019, 139, 269–285. [Google Scholar] [CrossRef]



| Participants Characteristic | All Hypertensive Crisis (n = 82) | Hypertensive Urgency (n = 18) | Hypertensive Emergency (n = 64) | p-Value |
|---|---|---|---|---|
| Clinical | ||||
| Age, years | 48.5 (13.4) | 48.4 (15.2) | 48.3 (13.1) | 0.972 |
| Male, n (%) | 47 (57.3) | 5 (27.8) | 42 (65.6) | 0.010 |
| Body mass index (kg/m2) | 28 (24–34) | 33 (27–38) | 27 (23–334) | 0.054 |
| Systolic blood pressure, mmHg | 217 (28) | 216 (26) | 217 (29) | 0.842 |
| Diastolic blood pressure, mmHg | 128 (20) | 118 (16) | 130 (20) | 0.032 |
| Chronic kidney disease, n (%) | 17 (22) | 1 (6) | 16 (25) | 0.067 |
| Diabetes mellitus, n (%) | 13 (17) | 4 (22) | 9 (14) | 0.290 |
| Dyslipidaemia, n (%) | 17 (22) | 4 (22) | 13 (20) | 0.527 |
| Non-adherence to medication, n (%) | 38 (46) | 6 (33) | 32 (50) | 0.965 |
| De novo presentation, n (%) | 26 (32) | 4 (22) | 22 (34) | 0.965 |
| Laboratory | ||||
| Creatinine, µmol/L | 105 (84–131) | 83 (68–97) | 113 (93–181) | <0.001 |
| Platelet count, ×109/L | 283 (254–349) | 290 (254–359) | 283 (252–346) | 0.937 |
| Hs cTnT, ng/L | 25 (12–127) | 11 (7–13) | 41 (17–162) | <0.001 |
| NT-proBNP, ng/L | 377 (64–1566) | 90 (35–302) | 528 (113–1939) | 0.012 |
| Cardiovascular magnetic resonance imaging parameter | ||||
| Indexed LV EDV, mL/m2 | 74 (63–101) | 65 (60–71) | 86 (66–110) | 0.001 |
| Indexed LV ESV, mL/m2 | 32 (22–58) | 21 (15–29) | 39 (24–69) | <0.001 |
| Indexed LV SV, mL/m2 | 43 (38–48) | 43 (39–48) | 43 (37–49) | 0.703 |
| LV ejection fraction, % | 57 (43–66) | 67 (60–74) | 53 (40–63) | <0.001 |
| LV mass, g | 200 (152–273) | 156 (130–185) | 221 (167–295) | 0.001 |
| Indexed LV mass, g/m2 | 107 (83–140) | 81 (66–103) | 116 (98–153) | <0.001 |
| Maximum LV wall thickness, mm | 15.4 (3.2) | 13.6 (1.6) | 15.3 (2.5) | 0.047 |
| LV mass: volume ratio, g/mL | 1.3 (1.1–1.6) | 1.22 (1.07–1.55) | 1.31 (1.10–1.64) | 0.445 |
| LV hypertrophy, n (%) | 65 (79) | 9 (50) | 56 (88) | 0.002 |
| Indexed RV EDV, mL/m2 | 66 (58–78) | 64 (58–69) | 70 (58–80) | 0.146 |
| Indexed RV ESV, mL/m2 | 24 (19–34) | 23 (16–28) | 26 (19–36) | 0.128 |
| Indexed RV SV, mL/m2 | 40 (35–46) | 38 (37–46) | 41 (35–46) | 0.881 |
| RV ejection fraction, % | 62 (56–67) | 65 (61–73) | 62 (53–67) | 0.092 |
| Indexed LA volume, mL/m2 | 40 (30–51) | 31 (28–37) | 43 (31–55) | 0.004 |
| LGE, n/contrast study, n (%) | 52/69 (75) | 8/18 (44) | 44/51 (86) | <0.001 |
| Ischemic pattern | 11/69 (16) | 0 (0) | 11/51 (22) | |
| Nonischemic pattern | 41/69 (59) | 8/18 (44) | 33/51 (65) |
| Left Ventricular Geometry | Hypertensive Crisis (n = 82) | Hypertensive Urgency (n = 18) | Hypertensive Emergency (n = 64) | p-Value |
|---|---|---|---|---|
| Normal geometry, n (%) | 5 (6.1) | 3 (16.7) | 2 (3.1) | 0.034 |
| Concentric remodeling, n (%) | 12 (14.6) | 6 (33.3) | 6 (9.4) | 0.011 |
| Concentric hypertrophy, n (%) | 43 (52.4) | 9 (50) | 34 (53.1) | 0.815 |
| Eccentric hypertrophy, n (%) | 22 (26.8) | 0 (0) | 22 (34.4) | 0.004 |
| n = 52 (%) | |
|---|---|
| 11 (21.2) |
| Subendocardial with microvascular obstruction | 1 (1.9) |
| Transmural | 1 (1.9) |
| Transmural, mid wall, and right ventricular insertion point | 1 (1.9) |
| Transmural and right ventricular insertion point | 1 (1.9) |
| Transmural with microvascular obstruction | 5 (9.6) |
| Transmural and subendocardial | 1 (1.9) |
| Focal transmural and right ventricular insertion point | 1 (1.9) |
| 41 (78.8) |
| Right ventricular insertion point | 13 (25) |
| Focal and right ventricular insertion point | 1 (1.9) |
| Mid wall and right ventricular insertion point | 17 (32.7) |
| Patchy mid wall | 7 (13.5) |
| Focal, mid wall, and right ventricular insertion point | 1 (1.9) |
| Subepicardial, mid wall, and right ventricular insertion point | 1 (1.9) |
| Subepicardial | 1 (1.9) |
| Variable | Univariable Regression | Multivariable Regression | ||
|---|---|---|---|---|
| Unadjusted OR (95% CI) | p-Value | Adjusted OR (95% CI) | p-Value | |
| Age, years | 1.003 (0.963–1.045) | 0.881 | - | NS |
| Sex | 2.157 (0.659–7.064) | 0.240 | - | NS |
| Systolic BP, mmHg | 1.019 (0.966–1.042) | 0.108 | - | NS |
| Diastolic BP, mmHg | 1.028 (0.994–1.062) | 0.104 | - | NS |
| Creatinine, µmol/L | 1.051 (1.018–1.085) | 0.002 | 1.042 (1.006–1.079) | 0.002 |
| Lactate dehydrogenase, U/L | 1.003 (0.995–1.011) | 0.481 | - | NS |
| hs cTnT, ng/L | 1.014 (0.993–1.035) | 0.200 | - | NS |
| NT-proBNP, ng/L | 1.001 (1.000–1.002) | 0.123 | - | NS |
| Indexed LV EDV, mL/m2 | 1.023 (0.992–1.054) | 0.145 | - | NS |
| Indexed LV ESV, mL/m2 | 1.028 (0.990–1.066) | 0.150 | - | NS |
| LV ejection fraction, % | 0.970 (0.922–1.020) | 0.238 | - | NS |
| LV mass, g | 1.031 (1.010–1.052) | 0.004 | 1.025 (1.005–1.046) | 0.016 |
| Indexed LV mass, g/m2 | 1.048 (1.017–1.081) | 0.003 | - | NS |
| Indexed LA volume, mL/m2 | 1.086 (1.016–1.161) | 0.015 | - | NS |
| LV mass/EDV, g/mL | 7.008 (1.052–46.67) | 0.044 | - | NS |
| Maximum LVWT, mm | 1.461 (1.101–1.938) | 0.009 | - | NS |
| Asymmetric LVH | 2.240 (0.539–9.037) | 0.267 | - | NS |
| LGE | 11.79 (2.856–48.64) | <0.001 | - | NS |
Disclaimer/Publisher’s Note: The statements, opinions and data contained in all publications are solely those of the individual author(s) and contributor(s) and not of MDPI and/or the editor(s). MDPI and/or the editor(s) disclaim responsibility for any injury to people or property resulting from any ideas, methods, instructions or products referred to in the content. |
© 2023 by the authors. Licensee MDPI, Basel, Switzerland. This article is an open access article distributed under the terms and conditions of the Creative Commons Attribution (CC BY) license (https://creativecommons.org/licenses/by/4.0/).
Share and Cite
Talle, M.A.; Doubell, A.F.; Robbertse, P.-P.S.; Lahri, S.; Herbst, P.G. Cardiac Morphology, Function, and Left Ventricular Geometric Pattern in Patients with Hypertensive Crisis: A Cardiovascular Magnetic Resonance-Based Study. J. Cardiovasc. Dev. Dis. 2023, 10, 367. https://doi.org/10.3390/jcdd10090367
Talle MA, Doubell AF, Robbertse P-PS, Lahri S, Herbst PG. Cardiac Morphology, Function, and Left Ventricular Geometric Pattern in Patients with Hypertensive Crisis: A Cardiovascular Magnetic Resonance-Based Study. Journal of Cardiovascular Development and Disease. 2023; 10(9):367. https://doi.org/10.3390/jcdd10090367
Chicago/Turabian StyleTalle, Mohammed A., Anton F. Doubell, Pieter-Paul S. Robbertse, Sa’ad Lahri, and Philip G. Herbst. 2023. "Cardiac Morphology, Function, and Left Ventricular Geometric Pattern in Patients with Hypertensive Crisis: A Cardiovascular Magnetic Resonance-Based Study" Journal of Cardiovascular Development and Disease 10, no. 9: 367. https://doi.org/10.3390/jcdd10090367
APA StyleTalle, M. A., Doubell, A. F., Robbertse, P.-P. S., Lahri, S., & Herbst, P. G. (2023). Cardiac Morphology, Function, and Left Ventricular Geometric Pattern in Patients with Hypertensive Crisis: A Cardiovascular Magnetic Resonance-Based Study. Journal of Cardiovascular Development and Disease, 10(9), 367. https://doi.org/10.3390/jcdd10090367

