Primary Arthroplasty or Internal Fixation in Intertrochanteric Femur Fractures: A Survey of Surgical Attitudes of Orthopedic Surgeons in Turkey
Abstract
1. Introduction
2. Materials and Methods
3. Results
4. Discussion
5. Conclusions
Author Contributions
Funding
Institutional Review Board Statement
Informed Consent Statement
Data Availability Statement
Conflicts of Interest
References
- Ahn, J.; Bernstein, J. Fractures in brief: Intertrochanteric hip fractures. Clin. Orthop. Relat. Res. 2010, 468, 1450–1452. [Google Scholar] [CrossRef] [PubMed]
- Davidovitch, R.I.; Jordan, C.J.; Egol, K.A.; Vrahas, M.S. Challenges in the treatment of femoral neck fractures in the nonolder adults adult. J. Trauma 2010, 68, 236–242. [Google Scholar] [PubMed]
- Uzun, M.; Ertürer, E.; Oztürk, I.; Akman, S.; Seçkin, F.; Ozçelik, I.B. Dengesiz intertrokanterik femur kiriklarinin proksimal femoral çivi ile tedavisi sonrasinda geç dönem radyografik komplikasyonlar ve bunlarin fonksiyonel sonuçlara etkileri [Long-term radiographic complications following treatment of unstable intertrochanteric femoral fractures with the proximal femoral nail and effects on functional results]. Acta Orthop. Traumatol. Turc. 2009, 43, 457–463. (In Turkish) [Google Scholar] [PubMed]
- Haentjens, P.; Casteleyn, P.P.; De Boeck, H.; Handelberg, F.; Opdecam, P. Treatment of unstable intertrochanteric and subtrochanteric fractures in older adults patients. Primary bipolar arthroplasty compared with internal fixation. J. Bone Jt. Surg. Am. 1989, 71, 1214–1225. [Google Scholar] [CrossRef]
- Chan, K.C.; Gill, G.S. Cemented hemiarthroplasties for older adults patients with intertrochanteric fractures. Clin. Orthop. Relat. Res. 2000, 371, 206–215. [Google Scholar] [CrossRef] [PubMed]
- Broos, P.L.; Rommens, P.M.; Deleyn, P.R.; Geens, V.R.; Stappaerts, K.H. Pertrochanteric fractures in the older adults: Are there indications for primary prosthetic replacement? J. Orthop. Trauma 1991, 5, 446–451. [Google Scholar] [CrossRef]
- Anglen, J.O.; Weinstein, J.N.; American Board of Orthopaedic Surgery Research Committee. Nail or plate fixation of intertrochanteric hip fractures: Changing pattern of practice. A review of the American Board of Orthopaedic Surgery Database. J. Bone Jt. Surg. Am. 2008, 90, 700–707. [Google Scholar] [CrossRef]
- Peterson, B.E.; Jiwanlal, A.; Della Rocca, G.J.; Crist, B.D. Orthopedic Trauma and Aging: It Isn’t Just About Mortality. Geriatr. Orthop. Surg. Rehabil. 2015, 6, 33–36. [Google Scholar] [CrossRef]
- Dripps, R.D. New classification of physical status. Anesthesiology 1963, 24, 111. [Google Scholar]
- Kumar, G.N.; Meena, S.; Kumar, V.; Manjunath, S.; Mk, V.R. Bipolar hemiarthroplasty in unstable intertrochanteric fractures in older adults: A prospective study. J. Clin. Diagn. Res. 2013, 7, 1669–1671. [Google Scholar]
- Harwin, S.F.; Stern, R.E.; Kulick, R.G. Primary Bateman-Leinbach bipolar prosthetic replacement of the hip in the treatment of unstable intertrochanteric fractures in the older adults. Orthopedics 1990, 13, 1131–1136. [Google Scholar] [CrossRef] [PubMed]
- Broos, P.L.; Rommens, P.M.; Geens, V.R.; Stappaerts, K.H. Pertrochanteric fractures in the older adults. Is the Belgian VDP prosthesis the best treatment for unstable fractures with severe comminution? Acta Chir. Belg. 1991, 91, 242–249. [Google Scholar] [PubMed]
- Knobe, M.; Gradl, G.; Ladenburger, A.; Tarkin, I.S.; Pape, H.C. Unstable intertrochanteric femur fractures: Is there a consensus on definition and treatment in Germany? Clin. Orthop. Relat. Res. 2013, 471, 2831–2840. [Google Scholar] [CrossRef] [PubMed]
- Park, B.J.; Cho, H.M.; Min, W.B. A Comparison of Internal Fixation and Bipolar Hemiarthroplasty for the Treatment of Reverse Oblique Intertrochanteric Femoral Fractures in Older adults Patients. Hip Pelvis 2015, 27, 152–163. [Google Scholar] [CrossRef] [PubMed]
- Shih, L.Y.; Chen, T.H.; Lo, W.H. Avascular necrosis of the femoral head—An unusual complication of an intertrochanteric fracture. J. Orthop. Trauma 1992, 6, 382–385. [Google Scholar] [CrossRef]
- Bartonícek, J.; Fric, V.; Skála-Rosenbaum, J.; Dousa, P. Avascular necrosis of the femoral head in pertrochanteric fractures: A report of 8 cases and a review of the literature. J. Orthop. Trauma 2007, 21, 229–236. [Google Scholar] [CrossRef]
- Waddell, J.P.; Morton, J.; Schemitsch, E.H. The role of total hip replacement in intertrochanteric fractures of the femur. Clin. Orthop. Relat. Res. 2004, 429, 49–53. [Google Scholar] [CrossRef]
- Nie, B.; Wu, D.; Yang, Z.; Liu, Q. Comparison of intramedullary fixation and arthroplasty for the treatment of intertrochanteric hip fractures in the older adults: A meta-analysis. Medicine 2017, 96, e7446. [Google Scholar] [CrossRef]
- Tang, P.; Hu, F.; Shen, J.; Zhang, L.; Zhang, L. Proximal femoral nail antirotation versus hemiarthroplasty: A study for the treatment of intertrochanteric fractures. Injury 2012, 43, 876–881. [Google Scholar] [CrossRef]
- Görmeli, G.; Korkmaz, M.F.; Görmeli, C.A.; Adanaş, C.; Karataş, T.; Şimşek, S.A. Comparison of femur intertrochanteric fracture fixation with hemiarthroplasty and proximal femoral nail systems. Ulus. Travma Acil Cerrahi. Derg. 2015, 21, 503–508. [Google Scholar] [CrossRef]
- Desteli, E.E.; İmren, Y.; Erdoğan, M.; Aydagün, Ö. Quality of Life Following Treatment of Trochanteric Fractures with Proximal Femoral Nail versus Cementless Bipolar Hemiarthroplasty in Older adults. Clin. Investig. Med. 2015, 38, E63–E72. [Google Scholar] [CrossRef] [PubMed]
- Özkayın, N.; Okçu, G.; Aktuğlu, K. Intertrochanteric femur fractures in the older adults treated with either proximal femur nailing or hemiarthroplasty: A prospective randomised clinical study. Injury 2015, 46 (Suppl. S2), S3–S8. [Google Scholar] [CrossRef] [PubMed]
- Kreder, H.J. Principles and evidence: The optimal treatment of pertrochanteric hip fractures: Commentary on an article by Kjell Matre, MD; et al. TRIGEN INTERTAN intramedullary nail versus sliding hip screw. A prospective, randomized multicenter study on pain, function, and complications in 684 patients with an intertrochanteric or subtrochanteric fracture and one year of follow-up. J. Bone Jt. Surg. Am. 2013, 95, e16. [Google Scholar]
- Koval, K.J.; Sala, D.A.; Kummer, F.J.; Zuckerman, J.D. Postoperative weight-bearing after a fracture of the femoral neck or an intertrochanteric fracture. J. Bone Jt. Surg. Am. 1998, 80, 352–356. [Google Scholar] [CrossRef] [PubMed]
- Mäkinen, T.J.; Gunton, M.; Fichman, S.G.; Kashigar, A.; Safir, O.; Kuzyk, P.R. Arthroplasty for Pertrochanteric Hip Fractures. Orthop. Clin. N. Am. 2015, 46, 433–444. [Google Scholar] [CrossRef]
- Lee, Y.K.; Ha, Y.C.; Chang, B.K.; Kim, K.C.; Kim, T.Y.; Koo, K.H. Cementless bipolar hemiarthroplasty using a hydroxyapatite-coated long stem for osteoporotic unstable intertrochanteric fractures. J. Arthroplast. 2011, 26, 626–632. [Google Scholar] [CrossRef]
- Jin, Z.; Xu, S.; Yang, Y.; Wei, Y.; Tian, Y.; Wang, Z.; Bai, L. Cemented hemiarthroplasty versus proximal femoral nail antirotation in the management of intertrochanteric femoral fractures in the older adults: A case control study. BMC Musculoskelet. Disord. 2021, 22, 846. [Google Scholar] [CrossRef]
- Pho, R.W.; Nather, A.; Tong, G.O.; Korku, C.T. Endoprosthetic replacement of unstable, comminuted intertrochanteric fracture of the femur in the older adults, osteoporotic patient. J. Trauma 1981, 21, 792–797. [Google Scholar] [CrossRef]
- Gashi, Y.N.; Elhadi, A.S.; Elbushra, I.M. Outcome of Primary Cemented Bipolar Hemiarthroplasty compared with Dynamic Hip Screw in Older adults Patients with Unstable Intertrochanteric Fracture. Malays Orthop. J. 2018, 12, 36–41. [Google Scholar] [CrossRef]
- Teloken, M.A.; Bissett, G.; Hozack, W.J.; Sharkey, P.F.; Rothman, R.H. Ten to fifteen-year follow-up after total hip arthroplasty with a tapered cobalt-chromium femoral component (tri-lock) inserted without cement. J. Bone Jt. Surg. Am. 2002, 84, 2140–2144. [Google Scholar] [CrossRef]
- Cho, S.H.; Cho, H.L.; Cho, H. Primary Cementless Hip Arthroplasty in Unstable Intertrochanteric Femur Fracture in Older adultss: Short-term Results. Hip Pelvis 2014, 26, 157–165. [Google Scholar] [CrossRef] [PubMed][Green Version]
- Bonnevialle, P.; Saragaglia, D.; Ehlinger, M.; Tonetti, J.; Maisse, N.; Adam, P.; Le Gall, C.; Hip, F.; Academy, T.S.; French Hip and Knee Society (SFHG); et al. Trochanteric locking nail versus arthroplasty in unstable intertrochanteric fracture in patients aged over 75 years. Orthop. Traumatol. Surg. Res. 2011, 97 (Suppl. S6), S95–S100. [Google Scholar] [CrossRef] [PubMed]
- Lee, Y.K.; Kim, J.T.; Alkitaini, A.A.; Kim, K.C.; Ha, Y.C.; Koo, K.H. Conversion hip arthroplasty in failed fixation of intertrochanteric fracture: A propensity score matching study. J. Arthroplast. 2017, 32, 1593–1598. [Google Scholar] [CrossRef] [PubMed]
- Kiriakopoulos, E.; McCormick, F.; Nwachukwu, B.U.; Erickson, B.J.; Caravella, J. In-hospital mortality risk of intertrochanteric hip fractures: A comprehensive review of the US Medicare database from 2005 to 2010. Musculoskelet. Surg. 2017, 101, 213–218. [Google Scholar] [CrossRef] [PubMed]
- Lin, J.C.; Liang, W.M. Mortality, readmission, and reoperation after hip fracture in nonagenarians. BMC Musculoskelet. Disord. 2017, 18, 144. [Google Scholar] [CrossRef] [PubMed]
- Zuckerman, J.D. Hip fracture. N. Engl. J. Med. 1996, 334, 1519–1525. [Google Scholar] [CrossRef]
- Capkin, S.; Guler, S.; Ozmanevra, R. C-Reactive Protein to Albumin Ratio May Predict Mortality for Older adults Population Who Undergo Hemiarthroplasty Due to Hip Fracture. J. Investig. Surg. 2021, 34, 1272–1277. [Google Scholar] [CrossRef]

| Demonstrative X-rays | Patient Scenarios |
|---|---|
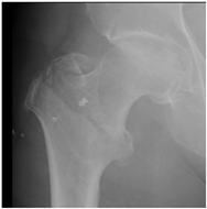
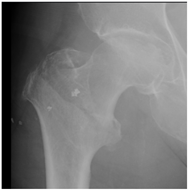
For X-ray 1, four scenarios were developed.![]() | Scenario 1: What would be your operation preference for a mobile patient aged 50–70 and with an ASA score of 1–2? Scenario 2: What would be your operation preference for a mobile patient aged 71 years or older with an ASA score of 1–2? Scenario 3: What would be your operation preference for a mobile patient aged 50–70 with an ASA score of 3–4? Scenario 4: What would be your operation preference for a mobile patient aged 71 years or older with an ASA score of 3–4? |
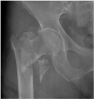
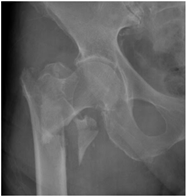
For X-ray 2, four scenarios were developed.![]() | Scenario 1: What would be your operation preference for a mobile patient aged 50–70 and with an ASA score of 1–2? Scenario 2: What would be your operation preference for a mobile patient aged 71 years or older with an ASA score of 1–2? Scenario 3: What would be your operation preference for a mobile patient aged 50–70 with an ASA score of 3–4? Scenario 4: What would be your operation preference for a mobile patient aged 71 years or older with an ASA score of 3–4? |
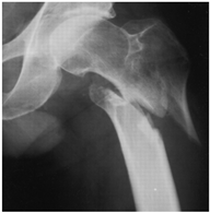
For X-ray 3, four scenarios were developed.![]() | Scenario 1: What would be your operation preference for a mobile patient aged 50–70 and with an ASA score of 1–2? Scenario 2: What would be your operation preference for a mobile patient aged 71 years or older with an ASA score of 1–2? Scenario 3: What would be your operation preference for a mobile patient aged 50–70 with an ASA score of 3–4? Scenario 4: What would be your operation preference for a mobile patient aged 71 years or older with an ASA score of 3–4? |
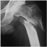
For X-ray 4, four scenarios were developed.![]() | Scenario 1: What would be your operation preference for a mobile patient aged 50–70 and with an ASA score of 1–2? Scenario 2: What would be your operation preference for a mobile patient aged 71 years or older with an ASA score of 1–2? Scenario 3: What would be your operation preference for a mobile patient aged 50–70 with an ASA score of 3–4? Scenario 4: What would be your operation preference for a mobile patient aged 71 years or older with an ASA score of 3–4? |
| Survey Questions | Choices | n | % |
|---|---|---|---|
| Current Practice Setting | Training and Research Hospital | 51 | 32 |
| University Hospital | 28 | 18 | |
| State Hospital | 51 | 32 | |
| Private Hospital | 23 | 15 | |
| Other | 3 | 2 | |
| Residency Training Institute | Training and Research Hospital | 44 | 28 |
| University Hospital | 109 | 69 | |
| Average Years in Practice | 1 to 10 years | 101 | 64 |
| More than 10 years | 55 | 34 |
| Scenario | Current Practice Setting | Internal Fixation | Arthroplasty | X2 | Cramer’s V | p |
|---|---|---|---|---|---|---|
| 2-part ASA 1–2 50–70 years | Academic | 79 (100.0%) | 0 (0.0%) | 1.033 | 0.494 | |
| Non-academic | 76 (98.7%) | 1 (1.3%) | 0.08 | |||
| 2-part ASA 1–2 >70 years | Academic | 71 (89.9%) | 8 (10.1%) | 1.528 | 0.216 | |
| Non-academic | 64 (%83.1%) | 13 (16.9%) | 0.099 | |||
| 2-part ASA 3–4 50–70 years | Academic | 73 (92.4%) | 6 (7.6%) | 0.752 | 0.386 | |
| Non-academic | 68 (88.3%) | 9 (11.7%) | 0.04 | |||
| 2-part ASA 3–4 >70 years | Academic | 62 (78.5%) | 17 (21.5%) | 1.426 | 0.232 | |
| Non-academic | 54 (70.1%) | 23 (29.9%) | 0.09 | |||
| 3-part ASA 1–2 50–70 years | Academic | 75 (94.9%) | 4 (5.1%) | 3.089 | 0.097 | |
| Non-academic | 66 (86.8%) | 10 (13.2%) | 0.13 | |||
| 3-part ASA 1–2 >70 years | Academic | 64 (81.0%) | 15 (19.0%) | 3.086 | 0.079 | |
| Non-academic | 53 (68.8%) | 24 (31.2%) | 0.15 | |||
| 3-part ASA 3–4 50–70 years | Academic | 68 (86.1%) | 11 (13.9%) | 0.086 | 0.770 | |
| Non-academic | 65 (84.4%) | 12 (15.6%) | 0.02 | |||
| 3-part ASA 3–4 >70 years | Academic | 56 (70.9%) | 23 (29.1%) | 2.646 | 0.132 | |
| Non-academic | 45 (58.4%) | 32 (41.6%) | 0.13 | |||
| 4-part ASA 1–2 50–70 years | Academic | - | 8 (10.1%) | 0.313 | 0.576 | |
| Non-academic | 67 (87.0%) | 10 (13.0%) | 0.04 | |||
| 4-part ASA 1–2 >70 years | Academic | 54 (69.2%) | 24 (30.8%) | 0.003 | 0.957 | |
| Non-academic | 53 (68.8%) | 24 (31.2%) | 0.008 | |||
| 4-part ASA 3–4 50–70 years | Academic | 66 (83.5%) | 13 (16.5%) | 1.173 | 0.08 | 0.319 |
| Non-academic | 59 (76.6%) | 18 (23.4%) | ||||
| 4-part ASA 3–4 >70 years | Academic | 42 (53.2%) | 37 (46.8%) | 0.000 | 0.992 | |
| Non-academic | 41 (53.2%) | 36 (46.8%) | - | |||
| Rev. Oblique ASA 1–2 50–70 years | Academic | 79 (100.0%) | - | - | - | |
| Non-academic | 77 (100.0%) | - | - | |||
| Rev. Oblique ASA 1–2 >70 years | Academic | 77 (97.5%) | 2 (2.5%) | 1.428 | 0.232 | |
| Non-academic | 72 (93.5%) | 5 (6.5%) | 0.09 | |||
| Rev. Oblique ASA 3–4 50–70 years | Academic | 78 (100.0%) | 0 (0.0%) | 2.052 | 0.245 | |
| Non-academic | 75 (97.4%) | 2 (2.6%) | 0.11 | |||
| Rev. Oblique ASA 3–4 >70 years | Academic | 71 (91.0%) | 7 (9.0%) | 0.639 | 0.424 | |
| Non-academic | 67(89.0%) | 10(13.0%) | 0.06 |
| Scenario | Average Number of Years in Practice | Internal Fixation | Arthroplasty | X2 | Cramer’s V | p |
|---|---|---|---|---|---|---|
| 2-part ASA 1–2 50–70 years | 1–10 years | 101 (100.0%) | 0 (0.0%) | 1.783 | 0.361 a | |
| >10 years | 56 (98.2%) | 1 (1.8%) | 0.10 | |||
| 2-part ASA 1–2 >71 years | 1–10 years | 93 (92.1%) | 8 (7.9%) | 7.006 | 0.008 * | |
| >10 years | 44 (77.2%) | 13 (22.8%) | 0.21 | |||
| 2-part ASA 3–4 50–70 years | 1–10 years | 91 (90.1%) | 10 (9.9%) | 0.215 | 0.643 | |
| >10 years | 50 (87.7%) | 7 (12.3%) | 0.03 | |||
| 2-part ASA 3–4 >71 years | 1–10 years | 79 (78.2%) | 22 (21.8%) | 3.305 | 0.069 | |
| >10 years | 37 (64.9%) | 20 (35.1%) | 0.15 | |||
| 3-part ASA 1–2 50–70 years | 1–10 years | 92 (92.0%) | 8 (8.0%) | 1.445 | 0.229 | |
| >10 years | 49 (86.0%) | 8 (14.0%) | 0.10 | |||
| 3-part ASA 1–2 >71 years | 1–10 years | 81 (80.2%) | 20 (19.8%) | 5.506 | 0.019 * | |
| >10 years | 36 (63.2%) | 21 (36.8%) | 0.21 | |||
| 3-part ASA 3–4 50–70 years | 1–10 years | 91 (90.1%) | 10 (9.9%) | 4.880 | 0.027 * | |
| >10 years | 44 (77.2%) | 13 (22.8%) | 0.18 | |||
| 3-part ASA 3–4 >71 years | 1–10 years | 70 (69.3%) | 31 (30.7%) | 2.091 | 0.148 | |
| >10 years | 33 (57.9%) | 24 (42.1%) | 0.12 | |||
| 4-part ASA 1–2 50–70 years | 1–10 years | 92 (91.1%) | 9 (8.9%) | 1.708 | 0.191 | |
| >10 years | 48 (84.2%) | 9 (15.8%) | 0.10 | |||
| 4-part ASA 1–2 >71 years | 1–10 years | 74 (74.0%) | 26 (26.0%) | 4.339 | 0.037 * | |
| >10 years | 33 (57.9%) | 24 (42.1%) | 0.17 | |||
| 4-part ASA 3–4 50–70 years | 1–10 years | 84 (83.2%) | 17 (16.8%) | 1.380 | 0.240 | |
| >10 years | 43 (75.4%) | 14 (24.6%) | 0.10 | |||
| 4-part ASA 3–4 >71 years | 1–10 years | 60 (59.4%) | 41 (40.6%) | 5.306 | 0.021 * | |
| >10 years | 23 (40.4%) | 34 (59.6%) | 0.19 | |||
| Rev. Oblique ASA 1–2 50–70 years | 1–10 years | 101 (100.0%) | - | - | - | |
| >10 years | 57 (100.0%) | - | - | |||
| Rev. Oblique ASA 1–2 >71 years | 1–10 years | 97 (96.0%) | 4 (4.0%) | 1.570 | 0.285 a | |
| >10 years | 52 (91.2%) | 5 (8.8%) | 0.10 | |||
| Rev. Oblique ASA 3–4 50–70 years | 1–10 years | 97 (97.0%) | 3 (3.0%) | 0.227 | 1.000 a | |
| >10 years | 56 (98.2%) | 1 (1.8%) | 0.03 | |||
| Rev. Oblique ASA 3–4 >71 years | 1–10 years | 92 (92.0%) | 8 (8.0%) | 2.281 | 0.131 | |
| >10 years | 48 (84.2%) | 9 (15.8%) | 0.12 |
Publisher’s Note: MDPI stays neutral with regard to jurisdictional claims in published maps and institutional affiliations. |
© 2022 by the authors. Licensee MDPI, Basel, Switzerland. This article is an open access article distributed under the terms and conditions of the Creative Commons Attribution (CC BY) license (https://creativecommons.org/licenses/by/4.0/).
Share and Cite
Cici, H.; Bektas, Y.E.; Demirkiran, N.D.; Ozmanevra, R. Primary Arthroplasty or Internal Fixation in Intertrochanteric Femur Fractures: A Survey of Surgical Attitudes of Orthopedic Surgeons in Turkey. Geriatrics 2022, 7, 18. https://doi.org/10.3390/geriatrics7010018
Cici H, Bektas YE, Demirkiran ND, Ozmanevra R. Primary Arthroplasty or Internal Fixation in Intertrochanteric Femur Fractures: A Survey of Surgical Attitudes of Orthopedic Surgeons in Turkey. Geriatrics. 2022; 7(1):18. https://doi.org/10.3390/geriatrics7010018
Chicago/Turabian StyleCici, Hakan, Yunus Emre Bektas, Nihat Demirhan Demirkiran, and Ramadan Ozmanevra. 2022. "Primary Arthroplasty or Internal Fixation in Intertrochanteric Femur Fractures: A Survey of Surgical Attitudes of Orthopedic Surgeons in Turkey" Geriatrics 7, no. 1: 18. https://doi.org/10.3390/geriatrics7010018
APA StyleCici, H., Bektas, Y. E., Demirkiran, N. D., & Ozmanevra, R. (2022). Primary Arthroplasty or Internal Fixation in Intertrochanteric Femur Fractures: A Survey of Surgical Attitudes of Orthopedic Surgeons in Turkey. Geriatrics, 7(1), 18. https://doi.org/10.3390/geriatrics7010018





