Exploring the Combined Effect of Bm86 and Subolesin Polypeptide Vaccines in Cattle Naturally Infested with Rhipicephalus microplus
Simple Summary
Abstract
1. Introduction
2. Materials and Methods
2.1. Study Location and Animals
2.2. Antigen Production and Vaccine Formulation
2.3. Immunization Trial
2.4. Tick Data Collection and Evaluation
2.5. ELISA Antibody Serology
2.6. Detection of Native Protein in R. microplus Tissues by Western Blot
2.7. Tick Capillary Feeding
2.8. Environmental Data Collection
2.9. Statistical Analysis
3. Results
3.1. Effect of Immunization on Biological Parameters of R. microplus Ticks
3.2. Immune Response
3.3. Correlation Between IgG Antibody Levels and Tick Infestation
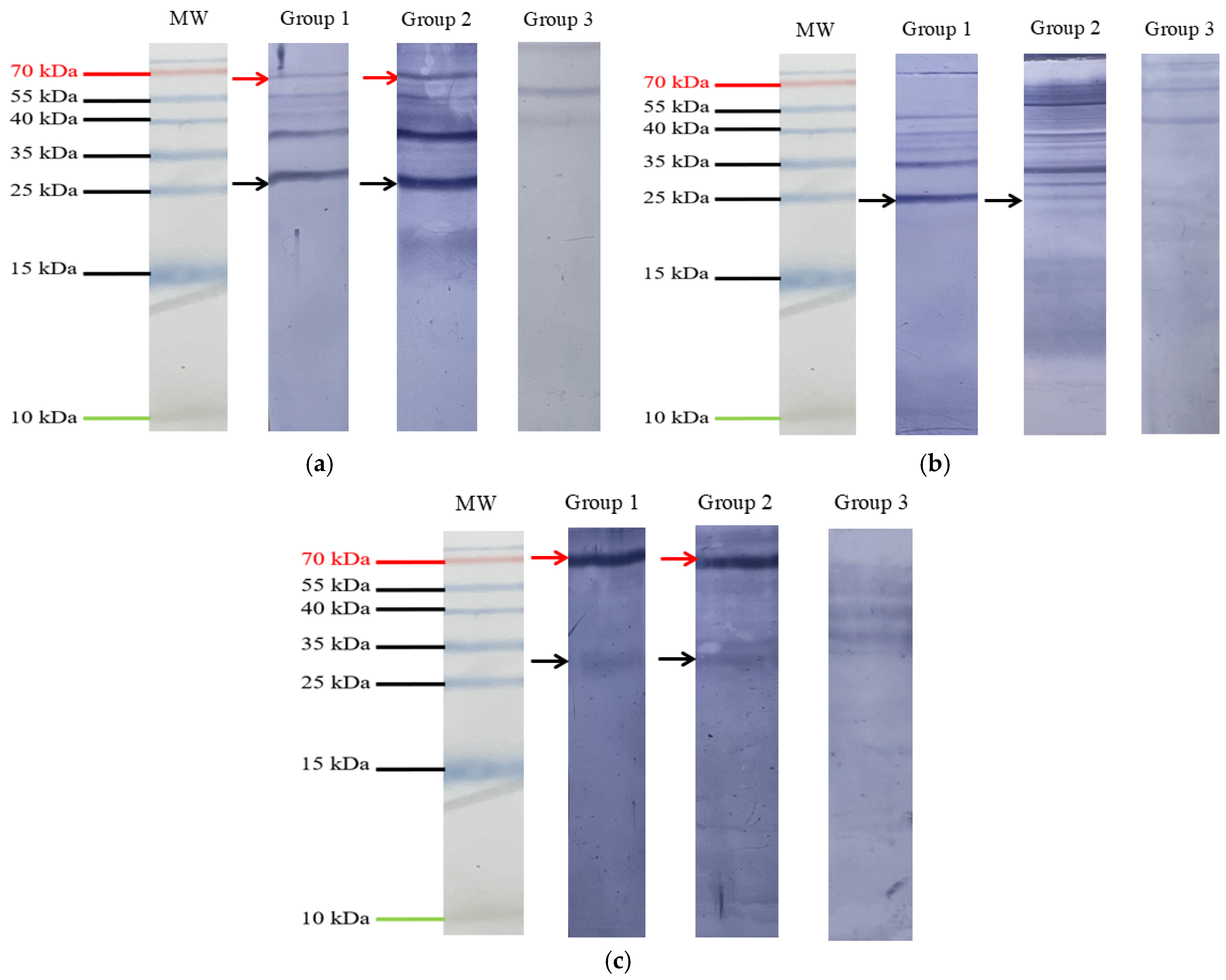
3.4. Western Blot Analysis
3.5. Effect of Anti-pBm86 and Anti-pSubolesin Antibodies on Tick Weight and Oviposition In Vitro
3.6. Environmental Factors and Correlation with Tick Infestation
4. Discussion
5. Conclusions
Supplementary Materials
Author Contributions
Funding
Institutional Review Board Statement
Informed Consent Statement
Data Availability Statement
Acknowledgments
Conflicts of Interest
Abbreviations
| ITM | Integrated tick management |
| masl | Meters above sea level |
| CEIEGT | Center for Teaching, Research and Extension in Tropical Livestock |
| FMVZ | Faculty of Veterinary Medicine and Zootechnics |
| UNAM | National Autonomous University of Mexico |
| PBS | Phosphate-buffered saline |
| ELISA | Enzyme-linked immunosorbent assay |
| Tw | Tween 20 |
| OD | Optical density |
| AP | Alkaline phosphatase |
| SDS-PAGE | Sodium dodecyl sulfate–polyacrylamide gel electrophoresis |
| PVDF | Polyvinylidene fluoride |
| BCIP/NBT | 5-bromo-4-chloro-3-indolyl-phosphate/nitro blue tetrazolium |
| CENID-SAI | Centro Nacional de Investigación Disciplinaria en Salud Animal e Inocuidad |
| INIFAP | Instituto Nacional de Investigaciones Forestales, Agrícolas y Pecuarias |
| SD | Standard deviation |
| CI | Confidence interval |
| MHC II | Major histocompatibility complex class II |
| APC | Antigen-presenting cell |
| BCRs | B-cell receptors |
References
- Lagunes-Quintanilla, R.; Gómez-Romero, N.; Mendoza-Martínez, N.; Castro-Saines, E.; Galván-Arellano, D.; Basurto-Alcantara, F.J. Perspectives on using integrated tick management to control Rhipicephalus microplus in a tropical region of Mexico. Front. Vet. Sci. 2024, 11, 1497840. [Google Scholar] [CrossRef]
- Nicaretta, J.E.; Zapa, D.M.B.; Couto, L.F.M.; Heller, L.M.; de Assis-Cavalcante, A.S.; Cruvinel, L.B.; de Melo Júnior, R.D.; Lopes Ferreira, L.; do Nascimento, R.M.; Soares, V.E.; et al. Rhipicephalus microplus seasonal dynamic in a Cerrado biome, Brazil: An update data considering the global warming. Vet. Parasitol. 2021, 296, 109506. [Google Scholar] [CrossRef]
- Lew-Tabor, A.E.; Rodriguez Valle, M. A review of reverse vaccinology approaches for the development of vaccines against ticks and tick borne diseases. Ticks Tick Borne Dis. 2016, 7, 573–585. [Google Scholar] [CrossRef]
- Dzemo, W.D.; Thekisoe, O.; Vudriko, P. Development of acaricide resistance in tick populations of cattle: A systematic review and meta-analysis. Heliyon 2022, 8, e08718. [Google Scholar] [CrossRef]
- García-García, J.C.; Gonzalez, I.L.; González, D.M.; Valdés, M.; Méndez, L.; Lamberti, J.; D’Agostino, B.; Citroni, D.; Fragoso, H.; Ortiz, M.; et al. Sequence variations in the Boophilus microplus Bm86 locus and implications for immunoprotection in cattle vaccinated with this antigen. Exp. Appl. Acarol. 1999, 23, 883–895. [Google Scholar] [CrossRef]
- Bishop, L.J.; Stutzer, C.; Maritz-Olivier, C. More than three decades of Bm86: What we know and where to go. Pathogens 2023, 12, 1071. [Google Scholar] [CrossRef]
- Abbas, M.N.; Jmel, M.A.; Mekki, I.; Dijkgraaf, I.; Kotsyfakis, M. Recent advances in tick antigen discovery and anti-tick vaccine development. Int. J. Mol. Sci. 2023, 24, 4969. [Google Scholar] [CrossRef] [PubMed]
- Artigas-Jerónimo, S.; Villar, M.; Cabezas-Cruz, A.; Valdés, J.J.; Estrada-Peña, A.; Alberdi, P.; de la Fuente, J. Functional evolution of Subolesin/Akirin. Front. Physiol. 2018, 9, 1612. [Google Scholar] [CrossRef] [PubMed]
- de la Fuente, J.; Almazán, C.; Kocan, K.M. Subolesin: A 20-Year Path from Discovery to an Effective Tick Vaccine. Expert Rev. Vaccines 2025, 24, 412–415. [Google Scholar] [CrossRef] [PubMed]
- Merino, O.; Antunes, S.; Mosqueda, J.; Moreno-Cid, J.A.; Pérez de la Lastra, J.M.; Rosario-Cruz, R.; Rodríguez, S.; Domingos, A.; de la Fuente, J. Vaccination with proteins involved in tick pathogen interactions reduces vector infestations and pathogen infection. Vaccine 2013, 31, 5889–5896. [Google Scholar] [CrossRef]
- Mendoza-Martínez, N.; Alonso-Díaz, M.A.; Merino, O.; Fernández-Salas, A.; Lagunes-Quintanilla, R. Protective efficacy of the peptide Subolesin antigen against the cattle tick Rhipicephalus microplus under natural infestation. Vet. Parasitol. 2021, 299, 109577. [Google Scholar] [CrossRef]
- Kabi, F.; Contreras, M.; Semakula, J.; Sánchez-Sánchez, M.; Muñoz-Hernández, C.; Mugerwa, S.; Kasaija, P.; Kirunda, H.; de la Fuente, G.; Fernández-Melgar, R.; et al. Evaluation of effectiveness and safety of Subolesin anti-tick vaccine in Ugandan multi-site field trial. npj Vaccines 2024, 9, 174. [Google Scholar] [CrossRef]
- Willadsen, P. Antigen cocktails: Valid hypothesis or unsubstantiated hope. Parasitol. Today 2008, 24, 164–167. [Google Scholar] [CrossRef]
- Ndawula, C., Jr.; Tabor, A.E. Cocktail anti-tick vaccines: The unforeseen constraints and approaches toward enhanced efficacies. Vaccines 2020, 8, 457. [Google Scholar] [CrossRef]
- Parthasarathi, B.C.; Kumar, B.; Bhure, S.K.; Sharma, A.K.; Manisha; Nagar, G.; Kumar, S.; Nandi, A.; Manjunathachar, H.V.; Chigure, G.M.; et al. Co-immunization efficacy of recombinant antigens against Rhipicephalus microplus and Hyalomma anatolicum tick infestations. Pathogens 2023, 12, 433. [Google Scholar] [CrossRef] [PubMed]
- Taussig, M.J.; Mozes, E.; Shearer, G.M.; Sela, M. Antigenic competition and genetic control of the immune response. A hypothesis for intramolecular competition. Cell. Immunol. 1973, 8, 299–310. [Google Scholar] [CrossRef]
- Schetters, T.P.M.; Jansen, T. Vaccine Against Rhipicephalus Ticks. World Intellectual Property Organization Patent WO2014154847, 28 March 2014. Available online: https://patentscope.wipo.int/search/en/detail.jsf?docId=WO2014154847 (accessed on 14 March 2025).
- Contreras, M.; Rafael, M.; Sobrino, I.; Almazán, C.; Pastor Comín, J.J.; Valdés, J.J.; Prudencio, C.R.; de Lima Neto, D.F.; Borin, V.A.; Agarwal, P.K.; et al. Modelling protein-protein interactions for the design of vaccine chimeric antigens with protective epitopes. PLoS ONE 2025, 20, e0318439. [Google Scholar] [CrossRef] [PubMed]
- Lagunes, R.; Domínguez-García, D.I.; Quiroz-Romero, H.; Martínez-Velázquez, M.; Rosario-Cruz, R. Potential effects on Rhipicephalus microplus tick larvae fed on calves immunized with a Subolesin peptide predicted by epitope analysis. Trop. Biomed. 2016, 33, 726–738. [Google Scholar]
- Valdez-Espinoza, U.; Gómez-Romero, N.; Hernández-Ortiz, R.; Castro-Saines, E.; Lagunes-Quintanilla, R. Characterization of an immunogenic region of the Bm86 antigen as an improved vaccine against the Rhipicephalus microplus tick. Mex. J. Biotechnol. 2021, 6, 35–49. [Google Scholar] [CrossRef]
- National Institute of Statistics, Geography & Informatics (INEGI). Statistical and Geographical Yearbook of Veracruz de Ignacio de la Llave. 2017. Available online: https://www.inegi.org.mx/contenidos/productos/prod_serv/contenidos/espanol/bvinegi/productos/nueva_estruc/anuarios_2017/702825094980.pdf (accessed on 14 March 2025).
- Coate, R.; Alonso-Díaz, M.A.; Martínez-Velázquez, M.; Castro-Saines, E.; Hernández-Ortiz, R.; Lagunes-Quintanilla, R. Testing efficacy of a conserved polypeptide from the Bm86 protein against Rhipicephalus microplus in the Mexican tropics. Vaccines 2023, 11, 1267. [Google Scholar] [CrossRef] [PubMed]
- Rodríguez, M.; Massard, C.L.; da Fonseca, A.H.; Ramos, N.F.; Machado, H.; Labarta, V.; de la Fuente, J. Effect of vaccination with a recombinant Bm86 antigen preparation on natural infestations of Boophilus microplus in grazing dairy and beef pure and cross-bred cattle in Brazil. Vaccine 1995, 13, 1804–1808. [Google Scholar] [CrossRef] [PubMed]
- Almazán, C.; Lagunes, R.; Villar, M.; Canales, M.; Rosario-Cruz, R.; Jongejan, F.; de la Fuente, J. Identification and characterization of Rhipicephalus (Boophilus) microplus candidate protective antigens for the control of cattle tick infestations. Parasitol. Res. 2010, 106, 471–479. [Google Scholar] [CrossRef]
- Popara, M.; Villar, M.; Mateos-Hernández, L.; Fernández de Mera, I.G.; Marina, A.; del Valle, M.; Almazán, C.; Domingos, A.; de la Fuente, J. Lesser protein degradation machinery correlates with higher BM86 tick vaccine efficacy in Rhipicephalus annulatus when compared to Rhipicephalus microplus. Vaccine 2013, 31, 4728–4735. [Google Scholar] [CrossRef]
- Antunes, S.; Merino, O.; Mosqueda, J.; Moreno-Cid, J.A.; Bell-Sakyi, L.; Fragkoudis, R.; Weisheit, S.; Pérez de la Lastra, J.M.; Alberdi, P.; Domingos, A.; et al. Tick capillary feeding for the study of proteins involved in tick-pathogen interactions as potential antigens for the control of tick infestation and pathogen infection. Parasit. Vectors 2014, 7, 42. [Google Scholar] [CrossRef]
- National Weather Service (SMN). Estadística Mensual: Martínez de la Torre (DGE)-30102 [Database]. 2025. Available online: https://smn.conagua.gob.mx/tools/RESOURCES/Normales_Climatologicas/Mensuales/ver/mes30102.txt (accessed on 14 March 2025).
- de la Fuente, J.; Almazán, C.; Naranjo, V.; Blouin, E.F.; Kocan, K.M. Synergistic effect of silencing the expression of tick protective antigens 4D8 and Rs86 in Rhipicephalus sanguineus by RNA interference. Parasitol. Res. 2006, 99, 108–113. [Google Scholar] [CrossRef] [PubMed]
- Trentelman, J.J.A.; Teunissen, H.; Kleuskens, J.A.G.M.; de Crommert, J.V.; de la Fuente, J.; Hovius, J.W.R.; Schetters, T.P.M. A combination of antibodies against Bm86 and Subolesin inhibits engorgement of Rhipicephalus australis (formerly Rhipicephalus microplus) larvae in vitro. Parasit. Vectors 2019, 12, 362. [Google Scholar] [CrossRef]
- Adorini, L.; Nagy, Z.A. Peptide competition for antigen presentation. Immunol. Today 1990, 11, 21–24. [Google Scholar] [CrossRef]
- Abbott, R.K.; Crotty, S. Factors in B cell competition and immunodominance. Immunol. Rev. 2020, 296, 120–131. [Google Scholar] [CrossRef]
- Hunt, J.D.; Jackson, D.C.; Brown, L.E.; Wood, P.R.; Stewart, D.J. Antigenic competition in a multivalent foot rot vaccine. Vaccine 1994, 12, 457–464. [Google Scholar] [CrossRef]
- Almazán, C.; Kocan, K.M.; Blouin, E.E.; de la Fuente, J. Vaccination with recombinant tick antigens for the control of Ixodes scapularis adult infestations. Vaccine 2005, 23, 5294–5298. [Google Scholar] [CrossRef] [PubMed]
- Olds, C.L.; Mwaura, S.; Odongo, D.O.; Scoles, G.A.; Bishop, R.; Daubenberger, C. Induction of humoral immune response to multiple recombinant Rhipicephalus appendiculatus antigens and their effect on tick feeding success and pathogen transmission. Parasit. Vectors 2016, 9, 484. [Google Scholar] [CrossRef]
- Enríquez, A.; Bouéc, O.; Redondo, M.; Montero, C.; Machado, H.; Joglar, M.; Soto, A.; Rodríguez, M.; de la Fuente, J. Desarrollo y aplicación en bovinos de la nueva formulación vacunal Gavacplus contra la garrapata Boophilus microplus. Biotecnol. Apl. 1999, 16, 15–17. [Google Scholar]
- Vargas, M.; Montero, C.; Sánchez, D.; Pérez, D.; Valdés, M.; Alfonso, A.; Joglar, M.; Machado, H.; Rodríguez, E.; Méndez, L.; et al. Two initial vaccinations with the Bm86-based Gavacplus vaccine against Rhipicephalus (Boophilus) microplus induce similar reproductive suppression to three initial vaccinations under production conditions. BMC Vet. Res. 2010, 6, 43. [Google Scholar] [CrossRef] [PubMed]
- Arocho Rosario, C.M.; Miller, R.J.; Klafke, G.M.; Coates, C.; Grant, W.E.; Samenuk, G.; Yeater, K.; Tidwell, J.; Bach, S.; de León, A.A.P.; et al. Interaction between anti-tick vaccine and a macrocyclic lactone improves acaricidal efficacy against Rhipicephalus (Boophilus) microplus (Canestrini) (Acari: Ixodidae) in experimentally infested cattle. Vaccine 2022, 40, 6795–6801. [Google Scholar] [CrossRef] [PubMed]
- Santos, I.; Szabó, M.P.J.; Caetano, A.R.; de Camargo, M.M. The impact of climate change on the biology of the cattle tick, Rhipicephalus microplus: Current knowledge and gaps to be filled. In Climate, Ticks and Disease; Nuttall, P., Ed.; CABI International: Oxford, UK, 2021; pp. 193–208. [Google Scholar] [CrossRef]
- Alonso-Díaz, M.A.; López-Silva, B.J.; Leme de Magalhães-Labarthe, A.C.; Rodríguez-Vivas, R.I. Natural infestation of Boophilus microplus Canestrini, 1887 (Acari: Ixodidae) in two cattle genotypes in the humid tropic of Veracruz, Mexico. Vet. Mex. 2007, 38, 503–509. [Google Scholar]
- Cruz-González, G.; Pinos-Rodríguez, J.M.; Alonso-Díaz, M.A.; Romero-Salas, D.; Vicente-Martínez, J.G.; Fernández-Salas, A.; Jarillo-Rodríguez, J.; Castillo-Gallegos, E. Rotational grazing modifies Rhipicephalus microplus infestation in cattle in the humid tropics. Animals 2023, 13, 915. [Google Scholar] [CrossRef]
- Ndawula, C., Jr. From bench to field: A guide to formulating and evaluating anti-tick vaccines delving beyond efficacy to effectiveness. Vaccines 2021, 9, 1185. [Google Scholar] [CrossRef]






| Rhipicephalus microplus | ||||||
|---|---|---|---|---|---|---|
| Percent Reduction (Immunized/Control) b | ||||||
| Experimental Group a | DT | DW | DO | LH | E c | |
| Group 1 | 100 μg pBm86 + 50 μg pSubolesin (co-immunization) | 22% (208 ± 12) | 7% (138 ± 7) | 16% (51 ± 2) | 23% * (24 ± 1) | 50% |
| Group 2 | 100 μg pBm86 + 50 μg pSubolesin (cocktail) | 59% * (110 ± 14) | 11% (132 ± 20) | 20% * (48 ± 8) | 25% * (23 ± 3) | 75% |
| Group 3 | Adjuvant/saline control | |||||
| (267 ± 23) | (149 ± 3) | (61 ± 4) | (31 ± 2) | --- | ||
Disclaimer/Publisher’s Note: The statements, opinions and data contained in all publications are solely those of the individual author(s) and contributor(s) and not of MDPI and/or the editor(s). MDPI and/or the editor(s) disclaim responsibility for any injury to people or property resulting from any ideas, methods, instructions or products referred to in the content. |
© 2026 by the authors. Licensee MDPI, Basel, Switzerland. This article is an open access article distributed under the terms and conditions of the Creative Commons Attribution (CC BY) license.
Share and Cite
Mendoza-Martínez, N.; Alonso-Díaz, M.Á.; Merino-Charrez, J.O.; Lagunes-Quintanilla, R. Exploring the Combined Effect of Bm86 and Subolesin Polypeptide Vaccines in Cattle Naturally Infested with Rhipicephalus microplus. Vet. Sci. 2026, 13, 301. https://doi.org/10.3390/vetsci13030301
Mendoza-Martínez N, Alonso-Díaz MÁ, Merino-Charrez JO, Lagunes-Quintanilla R. Exploring the Combined Effect of Bm86 and Subolesin Polypeptide Vaccines in Cattle Naturally Infested with Rhipicephalus microplus. Veterinary Sciences. 2026; 13(3):301. https://doi.org/10.3390/vetsci13030301
Chicago/Turabian StyleMendoza-Martínez, Nancy, Miguel Ángel Alonso-Díaz, Jose Octavio Merino-Charrez, and Rodolfo Lagunes-Quintanilla. 2026. "Exploring the Combined Effect of Bm86 and Subolesin Polypeptide Vaccines in Cattle Naturally Infested with Rhipicephalus microplus" Veterinary Sciences 13, no. 3: 301. https://doi.org/10.3390/vetsci13030301
APA StyleMendoza-Martínez, N., Alonso-Díaz, M. Á., Merino-Charrez, J. O., & Lagunes-Quintanilla, R. (2026). Exploring the Combined Effect of Bm86 and Subolesin Polypeptide Vaccines in Cattle Naturally Infested with Rhipicephalus microplus. Veterinary Sciences, 13(3), 301. https://doi.org/10.3390/vetsci13030301

