Bcl-2 Immunoexpression in Feline Epitheliotropic Intestinal T-Cell Lymphomas
Abstract
:1. Introduction
2. Materials and Methods
3. Results
3.1. Clinical Findings
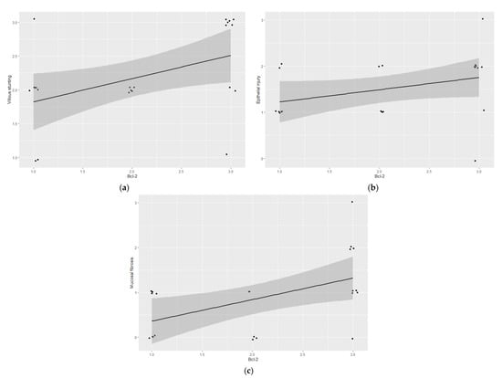
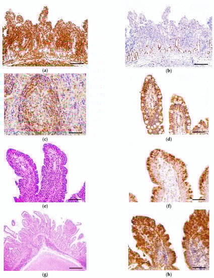
3.2. Histopathological Findings
3.3. Immunophenotyping
3.4. Bcl-2 Immunoexpression
4. Discussion
5. Conclusions
Author Contributions
Funding
Institutional Review Board Statement
Informed Consent Statement
Data Availability Statement
Acknowledgments
Conflicts of Interest
References
- Barrs, V.; Beatty, J. Feline alimentary lymphoma. J. Feline Med. Surg. 2012, 14, 182–190. [Google Scholar] [CrossRef] [PubMed]
- Moore, P.F.; Rodríguez-Bertos, A.; Kass, P.H. Feline gastrointestinal lymphoma. Vet. Pathol. 2011, 49, 658–668. [Google Scholar] [CrossRef] [PubMed] [Green Version]
- Paulin, M.V.; Couronné, L.; Beguin, J.; le Poder, S.; Delverdier, M.; Semin, M.-O.; Bruneau, J.; Cerf-Bensussan, N.; Malamut, G.; Cellier, C.; et al. Feline low-grade alimentary lymphoma: An emerging entity and a potential animal model for human disease. BMC Vet. Res. 2018, 14, 306. [Google Scholar] [CrossRef] [PubMed]
- Pohlman, L.M.; Higginbotham, M.L.; Welles, E.G.; Johnson, C.M. Immunophenotypic and histologic classification of 50 cases of feline gastrointestinal lymphoma. Vet. Pathol. 2009, 46, 259–268. [Google Scholar] [CrossRef]
- Briscoe, K.A.; Krockenberger, M.; Beatty, J.A.; Crowley, A.; Dennis, M.M.; Canfield, P.J.; Dhand, N.; Lingard, A.E.; Barrs, V.R.J. Histopathological and immunohistochemical evaluation of 53 cases of feline lymphoplasmacytic enteritis and low-grade alimentary lymphoma. J. Comp. Path. 2011, 145, 187–198. [Google Scholar] [CrossRef]
- Cesari, A.; Bettini, G.; Vezzali, E. Feline intestinal T-cell lymphoma: Assessment of morphologic and kinetic features in 30 cases. J. Vet. Diagn. Investig. 2009, 21, 277–279. [Google Scholar] [CrossRef] [Green Version]
- Lingard, A.E.; Briscoe, K.; Beatty, J.A.; Moore, A.S.; Crowley, A.M.; Krockenberger, M.; Churcher, R.K.; Canfield, P.J.; Barrs, V.R. Low-Grade alimentary lymphoma: Clinicopathological findings and response to treatment in 17 cases. J. Feline Med. Surg. 2009, 11, 692–700. [Google Scholar] [CrossRef]
- Willard, M.D. Alimentary neoplasia in geriatric dogs and cats. Vet. Clin. Small Anim. 2012, 42, 693–706. [Google Scholar] [CrossRef]
- Gieger, T. Alimentary lymphoma in cats and dogs. Vet. Clin. Small Anim. 2011, 41, 419–432. [Google Scholar] [CrossRef]
- Sabattini, S.; Bottero, E.; Turba, M.E.; Vicchi, F.; Bo, S.; Bettini, G. Differentiating feline inflammatory bowel disease from alimentary lymphoma in duodenal endoscopic biopsies. J. Small Anim. Pract. 2016, 57, 396–401. [Google Scholar] [CrossRef] [Green Version]
- Scott, K.D.; Zoran, D.L.; Mansell, J.; Norby, B.; Willard, M.D. Utility of endoscopic biopsies of the duodenum and ileum for diagnosis of inflammatory bowel disease and small cell lymphoma in cats. J. Vet. Intern. Med. 2011, 25, 1253–1257. [Google Scholar] [CrossRef] [PubMed]
- Crouse, Z.; Phillips, B.; Flory, A.; Mahoney, J.; Richter, K.; Kidd, L. Post-chemotherapy perforation in cats with discrete intermediate- or large-cell gastrointestinal lymphoma. J. Feline Med. Surg. 2017, 20, 696–703. [Google Scholar] [CrossRef] [PubMed]
- Álvarez-Lesmes, J.; Poveda, J. Primary gastrointestinal T-cell lymphomas: Concepts and diagnostic insights. Diagn. Histopathol. 2021, 27, 57–61. [Google Scholar] [CrossRef]
- Ondrejka, S.; Jagadeesh, D. Enteropathy-associated T-cell lymphoma. Curr. Hematol. Malig. Rep. 2016, 11, 504–513. [Google Scholar] [CrossRef] [PubMed]
- Tian, S.; Xiao, S.-Y.; Chen, Q.; Liu, H.; Ping, J. Monomorphic epitheliotropic intestinal T-cell lymphoma may mimic intestinal inflammatory disorders. Int. J. Immunopathol. Pharmacol. 2019, 33, 205873841982938. [Google Scholar] [CrossRef] [PubMed]
- Van Vliet, C.; Spagnolo, D.V. T- and NK-cell lymphoproliferative disorders of the gastrointestinal tract: Review and update. Pathology 2020, 52, 128–141. [Google Scholar] [CrossRef] [Green Version]
- Kiupel, M.; Smedley, R.C.; Pfent, C.; Xie, Y.; Xue, Y.; Wise, A.G.; de Vaul, J.M.; Maes, R.K. Diagnostic algorithm to differentiate lymphoma from inflammation in feline small intestinal biopsy samples. Vet. Pathol. 2010, 48, 212–222. [Google Scholar] [CrossRef] [Green Version]
- Foukas, P.G.; Bisig, B.; de Leval, L. Recent advances in upper gastrointestinal lymphomas: Molecular updates and diagnostic implications. Histopathology 2020, 78, 187–214. [Google Scholar] [CrossRef]
- Carreras, J.K.; Goldschmidt, M.; Lamb, M.; McLear, R.C.; Drobatz, K.J.; Sørenmo, K.U. Feline epitheliotropic intestinal malignant lymphoma: 10 cases (1997–2000). J. Vet. Intern. Med. 2003, 17, 326–331. [Google Scholar]
- Stein, T.J.; Pellin, M.; Steinberg, H.; Chun, R. Treatment of feline gastrointestinal small-cell lymphoma with chlorambucil and glucocorticoids. J. Am. Anim. Hosp. Assoc. 2010, 46, 413–417. [Google Scholar] [CrossRef] [Green Version]
- Wolfesberger, B.; Fuchs-Baumgartinger, A.; Greß, V.; Hammer, S.E.; Gradner, G.; Knödl, K.; Tichy, A.; Rütgen, B.C.; Beham-Schmid, C. World Health Organisation classification of lymphoid tumours in veterinary and human medicine: A comparative evaluation of gastrointestinal lymphomas in 61 cats. J. Comp. Pathol. 2018, 159, 1–10. [Google Scholar] [CrossRef] [PubMed]
- Carrasco, V.; Rodríguez-Bertos, A.; Rodríguez-Franco, F.; Wise, A.G.; Maes, R.; Mullaney, T.; Kiupel, M. Distinguishing intestinal lymphoma from inflammatory bowel disease in canine duodenal endoscopic biopsy samples. Vet. Pathol. 2014, 52, 668–675. [Google Scholar] [CrossRef] [PubMed] [Green Version]
- Freiche, V.; Paulin, M.V.; Cordonnier, N.; Huet, H.; Turba, M.E.; Macintyre, E.; Molina, T.J.; Hermine, O.; Couronné, L.; Bruneau, J. Histopathologic, phenotypic, and molecular criteria to discriminate low-grade intestinal T-cell lymphoma in cats from lymphoplasmacytic enteritis. J. Vet. Intern. Med. 2021, 35, 2673–2684. [Google Scholar] [CrossRef] [PubMed]
- Dank, G.; Lucroy, M.D.; Griffey, S.M.; Gandour-Edwards, R.; Madewell, B.R. bc1-2 and MIB-1 labeling indexes in cats with lymphoma. J. Vet. Intern. Med. 2002, 16, 720–725. [Google Scholar] [CrossRef] [PubMed]
- Henrich, M.; Bauknecht, A.; Hecht, W.; Reinacher, M. Lack of Bcl-2 expression in feline follicular lymphomas. J. Vet. Diagn. Investig. 2019, 31, 809–817. [Google Scholar] [CrossRef] [PubMed]
- Swanson, C.M.; Smedley, R.C.; Saavedra, P.V.; Kiupel, M.; Kitchell, B.E. Expression of the Bcl-2 apoptotic marker in cats diagnosed with inflammatory bowel disease and gastrointestinal lymphoma. J. Feline Med. Surg. 2012, 14, 741–745. [Google Scholar] [CrossRef]
- Travaglino, A.; Russo, D.; Varricchio, S.; Picardi, M.; Mascolo, M. Prognostic value of Bcl2 and p53 in Hodgkin lymphoma: A systematic review and meta-analysis. Pathol. Res. Pract. 2021, 219, 153370. [Google Scholar] [CrossRef]
- Sano, J.; Nagafuchi, S.; Yamazaki, J.; Oguma, K.; Kano, R.; Hasegawa, A. Effect of antineoplastic drugs on the expression of Bcl-2 and Bcl-xL genes in the feline T-cell leukemia cell line. Res. Vet. Sci. 2005, 79, 197–201. [Google Scholar] [CrossRef]
- Kano, R.; Sato, E.; Okamura, T.; Watanabe, S.; Hasegawa, A. Expression of Bcl-2 in feline lymphoma cell lines. Vet. Clin. Pathol. 2008, 37, 57–60. [Google Scholar] [CrossRef]
- Madewell, B.R.; Candour-Edwards, R.; Edwards, B.F.; Walls, J.E.; Griffey, S.M. Topographic distribution of bcl-2 protein in feline tissues in health and neoplasia. Vet. Pathol. 1999, 36, 565–573. [Google Scholar] [CrossRef] [Green Version]
- Washabau, R.J.; Day, M.J.; Willard, M.D.; Hall, E.J.; Jergens, A.E.; Mansell, J.; Minami, T.; Bilzer, T.W. Endoscopic, biopsy, and histopathologic guidelines for the evaluation of gastrointestinal inflammation in companion animals. J. Vet. Intern. Med. 2010, 24, 10–26. [Google Scholar] [PubMed]
- Carrasco, V.; Canfrán, S.; Rodríguez-Franco, F.; Benito, A.; Sáinz, A.; Rodríguez-Bertos, A. Canine Gastric Carcinoma: Immunohistochemical expression of cell cycle proteins (p53, p21, and p16) and heat shock proteins (Hsp27 and Hsp70). Vet. Pathol. 2010, 48, 322–329. [Google Scholar] [CrossRef] [PubMed]
- Freiche, V.; Cordonnier, N.; Paulin, M.V.; Huet, H.; Turba, M.E.; Macintyre, E.; Malamut, G.; Cerf-Bensussan, N.; Molina, T.J.; Hermine, O.; et al. Feline low-grade intestinal T cell lymphoma: A unique natural model of human indolent T cell lymphoproliferative disorder of the gastrointestinal tract. Lab. Investig. 2021, 101, 794–804. [Google Scholar] [CrossRef] [PubMed]
- Siddiqui, W.A.; Ahad, A.; Ahsan, H. The mystery of BCL2 family: Bcl-2 proteins and apoptosis: An update. Arch. Toxicol. 2015, 89, 289–317. [Google Scholar] [CrossRef] [PubMed]
- van der Heijden, M.; Zimberlin, C.D.; Nicholson, A.M.; Colak, S.; Kemp, R.; Meijer, S.L.; Medema, J.P.; Greten, F.R.; Jansen, M.; Winton, D.J.; et al. Bcl-2 is a critical mediator of intestinal transformation. Nat. Commun. 2016, 7, 10916. [Google Scholar] [CrossRef] [PubMed] [Green Version]
- Feng, H.; Stachura, D.L.; White, R.M.; Gutierrez, A.; Zhang, L.; Sanda, T.; Jette, C.A.; Testa, J.R.; Neuberg, D.S.; Langenau, D.M.; et al. T-lymphoblastic lymphoma cells express high levels of BCL2, S1P1, and ICAM1, leading to a blockade of tumor cell intravasation. Cancer Cell 2010, 18, 353–366. [Google Scholar] [CrossRef] [Green Version]
- Weder, B.; Mamie, C.; Rogler, G.; Clarke, S.; McRae, B.; Ruiz, P.A.; Hausmann, M. BCL2 regulates differentiation of intestinal fibroblasts. Inflamm. Bowel Dis. 2018, 24, 1953–1966. [Google Scholar] [CrossRef]


| Antibody | Dilution | Source |
|---|---|---|
| Mouse monoclonal anti-Bcl-2 | 1:100 | Dako-Agilent |
| Rabbit polyclonal anti-CD3 | 1:100 | Dako-Agilent |
| Mouse monoclonal anti-Pax5 | 1:25 | Dako-Agilent |
| Rabbit monoclonal anti-Ki-67 | 1:300 | Novus Biologicals |
| Case | Lamina Propria Pattern | Intraepithelial Distribution | Villous Stunting | Epithelial Injury | Crypt Distension | Lacteal Dilation | Mucosal Desmoplasia | Bcl-2 | Ki-67 |
|---|---|---|---|---|---|---|---|---|---|
| 1 | Patches | Plaques | 2 | 1 | 2 | 2 | 1 | 1 | 1 |
| 2 | Patches | Nests | 1 | 1 | 3 | 1 | 0 | 1 | 1 |
| 3 | Patches | Nests | 2 | 1 | 2 | 3 | 1 | 2 | 1 |
| 4 | Band | Nests | 2 | 1 | 1 | 0 | 0 | 3 | 1 |
| 5 | Band | Plaques | 3 | 3 | 2 | 2 | 3 | 3 | 2 |
| 6 | Patches | Nests | 2 | 1 | 2 | 2 | 0 | 1 | 2 |
| 7 | Band | Plaques | 3 | 2 | 2 | 3 | 2 | 3 | 1 |
| 8 | Obliteration | Plaques | 1 | 0 | 1 | 1 | 1 | 3 | 2 |
| 9 | Patches | Plaques | 2 | 1 | 0 | 1 | 0 | 2 | 1 |
| 10 | Obliteration | Plaques | 2 | 1 | 2 | 2 | 1 | 1 | 1 |
| 11 | Obliteration | Plaques | 2 | 2 | 2 | 1 | 2 | 3 | 1 |
| 12 | Obliteration | Plaques | 3 | 2 | 2 | 3 | 2 | 3 | 1 |
| 13 | Obliteration | Plaques | 2 | 2 | 1 | 1 | 1 | 2 | 1 |
| 14 | Obliteration | Plaques | 3 | 2 | 2 | 2 | 1 | 3 | 2 |
| 15 | Obliteration | Plaques | 3 | 2 | 1 | 0 | 1 | 3 | 2 |
| 16 | Band | Plaques | 2 | 2 | 0 | 0 | 0 | 1 | 1 |
| 17 | Band | Plaques | 1 | 1 | 1 | 1 | 0 | 1 | 1 |
| 18 | Obliteration | Plaques | 2 | 1 | 1 | 1 | 1 | 1 | 1 |
| 19 | Obliteration | Plaques | 3 | 2 | 2 | 2 | 1 | 1 | 1 |
| 20 | Band | Plaques | 2 | 1 | 1 | 1 | 0 | 2 | 1 |
| 21 | Obliteration | Plaques | 3 | 2 | 3 | 2 | 1 | 3 | 1 |
| 22 | Obliteration | Plaques | 2 | 2 | 1 | 3 | 0 | 2 | 1 |
Publisher’s Note: MDPI stays neutral with regard to jurisdictional claims in published maps and institutional affiliations. |
© 2022 by the authors. Licensee MDPI, Basel, Switzerland. This article is an open access article distributed under the terms and conditions of the Creative Commons Attribution (CC BY) license (https://creativecommons.org/licenses/by/4.0/).
Share and Cite
Rebollada-Merino, A.; Porras, N.; Calvo-Ibbitson, A.; Rodríguez-Franco, F.; Rodríguez-Bertos, A. Bcl-2 Immunoexpression in Feline Epitheliotropic Intestinal T-Cell Lymphomas. Vet. Sci. 2022, 9, 168. https://doi.org/10.3390/vetsci9040168
Rebollada-Merino A, Porras N, Calvo-Ibbitson A, Rodríguez-Franco F, Rodríguez-Bertos A. Bcl-2 Immunoexpression in Feline Epitheliotropic Intestinal T-Cell Lymphomas. Veterinary Sciences. 2022; 9(4):168. https://doi.org/10.3390/vetsci9040168
Chicago/Turabian StyleRebollada-Merino, Agustín, Néstor Porras, Andrés Calvo-Ibbitson, Fernando Rodríguez-Franco, and Antonio Rodríguez-Bertos. 2022. "Bcl-2 Immunoexpression in Feline Epitheliotropic Intestinal T-Cell Lymphomas" Veterinary Sciences 9, no. 4: 168. https://doi.org/10.3390/vetsci9040168
APA StyleRebollada-Merino, A., Porras, N., Calvo-Ibbitson, A., Rodríguez-Franco, F., & Rodríguez-Bertos, A. (2022). Bcl-2 Immunoexpression in Feline Epitheliotropic Intestinal T-Cell Lymphomas. Veterinary Sciences, 9(4), 168. https://doi.org/10.3390/vetsci9040168

