Mutational Analysis of c-KIT and PDGFRA in Canine Gastrointestinal Stromal Tumors (GISTs)
Abstract
Simple Summary
Abstract
1. Introduction
2. Materials and Methods
2.1. Samples Collection
2.2. Histology
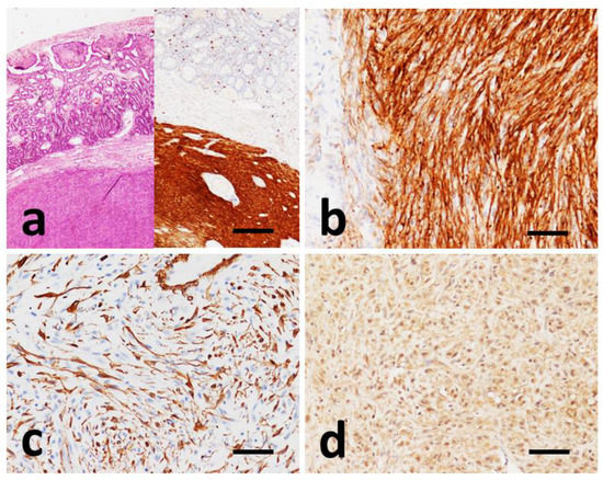
2.3. Immunohistochemistry
2.4. Analysis of c-KIT and PDGFRA Mutations
2.5. Statistical Analysis
3. Results
3.1. Sample Collection
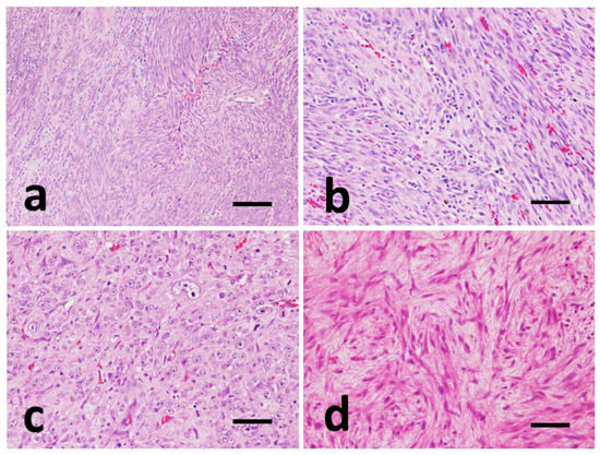
3.2. Histology
3.3. Immunohistochemistry
3.4. Analysis of c-KIT and PDGFRA Mutations
3.5. Statistical Analysis
4. Discussion
5. Conclusions
Supplementary Materials
Author Contributions
Funding
Institutional Review Board Statement
Informed Consent Statement
Data Availability Statement
Acknowledgments
Conflicts of Interest
References
- Strickland, L.; Letson, G.D.; Muro-Cacho, C.A. Gastrointestinal Stromal Tumors. Cancer Control 2001, 8, 252–261. [Google Scholar] [CrossRef] [PubMed]
- Sandberg, A.A.; Bridge, J.A. Updates on the Cytogenetics and Molecular Genetics of Bone and Soft Tissue Tumors. Gastrointestinal Stromal Tumors. Cancer Genet. Cytogenet. 2002, 135, 1–23. [Google Scholar] [CrossRef]
- Head, K.W.; Cullen, J.M.; Dubielzig, R.R.; Else, R.W.; Misdorp, W.; Patnaik, A.K.; Tateyama, S.; Van der Gaag, I. Histological classification of tumors of the alimentary system of domestic animals. In World Health Organization International Histological Classification of Tumors of Domestic Animals; Armed Forces Institute of Pathology: Washington, DC, USA, 2003; Volume 10, pp. 58–72. [Google Scholar]
- Miettinen, M.; Lasota, J. Gastrointestinal Stromal Tumors—Definition, Clinical, Histological, Immunohistochemical and Molecular Genetic Features and Differential Diagnosis. Virchows Arch 2001, 438, 1–12. [Google Scholar] [CrossRef] [PubMed]
- Bettini, G.; Morini, M.; Marcato, P.S. Gastrointestinal Spindle Cell Tumours of the Dog: Histological and Immunohistochemical Study. J. Comp. Pathol. 2003, 129, 283–293. [Google Scholar] [CrossRef]
- Frost, D.; Lasota, J.; Miettinen, M. Gastrointestinal Stromal Tumors and Leiomyomas in the Dog: A Histopathologic, Immunohistochemical, and Molecular Genetic Study of 50 Cases. Vet. Pathol. 2003, 40, 42–54. [Google Scholar] [CrossRef]
- Irie, M.; Takeuchi, Y.; Ohtake, Y.; Suzuki, H.; Nagata, N.; Miyoshi, T.; Kagawa, Y.; Yamagami, T. Imatinib Mesylate Treatment in a Dog with Gastrointestinal Stromal Tumors with a C-Kit Mutation. J. Vet. Med. Sci. 2015, 77, 1535–1539. [Google Scholar] [CrossRef][Green Version]
- Takanosu, M.; Amano, S.; Kagawa, Y. Analysis of C-KIT Exon 11 Mutations in Canine Gastrointestinal Stromal Tumours. Vet. J. 2016, 207, 118–123. [Google Scholar] [CrossRef]
- Kumagai, K.; Uchida, K.; Miyamoto, T.; Ushigusa, T.; Shinohara, S.; Yamaguchi, R.; Tateyama, S. Three Cases of Canine Gastrointestinal Stromal Tumors with Multiple Differentiations and C-Kit-Expression. J. Vet. Med. Sci. 2003, 65, 1119–1122. [Google Scholar] [CrossRef][Green Version]
- Russell, K.N.; Mehler, S.J.; Skorupski, K.A.; Baez, J.L.; Shofer, F.S.; Goldschmidt, M.H. Clinical and Immunohistochemical Differentiation of Gastrointestinal Stromal Tumors from Leiomyosarcomas in Dogs: 42 Cases (1990–2003). J. Am. Vet. Med. Assoc. 2007, 230, 1329–1333. [Google Scholar] [CrossRef]
- Maas, C.P.H.J.; ter Haar, G.; van der Gaag, I.; Kirpensteijn, J. Reclassification of Small Intestinal and Cecal Smooth Muscle Tumors in 72 Dogs: Clinical, Histologic, and Immunohistochemical Evaluation. Vet. Surg. 2007, 36, 302–313. [Google Scholar] [CrossRef]
- Gregory-Bryson, E.; Bartlett, E.; Kiupel, M.; Hayes, S.; Yuzbasiyan-Gurkan, V. Canine and Human Gastrointestinal Stromal Tumors Display Similar Mutations in C-KIT Exon 11. BMC Cancer 2010, 10, 559. [Google Scholar] [CrossRef] [PubMed]
- Gillespie, V.; Baer, K.; Farrelly, J.; Craft, D.; Luong, R. Canine Gastrointestinal Stromal Tumors: Immunohistochemical Expression of CD34 and Examination of Prognostic Indicators Including Proliferation Markers Ki67 and AgNOR. Vet. Pathol. 2011, 48, 283–291. [Google Scholar] [CrossRef] [PubMed]
- Hayes, S.; Yuzbasiyan-Gurkan, V.; Gregory-Bryson, E.; Kiupel, M. Classification of Canine Nonangiogenic, Nonlymphogenic, Gastrointestinal Sarcomas Based on Microscopic, Immunohistochemical, and Molecular Characteristics. Vet. Pathol. 2013, 50, 779–788. [Google Scholar] [CrossRef] [PubMed]
- Kobayashi, M.; Kuroki, S.; Ito, K.; Yasuda, A.; Sawada, H.; Ono, K.; Washizu, T.; Bonkobara, M. Imatinib-Associated Tumour Response in a Dog with a Non-Resectable Gastrointestinal Stromal Tumour Harbouring a c-Kit Exon 11 Deletion Mutation. Vet. J. 2013, 198, 271–274. [Google Scholar] [CrossRef]
- Dailey, D.D.; Ehrhart, E.J.; Duval, D.L.; Bass, T.; Powers, B.E. DOG1 Is a Sensitive and Specific Immunohistochemical Marker for Diagnosis of Canine Gastrointestinal Stromal Tumors. J. Vet. Diagn. Investig. 2015, 27, 268–277. [Google Scholar] [CrossRef]
- Hirota, S.; Isozaki, K.; Moriyama, Y.; Hashimoto, K.; Nishida, T.; Ishiguro, S.; Kawano, K.; Hanada, M.; Kurata, A.; Takeda, M.; et al. Gain-of-Function Mutations of c-Kit in Human Gastrointestinal Stromal Tumors. Science 1998, 279, 577–580. [Google Scholar] [CrossRef]
- Heinrich, M.C.; Maki, R.G.; Corless, C.L.; Antonescu, C.R.; Harlow, A.; Griffith, D.; Town, A.; McKinley, A.; Ou, W.-B.; Fletcher, J.A.; et al. Primary and Secondary Kinase Genotypes Correlate with the Biological and Clinical Activity of Sunitinib in Imatinib-Resistant Gastrointestinal Stromal Tumor. J. Clin. Oncol. 2008, 26, 5352–5359. [Google Scholar] [CrossRef]
- Corless, C.L.; Barnett, C.M.; Heinrich, M.C. Gastrointestinal Stromal Tumours: Origin and Molecular Oncology. Nat. Rev. Cancer 2011, 11, 865–878. [Google Scholar] [CrossRef]
- Miettinen, M.; Lasota, J. Gastrointestinal Stromal Tumors: Review on Morphology, Molecular Pathology, Prognosis, and Differential Diagnosis. Arch. Pathol. Lab. Med. 2006, 130, 1466–1478. [Google Scholar] [CrossRef]
- Bonkobara, M. Dysregulation of Tyrosine Kinases and Use of Imatinib in Small Animal Practice. Vet. J. 2015, 205, 180–188. [Google Scholar] [CrossRef]
- London, C.A. Tyrosine Kinase Inhibitors in Veterinary Medicine. Top. Companion Anim. Med. 2009, 24, 106–112. [Google Scholar] [CrossRef] [PubMed]
- Waller, C.F. Imatinib Mesylate. Small Mol. Oncol. 2010, 184, 3–20. [Google Scholar] [CrossRef]
- Rubin, B.P.; Heinrich, M.C.; Corless, C.L. Gastrointestinal Stromal Tumour. Lancet 2007, 369, 1731–1741. [Google Scholar] [CrossRef]
- Agaimy, A.; Otto, C.; Braun, A.; Geddert, H.; Schaefer, I.-M.; Haller, F. Value of Epithelioid Morphology and PDGFRA Immunostaining Pattern for Prediction of PDGFRA Mutated Genotype in Gastrointestinal Stromal Tumors (GISTs). Int. J. Clin. Exp. Pathol. 2013, 6, 1839–1846. [Google Scholar] [PubMed]
- Berger, E.P.; Johannes, C.M.; Jergens, A.E.; Allenspach, K.; Powers, B.E.; Du, Y.; Mochel, J.P.; Fox, L.E.; Musser, M.L. Retrospective Evaluation of Toceranib Phosphate (Palladia®) Use in the Treatment of Gastrointestinal Stromal Tumors of Dogs. J. Vet. Intern. Med. 2018, 32, 2045–2053. [Google Scholar] [CrossRef]
- Powers, B.E.; Hoopes, P.J.; Ehrhart, E.J. Tumor Diagnosis, Grading, and Staging. Semin. Vet. Med. Surg. 1995, 10, 158–167. [Google Scholar]
- Oliveira, A.M.; Nascimento, A.G. Grading in Soft Tissue Tumors: Principles and Problems. Skeletal Radiol. 2001, 30, 543–559. [Google Scholar] [CrossRef]
- Morini, M.; Bettini, G.; Preziosi, R.; Mandrioli, L. C-Kit Gene Product (CD117) Immunoreactivity in Canine and Feline Paraffin Sections. J. Histochem. Cytochem. 2004, 52, 705–708. [Google Scholar] [CrossRef]
- London, C.A.; Kisseberth, W.C.; Galli, S.J.; Geissler, E.N.; Helfand, S.C. Expression of Stem Cell Factor Receptor (c-Kit) by the Malignant Mast Cells from Spontaneous Canine Mast Cell Tumours. J. Comp. Pathol. 1996, 115, 399–414. [Google Scholar] [CrossRef]
- Shihab, H.A.; Gough, J.; Cooper, D.N.; Day, I.N.M.; Gaunt, T.R. Predicting the Functional Consequences of Cancer-Associated Amino Acid Substitutions. Bioinformatics 2013, 29, 1504–1510. [Google Scholar] [CrossRef]
- Steigen, S.E.; Eide, T.J. Gastrointestinal Stromal Tumors (GISTs): A Review. APMIS 2009, 117, 73–86. [Google Scholar] [CrossRef] [PubMed]
- Wong, N.A.C.S. Gastrointestinal Stromal Tumours--an Update for Histopathologists. Histopathology 2011, 59, 807–821. [Google Scholar] [CrossRef] [PubMed]
- Miettinen, M.; Lasota, J. Gastrointestinal Stromal Tumors. Gastroenterol. Clin. N. Am. 2013, 42, 399–415. [Google Scholar] [CrossRef] [PubMed]
- Ricci, R.; Tos, A.P.D.; Rindi, G. GISTogram: A Graphic Presentation of the Growing GIST Complexity. Virchows Arch. 2013, 463, 481–487. [Google Scholar] [CrossRef]
- Thompson, J.J.; Morrison, J.A.; Pearl, D.L.; Boston, S.E.; Wood, G.A.; Foster, R.A.; Coomber, B.L. Receptor Tyrosine Kinase Expression Profiles in Canine Cutaneous and Subcutaneous Mast Cell Tumors. Vet. Pathol. 2016, 53, 545–558. [Google Scholar] [CrossRef] [PubMed]
- Papke, D.J.; Forgó, E.; Charville, G.W.; Hornick, J.L. PDGFRA Immunohistochemistry Predicts PDGFRA Mutations in Gastrointestinal Stromal Tumors. Am. J. Surg. Pathol. 2022, 46, 3–10. [Google Scholar] [CrossRef]



| Name | Sequence 5′ → 3′ | Annealing T |
|---|---|---|
| Ex 8 c-KIT forward | [Hex]–GGGGAGCCTTGGTGAGGTGT | 58 °C |
| Ex 8 c-KIT reverse | CCCTGCTGTCCTTCCCTCGT | 58 °C |
| Ex 9 c-KIT forward | ACTCGTCTCTGTCACCGTCTGGAA | 58 °C |
| Ex 9 c-KIT reverse | ATGGCAGGCAGAGCCTAAACATCC | 58 °C |
| Ex 11 c-KIT forward | [6FAM] ATGATCTGTCTCTCTTTTCTCCCC | 60 °C |
| Ex 11 c-KIT reverse | GTACACAAAAAGGTTACATGGAAAGC | 60 °C |
| F_PDGFRA_ex 18 | GTTCCTTCCCTTTCCATGCA | 56 °C |
| R_PDGFRA_ex 18 | GTGAGGAAAGGTGGGCTTGTC | 56 °C |
| F_PDGFRA_ex 12 | TGCGTCTGGGCTTTGATAATT | 56 °C |
| R_PDGFRA_ex 12 | GATCACCCCAGTAGGCGCTTA | 56 °C |
| Case | Breed | Sex | Age, y | Location | Tumor Size (cm) | Metastasis | Histotype (WHO) [3] | Grade * | CD117 ** | PDGFR ** | SMA ** | DES ** |
|---|---|---|---|---|---|---|---|---|---|---|---|---|
| 1 | English Setter | M | 9 | Duodenum | u | a | Fascicular | II | +++ | − | ++ | − |
| 2 | Collie | F | 9 | Duodenum | u | a | Storiform | I | +++ | − | − | − |
| 3 | German Shepherd | F | 12 | Ileociecocolic junction | u | a | Storiform | I | +++ | + | ++ | − |
| 4 | Mixed | u | u | Cecum | 4 | a | Epithelioid | I | +++ | ++ | ++ | − |
| 5 | Great Dane | F | 10 | Small intestine | u | a | Epithelioid | I | +++ | ++ | ++ | − |
| 6 | Mixed | M | 11 | Small intestine | 3 | a | Storiform | I | +++ | + | +++ | − |
| 7 | Pekingese | NM | 14 | Ileociecocolic junction | 1 | Diaphragm, liver, mesentery | Fascicular | I | +++ | − | ++ | − |
| 8 | Poodle | M | 13 | Stomach | 10 | Spleen | Storiform | I | +++ | + | − | − |
| 9 | English Setter | u | 7 | Stomach | u | a | Epithelioid | II | +++ | + | ++ | − |
| 10 | Maltese dog | M | 12 | Ileum | 8 | Mesentery | Fascicular | II | +++ | ++ | − | − |
| 11 | Schnauzer toy | FS | 14 | Jejunum | 7 × 8 | a | Epithelioid | III | +++ | + | − | − |
| 12 | Mixed | NM | 12 | Colon | u | a | Mixoid | I | +++ | + | − | − |
| 13 | Belgian Shepherd | FS | 14 | Ileum | 10 | Mesentery, lymph node | Fascicular | I | +++ | ++ | ++ | − |
| 14 | German Shepherd | M | 11 | Duodenum | 3 × 4 | a | Epithelioid | II | +++ | + | − | − |
| 15 | Corso | FS | 5 | Jejunum | 5.7 × 2 | a | Fascicular | II | +++ | ++ | ++ | − |
| 16 | Mixed | M | 10 | Cecum | 5 × 2 | a | Fascicular | II | +++ | + | ++ | − |
| 17 | Mixed | NM | 12 | Cecum | 3 × 1 × 2 | a | Fascicular | I | +++ | ++ | − | − |
| Case | c-KIT | PDGFRA | ||
|---|---|---|---|---|
| 1 | Wild-type | Wild-type | ||
| 2 | Wild-type | Wild-type | ||
| 3 | Exon 11, deletion | 6 bp | Wild-type | |
| 4 | Exon 11, deletion | 15 bp | Exon 18, SNP | c.2597G > A; p.866 Arg > Lys |
| 5 | Wild-type | Wild-type | ||
| 6 | Wild-type | Wild-type | ||
| 7 | Exon 11, deletion | 3 bp | Wild-type | |
| 8 | Exon 11, deletion | 6 bp | Wild-type | |
| 9 | Wild-type | Wild-type | ||
| 10 | Exon 11, deletion | 6 bp | Wild-type | |
| 11 | Wild-type | Wild-type | ||
| 12 | Exon 11, deletion | 48/49 bp | Wild-type | |
| 13 | Exon 11, deletion | 21 bp | Wild-type | |
| 14 | Wild-type | Wild-type | ||
| 15 | Wild-type | Wild-type | ||
| 16 | Exon 11, deletion | 21 bp | Wild-type | |
| 17 | Wild-type | Wild-type |
Publisher’s Note: MDPI stays neutral with regard to jurisdictional claims in published maps and institutional affiliations. |
© 2022 by the authors. Licensee MDPI, Basel, Switzerland. This article is an open access article distributed under the terms and conditions of the Creative Commons Attribution (CC BY) license (https://creativecommons.org/licenses/by/4.0/).
Share and Cite
Morini, M.; Gentilini, F.; Turba, M.E.; Gobbo, F.; Mandrioli, L.; Bettini, G. Mutational Analysis of c-KIT and PDGFRA in Canine Gastrointestinal Stromal Tumors (GISTs). Vet. Sci. 2022, 9, 376. https://doi.org/10.3390/vetsci9070376
Morini M, Gentilini F, Turba ME, Gobbo F, Mandrioli L, Bettini G. Mutational Analysis of c-KIT and PDGFRA in Canine Gastrointestinal Stromal Tumors (GISTs). Veterinary Sciences. 2022; 9(7):376. https://doi.org/10.3390/vetsci9070376
Chicago/Turabian StyleMorini, Maria, Fabio Gentilini, Maria Elena Turba, Francesca Gobbo, Luciana Mandrioli, and Giuliano Bettini. 2022. "Mutational Analysis of c-KIT and PDGFRA in Canine Gastrointestinal Stromal Tumors (GISTs)" Veterinary Sciences 9, no. 7: 376. https://doi.org/10.3390/vetsci9070376
APA StyleMorini, M., Gentilini, F., Turba, M. E., Gobbo, F., Mandrioli, L., & Bettini, G. (2022). Mutational Analysis of c-KIT and PDGFRA in Canine Gastrointestinal Stromal Tumors (GISTs). Veterinary Sciences, 9(7), 376. https://doi.org/10.3390/vetsci9070376

