Immunophenotyping of an Unusual Mixed-Type Extraskeletal Osteosarcoma in a Dog
Abstract
:1. Introduction
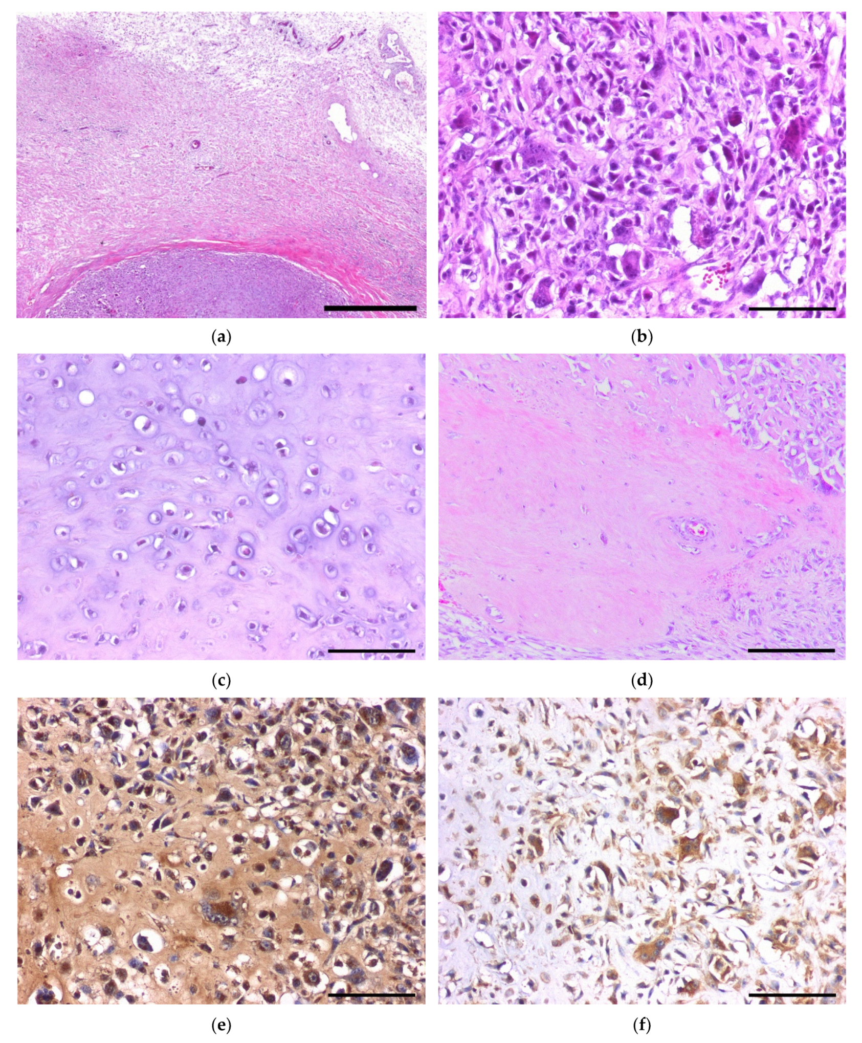
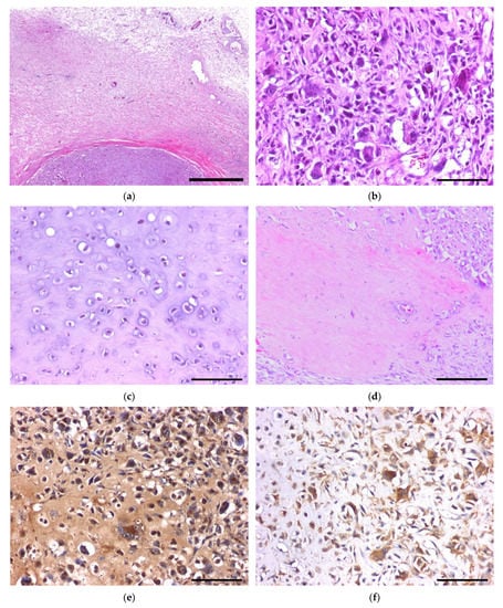
2. Case Presentation
3. Discussion
4. Conclusions
Supplementary Materials
Author Contributions
Funding
Institutional Review Board Statement
Informed Consent Statement
Data Availability Statement
Conflicts of Interest
References
- WHO Classification of Tumours Editorial Board (Ed.) Soft Tissue and Bone Tumours, 5th ed.; International Agency for Research on Cancer: Lyon, France, 2020. [Google Scholar]
- Rickel, K.; Fang, F.; Tao, J. Molecular genetics of osteosarcoma. Bone 2017, 102, 69–79. [Google Scholar] [CrossRef]
- Xin, S.; Wei, G. Prognostic factors in osteosarcoma: A study level meta-analysis and systematic review of current practice. J. Bone Oncol. 2020, 21, 100281. [Google Scholar] [CrossRef]
- Salas, S.; de Pinieux, G.; Gomez-Brouchet, A.; Larrousserie, F.; Leroy, X.; Aubert, S.; Decouvelaere, A.V.; Giorgi, R.; Fernandez, C.; Bouvier, C. Ezrin immunohistochemical expression in cartilaginous tumours: A useful tool for differential diagnosis between chondroblastic osteosarcoma and chondrosarcoma. Virchows Arch. 2009, 454, 81–87. [Google Scholar] [CrossRef]
- Gomez-Brouchet, A.; Mourcin, F.; Gourraud, P.A.; Bouvier, C.; De Pinieux, G.; Le Guelec, S.; Brousset, P.; Delisle, M.B.; Schiff, C. Galectin-1 is a powerful marker to distinguish chondroblastic osteosarcoma and conventional chondrosarcoma. Hum. Pathol. 2010, 41, 1220–1230. [Google Scholar] [CrossRef] [PubMed]
- Machado, I.; Guerrero, J.A.L.; Navarro, S.; Mayordomo, E.; Scotlandi, K.; Picci, P.; Llombart-Bosch, A. Galectin-1 (GAL-1) expression is a useful tool to differentiate between small cell osteosarcoma and Ewing sarcoma. Virchows Arch. 2013, 462, 665–671. [Google Scholar] [CrossRef]
- Wehrle-Martinez, A.S.; Dittmer, K.E.; Aberdein, D.; Thompson, K.G. Osteocalcin and Osteonectin Expression in Canine Osteosarcoma. Vet. Pathol. 2016, 53, 781–787. [Google Scholar] [CrossRef] [PubMed] [Green Version]
- Kallen, M.E.; Sanders, M.E.; Gonzalez, A.L.; Black, J.O.; Keedy, V.L.; Hande, K.R.; Homlar, K.C.; Halpern, J.L.; Holt, G.E.; Schwartz, H.S.; et al. Nuclear p63 expression in osteoblastic tumors. Tumour Biol. 2012, 33, 1639–1644. [Google Scholar] [CrossRef]
- Qu, L.; Liu, B. Cyclooxygeanse-2 promotes metastasis in osteosarcoma. Cancer Cell Int. 2015, 15, 69. [Google Scholar] [CrossRef] [PubMed] [Green Version]
- Rodriguez, N.I.; Hoots, W.K.; Koshkina, N.V.; Morales-Arias, J.A.; Arndt, C.A.; Inwards, C.Y.; Hawkins, D.S.; Munsell, M.F.; Kleinerman, E.S. COX-2 expression correlates with survival in patients with osteosarcoma lung metastases. J. Pediatr. Hematol. Oncol. 2008, 30, 507–512. [Google Scholar] [CrossRef] [Green Version]
- Salas, S.; Bartoli, C.; Deville, J.L.; Gaudart, J.; Fina, F.; Calisti, A.; Bollini, G.; Curvale, G.; Gentet, J.C.; Duffaud, F.; et al. Ezrin and alpha-smooth muscle actin are immunohistochemical prognostic markers in conventional osteosarcomas. Virchows Arch. 2007, 451, 999–1007. [Google Scholar] [CrossRef]
- Khanna, C.; Wan, X.; Bose, S.; Cassaday, R.; Olomu, O.; Mendoza, A.; Yeung, C.; Gorlick, R.; Hewitt, S.M.; Helman, L.J. The membrane-cytoskeleton linker ezrin is necessary for osteosarcoma metastasis. Nat. Med. 2004, 10, 182–186. [Google Scholar] [CrossRef]
- Ferrari, S.; Zanella, L.; Alberghini, M.; Palmerini, E.; Staals, E.; Bacchini, P. Prognostic significance of immunohistochemical expression of ezrin in nonmetastatic high-grade osteosarcoma. Pediatr. Blood Cancer 2008, 50, 752–756. [Google Scholar] [CrossRef]
- Shimizu, T.; Ishikawa, T.; Iwai, S.; Ueki, A.; Sugihara, E.; Onishi, N.; Kuninaka, S.; Miyamoto, T.; Toyama, Y.; Ijiri, H.; et al. Fibroblast growth factor-2 is an important factor that maintains cellular immaturity and contributes to aggressiveness of osteosarcoma. Mol. Cancer Res. 2012, 10, 454–468. [Google Scholar] [CrossRef] [PubMed] [Green Version]
- Chen, P.; Wang, S.J.; Wang, H.B.; Ren, P.; Wang, X.Q.; Liu, W.G.; Gu, W.L.; Li, D.Q.; Zhang, T.G.; Zhou, C.J. The distribution of IGF2 and IMP3 in osteosarcoma and its relationship with angiogenesis. J. Mol. Histol. 2012, 43, 63–70. [Google Scholar] [CrossRef]
- Won, K.Y.; Park, H.R.; Park, Y.K. Prognostic implication of immunohistochemical Runx2 expression in osteosarcoma. Tumori J. 2009, 95, 311–316. [Google Scholar] [CrossRef]
- Zhu, H.; Tang, J.; Tang, M.; Cai, H. Upregulation of SOX9 in osteosarcoma and its association with tumor progression and patients’ prognosis. Diagn. Pathol. 2013, 8, 183. [Google Scholar] [CrossRef] [Green Version]
- Kaya, M.; Wada, T.; Akatsuka, T.; Kawaguchi, S.; Nagoya, S.; Shindoh, M.; Higashino, F.; Mezawa, F.; Okada, F.; Ishii, S. Vascular endothelial growth factor expression in untreated osteosarcoma is predictive of pulmonary metastasis and poor prognosis. Clin. Cancer Res. 2000, 6, 572–577. [Google Scholar] [PubMed]
- de Pinieux, G.; Gomez-Brouchet, A.; Bouvier, C. Markers for bone sarcomas. In Bone Cancer; Academic Press: Cambridge, MA, USA, 2015; pp. 273–285. [Google Scholar] [CrossRef]
- Wadhwa, N. Osteosarcoma: Diagnostic dilemmas in histopathology and prognostic factors. Indian J. Orthop. 2014, 48, 247–254. [Google Scholar] [CrossRef]
- Evola, F.R.; Costarella, L.; Pavone, V.; Caff, G.; Cannavo, L.; Sessa, A.; Avondo, S.; Sessa, G. Biomarkers of Osteosarcoma, Chondrosarcoma, and Ewing Sarcoma. Front. Pharmacol. 2017, 8, 150. [Google Scholar] [CrossRef] [Green Version]
- Langenbach, A.; Anderson, M.A.; Dambach, D.M.; Sorenmo, K.U.; Shofer, F.D. Extraskeletal osteosarcomas in dogs: A retrospective study of 169 cases (1986–1996). J. Am. Anim. Hosp. Assoc. 1998, 34, 113–120. [Google Scholar] [CrossRef] [PubMed]
- Patnaik, A.K. Canine extraskeletal osteosarcoma and chondrosarcoma: A clinicopathologic study of 14 cases. Vet. Pathol. 1990, 27, 46–55. [Google Scholar] [CrossRef]
- Fox, C.; Husain, Z.S.; Shah, M.B.; Lucas, D.R.; Saleh, H.A. Chondroblastic Osteosarcoma of the Cuboid: A Literature Review and Report of a Rare Case. J. Foot Ankle Surg. 2009, 48, 388–393. [Google Scholar] [CrossRef]
- Meuten, D.J. Tumors in Domestic Animals, 5th ed.; John Wiley & Sons, Inc.: Ames, IA, USA, 2017. [Google Scholar]
- Thomsen, B.V.; Myers, R.K. Extraskeletal osteosarcoma of the mandibular salivary gland in a dog. Vet. Pathol. 1999, 36, 71–73. [Google Scholar] [CrossRef] [PubMed] [Green Version]
- da Costa, C.E.; Annels, N.E.; Faaij, C.M.; Forsyth, R.G.; Hogendoorn, P.C.; Egeler, R.M. Presence of osteoclast-like multinucleated giant cells in the bone and nonostotic lesions of Langerhans cell histiocytosis. J. Exp. Med. 2005, 201, 687–693. [Google Scholar] [CrossRef] [PubMed] [Green Version]
- Maxie, M.G. Jubb, Kennedy & Palmer’s Pathology of Domestic Animals, 6th ed.; Elsevier: St. Louis, MO, USA, 2016; Volume 1. [Google Scholar]
- Al-Maawi, S.; Orlowska, A.; Sader, R.; Kirkpatrick, C.J.; Ghanaati, S. In vivo cellular reactions to different biomaterials-Physiological and pathological aspects and their consequences. Semin. Immunol. 2017, 29, 49–61. [Google Scholar] [CrossRef]
- Zreik, R.T.; Meyer, R.G.; Jenkins, R.B.; Norambuena, G.A.; Fritchie, K.J. A Rare Pediatric Example of Subcutaneous Extraskeletal Osteosarcoma: A Case Report and Review of the Morphologic Differential Diagnosis. Am. J. Dermatopathol. 2016, 38, e44–e48. [Google Scholar] [CrossRef] [PubMed]
- Seung, B.; Ju, J.; Cho, S.; Kim, S.; Choi, H.; Sur, J. Extraskeletal chondroblastic osteosarcoma of the subcutaneous tissue in a Maltese dog. Turk. J. Vet. Anim. Sci. 2017, 41, 798–801. [Google Scholar] [CrossRef]
- Salamanca, J.; Dhimes, P.; Pinedo, F.; de la Fuente, E.G.; Espejo, G.P.; Martinez-Tello, F.J. Extraskeletal cutaneous chondroblastic osteosarcoma: A case report. J. Cutan. Pathol. 2008, 35, 231–235. [Google Scholar] [CrossRef] [PubMed]
- Arora, K.; Riddle, N.D. Extraskeletal Mesenchymal Chondrosarcoma. Arch. Pathol. Lab. Med. 2018, 142, 1421–1424. [Google Scholar] [CrossRef]
- Hoch, B.L.; Garcia, R.A.; Smalberger, G.J. Chondroid tenosynovial giant cell tumor: A clinicopathological and immunohistochemical analysis of 5 new cases. Int. J. Surg. Pathol. 2011, 19, 180–187. [Google Scholar] [CrossRef]
- Do, I.; Ryu, K.N.; Han, C.S.; Park, Y.-K. Giant cell tumor with an unusual cartilage matrix. Korean J. Pathol. 2005, 39, 269–272. [Google Scholar]
- Selmic, L.E.; Griffin, L.R.; Rector, M.H.; Lafferty, M.; Pool, R.; Ehrhart, N.P. Treatment of extraskeletal osteosarcoma at a previous injection site resulting in prolonged survival in 1 dog. Can. Vet. J. 2016, 57, 950–954. [Google Scholar] [PubMed]
- Slovak, J.E.; Kieves, N.R.; Haynes, J. Extraskeletal Osteosarcoma Induced by a Foreign Body Granuloma. J. Am. Anim. Hosp. Assoc. 2015, 51, 315–319. [Google Scholar] [CrossRef]
- Duffy, D.; Selmic, L.E.; Kendall, A.R.; Powers, B.E. Outcome following treatment of soft tissue and visceral extraskeletal osteosarcoma in 33 dogs: 2008–2013. Vet. Comp. Oncol. 2017, 15, 46–54. [Google Scholar] [CrossRef] [PubMed]
- Tanaka, K.; Hasegawa, T.; Nojima, T.; Oda, Y.; Mizusawa, J.; Fukuda, H.; Iwamoto, Y. Prospective evaluation of Ki-67 system in histological grading of soft tissue sarcomas in the Japan Clinical Oncology Group Study JCOG0304. World J. Surg. Oncol. 2016, 14, 110. [Google Scholar] [CrossRef] [Green Version]
- Xie, L.; Ji, T.; Guo, W. Anti-angiogenesis target therapy for advanced osteosarcoma (Review). Oncol. Rep. 2017, 38, 625–636. [Google Scholar] [CrossRef] [PubMed] [Green Version]
- Jiang, H.; Hegde, S.; DeNardo, D.G. Tumor-associated fibrosis as a regulator of tumor immunity and response to immunotherapy. Cancer Immunol. Immunother. 2017, 66, 1037–1048. [Google Scholar] [CrossRef]
- Gomez-Leduc, T.; Desance, M.; Hervieu, M.; Legendre, F.; Ollitrault, D.; de Vienne, C.; Herlicoviez, M.; Galera, P.; Demoor, M. Hypoxia Is a Critical Parameter for Chondrogenic Differentiation of Human Umbilical Cord Blood Mesenchymal Stem Cells in Type I/III Collagen Sponges. Int. J. Mol. Sci. 2017, 18, 1933. [Google Scholar] [CrossRef]
- Bielenberg, D.R.; Zetter, B.R. The Contribution of Angiogenesis to the Process of Metastasis. Cancer J. 2015, 21, 267–273. [Google Scholar] [CrossRef] [Green Version]
- Misaghi, A.; Goldin, A.; Awad, M.; Kulidjian, A.A. Osteosarcoma: A comprehensive review. SICOT J. 2018, 4, 12. [Google Scholar] [CrossRef] [Green Version]
- Lindsey, B.A.; Markel, J.E.; Kleinerman, E.S. Osteosarcoma Overview. Rheumatol. Ther. 2017, 4, 25–43. [Google Scholar] [CrossRef] [PubMed] [Green Version]
- Krzyszczyk, P.; Acevedo, A.; Davidoff, E.J.; Timmins, L.M.; Marrero-Berrios, I.; Patel, M.; White, C.; Lowe, C.; Sherba, J.J.; Hartmanshenn, C.; et al. The growing role of precision and personalized medicine for cancer treatment. Technology 2018, 6, 79–100. [Google Scholar] [CrossRef] [PubMed] [Green Version]


| Protein | Marker | Potential Role | Mesenchymal Cells | MGCs | Chondrocyte |
|---|---|---|---|---|---|
| Vimentin | Diagnostic | Mesenchymal | +++ | +++ | +++ |
| Pan-cytokeratin | Epithelial | +/− | +/− | ++ | |
| RANKL | Osteogenic | ++ | +++ | +++ | |
| CRLR | Osteogenic | + | ++ | +++ | |
| Collagen 2 | Chondrogenic | + | +++ | +++ | |
| S100 | Chondrogenic | + | + | + | |
| α-SMA | Myogenic | +/− | +/− | +/− | |
| CD34 | Angiogenic | − | − | − | |
| Ki-67 | Prognostic | Proliferation | ++/− | +++/− | +/− |
| FGF-2 | Proliferation | +++ | +++ | +++ | |
| RUNX2 | Metastasis | +++ | +++ | +++ | |
| Ezrin | Metastasis | +++ | +++ | ++ | |
| SOX9 | Metastasis | + | +++ | +++ | |
| COX-2 | Metastasis Angiogenesis | +/− | +++/− | ++ | |
| VEGF | Angiogenesis | − | − | − | |
| IGF2 | Angiogenesis | − | − | − |
Publisher’s Note: MDPI stays neutral with regard to jurisdictional claims in published maps and institutional affiliations. |
© 2021 by the authors. Licensee MDPI, Basel, Switzerland. This article is an open access article distributed under the terms and conditions of the Creative Commons Attribution (CC BY) license (https://creativecommons.org/licenses/by/4.0/).
Share and Cite
Kim, H.-S.; Kim, H.-J.; Hwang, H.-J.; Ahn, J.-H.; Do, S.-H. Immunophenotyping of an Unusual Mixed-Type Extraskeletal Osteosarcoma in a Dog. Vet. Sci. 2021, 8, 307. https://doi.org/10.3390/vetsci8120307
Kim H-S, Kim H-J, Hwang H-J, Ahn J-H, Do S-H. Immunophenotyping of an Unusual Mixed-Type Extraskeletal Osteosarcoma in a Dog. Veterinary Sciences. 2021; 8(12):307. https://doi.org/10.3390/vetsci8120307
Chicago/Turabian StyleKim, Hyo-Sung, Han-Jun Kim, Hyun-Jeong Hwang, Jong-Hyun Ahn, and Sun-Hee Do. 2021. "Immunophenotyping of an Unusual Mixed-Type Extraskeletal Osteosarcoma in a Dog" Veterinary Sciences 8, no. 12: 307. https://doi.org/10.3390/vetsci8120307
APA StyleKim, H.-S., Kim, H.-J., Hwang, H.-J., Ahn, J.-H., & Do, S.-H. (2021). Immunophenotyping of an Unusual Mixed-Type Extraskeletal Osteosarcoma in a Dog. Veterinary Sciences, 8(12), 307. https://doi.org/10.3390/vetsci8120307

