Local Hemodynamic Changes Immediately after Correction of an Aberrant Right Subclavian Artery in a Dog: A Contrast Computed Tomographic Study
Abstract
1. Introduction
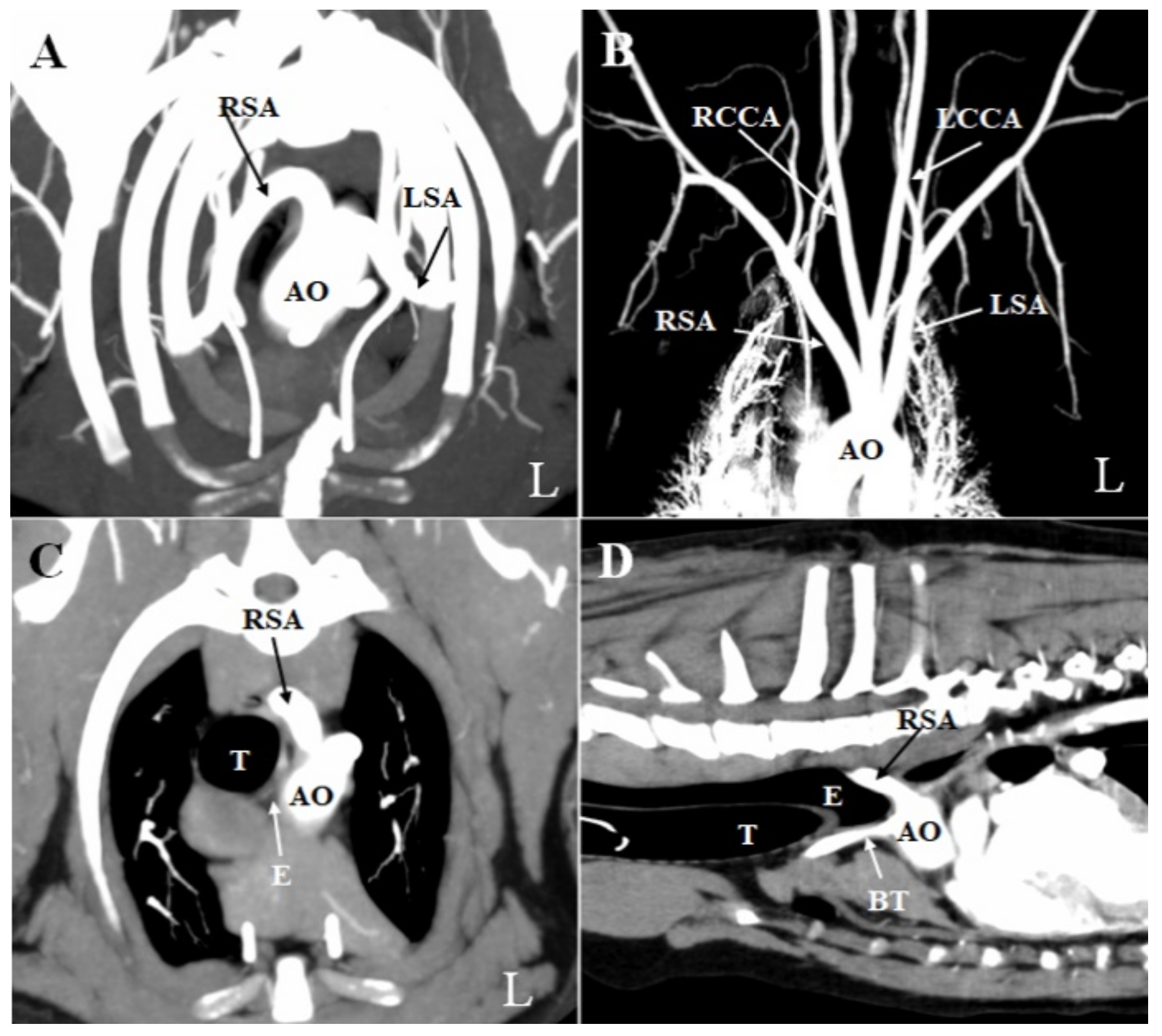
2. Case Presentation
3. Discussion
Author Contributions
Funding
Institutional Review Board Statement
Informed Consent Statement
Data Availability Statement
Conflicts of Interest
References
- Dekleer, V.S. An anomalous origin of the right subclavian artery in the dog. Br. Vet. J. 1971, 127, 76–82. [Google Scholar] [CrossRef]
- Tsukise, A.; Sugawa, Y.; Okano, M. Two anomalous cases of the right subclavian artery arising directly from the aortic arch in dogs. Jpn. J. Vet. Sci. 1972, 34, 11–15. [Google Scholar] [CrossRef] [PubMed]
- Bezuidenhout, A.J. Anomalous origins of the right subclavian and common carotid arteries in the dog. J. S. Afr. Vet. Assoc. 1989, 60, 215–218. [Google Scholar] [PubMed]
- Griffiths, D. Three cases of aberrant right subclavian artery in the dog. Acta Vet. Scand. 1989, 30, 355–357. [Google Scholar] [CrossRef] [PubMed]
- Park, J.; Oh, T.; Lee, K.; Jang, K.; Ha, D.; Eom, K. A case of aberrant right subclavian artery in a dog. J. Vet. Clin. 2005, 22, 281–283. [Google Scholar]
- Yoon, H.Y.; Jeong, S.W. Surgical correction of an aberrant right subclavian artery in a dog. Can. Vet. J. 2011, 52, 1115–1118. [Google Scholar] [PubMed]
- Miller, R.; Wilson, C.; Wray, J.; Jakovljevic, S.; Tappin, S. Adult-onset regurgitation in a dog with an aberrant right subclavian artery: A CT angiographic study. Vet. Rec. Case Rep. 2015, 3, e000138. [Google Scholar] [CrossRef]
- Yoon, H.; Kim, J.; Kwon, G.B.; Lim, J.H.; Eom, K. Imaging diagnosis-computed tomographic angiography characteristics of multiple vascular anomalies in a senior dog with late-onset regurgitation. Vet. Radiol. Ultrasound 2018, 59, E44–E49. [Google Scholar] [CrossRef] [PubMed]
- Sebastian-Marcos, P.; Fonfara, S.; Borgeat, K.; Warren-Smith, C.; Casamian-Sorrosal, D. Anatomical anomalies and variations of main thoracic vessels in dogs: A computed tomography study. J. Vet. Cardiol. 2019, 21, 57–66. [Google Scholar] [CrossRef] [PubMed]
- Christiansen, K.J.; Snyder, D.; Buchanan, J.W.; Holt, D.E. Multiple vascular anomalies in a regurgitating German shepherd puppy. J. Small Anim. Pract. 2007, 48, 32–35. [Google Scholar] [CrossRef] [PubMed]
- Kyles, A.W. Esophagus. In Textbook of Small Animal Surgery, 3rd ed.; Slatter, D., Ed.; Saunders: St. Louis, MO, USA, 2003; pp. 573–591. [Google Scholar]
- Wood, R.J.; Walmsley, A.J. Subclavian artery stenosis and blood pressure control. Anaesthesia 2006, 61, 409–410. [Google Scholar] [CrossRef] [PubMed]
- Osiro, S.; Zurada, A.; Gielecki, J.; Shoja, M.M.; Tubbs, R.S.; Loukas, M. A review of subclavian steal syndrome with clinical correlation. Med. Sci. Monit. 2012, 18, RA57–RA63. [Google Scholar] [CrossRef] [PubMed]
- Reivich, M.; Holling, H.E.; Roberts, B.; Toole, J.F. Reversal of blood flow through the vertebral artery and its effect on cerebral circulation. N. Engl. J. Med. 1961, 265, 878–885. [Google Scholar] [CrossRef] [PubMed]
- Westworth, D.R.; Vernau, K.M.; Cullen, S.P.; Long, C.D.; Van Halbach, V.; LeCouteur, R.A. Vascular anomaly causing subclavian steal and cervical myelopathy in a dog: Diagnosis and endovascular management. Vet. Radiol. Ultrasound 2006, 47, 265–269. [Google Scholar] [CrossRef] [PubMed]
- Kim, J.; Eom, K.; Yoon, H. Computed tomography angiography reveals stenosis and aneurysmal dilation of an aberrant right subclavian artery causing systemic blood pressure misreading in an old Pekinese dog. J. Vet. Med. Sci. 2017, 79, 1052–1055. [Google Scholar] [CrossRef] [PubMed][Green Version]




Publisher’s Note: MDPI stays neutral with regard to jurisdictional claims in published maps and institutional affiliations. |
© 2021 by the authors. Licensee MDPI, Basel, Switzerland. This article is an open access article distributed under the terms and conditions of the Creative Commons Attribution (CC BY) license (https://creativecommons.org/licenses/by/4.0/).
Share and Cite
Mochizuki, Y.; Mikawa, S.; Kutara, K.; Sugimoto, K.; Sakoya, H.; Ohnishi, A.; Saeki, K.; Shimizu, Y.; Kanda, T.; Asanuma, T. Local Hemodynamic Changes Immediately after Correction of an Aberrant Right Subclavian Artery in a Dog: A Contrast Computed Tomographic Study. Vet. Sci. 2021, 8, 104. https://doi.org/10.3390/vetsci8060104
Mochizuki Y, Mikawa S, Kutara K, Sugimoto K, Sakoya H, Ohnishi A, Saeki K, Shimizu Y, Kanda T, Asanuma T. Local Hemodynamic Changes Immediately after Correction of an Aberrant Right Subclavian Artery in a Dog: A Contrast Computed Tomographic Study. Veterinary Sciences. 2021; 8(6):104. https://doi.org/10.3390/vetsci8060104
Chicago/Turabian StyleMochizuki, Yohei, Shoma Mikawa, Kenji Kutara, Keisuke Sugimoto, Hirosei Sakoya, Akihiro Ohnishi, Kanna Saeki, Yuki Shimizu, Teppei Kanda, and Taketoshi Asanuma. 2021. "Local Hemodynamic Changes Immediately after Correction of an Aberrant Right Subclavian Artery in a Dog: A Contrast Computed Tomographic Study" Veterinary Sciences 8, no. 6: 104. https://doi.org/10.3390/vetsci8060104
APA StyleMochizuki, Y., Mikawa, S., Kutara, K., Sugimoto, K., Sakoya, H., Ohnishi, A., Saeki, K., Shimizu, Y., Kanda, T., & Asanuma, T. (2021). Local Hemodynamic Changes Immediately after Correction of an Aberrant Right Subclavian Artery in a Dog: A Contrast Computed Tomographic Study. Veterinary Sciences, 8(6), 104. https://doi.org/10.3390/vetsci8060104

