Giant Primary Cutaneous Nodular Melanoma of the Forehead: A Case Report
Abstract
1. Introduction
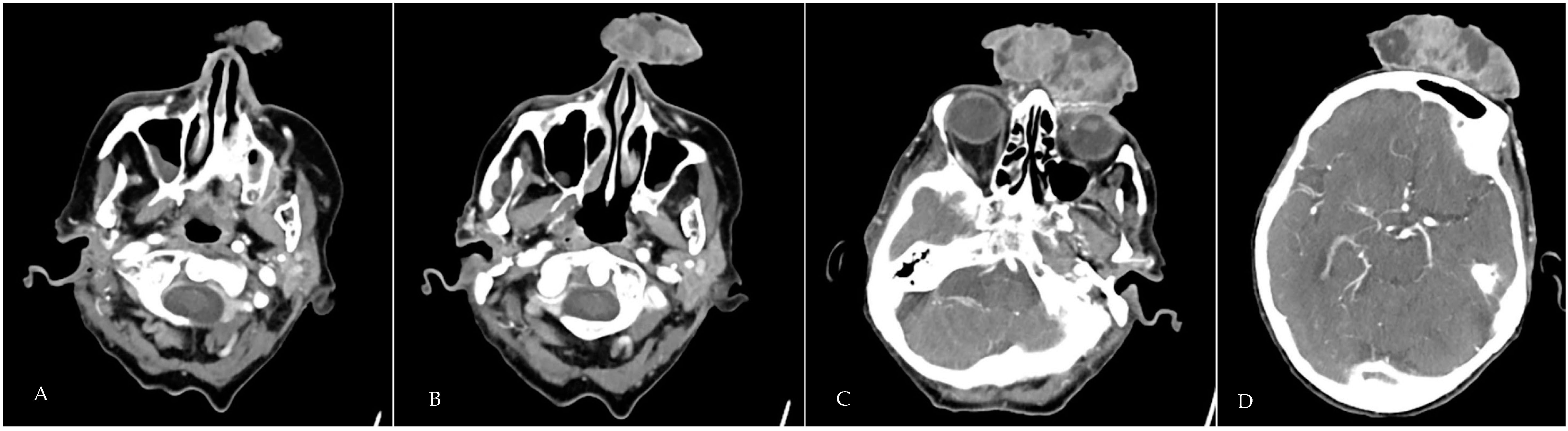
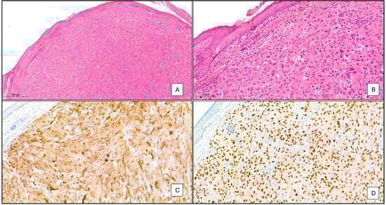
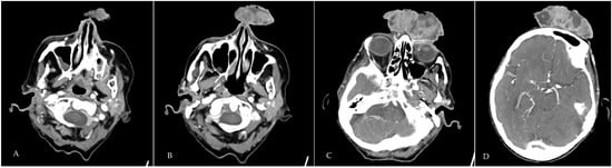
2. Case Presentation
3. Review
4. Discussion
5. Conclusion and Learning Points
6. Key Points
- Melanoma is the main cause of death from skin cancer.
- Management of melanoma in older people should involve the MDT with the surgical, dermatology, and oncology teams to address the patient’s social and psychosocial factors, which will permit a comprehensive plan for treatment and follow up.
- Sentinel node biopsy is recommended for melanoma with Breslow thickness of 0.8–1.0 mm with at least one of the features: ulceration, lymphovascular invasion, a mitotic index of 2 or more.
- Tumour stage at diagnosis is the main predictor of survival approximated at 98.3% at 5 years for localised melanoma and 16% for metastatic disease.
- Breslow thickness, lymph node involvement and presence of metastases form the basis for melanoma staging. Stages I & II refer to local disease, III & IV refer to local lymph node involvement and distant metastases.
- There are clear published guidelines on treatment and follow up of melanoma that should be referenced during Shared Decision Making.
Author Contributions
Funding
Institutional Review Board Statement
Informed Consent Statement
Data Availability Statement
Acknowledgments
Conflicts of Interest
Abbreviations
References
- Riley, D.S.; Barber, M.S.; Kienle, G.S.; Aronson, J.K.; von Schoen-Angerer, T.; Tugwell, P.; Kiene, H.; Helfand, M.; Altman, D.G.; Sox, H.; et al. CARE guidelines for case reports: Explanation and elaboration document. J. Clin. Epidemiol. 2017, 89, 218–235. [Google Scholar] [CrossRef]
- Heistein, J.B.; Acharya, U.; Mukkamalla, S.K.R. Malignant Melanoma. In StatPearls; StatPearls Publishing LLC.: Treasure Island, FL, USA, 2024. [Google Scholar]
- Demierre, M.F.; Chung, C.; Miller, D.R.; Geller, A.C. Early detection of thick melanomas in the United States: Beware of the nodular subtype. Arch. Dermatol. 2005, 141, 745–750. [Google Scholar] [CrossRef]
- Guo, W.; Wang, H.; Li, C. Signal pathways of melanoma and targeted therapy. Signal Transduct. Target. Ther. 2021, 6, 424. [Google Scholar] [CrossRef] [PubMed]
- Elder, D.E.; Bastian, B.C.; Cree, I.A.; Massi, D.; Scolyer, R.A. The 2018 World Health Organization Classification of Cutaneous, Mucosal, and Uveal Melanoma: Detailed Analysis of 9 Distinct Subtypes Defined by Their Evolutionary Pathway. Arch. Pathol. Lab. Med. 2020, 144, 500–522. [Google Scholar] [CrossRef]
- Castellani, G.; Buccarelli, M.; Arasi, M.B.; Rossi, S.; Pisanu, M.E.; Bellenghi, M.; Lintas, C.; Tabolacci, C. BRAF Mutations in Melanoma: Biological Aspects, Therapeutic Implications, and Circulating Biomarkers. Cancers 2023, 15, 4026. [Google Scholar] [CrossRef] [PubMed]
- Rastrelli, M.; Tropea, S.; Rossi, C.R.; Alaibac, M. Melanoma: Epidemiology, risk factors, pathogenesis, diagnosis and classification. In Vivo 2014, 28, 1005–1011. [Google Scholar] [PubMed]
- Pampena, R.; Kyrgidis, A.; Lallas, A.; Moscarella, E.; Argenziano, G.; Longo, C. A meta-analysis of nevus-associated melanoma: Prevalence and practical implications. J. Am. Acad. Dermatol. 2017, 77, 938–945. [Google Scholar] [CrossRef]
- Gershenwald, J.E.; Scolyer, R.A.; Hess, K.R.; Sondak, V.K.; Long, G.V.; Ross, M.I.; Lazar, A.J.; Faries, M.B.; Kirkwood, J.M.; McArthur, G.A.; et al. Melanoma staging: Evidence-based changes in the American Joint Committee on Cancer eighth edition cancer staging manual. CA Cancer J. Clin. 2017, 67, 472–492. [Google Scholar] [CrossRef]
- Zito, P.M.; Scharf, R. Melanoma of the Head and Neck. In StatPearls; StatPearls Publishing LLC.: Treasure Island, FL, USA, 2024. [Google Scholar]
- Xu, X.; Chen, L.; Guerry, D.; Dawson, P.R.; Hwang, W.T.; VanBelle, P.; Elder, D.E.; Zhang, P.J.; Ming, M.E.; Schuchter, L.; et al. Lymphatic invasion is independently prognostic of metastasis in primary cutaneous melanoma. Clin. Cancer Res. 2012, 18, 229–237. [Google Scholar] [CrossRef] [PubMed]
- Melanoma: Assessment and Mangement [Internet]. National Institute for Health and Care Excellence 29 July 2015. Available online: https://www.nice.org.uk/guidance/ng14 (accessed on 29 November 2024).
- di Meo, N.; Stinco, G.; Gatti, A.; Errichetti, E.; Bonin, S.; Albano, A.; Trevisini, S.; Trevisan, G. Giant melanoma of the abdomen: Case report and revision of the published cases. Dermatol. Online J. 2014, 20, 13030/qt4pp2825w. [Google Scholar] [CrossRef]
- Ching, J.A.; Gould, L. Giant scalp melanoma: A case report and review of the literature. Eplasty 2012, 12, e51. [Google Scholar] [PubMed]
- Panajotovic, L.; Dordevic, B.; Pavlovic, M.D. A giant primary cutaneous melanoma of the scalp—Can it be that big? J. Eur. Acad. Dermatol. Venereol. 2007, 21, 1417–1418. [Google Scholar] [CrossRef]
- Megna, M.; Ruggiero, A.; Fabbrocini, G.; Zaslavsky, D.; Nasyrov, R.; Sidikov, A.; Timoshchuk, E. Giant nodular melanoma of the nose in a 78-year-old female refusing complete excision. Dermatol. Ther. 2020, 33, e14056. [Google Scholar] [CrossRef]
- Honeyman, C.S.; Wilson, P. Patient with giant upper limb melanoma presenting to a UK plastic surgery unit: Differentials and experience of management. BMJ Case Rep. 2016, 2016, bcr2015212253. [Google Scholar] [CrossRef] [PubMed]
- Faderani, R.; Ali, S.R.; Nijran, A.; Dobbs, T.D.; Karoo, R. Diagnosing and managing a giant primary cutaneous malignant melanoma of the lower limb. J. Surg. Case Rep. 2022, 2022, rjac409. [Google Scholar] [CrossRef]
- Kamińska-Winciorek, G.; Galwas, K.; Suchorzepka, M.; Ziółkowska, B.; Turska-d’Amico, M.; Bal, W.; Conforti, C.; Toffoli, L.; Cybulska-Stopa, B.; Zalaudek, I. Characteristics of Giant Nodular Melanomas in Special Locations: A Case Series and Review of the Literature. Dermatol. Ther. 2022, 12, 2851–2862. [Google Scholar] [CrossRef]
- Koganehira, Y.; Takeoka, M.; Ehara, T.; Sasaki, K.; Murata, H.; Saida, T.; Taniguchi, S. Reduced expression of actin-binding proteins, h-caldesmon and calponin h1, in the vascular smooth muscle inside melanoma lesions: An adverse prognostic factor for malignant melanoma. Br. J. Dermatol. 2003, 148, 971–980. [Google Scholar] [CrossRef]
- Mahmood, M.N.; Lee, M.W.; Linden, M.D.; Nathanson, S.D.; Hornyak, T.J.; Zarbo, R.J. Diagnostic value of HMB-45 and anti-Melan A staining of sentinel lymph nodes with isolated positive cells. Mod. Pathol. 2002, 15, 1288–1293. [Google Scholar] [CrossRef]
- Safadi, R.A.; Bader, D.H.; Abdullah, N.I.; Sughayer, M.A. Immunohistochemical expression of keratins 6, 7, 8, 14, 16, 18, 19, and MNF-116 pancytokeratin in primary and metastatic melanoma of the head and neck. Oral Surg. Oral Med. Oral Pathol. Oral Radiol. 2016, 121, 510–519. [Google Scholar] [CrossRef] [PubMed]
- Thomas-Pfaab, M.; Annereau, J.P.; Munsch, C.; Guilbaud, N.; Garrido, I.; Paul, C.; Brousset, P.; Lamant, L.; Meyer, N. CD10 expression by melanoma cells is associated with aggressive behavior in vitro and predicts rapid metastatic progression in humans. J. Dermatol. Sci. 2013, 69, 105–113. [Google Scholar] [CrossRef] [PubMed]
- Willis, B.C.; Johnson, G.; Wang, J.; Cohen, C. SOX10: A useful marker for identifying metastatic melanoma in sentinel lymph nodes. Appl. Immunohistochem. Mol. Morphol. 2015, 23, 109–112. [Google Scholar] [CrossRef] [PubMed]
- Bristot, I.J.; Kehl Dias, C.; Chapola, H.; Parsons, R.B.; Klamt, F. Metabolic rewiring in melanoma drug-resistant cells. Crit. Rev. Oncol. Hematol. 2020, 153, 102995. [Google Scholar] [CrossRef] [PubMed]
- Ratnikov, B.I.; Scott, D.A.; Osterman, A.L.; Smith, J.W.; Ronai, Z.A. Metabolic rewiring in melanoma. Oncogene 2017, 36, 147–157. [Google Scholar] [CrossRef] [PubMed]
- Tasdogan, A.; Faubert, B.; Ramesh, V.; Ubellacker, J.M.; Shen, B.; Solmonson, A.; Murphy, M.M.; Gu, Z.; Gu, W.; Martin, M.; et al. Metabolic heterogeneity confers differences in melanoma metastatic potential. Nature 2020, 577, 115–120. [Google Scholar] [CrossRef] [PubMed]
- Pouysségur, J.; Marchiq, I.; Parks, S.K.; Durivault, J.; Ždralević, M.; Vucetic, M. ‘Warburg effect’ controls tumor growth, bacterial, viral infections and immunity—Genetic deconstruction and therapeutic perspectives. Semin. Cancer Biol. 2022, 86, 334–346. [Google Scholar] [CrossRef] [PubMed]
- Aggarwal, P.; Woolford, S.J.; Patel, H.P. Multi-Morbidity and Polypharmacy in Older People: Challenges and Opportunities for Clinical Practice. Geriatrics 2020, 5, 85. [Google Scholar] [CrossRef]
- Shepherd, J.; Gurney, S.; Patel, H. Shared decision making and personalised care support planning: Pillars of integrated care for older people. Clin. Integr. Care 2022, 12, 100097. [Google Scholar] [CrossRef]




| Units of Measurement | Normal-Range | Patient Values on Admission 9 February 2022 | Patient Values on Discharge 24 March 2022 | |
|---|---|---|---|---|
| Haemoglobin | g/L | 130–170 | 87 | 104 |
| White cell count | 109/L | 4.0–11.0 | 15.3 | 12.3 |
| Platelets | 109/L | 150–400 | 650 | 622 |
| MCV | FL | 80–100 | 77.6 | 85.2 |
| CRP | mg/L | 0–7.5 | 42.0 | 6.0 |
| Urea | mmol/L | 2.5–7.8 | 26.1 | 5.6 |
| Creatinine | μmol/L | 80–115 | 158 | 73 |
| eGFR | mL/min/1.73 m2 | 40–320 | 26 | 66 |
| Albumin | g/L | 35–50 | 34 | 28 |
| Lactate | mmol/L | 0.5–2.0 | 1.6 | 1.4 |
| Lactate Dehydrogenase | U/L | 225–425 | 719 | - |
| Vitamin D | nmol/L | <25: consistent with deficiency | <5 | - |
| Procalcitonin | - | <0.05 | 0.05 | - |
| Point of care testing | COVID-19 negative, urine analysis and culture negative | COVID-19 negative | ||
| Blood film | Hypersegmented neutrophils, microcytic hypochromic cells, polychromasia | |||
| Iron studies | Iron < 2 (5–30), Transferrin 1.35 g/L (1.9–2.8), Ferritin 65 ug/L (11–307) | |||
| B12/Folate | 133 ng/L (>160)/4.2 ng/mL (3.8–25) | |||
| Chest radiograph | No focal consolidation on admitting radiograph | |||
|
|
Disclaimer/Publisher’s Note: The statements, opinions and data contained in all publications are solely those of the individual author(s) and contributor(s) and not of MDPI and/or the editor(s). MDPI and/or the editor(s) disclaim responsibility for any injury to people or property resulting from any ideas, methods, instructions or products referred to in the content. |
© 2024 by the authors. Licensee MDPI, Basel, Switzerland. This article is an open access article distributed under the terms and conditions of the Creative Commons Attribution (CC BY) license (https://creativecommons.org/licenses/by/4.0/).
Share and Cite
Montandon, S.; Jefferson-Loveday, C.; Sommerlad, M.; Patel, H.P. Giant Primary Cutaneous Nodular Melanoma of the Forehead: A Case Report. Geriatrics 2024, 9, 164. https://doi.org/10.3390/geriatrics9060164
Montandon S, Jefferson-Loveday C, Sommerlad M, Patel HP. Giant Primary Cutaneous Nodular Melanoma of the Forehead: A Case Report. Geriatrics. 2024; 9(6):164. https://doi.org/10.3390/geriatrics9060164
Chicago/Turabian StyleMontandon, Samantha, Charles Jefferson-Loveday, Matthew Sommerlad, and Harnish P. Patel. 2024. "Giant Primary Cutaneous Nodular Melanoma of the Forehead: A Case Report" Geriatrics 9, no. 6: 164. https://doi.org/10.3390/geriatrics9060164
APA StyleMontandon, S., Jefferson-Loveday, C., Sommerlad, M., & Patel, H. P. (2024). Giant Primary Cutaneous Nodular Melanoma of the Forehead: A Case Report. Geriatrics, 9(6), 164. https://doi.org/10.3390/geriatrics9060164

